Том 3, № 3 (2022)
- Год: 2022
- Статей: 7
- URL: https://ogarev-online.ru/DD/issue/view/3845
- DOI: https://doi.org/10.17816/DD.33
Технические отчеты
Оптимизированный протокол бипараметрической магнитно-резонансной томографии для диагностики рака предстательной железы
Аннотация
Обоснование. Рак предстательной железы занимает одну из лидирующих позиций в структуре онкологической заболеваемости среди мужчин. Актуальные на сегодняшний момент рекомендации PI-RADS формируют требования к протоколу магнитно-резонансной томографии, которые невозможно полностью реализовать на значительной части функционирующих томографов. В результате подход к выполнению исследования варьирует в разных медицинских организациях, что нередко негативно влияет на качество интерпретации изображения и диагностику целевой патологии.
Цель ― разработать оптимизированный для существующего парка магнитно-резонансных томографов протокол бипараметрической магнитно-резонансной томографии, потенциально эффективный для скрининга рака предстательной железы и раннего выявления новообразований. При этом протокол должен быть максимально приближен к актуальным рекомендациям PI-RADS v2.1 и соответствовать требованиям к эффективности работы отделений лучевой диагностики.
Материалы и методы. Предварительный анализ полученных магнитно-резонансных изображений предстательной железы в медицинских организациях Департамента здравоохранения города Москвы показал отсутствие единого подхода к выполнению данного исследования. Методом итерационной корректировки параметров сканирования нами был настроен протокол, обеспечивающий приемлемое качество визуализации при максимально возможном соответствии требованиям PI-RADS. Для количественной оценки качества получаемых изображений применялся фантом для контроля магнитно-резонансной томографии, рекомендованный Американским обществом рентгенологов.
Результаты. Разработан оптимизированный бипараметрический протокол для томографа Excelart Vantage 1,5 Т, включающий Т2-взвешенные изображения в трёх плоскостях и диффузионно-взвешенные изображения общей длительностью менее 11 мин. При этом обеспечен высокий уровень детализации предстательной железы, а параметры качества изображения (неоднородность яркости, нелинейность, разрешающая способность и толщина выделяемого среза) соответствовали допустимым производителем диапазонам.
Заключение. Предложенный протокол позволяет эффективно оценивать состояние предстательной железы. Его внедрение в практику медицинских организаций может оказать значимое влияние на выявляемость рака предстательной железы у населения. Следует отметить, что длительность протокола обеспечивает возможность его дополнения практически любым набором импульсных последовательностей в зависимости от целей исследования.
166-177
Обзоры
Развитие исследований и разработок в сфере технологий искусственного интеллекта для здравоохранения в Российской Федерации: итоги 2021 года
Аннотация
Применение технологий искусственного интеллекта в российском здравоохранении является одним из приоритетных направлений реализации национальной стратегии развития искусственного интеллекта в нашей стране. Внедрение цифровых решений в медицинских организациях на основе искусственного интеллекта должно способствовать повышению уровня жизни населения и качества медицинской помощи, включая профилактические обследования, диагностику, основанную на анализе изображений, прогнозирование возникновения и развития заболеваний, подбор оптимальных дозировок лекарственных препаратов, сокращение угроз пандемий, автоматизацию и повышение точности хирургических вмешательств и т.д.
Идёт развитие нормативного и технического регулирования в сфере применения искусственного интеллекта в здравоохранении. Создан отечественный рынок соответствующих решений, некоторые из них получили регистрационные удостоверения Росздравнадзора как медицинские изделия. Различными научными коллективами выполняются исследовательские работы. Вместе с этим мы пока существенно отстаём от стран-лидеров в сфере искусственного интеллекта, таких как США и Китай. Инвестиции в продукты искусственного интеллекта для здравоохранения существенно снизились по итогам 2021 г. Основные причины отставания, как минимум с точки зрения рыночных показателей, находятся в низком спросе и ограниченных возможностях государственных медицинских организаций финансировать проекты искусственного интеллекта, а также в сфере доверия к безопасности и эффективности таких решений.
178-194
Саркопения: современные подходы к решению диагностических задач
Аннотация
Саркопения является относительно новым диагнозом для медицинской статистики и системы здравоохранения, и тем не менее представляет социальное и экономическое бремя для системы здравоохранения из-за большого количества возможных неблагоприятных исходов, таких как повышение риска падений, физическая инвалидизация, увеличение времени пребывания в стационаре и увеличение смертности.
Несмотря на то, что узкоспециализированного медикаментозного лечения для саркопении не существует, профилактика и своевременное немедикаментозное лечение помогут снизить риск потенциальных неблагоприятных последствий.
