Постнатальный гистогенез интрамуральных ганглиев желудка в зависимости от типов питания в эксперименте
- Авторы: Вечканова Н.А., Бушукина О.С., Коробков Д.М.
- Выпуск: Том 5, № 1 (2017)
- Раздел: Статьи
- Статья получена: 21.02.2025
- Статья одобрена: 21.02.2025
- URL: https://ogarev-online.ru/2311-2468/article/view/280926
- ID: 280926
Цитировать
Полный текст
Аннотация
Проведен сравнительный морфологический анализ раннего постнатального онтогенеза (от рождения и до 4,5-месячного возраста) ганглиев нервного межмышечного сплетения рубца многокамерного желудка ягнят эдильбаевской породы, как находившихся на естественном вскармливании с овцематками, так и при искусственном с применением заменителя овечьего молока (ЗОМ) Кольво-Старт. Выявлены морфологические показатели адаптационно-компенсаторной перестройки нервной ткани.
Полный текст
На современном этапе актуальной проблемой большинства исследований является изучение адаптации у ряда млекопитающих, человека и животных, к различным факторам внешней среды [1; 2]. Характер их воздействия на живые системы очень разнообразен. Неослабевающий интерес к данной проблеме поддерживается в связи с отсутствием единства взглядов на проявление механизма адаптации. Известно, что нервная система одной из первых включается в механизм адаптации и, в то же время, является наиболее уязвимой [3; 4]. В первые дни после рождения жизнеспособность млекопитающих зависит не только от зрелости структурных компонентов органов пищеварительной системы, но и определяется интегративными процессами, регулирующими адаптогенез. В связи с чем целью настоящего исследования являлось изучение развития ганглиев межмышечного нервного сплетения стенки одного из главных отделов сложного желудка жвачных животных, находившихся в условиях искусственного вскармливания.
Материал и методы. Объектом исследования являлась стенка рубца овец четырех возрастных периодов: молочный, переходный, период адаптации к дефинитивному рациону. Для эксперимента было отобрано 35 голов животных, пять животных было убито сразу после рождения. Остальных распределили на контрольные и опытные группы. Ягнята контрольных групп кормились естественным методом овцематками. Ягнята опытных групп находились на искусственном вскармливании (ЗОМ) Кольво-Старт согласно наставлениям. Убой контрольных и опытных животных проводили в следующие сроки: 15-е сутки, 2,5 месяца, 4,5 месяца. Были использованы нейроморфологические, морфометрические и классические гистологические методы. Для изучения структуры межмышечных нервных ганглиев, общей характеристики их нервно-клеточной популяции, особенностей нейроглиальных взаимоотношений изготовляли серийные парафиновые срезы с последующей окраской гематоксилином и эозином по Доминичи-Кедровскому. Размеры ганглиев, расстояние между ними, их формы, цитоархитектонику, размеры нервных клеток и ядер, состояние нейрофибриллярного аппарата, клеточную типизацию по Догелю изучали на импрегнированных препаратах, обработанных азотнокислым серебром по Бильшовскому-Гросс и окрашенных по методу Ниссля. При проведении морфометрических исследований руководствовались методикой, предложенной Г. Г. Автандиловым.
Результаты исследований. В настоящей работе представлены результаты экспериментального исследования нервной ткани рубца многокамерного желудка овец в раннем постнатальном онтогенезе (от рождения и до 4,5-месячного возраста), находившихся на естественном вскармливании с овцематками и при искусственном выращивании с применением заменителя овечьего молока (ЗОМ) Кольво-Старт. Результаты исследования могут служить теоретической основой для понимания механизма максимальной реализации генетического потенциала млекопитающих.
Установлено, что по мере развития желудка и становления его пищеварительных функций происходит развитие его интрамуральной нервной системы. Различают четыре связанных между собой сплетения: собственнослизистое, подслизистое, межмышечное и подсерозное. Наши сравнительно-морфологические исследования проведены на межмышечном нервном сплетении. Оно располагается между слоями в мышечной оболочке и образовано нервными пучками. Толщина пучков нервных волокон имеет некоторые особенности, связанные с возрастными периодами. В местах пересечения нервных стволов располагаются нервные ганглии (см. рис. 1).
