Том 5, № 3 (2024)
- Год: 2024
- Статей: 21
- URL: https://ogarev-online.ru/DD/issue/view/20644
- DOI: https://doi.org/10.17816/DD.53
Весь выпуск
Оригинальные исследования
Возможности совмещённой позитронно-эмиссионной и компьютерной томографии в сравнительной оценке эффекта различных вариантов таргетной терапии у больных немелкоклеточным раком лёгкого с наличием мутации в гене EGFR
Аннотация
Обоснование. В отечественной медицинской литературе отсутствуют публикации, посвящённые изучению возможностей метода позитронной эмиссионной томографии, совмещённой с компьютерной томографией, в сравнительной оценке эффекта различных вариантов таргетной терапии с использованием ингибиторов тирозинкиназы у пациентов с немелкоклеточным раком лёгкого и мутацией в гене EGFR.
Цель — изучить возможности совмещённой позитронно-эмиссионной и компьютерной томографии с использованием критериев RECIST 1.1 и изменений метаболических показателей SUVmax и SUVmean в сравнительной оценке ответа опухоли на таргетную монотерапию и комбинированное лечение ингибиторами тирозинкиназы у пациентов с немелкоклеточным раком лёгкого и мутацией в гене EGFR.
Материалы и методы. Проанализированы протоколы исследований совмещённой позитронно-эмиссионной и компьютерной томографии с 18F-фтордезоксиглюкозой (18F-ФДГ) 105 пациентов с немелкоклеточным раком лёгкого, в том числе 75 — с активирующей мутацией в гене EGFR, выполненных в период с 2019 г. по 2022 г. Лучевая нагрузка подбиралась индивидуально и составляла от 45 до 90 мЗв. Объёмная активность радиофармпрепарата 18F-ФДГ — 260–500 МБк. Оценивали изменение суммы наибольших диаметров целевых очагов и метаболических показателей SUVmax и SUVmean до лечения и через 1,5–2,0 месяца от начала терапии. У 17 пациентов с немелкоклеточным раком лёгкого длительность наблюдения за изменениями позитронной эмиссионной томографии, совмещённой с компьютерной томографией, составила не менее 12 месяцев.
Результаты. По данным совмещённой позитронно-эмиссионной и компьютерной томографии и изменениям метаболических показателей SUVmax и SUVmean у пациентов с немелкоклеточным раком лёгкого и мутацией в гене EGFR 2-й и 3-й групп, получавших комбинированную терапию ингибиторами тирозинкиназы в сочетании с бевацизумабом или химиотерапией, прогрессирование заболевания выявлялось достоверно реже (p=0,043 и p=0,029), чем у пациентов 1-й группы и группы контроля (4,2% против 20,0–21,8%). Имелась также недостоверная тенденция (p=0,092) к более высокой частоте выявления частичного ответа на лечение (58,3% против 40,0%). Аналогичные изменения суммы наибольших диаметров целевых очагов на раннем этапе лечения оказались статистически незначимыми (p=0,187). Показано, что при длительном наблюдении за частью пациентов с немелкоклеточным раком лёгкого не менее чем в 50% случаев изменения суммы наибольших диаметров повторяют соответствующие изменения SUVmax и SUVmean, выявленные при 1-м контрольном исследовании.
Заключение. По данным позитронной эмиссионной томографии, совмещённой с компьютерной томографией, и изменениям метаболических показателей SUVmax и SUVmean показано, что ранний ответ опухоли на комбинированное лечение ингибиторами тирозинкиназы в сочетании с бевацизумабом или химиотерапией по сравнению с ответом на таргетную монотерапию ингибиторами тирозинкиназы или химиотерапевтическое лечение больных контрольной группы характеризуется достоверно более низкой частотой метаболического прогрессирования заболевания, хотя аналогичная тенденция суммы наибольших диаметров целевых очагов по критериям RECIST 1.1 была статистически незначимой. Изменение метаболических показателей SUVmax и SUVmean на раннем этапе лечения не менее чем в 50% случаев опережает аналогичные изменения суммы наибольших диаметров целевых очагов, что может быть использовано для своевременного выделения группы больных с высоким риском дальнейшего прогрессирования, определяемым по критериям RECIST 1.1.
394-406
Ограничения при применении сервисов искусственного интеллекта для анализа рентгенограмм органов грудной клетки
Аннотация
Обоснование. Одним из первых направлений в лучевой диагностике, в котором искусственный интеллект начал применяться и активно применяется по сей день, является рентгенография органов грудной клетки. Тем не менее при интерпретации этих исследований с помощью технологий искусственного интеллекта врачи-рентгенологи до сих пор ежедневно сталкиваются с рядом ограничений, которые приходится учитывать при вынесении врачебного заключения и на которые необходимо обратить внимание разработчиков с целью дальнейшего усовершенствования алгоритмов для повышения их эффективности.
Цель. Выявление ограничений при применении сервисов искусственного интеллекта для анализа рентгенограмм органов грудной клетки и оценка клинической значимости этих ограничений.
Материалы и методы. Проведён ретроспективный анализ 155 случаев расхождения результатов заключений сервисов искусственного интеллекта с врачебными заключениями при анализе рентгенограмм органов грудной клетки. Все включённые в исследование случаи были получены из Единого радиологического информационного сервиса Единой медицинской информационно-аналитической системы г. Москвы.
Результаты. Среди проанализированных 155 случаев расхождений 48 (31,0%) оказались ложноположительными, а 78 (50,3%) — ложноотрицательными. Остальные 29 (18,7%) случаев были исключены из дальнейшего исследования, поскольку при экспертном пересмотре оказались истинно положительными (27) или истинно отрицательными (2). Среди 48 ложноположительных случаев большинство (93,8%) было обусловлено тем, что сервис искусственного интеллекта принимал за признаки пневмоторакса нормальные анатомические структуры грудной клетки (97,8% случаев) или тень катетера (2,2% случаев). Среди ложноотрицательных исследований доля пропусков клинически значимой патологии составила 22,0%. Почти половина этих случаев (44,4%) была связана с пропуском лёгочных узлов. Самой распространённой клинически не значимой патологией оказались кальцинаты в лёгких (60,9%).
