Therapeutic tactics in cholelithiasis in children
- Authors: Svarich V.G.1,2, Kagantsov I.M.1,2, Svarich V.A.3
-
Affiliations:
- Public Institution Republican Children’s Clinical Hospital
- Pitirim Sorokin Syktyvkar State University
- The Principal Offi ce a Medical Social Examination on the Komi Republic of the Ministry of Labour and Social Protection of the Russian Federation
- Issue: Vol 10, No 6 (2019)
- Pages: 53-57
- Section: Original studies
- URL: https://ogarev-online.ru/pediatr/article/view/21300
- DOI: https://doi.org/10.17816/PED10653-57
- ID: 21300
Cite item
Full Text
Abstract
There are still many questions concerning the choice of tactics for the treatment of cholelithiasis in childhood. For a long time, cholelithiasis traditionally considered a pathology of adults. Accordingly, virtually all research was devoted to the diagnosis and treatment of this pathology in the above group of patients.
Purpose of research. Justification of tactics in surgical treatment of cholelithiasis in children.
Patients and research methods. The work formed observations on 135 children aged from 2 to 17 years with cholelithiasis. In 70.4% of cases the disease is observed in girls and boys, respectively at 29.6%. 7.8% of patients have children disease arose against the backdrop of hemolytic anemia. One patient, who received urgent indications, had manifestations of mechanical jaundice: an increase in the level of common bilirubin and its direct fraction, pronounced jaundice of the skin. In the second group, 140 children with chronic stoneless cholecystitis were compared.
Research result. All patients with cholelithiasis identified different ways deformation in the area of gallbladder duct. One of the major causes of cholelithiasis in children are changes in the gallbladder duct. No patient has ever been found in concretions extrahepatic biliary passages. In patients with chronic stone-free cholecystitis pathology in the area of bladder flow was not found.
Conclusion. One of the major causes of gallstone disease in children are changes in the gallbladder duct, that most likely leads to obstruction of outflow of bile from the gall bladder, with the subsequent formation of concrements. Therefore, the conduct of conservative treatment of cholelithiasis in children appear to be ineffective and the method of choice in the treatment of this pathology can be a cholecystectomy.
Keywords
Full Text
Долгое время желчнокаменная болезнь (ЖКБ) традиционно считалась патологией взрослых. Соответственно, практически весь объем научных исследований был посвящен диагностике и лечению данной патологии у вышеуказанной группы пациентов [3, 5, 8, 10, 15, 17]. Лишь в последние годы появились отдельные работы, посвященные исследованию желчнокаменной болезни у детей [2, 9, 12, 16, 18–20]. Вместе с тем, остается множество вопросов, касающихся выбора тактики лечения этой патологии в детском возрасте. Существует множество мнений относительно причины возникновения камней в желчном пузыре, причем взгляды на эту проблему у детских хирургов и общих хирургов зачастую прямо противоположные, что свидетельствует о нерешенности данной проблемы [1, 4, 6, 7, 11, 13, 14].
Цель работы. Обоснование тактики при хирургическом лечении желчнокаменной болезни у детей.
МАТЕРИАЛЫ И МЕТОДЫ
В период с 1994 по 2019 г. в хирургическом отделении Республиканской детской клинической больницы г. Сыктывкара находились на лечении в первой группе 135 детей с ЖКБ. Распределение по полу и возрасту представлено в табл. 1.
Таблица 1 / Table 1
Распределение по полу и возрасту в группе детей с желчнокаменной болезнью
Distribution by sex and age in the group of children with cholelithiasis
Пол / Sex | Возраст, год / Age, year | Всего / All | |||
0–2 | 3–7 | 8–12 | 13–17 | ||
Мальчики / Boys | 1 | 3 | 17 | 19 | 40 |
Девочки / Girls | 0 | 10 | 22 | 63 | 95 |
Итого / Total | 1 | 13 | 39 | 82 | 135 |
Возраст пациентов был от 2 до 17 лет. В 70,4 % случаев заболевание отмечено у девочек, соответственно у мальчиков — 29,6 %. У 7,8 % пациентов заболевание возникло на фоне гемолитической анемии. Около трети пациентов предъявляли жалобы на умеренно выраженный болевой синдром или чувство тяжести в верхней половине живота. У 15 % детей клинические симптомы возникали на фоне погрешностей в диете. При этом клинические и биохимические показатели анализов крови и мочи, в том числе печеночного профиля, были в пределах нормы. Вышеуказанные симптомы послужили показанием к проведению ультразвукового исследования (УЗИ). У пациентов с бессимптомным течением ЖКБ УЗИ было назначено по другому поводу. При проведении УЗИ у всех пациентов в желчном пузыре обнаруживали гиперэхогенные образования (рис. 1), смещаемые при изменении положения тела (конкременты).