Рис 1. Ганглий межмышечного нервного сплетения рубца новорожденного ягненка. Бильшовский-Гросс. Ув.: Ок. 16. × Об. 10.
У новорожденных ягнят линейные размеры ганглиев составили 60,4±2,37 мкм × 136,0±0,48 мкм, они имеют несколько вытянутую по длине желудка форму. Расстояние между ганглиями в стенке рубца равно 148,0±0,48 мкм (см. рис. 2).
Рис 2. Динамика изменения размеров ганглиев рубца и расстояния между ними в постнатальном онтогенезе
В новорожденный период в структуре межмышечных ганглиев рубца различаются нервноклеточные группы, которые располагаются вокруг входящих в ганглий пучков нервных волокон. Размеры их сильно варьируют. Безмиелиновые нервные волокна оплетают ганглиозные клетки и образуют между ними межклеточное сплетение. С учетом возрастных особенностей толщина нервных пучков межмышечного нервного сплетения рубца на протяжении всех исследованных периодов увеличивается. Нервный аппарат стенки рубца у новорожденных ягнят еще полностью не сформирован. Цитоархитектоника ганглиев представлена в основном нейробластами, их переходными формами, а также небольшим количеством юных нейронов и глиальными клетками. На препаратах, импрегнированных по Бильшовскому-Гросс, обращает внимание сочетание размера тела нервных клеток, их форма с различной интенсивностью импрегнации, что обуславливает пестроту нервноклеточных скоплений. Доминируют клетки, обладающие пониженной восприимчивостью к серебру, а также нейробласты, находящиеся на разных этапах дифференцировки. Среди них можно различить округлые клетки, имеющие крупное ядро, занимающее почти всю цитоплазму. У монополярных клеток в качестве признаков дифференцировки мы отметили смещение ядра к одному из полюсов. Для них характерно появление сбоку слаборазвитого нейрофибриллярного аппарата. Аксонный холмик вместе с нейроплазмой пока еще аргерофобен. Во всех ганглиях новорожденного периода имеются юные нейроны. Они выделяются значительной аргерофилией, имеют мультиполярную форму с эксцентрично расположенным пузырьковидным ядром. Их нейрофибриллы становятся грубее, расположены в центральной и околоядерной зоне цитоплазмы, а также проникают в отростки. На основании морфометрических исследований нервные клетки были классифицированы на мелкие, средние и крупные, имеющие соответственно объем тела и ядра: мелкие – 63,9±0,48 мкм3 и 20,0±0,30 мкм3; средние – 258,0±4,77 мкм3 и 65,0±1,60 мкм3; крупные – 438,0±4,80 мкм3 и 70,0±2,30 мкм3. Средний показатель ядерно-цитоплазматического отношения составил: мелкие клетки – 0,46; средние клетки – 0,33; крупные клетки – 0,19. На основании детального анализа ядерно-цитоплазматического отношения можно предположить, что мелкие клетки этапа нейробласта вступили в процесс активной дифференцировки морфологических и морфометрических показателей, тогда как крупные – в процесс роста, это отражает в них глубокие процессы дифференцировки. При анализе содержания в составе ганглиев клеток, имеющих разные морфометрические характеристики, было установлено, что основная популяция представлена клетками средних размеров (54%), мелкие клетки составляют 33%, а крупные – самые малочисленные – 13%. Это дает основание отнести крупные клетки к нейронам I типа Догеля.