Заключение. Со стороны сервисов искусственного интеллекта прослеживается тенденция к гипердиагностике. Все ложноположительные случаи были связаны с ошибочным обнаружением клинически значимой патологии: пневмоторакса, лёгочных узлов и лёгочного затемнения. Среди ложноотрицательных случаев доля пропуска клинически значимой патологии была невелика и составила менее одной четвёртой.
407-420
Прогнозирование эффективности неоадъювантной химиолучевой терапии у больных раком прямой кишки на основе текстурного анализа Т2-взвешенного магнитно-резонансного изображения опухоли, полученного при первичном стадировании
Аннотация
Обоснование. В последнее время прилагаются значительные усилия по поиску потенциальных неинвазивных биомаркёров для прогнозирования ответа местно распространённого рака прямой кишки на неоадъювантную химиолучевую терапию.
Цель исследования ― оценить текстурные характеристики местно распространённого рака прямой кишки на первичном Т2-взвешенном изображении (Т2-ВИ) в качестве потенциального фактора прогноза эффективности стандартной неоадъювантной химиолучевой терапии и разработать на их основе систему прогнозирования эффективности такого лечения.
Материалы и методы. Включённые в ретроспективное исследование пациенты с местно распространённым раком прямой кишки, получившие комбинированное лечение с неоадъювантной химиолучевой терапией (n=82), были разделены на обучающую (n=58) и контрольную (n=24) выборку. Для текстурного анализа использовали первичное Т2-ВИ высокого разрешения на уровне центра опухоли, ориентированное перпендикулярно стенке кишки. Текстурный анализ выполняли статистическим методом второго порядка на основе матрицы совместной встречаемости уровней серого (GLCM) с помощью компьютерной программы MAZDAver. 4.6 с расчётом 11 параметров текстуры. После морфологической оценки операционных препаратов в обучающей выборке выявлены достоверно различающиеся параметры текстурного анализа для групп пациентов, ответивших (группа хорошего прогноза) и не ответивших (группа плохого прогноза) на лечение, на основе чего создана балльная система оценки эффективности неоадъювантной химиолучевой терапии. Система протестирована на контрольной выборке с определением параметров диагностической эффективности.
Результаты. Группы хорошего и плохого прогноза в обучающей выборке достоверно различались по пяти параметрам текстуры, для которых найдены точки разделения: AngScMom (р=0,021), SumofSqs (р=0,003), SumEntrp (р=0,003), Entropy (р=0,038) и SumVarnc (р=0,015), из них исключены при создании балльной системы Entropy ,как имеющий сильную прямую корреляционную связь с SumEntrp и наименьшую AUC, и SumofSqs из-за низкой воспроизводимости. Диагностическая эффективность балльной системы прогнозирования ответа имела чувствительность, специфичность, прогностичность положительного и прогностичность отрицательного результата 72; 69; 70 и 71% для обучающей и 80; 64; 62 и 82% для контрольной выборки соответственно. Площадь под ROC-кривой для обучающей выборки составила 0,77, для контрольной ― 0,72.
Заключение. Текстурный анализ первичного Т2-ВИ опухоли у больных местно распространённым раком прямой кишки позволил спрогнозировать эффективность неоадъювантной химиолучевой терапии с умеренной диагностической эффективностью, что свидетельствует о перспективности дальнейших исследований в этом направлении.
421-435
Поверхностная морфометрия коры полушарий большого мозга при когнитивных нарушениях разной степени тяжести у пациентов с возраст-зависимой церебральной микроангиопатией
Аннотация
Обоснование. Анализ структурных магнитно-резонансных изображений играет ключевую роль в оценке основного субстрата когнитивных расстройств при спорадической возраст-зависимой церебральной микроангиопатии, обусловливающей до 45% всех случаев деменции. Разнообразие результатов применения магнитно-резонансной морфометрии при церебральной микроангиопатии требует расширенных исследований и сопоставления с клиническими данными.
Цель исследования ― оценка особенностей атрофии головного мозга при когнитивных нарушениях у пациентов с церебральной микроангиопатией методом поверхностной морфометрии.
Материалы и методы. Проведено проспективное исследование с оценкой пациентов с церебральной микроангиопатией и когнитивными расстройствами различной степени тяжести (субъективные, умеренные и деменция) и группы добровольцев, сопоставимой по полу и возрасту. Оценка включала анализ признаков церебральной микроангиопатии по данным магнитно-резонансной томографии с расчётом общего индекса церебральной микроангиопатии и обработкой Т1mpr-изображений методом поверхностной морфометрии с общей и региональной количественной оценкой головного мозга, включая толщину коры полушарий большого мозга.
Результаты. В основную группу вошли 173 пациента с церебральной микроангиопатией, в группу контроля ― 47 здоровых добровольцев. По мере нарастания выраженности структурных изменений головного мозга и тяжести когнитивных расстройств отмечалось достоверное (p <0,05) уменьшение толщины коры отдельных регионов по схожему паттерну, а именно: поясных извилин, преимущественно задних их отделов; медиальных и средних отделов лобных долей; различных участков коры островка; височно-теменных областей (особенно надкраевых извилин). Объём самогó головного мозга (общий объём, объём серого и белого вещества) при церебральной микроангиопатии имел значимые различия только с контролем, но не между группами пациентов с разной тяжестью когнитивных расстройств. Объём гиперинтенсивного белого вещества значимо различался между группами с деменцией и умеренными когнитивными расстройствами, деменцией и субъективными когнитивными расстройствами (p <0,0001).
Заключение. Полученные в ходе исследования данные подтверждают вторичный/смешанный характер атрофии при церебральной микроангиопатии. Большое разнообразие регионов со значимым истончением коры ограничивает уточнение прогрессирования когнитивных расстройств при церебральной микроангиопатии по их атрофии. Это позволяет использовать количественное измерение коры только как вспомогательный метод при оценке прогнозирования течения церебральной микроангиопатии.
