Том 5, № 2 (2024)
- Год: 2024
- Статей: 20
- URL: https://ogarev-online.ru/DD/issue/view/17003
- DOI: https://doi.org/10.17816/DD.52
Оригинальные исследования
Возможности применения магнитно-резонансной томографии с использованием гепатотропных контрастных веществ для функциональной оценки печени
Аннотация
Обоснование. Оценка функции печени при различных заболеваниях остаётся важной клинической задачей. Применение магнитно-резонансной томографии с гепатотропным контрастным веществом для оценки функции печени представляет существенный научный и практический интерес.
Цель — изучить возможность функциональной оценки печени на основании показателей, полученных по данным магнитно-резонансной томографии с контрастированием гепатотропным веществом.
Материалы и методы. Были проанализированы данные пациентов, которым выполнялась магнитно-резонансная томография с внутривенным контрастированием гадоксетовой кислотой. Пациенты были разделены на две группы: с нарушенной (первая группа) и с нормальной (вторая группа) функцией печени. По данным магнитно-резонансных исследований оценивались следующие параметры: интенсивность сигнала печени, её отношение к интенсивности сигнала селезёнки и к интенсивности сигнала в просвете воротной вены. Были оценены показатели лабораторных анализов крови, отражающие функции печени: общий билирубин, альбумин, аланинаминотрансфераза, аспартатаминотрансфераза, γ-глутамилтранспептидаза, щелочная фосфатаза, протромбиновое время. Был проведён анализ статистической значимости различий между группами по параметрам магнитно-резонансной томографии, оценивалось наличие корреляционной связи между значениями интенсивности сигнала печени и данными лабораторных анализов крови.
Результаты. Были проанализированы данные 53 пациентов (25 мужчин и 28 женщин в возрасте от 24 до 84 лет). В первую группу вошло 19 человек, во вторую — 34 человека. Были установлены статистически значимые различия показателей интенсивности сигнала печени и её отношения к интенсивности сигнала селезёнки между исследуемыми группами. В первой группе значение интенсивности сигнала печени составило 919,05 [669,65; 1258,35], во второй — 1525,13 [1460,5; 1631,4] (p=0,0000001). Отношение интенсивности сигнала печени к интенсивности сигнала селезёнки в первой группе составило 1,2 [1,04; 1,7], во второй — 1,7 [1,46; 1,96] (p=0,00076). Отношение интенсивности сигнала печени к интенсивности сигнала в просвете воротной вены составило 1,44 [1,29; 1,83] в первой группе, 1,6 [1,43; 1,83] — во второй (p=0,1). Была оценена корреляция между интенсивностью сигнала печени и общим билирубином (r=–0,61; p=0,000001), альбумином (r=0,13; p=0,61), аспартатаминотрансферазой (r=–0,57; p=0,000009), аланинаминотрансферазой (r=–0,44; p=0,001), щелочной фосфатазой (r=–0,45; p=0,0007), γ-глутамилтранспептидазой (r=–0,5; p=0,0003), протромбиновым временем (r=–0,34; p=0,04). По шкале Чеддока заметная сила корреляционной связи была выявлена между показателем интенсивности сигнала печени и значениями общего билирубина, аспартатаминотрансферазы. Умеренная сила — между показателем интенсивности сигнала печени и значениями аланинаминотрансферазы, щелочной фосфатазы, γ-глутамилтранспептидазы, протромбинового времени.
Заключение. Продемонстрирована эффективность применения параметров магнитно-резонансной томографии (интенсивность сигнала печени и её отношение к интенсивности сигнала селезёнки) в функциональной оценке печени. В исследовании не подтвердилось предположение об эффективности применения такого параметра, как отношение значения интенсивности сигнала печени к интенсивности сигнала в просвете воротной вены. Были установлены статистически значимые обратные связи между значениями интенсивности сигнала печени и показателями лабораторных анализов крови, отражающих функции печени, за исключением альбумина. Результаты свидетельствуют о возможности использования магнитно-резонансной томографии для функциональной оценки печени.
137-148
Возможности и ограничения магнитно-резонансной томографии для диагностики эндоцервикальных аденокарцином шейки матки
Аннотация
Обоснование. В последние десятилетия отмечается рост аденокарцином шейки матки с 5% до 20%. Установлено, что эндоцервикальные аденокарциномы характеризуются более агрессивным течением и ранним метастазированием. В связи с трудностями цитологической диагностики аденокарциномы шейки матки лучевая диагностика играет ключевую роль на этапе установления диагноза и стадирования впоследствии. На настоящий момент исследований, посвящённых использованию магнитно-резонансной томографии в диагностике аденокарцином шейки матки, очень мало.
Цель — определить диагностическую информативность магнитно-резонансной томографии в стадировании аденокарцином шейки матки по Т-критерию, а также в оценке глубины инвазии опухоли в строму шейки матки, уточнить семиотические признаки аденокарциномы и особенности роста опухоли в матке.
Материалы и методы. В период с 2020 по 2023 год обследовано 123 пациентки с диагнозом рак шейки матки (С53). Детально проанализированы результаты обследования 22 (18%) пациенток с аденокарциномой шейки матки (средний возраст 56 лет), которым проводилась магнитно-резонансная томография органов малого таза на томографе с напряжённостью магнитного поля 1,5 Тл. Анализ информативности магнитно-резонансной томографии оценивался у 11/22 (50%) пациенток, у которых первым этапом было проведено хирургическое лечение в объёме экстирпации матки с придатками. Для анализа диагностической информативности проводилось сравнение данных магнитно-резонансной томографии и патоморфологического исследования операционного материала. Статистическая обработка результатов исследования проводилась с использованием программного приложения Microsoft Excel, JavaStat.