Рис. 1. Ультразвуковая картина конкремента в желчном пузыре
Fig. 1. Ultrasonic pattern of concretion in the gallbladder
У одного пациента, поступившего в отделение по срочным показаниям, имелись проявления механической желтухи: повышение уровня общего билирубина и его прямой фракции, выраженная иктеричность кожных покровов.
Для сравнения во вторую группу включили 140 детей с хроническим бескаменным холециститом. Возраст пациентов был от 2 до 17 лет. В 63,6 % случаев заболевание отмечено у девочек, соответственно у мальчиков — 36,4 %. Распределение по полу и возрасту в данной группе пациентов представлено в табл. 2. Всем пациентам было выполнено УЗИ желчного пузыря. У всех отмечалось утолщение и неоднородность стенки желчного пузыря. У 15 % выявлена деформация тела желчного пузыря (рис. 2). При этом ни у одного пациента не было патологических изменений в области пузырного протока.
Рис. 2. Деформация тела желчного пузыря
Fig. 2. Gallbladder deformation
Таблица 2 / Table 2
Распределение по полу и возрасту в группе детей с хроническим бескаменным холециститом
Distribution by sex and age in the group of children with chronic stoneless cholecystitis
Пол / Sex | Возраст, год / Age, year | Всего / All | |||
0–2 | 3–7 | 8–12 | 13–17 | ||
Мальчики / Boys | 1 | 12 | 18 | 20 | 51 |
Девочки / Girls | 0 | 4 | 16 | 69 | 89 |
Итого / Total | 1 | 16 | 34 | 89 | 140 |
После установления диагноза ЖКБ всем пациентам проводилась обзорная рентгенография брюшной полости с целью обнаружения кальцинированных конкрементов в желчном пузыре. У двух пациентов они были четко визуализированы, вследствие чего детям консервативное лечение не проводилось и были установлены показания к оперативному лечению (рис. 3).
Рис. 3. Кальцинированный конкремент в желчном пузыре
Fig. 3. Calcified brupor in the gallbladder
Остальным 132 пациентам назначалась консервативная терапия препаратами урсодезоксихолевой кислоты на срок 12 месяцев под контролем гастроэнтеролога. При контрольном УЗИ после проведения консервативной терапии у всех детей сохранялись конкременты в желчном пузыре. Наличие кальцинированных конкрементов в желчном пузыре и отсутствие эффекта от консервативной терапии явилось показанием к проведению оперативного лечения. С течением времени происходило эволюционирование методов оперативного лечения, применявшегося для хирургического лечения ЖКБ у детей. В период с 1994 по 1997 г. у 7 пациентов холецистэктомия выполнялась через лапаротомный разрез по Кохеру. С 1997 по 2007 г. для проведения холецистэктомии у 13 пациентов использовалась минилапаротомия. С 2007 г. у 114 детей выполнялась лапароскопическая холецистэктомия. У одного ребенка с механической желтухой по срочным показаниям была выполнена лапаротомия с холецистэктомией от дна. Во время операции у него выявили мембрану в дистальной части общего печеночного протока, которая была разрушена при зондировании протока для проведения его дренирования по Холстеду. После ликвидации явлений механической желтухи и проведения контрастирования внепеченочных желчных ходов, показавшего их полную проходимость, дренаж был удален.
В послеоперационном периоде у одного пациента возникло осложнение — кровотечение из ложа удаленного желчного пузыря, потребовавшее проведения релапароскопии и гемостаза путем электрокоагуляции ложа желчного пузыря.
Все удаленные макропрепараты отправлялись на патогистологическое исследование.
РЕЗУЛЬТАТЫ ИССЛЕДОВАНИЯ И ИХ ОБСУЖДЕНИЕ
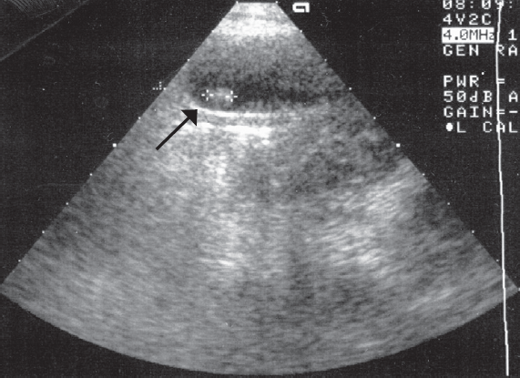
Проведенное в дооперационном периоде УЗИ гепатобилиарной системы выявило у всех пациентов с ЖКБ различные варианты деформации в области пузырного протока (рис. 4).
