Диагностические ошибки при магнитно-резонансной томографии первичных внемозговых опухолей: серия клинических случаев
- Авторы: Суровцев Е.Н.1,2, Капишников А.В.1
-
Учреждения:
- Самарский государственный медицинский университет
- Лечебно-диагностический центр Международного института биологических систем имени Сергея Березина
- Выпуск: Том 5, № 3 (2024)
- Страницы: 642-655
- Раздел: Клинические случаи и серии клинических случаев
- URL: https://ogarev-online.ru/DD/article/view/310046
- DOI: https://doi.org/10.17816/DD626158
- ID: 310046
Цитировать
Полный текст
Аннотация
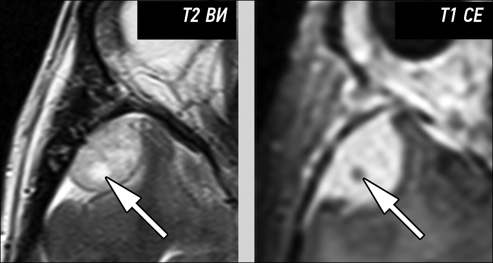
Первичные внемозговые опухоли представлены доброкачественными и злокачественными новообразованиями мозговых оболочек и черепных нервов. Их предоперационная дифференциальная диагностика основана на анализе семиотики магнитно-резонансной томографии. Критически важными моментами, позволяющими классифицировать опухоли данной группы, являются следующие признаки: структура образования, характер контрастирования, отграничение образования от мозговой ткани, наличие взаимосвязи с мозговыми оболочками или черепными нервами.
Провести дифференциальную диагностику различных типов первичных внемозговых опухолей на основе визуального анализа данных магнитно-резонансной томографии в большинстве случаев, при типичных признаках семиотики, не представляет затруднений. При атипичных проявлениях на магнитно-резонансной томографии надёжное разграничение опухолей бывает затруднительно. Наибольшую сложность при этом представляет дифференциация менингиом различной степени злокачественности, разграничение солитарных фиброзных опухолей и менингиом и установление типа опухоли при её локализации в мостомозжечковых углах.
Представлена серия наблюдений, содержащая наиболее типичные ситуации, приводящие к ошибкам дифференциальной диагностики первичных внемозговых опухолей на основании данных магнитно-резонансной томографии. Все представленные образования были верифицированы по результатам постоперационного гистологического исследования.
Анализ приведённых клинических примеров показывает, что рассмотрение всей совокупности признаков семиотики может уменьшить количество диагностических ошибок.
Полный текст
Открыть статью на сайте журналаОб авторах
Евгений Николаевич Суровцев
Самарский государственный медицинский университет; Лечебно-диагностический центр Международного института биологических систем имени Сергея Березина
Автор, ответственный за переписку.
Email: evgeniisurovcev@mail.ru
ORCID iD: 0000-0002-8236-833X
SPIN-код: 5252-5661
Scopus Author ID: 57224906215
MD
Россия, Самара; ТольяттиАлександр Викторович Капишников
Самарский государственный медицинский университет
Email: a.v.kapishnikov@samsmu.ru
ORCID iD: 0000-0002-6858-372X
SPIN-код: 6213-7455
Scopus Author ID: 6507900025
д-р мед. наук, профессор
Россия, СамараСписок литературы
- Louis D.N., Perry A., Wesseling P., et al. The 2021 WHO Classification of Tumors of the Central Nervous System: a summary // Neuro-Oncology. 2021. Vol. 23, N 8. P. 1231–1251. doi: 10.1093/neuonc/noab106
- Осборн А.Г., Зальцман К.Л., Завери М.Д. Лучевая диагностика. Головной мозг. Москва: Издательство Панфилова, 2018.
