Prediction of the efficacy of neoadjuvant chemoradiotherapy in patients with rectal cancer based on a texture analysis of T2-weighted magnetic resonance tumor image obtained at primary staging
- Authors: Dayneko Y.A.1, Berezovskaya T.P.1, Mirzeabasov O.A.2, Starkov S.O.2, Myalina S.A.1, Nevolskikh A.A.1, Ivanov S.А.1,3, Kaprin A.D.3,4,5
-
Affiliations:
- A.F. Tsyb Medical Radiology Research Centre, National Medical Research Radiological Center
- National Research Nuclear University MEPhI (Moscow Engineering Physics Institute)
- Peoples’ Friendship University of Russia
- P.A. Herzen Moscow Research Institute of Oncology, National Medical Research Radiological Center
- National Medical Research Radiological Centre
- Issue: Vol 5, No 3 (2024)
- Pages: 421-435
- Section: Original Study Articles
- URL: https://ogarev-online.ru/DD/article/view/310028
- DOI: https://doi.org/10.17816/DD628304
- ID: 310028
Cite item
Full Text
Abstract
BACKGROUND: Recently, significant efforts have been undertaken to find potential noninvasive biomarkers for predicting the response of locally advanced rectal cancer to neoadjuvant chemoradiotherapy.
AIM: To assess the texture characteristics of locally advanced rectal cancer in primary T2-weighted imaging (T2-WI) as a potential predictor for the efficacy of standard neoadjuvant chemoradiotherapy and develop a prediction system for the efficacy of neoadjuvant chemoradiotherapy based on them.
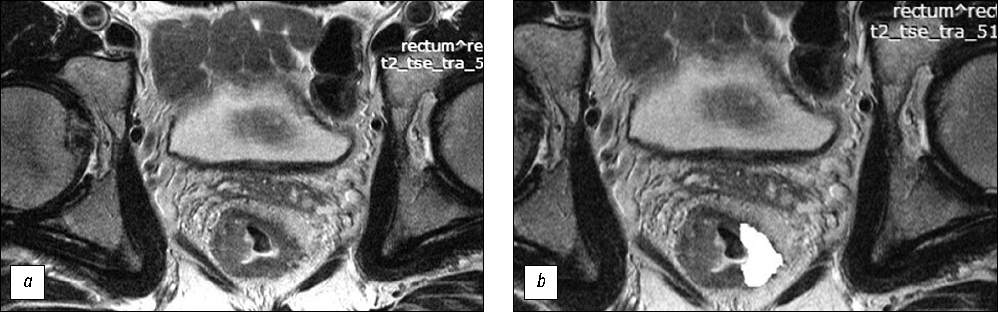
MATERIALS AND METHODS: The retrospective study enrolled 82 patients with locally advanced rectal cancer who received combination treatment with neoadjuvant chemoradiotherapy. Patient data were divided into the training (n=58) and control (n=24) sets. For texture analysis, primary high-resolution T2-WI at the level of the tumor center, oriented perpendicular to the intestinal wall, was used. The texture analysis was performed by second-order statistics based on the gray-level co-occurrence matrices using MAZDA ver. 4.6 featuring the calculation of 11 texture parameters. In the training set, based on the morphological assessment of surgical specimens, significantly different texture analysis parameters were found for two groups of patients: neoadjuvant chemoradiotherapy responders (good prognosis group) and nonresponders (poor prognosis group). Accordingly, a scoring system was created for assessing the efficacy of neoadjuvant chemoradiotherapy. The system was tested on the control set, and diagnostic efficacy parameters were determined.
RESULTS: In the training set, the good and poor prognosis groups differed significantly in five texture parameters: AngScMom (p=0.021), SumofSqs (p=0.003), SumEntrp (p=0.003), Entropy (p=0.038), and SumVarnc (p=0.015), for which the cutoff points were found. These parameters were applied to create the scoring system (excluding the Entropy parameter, which had a strong direct correlation with SumEntrp and the lowest area under the curve, and SumofSqs, which had low reproducibility). The diagnostic efficiency of the scoring system for predicting the response had sensitivity, specificity, positive-predictive value, and negative- predictive value of 72%, 69%, 70%, and 71% for the training set and 80%, 64%, 62%, and 82% for the control set, respectively. The areas under the ROC curve were 0.77 and 0.72 for the training and control sets, respectively.