Для установки диагноза саркопении необходимо подтверждение снижения не только мышечной силы, но и мышечной массы. Инструментальная диагностика включает в себя такие методы, как двухэнергетическая рентгеновская абсорбциометрия и биоимпедансометрия. Дополнением к этим методам могут быть алгоритмы искусственного интеллекта для автоматической сегментации мышечной и жировой ткани на компьютерно-томографических и магнитно-резонансных изображениях с последующим расчётом скелетно-мышечного индекса на уровне L3 позвонка. Такое программное обеспечение при его использовании в структурах, подобных Единому радиологическому информационному сервису Единой медицинской информационно-аналитической системы г. Москвы, открывает возможности для оппортунистического скрининга. Тем не менее общепризнанных количественных значений L3 скелетно-мышечного индекса для компьютерно-томографической и магнитно-резонансной диагностики саркопении пока не существует, несмотря на признание данных методик золотым стандартом Европейской рабочей группой по саркопении у пожилых людей. В дополнение к этому существует проблема унификации термина «скелетно-мышечный индекс».
При решении указанных проблем с помощью дальнейших популяционных исследований станет возможным получение новой методики инструментальной диагностики саркопении с последующим её применением для скрининга данного патологического состояния.
196-211
Возможности программного обеспечения для мониторинга дозовой нагрузки пациентов в лучевой диагностике
Аннотация
Увеличение количества диагностических процедур с использованием ионизирующего излучения (компьютерная томография, интервенционные процедуры, применение ядерной медицины) приводит к увеличению лучевой нагрузки и, как следствие, росту коллективных и индивидуальных доз облучения пациентов.
Вопросам менеджмента и оптимизации дозы от диагностических исследований уделяется много внимания в международном профессиональном сообществе. Общемировая практика решает данную проблему при помощи программного обеспечения для мониторинга доз пациентов с целью автоматизированного сбора, анализа и учёта доз пациента при проведении диагностических исследований различных видов. Программное обеспечение позволяет получить данные о дозах пациентов от рентгенорадиологических процедур и детальную информацию об исследованиях, отследить суммарную накопленную дозу пациента, вести статистику по аппарату, рентгенолаборанту, медицинской организации, а также анализировать собранные дозиметрические данные, выводить причинно-следственную связь показаний дозы и условий проведения исследований, обеспечивать мониторинг эффективности работы оборудования.
В ходе данной работы выполнено исследование основных возможностей доступного на мировом рынке программного обеспечения для мониторинга доз пациентов. Определены ключевые технические требования к функционалу программного обеспечения, необходимого для практической работы.
Современное программное обеспечение для мониторинга доз обладает широким спектром возможностей для автоматизированного сбора, хранения и контроля данных по дозовым нагрузкам пациентов в отделениях лучевой диаг-ностики. Программное обеспечение для мониторинга доз пациентов позволяет повысить качество оказываемых медицинских услуг, обеспечить безопасность пациента и оптимизировать работу медицинской организации.
212-230
Прозрачная отчётность о многофакторной предсказательной модели для индивидуального прогнозирования или диагностики (TRIPOD): разъяснения и уточнения
Аннотация
Руководство TRIPOD (Transparent Reporting of a multivariable prediction model for Individual Prognosis Or Diagnosis) содержит контрольный перечень из 22 пунктов рекомендаций, предложенных для повышения качества отчётности по исследованиям, в которых разрабатывали, проверяли или обновляли предсказательные модели для диагностики или прогнозирования. Руководство TRIPOD направлено на повышение прозрачности отчёта об исследовании предсказательной модели, независимо от использованных методов. Этот документ с пояснениями и уточнениями включает обоснование, разъяснения значений каждого пункта рекомендаций, обсуждение важности прозрачной отчётности для оценки риска систематических ошибок и клинической полезности предсказательной модели. Каждая рекомендация руководства TRIPOD подробно объясняется, приводятся опубликованные примеры правильного представления результатов. Документ также содержит ценную справочную информацию, которую следует учитывать при разработке, проведении и анализе исследований предсказательных моделей. Рекомендуем авторам включать в свои работы все пункты контрольного перечня, что облегчит оценку исследования редакторами, рецензентами, читателями и исследователями, проводящими систематическое обобщение результатов таких исследований. Контрольный перечень TRIPOD также доступен по адресу: www.tripod-statement.org.
Информацию о членах инициативной группы TRIPOD см. в Приложении.
Данная статья является переводом на русский язык. Оригинальная статья опубликована в Annals of Internal Medicine. 2015;162(1):W1–W73. doi: 10.7326/M14-0698. Перевод и повторная публикация осуществлены с разрешения правообладателя. Перевод и научное редактирование выполнены д.м.н. Р.Т. Сайгитовым (ORCID: 0000-0002-8915-6153).
232-322
Письма в редакцию
Сосуществование машинного интеллекта, цифрового искусства и диагностики: возможно ли оно?
Аннотация
Развитие машинного интеллекта и применение генеративных изображений, созданных с его помощью, является перспективным направлением коммуникационного дизайна и человеко-машинного взаимодействия. Письмо в редакцию представляет собой авторское видение применения генеративных изображений в области диагностики состояний человека.
Использование машинного интеллекта как интерактивного и интеллектуального инструмента диагностики позволит психологу и врачу эффективно дополнить терапевтические процессы контролируемого взаимодействия их участников.
