Study of Clinical Course and Diagnosis of Solitary Plasmacytomas in Multiple Myeloma
- Authors: Kurkina N.V., Skorobogatova L.N., Gromilina N.M.
- Issue: Vol 8, No 16 (2020)
- Pages: 38-43
- Section: Articles
- Submitted: 01.01.2025
- Accepted: 01.01.2025
- URL: https://ogarev-online.ru/2311-2468/article/view/275875
- ID: 275875
Cite item
Full Text
Abstract
The study showed that the formation of plasmocytoma in patients with multiple myeloma often leads to an atypical course of the disease and certain difficulties in diagnosing this tumor process. More common options of solitary plasmacytoma with bone lesions of the chest and spine, much less revealed extraocular plasmacytoma lesion with soft tissue head and neck. All patients were determined signs of soft-woven components without pronounced pain syndrome in the bones and typical changes in the blood, which caused some difficulties in the diagnosis of solitarian plasmastotoma.
Full Text
Введение. Множественная миелома (ММ) – злокачественное заболевание системы крови, которое характеризуется опухолевой пролиферацией плазматических клеток. Одним из основных проявлений болезни является поражение костной системы, которое сопровождается костными деструкциями, компрессионными переломами позвонков, нередко с компрессией спинного мозга и развитием дисфункции тазовых органов [1, 4].
Однако при данном заболевании часто отмечается формирование мягкотканых компонентов (солитарной плазмоцитомы) в различных отделах костной системы и поражением мягких тканей. При первичном установлении диагноза множественной миеломы плазмоцитомы определяются в 3,5–18 % случаев, а при рецидивирующем течении заболевания значительно чаще – у 6–30 % пациентов [2, 3]. Встречаются различные формы солитарных плазмоцитом: с поражением костной системы (42–61 %) и внекостный вариант (85%) [5, 6, 8]. Довольно часто это сопровождается атипичным развитием ММ, что приводит к определенным трудностям при обследовании пациентов [7, 9].
Цель исследования: рассмотрение различных клинических форм проявления мягкотканых компонентов при множественной миеломе и особенностях диагностики плазмоцитом.
Материалы и методы исследования. Проводился ретроспективный анализ 11 историй болезни пациентов с плазмоцитомами, которые получали стационарное обследование и лечение в течение 2019 г. в условиях гематологического отделения. Рассматривали клинические формы плазмоцитомы у данной категории больных при первичной постановке диагноза и при рецидивирующем течении ММ, оценивали наиболее эффективные методы диагностики.
Результаты. В исследуемой группе пациентов преобладали мужчины – 7 человек (63,6%) против 4 женщин (36,4%). Средний возраст больных составляет 64 года, однако у 2 пациентов плазмоцитома диагностировалась в возрасте моложе 50 лет.
В анализируемой группе больных преобладала IIА стадия – у 63,6% (7 человек), IIIА стадия – у 18,2% (2 человека), I стадия – у 9,1% (1 человек), IIIБ стадия – у 9,1% (1 человек).
При начальных стадиях опухолевого процесса часто отсутствовал оссалгический синдром, отмечались только признаки локального роста мягкотканого компонента, что приводило к более поздней диагностики данного заболевания (от 6 месяцев до 2 лет).
Только у 2-х пациентов в дебюте выявлялся характерный болевой синдром с поражением плоских костей и развитием остеодеструктивного процесса. В остальных случаях отмечались боли локального характера в области плазмоцитомы, а также фиксировались чувствительные и двигательные нарушения, экзофтальм.
Наиболее часто выявлялись костные формы плазмоцитомы с опухолевым ростом из позвонков и грудной клетки, преимущественно в грудине. Также отмечалось поражение глазницы глаза (в 2-х случаях), верхней челюсти и ребер (табл. 1). У одного больного было выявлено поражение шейного отдела позвоночника с прорастанием мягкотканого компонента в просвет спинномозгового канала и сдавлением спинного мозга. У двоих пациентов наблюдали множественные поражения костей (первичный очаг остеодеструкции был в грудине, а затем сформировались очаги в верхней челюсти и позвоночнике).
Таблица 1. Локализация мягкотканых компонентов в исследуемой группе пациентов
Локализация плазмоцитомы | Частота выявления | |
Количество пациентов | % | |
Грудина | 3 | 27,2% |
Ребра | 2 | 18,2% |
Глазница | 2 | 18,2% |
Верхняя челюсть | 1 | 9,1% |
Шейный отдел позвоночника | 1 | 9,1% |
Множественные поражения: позвоночник, ключица, грудина, кости черепа и др. | 2 | 18,2% |
Вторичная паранеопластическая анемия диагностировалась только в 54,4% случаев (6 пациентов), у других больных анемия не отмечалась.
Характерные изменения в биохимическом анализе крови и протеинограмме при плазмоцитомах отмечались значительно реже, чем при диффузном варианте множественной миеломы. В частности повышение уровня общего белка в крови в дебюте заболевания было выявлено только у 4 человек, а секреция парапротеина отмечалась только в 6 случаях. Ввиду отсутствия диффузного процесса остеопороза и остеолиза, и локального поражения костей повышенный уровень кальция в сыворотке крови определялся только у 4 (36,4%) пациентов.
Кроме того, ввиду локального опухолевого процесса инфильтрация костного мозга плазматическими клетками отмечалась лишь у 9 больных, а в 2-х случаях – содержание плазмоцитов в костном мозге было в пределах нормы.