CONCLUSIONS: Texture analysis of the primary T2-WI of tumors in patients with locally advanced rectal cancer allows for predicting the efficacy of neoadjuvant chemoradiotherapy with moderate diagnostic efficiency. The results suggest good prospects for further research in this area.
Full Text
##article.viewOnOriginalSite##About the authors
Yana A. Dayneko
A.F. Tsyb Medical Radiology Research Centre, National Medical Research Radiological Center
Author for correspondence.
Email: vorobeyana@gmail.com
ORCID iD: 0000-0002-4524-0839
SPIN-code: 1841-7759
MD, Cand. Sci. (Medicine)
Russian Federation, ObninskTatiana P. Berezovskaya
A.F. Tsyb Medical Radiology Research Centre, National Medical Research Radiological Center
Email: tberezovska@yahoo.com
ORCID iD: 0000-0002-3549-4499
SPIN-code: 5837-3465
MD, Dr. Sci. (Medicine), Professor
Russian Federation, ObninskOleg A. Mirzeabasov
National Research Nuclear University MEPhI (Moscow Engineering Physics Institute)
Email: oami@yandex.ru
ORCID iD: 0000-0001-5587-2795
SPIN-code: 3820-4320
MD, Assistant Professor
Russian Federation, ObninskSergey O. Starkov
National Research Nuclear University MEPhI (Moscow Engineering Physics Institute)
Email: sergeystarkov56@mail.ru
ORCID iD: 0000-0002-0420-7856
Dr. Sci. (Physical and Mathematical), Professor
Russian Federation, ObninskSofiya A. Myalina
A.F. Tsyb Medical Radiology Research Centre, National Medical Research Radiological Center
Email: samyalina@mail.ru
ORCID iD: 0000-0001-6686-5419
SPIN-code: 9668-3834
Russian Federation, Obninsk
Aleksey A. Nevolskikh
A.F. Tsyb Medical Radiology Research Centre, National Medical Research Radiological Center
Email: editor@omnidoctor.ru
ORCID iD: 0000-0001-5961-2958
SPIN-code: 3787-6139
MD, Dr. Sci. (Medicine)
Russian Federation, ObninskSergey А. Ivanov
A.F. Tsyb Medical Radiology Research Centre, National Medical Research Radiological Center; Peoples’ Friendship University of Russia
Email: oncourolog@gmail.com
ORCID iD: 0000-0001-7689-6032
SPIN-code: 4264-5167
MD, Dr. Sci. (Medicine), Professor, corresponding member of the Russian Academy of Sciences
Russian Federation, Obninsk; MoscowAndrey D. Kaprin
Peoples’ Friendship University of Russia; P.A. Herzen Moscow Research Institute of Oncology, National Medical Research Radiological Center; National Medical Research Radiological Centre
Email: contact@nmicr.ru
ORCID iD: 0000-0001-8784-8415
SPIN-code: 1759-8101
MD, Dr. Sci. (Medicine), Professor, academician of the Russian Academy of Sciences
Russian Federation, Moscow; Moscow; MoscowReferences
- Berdov BA, Erigin DV, Nevolskykh AA, et al. Multidiciplinary approach to the treatment of rectal cancer. Oncology Bulletin Volga region. 2015;(4):21–28. EDN: UKTSNJ
- Maistrenko NA, Galkin VN, Erygin DV, Sazonov AA. Neoadjuvant chemoradiotherapy in combined treatment of patients with rectal cancer. Grekov’s Bulletin Surg. 2017;176(4):31–38. EDN: ZDQHMV doi: 10.24884/0042-4625-2017-176-4-31-38