Результаты. В нашем исследовании аденокарцинома шейки матки определялась в 18% наблюдений среди всех случаев рака шейки матки. Информативность магнитно-резонансной томографии в оценке местной распространённости эндоцервикальных аденокарцином (по Т-критерию) составила (здесь и далее в скобках после основного значения указан 95% доверительный интервал): чувствительность — 77,78% (39,99–97,19%); специфичность — 50,00% (1,26–98,74%); предсказательная ценность положительного результата — 87,50% (62,64–96,69%); предсказательная ценность отрицательного результата — 33,33% (7,30–76,04%); точность — 72,73% (39,03–93,98%). Информативность магнитно-резонансной томографии в оценке глубины инвазии опухоли в строму шейки матки составила: отношение шансов — 3,500 (0,145–84,694); чувствительность — 85,7% (0,757–0,993), специфичность — 33,3% (0,018–0,0648), предсказательная ценность положительного результата — 75% (0,673–0,883), предсказательная ценность отрицательного результата — 50% (0,027–0,972).
Заключение. Настоящее исследование показало, что магнитно-резонансная томография является хорошим инструментом с высокими показателями диагностической информативности метода в выявлении эндоцервикальной аденокарциномы шейки матки. Выделенные в ходе анализа данных магнитно-резонансной томографии 4 типа макроструктуры опухолевого роста аденокарциномы шейки матки указывают на местноагрессивный рост опухоли, высокую частоту отсевов в эндометрий, а также позволят структурировать описательную картину врачу-рентгенологу в том числе при верифицированной аденокарциноме шейки матки, что в дальнейшем позволит лучшим образом выработать план лечения пациентки.
149-166
Магнитно-резонансная томография при воронкообразной деформации грудной клетки
Аннотация
Обоснование. Магнитно-резонансная томография чаще применяется для подтверждения факта наличия воронкообразной деформации грудной клетки, а также для оценки компрессионных изменений сердца на этом уровне.
Цель — прицельная предоперационная оценка воронкообразной деформации грудной клетки по данным магнитно-резонансной томографии.
Материалы и методы. Проведена ретроспективная оценка магнитно-резонансной томографии органов грудной клетки у 38 пациентов (30 мужского пола, 8 женского пола). Средний возраст — 19,9 года (±9 лет).
Магнитно-резонансная томография сердца выполнялась на аппарате General Electric Optima MR450w GEM 1,5 Тл с использованием импульсных последовательностей 2D-FIESTA-C с электрокардиографической синхронизацией с функциональной оценкой состояния левого и правого желудочков. Были получены параметры, необходимые для дальнейшего оперативного лечения пациентов по поводу воронкообразной деформации грудины — индекс Галлера, индекс коррекции, угол ротации грудины.
Проведена статистическая обработка полученных данных, поиск взаимосвязи между индексом Галлера, индексом коррекции, углом ротации грудины и фракцией выброса правого желудочка. Значение p <0,05 считали границей статистической значимости.
Результаты. В 92% случаев у пациентов выявлена умеренная и тяжёлая воронкообразная деформация грудной клетки. При поиске взаимосвязи между значениями индекса Галлера и фракцией выброса правого желудочка не было получено статистически значимой корреляции Пирсона (p=0,777 для значений фракции выброса на вдохе и p=0,798 для значений фракции выброса на выдохе). Среднее значение фракции выброса правого желудочка составило 46%.
При статистическом анализе по мере увеличения индекса Галлера (увеличение степени деформации органов грудной клетки) было отмечено увеличение индекса коррекции (p <0,05). Значения угла ротации грудины, потребовавшие модификации оперативного вмешательства (более 15°), были выявлены у 44,7% пациентов.
Заключение. Магнитно-резонансная томография — высокоинформативный метод диагностики при воронкообразной деформации грудной клетки: без лучевой нагрузки и с возможностью подробной предоперационной оценки патологических изменений.
Получены данные о наличии корреляции между значениями индекса Галлера и индекса коррекции (p <0,05). Кроме того, по данным магнитно-резонансной томографии выявлено уменьшение фракции выброса правого желудочка.
167-177
Разработка системы показателей, определяющих потребность в проведении телемедицинских консультаций при оказании медицинской помощи различных профилей
Аннотация
Обоснование. На данный момент не существует разработанной единой системы оценки результатов и реального вклада телемедицинских консультаций в повышение качества оказания медицинской помощи в системе здравоохранения Российской Федерации.
Цель — разработка системы показателей для дифференцированной оценки потребности в проведении телемедицинских консультаций при оказании медицинской помощи различных профилей.
Материалы и методы. Исследование проходило в два этапа. На первом этапе были проанализированы отчёты по результатам выездных мероприятий национальных медицинских исследовательских центров в субъекты Российской Федерации и годовые публичные отчёты о их деятельности за 2020–2022 гг. на предмет выявления показателей, определяющих потребность в телемедицинских консультациях. Выявленные показатели уточняли и валидировали в открытом интервью с представителями национальных медицинских исследовательских центров. По результатам первого этапа был сформирован перечень показателей для определения потребности в телемедицинских консультациях по различным профилям медицинской помощи. На втором этапе 18 экспертов проходили опрос, в котором оценивалась значимость каждого показателя в баллах от 1 до 5 и рассчитывались весовые коэффициенты каждого показателя для их последующего использования при планировании объёмов телемедицинских консультаций.
Результаты. Выделено три группы показателей, определяющих потребность в телемедицинских консультациях для различных профилей медицинской помощи: 1) показатели, влияющие на плановые объёмы телемедицинских консультаций; 2) показатели, характеризующие результативность и эффективность проведения телемедицинских консультаций; 3) показатели, характеризующие обоснованность запросов на телемедицинские консультации. К первой группе относятся показатели, отражающие состояние здоровья пациентов и некоторые особенности оказания медицинской помощи этого профиля (смертность, инвалидность, больничная летальность, частота экстренных/неотложных консультаций и консультаций реанимационных пациентов). Вторая группа включает показатели субъективной и объективной оценки результативности и эффективности проведения телемедицинских консультаций, где субъективная оценка включает удовлетворённость результатами ТМК, а объективная — число положительных и отрицательных исходов заболевания и исходов госпитализаций, по которым были проведены телемедицинские консультации. К третьей группе отнесены показатели, характеризующие обоснованность запросов на телемедицинские консультации: полнота обследования пациента перед консультацией, корректность установленного диагноза, экспертная оценка возможности принятия самостоятельного решения на уровне региона или медицинской организации. Весовые коэффициенты значимости показателей первой группы варьировали от 0,05 до 1,61 и отличались для разных профилей.
