Поражение почек при множественной миеломе. Разбор клинического случая
- Авторы: Соловьева М.А., Самсонова Ю.А.
- Выпуск: Том 11, № 3 (2023)
- Страницы: 8-13
- Раздел: Статьи
- Статья получена: 26.10.2024
- Статья одобрена: 26.10.2024
- URL: https://ogarev-online.ru/2311-2468/article/view/267432
- ID: 267432
Цитировать
Полный текст
Аннотация
Множественная миелома – это вялотекущее опухолевое заболевание плазматических клеток. Этиологическая причина появления миеломы, как и многих других заболеваний крови, неясна. Чаще болеют миеломой мужчины и женщины старше 50 лет. В статье рассматривается клинический случай пациента с множественной миеломой и поражением почек. Описаны этапы развития заболевания, диагностический поиск и современные методы лечения.
Ключевые слова
Полный текст
Актуальность. Множественная миелома (далее – ММ) – это В-клеточная злокачественная опухоль, морфологическим субстратом которой являются плазматические клетки (ПК), продуцирующие моноклональный иммуноглобулин. ММ отличается от других гемобластозов раздельным распространением очагов, вне зоны которых миеломные клетки могут отсутствовать или быть в ограниченном количестве [2].
Поражение почек, развивающееся вследствие склерозирования почечных канальцев, вынужденных фильтровать большой объем миеломного белка. Кроме того, в поражении почек при множественной миеломе принимают участие дегидратация, повышение уровня кальция в крови, сопутствующие инфекции и прием высоких доз нестероидных противовоспалительных препаратов. Миеломная нефропатия имеет различные проявления, от бессимптомной протеинурии (наличие белка в моче) до тяжелой почечной недостаточности. К нефропатии могут присоединяться инфекционные поражения почек [1].
Нарушение функции почек может быть первым или единственным симптомом заболевания и служит важнейшим негативным прогностическим фактором, уменьшающим выживаемость пациентов.
Цель исследования: клиническое описание собственного наблюдения пациента со сложным диагностическим поиском.
Клинический случай. Пациент А.Н.З., 1970 года рождения.
Жалобы на тошноту, сухость во рту, учащенное мочеиспускание, выраженную общую слабость, снижение аппетита, снижение массы тела на 10,5 кг, повышение артериального давления (АД) с пиковым подъемом до 180/100 мм рт. ст., тяжесть в поясничной области. morbi: жалобы с марта 2022 года. Обследован в амбулаторно-поликлиническом звене, по результатам консультации терапевта, нефролога, данных лабораторных анализов и ультразвукового исследования (УЗИ) почек, 13.10.2022 г. был выставлен диагноз: Хронический интерстициальный нефрит. Хроническая болезнь почек (скорость клубочковой фильтрации (СКФ) – 4 мл/мин). От предложения госпитализации в нефрологическое отделение отказался. 15.10.2022 г. самостоятельно прибыл в приемное отделение Мордовской республиканской центральной клинической больницы. К выше указанным жалобам присоединились высыпания на коже груди, спины, сопровождающиеся кожным зудом. Был госпитализирован в нефрологическое отделение. Находился на стационарном лечении в нефрологическом отделении с 15.10.2022 г. по 23.10.2022 г.
На момент поступления были проведены следующие исследования:
1. Лабораторные:
1.1. Общий анализ крови от 15.10.2022 г.: гемоглобин – 58 г/л; лейкоциты – 6,67×109/л; скорость оседания эритроцитов (СОЭ) – 76 мм/ч; эритроциты – 2,3×1012 г/л; гематокрит – 17,1%; тромбоциты – 206,5×109/л; палочкоядерные нейтрофилы – 4%; сегментоядерные нейтрофилы – 72%; лимфоциты – 11%; моноциты – 6%; эозинофилы – 3%.
Заключение: гипохромная анемия тяжелой степени, снижение гематокрита, ускорение СОЭ.
