Informative Value of Ultrasonography and the Alvorado Scale in the Diagnosis of Acute Appendicitis
- Authors: Davydkin V.V., Bochkareva D.A., Morozov M.A.
- Issue: Vol 8, No 16 (2020)
- Section: Articles
- Submitted: 01.01.2025
- URL: https://ogarev-online.ru/2311-2468/article/view/275878
- ID: 275878
Cite item
Full Text
Abstract
To assess the informative value of the Alvorado scale and ultrasound in the complex diagnosis of acute appendicitis, 60 patients aged 18 to 75 years with suspected acute appendicitis were examined. It has been established that the diagnostic criteria of acute appendicitis remain polymorphic, there are no specific signs. Improving the diagnosis of acute appendicitis and reducing the number of diagnostic and tactical errors is possible with a comprehensive and differentiated approach using the Alvorado scale and ultrasound.
Full Text
Acute appendicitis (AA) is one of the most common surgical abdominal pathologies requiring emergency surgical treatment [1, 2]. The frequency of appendectomies in the structure of emergency interventions in urgent surgery reaches 70–80%, the complication rate varies from 32.6 to 43 %, and the mortality rate is up to 0.1% [1]. The reason for the high incidence of complications and mortality is the untimely and erroneous diagnosis of acute appendicitis (15–45 %) [3]. In order to reduce the number of diagnostic errors, various methods of laboratory and instrumental diagnostics are widely used (radiography of the abdomen, ultrasound, laparoscopy, computed tomography, etc.) [2, 4–12].
A panoramic radiograph in the diagnosis of acute appendicitis has an indirect value associated with a differential diagnosis. In this regard, since 1986, computed tomography (CT) has been increasingly used to improve the diagnosis of acute appendicitis [5], and MRI is recommended in pediatric practice with a low score on the Alvarado scale [13]. However, despite the high accuracy of CT in AA (94–100 %), the proportion of «negative» appendectomies is still high and reaches 8% [5, 14]. When using computed tomography (CT) in the range of 7–8 points on the Alvarado scale, the accuracy of diagnosis of AA increases to 92–98 % [11]. Nevertheless, the feasibility of CT in complicated AA and in doubtful cases is not disputed, however, there is a wide discussion about the use of routine CT [11, 14].
The classical picture of AA is absent 1/3 of patients. Without an analysis of the clinical picture, it is impossible to increase the efficiency of the diagnostic process, but the significance of the so-called «appendicular symptoms» is low [15].
In modern literature, the study of the possibilities of laparoscopic diagnosis of AA has become widespread. Laparoscopy is an invasive way to diagnose AA, when all other methods have either been used or have been uninformative with a dubious diagnosis [4]. Another advantage of it is a quick conversion to a surgical guide. And yet, all the same, errors in the diagnosis occur in 1.7– 3.0 % of cases, and in 6.6–8.5 % of cases, the study may turn out to be uninformative due to the anatomical features of the patient [8, 20].
Another area of improving the quality of diagnostics is the use of a number of laboratory tests. Along with generally accepted simple tests (leukocyte count, ESR, etc.), a determination of the degree of intoxication by LII Ya. Ya was proposed. Kalf-Kalifa, neutrophil reactive response index; immunological examination, assessment of the level of metalloproteins in biological fluids, tests for calproctin, E-selectin, serum YKL-40, D-lactate, the level of 5-hydroxyindoleacetic acid and alpha-2-glycoprotein in urine, etc. However, all of these the methods are expensive and time consuming [15], turned out to be uninformative and not widely used.
The most promising, convenient and widespread of laboratory tests is the Alvarado scale — the acute appendicitis index (AAI) [6–12]. It is considered very informative when AAI is more than 7 [16], but not at lower values [9, 17, 18]. With AAI less than 3, the probability of appendicitis is 0%, therefore, it is necessary to perform an ultrasound scan [6, 19].