Заключение. Предложена система показателей для дифференцированной оценки потребности в проведении телемедицинских консультаций при оказании медицинской помощи различных профилей.
178-189
Дифференциальная диагностика хронических нарушений сознания по данным структурной магнитно-резонансной томографии
Аннотация
Обоснование. Дифференциальная диагностика хронических нарушений сознания остаётся сложной задачей даже для опытных клиницистов. В связи с этим для оценки таких пациентов актуальной является разработка инструментальных подходов, предоставляющих дополнительную информацию о диагнозе.
Цель — оценка межэкспертной согласованности и возможностей практического применения ранее предложенной шкалы оценки изменений на основе структурной магнитно-резонансной томографии для дифференциальной диагностики хронических нарушений сознания (DOC-MRIDS) на более крупной выборке пациентов.
Материалы и методы. Исследованы 60 соматически стабильных пациентов с клинически диагностированными хроническими нарушениями сознания: 32 — в вегетативном состоянии, и 28 — в состоянии минимального сознания. Клиническая оценка проводилась с использованием пересмотренной шкалы восстановления после комы (CRS-R). Всем пациентам была проведена структурная магнитно-резонансная томография с использованием томографов 3.0 T Siemens, включающая T2- и T1-последовательности. При оценке структурных изменений по шкале DOC-MRIDS учитывались наличие и выраженность следующих признаков: диффузная атрофия коры, увеличение желудочков, расширение борозд, лейкоареоз, дегенерация ствола мозга и/или таламуса, дегенерация мозолистого тела, очаговое поражение мозолистого тела; производился подсчёт суммарного балла. Данные магнитно-резонансной томографии анализировались тремя нейрорадиологами с оценкой межэкспертной согласованности (коэффициент альфа Криппендорфа).
Результаты. Выявлена высокая межэкспертная согласованность оценки по шкале DOC-MRIDS: α=0,806 (95% доверительный интервал 0,757–0,849). Пациенты в вегетативном состоянии имели более высокий балл по шкале магнитно-резонансной томографии DOC-MRIDS по сравнению с пациентами в состоянии минимального сознания (p <0,005). Получена отрицательная корреляция между оценкой по шкалам CRS-R и DOC-MRIDS (ρ=–0,457, p <0,0001) между отдельными доменами клинической шкалы и признаками по магнитно-резонансной томографии.
Заключение. Оценка структурных изменений у пациентов с хроническими нарушениями сознания с помощью шкалы DOC-MRIDS помогает установить вероятный клинический тип нарушения сознания с достаточной специфичностью, чувствительностью и межэкспертной согласованностью и может использоваться в клинической практике как дополнительный к клиническим данным дифференциально-диагностический метод.
190-202
Телемедицинский мониторинг пациентов с хронической сердечной недостаточностью: проспективное рандомизированное исследование
Аннотация
Обоснование. Хроническая сердечная недостаточность — одна из ключевых проблем отечественной системы здравоохранения. Для повышения качества оказания медицинской помощи и снижения частоты госпитализаций и смертности могут использоваться возможности электронного здравоохранения.
Цель — изучить влияние телемедицинского мониторинга на смертность, количество повторных госпитализаций и клинико-функциональный статус пациентов с хронической сердечной недостаточностью.
Материалы и методы. Проспективное, контролируемое, рандомизированное исследование проходило на базе Центральной городской больницы № 20 (г. Екатеринбург) с декабря 2020 года по декабрь 2022 года. Пациенты с подтверждённым диагнозом хронической сердечной недостаточности были рандомизированы методом конвертов на 3 группы: 1-я группа — группа телефонного диспансерного наблюдения (n=58), 2-я группа — группа диспансерного наблюдения на российской медицинской платформе Medsenger (n=52), 3-я группа — группа стандартного очного наблюдения у кардиолога поликлиники (n=103). Всем пациентам проводился осмотр, исследование концентрации NT-proBNP и эхокардиография при включении в исследование и во временных промежутках 3, 6 и 12 месяцев. В референсных точках оценивалось наступление первичной и вторичной конечных точек. Статистическая обработка была выполнена с использованием программ Stata 14 и jamovi.
Результаты. В исследовании приняли участие 213 человек, все 3 группы были сопоставимы между собой по основным демографическим и клиническим характеристикам. Было выявлено преимущество дистанционного (группы 1 и 2) перед очным (группа 3) наблюдением по снижению сердечно-сосудистой смертности через 3 месяца (отношение шансов 2,73, 95% доверительный интервал 1,1–7,39: p=0,042) и через 12 месяцев (отношение шансов 2,1, 95% доверительный интервал 1,1–3,7; p=0,027), а также показателю комбинированной первичной конечной точки через 12 месяцев (отношение шансов 2,1, 95% доверительный интервал 1,1–5,6; p=0,015).
Использование платформы Medsenger обладает преимуществом перед очным наблюдением в развитии событий комбинированной вторичной точки через 3 месяца (отношение шансов 1,39, 95% доверительный интервал 0,19–0,81; p=0,011); перед проведением структурированного телефонного опроса медицинской сестрой через 12 месяцев наблюдения по показателю сердечно-сосудистой смертности (отношение шансов 0,177, 95% доверительный интервал 0,06–0,487; p=0,021) и по развитию событий комбинированной вторичной конечной точки (отношение шансов 0,427, 95% доверительный интервал 0,189–0,964; p=0,041).
При использовании платформы Medsenger фракция выброса левого желудочка выросла с 47% исходно до 55% через 12 месяцев (p=0,004). Концентрация NT-proBNP снизилась с 817 пг/мл до 582 пг/мл (p <0,001) через 3 месяца, и до 233 пг/мл — через 12 месяцев (p <0,001).