1.2. Биохимический анализ крови от 15.10.2022 г.: мочевина – 20 ммоль/л; креатинин –
Заключение: повышение мочевины, креатинина, снижение СКФ, гиперкалиемия.
Общий анализ мочи от 15.10.2022 г.: цвет – светло-желтая; прозрачность – прозрачная; удельный вес – 1010; реакция – кислая; белок (количественный) – 9000 г/л; лейкоциты – 0–1 в поле зрения (п/з); эритроциты измененные – 0–1 в п/з; эпителий плоский – 0–1в п/з.
Заключение: реакция кислая, протеинурия.
Анализ мочи по Нечипоренко от 15.10.2022 г.: лейкоциты – 110 в 1 мл3: эритроциты – 220 в 1 мл3; цилиндры – 0 в 1 мл3.
Заключение: показатели в норме.
Суточная потеря белка в моче от 16.10.2022 г.: объем мочи – 500 мл; суточная потеря белка в моче – 3,6 г/сут.
Заключение: олигурия, протеинурия.
Анализ мочи на белок Бенс–Джонса от 18.10.2022 г.: белок Бенс-Джонса –положительная проба.
Заключение: моноклональная гаммапатия.
Молекулярно-генетический анализ от 19.10.2022 г.: мутация гена JAK2 – обнаружена, аллельная нагрузка 48,4%.
2. Инструментальные:
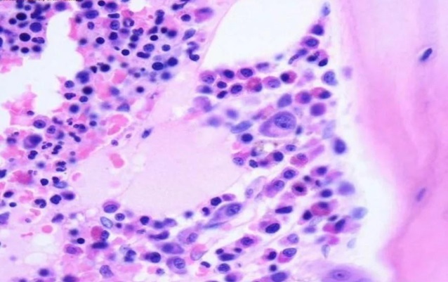
2.1. Миелограмма от 18.10.2022 г.: заключение: пунктат костного мозга умеренно – клеточный, представлен в основном плазматическими клетками – 53,7%. Ростки кроветворения сокращены и составляют: гранулоцитарный росток – 28,3%, эритроидный росток – 3,8%, мегакариобласты – 10, тромбоциты – 7–20 в скоплениях (рис. 1).
Рис. 1. Гистологический препарат костного мозга Окрашивание по Романовскому. Реагент May-Grunwald-Giemsa.
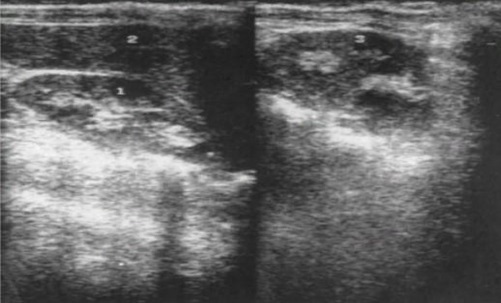
2.2. УЗИ почек от 16.10.2022 г.: заключение: ультразвуковые признаки уплотнения чашечно-лоханочной системы, повышения эхогенности и истончения паренхимы обеих почек, нарушения и изменения оттока мочи из обеих почек на момент осмотра не выявлено. Одиночные субкапсулярные, интрапаренхиматозные и парапельвикальные кисты обеих почек (рис. 2).
Рис. 2. Ультразвуковое исследование почек: 1 – правая почка, 2 – печень, 3 – левая почка.
2.3. Магнитно-резонансная томография поясничного отдела позвоночника от 17.10.2022 г: заключение: диффузные неоднородные единичные изменения магнитно- резонансного сигнала от всех позвонков на уровне исследования.
Данные объективного обследования. Общее состояние больного: средней степени тяжести. Сознание: ясное. Питание нормальное. Пастозность голеней, лодыжек. Периферические лимфатические узлы: не увеличены. Дыхание через нос свободное, число дыханий: 16 в минуту. Аускультативно: везикулярное, хрипов нет. Хрипы не выслушиваются. Пульс: частота – 74 в минуту, удовлетворительного наполнения, ритмичный. АД: 150/80 мм рт. ст. Тоны сердца приглушены. Язык влажный, чистый. Живот мягкий, не вздут, доступен глубокой пальпации. Печень, селезенка: не увеличены. Симптом Пастернацкого отрицательный. Диурез: суточный диурез около 1000 мл/сут, никтурия.