It was expected that the use of ultrasound (ultrasound) will make it possible to reduce the number of unnecessary interventions with a constant appendix [6, 7]. Ultrasound has significant advantages of the method: non-invasiveness, accessibility, the ability to conduct research in dynamics, the absence of radiation exposure to the patient and staff, high sensitivity [3].
However, the utility of routine ultrasound of the appendix is currently being debated [4, 5, 9]. In order to increase information content, the use of color Doppler and energy mapping of blood flow is recommended. This method is most informative in the complicated course of AA. With AAI less than 3, the probability of appendicitis is 0%, therefore, the feasibility of performing CT should be based on ultrasound data [6, 19]. But even with a positive conclusion of ultrasound, a little-changed appendix is removed in 6.7% of cases [19]. The diagnostic value of ultrasound decreases sharply with obesity, with excessive deposition of fat on the abdomen [20]. Therefore, to improve the accuracy of diagnosis of AA in doubtful cases, it is proposed that the Alvarado scale and ultrasound scan be used comprehensively [4], including in pediatric practice to reduce radiation exposure [7, 9].
Thus, at present, the problem of using prognostic and visualization methods in the diagnosis of acute appendicitis cannot be considered solved. This problem is relevant and requires further study.
The purpose of this study was to validate the Alvarado scale and US in the comprehensive diagnosis of AA.
Material and methods. We examined 60 patients aged 18 to 75 years who were admitted with suspicion of acute appendicitis. Among the examined patients there were 36 men and 24 women. The average age was 32±2.5 years. Ambulance delivered to the hospital 42 (70%) patients, 14 (23.3%) – in the direction of the clinic, 4 (6.7%) – received self-referral to the admission department. The reason for the late treatment in 48 (80%) cases was the patients' attempts to self-medicate with analgesics and antispasmodics at home, as well as the late emergency call from the moment of the onset of pain.
All patients were divided into 2 groups. The first clinical group included 33 (55%) patients who were admitted with an acute appendicitis clinic and were operated on for AA. The control group included 27 (45%) patients who were admitted to the hospital with suspected acute appendicitis for dynamic observation.
All patients underwent ultrasound examination to assess the state of the appendix, the degree of change, the presence of complications of acute appendicitis. All patients underwent an assessment of the acute appendicitis index on the Alvarado scale (AAI), which is based on determining the total score for 8 signs: pain in the right iliac region, fever > 37.3 °C, pain migration to the right iliac region (Kocher symptom), loss of appetite, nausea / vomiting, the presence of Shchetkin's symptom, a leukocytosis level of more than 10x109/l, a shift of the leukocyte formula to the left (neutrophils > 75%).
The presence of less than 5 points indicates a low probability of AA, 5–6 points - about the possibility of AA need for observation, 7–8 points - about the probability of AA and 9 - 10 points - about the presence of AA, the need for emergency surgery.
Statistical processing was carried out in the laboratory of computer science and computer design of the department of computer science and computer design, faculty of IC&T SPbGUT (St. Petersburg). The significance of differences between groups was evaluated using chi-square or t-student test for unrelated values. Differences were considered significant at p <0.05.
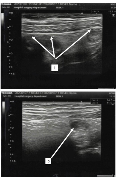
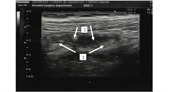
The results of the study. The ultrasound signs of acute appendicitis included the presence of a blindly ending tubular structure at the point of maximum pain with an outer diameter of more than 6 mm, which cannot be compressed, aperistalsis, wall thickness more than 2 mm, and the presence of coprolite in the lumen of the tubular structure (fig. 1). In transverse scanning, the tubular structure was in the form of a «target», «cockade»; the thickness of the stromal component of the wall of the appendix was more than 1.5 mm (fig. 2).
