Том 4, № 4 (2023)
- Год: 2023
- Статей: 14
- URL: https://ogarev-online.ru/DD/issue/view/16848
- DOI: https://doi.org/10.17816/DD.44
Оригинальные исследования
Сравнение мультипараметрического и бипараметрического протоколов магнитно-резонансной томографии для выявления рака предстательной железы рентгенологами с различным опытом
Аннотация
Обоснование. Проведение магнитно-резонансной томографии позволяет выявить клинически значимый рак предстательной железы, диагностировать экстракапсулярную экстензию, стадировать онкологический процесс. Протокол сканирования, включающий только Т2-взвешенные и диффузионно-взвешенные изображения, представляет собой жизнеспособную альтернативу мультипараметрической магнитно-резонансной томографии при условии сохранения высокой диагностической точности теста. В недавних исследованиях диагностическая точность бипараметрической и мультипараметрической магнитно-резонансной томографии в выявлении рака предстательной железы продемонстрировала незначительные различия.
Цель ― сравнение диагностической точности бипараметрической и мультипараметрической магнитно-резонансной томографии для выявления клинически значимого рака предстательной железы по системе PI-RADS v2.1 с использованием мультифокальной биопсии под контролем магнитно-резонансной томографии в качестве золотого стандарта.
Материалы и методы. Данное исследование является ретроспективным. Мы изначально обработали записи историй болезни 126 пациентов. Критериями включения в исследование были наличие мультипараметрической магнитно-резонансной томографии по стандарту PI-RADS 2.1, клинической информации об уровнях свободного и связанного простатспецифического антигена крови, мультифокальной биопсии предстательной железы при соблюдении временного интервала между магнитно-резонансной томографией и биопсией не более 14 дней. Три исследователя (врачи-рентгенологи с опытом работы менее 2 лет, от 2 до 5 лет, более 5 лет соответственно) независимо друг от друга оценивали бипараметрическую магнитно-резонансную томографию предстательной железы на предмет наличия патологических очагов. Спустя 2 недели исследователи оценивали датасет мультипараметрической магнитно-резонансной томографии предстательной железы. Каждый выявленный очаг, начиная с категории PI-RADS 3, сопоставлялся с результатом мультифокальной фьюжн-биопсии. Результат биопсии представлялся в виде суммы значений по шкале Gleason, при этом к клинически значимым данным биопсии относилась сумма Gleason 7 и выше. Опухолевыми очагами по данным магнитно-резонансной томографии считались находки, соответствующие критериям PI-RADS 4 и 5.
Результаты. Наилучшие показатели чувствительности и специфичности выявления очагов на магнитно-резонансной томографии предстательной железы ― 62,5 и 74,6% соответственно. Наивысшая достигнутая диагностическая точность составила 70,1%. Мультипараметрическая магнитно-резонансная томография обладает более высокими показателями специфичности выявления очагов предстательной железы при интерпретации рентгенологами с опытом работы менее 2 лет и более 5 лет.
Заключение. Как бипараметрическая, так и мультипараметрическая магнитно-резонансная томография предстательной железы продемонстрировала неоптимальные показатели диагностической точности. Имеется тенденция к улучшению чувствительности и специфичности метода с увеличением опыта работы рентгенолога. Бипараметрические протоколы сканирования предстательной железы имеют безусловное экономическое преимущество перед мультипараметрическими за счёт отсутствия расходов на контрастное вещество и расходные материалы и значительного снижения времени загрузки МР-сканера, однако их использование может привести к снижению диагностической точности метода.
455-466
Структурные изменения серого вещества при вариантах первичной прогрессирующей афазии
Аннотация
Обоснование. Первичная прогрессирующая афазия — редкое нейродегенеративное заболевание, гетерогенность которого значительно усложняет его диагностику. Воксель-ориентированная морфометрия позволяет объективно оценить поражение серого вещества головного мозга и определить паттерны атрофии, характерные для каждого из вариантов заболевания, что может улучшить его диагностику, а также использоваться в изучении патогенеза.