436-449
Применение навигационной системы на основе технологии дополненной реальности в челюстно-лицевой хирургии
Аннотация
Обоснование. Навигационные системы с технологией дополненной реальности позволяют визуализировать различные анатомические структуры челюстно-лицевой области и являются возможной альтернативой стандартным системам хирургической навигации. Мы разработали специальную платформу для управления трёхмерными моделями и применения системы интраоперационной навигации с использованием технологии дополненной реальности при проведении хирургических процедур.
Цель. Оценка восприятия системы навигации с использованием технологии дополненной реальности хирургами и удобство её применения при выполнении наиболее распространённых вмешательств в челюстно-лицевой хирургии.
Материалы и методы. Мы провели фантомное исследование, чтобы определить точность работы системы навигации с использованием технологии дополненной реальности при проведении хирургических операций челюстно-лицевой области. Были определены погрешности регистрации, наблюдаемые в ходе хирургических операций под визуализационным контролем: погрешность регистрации опорных меток, погрешность регистрации мишеней и погрешность локализации опорных меток. После этого было проведено клиническое исследование при участии нескольких хирургов, выполнявших хирургические вмешательства на челюсти с использованием технологии дополненной реальности. По результатам работы с системой навигации с использованием технологии дополненной реальности хирурги заполняли специальный опросник.
Результаты. Среднее значение погрешности регистрации опорных меток составило 0,9 мм (стандартное отклонение 0,7 мм; 95% доверительный интервал 0,4–1,3 мм). Среднее значение погрешности регистрации мишеней составило 1,3 мм (стандартное отклонение 0,5 мм; 95% доверительный интервал 1,1–1,5 мм). Величина погрешности локализации опорных меток была наиболее значительной и составила 2,2 мм (стандартное отклонение 0,9; 95% доверительный интервал 1,9–2,5 мм). Высокие показатели по результатам заполнения опросника для оценки впечатления от использования объяснялись новизной системы навигации с использованием технологии дополненной реальности в челюстно-лицевой хирургии и энтузиазмом от её использования. Прагматический аспект качества касается технической направленности восприятия, то есть насколько продукт, система или услуга помогают достичь целей, поставленных на этапе их разработки. Ожидалось, что эффективность системы будет несколько выше, однако, по нашему мнению, полученные показатели связаны с техническими трудностями, возникшими при реализации новой технологии дополненной реальности в системе.
Заключение. Результаты показали удовлетворительную точность работы системы навигации с использованием технологии дополненной реальности при выполнении операций в челюстно-лицевой хирургии, и опыт её использования у хирургов был положительным.
450-466
Диагностические возможности компьютерной томографии сердца в предоперационной диагностике гипертрофической кардиомиопатии
Аннотация
Обоснование. Комплексный подход изучения гипертрофической кардиомиопатии с помощью арсенала диагностической аппаратуры и новейших методик сканирования позволит обеспечить качественный контроль и эффективность лечения пациентов с гипертрофической кардиомиопатией. Актуальным и перспективным становится внедрение инновационных технологий и компьютерных вычислений на сканерах нового поколения для изучения фенотипических вариантов ремоделирования левого желудочка в сочетании с аномалиями хордо-папиллярного аппарата митрального клапана и структуры миокарда.
Цель — изучение возможностей компьютерной томографии в предоперационной диагностике фенотипических форм гипертрофической кардиомиопатии.
Материалы и методы. Проведён ретроспективный анализ данных 47 пациентов с гипертрофической кардиомиопатией (средний возраст 52±7 полных лет) перед хирургической коррекцией. Для изучения анатомии камер сердца и коронарных артерий, морфологии митрального клапана был применён разработанный нами протокол с автоматическим мониторингом болюса контрастного препарата в полости левого предсердия c пороговым значением 90 HU и двухфазным последовательным введением контрастного препарата. Для изучения структурных изменений миокарда проведен анализ данных полученных на двухэнергетическом компьютерном томографе с построением йодных карт отсроченного контрастирования. Всех пациентов с гипертрофической кардиомиопатией классифицировали на морфологические типы. В каждом случае оценивалась анатомия хордо-папиллярного аппарата.
Результаты. Наше исследование демонстрирует вариабельность фенотипических проявлений гипертрофической кардиомиопатии, условно разделённых на 5 морфологических типов и не ограниченных данными вариантами. 26 (55%) пациентов имели диффузно-септальный морфологический фенотип гипертрофической кардиомиопатии. Среднежелудочковый выявлен у 5 (11%) пациентов, из них среднежелудочковый фенотип с апикальным выпячиванием/аневризмой левого желудочка у 2 (4%). У 8 (18%) пациентов выявлен фокально-базальный фенотип, у 4 (8%) пациентов — концентрический фенотип, и еще у 4 (8%) — апикальный фенотип. У большинства обследованных диагностированы аномалии хордо-папиллярного аппарата митрального клапана, разделённые на аномалии количества и положения папиллярных мышц, а также соотношения хорд и мышц. Интрамиокардиальный ход коронарных артерий выявлен у 10 (21%) пациентов, из них у 3 (14%) отмечались признаки динамического сужения. У всех пациентов выявлены очаговые накопления йода на картах отсроченного контрастирования. У 10 из 13 (76%) пациентов значение фракции внеклеточного объёма ECV превышало нормальные диапазоны. Среднее значение ECV миокарда левого желудочка, по данным двухэнергетической компьютерной томографии, — 30,58% (95% доверительный интервал 27–34%).
Заключение. Разработанные нами протоколы сканирования на компьютерных томографах разных поколений позволяют определить характерные паттерны морфологических типов гипертрофической кардиомиопатии в одном исследовании и детально интерпретировать геометрию камер и клапанной системы сердца, функцию левого желудочка и состояние коронарного русла, а кроме того — структурные изменения миокарда левого желудочка.