Fig. 1. An echogram of the vermiform appendix: 1 – a tubular formation with thickened walls, with a «double contour» is visualized; 2 – in the lumen of the tubular structure, fluid and dense masses
Fig. 2. An echogram of the vermiform appendix: 1 – portions of the tubular formation with thickened walls, with a «double contour» («convoluted vermiform appendix») are visualized; 2 – the top of the appendix, ending blindly
When analyzing the ultrasound diagnostics, it was found that it is not the diameter of the tubular formation (vermiform appendix) or wall thickness that is most significant, but other related symptoms, such as the presence of effusion inside the tubular formation (mucus or pus), the mobility of the process (which confirms the severity of the process and reaction adjacent tissues, swelling of the loops of the small intestine adjacent to the appendix and the presence of fluid in the interloop space (table 1) .Therefore, when differentially diagnosed as positive Of echographic symptoms, it is important to take into account both direct and indirect signs.
Table 1. The frequency of ultrasound symptoms of acute appendicitis
Ultrasound sign | Group 1 (n=33) | Group 2 (n=27) | Differences, credibility |
Diameter of tubular structure | 10.3±2.6 | 8.6±1.8 | 2.002, p>0.05 |
Tubular wall thickness | 3.5±1.2 | 2.5±0.8 | 2.002, p>0.05 |
The presence of a dense component in the lumen | 15 (45.5%) | 12 (44.4%) | 0.006, p>0.05 |
The presence of a liquid component in the intestinal lumen | 18 (55.5%) | 5 (18.5%) | 8.154, p<0.05 |
Mobility of the tubular structure | 22 (66.7%) | 26 (96.3%) | 8.148, p<0.05 |
Effusion in the small pelvis and interloop space | 29 (87.9%) | 10 (30.3%) | 16.873, p<0.05 |
Swelling of the small intestine | 23 (69.7%) | 9 (27.3%) | 7.890, p<0.05 |
With ultrasound, the structures of the inflamed appendix are differentiated better than with CT. This allows us to assume the probable form of AA before surgery.
The empyema of the appendix was assumed in the following ultrasound picture: an increase in the diameter of the appendix to 21 mm, wall thickness to 2 to 3 mm, its heterogeneity and the absence of layer differentiation due to the perifocal process, in which the process echogenicity decreases. A compression test reveals rigidity and low mobility with a sharp process soreness and the presence of coprolites in the lumen. In the CDC mode, the vascular pattern in the process wall was determined only in the mesentery zone. Since the onset of the disease, the period was usually more than 1 day.
The appendicular infiltrate was diagnosed when it was found in the right ileal region, in the area of the cecum of an immovable, rigid formation with fuzzy and irregular contours and an irregular shape with accumulations of hypoechogenic «muddy» fluid. The appendix is not clearly visualized due to destructive changes in the appendix wall and infiltration in the surrounding tissues. The wall thickness of the appendix in the visible parts was, as a rule, more than 3.5 mm, and the adjacent intestinal loops – more than 3 mm. Intestinal motility in the infiltrate zone is absent. With CDK, blood flow is not recorded.
With the development of a periappendicular abscess (more than 3–4 days from the moment of illness), an infiltrate without clear boundaries was found in the right iliac region. In the projection of the infiltrate, a cavity with an inhomogeneous hypoechoic content of an inhomogeneous structure without a clear differentiation of the layers was observed. In the CDC regimen, the vascular pattern of the process wall was not determined, in contrast to the pronounced enhanced vascular pattern of the adjacent intestinal loops.