Цель — выявить паттерны атрофии при каждом из вариантов первичной прогрессирующей афазии в сравнении с контрольной группой.
Материалы и методы. В основную группу были включены пациенты с диагнозом одного из вариантов первичной прогрессирующей афазии, установленных в соответствии с действующими диагностическими критериями. Группу контроля составили здоровые добровольцы без неврологических проявлений и структурных изменений головного мозга. Всем участникам проводилась магнитно-резонансная томография головного мозга с последующей постобработкой изображений и проведением воксель-ориентированной морфометрии со сравнением объёма серого вещества между каждым из вариантов заболевания и контрольной группой. Исследование проводилось с поправкой на пол, возраст и интракраниальный объём участников.
Результаты. В исследование были включены 25 пациентов с аграмматическим, 11 — c семантическим и 9 — c логопеническим вариантами первичной прогрессирующей афазии, а также 20 здоровых добровольцев. Воксель-ориентированная морфометрия показала, что для каждого варианта характерен свой паттерн атрофии с преимущественным вовлечением лобной и островковой долей при аграмматическом, височной доли и гиппокампа — при семантическом и более диффузным лобно-височным паттерном — при логопеническом вариантах.
Заключение. В ходе исследования были выявлены паттерны атрофии головного мозга, характерные для каждого из вариантов первичной прогрессирующей афазии. В основном, полученные результаты соответствуют клиническим проявлениям заболевания. При этом отдельные находки (отсутствие атрофии задней перисильвиевой области, а также поражение моторной коры при логопеническом варианте; поражение орбитофронтальной коры и мозжечка при аграмматическом варианте; поражение премоторной коры, прецентральной и нижней лобной извилины при семантическом варианте) не соотносятся с привычным представлением о патогенезе первичной прогрессирующей афазии и требуют дальнейшего изучения.
467-480
Определение методом дельфийского консенсуса списка оцениваемых с помощью опросников параметров при наблюдении пациентов с воспалительными заболеваниями кишечника
Аннотация
Обоснование. Пациенты с воспалительными заболеваниями кишечника часто нуждаются в пожизненном наблюдении врача. Перспективным направлением таких услуг здравоохранения является телемедицинское наблюдение, часто основывающееся на оценке медицинским работником результатов удалённого анкетирования пациентов.
Цель. Используя дельфийский метод, определить список оцениваемых с помощью анкетирования параметров для последующего применения в наблюдении и лечении пациентов с воспалительными заболеваниями кишечника.
Материалы и методы. Экспертную группу участников исследования составили врачи-гастроэнтерологи с различным опытом работы. Для сбора информации была создана электронная форма опроса, при заполнении которой обязательно указывался стаж участника. Исследование состояло из трёх этапов. На первом этапе респонденты отвечали на открытый вопрос о том, какие параметры, оцениваемые с помощью опросников, необходимо мониторировать у пациентов с воспалительными заболеваниями кишечника. На втором этапе участники отвечали на тот же вопрос, выбирая пункты из предложенных, без ограничений по количеству. Третьим этапом исследования выполнен анализ полученных ответов. Первичной конечной точкой считалось достижение по каждому параметру консенсуса более чем 75% респондентов.
Результаты. В исследовании приняли участие 15 человек, из них 13,3% — мужчины. Из всех респондентов, 46% работают в амбулаторно-поликлинических организациях, 54% — в стационаре. Возрастной диапазон составил от 25 до 53 лет, при этом 53% участников имели стаж от 1 до 4 лет, 47% — от 17 до 29 лет. По результатам первого этапа ни один из параметров не достиг уровня согласия 75%. После второго этапа респонденты достигли согласия по 72% параметров. Связи между возрастом, полом, стажем респондентов, а также местом их работы и ответами как на первом, так и на втором этапах обнаружено не было.