По данным иммунохимического исследования мочи белок Бенс-Джонса также определялся не у всех обследуемых больных, а только в 8 случаях.
Отсутствие специфичных для множественной миеломы изменений по результатам лабораторных обследований часто приводило к отсроченной диагностике данного заболевания.
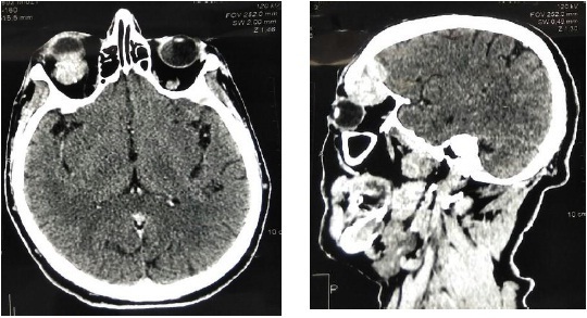
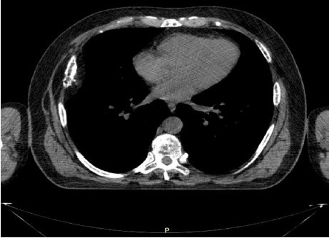
Мягкотканые образования в костях и мягких тканях выявлялись по данным компьютерной томографии (КТ) и магнитно-резонансной томографии (МРТ) (рис. 1–3). Эти инструментальные методы обследования позволили подтвердить наличие плазмоцитомы у данной категории больных (в костях грудной клетки, в позвоночнике, в глазнице).
Рис. 1. Разрушение кортикального слоя 6 ребра справа при компьютерной томографии грудной клетки
Рис. 2. Экстрадуральное образование на уровне С5 позвонка с прорастанием в спинномозговой канал при магнитно-резонансной томографии шейного отдела позвоночника
Рис. 3. Мягкотканое образование в орбите глаза слева при компьютерной томографии
Заключение. На основании полученных данных выявлено, что солитарная плазмоцитома с поражением позвоночника и грудной клетки встречается гораздо чаще, а внекостные формы сопровождаются преимущественным поражением мягких тканей головы и шеи. При прогрессировании заболевания и рецидивирующем течении множественной миеломы могут развиваться дополнительные мягкотканые очаги. Наиболее информативными являются инструментальные методы диагностики (КТ и МРТ), позволяющие выявлять характер, глубину опухолевого поражения и локализацию процесса.
About the authors
N. V. Kurkina
Author for correspondence.
Email: ogarevonline@yandex.ru
Russian Federation
L. N. Skorobogatova
Email: ogarevonline@yandex.ru
Russian Federation
N. M. Gromilina
Email: ogarevonline@yandex.ru
Russian Federation
References
- Сараева Н.О. Гематология: учебное пособие. – Изд. 2-е, перераб. – Иркутск: ИГМУ, 2015. – 244 с.
- Менделеева Л.П., Вотякова О.М., Покровская О.С., Рехтина И.Г., Бессмельцев С.С., Голубева М.Е., Дарская Е.И., Загоскина Т.П., Зинина Е.Е., Капланов К.Д., Константинова Т.С., Крючкова И.В., Медведева Н.В., Моторин Д.В., Поспелова Т.И., Рыжко В.В., Самойлова О.С., Урнова Е.С. Национальные клинические рекомендации по диагностике и лечению множественной миеломы // Гематология и трансфузиология. – 2014. – №59 (1), прил. 3. – С. 3–24.
- Волкова С.А., Боровков Н.Н. Основы клинической гематологии: учебное пособие.– Н. Новгород: Изд-во НГМА, 2013. – 400 с.
- Touzeau С., Moreau P. How I treat extramedullary myeloma // Blood. – 2016. – Vol. 127 (8). – P. 971–976.
- Blade J., Fernandez de Larrea C., Rosinol L., Cibeira M.T., Jimenez R., Powles R. Soft-tissue plasmacytomas in multiple myeloma: incidence, mechanisms of extramedullary spread, and treatment approach // J. Clin. Oncol. – 2011. – Vol. 29 (28). – P. 3805–3812.
- Weinstock M., Ghobrial I.M. Extramedullary multiple myeloma // Leuk. Lymphoma. – 2013. – Vol. 54 (6). – P. 1135–1141.
- De Larrea C.F., Rosinol L., Cibeira M.T., Rozman M., Rovira M., Blade J. Extensive soft-tissue involvement by plasmablastic myeloma arising from displaced humeral fractures // Eur. J. Haematol. – 2010. – Vol. 85 (5). – P. 448–451.
- Mangiacavalli S., Pompa A., Ferretti V., Klersy C., Cocito F., Varettoni M. The possible role of burden of therapy on the risk of myeloma extramedullary spread // Ann. Hematol.– 2017. – Vol. 96 (1). – P. 73–80.
- Varga C., Xie W., Laubach J., Ghobrial I.M., O’Donnell E.K., Weinstock M., Paba-Prada C., Warren D., Maglio M.E., Schlossman R., Munshi N.C., Raje N., Weller E., Anderson K.C., Mitsiades C.S., Richardson P.G. Development of extramedullary myeloma in the era of novel agents: no evidence of increased risk with lenalidomide-bortezomib combinations // Br. J. Haematol. – 2015. – Vol. 169 (6). – P. 843–850.
Supplementary files