467-479
Рентгенологическая оценка изменений в сосудах лёгких и желудочно-кишечного тракта у пациентов с COVID-19, направленных в специализированный медицинский центр в г. Ченнаи (Индия): проспективное одномоментное исследование
Аннотация
Обоснование. Пандемия коронавирусной инфекции (COVID-19) характеризовалась высокими показателями заболеваемости и смертности во всём мире с момента своего появления в 2019 году. COVID-19 является в первую очередь респираторным заболеванием, однако может поражать и другие системы органов, в том числе сосуды и желудочно-кишечный тракт. В число осложнений COVID-19 входят тромбозы артерий и вен, при этом многочисленные исследования свидетельствуют о повышении риска развития тромбоэмболии лёгочной артерии. По результатам патологоанатомического вскрытия пациентов с COVID-19 были выявлены случаи развития тромбоза сосудов лёгких и ишемии кишечника.
Цель — оценка рентгенологических признаков изменений сосудов лёгких (в частности — тромбоэмболии лёгочной артерии) и изменений сосудов желудочно-кишечного тракта у пациентов с COVID-19, направленных в специализированный медицинский центр в г. Ченнаи (Индия).
Материалы и методы. 100 пациентам с COVID-19, соответствовавшим критериям отбора для участия в исследовании, была проведена компьютерная томографическая ангиография сосудов лёгких и компьютерная томография брюшной полости с контрастированием. Оценку изменений в сосудах лёгких и кишечника проводил рентгенолог с 5-летним опытом работы. В дальнейшем с целью определения значимости взаимосвязи COVID-19 с возникновением изменений в сосудах лёгких и кишечника был проведён статистический анализ.
Результаты. В исследовании у 11 пациентов была выявлена тромбоэмболия лёгочной артерии, а у 7 пациентов — значительные изменения в сосудах кишечника, в том числе утолщение стенки кишечника, мезентериальная ишемия и инфаркт сальника, что указывает на потенциальное поражение сосудов желудочно-кишечного тракта у пациентов с COVID-19. Была обнаружена положительная корреляция между наличием COVID-19 и развитием тромбоэмболии лёгочной артерии, которая была диагностирована в среднем через 11 дней с момента начала заболевания. По данным компьютерной томографической ангиографии сосудов лёгких тромбоэмболия лёгочной артерии была выявлена у 7 из 24 пациентов с тяжёлым острым респираторным течением COVID-19. Кроме того, данное осложнение наблюдалась у 7 из 10 пациентов, находившихся на искусственной вентиляции лёгких. У 4 из 7 пациентов с изменениями в сосудах кишечника была также выявлена тромбоэмболия лёгочной артерии, что указывает на значимую взаимосвязь данных изменений. Наблюдаемые изменения в сосудах кишечника были обусловлены внутрисосудистым образованием тромбов.
Заключение. Согласно полученным результатам, можно заключить, что у пациентов с тяжёлым течением COVID-19 часто возникает сопутствующая тромбоэмболия лёгочной артерии, а также имеют место изменения в сосудах кишечника. Кроме того, многофакторный анализ позволил выявить связь между инвазивной искусственной вентиляцией лёгких и развитием тромбоэмболии лёгочной артерии. Таким образом, решения в рамках ведения таких пациентов должны приниматься по результатам компьютерной томографии с контрастированием, поскольку стандартная компьютерная томография без контрастирования не даёт необходимой информации.
480-490
Влияние качества рентгенологических исследований на коллективную эффективную дозу пациентов в условиях телемедицины
Аннотация
Обоснование. Обеспечение качества лучевой диагностики, наряду с повышением эффективности, — ключевая задача организации здравоохранения как в муниципальном сегменте медицинских организаций, так и в частной медицине. При получении дефектного рентгенорадиологического изображения возникает необходимость повторного проведения исследования, что в свою очередь влечёт за собой репутационные, временные и экономические потери медицинской организации. Кроме того, повторное исследование вносит дополнительный вклад в суммарную дозу облучения пациента.
Цель — оценить вклад некачественных рентгенологических исследований в облучение пациентов в амбулаторных медицинских организациях, работающих в условиях телемедицины.
Материалы и методы. Объектом исследования послужили дефектные рентгенологические исследования, зафиксированные врачами-рентгенологами в течение работы Московского референс-центра в 2022 г. с помощью специально разработанной системы контроля качества диагностических исследований с применением информационных технологий. Кроме того, были применены методы определения эффективных доз пациентов при проведении рентгенологических исследований, соответствующие действующим нормативным требованиями, а также были использованы методы статистической обработки информации.
Результаты. В ходе исследования было зафиксировано 2059 дефектных исследований — 0,084% общего числа исследований, описанных в условиях телемедицины. Коллективная эффективная доза от проведения дефектных исследований составила 3,613 чел.-Зв, что представляет собой менее 0,11% общей коллективной дозы пациентов в выбранных амбулаторных медицинских организациях.
Заключение. В работе показано, что для организаций, работающих в условиях телемедицины, эффективным является внедрение системы контроля качества диагностических исследований с применением информационных технологий.
491-504
Опыт применения сервисов искусственного интеллекта для диагностики компрессионных переломов тел позвонков по данным компьютерной томографии: от тестирования до апробации
Аннотация
Обоснование. Остеопороз зачастую диагностируется на этапе возникновения осложнений — низкоэнерегетических переломов. Компрессионные переломы тел позвонков — осложнение остеопороза и одновременно предиктор последующих переломов различной локализации — нередко протекают бессимптомно. Компрессионные переломы возможно выявить при исследованиях методом компьютерной томографии, выполненных по другим показаниям, путём проведения морфометрии тел позвонков. Нами проанализированы подходы использования сервисов искусственного интеллекта, предназначенных для диагностики компрессионных переломов тел позвонков.
Цель — тестирование сервисов искусственного интеллекта для проведения морфометрического анализа тел позвонков по данным компьютерной томографии органов грудной клетки, а также оценка возможности их внедрения в практику медицинских организаций Департамента здравоохранения города Москвы.
Материалы и методы. Для постановки клинической задачи сервисам искусственного интеллекта были сформированы базовые диагностические требования по направлению «Компрессионный перелом тел позвонков (остеопороз)». Сервисы проходили следующие этапы: самотестирование, функциональное и калибровочное тестирование, апробацию и опытную эксплуатацию. Для первых трёх этапов тестирование проводилось на ранее подготовленных наборах данных. На этапе апробации и опытной эксплуатации с помощью сервисов искусственного интеллекта анализировали данные исследований методом компьютерной томографии, выполненных в медицинских организациях. На всех этапах работала экспертная группа врачей, оценивая диагностическую точность и функциональную полноценность сервисов. Сравнивались полученные количественные метрики точности работы сервисов искусственного интеллекта с целевыми значениями.