Рис. 4. Ультразвуковая картина деформированного пузырного протока
Fig. 4. Ultrasonic pattern of deformed cystic duct
Аналогичные изменения пузырного протока были выявлены и во время проведения оперативного лечения (рис. 5). Ни у одного пациента не было найдено конкрементов во внепеченочных желчных ходах.
Рис. 5. Интраоперационная картина деформированного пузырного протока
Fig. 5. Intraoperative picture of deformed cystic duct
При детальном патогистологическом исследовании во всех случаях удаленный желчный пузырь имел признаки хронического воспаления и в подтверждении данных УЗИ — деформацию или сужение пузырного протока различной протяженности.
Все пациенты в ближайшем и отдаленном послеоперационном периодах находились под наблюдением гастроэнтеролога. В сроки от одного года до десяти лет наблюдения в послеоперационном периоде ни у одного пациента не отмечен рецидив ЖКБ.
ВЫВОДЫ
Одной из основных причин возникновения ЖКБ у детей являются изменения в области пузырного протока, что вероятнее всего приводит к затруднению оттока желчи из желчного пузыря, с последующим образованием конкрементов. Следовательно, проведение консервативного лечения при ЖКБ у детей представляется малоэффективным и методом выбора при лечении данной патологии может быть холецистэктомия.
About the authors
Vyacheslav G. Svarich
Public Institution Republican Children’s Clinical Hospital; Pitirim Sorokin Syktyvkar State University
Author for correspondence.
Email: svarich61@mail.ru
Head, Surgical Department; MD, PhD, Dr Med Sci, Professor
Russian Federation, SyktyvkarIlya M. Kagantsov
Public Institution Republican Children’s Clinical Hospital; Pitirim Sorokin Syktyvkar State University
Email: ilkagan@rambler.ru
Head, Uronefrological Department; MD, PhD, Dr Med Sci, Professor
Russian Federation, SyktyvkarVioletta A. Svarich
The Principal Offi ce a Medical Social Examination on the Komi Republic of the Ministry of Labour and Social Protection of the Russian Federation
Email: svarich61@mail.ru
Deputy Director
Russian Federation, SyktyvkarReferences
- Вахрушев Я.М., Хохлачева Н.А. Желчнокаменная болезнь: эпидемиология, факторы риска, особенности клинического течения, профилактика // Архивъ внутренней медицины. – 2016. – Т. 6. – № 3. – С. 30–34. [Vakhrushev JM, Khokhlacheva NA. Gallstone disease: epidemiology, risk factors, clinical features, prevention. Archive of internal medicine. 2016;6(3):30-34. (In Russ.)]
- Думова Н.Б., Приворотский В.Ф., Луппова Н.Е., и др. Желчнокаменная болезнь у детей: современные представления, варианты терапии и профилактика // Гастроэнтерология Санкт-Петербурга. – 2008. – № 1. – C. 25–30. [Dumova NB, Privorotskiy VF, Luppova NE, et al. Zhelchnokamennaya bolezn’ u detey: sovremennye predstavleniya, varianty terapii i profilaktika. Gastroenterologiia Sankt-Peterburga. 2008;(1):25-30. (In Russ.)]
- Кыжыров Ж.Н., Курдекбаев К.К., Искакова Т.А., и др. Осложненные формы желчнокаменной болезни — хирургическое лечение // Вестник КазНМУ. – 2013. – № 1. – C. 199–200. [Kyzhyrov ZhN, Kurdekbaev KK, Iskakova TA, et al. Complicated forms of a cholelithiasis illness – surgical treatment. Vestnik KazNMU. 2013;(1):199-200. (In Russ.)]
- Лупаш Н.Г., Шакарян К.А., Маталаева С.Ю., и др. Желчнокаменная болезнь у детей раннего возраста — лечить консервативно или оперативно? Российский вестник перинатологии и педиатрии. – 2018. – Т. 63. – № 4. – С. 63–68. [Lupash NG, Shakaryan KA, Matalaeva SYu, et al. Cholelithiasis in infants – conservative or surgical treatment? Rossiiskii vestnik perinatologii i pediatrii. 2018;63(4):63-68. (In Russ.)]
- Мерзликин Н.В., Подгорнов В.Ф., Семичев Е.В., и др. Методы лечения холедохолитиаза // Бюллетень Сибирской медицины. – 2015. – Т. 14. – № 4. – С. 99–109. [Merzlikin NV, Podgornov VF, Semichev EV, et al. The methods of choledocholithiasis treatment. Bulletin of Siberian medicine. 2015;14(4): 99-109. (In Russ.)]
- Пименова Н.В., Казначеев К.С., Казначеева Л.Ф. Желчнокаменная болезнь у детей // Практическая медицина. – 2011. – № 5. – С. 16–19. [Pimenova NV, Kaznacheev KS, Kaznacheeva LF. Zhelchnokamennaya bolezn’ u detey. Prakticheskaya meditsina. 2011;(5): 16-19. (In Russ.)]