- Ostrom Q.T., Price M., Neff C., et al. CBTRUS Statistical Report: Primary Brain and Other Central Nervous System Tumors Diagnosed in the United States in 2015–2019 // Neuro-oncology. 2022. Vol. 5 N 24 Suppl 5. P. v1–v95. doi: 10.1093/neuonc/noac202
- Goldbrunner R., Weller M., Regis J., et al. EANO guideline on the diagnosis and treatment of vestibular schwannoma // Neuro-Oncology. 2020. Vol. 22, N 1. P. 31–45. doi: 10.1093/neuonc/noz153
- Goldbrunner R., Stavrinou P., Jenkinson M.D., et al. EANO guideline on the diagnosis and management of meningiomas // Neuro-Oncology. 2021. Vol. 23, N 11. P. 1821–1834. doi: 10.1093/neuonc/noab150
- Roos D.E., Patel S.G., Potter A.E., Zacest A.C. When is an acoustic neuroma not an acoustic neuroma? Pitfalls for radiosurgeons // Journal of medical imaging and radiation oncology. 2015. Vol. 59, N 4. P. 474–479. doi: 10.1111/1754-9485.12328
- Cohen-Inbar O. Nervous System Hemangiopericytoma // The Canadian journal of neurological sciences. 2020. Vol. 47, N 1. P. 18–29. doi: 10.1017/cjn.2019.311
- Shin D.W., Kim J.H., Chong S., et al. Intracranial solitary fibrous tumor/hemangiopericytoma: tumor reclassification and assessment of treatment outcome via the 2016 WHO classification // Journal of Neuro-oncology. 2021. Vol. 154, N 2. P. 171–178. doi: 10.1007/s11060-021-03733-7
- Saigal G., Pisani L., Allakhverdieva E., et al. Utility of Microhemorrhage as a Diagnostic Tool in Distinguishing Vestibular Schwannomas from other Cerebellopontine Angle (CPA) Tumors // Indian Journal of Otolaryngology and Head and Neck Surgery. 2021. Vol. 73, N 3. P. 321–326. doi: 10.1007/s12070-021-02372-8
- Fountain D.M., Young A.M.H., Santarius T. Malignant meningiomas // Handbook of Clinical Neurology. 2020. Vol. 170. P. 245–250. doi: 10.1016/B978-0-12-822198-3.00044-6
- Kabashi S., Ugurel M.S., Dedushi K., Mucaj S. The Role of Magnetic Resonance Imaging (MRI) in Diagnostics of Acoustic Schwannoma // Acta Informatica Medica. 2020. Vol. 28, N 4. P. 287–291. doi: 10.5455/aim.2020.28.287-291
- Yan P.F., Yan L., Zhang Z., et al. Accuracy of conventional MRI for preoperative diagnosis of intracranial tumors: A retrospective cohort study of 762 cases // International Journal of Surgery. 2016. Vol. 36, Pt A. P. 109–117. doi: 10.1016/j.ijsu.2016.10.023
- Ranabhat K., Bishokarma S., Agrawal P., et al. Role of MR Morphology and Diffusion-Weighted Imaging in the Evaluation of Meningiomas: Radio-Pathologic Correlation // JNMA. 2019. Vol. 57, N 215. P. 37–44. doi: 10.31729/jnma.3968
- Adeli A., Hess K., Mawrin C., et al. Prediction of brain invasion in patients with meningiomas using preoperative magnetic resonance imaging // Oncotarget. 2018. Vol. 9, N 89. P. 35974–35982. doi: 10.18632/oncotarget.26313
- Lin B.J., Chou K.N., Kao H.W., et al. Correlation between magnetic resonance imaging grading and pathological grading in meningioma // Journal of Neurosurgery. 2014. Vol. 121, N 5. P. 1201–1208. doi: 10.3171/2014.7.JNS132359
- Verma P.K., Nangarwal B., Verma J., et al. A clinico-pathological and neuro-radiological study of angiomatous meningioma: Aggressive look with benign behaviour // Journal of Clinical Neuroscience. 2021. Vol. 83. P. 43–48. doi: 10.1016/j.jocn.2020.11.032
- El-Abtah M.E., Murayi R., Lee J., et al. Radiological Differentiation Between Intracranial Meningioma and Solitary Fibrous Tumor/Hemangiopericytoma: A Systematic Literature Review // World Neurosurgery. 2023. Vol. 170. P. 68–83. doi: 10.1016/j.wneu.2022.11.062
- Ohba S., Murayama K., Nishiyama Y., et al. Clinical and Radiographic Features for Differentiating Solitary Fibrous Tumor/Hemangiopericytoma From Meningioma // World Neurosurgery. 2019. Vol. 130. P. e383–e392. doi: 10.1016/j.wneu.2019.06.094
- Meng Y., Chaohu W., Yi L., et al. Preoperative radiologic characters to predict hemangiopericytoma from angiomatous meningioma // Clinical Neurology and Neurosurgery. 2015. Vol. 138. P. 78–82. doi: 10.1016/j.clineuro.2015.08.005
- Wang C, Xu Y, Xiao X., et al. Role of intratumoral flow void signs in the differential diagnosis of intracranial solitary fibrous tumors and meningiomas // Journal of Neuroradiology. 2016. Vol. 43, N 5. P. 325–330. doi: 10.1016/j.neurad.2016.06.003
Дополнительные файлы