Заключение. Разработка протоколов дистанционного наблюдения может стать хорошей альтернативой традиционному очному наблюдению пациентов с хронической сердечной недостаточностью, приводя к улучшению клинических и функциональных показателей здоровья.
203-218
Кальциноз митрального клапана как важная находка при сердечно-сосудистой визуализации
Аннотация
Обоснование. Кальциноз митрального клапана — это хронический дегенеративный процесс в фиброзных структурах митрального клапана, на продвинутых стадиях повышающий риск развития эндокардита и нарушений ритма сердца, а также вносящий вклад в структуру сердечно-сосудистой смертности. Этиология кальциноза митрального клапана пока является дискутабельным вопросом, однако вклад атеросклероза в его развитие в настоящее время не вызывает сомнений. Распространённость кальциноза митрального клапана варьирует в разных возрастных группах и в среднем выше у людей с заболеваниями сердечно-сосудистой системы.
Цель — оценка распространённости кальциноза митрального клапана у пациентов, проходящих компьютерную томографическую ангиографию; выявление взаимосвязи между кальцинозом аортального и митрального клапанов и индексом коронарного кальция, а также признаками ремоделирования.
Материалы и методы. Проведено ретроспективное исследование 336 пациентов, проходивших компьютерную томографическую коронароангиографию с внутривенным контрастированием на базе Медицинского научно-образовательного центра Московского государственного университета имени М.В. Ломоносова в период с 13.11.2020 по 14.05.2022.
Результаты. Исследование показало высокую распространённость кальциноза аортального (16,4%) и митрального (11%) клапанов в популяции людей, проходящих обследование сердечно-сосудистой системы, а также наличие взаимосвязи между кальцинозом клапанов и индексом коронарного кальция.
Заключение. Выявление кальциноза митрального клапана у пациентов при рутинном обследовании играет важную роль для прогнозирования дальнейшего лечения и исхода, поскольку кальциноз клапанов является косвенным показателем риска ишемической болезни сердца. Будучи, как правило, случайной находкой при обследовании, кальциноз клапанов может свидетельствовать о наличии у пациента повышенного сердечно-сосудистого риска и должен быть поводом для дополнительного обследования при клинической необходимости.
219-230
Роль телерадиологии в интерпретации изображений, полученных при проведении ультразвукового исследования в условиях неотложной медицинской помощи
Аннотация
Обоснование. Телерадиология — важный инструмент в условиях неотложной медицинской помощи, особенно при интерпретации изображений, полученных в ходе проведения ультразвуковых исследований. В чрезвычайных ситуациях, когда время имеет решающее значение, своевременная диагностика и лечение могут стать решающим фактором в спасении жизни пациентов. Телерадиология — инновационная альтернатива, позволяющая расширить кадровый состав и устранить нехватку радиологов, работающих в отделениях неотложной помощи в штатном режиме или в сверхурочное время.
Цель — оценить эффективность и влияние телерадиологии на интерпретацию изображений, полученных в ходе проведения ультразвуковых исследований, в условиях неотложной медицинской помощи.
Материалы и методы. Проведено ретроспективное исследование, в котором приняли участие 33 616 пациентов из 86 больниц США, обращавшихся за медицинской помощью в период с января по декабрь 2022 года. Сертифицированные специалисты Американского радиологического общества — официального провайдера телерадиологических услуг со штаб-квартирой в Бангалоре (Индия) — выполнили радиологическую оценку 37 253 изображений, полученных при проведении ультразвукового исследования в условиях неотложной медицинской помощи.
Результаты. Предложенная модель телемедицинской помощи обеспечила своевременную и качественную интерпретацию 37 253 снимков ультразвукового исследования пациентов со средним временем выполнения 35,71 мин (95% доверительный интервал 35,50–35,91).
Заключение. Данное исследование демонстрирует, что структурированная программа дистанционного ультразвукового исследования с установленными протоколами получения изображений, их передачи и последующей коммуникации между участниками процесса позволяет оперативно обмениваться данными в условиях неотложной медицинской помощи.
231-242
Новая интеллектуальная система для автоматической диагностики сколиоза по фронтальным рентгенограммам позвоночника: точность, преимущества и ограничения
Аннотация
Обоснование. Сколиоз — одна из самых распространённых деформаций позвоночника, которую обычно диагностируют с помощью фронтальных спондилограмм по методу Кобба. Автоматические методы измерения, основанные на искусственном интеллекте, компенсируют многие недостатки стандартных методов и могут значительно сэкономить время врача-рентгенолога.
Цель — проанализировать точность, преимущества и недостатки новой программы искусственного интеллекта при автоматическом определении степени сколиоза и измерении угла Кобба на фронтальных рентгенограммах.
Материалы и методы. Всего исследовано 114 рентгенограмм на предмет соответствия измерений угла Кобба, выполняемых автоматически программой искусственного интеллекта и рентгенологом с использованием метода Бленда–Альтмана в программе Microsoft Excel. Кроме того, были проведены клинические испытание точности системы с использованием ограниченных данных (120 рентгенограмм). Точность системы в определении степени выраженности сколиоза оценивали по показателям чувствительности, специфичности, точности и площади под ROC-кривой.
Результаты. Больше согласованности в измерениях угла Кобба, вычисляемых программой искусственного интеллекта и рентгенологом, найдено в группах сколиоза I и II степени. Только в 2,8% случаев наблюдалась клинически значимая разница в измерении углов Кобба (вариабельность >5°). Показатели диагностической точности, полученные в ходе ограниченного клинического исследования в городской Мариинской больнице (Санкт-Петербург), также подтвердили надёжность системы: чувствительность составила 0,97, специфичность — 0,88, точность (общая валидность) — 0,93, а площадь под ROC-кривой — 0,93.
Заключение. В целом, программа искусственного интеллекта может автоматически точно определять степень выраженности сколиоза, а также измерять углы искривления позвоночника на фронтальных спондилограммах.