Результаты. В период с июня 2021 по июнь 2022 года проходили тестирование два сервиса искусственного интеллекта (№ 1 и № 2), которые используют отличные друг от друга методы определения наличия компрессионных переломов. Оба сервиса успешно прошли этап самотестирования (6 исследований), а также функциональное (5 исследований) и калибровочное (100 исследований) тестирование. Площадь под ROC-кривой составила 0,99 (здесь и далее в скобках указаны значения 95% доверительного интервала; 0,98–1) для сервиса № 1, и 0,91 (0,85–0,96) для сервиса № 2. Этап апробации сервис № 1 прошёл без существенных замечаний, в то время как сервис № 2 был отправлен на доработку. После этапа опытной эксплуатации были получены следующие метрики точности: для сервиса № 1 площадь под ROC-кривой составила 0,93 (0,89–0,96), для сервиса № 2 — 0,92 (0,90–0,94). На всех этапах выбранные сервисы искусственного интеллекта показали метрики достаточные для клинической валидации.
Заключение. Проведено тестирование сервисов искусственного интеллекта, выполняющих автоматизированную диагностику компрессионных переломов тел позвонков. Продемонстрировано высокое качество их работы. Сервисы на основе искусственного интеллекта могут быть использованы в качестве вспомогательного инструмента в системе поддержки принятия врачебных решений.
505-518
Показатели окуломоторной деятельности и церебральной гемодинамики у студентов с разным типом вегетативной реактивности в процессе выполнения когнитивных задач
Аннотация
Обоснование. На современном этапе развития человечества в условиях высокой динамики накопления знаний, ускоренного общественного и технического развития возрастает необходимость изучения психофизиологических особенностей когнитивной деятельности в условиях лимита времени.
Цель исследования ― изучить показатели окуломоторной деятельности и церебральной гемодинамики у студентов с разным типом вегетативной реактивности в процессе выполнения когнитивных задач.
Материалы и методы. В исследовании приняли участие 110 студентов Северного (Арктического) федерального университета имени М.В. Ломоносова (средний возраст 19,0±0,5 года). Для выявления специфических особенностей обеспечения когнитивной деятельности в разных временных условиях у обследуемых определяли тип реактивности вегетативной нервной системы: проводили регистрацию движений глаз в процессе решения когнитивных задач в разных временных условиях; для оценки церебральной гемодинамики одновременно регистрировали реоэнцефалограмму; оценивали эффективность когнитивной деятельности в разных временных условиях с учётом выявленных индивидуально-типологических особенностей.
Результаты. У представителей выделенных нами групп в процессе когнитивной работы в различных временных условиях зафиксирована разная эффективность выполнения когнитивных заданий. Наиболее эффективная и скоростная обработка зрительной информации в условиях временного лимита была зафиксирована у лиц с симпатотоническим типом вегетативной реактивности благодаря более устойчивым взаимосвязям параметров окуломоторной активности и церебральной гемодинамики. Наименее устойчивая структура взаимосвязей окуломоторной активности и церебральной гемодинамики характерна для представителей ваготонического типа реактивности, у которых зафиксированы самые низкие показатели успешности когнитивной деятельности.
Заключение. У молодых лиц с разным типом вегетативной реактивности при выполнении когнитивной задачи в условиях временных ограничений выявлены общие и специфические изменения церебральной гемодинамики и окуломоторной активности, зафиксирована разная эффективность когнитивной деятельности. Выявленные особенности свидетельствуют о зависимости проявления когнитивных способностей человека в условиях стресса от типологических свойств нервной системы и могут маркироваться специфическими изменениями окуломоторных реакций и параметров церебральной гемодинамики. Наиболее успешная когнитивная деятельность в условиях лимита времени обеспечивается более устойчивым статистическим взаимодействием параметров церебральной гемодинамики и окуломоторной активности, что отражается в стабильности факторной модели зрительной когнитивной деятельности независимо от временных ограничений.
519-533
Систематические обзоры
Диагностическая точность искусственного интеллекта для скрининга рака предстательной железы при бипараметрической магнитно-резонансной томографии: систематический обзор
Аннотация
Обоснование. По последним опубликованным данным, в 2021 г. в России зарегистрировано 40 137 новых случаев рака предстательной железы, что ставит его на второе место среди онкологических заболеваний в мужской популяции после рака лёгкого.
Таким образом, рак предстательной железы является одним из наиболее распространённых злокачественных новообразований у мужчин. В этих условиях точное и своевременное выявление рака предстательной железы приобретает особую важность.
Цель настоящего систематического обзора с метаанализом — оценка качества прогностических моделей, построенных для выявления рака предстательной железы при первичном обращении.
Материалы и методы. Систематический поиск публикаций проводили в специализированных поисковых системах научной информации eLibrary.ru, PubMed, Google Scholar, Web of Science и ResearchGate с использованием установленных методов в соответствии с протоколом PRISMA. Для анализа отбирали статьи, опубликованные в период с января 2019 г. по сентябрь 2023 г. Два автора независимо отбирали публикации в соответствии с критериями включения и исключения.