- Berdov BA, Erygin DV, Nevolskikh AA, et al. Neoadjuvant therapy for locally advanced rectal cancer. P.A. Herzen J Oncology. 2018;3(7):9–15. EDN: XSLIJN doi: 10.17116/onkolog2018739
- Maas M, Nelemans PJ, Valentini V, et al. Long-term outcome in patients with a pathological complete response after chemoradiation for rectal cancer: A pooled analysis of individual patient data. Lancet Oncol. 2010;11(9):835–844. doi: 10.1016/S1470-2045(10)70172-8
- Petresc B, Lebovici A, Caraiani C, et al. Pre-treatment T2-WI based radiomics features for prediction of locally advanced rectal cancer non-response to neoadjuvant chemoradiotherapy: A preliminary study. Cancers (Basel). 2020;12(7):1894. doi: 10.3390/cancers12071894
- Huh JW, Kim HC, Kim SH, et al. Tumor regression grade as a clinically useful outcome predictor in patients with rectal cancer after preoperative chemoradiotherapy. Surgery. 2019;165(3):579–585. doi: 10.1016/j.surg.2018.08.026
- Lambin P, Leijenaar RT, Deist TM, et al. Radiomics: The bridge between medical imaging and personalized medicine. Nat Rev Clin Oncol. 2017;14(12):749–762. doi: 10.1038/nrclinonc.2017.141
- Mayerhoefer ME, Materka A, Langs G, et al. Introduction to radiomics. J Nucl Med. 2020;61(4):488–495. doi: 10.2967/jnumed.118.222893
- Papanikolaou N, Matos C, Koh DM. How to develop a meaningful radiomic signature for clinical use in oncologic patients. Cancer Imaging. 2020;20(1):33. EDN: ROFXND doi: 10.1186/s40644-020-00311-4
- Schick U, Lucia F, Dissaux G, et al. MRI-derived radiomics: Methodology and clinical applications in the field of pelvic oncology. Br J Radiol. 2019;92(1104):20190105. doi: 10.1259/bjr.20190105
- Berezovskaya TP, Dayneko YaA, Nevolskikh AA, et al. A system for evaluating the effectiveness of neoadjuvant chemoradiotherapy in patients with colorectal cancer based on a texture analysis of post-therapeutic t2-wi magnetic resonance imaging. REJR. 2020;10(3):92–101. EDN: DCXHXG doi: 10.21569/2222-7415-2020-10-3-92-101
- Lubner MG, Smith AD, Sandrasegaran K, et al. CT texture analysis: Definitions, applications, biologic correlates, and challenges. Radiographics. 2017;37(5):1483–1503. doi: 10.1148/rg.2017170056
- Rogers W, Thulasi Seetha S, Refaee TA, et al. Radiomics: From qualitative to quantitative imaging. Br J Radiol. 2020;93(1108):20190948. doi: 10.1259/bjr.20190948
- Capobianco E, Dominietto M. From medical imaging to radiomics: Role of data science for advancing precision health. J Pers Med. 2020;10(1):15. doi: 10.3390/jpm10010015
- Dagogo-Jack I, Shaw AT. Tumour heterogeneity and resistance to cancer therapies. Nat Rev Clin Oncol. 2018;15(2):81–94. doi: 10.1038/nrclinonc.2017.166
- Lušnikov EF. Therapeutic pathomorphosis of tumors. In: Kraevskiy NA, Smolyannikova AV, Sarkisova DS, editors. Pathoanatomical diagnosis of human tumors. Moscow: Meditsina; 1993. (In Russ.)