243-254
Систематические обзоры
Приоритетные параметры радиомического анализа для компьютерной томографии при злокачественных новообразованиях головы и шеи: систематический обзор
Аннотация
Обоснование. Радиомика — новейшее и многообещающее направление современной лучевой диагностики. Число исследований злокачественных новообразований головы и шеи с помощью этого метода увеличивается с каждым годом. Мы провели систематический обзор новейших публикаций (2021–2023) по злокачественным новообразованиям головы и шеи, выполненным на основе компьютерной томографии.
Цель — систематизация данных по используемым параметрам радиомического анализа при раке головы и шеи, выявленным по данным компьютерной томографии.
Материалы и методы. Поиск статей осуществлялся в базе PubMed. Произведены извлечение базовых характеристик отобранных статей и оценка их качества по RQS 2.0 и модифицированному опроснику QUADAS-CAD. Оценили уровень воспроизводимости радиомических параметров, отобранных для прогностических моделей, в разных исследованиях. Для обзора отобрано 11 статей. В большинстве случаев отмечался высокий риск систематической ошибки, связанный с несбалансированностью выборки по демографическим параметрам и уровню патологий.
Результаты. При оценке качества радиомики диапазон баллов для исследованных статей изменяется от 19,44% до 50,00% максимально возможной суммы. Основные проблемы, влекущие за собой снижение качества исследований, обусловлены отсутствием внешней валидации результатов (73% проанализированных статей), а также недоступностью или непрозрачностью исследовательских данных (82%). Воспроизводимость радиомических параметров между исследованиями низкая из-за большого разнообразия используемых методик получения и постобработки изображений, а также извлечения и статистической обработки радиомических параметров.
Заключение. Обсуждается необходимость выделения базового блока устойчивых радиомических параметров для внедрения метода в клиническую практику, что возможно сделать только при стандартизации методов радиомики и создания открытой базы радиомических данных.
255-268
Технические отчеты
Магнитно-резонансная томография кисти: оптимизация сканирования
Аннотация
Обоснование. Магнитно-резонансная томография — один из ведущих методов лучевой диагностики патологических изменений опорно-двигательного аппарата, в том числе лучезапястного сустава и кисти. Основными проблемами, с которыми встречаются рентгенолаборанты и врачи-рентгенологи при выполнении магнитно-резонансной томографии кисти, являются отсутствие специализированной катушки и надёжного фиксирующего устройства для кисти, а также неудобная поза пациента, что в итоге приводит к чрезмерной двигательной активности пациента во время исследования и снижению качества получаемых изображений. В дополнение к этому, лучезапястный сустав и кисть состоят из множества небольших анатомических структур, детальная визуализация которых требует удлинения времени сканирования, что в свою очередь является дополнительным фактором риска получения некачественных изображений из-за двигательной активности пациента, повышая вероятность некорректной интерпретации исследования врачом-рентгенологом.
Цель — улучшить качество изображений, полученных в ходе магнитно-резонансной томографии кисти, путём разработки стандартизованного подхода к выполнению исследования: выбор катушки, укладка пациента, осуществление фиксации кисти, а также выбор протокола сканирования и параметров импульсных последовательностей.
Материалы и методы. Разработана лонгета для предупреждения движений кисти и выполнены исследования с применением двух видов радиочастотных катушек. Проведена сравнительная оценка изображений по техническим параметрам, а также оценка врачом-рентгенологом, специализирующимся на скелетно-мышечной визуализации, на предмет качества изображений в зависимости от цели исследования.
Результаты. Применение катушки для исследования головы (головной катушки) более целесообразно при необходимости сканирования всей кисти (например, при ревматологических заболеваниях), применение коленной катушки — при необходимости более детальной оценки анатомических структур (в том числе запястья), ввиду меньшего поля обзора и более высокого разрешения. На основании полученных данных были сформулированы рекомендации по проведению магнитно-резонансной томографии кисти: выбор радиочастотной катушки, протокола сканирования, параметров импульсных последовательностей. Кроме того, нами предложена лонгета для фиксации кисти пациента с целью нивелирования избыточных движений и предотвращения возникновения артефактов.
Заключение. Для качественного выполнения магнитно-резонансной томографии кисти требуется учитывать ряд факторов: правила безопасности при проведении магнитно-резонансной томографии, настройка параметров сканирования, грамотная фиксация кисти в катушке. Соблюдение рекомендаций, которые предлагаются в данной работе, а также применение разработанной лонгеты позволяют улучшить качество полученных изображений при магнитно-резонансной томографии кисти.
269-282
Обзоры
Возможности мультипараметрической магнитно-резонансной томографии при проведении фьюжн-биопсии под её контролем в диагностике рака предстательной железы: текущий статус
Аннотация
В данном обзоре освещается роль мультипараметрической магнитно-резонансной томографии в выявлении рака предстательной железы, в частности — при биопсии простаты. Использование мультипараметрической магнитно-резонансной томографии в диагностике рака простаты позволяет также применять её для биопсии. Мультипараметрическая магнитно-резонансная томография, по данным многих исследований, обладает высокой чувствительностью и специфичностью в ранней диагностике и стадировании у пациентов с сохраняющимся высоким уровнем простатспецифического антигена, несмотря на предыдущие отрицательные биопсии простаты, а также при ведении пациентов, находящихся под активным наблюдением.
Для проведения прицельной биопсии простаты существует три типа наведения: когнитивная фьюжн-биопсия; прямая биопсия, направляемая магнитно-резонансной томографией и выполняемая внутри томографа (in-bore); программная корегистрация снимков предоперационной магнитно-резонансной томографии с интраоперационным ультразвуковым исследованием с помощью фьюжн-устройства. При этом при проведении прицельной биопсии результаты мультипараметрической магнитно-резонансной томографии накладываются в цифровом виде на изображения трансректального ультразвукового исследования в реальном времени.