Результаты. Этот систематический обзор с метаанализом включает 21 исследование. В общей сложности в них участвовало 3630 пациентов, из них 47% пациентов с раком предстательной железы и 53% с доброкачественными образованиями предстательной железы. Возраст пациентов в среднем составил 67,1 года (в диапазоне от 36 до 90 лет). Из всех исследований, в 81% случаев использовался протокол Т2-взвешенных изображений, в 57% — диффузионно-взвешенных изображений, и в 76% — измеряемых коэффициентов диффузии. Кроме того, 43% исследований изучали образования в переходной зоне, 33% — в периферической зоне предстательной железы. В 52% случаев авторы проводили исследование в целом по органу, без разделения на зоны. Анализ показал, что наиболее часто исследователи используют следующие алгоритмы машинного обучения: MLR (Multiple Logistic Regression) — 76%, SVM (Support Vector Machine) — 38%, и RF (Random Forest) — 24%. По данным проведённого метаанализа оценки ROC-AUC в 73 прогностических моделях, описанных в изученных нами публикациях, с использованием метода случайных эффектов, было получено итоговое значение ROC-AUC 0,793 (95% CI; 0,768–0,818), I2=86,71%, p <0,001. Модели, построенные на последовательностях Т2-взвешенных изображений + измеряемых коэффициентов диффузии (ROC-AUC 0,860 95%CI 0,813–0,907), а также модели, построенные по принципу «белый ящик» (ROC-AUC 0.834 95%CI 0.806–0.861), оказались наиболее точными, по сравнению с построенными по принципу «чёрный ящик» (ROC-AUC 0,733 95%CI 0,695–0,771). Модели, использующие радиомические и клинические признаки, были несколько точнее, чем построенные исключительно на радиомических признаках: ROC-AUC 0,869 (95%CI 0,844–0,895) против 0,779 (95%CI 0,751–0,807). Точность моделей практически не различалась по зоне исследования (переходная или периферическая).
Заключение. Результаты многообещающие, но клиническая применимость по-прежнему требует более тщательной проверки со стороны экспертов в медицинских учреждениях и оценки эффективности в проспективных исследованиях.
534-550
Обзоры
Основы двухэнергетической компьютерной томографии и новые способы её применения при раке мочевого пузыря
Аннотация
В настоящее время наиболее распространёнными методами инструментального исследования пациентов с раком мочевого пузыря являются урография с использованием компьютерной томографии и мультипараметрическая магнитно-резонансная томография. Однако в последнее время для диагностики онкологических заболеваний всё чаще применяется двухэнергетическая компьютерная томография. В настоящей обзорной статье кратко описаны такие аспекты двухэнергетической компьютерной томографии, как физические принципы действия, методики, протоколы и способы обработки изображений, чтобы составить общее представление о способах применения этой передовой технологии в перспективном направлении диагностики рака мочевого пузыря. В частности, рассматривается вопрос о целесообразности применения двухэнергетической компьютерной томографии для сравнения основных снимков, например, йодной карты, с изображениями, полученными с помощью стандартной компьютерной томографии.
Метод двухэнергетической компьютерной томографии можно использовать для диагностики, стадирования и планирования лечения рака мочевого пузыря. Тем не менее его применение ограничено недостаточно широкой доступностью соответствующего оборудования в учреждениях здравоохранения и отсутствием подготовленного персонала, способного правильно провести исследование и корректно описать его результаты.
551-566
Перспективы применения радиомики при опухолях головного мозга
Аннотация
Радиомика — новое направление в диагностике, основанное на количественном подходе к медицинской визуализации, способное обеспечить более эффективное использование медицинской аппаратуры, оптимизировать временные затраты на каждого пациента, а также повысить точность дифференциальной диагностики в различных областях медицины. Ответвлением радиомики является радиогеномика, призванная для установления связи между генотипом пациента и фенотипической картиной, представленной методом медицинской визуализации. В обзоре приведены общие вопросы о радиомике и радиогеномике в онкологии с результатами исследований в этой области, полученными в последние годы, с особым вниманием к роли этих методов в нейроонкологии, а также к решению проблем диагностики опухолей головного мозга. Одной из актуальных проблем в нейроонкологии является возможность определения прогноза заболевания у больных с неверифицированными срединными глиомами ввиду невозможности морфологического подтверждения диагноза и молекулярно-генетического исследования тканей. Кроме того, высокая гетерогенность злокачественного новообразования, свойственная как в пространственном, так и временном смысле, препятствует полноценной оценке биологических свойств опухоли, даже с использованием методов стереотаксической биопсии. Методы радиомики могут помочь врачам дифференцировать степень злокачественности опухоли, выполняя роль «виртуальной биопсии», при этом избежать целого ряда инвазивных процедур. Результаты исследований по радиомике и радиогеномике в нейроонкологии свидетельствуют о несомненной перспективности этих методик, однако, как и в других областях медицины и биологии, нельзя полностью исключить ошибки, и задача команды вовлечённых в неё специалистов — свести эту вероятность к минимуму.
567-577
Использование методов машинного обучения при диагностике рака молочной железы
Аннотация
В последние несколько лет методы машинного обучения привлекают всё большее внимание в области диагностики, особенно при обнаружении рака молочной железы.
В статье проведён анализ актуальных исследований, посвящённых использованию методов машинного обучения при диагностике рака молочной железы, по трём направлениям: используемых для решения вспомогательных задач, возникающих в современной диагностике рака молочной железы, выступающих в качестве интеллектуальной оценки состояния пациента для предварительных диагностических решений и определяющих факторы риска рака молочной железы.
Анализ показал, что использование методов машинного обучения при диагностике рака молочной железы предоставляет большие возможности для улучшения точности и эффективности диагностики, а также позволяет решать дополнительные задачи.
В результате анализа литературы были выявлены признаки, которые используются в качестве входных данных в методах машинного обучения. В дальнейшем собранная информация будет использована при построении системы признаков для диагностики рака молочной железы методами машинного обучения.
578-591
Рентгенологическая оценка дивертикула чашечки почки, проявляющегося гематурией
Аннотация
Дивертикулы чашечки почки, также известные как пиелогенные кисты, относятся к достаточно редким заболеваниям. Обычно наличие таких кист не сопровождается какими-либо симптомами, а диагноз устанавливается случайно во время планового визуализирующего исследования. Однако в некоторых случаях могут развиваться тревожные симптомы, такие как гематурия и боль в боку, похожие на симптомы опухоли почки. В этой статье описывается клинический случай пациента с гематурией, которую первоначально сочли проявлением злокачественного новообразования почки, однако в последующем связали с наличием дивертикула чашечки. Представленные данные позволяют ознакомиться с одной из самых редких и недооценённых причин развития гематурии. Кроме того, в статье описаны основные рентгенологические особенности дивертикулов чашечек почки. В частности, пациенту были проведены ультразвуковое исследование, компьютерная томографическая урография, двухэнергетическая компьютерная томография и магнитно-резонансная урография. Описание данного клинического случая также преследует образовательные цели.