AAI in the first clinical group was 7.2±1.8 points, in the second (control) – 4.7±2.2 points (p>0.05). In the first clinical group, less than 5 points were found in 5 patients (15.2%), in the control group – in 12 patients (44.4%) (p<0.05); 5–7 points in the first group were in 16 (48.5%), in the second – in 10 (37%) patients (p>0.05), 8–10 points in the first group were in 12 (36.4%), in the second – in 5 (18.5%) (p>0.05). Appendectomy was performed in all patients. Of these, 32 patients underwent appendectomy without diagnostic laparoscopy (53.3% of all patients). In general, the average score on the Alvarado scale in patients of this group was 7.4±1.4. During the operation, the following changes were detected in the appendix: phlegmonous appendicitis in 15 patients (46.9%) with an average score of 7.4±1.1, gangrenous appendicitis in 12 (37.5%) patients with an average score of 9.4±2.1 (p> 0.05), catarrhal appendicitis – in 5 (15.6%) patients with an average score of 6.9±1.1 (p> 0.05).
Diagnostic laparoscopy was performed on the remaining 28 patients. In 9 (32.1%) patients with catarrhal appendicitis, the average score was 7.3±1.2, phlegmonous appendicitis was in 19 (67.9%) patients, and the average score on the Alvarado scale was 8.6±1.4 points (p>0.05). It should be noted that in patients admitted with suspicion of acute appendicitis and taken during a dynamic observation, the average number of points was 6.7±2.2 (p>0.05).
Conclusion. The diagnostic criteria for acute appendicitis remain polymorphic, and there are no specific signs. To date, expensive methods of radiation diagnostics (CT, MRI) cannot be used everywhere because of their low availability and cost. According to the Alvarado scale, there were no significant changes in the number of points between groups.
In addition to clinical and laboratory methods, US is becoming a priority at present due to its high information content and non-invasiveness. In case of suspicion of acute appendicitis, mandatory hospitalization to a surgical hospital with active monitoring, monitoring of the Alvarado index (again in the first 2 hours) and performing an ultrasound of the appendix is indicated.
Laparoscopy helps to reduce the number of diagnostic errors, but they cannot be completely eliminated. If there are still doubts about the diagnosis, videolaparoscopy is necessary. Improving the diagnosis of acute appendicitis and reducing the number of diagnostic and tactical errors is possible with a comprehensive and differentiated using the Alvarado scale and US.
About the authors
V. V. Davydkin
Author for correspondence.
Email: ogarevonline@yandex.ru
Russian Federation
D. A. Bochkareva
Email: ogarevonline@yandex.ru
Russian Federation
M. A. Morozov
Email: ogarevonline@yandex.ru
Russian Federation
References
- Clinical surgery: national guidelines: in 3 volumes / ed. V. S. Savelyev, A. I. Kiriyenko. –M.: GEOTAR-Media, 2013. – 832 p.
- Snyder M.J., Guthrie M., Cagle S. Acute Appendicitis: Efficient Diagnosis and Management // Am. Fam. Physician. – 2018. – Vol. 98, N. 1. – P. 25-33.
- Altomare M., Cimbanassi S., Chiara O., Salvi P.F. Acute appendicitis. Update of clinical scores // Ann. Ital. Chir. – 2019. – Vol. 90. – P. 231-237.
- Yazar A. S., Erdoğan S., Şahin C., Güven Ş. Reliability of ultrasonography and the Alvarado scoring system in acute appendicitis // Turk. J. Pediatr. – 2018. – Vol. 60, N. 2. – P.173-179.
- Davis G.N., Swaminathan M. Acute appendicitis – new diagnostic algorithm using RIPASA score and non-contrast Computeed Tomography Scan // J. Pak. Med. Assoc. – 2019. – Vol. 69, N. 1. – P. S12-S16.
- Jones R.P., Jeffrey R.B., Shah B.R., Desser T.S., Rosenberg J., Olcott E.W. Journal Club: the Alvarado score as a method for reducing the number of CT studies when appendiceal ultrasound fails to visualize the appendix in adults // AJR. Am. J. Roentgenol. – 2015. – Vol. 204, N. 3. – P. 519-526.
- Michailidou M., Sacco Casamassima M.G., Karim O., Gause C., Salazar J.H., Goldstein S.D., Abdullah F. Diagnostic imaging for acute appendicitis: interfacility differences in practice patterns // Pediatr. Surg. Int. – 2015. – Vol. 31, N. 4. – P. 355-361.