Заключение. В итоговый список параметров, рекомендуемых для оценки во время лечения и наблюдения пациентов с ВЗК, вошли: боль в животе; частота дефекации и качество стула; наличие патологических примесей в кале; температура тела; боли в суставах/мышцах; качество сна; эмоциональное состояние: тревожность, настроение; трудоспособность для работающих/возможность посещать занятия для обучающихся; энергичность, количество сил; фиксированность на заболевании; общая оценка пациентом качества своей жизни; приверженность лечению.
481-491
Виртуальная платформа для имитационного компьютерного моделирования радионуклидной визуализации в ядерной кардиологии. Сравнение с клиническими данными
Аннотация
Обоснование. В области радионуклидной визуализации клинические исследования на людях in vivo ограничены из-за лучевой нагрузки и этических норм, поэтому всё возрастающее значение приобретают методы математического моделирования и имитационных компьютерных испытаний in silico, основанные на цифровых моделях. В англоязычной литературе этот подход получил название «Virtual clinical trials».
Цель — развитие программных средств для имитационного моделирования радионуклидной визуализации перфузии миокарда методом однофотонной эмиссионной компьютерной томографии, совмещённой с компьютерной томографией, с использованием радиофармацевтического препарата 99mTc-МИБИ, а также проведение исследований, направленных на повышение точности однофотонной эмиссионной компьютерной томографии.
Материалы и методы. Разработан программный комплекс «Виртуальная платформа для имитационных испытаний метода однофотонной эмиссионной компьютерной томографии, совмещённой с компьютерной томографией, в ядерной кардиологии» с использованием цифровых моделей пациента, сканера и оценки состояния миокарда с помощью цифровых изображений левого желудочка в виде «полярной карты». Выполнена верификация программного комплекса путём сравнения с клиническими данными, полученными в Национальном медицинском исследовательском центре кардиологии имени академика Е.И. Чазова (Москва). Проведены имитационные компьютерные испытания, в которых исследовалась точность оценки состояния миокарда в зависимости от подхода к нормализации полярной карты и учёта корректирующих факторов в алгоритме реконструкции.
Результаты. Результаты имитационных испытаний показали, что оценка перфузии миокарда левого желудочка существенно зависит от метода нормализации полярной карты и учёта корректирующих факторов в алгоритме реконструкции. Наиболее точные оценки были получены при расчёте коэффициента нормализации по усреднённому значению активности в нормальной зоне миокарда. Показано, что распространённый подход к нормализации по пикселю с максимальной интенсивностью может приводить к ошибкам. Результаты «виртуальных» испытаний полностью соответствовали клиническим наблюдениям.
Заключение. Переход от относительных нормализованных значений накопления активности в миокарде к абсолютным количественным оценкам может снять существующие ограничения и неопределённости и является главным условием повышения диагностической точности метода однофотонной эмиссионной компьютерной томографии, совмещённой с компьютерной томографией, в ядерной кардиологии.
492-508
Систематические обзоры
Скорость вымывания 99mTc-метокси-изобутил-изонитрила как маркёр митохондриальной дисфункции миокарда: систематический обзор и метаанализ
Аннотация
Обоснование. В обзоре изложены особенности фармакокинетики перфузионного радиофармпрепарата 99mTc-MIBI, которые позволяют оценить митохондриальную дисфункцию миокарда, а также показаны основные клинические точки приложения феномена ускоренного вымывания данного индикатора.
Цель. Систематизация данных фундаментальных (экспериментальных) и клинических исследований в области изучения и оценки митохондриальной дисфункции по результатам перфузионной сцинтиграфии миокарда; проведение метаанализа клинических исследований в данной области.