Каждый метод имеет свои преимущества и недостатки. Прицельная биопсия с помощью магнитно-резонансной томографии улучшает качество гистологических результатов по сравнению с другими подходами, выявляя значимые индексные поражения с точностью до 90%. Правильное стадирование позволяет выбрать оптимальные варианты лечения, адекватно оценить прогноз, снизить частоту новых биопсий и осложнений. В настоящее время главная задача состоит в том, чтобы сделать биопсию в сочетании с магнитно-резонансной томографией более доступной и стандартизировать технику проведения процедуры, что позволит минимизировать межоператорскую вариабельность в зависимости от используемой системы.
283-302
SWOT-анализ: дистанционный мониторинг артериального давления
Аннотация
В связи с глобальными политическими и социально-экономическими изменениями система здравоохранения испытывает огромную нагрузку. Переход на новый уровень оказания медицинской помощи требует внедрения современных технологических решений. Ускоренное развитие инноваций в медицине и формирование персонализированного подхода позволит повысить качество и доступность медицинских услуг.
Одним из направлений развития здравоохранения является использование цифровых технологий и применение дистанционного мониторирования для оценки показателей здоровья граждан. В настоящее время на территории Российской Федерации реализуется Федеральный проект дистанционного наблюдения за пациентами с артериальной гипертензией «Персональные медицинские помощники». Как и любая новая технология, дистанционное мониторирование имеет свои преимущества и недостатки. В данной статье проведён стратегический анализ (SWOT-анализ), а также рассмотрены медицинские, экономические, социальные и политические аспекты, которые могут оказать влияние конечный результат федерального проекта. Для эффективного внедрения в практику технологии дистанционного мониторирования требуется акцентуация сильных и проработка слабых сторон как в системе здравоохранения, так и в государстве в целом. Проведённый SWOT-анализ может быть использован для построения дальнейшей стратегии широкого использования в клинической практике новых цифровых технологий.
303-317
Традиционные и инновационные методы визуализации при раке мочевого пузыря: технология выполнения и применение
Аннотация
В статье описаны современные методы визуализации при оценке рака мочевого пузыря с учётом традиционных технологий (ультразвуковое исследование, компьютерно-томографическая урография и магнитно-резонансная томография), а также новых технологий, таких как ультразвуковое исследование с контрастным усилением и двухэнергетическая компьютерная томография.
В начале статьи представлены общие данные об анатомии мочевого пузыря для понимания его нормального внешнего вида при визуализации, а также основные особенности рака мочевого пузыря с учётом эпидемиологии, клинической картины, классификации и лечения. Затем обсуждается роль каждого метода визуализации с объяснением техники выполнения процедуры и применения в оценке рака мочевого пузыря.
Визуализация играет важнейшую роль в выявлении и стадировании рака мочевого пузыря. В частности, в последнее время возрастает роль магнитно-резонансной томографии, которая, дополняя результаты компьютерно-томографической урографии и ультразвукового исследования, позволяет дифференцировать мышечно-инвазивный рак мочевого пузыря от немышечно-инвазивного с помощью системы отчётности и данных о визуализации (VI-RADS). Ультразвуковое исследование с контрастным усилением и двухэнергетическая компьютерная томография — новые методы визуализации, которые обладают особыми преимуществами и обеспечивают правильный подход к пациенту с онкологическими заболеваниями. В конце обзора представлены комбинированные методы визуализации, включающие позитронно-эмиссионную томографию, совмещённую с компьютерной или магнитно-резонансной томографией, которые также перспективны при стадировании рака мочевого пузыря.
318-333
Клинические случаи и серии клинических случаев
Множественные билиарные микрогамартомы, случайно диагностированные у пожилого пациента
Аннотация
Множественные билиарные гамартомы, также называемые комплексами фон Мейенбурга — это доброкачественные новообразования печени, которые могут быть выявлены случайно. Их нелегко обнаружить, если ранее не доводилось с ними встречаться, а также если соответствующие методы визуализации на момент обследования недоступны. К тому же их сложно отличить от других поражений печени на основании визуализационных данных. Таким образом, описание данного клинического случая направлено на пополнение библиотеки цифровых изображений, что позволит радиологу быстро и точно провести дифференциальную диагностику. Кроме того, подчёркивается важность тщательной рентгенологической оценки этого заболевания и необходимость мультидисциплинарного подхода с участием радиологов, гепатологов и патологов для постановки точного диагноза.
Пациент поступил в больницу для проведения компьютерной томографии и магнитно-резонансной томографии брюшной полости по рекомендации терапевта для оценки состояния билиарного дерева (магнитно-резонансная холангиопанкреатография) в связи с постоянными болями в животе. Пациенту никогда ранее не проводили инструментальное обследование брюшной полости, поэтому новообразования печени оказались случайной и неожиданной находкой.
Магнитно-резонансная томография выявила множественные доброкачественные образования в обеих печёночных долях, сопоставимые с комплексами фон Мейенбурга. Эти поражения представляют собой множественные гамартомы и ведут себя по-разному во всех последовательностях сканирования.
В ходе исследования были тщательно изучены изображения, полученные с помощью различных последовательностей магнитно-резонансной томографии. В печени обнаружены множественные очаги поражения с признаками доброкачественности, которые соответствовали диагнозу «множественные билиарные гамартомы».
Практикующие специалисты должны уметь распознать это заболевание и учитывать его при дифференциальной диагностике у пациентов с патологиями печени. Это позволит предотвратить ненужные вмешательства и выбрать правильную тактику ведения пациентов.