- Призенцов А.А., Лобанков В.М., Скуратов А.Г. Желчнокаменная болезнь: состояние проблемы // Проблема здоровья и экологии. – 2012. – № 3. – С. 40–44. [Prizentsov AA, Lobankov VM, Skuratov AG. Gallstone disease: state of the problem. Problema zdorov’ya i ekologii. 2012;(3):40-44. (In Russ.)]
- Топузов Э.Г., Хадзиева М.И., Кяккинен А.И., и др. Минилапаротомия в лечении холелитиаза // Вестник Национального медико-хирургического центра им. Н.И. Пирогова. – 2016. – Т. 11. – № 1. – С. 42–44. [Topuzov EG, Khadzieva MI, Kyakkinen AI, et al. Minilaparotomy in the treatment of cholelithiasis. Vestnik Natsional’nogo mediko-khirurgicheskogo tsentra im. N.I. Pirogova. 2016;11(1):42-44. (In Russ.)]
- Харитонова Л.А. Желчнокаменная болезнь у детей // Российский журнал гастроэнтерологии, гепатологии, колопроктологии. – 2006. – Т. 16. – № 1. – С. 61–71. [Kharitonova LA. Gallstone disease in children. Russian journal of gastroenterology, hepatology, coloproctology. 2006;16(1):61-71. (In Russ.)]
- Цуканов В.В., Васютин А.В., Тонких Ю.Л. Современные аспекты патогенеза и лечения холелитиаза // Сибирский медицинский журнал (Иркутск). – 2015. – Т. 132. – № 1. – С. 10–14. [Tsukanov VV, Vasyutin AV, Tonkikh YuL. Modern aspects of pathogenesis and treatment of cholelithias. Sibirskii meditsinskii zhurnal. 2015;132(1):10-14. (In Russ.)]
- Шадрин О.Г., Шутова Е.В. Подходы к терапии ранней стадии желчнокаменной болезни у детей // Здоровье ребенка. – 2011. – № 7. – С. 45–49. [Shadrin OG, Shutova EV. Approaches to the Treatment of Early Stage of Gallstone Disease in Children. Child’s health. 2011;50(7):45-49. (In Russ.)]
- Шакарян К.А., Харитонова Л.А. Успешная литотомическая терапия у ребенка трех месяцев с желчнокаменной болезнью // Экспериментальная и клиническая гастроэнтерология. – 2011. – № 1. – С. 98–106. [Shakaryan KA, Kharitonova LA. Uspeshnaya litotomicheskaya terapiya u rebenka trekh mesyatsev s zhelchnokamennoy bolezn’yu. Eksp Klin Gastroenterol. 2011;(1):98-106. (In Russ.)]
- Шеина О.П., Чередниченко А.М. Желчнокаменная болезнь у детей // Вестник Уральской медицинской академической науки. – 2010. – № 3. – С. 63–68. [Sheina OP, Cherednichenko AM. Cholelithiasis in chillren. Journal of Ural medical academic science. 2010;(3):63-68. (In Russ.)]
- Cai JS, Qiang S, Bao-Bing Y. Advances of recurrent risk factors and management of choledocholithiasis. Scand J Gastroenterol. 2017;52(1):34-43. https://doi.org/10.1080/00365521.2016.1224382.
- Coelho JC, Vizzoto AO, Salvalaggio PR, Tolazzi AR. Laparoscopic cholecystectomy to treat patients with asymptomatic gallstones. Dig Surg. 2000;17(4): 344-347. https://doi.org/10.1159/000018876.
- Dooki MR, Norouzi A. Cholelithiasis in childhood: a cohort study in North of Iran. Iran J Pediatr. 2013;23(5): 588-592. 4006511.
- Hamazaki K, Kurose M. Laparoscopic cholecystectomy: experience with 150 consecutive patients in Kurashiki. Hiroshima J Med Sci. 2000;49(1):1-6.
- Russo EM, Lusenti A. Cholelithiasis in pediatric age: three cases. Pediatr Med Chir. 1999;21(1): 29-31.
- Schweizer P, Lenz MP, Kirschner HJ. Pathogenesis and symptomatology of cholelithiasis in childhood. A prospective study. Dig Surg. 2000;17(5):459-467. https://doi.org/10.1159/000051941.
- Serdaroglu F, Koca YS, Saltik F, et al. Gallstones in childhood: etiology, clinical features, and prognosis. Eur J Gastroenterol Hepatol. 2016;28(12):1468-1472. https://doi.org/10.1097/MEG.0000000000000726.
Supplementary files