Материалы и методы. Поиск проводился в базах данных Pubmed, Scopus, Google Scholar и eLibrary до середины 2023. Были использованы ключевые слова, их комбинации и англоязычные аналоги: митохондриальная дисфункция, 99mTc-МИБИ, 99mTc-Тетрофосмин, перфузионная сцинтиграфия миокарда, обратное перераспределение, вымывание, скорость вымывания. При выполнении метаанализа для расчёта средней оценки разницы была использована модель случайных эффектов.
Результаты. Для систематического анализа было отобрано 40 статей: 13 — экспериментальные, 24 — оригинальные клинические работы, 2 — клинические случаи, 1 обзор. Для выполнения метаанализа было отобрано 6 исследований по дизайну «случай–контроль». Общее число пациентов, составивших основу систематического обзора, — 551; число пациентов, составивших основу метаанализа — 196. Анализ литературы показал, что выраженность феномена обратного перераспределения и скорость вымывания 99mTc-MIBI взаимосвязаны с микроструктурой митохондрий и миокарда, сократимостью и гемодинамикой левого желудочка, уровнем натрийуретических пептидов, толерантностью к физическим нагрузкам, тяжестью коронарного атеросклероза, окислительным метаболизмом миокарда, уровнем риска сердечно-сосудистых событий. Метаанализ показал, что скорость вымывания статистически значимо повышена у лиц с патологией сердца, по отношению к контролю (средняя оценка разницы 9,5771 (95% доверительный интервал: от 6,6001 до 12,5540; z=6,3053; p <0,0001).
Заключение. Оценка функции митохондрий по данным оценки вымывания 99mTc-MIBI может предоставить дополнительные сведения о функциональном состоянии сердечной мышцы.
509-528
Магнитно-резонансная томография в дифференциальной диагностике первичных внемозговых опухолей: обзор радиомических исследований
Аннотация
Обоснование. Анализ данных магнитно-резонансной томографии является основным методом для предоперационной дифференциальной диагностики первичных внемозговых опухолей. Однако точное их разграничение только на основе визуальной оценки этих данных может быть затруднительно.
Радиомика — это количественный подход к анализу данных медицинских изображений, позволяющий выявить взаимосвязь данных визуализации с фенотипическими и генотипическими особенностями опухолей.
Ранее в ряде аналитических публикаций проводилось обобщение результатов исследований, посвящённых дифференциальной диагностике первичных внемозговых опухолей на основе принципов радиомики. Быстрое накопление новых клинических примеров и увеличение количества исследований по данной проблеме обуславливают необходимость их дальнейшего анализа и систематизации, что и послужило основанием для выполнения настоящей работы.
Цель — систематизировать существующие данные о возможностях радиомики для дифференциальной диагностики первичных внемозговых опухолей.
Материалы и методы. Проведены поиск и анализ публикаций на русском и английском языках за последние пять лет. Поиск осуществлялся в системах PubMed/Medline, Google Scholar и еLibrary. В окончательный анализ включено 19 публикаций, касающихся дифференциальной диагностики первичных внемозговых опухолей, в которых были приведены радиомические признаки, использованные для дифференциальной диагностики новообразований.
Результаты. Во всех исследованиях было показано наличие взаимосвязи между радиомическими параметрами (текстурными и гистограммными) и типом опухоли. Эффективность дифференциальной диагностики опухолей радиомическими моделями превосходила эффективность классификации новообразований рентгенологами.
Наиболее часто использовались следующие алгоритмы для создания математичесиких моделей классификации опухолей на основе радиомических параметров: метод опорных векторов, логистическая регрессия, случайный лес. Методы опорных векторов и логистической регрессии продемонстрировали лучшие и более стабильные результаты.
Заключение. Использование концепции радиомики показывает многообещающие результаты в дифференциальной диагностике первичных внемозговых опухолей. Дальнейшее развитие этого направления требует стандартизации как методов сегментации, так и набора признаков, а также эффективного метода математического моделирования.