334-341
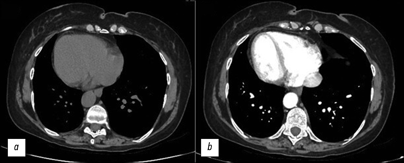
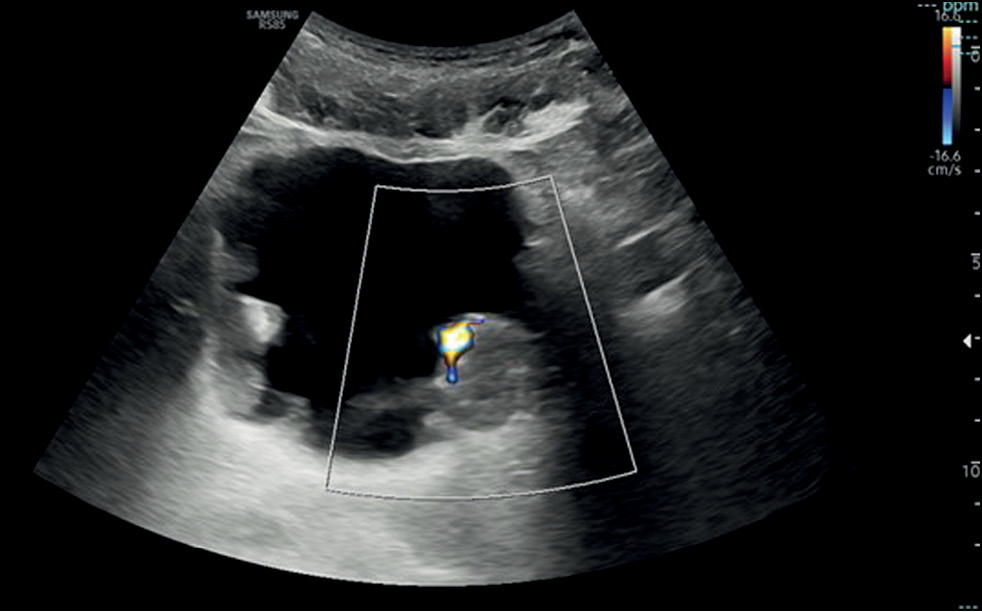
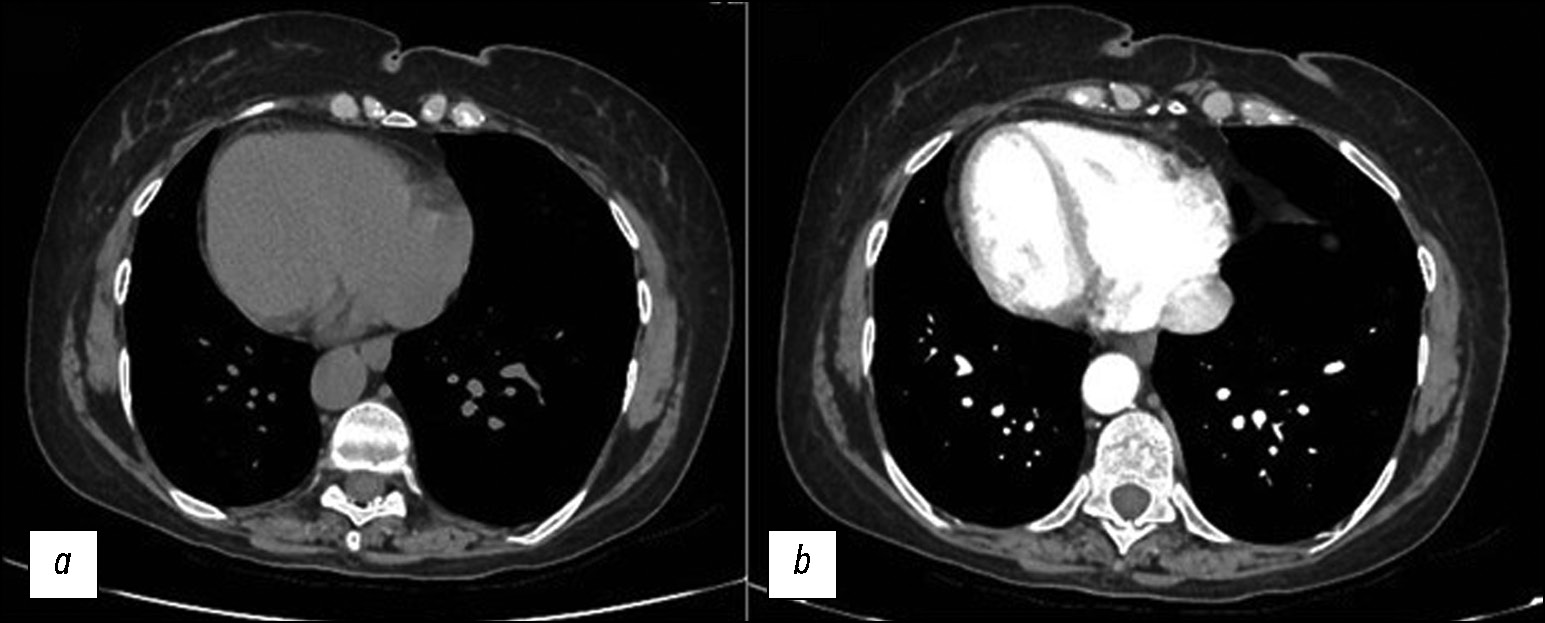
Проспективная оценка показателей растяжимости стенки восходящей аорты и её сосудистого протеза у пациентки с аневризмой при технически безупречной хирургической коррекции и послеоперационном снижении функциональных показателей: клинический случай
Аннотация
Представлен и обсуждён клинический случай, когда у пациентки после выполнения хирургически безупречного протезирования восходящей аорты отмечалось выраженное снижение толерантности к физической нагрузке, снижение сократительной функции миокарда левого желудочка в покое и расширение лёгочной артерии вследствие усиления лёгочной артериальной гипертензии. Протезирование было выполнено в связи с инструментально выявленной при расширенном магнитно-резонансном томографическом исследовании аневризмой восходящей аорты с увеличением просвета в поперечном сечении аорты до 60 мм. Показано, что единственным и ведущим фактором к развитию негативных последствий протезирования явилось снижение объёма систолического расширения аорты до 5 мл, при исходных 13 мл, несмотря на заметное увеличение показателей растяжимости и снижения механической жёсткости по сравнению с показателями поражённой стенки аорты. Представлен обзор литературы и обсуждены в этой связи настоятельная необходимость и проблемы создания протезов аорты, эквивалентных по показателям механической растяжимости и упругости таковым для здоровых биологических тканей.