Рост и развитие межмышечных ганглиев продолжается у ягнят на молочном этапе их развития, как в контрольной, так и опытной группах животных. Так у 15-суточных ягнят контрольной группы размеры ганглиев рубца составили 158,0±0,49 мкм × 75,0±1,86 мкм. У животных опытной группы в данный возрастной период этот показатель отличался и был равен 138,0±0,66 мкм × 70,0±1,73 мкм. Более высокие темпы роста ганглиев у животных контрольной группы, по нашему мнению, повлияли на изменение расстояния между ними, где к этому времени данный показатель составил 162,9±2,25 мкм против 186,0±2,26 мкм в опыте. В группах сравнения можно наблюдать опережающий рост в ширину по отношению к длине. Это является общей закономерностью как в контроле (В=24%), так и в опыте (В=16%). Однако относительный прирост ганглиев в длину соответственно составил 16% и 2%. Данная особенность морфогенеза ганглиев рубца согласуется с особенностями роста органа на молочном этапе развития в группах сравнения. В целом от рождения и до 15-суточного возраста в межмышечных ганглиях рубца у животных сравниваемых групп происходит ряд структурных преобразований (рисунок 2, 3). При изучении процентного соотношения содержания в составе ганглиев клеток, имеющих разные морфометрические параметры, было установлено, что основная популяция у 15-суточных животных представлена клетками средних размеров: в контроле – 68%, в опыте – 60%. Доля мелких клеток составляет 25% и 35%, крупных клеток – 7% и 5% соответственно.
Рис. 3. Изменения процентного соотношения нервно-клеточной популяции ганглиев межмышечного нервного сплетения рубца в постнатальном онтогенезе
Сравнительный анализ показывает, что у 15-суточных ягнят, находившихся на искусственном кормлении ЗОМ Кольво-Старт, в составе ганглиев рубца увеличивается количество мелких клеток, тогда как в контроле – клеток средних размеров. При морфометрическом изучении изменений размеров мелких, средних и крупных клеток было установлено, соответственно объем тела и ядра, в контроле: мелкие клетки – 132,9±0,48 мкм3 и 34,5±0,33 мкм3; средние – 352,9±0,75 мкм3 и 70,0±0,24 мкм3; крупные – 837,9±1,17 мкм3 и 133,0±0,60 мкм3; в опыте: мелкие клетки – 116,0±0,47 мкм3 и 36,0±0,19 мкм3; средние – 315,0±1,11 мкм3 и 79,0±0,28 мкм3; крупные – 906,0±1,91 мкм3 и 105,0±0,52 мкм3. Сравнительный анализ показывает, что у 15-суточных ягнят, получавших ЗОМ Кольво-Старт, в составе ганглиев рубца происходит замедление роста мелких и средних клеток, тогда как относительный прирост крупных клеток составил 107% против 91% в контроле. Средний показатель ядерно-цитоплазматического отношения составил в контроле: мелкие клетки – 0,35; средние клетки – 0,25; крупные клетки – 0,18; в опыте: мелкие клетки – 0,45; средние клетки – 0,33; крупные клетки – 0,13. От рождения и до 15-суточного возраста ядерно-цитоплазматическое отношение мелких и средних клеток в ганглиях рубца животных опытной группы не претерпевает существенных изменений. Одновременно в группе крупных клеток наблюдается снижение, по сравнению с контролем, показателя ядерно-цитоплазматического отношения и увеличение относительного прироста их тела.
Сложнейшие изменения межмышечное нервное сплетение рубца претерпевает, начиная с рождения и до 2,5-месячного возраста. В переходный период все сплетение рубца представляет обильную сеть нервных волокон, в пересечении которых лежат ганглии. К периоду перехода ягнят на поедание грубого корма расстояние между ганглиями рубца увеличивается и составляет в контроле 257,6±1,83 мкм, а в опыте – 301,9±1,72 мкм. Это связано с ростом органа, который в переходный период становится самой крупной камерой желудка. Линейные размеры, достигаемые одним ганглием в рубце животных контрольной группы 100,0±2,88 мкм × 192,9±0,84 мкм, уступают аналогичным показателям в опыте – 124,0±0,71 мкм × 205,0±0,48 мкм. Относительный прирост метрических параметров линейных размеров ганглиев в контрольной группе был соответственно равен 33% и 22%, против 77% и 49% в опытной группе. Основная масса клеток приобретает признаки вполне дифференцированных нейронов, которые по основным морфологическим признакам можно легко отнести к классическим клеткам I типа Догеля (см. рис. 4).