529-542
Обзоры
Современный взгляд на основные аспекты подготовки пациентов с дифференцированным раком щитовидной железы к радиойодтерапии: научный обзор
Аннотация
Рак щитовидной железы — наиболее распространённая опухоль эндокринной системы, составляющая 1–3% всех злокачественных новообразований (по состоянию на 2021 год). В 90% случаев выявляют дифференцированные формы — папиллярный и фолликулярный варианты — обладающие относительно благоприятным прогнозом.
Комбинация хирургического лечения и последующей супрессивной гормональной терапии, радиойодтерапии, обеспечивают благоприятный прогноз у пациентов с высокодифференцированным раком щитовидной железы. Тем не менее сохраняется вероятность недостаточного ответа на радиойодтерапию, что может быть ассоциировано со многими факторами, включая этап подготовки к её проведению. На сегодняшний день сохраняется актуальным вопрос о выборе оптимального метода подготовки пациента к терапии радиоактивным йодом.
В публикации представлен обзор научной литературы, посвящённой аспектам подготовки пациента с высокодифференцированным раком щитовидной железы к проведению терапии радиоактивным йодом. Освещены и обобщены принципы подготовки пациентов на основании рекомендаций ведущих экспертных сообществ и публикаций по данной теме, приняты во внимание нежелательные явления, ассоциированные с радиойодтерапией, качество жизни пациентов, эффективность и отдалённые результаты лечения.
Основная цель обзора — составить целостное представление о методах подготовки пациента с высокодифференцированным раком щитовидной железы к проведению радиойодтерапии, осветить существующие проблемы и перспективные направления исследований с целью модернизации лечения в сторону персонализированной терапии.
Был проведен поиск научных статей и обзоров, опубликованных до конца января 2023 года, в базах данных National Library of Medicine, The Cochrane Library и Google Scholar по следующим ключевым словам: подготовка к радиойодтерапии, тиреотропин альфа, отмена тиреоидных гормонов, побочные эффекты, йод-ограниченная диета, сиалоаденит, первичный гипотиреоз, качество жизни, тиреоидэктомия, дифференцированный рак щитовидной железы, эффективность радиойодтерапии — в их различных комбинациях. Использовались рекомендации по высокодифференцированному раку щитовидной железы следующих научных сообществ: Российские клинические рекомендации по высокодифференцированному раку щитовидной железы, American Thyroid Association, European Thyroid Association, The National Comprehensive Cancer Network, European Association of Nuclear Medicine, British Thyroid Association, European Society for Medical Oncology. Критериями исключения были статьи, не доступные в полном объёме, не на английском или русском языках, систематические обзоры на аналогичную тему. Всего было отобрано и проанализировано 124 источника, выделены общие тенденции современного подхода к подготовке пациентов к терапии радиоактивным йодом и актуальные проблемы, освещены концепции оптимизации подготовки к радиойодтерапии в рамках персонализации терапии, сформированы результаты и выводы.
543-568
Антропоморфные фантомы молочной железы для лучевой диагностики: научный обзор
Аннотация
Фантомы молочной железы применяются для разработки, валидации и усовершенствования методов лучевой диагностики. В визуализации молочной железы антропоморфные модели используются для валидации, оценки и оптимизации новых методов диагностики заболеваний молочной железы, а также для контроля качества диагностических систем, совершенствования клинических протоколов и алгоритмов реконструкции изображений. Ключевым требованием к фантомам для решения этих задач является реалистичная имитация органа.
В обзоре описаны существующие на настоящий момент варианты фантомов молочной железы для лучевой диагностики и процесса их создания.
Поиск литературы, соответствующей теме обзора, производился в базах данных PubMed, eLibrary, а также в поисковой системе Google Scholar. Всего в обзор включено 72 статьи и 13 тезисов материалов конференций.