- Koseekriniramol V, Kaewlai R. Abdominal wall thickness is not useful to predict appendix visualization on sonography in adult patients with suspected appendicitis // J. Clin. Ultrasound. – 2015. – Vol. 43, N. 5. – P. 269-276.
- Mán E., Simonka Z., Varga A., Rárosi F., Lázár G. Impact of the Alvarado score on the diagnosis of acute appendicitis: comparing clinical judgment, Alvarado score, and a new modified score in suspected appendicitis: a prospective, randomized clinical trial // Surg. Endosc. – 2014. – Vol. 28, N. 8. – P. 2398-2405.
- Teo A.T., Lefter L.P., Zarrouk A.J., Merrett N.D. Institutional review of patients presenting with suspected appendicitis // ANZ J. Surg. – 2015. – Vol. 85, N. 6. – P. 420-424.
- Yazıcı P., Öz A., Kartal K., Battal M., Kabul Gürbulak E., Akgün İ.E., Yetkin S.G., Mihmanlı M. Emergency computed tomography for the diagnosis of acute appendicitis: How effectively we use it? // Ulus. Travma Acil. Cerrahi. Derg. – 2018. – Vol. 24, N. 4. –P. 311-315.
- Mannil M., Polysopoulos C., Weishaupt D., Hansmann A. Clinical-radiological scoring system for enhanced diagnosis of acute appendicitis // Eur. J. Radiol. – 2018. – Vol. 98. –P. 174-178.
- Sincavage J., Buonpane C., Benyamen B., Benya E., Lautz T., Helenowski I., Hunter C.J. Alvarado Scores Predict Additive Value of Magnetic Resonance Imaging in Workup of Suspected Appendicitis in Children // J. Surg. Res. – 2019. – Vol. 244. – P. 42-49.
- Ozkan S., Duman A., Durukan P., Yildirim A., Ozbakan O. The accuracy rate of Alvarado score, ultrasonography, and computerized tomography scan in the diagnosis of acute appendicitis in our center // Niger J. Clin. Pract. – 2014. – Vol. 17, N. 4. – P. 413-418.
- Loye A., Zhang X.C. Calculated decisions: Alvarado score for acute appendicitis // Emerg. Med. Pract. – 2019. – Vol. 21, N. 6. – P. 1-2.
- Toprak H., Kilincaslan H., Ahmad I.C., Yildiz S., Bilgin M., Sharifov R., Acar M. Integration of ultrasound findings with Alvarado score in children with suspected appendicitis // Pediatr. Int. – 2014. – Vol. 56, N. 1. – P. 95-99.
- Yılmaz E.M., Kapçı M., Çelik S., Manoğlu B., Avcil M., Karacan E. Should Alvarado and Ohmann scores be real indicators for diagnosis of appendicitis and severity of inflammation? // Ulus Travma Acil. Cerrahi. Derg. – 2017. – Vol. 23, N. 1. – P. 29-33.
- Ünlüer E.E., Urnal R., Eser U., Bilgin S., Hacıyanlı M., Oyar O., Akoğlu H., Karagöz A.Application of scoring systems with point-of-care ultrasonography for bedside diagnosis of appendicitis // World J. Emerg. Med. – 2016. – Vol. 7, N. 2. – P. 124-129.
- Athans B.S., Depinet H.E., Towbin A.J., Zhang Y., Zhang B., Trout A.T. Use of Clinical Data to Predict Appendicitis in Patients with Equivocal US Findings // Radiology. – 2016. – Vol. 280, N. 2. – P. 557-567.
- Piyarom P., Kaewlai R. False-negative appendicitis at ultrasound: nature and association // Ultrasound Med. Biol. – 2014. – Vol. 40, N. 7. – P. 1483-1489.
Supplementary files