- Miranda J, Horvat N, Assuncao AN, et al. MRI-based radiomic score increased mrTRG accuracy in predicting rectal cancer response to neoadjuvant therapy. AbdomRadiol (NY). 2023;48(6):1911–1920.EDN: IYPGFF doi: 10.1007/s00261-023-03898-x
- Wen L, Liu J, Hu P, et al. MRI-based radiomic models outperform radiologists in predicting pathological complete response to neoadjuvant chemoradiotherapy in locally advanced rectal cancer. AcadRadiol. 2023;30(Suppl. 1):S176–S184. EDN: TYUIWX doi: 10.1016/j.acra.2022.12.037
- Tomaszewski MR, Dominguez-Viqueira W, Ortiz A, et al. Heterogeneity analysis of MRI T2 maps for measurement of early tumor response to radiotherapy. NMR Biomed. 2021;34(3):e4454.EDN: NWLELG doi: 10.1002/nbm.4454
- Stanzione A, Verde F, Romeo V, et al. Radiomics and machine learning applications in rectal cancer: Current update and future perspectives. World J Gastroenterol. 2021;27(32):5306–5321. doi: 10.3748/wjg.v27.i32.5306
- Cui Y, Yang X, Shi Z, et al. Radiomics analysis of multiparametric MRI for prediction of pathological complete response to neoadjuvant chemoradiotherapy in locally advanced rectal cancer. Eur Radiol. 2019;29(3):1211–1220. EDN: ATAEHX doi: 10.1007/s00330-018-5683-9
- Huang H, Han L, Guo J, et al. Multiphase and multiparameter MRI-based radiomics for prediction of tumor response to neoadjuvant therapy in locally advanced rectal cancer. Radiat Oncol. 2023;18(1):179. EDN: ICLFRG doi: 10.1186/s13014-023-02368-4
- Zhou X, Yu Y, Feng Y, et al. Attention mechanism based multi-sequence MRI fusion improves prediction of response to neoadjuvant chemoradiotherapy in locally advanced rectal cancer. Radiat Oncol. 2023;18(1):175. EDN: DIHCZQ doi: 10.1186/s13014-023-02352-y
- Santini D, Danti G, Bicci E, et al. Radiomic features are predictive of response in rectal cancer undergoing therapy. Diagnostics. 2023;13(15):2573. EDN: CWBCMS doi: 10.3390/diagnostics13152573
- Giannini V, Mazzetti S, Bertotto I, et al. Predicting locally advanced rectal cancer response to neoadjuvant therapy with 18F-FDG PET and MRI radiomics features. Eur J Nucl Med Mol Imaging. 2019;46(4):878–888. EDN: PVETLQ doi: 10.1007/s00259-018-4250-6
- Gelezhe PB, Blokhin IA, Semenov SS, Caruso D. Magnetic resonance imaging radiomics in prostate cancer radiology: What is currently known? Digital Diagnostics. 2021;2(4):441−452.EDN: FFFGWI doi: 10.17816/DD70170
- Tibermacine H, Rouanet P, Sbarra M, et al. GRECCAR Study Group. Radiomics modelling in rectal cancer to predict disease-free survival: Evaluation of different approaches. Br J Surg. 2021;108(10):1243–1250. doi: 10.1093/bjs/znab191
- Miranda J, Wang L, Wu X, et al. MRI-based pre-radiomics and delta-radiomics models accurately predict the post-treatment response of rectal adenocarcinoma to neoadjuvant chemoradiotherapy. Front Oncol. 2023;(13):1133008. EDN: XYMVTJ doi: 10.3389/fonc.2023.1133008
- Haralick RM. Statistical and structural approaches to texture. IEEE. 1979;67(5):768–804. doi: 10.1109/PROC.1979.11328
- Mayerhoefer ME, Szomolanyi P, Jirak D, et al. Effects of MRI acquisition parameter variations and protocol heterogeneity on the results of texture analysis and pattern discrimination: An application-oriented study. Med Phys. 2009;36(4):1236–1243. doi: 10.1118/1.3081408
- Shayesteh S, Nazari M, Salahshour A, et al. Treatment response prediction using MRI-based pre-, post-, and delta-radiomic features and machine learning algorithms in colorectal cancer. Med Phys. 2021;48(7):3691–3701. doi: 10.1002/mp.14896
- Song M, Li S, Wang H, et al. MRI radiomics independent of clinical baseline characteristics and neoadjuvant treatment modalities predicts response to neoadjuvant therapy in rectal cancer. Br J Cancer. 2022;127(2):249–257. EDN: BCDXXD doi: 10.1038/s41416-022-01786-7
- Yardimci AH, Kocak B, Sel I, et al. Radiomics of locally advanced rectal cancer: Machine learning-based prediction of response to neoadjuvant chemoradiotherapy using pre-treatment sagittal T2-weighted MRI. JPN J Radiol. 2023;41(1):71–82. EDN: PSFYUW doi: 10.1007/s11604-022-01325-7
Supplementary files