Все виды фантомов молочной железы можно разделить на два вида: вычислительные и физические. Вычислительные, в свою очередь, подразделяются на группы в зависимости от типа первичных данных: на основе математических моделей, из образцов тканей, с использований изображений медицинской визуализации молочной железы пациентки. Физические фантомы классифицируются в зависимости от способа изготовления: литья, 3D-печати или послойного формирования с использованием контрастных веществ. Основными преимуществами вычислительных фантомов являются универсальность, эффективность, точность и безопасность, а также возможность генерировать большие объёмы виртуальных данных. Физические фантомы позволяют получать наиболее реалистичные диагностические изображения без участия пациентов и проводить неограниченное число лучевых исследований.
569-592
Технические отчеты
Технологические дефекты программного обеспечения с искусственным интеллектом
Аннотация
Обоснование. Технологические дефекты в работе программного обеспечения с искусственным интеллектом являются критически важными при принятии решения о практической применимости и клинической ценности программного обеспечения с искусственным интеллектом.
Цель — анализ и систематизация технологических дефектов, возникающих при работе программного обеспечения с искусственным интеллектом для анализа медицинских изображений.
Материалы и методы. В рамках эксперимента по использованию инновационных технологий в области компьютерного зрения для анализа медицинских изображений и дальнейшего применения в системе здравоохранения города Москвы проводится мониторинг технологических параметров для всех участвующих решений как на этапе апробации, так и на этапе опытной эксплуатации. В статье представлена графическая информация о среднем числе технологических дефектов для профилактического направления, модальность «Маммография», за 2021 год. Этот период выбран как наиболее показательный, характеризующийся активным развитием программного обеспечения с искусственным интеллектом с позиции увеличения технической стабильности их работы. С целью оценки применимости подхода по выявлению технологических дефектов аналогичный анализ проводился для направления обнаружения внутричерепных кровоизлияний на компьютерных томограммах головного мозга за 2022–2023 годы.
Результаты. В ходе исследования было проанализировано программное обеспечение с искусственным интеллектом по модальностям «Маммография» (2 алгоритма) и «Компьютерная томография головного мозга» (1). Всего для модальности «Маммография» собрано 14 выборок по 20 исследований; для модальности «Компьютерная томография» — 12 выборок по 80 исследований. Для каждого типа дефекта были построены графики, а для каждой из модальностей были построены линии тренда. Коэффициенты уравнений линий трендов указывают на тенденцию к снижению числа технологических дефектов.
Заключение. Проведённый анализ позволяет проследить тенденцию к снижению числа технологических дефектов, что может свидетельствовать о доработке программного обеспечения с искусственным интеллектом и повышении его качества благодаря периодическому мониторингу. Кроме того, такой результат показывает универсальность использования как для профилактических методов, так и для экстренных.
593-604
Клинические случаи и серии клинических случаев
Трудности диагностики миокардита: клинический случай
Аннотация
Миокардит нередко является трудным для диагностики заболеванием сердца. Сложности его диагностики объясняются неспецифической симптоматикой или «стёртой» клинической картиной, отсутствием патогномоничных признаков при физикальном обследовании, а также тем обстоятельством, что эндомиокардиальная биопсия, являющаяся «золотым стандартом» диагностики, — это инвазивная процедура, которая проводится по строгим показаниям ограниченному количеству пациентов. Тем не менее, по мере развития лучевой диагностики у клиницистов появилась возможность неинвазивной диагностики симптомов воспалительного поражения миокарда, в том числе отёка и миокардиального фиброза, с помощью магнитно-резонансной томографии сердца.
В статье представлен клинический случай пациента молодого возраста с симптомами острого коронарного синдрома, у которого при этом не было выявлено признаков поражения коронарных артерий. С учётом повышения активности кардиоспецифических ферментов и уровней маркёров воспаления, выраженных изменений на электрокардиографии с положительной динамикой, а также факта перенесённой накануне инфекции, был заподозрен миокардит. В результате проведения магнитно-резонансной томографии сердца в динамике диагноз был подтверждён. Таким образом, показана роль визуализирующей методики для дифференциальной диагностики ишемического и воспалительного поражения сердца.