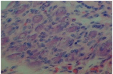
Рис. 4. Мультиполярный нейрон I типа Догеля. Ганглий рубца 2,5-месячного ягненка. Опытная группа. Бильшовский-Гросс. Ув.: Ок. 10. × Об. 40
При сравнительном морфологическом анализе установлена структурная гетерохрония ганглиев рубца ягнят 2,5-месячного возраста, обусловленная наличием в их составе различных переходных форм нервных клеток среди дифференцированных растущих нейронов. Это закономерно как для контрольных, так и опытных групп. Основную массу ганглиев 2,5-месячных животных контрольной группы составляют нервные клетки средних размеров (60%), имеющие объем тела 977,0±4,84 мкм3 и ядра 154,0±0,55 мкм3. Среди них имеются мелкие клетки с объемом тела 282,0±2,13 мкм3 и ядра 71,0±0,36 мкм3, которые содержатся в количестве 22%. Число крупных клеток увеличилось (по сравнению с предыдущим периодом) до 18%. Они имеют размер клеточного тела 2023,0±10,46 мкм3 и ядра 193,0±1,20 мкм3. Рассматриваемые показатели в ганглиях рубца 2,5-месячных животных опытной группы имеют иные значения. Так, содержание клеток средних размеров больше, чем в контроле (65%). Они отличаются размером тела – 1142,0±7,29 мкм3 и ядра – 160,0±2,20 мкм3. Содержание крупных клеток по-прежнему невелико – 10%. Однако в группе крупных клеток заметно увеличиваются размеры клеточного тела и ядра: 2434,0±11,50 мкм3; 160,0±1,34 мкм3. Следует отметить, что в составе ганглиев рубца животных рассматриваемого периода и получавших ЗОМ Кольво-Старт сохраняется высокое содержание мелких клеток (25%), имеющих размеры клеточного тела и ядра: 335,0±5,04 мкм3; 66,5±0,47 мкм3 (см. рис. 5).
Рис. 5. Ганглий межмышечного нервного сплетения рубца 2,5-месячного ягненка. Опытная группа. Доминичи- Кедровский. Ув.: Ок. 5. × Об. 20
Сравнительный анализ метрических параметров клеток показал, что относительный прирост их в ганглиях рубца искусственно вскармливаемых животных в переходный период был выше и составил: мелких клеток – 189%; средних – 263%; крупных – 168%; против соответственно: мелких клеток – 112%; средних – 177%; крупных – 142%, в контроле. Показатель ядерно-цитоплазматического отношения всех размерных групп клеток ганглиев рубца животных опытной группы, по сравнению с предыдущим периодом значительно уменьшился и составил: мелких клеток – 0,25; средних – 0,16; крупных – 0,07. Следует отметить, что контрольные показатели ядерно-цитоплазматического отношения по сравнению с опытом были несколько выше: мелких клеток – 0,33; средних – 0,19; крупных – 0,11. Сравнительный анализ свидетельствует об интенсивности процесса дифференцировки основного клеточного состава ганглиев рубца ягнят, получавших ЗОМ Кольво-Старт, к периоду перехода к поеданию грубого корма, что отражает адаптационно-компенсаторную перестройку нервной ткани стенки рубца в связи с характером кормления на молочном этапе.