342-353
Идиопатическая инвагинация кишечника: результаты визуализации неотложной абдоминальной патологии
Аннотация
Инвагинация кишечника у взрослых — редкая причина кишечной непроходимости и обычно связана с неопластическими заболеваниями. Идиопатические формы встречаются крайне редко. В статье описывается случай инвагинации кишечника у молодой женщины, которая испытывала симптомы кишечной непроходимости. Представлены результаты визуализации.
Первичных заболеваний при гистологическом исследовании выявлено не было. Пациентка поступила в больницу для проведения компьютерной томографии из-за постоянных болей в животе. Компьютерная томография выявила инвагинацию кишечника с вовлечением илеоцекального клапана и купола слепой кишки, а также отёчность и утолщение стенок париетальной брюшины. Идиопатическая инвагинация кишечника — редкое неотложное состояние органов брюшной полости у взрослых. Симптомы могут быть персистирующими, стёртыми и неясными, что затрудняет постановку точного диагноза. В таких случаях решающее значение имеет диагностическая визуализация. Некоторые результаты компьютерной томографии, такие как мишеневидное содержимое кишечника, могут указывать на данное заболевание.
354-360
Односторонняя атрезия лёгочных вен: сложности лучевой диагностики
Аннотация
Атрезия лёгочных вен — редкий порок развития, который может возникать как изолированно, так и в сочетании с другими врождёнными пороками развития сердечно-сосудистой системы, например, с таким как гипоплазия лёгочной артерии. Атрезия лёгочных вен приводит к изменениям в работе сердечно-сосудистой системы. Данный порок развития чаще диагностируется в младенческом и раннем детском возрастем ввиду рецидивирующих эпизодов пневмонии и кровохарканья. Во взрослом возрасте атрезия лёгочных вен встречается намного реже, клинически характеризуется такими проявлениями, как одышка при физической нагрузке и кровохарканье. Однако в редких случаях клинические симптомы отсутствуют, при этом изменения в паренхиме лёгких носят неспецифический характер, ввиду чего могут быть ошибочно расценены как проявления различных лёгочных заболеваний в том числе воспалительного генеза. В представленной статье описано клиническое наблюдение сочетания односторонней атрезии лёгочных вен с гипоплазией лёгочной артерии и интерстициальными изменениями в гипоплазированном лёгком у молодого мужчины без жалоб со стороны органов дыхания. Патологии впервые выявлены в 21 год по данным компьютерной томографии с контрастным усилением.
361-369
Полная транспозиция внутренних органов неясной этиологии, случайно выявленная при компьютерной томографии
Аннотация
Доброкачественная транспозиция внутренних органов (situs inversus totalis) часто диагностируется случайно, редко у взрослых и чаще у детей и новорождённых, как правило, у представителей обоих полов. В данной статье описан случай молодой пациентки, у которой случайно обнаружили situs inversus totalis при компьютерной томографии по поводу острой боли в животе. При этой редкой аномалии основные внутренние органы имеют зеркальное расположение. Данный случай подчёркивает важность информированности врачей и учёта situs inversus в клинической практике, особенно при интерпретации результатов визуализации и планировании медицинских процедур. Знания о подобных аномалиях очень важны для дифференциальной диагностики и выявления сопутствующих заболеваний у таких пациентов.
Этиология situs inversus totalis до сих пор не ясна, однако это состояние часто протекает бессимптомно, особенно у младенцев, и иногда ассоциируется с другими синдромами. Наша пациентка поступила в отделение неотложной помощи с болью в левом боку, тошнотой и лихорадкой. При первом ультразвуковом исследовании было выявлено нетипичное расположение внутренних органов. По этой причине была назначена компьютерная томография с контрастированием, после чего снимки были тщательно изучены. Ранее пациентка никогда не проходила компьютерную томографию, поэтому situs inversus totalis оказалась неожиданной и случайной находкой. При болях в груди или животе врачи могут предположить наличие situs inversus totalis по результатам компьютерной томографии, особенно если нет других клинических и визуализационных данных в анамнезе. Эти знания могут помочь в дифференциальной диагностике, позволяя избежать ненужных вмешательств. Более того, сопутствующие заболевания, затрагивающие несколько систем органов, в частности сердечно-сосудистую и лёгочную, встречаются у многих пациентов с situs inversus totalis, что требует тщательного обследования и наблюдения за ними в течение всей жизни.
370-378
Трудности лучевой диагностики зрелой тератомы надпочечника, имитирующей нейробластому, у ребёнка
Аннотация
Наиболее частое образование надпочечников у детей раннего возраста — это нейробластома, в дифференциальный ряд которой включены такие образования, как нефробластома, кровоизлияние в надпочечник, ангиомиолипома, миелолипома и аденома. В данной статье описан случай одной из самых редких опухолей надпочечников у детей — тератомы, которая на начальных этапах диагностики, несмотря на крупный размер, демонстрировала все рентгенологические и гистологические признаки нейробластомы.
Тератомы — это герминогенно-клеточные опухоли, обычно обнаруживаемые в области гонад. Тератомы надпочечников встречаются крайне редко и составляют около 0,13% всех образований надпочечников. Как правило, тератомы надпочечников протекают бессимптомно за счёт того, что забрюшинное пространство достаточно обширно для свободного роста образования.
Впервые в отечественной литературе нами представлен клинический случай тератомы надпочечника у ребёнка в возрасте 3 месяцев. В статье также подробно описан ход диагностических исследований и те сложности, с которыми рентгенологи и клиницисты столкнулись, встретив распространённую в детском возрасте опухоль в очень редкой для неё локализации.
Данная статья может помочь врачам повысить осведомлённость о таком редком заболевании и включить тератому надпочечников в потенциальный дифференциальный ряд новообразований надпочечников.
379-389