605-615
Симптом «рисовых телец» при магнитно-резонансной томографии плечевого сустава у пациентки с ревматоидным артритом
Аннотация
Симптом «рисовых телец» при магнитно-резонансной томографии плечевого сустава у пациентов с ревматоидным артритом — редкая, но специфическая находка, характеризующаяся наличием в синовиальной жидкости сустава, синовиальных сумках или влагалищах множественных мелких округлых структур, схожих друг с другом, похожих на зёрнышки риса. Этиология «рисовых телец» до сих пор окончательно не ясна. Предполагается, что они образуются в результате микроинфарктов синовиальной оболочки у пациентов с ревматоидным артритом или некоторыми другими воспалительными заболеваниями суставов. Клинически наличие «рисовых телец» может вызывать у пациента болевой синдром, однако так происходит не всегда. Среди методов лучевой диагностики ведущей ролью для выявления «рисовых телец» обладает магнитно-резонансная томография.
В данной статье представлено описание клинического случая выявления этого симптома при магнитно-резонансной томографии плечевого сустава у пациентки с длительным анамнезом ревматоидного артрита, обратившейся в связи с безболезненным увеличением в объёме левого плеча. Выполненные исследования (компьютерная томография и магнитно-резонансная томография левого плечевого сустава) позволили обнаружить симптом «рисовых телец» как проявление основного заболевания и определить дальнейшую тактику лечения.
616-624
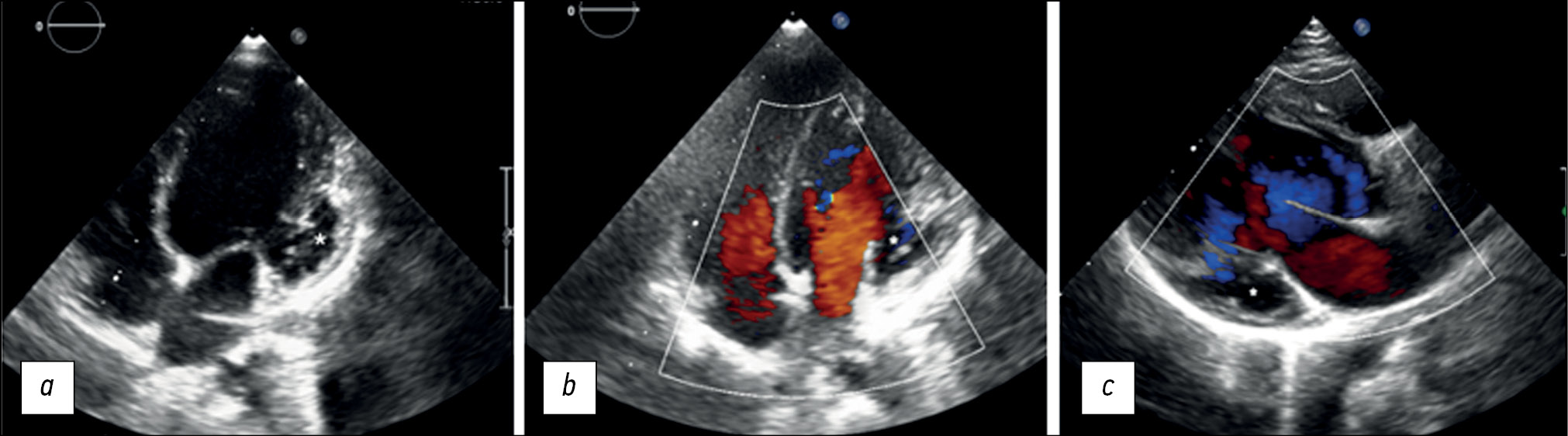
Некомпактный миокард и аневризма левого желудочка у 6-летнего ребёнка
Аннотация
Некомпактный миокард — редкий тип кардиомиопатии, часто сопровождающийся аневризмой желудочка. В статье описан клинический случай 6-летней девочки, поступившей в нашу клинику с жалобами на плохое самочувствие при физической нагрузке. Эхокардиография выявила выраженную трабекулярность стенки левого желудочка и выбухание в области базально-боковой стенки, что соотвествует аневризме и некомпактности миокарда левого желудочка. На магнитно-резонансной томографии сердца наличие некомпактности миокарда было подтверждено соотношением некомпактного слоя к компактному 2,6:1. Кроме того, была выявлена систолическая дисфункция и аневризма левого желудочка с рубцеванием миокарда. Коронарная ангиография исключила поражение коронарных артерий, что позволило предположить природу рубцевания эндомиокарда как результат нарушения микроциркуляции в некомпактном слое миокарда.