В период адаптации ягнят к дефинитивному рациону (в 4,5 месяца) нервные ганглии межмышечного нервного сплетения рубца по топографии, особенности размещения в них ганглиозных элементов соответствуют, в основном, предыдущему периоду раннего постнатального онтогенеза. Расстояние между ганглиями увеличилось и составило: в контроле – 387,0±2,26 мкм; в опыте – 436,0±2,63 мкм. Ганглии сравниваемых групп отличаются по размерам и интенсивности их роста. Линейные параметры ганглиев рубца животных в контрольной группе составили 136,0±2,26 мкм × 235,0±1,89 мкм, против аналогичных показателей в опытной группе – 146,9±2,62 мкм × 271,0±2,26 мкм. Относительный прирост ганглиев в ширину и длину соответственно равен: в контроле – 36%; 22%; в опыте – 19%; 32%. Основная масса клеток имеет средний размер, их количество увеличивается (в сравнении с предыдущим периодом) и составляет: в контроле 63%; в опыте – 70%. Они имеют средний объем тела и ядра соответственно по группам: 1409,0±14,33 мкм3 и 170,0±1,30 мкм3; 1651,0±11,85 мкм3 и 231,0±0,68 мкм3. Более крупные клетки в ганглиях рубца животных контрольной группы составляют 19%, против 13%, в опыте. Однако в группе крупных клеток заметно увеличиваются размеры клеточного тела и ядра: в контроле – 3227,0±14,86 мкм3; 287,0±3,40 мкм3; в опыте – 3771,0±13,86 мкм3; 247,0±2,40 мкм3. Наряду с крупными высокодифференцированными нейронами в ганглиях рубца 4,5-месячных ягнят различаются и мелкие клетки. В данном возрасте их содержание в ганглиях сравниваемых групп мало различается и равно 18% и 17%. Однако их морфометрические показатели тела и ядра имеют иную закономерность: в контроле – 373,0±1,63 мкм3 и 78,0±0,33 мкм3; в опыте – 445,0±2,29 мкм3 и 116,0±1,26 мкм3. Показатели ядерно-цитоплазматического отношения средних и крупных клеток соответственно имели близкие значения в сравниваемых группах: в контроле – 0,13 и 0,09; в опыте – 0,16 и 0,07. Это, по-видимому, является результатом стабильности взаимоотношений между ядром и цитоплазмой, и свидетельствует о завершении для большей части нейронов ганглиев этапа дифференцировки.
Выводы. Адаптационные возможности нервной ткани стенки рубца на молочном этапе характеризуются замедленным морфогенезом, когда размеры ганглиев уменьшаются. При переходе животных к поеданию грубого корма (от 15 суток до 4,5 месячного возраста) происходит активизация морфогенетических процессов, вследствие чего размеры ганглиев увеличиваются в ширину на 19% (р≤0,05) в 2,5 месяца, а в длину – на 13% (р≤0,05) в 4,5 месяца.
Об авторах
Н. А. Вечканова
Автор, ответственный за переписку.
Email: ogarevonline@yandex.ru
О. С. Бушукина
Email: ogarevonline@yandex.ru
Д. М. Коробков
Email: ogarevonline@yandex.ru
Список литературы
- Вечканова Н. А., Бушукина О. С., Здоровинин В. А. Особенности морфофункциональной адаптации интрамуральных ганглиев желудка ягнят при искусственном вскармливании // Морфология. – 2013. – Т. 144, № 5. – С. 69–70.
- Шакирова Д. М. Морфофункциональное состояние чревного сплетения и печени крыс при экспериментальной патологии и методы ее коррекции: автореф. дис. … канд. биол. наук. – Уфа, 2004. – 19 с.
- Хохлова С. Н. Возрастные особенности морфологии некоторых симпатических ганглиев и нервов собаки: автореф. дис. … канд. биол. наук. – Саранск, 2007. – 20 с.
- Вечканова Н. А., Бушукина О. С., Здоровинин В. А. Постнатальный морфогенез межмышечных ганглиев желудка овец при искусственном выращивании // Ученые записки Казанской государственной академии ветеринарной медицины им. Н. Э. Баумана. – 2014. – Т. 219. – С. 79–83.
Дополнительные файлы