592-600
Клинические случаи и серии клинических случаев
Клинический случай лёгкого неврологического дефицита при обширном поражении субдоминантного полушария мозга после инсульта с анализом магнитно-резонансной трактографии, функциональной магнитно-резонансной томографии, электроэнцефалографии
Аннотация
Повреждения различных участков головного мозга, включая кору, могут значительно различаться по степени выраженности обусловленного ими неврологического дефицита и снижения качества жизни, часто независимо от объёма поражения. Большую роль играет локализация патологических изменений. Известно, что поражения доминантного и субдоминантного полушарий могут значительно различаться как по клинической картине, так и по степени снижения качества жизни пациента.
В рассматриваемом клиническом случае пациента, поступившего на реабилитацию после двух перенесенных ишемических инсультов, были проведены осмотры невролога и нейропсихолога, комплексное инструментальное исследование с применением электроэнцефалографии, магнитно-резонансной томографии, компьютерной томографии с оценкой перфузии, магнитно-резонансной трактографии , функциональной магнитно-резонансной томографии. У пациента наблюдался минимальный парез левых конечностей, нарушение произвольной регуляции деятельности, снижение нейродинамических показателей лёгкой степени выраженности, негрубого снижения внимания и критического отношения к своему состоянию. По результатам нейровизуализации были обнаружены признаки обширного постинфарктного повреждения правого субдоминантного полушария головного мозга в бассейне средней мозговой артерии.
Показано несоответствие объёма поражения мозга и тяжести клинических проявлений, проанализированы возможные причины имеющих место несоответствий. На основании данных функциональных исследований определено доминантное полушарие и предположен возможный вариант перестройки функциональных центров. Проведено сравнение с похожими клиническими случаями, проанализирована их связь с представленным в настоящей статье. Получены сведения, которые расширяют представления о топике изменённых зон, отвечающих за реализацию двигательной, речевой функций и способность к арифметическому счёту.
601-612
Диагноз ишемии яичек у пациента молодого возраста с жалобами на боль в мошонке слева: потенциально смертельное осложнение эпидидимита
Аннотация
В редких случаях острый эпидидимит сопровождается развитием ишемии и инфаркта яичек. Отличить эпидидимит от перекрута яичка по клиническим признакам и результатам визуализации достаточно непросто. В данной статье мы постарались расширить библиотеку цифровых изображений методов лучевой диагностики, используемых для быстрой и точной дифференциальной диагностики. Представленный случай подчёркивает важность комплексного лучевого обследования и необходимость междисциплинарного подхода для постановки точного диагноза. Мужчина, 24 года, обратился в больницу по поводу сильной боли в левом яичке, возникшей 2 недели назад. Со слов пациента, в течение некоторого времени у него наблюдались болезненные эякуляции, боль во время полового акта (диспареуния), покраснение/припухлость мошонки, воспаление половых органов, озноб, увеличение паховых лимфатических узлов, дизурия и боль в мошонке. По направлению уролога были проведены ультразвуковое исследование и магнитно-резонансная томография. Визуализационные исследования показали наличие ишемии левого яичка. С учётом данных анамнеза возникло подозрение на хронический орхоэпидидимит. Поскольку зона ишемии была ограниченной, пациенту не потребовалось проведения левосторонней орхидэктомии. Была назначена медикаментозная терапия. Кроме того, у пациента было выявлено левостороннее варикоцеле. Было проведено тщательное изучение изображений, полученных в различных последовательностях магнитно-резонансной томографии. В настоящей работе описан редкий случай орхоэпидидимита, который представляет собой потенциально опасное осложнение эпидидимита. Во избежание серьёзных последствий вероятность данного осложнения следует учитывать при возникновении внезапной сильной боли в мошонке. В описании данного случая представлена информация, которая позволит оптимизировать подходы к ведению пациента и избежать ненужных вмешательств.
613-622
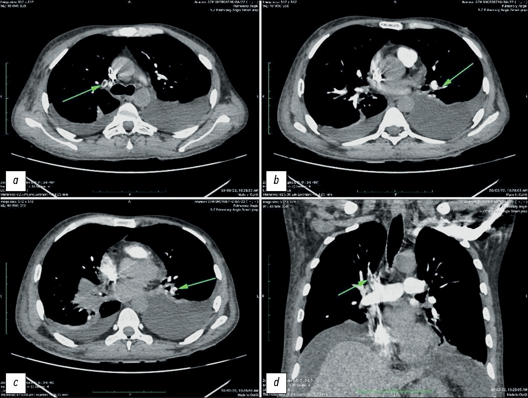
Псевдоаневризма лёгочной артерии у молодого человека с лёгочной гипертензией по данным компьютерной томографической ангиографии
Аннотация
Псевдоаневризмы и аневризмы лёгочной артерии — нечастые нарушения, однако связанные с ними осложнения подчеркивают важность их распознавания. В данной публикации представлен клинический случай пациента 15 лет, который поступил в клинику с жалобами на кровохарканье. При диагностике была обнаружена аневризма артерии левого лёгкого. Результаты последующей компьютерной томографической ангиографии и вмешательства на лёгочных артериях подтвердили наличие аневризмы лёгочной артерии, что позволило предположить, что кровохарканье было вызвано разрывом аневризмы. Вмешательство на лёгочной артерии подтвердило диагноз. Раннее выявление и лечение аневризмы лёгочной артерии имеют решающее значение, особенно у молодых пациентов, так как своевременное вмешательство может предотвратить тяжёлые осложнения и улучшить исход заболевания. Повышение осведомлённости об этих сосудистых нарушениях и их своевременное устранение с помощью соответствующих диагностических мер и вмешательств может помочь медицинским работникам эффективно снизить потенциальные риски, связанные с аневризмами лёгочной артерии, и тем самым улучшить точность их прогноза и качество оказываемой пациентам медицинской помощи.