625-632
Ограничения использования гистологического исследования биоптатов как «золотого стандарта» диагностики на примере аденокарциномы пищевода: описание случая
Аннотация
Аденокарцинома пищевода — одно из самых распространённых злокачественных новообразований желудочно-кишечного тракта. Для выявления заболевания на ранних стадиях используют эндоскопические, морфологические, иммуногистохимические методы обследования, однако они требуют не только применения высокоспециализированного оборудования, но и зависят от профессионализма врача-эндоскописта и врача-патоморфолога.
В статье описано клиническое наблюдение пациента с прогрессирующей дисфагией, вызванной опухолью пищевода, распространяющейся на субкардиальный отдел желудка, которую не удавалось патоморфологически верифицировать в течение одного года. Данные эзофагогастродуоденоскопии, выполненной в медицинской организации по месту жительства, компьютерной томографии и рентгеноскопии пищевода с двойным контрастированием не оставляли сомнений в злокачественности новообразования, однако результаты многочисленных гистологических исследований свидетельствовали в пользу аденомы пилорических желёз, аденомы из париетальных, либо онкоцитарных клеток с фокусами дисплазии эпителия высокой степени. Эндоскопическое исследование с таргетированной биопсией в условиях специализированного учреждения позволило доказать злокачественность опухолевого процесса.
Результаты исследования демонстрируют важность клинической картины и инструментальных методов для постановки заключительного диагноза при противоречивых данных патоморфологических исследований и в очередной раз поднимают проблему ограничений гистологического исследования биоптатов как «золотого стандарта» диагностики злокачественных новообразований.
633-642
Сложность дифференциальной диагностики карциноматоза и туберкулёза брюшины у молодой пациентки с асцитом: описание случая
Аннотация
Сложность дифференциальной диагностики между туберкулёзом брюшины и карциноматозом брюшины заключается в схожести клинической картины, а также данных лабораторных и инструментальных методов обследования. Туберкулёз брюшины, так же, как и карциноматоз брюшины, может сопровождаться развитием асцита, конгломератов лимфоузлов и петель кишечника.
В статье описано клиническое наблюдение молодой пациентки, которая после вторых родов отметила появление интенсивных болей в шее, между лопатками. В дальнейшем, через два месяца с начала симптомов, пациентка перенесла пневмонию с положительным ответом на антибактериальную терапию. Ещё через два месяца она впервые отметила появление рецидивирующего асцита и гастроинтестинальной симптоматики. При обследовании были выявлены изменения яичников и признаки карциноматоза брюшины, а также очаги в лёгких. Однако нетипичная для карциноматоза брюшины клиническая картина и специфическое поражение лёгких позволили заподозрить туберкулёз множественных локализаций. Диагноз был подтверждён по данным лапароскопии с биопсией поражённых тканей и последующим гистологическим и лабораторным подтверждением этиологической роли Mycobacterium tuberculosis.
Описанный случай показывает важность использования всех доступных методов диагностики в установлении причин асцита у молодых пациенток для дифференциальной диагностики между специфической и неопластической этиологией.
643-652