Сейчас уже существуют библиотеки моделей и наборы приложений с text-to-image алгоритмами, которые могут быть задействованы инженерами и дизайнерами в процессе создания объектов современного цифрового искусства, и также могут быть использованы в исследованиях новых парадигм с помощью визуальных коммуникаций, их прикладного применения в экспериментальной диагностике.
324-330
Клинические случаи и серии клинических случаев
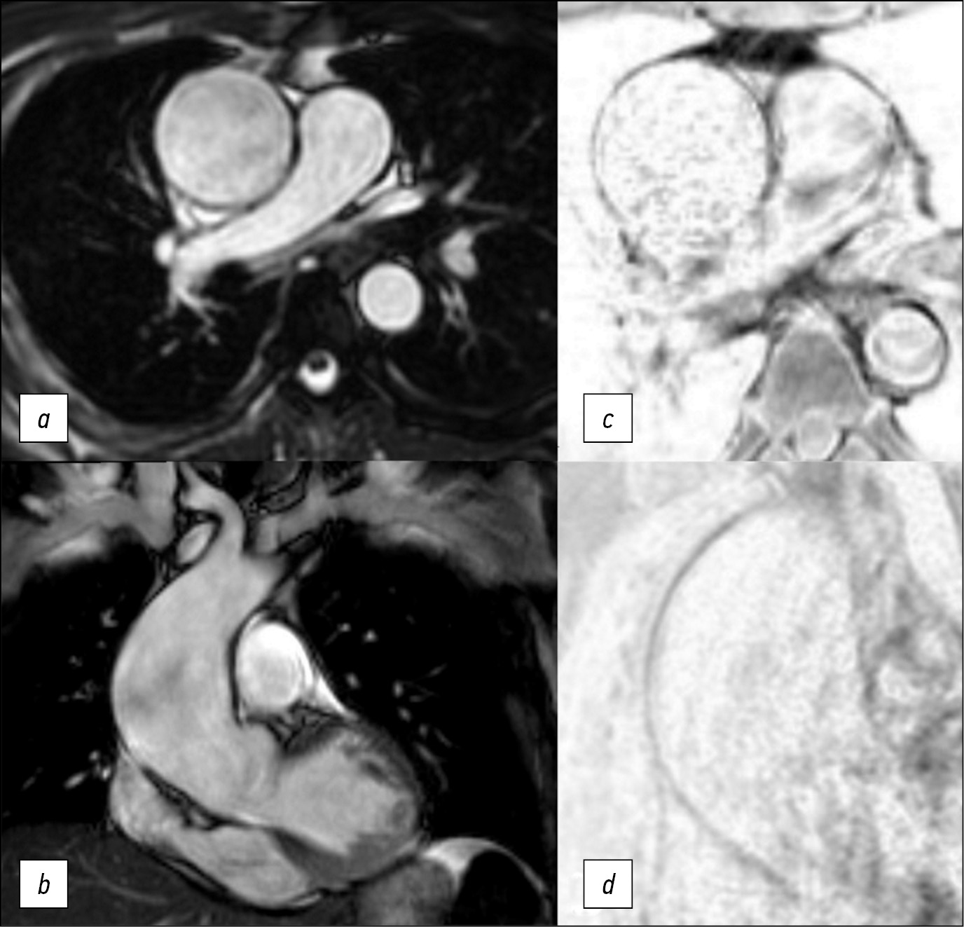
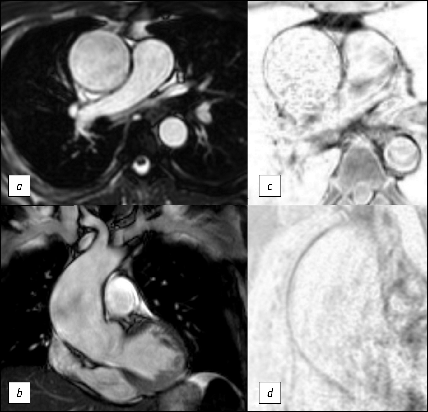
Возможности диагностики: инновационный подход в использовании магнитно-резонансной томографии при аневризме аорты
Аннотация
В статье сообщается об инновационном применении магнитно-резонансной томографии для определения хирургической тактики.
Авторы описывают случай 47-летнего пациента, которому провели исследование методом магнитно-резонансной томографии с последующим хирургическим лечением аневризмы аорты. В отличие от эхокардиографии, этот способ диагностики позволяет увидеть всю грудную аорту, в отличие от компьютерной томографии ― помогает выявить изменения в стенке аорты. С помощью магнитно-резонансной томографии удалось определить дистальный край резекции. Послеоперационный период прошёл без осложнений. По синхронизированным с электрокардиограммой данным проведена оценка структурных изменений стенки аорты и её механические свойства. Важно отметить, что результаты магнитно-резонансной томографии коррелировали с результатами гистологического исследования.
Для эффективного хирургического лечения пациентов с аневризмой аорты необходимо определять степень изменений в стенке сосуда.
Магнитно-резонансная томография стенки аорты ― перспективное направление в диагностике, требующее дальнейшего изучения в многоцентровых исследованиях.
332-339