623-631
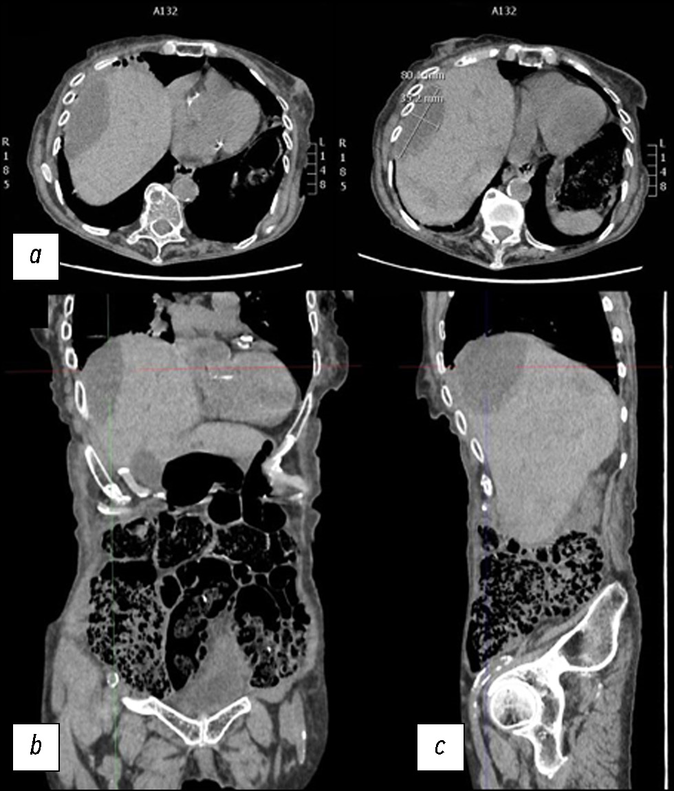
Случай спонтанного разрыва печени и роль визуализации: от компьютерной томографии до интервенционного лечения
Аннотация
Разрыв паренхимы печени — редкое, но потенциально смертельное состояние, которое может быть вызвано травмой, ятрогенными факторами, спонтанными причинами и так далее. В данной статье описан клинический случай, в котором представлены диагностические и терапевтические меры, применённые в ходе лечения пациентки со спонтанным разрывом паренхимы печени. Пожилая женщина поступила в отделение неотложной помощи с болью в животе диффузного характера. После клинического обследования ей была проведена компьютерная томография. По результатам первой компьютерной томографии не выявили полномасштабного разрыва паренхимы. Из-за неоднозначности данных, указывающих на то, что боль в животе могла быть вызвана почечной или желчной коликой, поставить ранний диагноз было очень проблематично. В паренхиме печени было обнаружено лишь несколько гиподенсных образований овальной формы, наполненных жидкостью повышенной плотности. Однако боль сохранялась в течение нескольких дней, и ввиду ухудшения состояния пациентки были проведены дополнительные рентгенологические исследования, по результатам которых выявили разрыв паренхимы печени. Это потребовало в дальнейшем применения метода артериографии, а также длительного пребывания в стационаре до клинического разрешения.
632-641
Диагностические ошибки при магнитно-резонансной томографии первичных внемозговых опухолей: серия клинических случаев
Аннотация
Первичные внемозговые опухоли представлены доброкачественными и злокачественными новообразованиями мозговых оболочек и черепных нервов. Их предоперационная дифференциальная диагностика основана на анализе семиотики магнитно-резонансной томографии. Критически важными моментами, позволяющими классифицировать опухоли данной группы, являются следующие признаки: структура образования, характер контрастирования, отграничение образования от мозговой ткани, наличие взаимосвязи с мозговыми оболочками или черепными нервами.
Провести дифференциальную диагностику различных типов первичных внемозговых опухолей на основе визуального анализа данных магнитно-резонансной томографии в большинстве случаев, при типичных признаках семиотики, не представляет затруднений. При атипичных проявлениях на магнитно-резонансной томографии надёжное разграничение опухолей бывает затруднительно. Наибольшую сложность при этом представляет дифференциация менингиом различной степени злокачественности, разграничение солитарных фиброзных опухолей и менингиом и установление типа опухоли при её локализации в мостомозжечковых углах.
Представлена серия наблюдений, содержащая наиболее типичные ситуации, приводящие к ошибкам дифференциальной диагностики первичных внемозговых опухолей на основании данных магнитно-резонансной томографии. Все представленные образования были верифицированы по результатам постоперационного гистологического исследования.
Анализ приведённых клинических примеров показывает, что рассмотрение всей совокупности признаков семиотики может уменьшить количество диагностических ошибок.
642-655
Особенности вторичной ангиосаркомы молочной железы: клинический случай
Аннотация
В настоящей статье описан редкий случай вторичной ангиосаркомы молочной железы у 72-летней женщины с раком молочной железы в анамнезе. Пациентка обратилась в нашу клинику с безболезненным пальпируемым образованием в верхнем наружном квадранте левой молочной железы и прошла комплексное диагностическое обследование, которое включало консультации маммолога, патологоанатома и онколога. С помощью инструментальных методов диагностики, а именно маммографии, ультразвукового исследования и магнитно-резонансной томографии, удалось оценить степень распространённости опухоли, поражение лимфатических узлов и наличие отдалённых метастазов. Результаты биопсии ткани подтвердили диагноз. Основная цель рассмотрения этого редкого случая в настоящей статье является образовательной и состоит в описании клинической картины и комплексной диагностики заболевания, а также в обсуждении дифференциальных диагнозов и тактики его лечения. Вторичная ангиосаркома молочной железы — редкое и агрессивное новообразование, и для принятия корректных клинических решений и улучшения исходов у пациентов необходимо понимать его уникальные особенности. Для опухоли характерен менее благоприятный прогноз по причине её выявления на поздней стадии, повышенного риска быстрого образования отдалённых метастазов и ограниченного выбора вариантов лечения. В таких случаях требуются тщательное наблюдение за состоянием пациента, агрессивные тактики лечения и паллиативная помощь.
656-663