Status localis: кожные покровы бледные, с урохромным оттенком, сухие, диффузные инфильтрации в виде кожных узелков и пемфигоидных высыпаний, не кровоточащие кожные петехии со следами расчесов.
На слизистой оболочке ротовой полости видны геморрагические высыпания округлой формы, незначительно возвышающиеся над поверхностью слизистой оболочки, не кровоточащие.
Клинический диагноз: Множественная миелома (вариант Бенс–Джонса). Пункция и катетеризация левой внутренней яремной вены от 15.10.2022 г. Сеансы интермиттирующего гемодиализа с 15.10.2022 г. Cast–нефропатия, тяжелой степени. Гиперкалиемия от 15.10.2022 г. Хроническая болезнь почек, стадия 5, нефротическая (СКФ – 6,3 мл/мин). Гемотрансфузия от 15.10.2022 г.
Проведено лечение: стол №7; Амлодипин 5 мг по 1 таб. утром; аторвастатин 20 мг по 1/2 таб (10 мг) вечером; эритроцитная взвесь лейкоредуцированная В (III) Rh (+) положительная, ССДее К (–) отр. 323 мл в/в капельно однократно; эритроцитная масса В (III) Rh (+) положительная, ССДее К (–) отр. 198 мл в/в капельно однократно.
На момент выписки были получены следующие результаты лабораторных исследований:
1. Общий анализ мочи от 22.10.2022 г.: цвет – желтый; прозрачность – слабо мутная; удельный вес – 1012; реакция – кислая; белок (количественный) – 0,200 г/л; лейкоциты – 3–4 в поле зрения; эритроциты измененные – 0–2; эпителий плоский – 0–1; соли (фосфаты) – 1 в поле зрения.
Заключение: протеинурия.
2. Общий анализ крови от 22.10.2022 г.: гемоглобин – 105 г/л; лейкоциты – 5,6×109/л; СОЭ – 63 мм/ч; эритроциты – 4,80×1012/л; гематокрит – 38%.
Заключение: гипохромная анемия легкой степени тяжести, ускорение СОЭ.
3. Биохимический анализ крови от 22.10.2022 г.: мочевина – 16,3 ммоль/л; креатинин – 503,5 мкмоль/л; кальций – 2,24 ммоль/л; калий – 5,5 ммоль/л.
Заключение: повышение мочевины, креатинина, снижение СКФ, гиперкалиемия.
4. Иммуноферментный анализ крови на 20.10.2022 г.: β2-микроглобулин – 9,20%.
В 24-часовом наблюдении у нефролога не нуждается, переведен на лечение интермиттирующим гемодиализом амбулаторно. Для дальнейшего лечения множественной миеломы направлен к гематологу.
Заключение. Представлен не распространенный клинический вариант течения множественной миеломы с не яркими и не типичными клиническими проявлениями в начале основного заболевания. Окончательный диагноз был поставлен после сложного диагностического поиска, который сопровождался проведением расширенных лабораторных и инструментальных исследований.
Об авторах
М. А. Соловьева
Автор, ответственный за переписку.
Email: ogarevonline@yandex.ru
Россия
Ю. А. Самсонова
Email: ogarevonline@yandex.ru
Россия
Список литературы
- Семочкин С. В. Множественная миелома // Клиническая онкогематология. Фундаментальные исследования и клиническая практика. – 2020. – № 13 (1). – С. 1–24.
- Ямру М. С. Множественная миелома // Материалы XI Международной студенческой научной конференции «Студенческий научный форум» [Электронный ресурс]. – Режим доступа: https://scienceforum.ru/2019/article/2018011571 (дата обращения: 18.02.2023).
Дополнительные файлы








