Том 2, № 4 (2021)
- Год: 2021
- Статей: 8
- URL: https://ogarev-online.ru/DD/issue/view/3397
- DOI: https://doi.org/10.17816/DD.24
Исторические статьи
Путь протяжённостью 25 лет глазами очевидца
Аннотация
Сегодня, в канун 25-летнего юбилея флагмана московской радиологической службы ― Научно-практического клинического центра диагностики и телемедицинских технологий Департамента здравоохранения города Москвы (до 2019 г. ― Научно-практический центр медицинской радиологии), оживает в памяти яркая четвертьвековая история этого учреждения, пройденные шаг за шагом со дня открытия Центра будни, открытия и торжества.
Вниманию читателей представлена краткая история одного из аспектов многогранной деятельности Центра ― развитие профессионального образования специалистов лучевой диагностики. Прослеживается период от становления Центра до признания его авторитета: учебный центр НПКЦ ДиТ ДЗМ в настоящее время привлекается Министерством здравоохранения России в качестве эксперта к участию в решении актуальных задач профессиональной подготовки и аккредитации специалистов лучевой диагностики.
Статья посвящена известным учёным и педагогам, ведущим специалистам профессорско-преподавательского состава, активно участвующим в развитии направления, связанного с повышением квалификации врачей-рентгенологов и других специалистов лучевой диагностики на разных этапах существования Центра. Специалисты учебного центра в своей работе стремятся к соответствию проводимого профессионального обучения положениям Болонского соглашения (1999), созданию условий для получения отечественными специалистами европейских дипломов.
421-430
Оригинальные исследования
Показатели магнитно-резонансной томографии как радиомные маркеры в дооперационном определении степени злокачественности внемозговых образований
Аннотация
Обоснование. Внемозговые образования ― одна из наиболее сложных групп для первичной дифференциальной диагностики. Определение радиомных маркеров и их стандартизация являются основными базовыми проблемами современного этапа развития медицины.
Цель ― выявить радиомные маркеры для предоперационной оценки степени злокачественности внемозгового образования.
Материалы и методы. Ретроспективный анализ результатов исследований методом магнитно-резонансной томографии (1,5 Т) 156 пациентов с внемозговыми образованиями. Пациенты были разделены на 2 группы: (1) c наличием перифокальных изменений (n=106) и (2) внемозговым образованием без перифокальных изменений (n=50). В протокол сканирования были включены диффузионные и перфузионные последовательности. За зону интереса принимали (1) основной очаг и (2) зону перифокальных изменений. Выполнены измерения от основного очага и от зоны перифокальных изменений на картах измеряемого коэффициента диффузии, T2*-контрастной перфузии (DSС), проведен анализ серий динамического контрастирования (DCE).
Результаты. Максимальный размер основного очага (узла) поражения в 1-й группе составил 2,2 см (1,4; 4,3), во 2-й группе ― 1,2 см (0,9; 3,5); ограничение диффузии от основного очага поражения выявлено у 42 (39,6%) человек 1-й группы и у 7 (14%) ― 2-й. Максимальный размер перифокальных изменений в 1-й группе составил 2,85 см (1,5; 4,7). Ограничение диффузии от периферической зоны выявлено в 52 (49,1%) случаях. У пациентов 1-й группы с верифицированной менингиомой (n=66) путём многофакторного линейного регрессионного анализа выявлено, что максимальный размер основной зоны поражения увеличивал коэффициент объёмного кровотока (rCBF) от зоны перифокальных изменений в 3,3 раза (βcoef. 3,3, ДИ 1,27; 5,28; p=0,003), однако снижал показатель регионарного объёма крови (rCBV) в 4 раза (βcoef. 4, ДИ -7,46; -0,71; p=0,02).
Заключение. Перфузионные и диффузионные методы в сочетании с анатомическими последовательностями демонстрируют потенциал и могут выступать радиомическими маркерами при диагностике и лечении внемозговых образований. В дальнейшем наиболее перспективным выглядит выявление радиомических функциональных маркеров от зоны перифокальных изменений.
431-440
Научные обзоры
Радиомика магнитно-резонансной томографии при раке предстательной железы: что известно в настоящее время?
Аннотация
Подходы к диагностике и лечению рака предстательной железы опираются на комбинацию данных магнитно-резонансной томографии и гистологических данных.
Цель данного обзора ― введение читателя в основы современного диагностического подхода к раку предстательной железы при помощи магнитно-резонансной томографии с фокусом на текстурный анализ цифровых медицинских изображений.
Текстурный анализ позволяет оценить взаимосвязи между пикселями изображения с помощью математических методов, что даёт дополнительную информацию, в первую очередь о внутриопухолевой гетерогенности. Текстурный анализ признаков первого порядка может иметь бό́льшую клиническую воспроизводимость, чем текстурные характеристики более высокого порядка. Текстурные особенности, извлечённые из карт коэффициента диффузии, показали наибольшую клиническую значимость.
Будущие исследования должны быть направлены на интеграцию методов машинного обучения для облегчения использования текстурного анализа в клинической практике. Требуется развитие автоматизированных методов сегментации для уменьшения вероятности включения нормальных тканей в области интереса и ускорения получения результатов анализа. Для проверки диагностического потенциала текстурных признаков требуются крупные проспективные исследования.
441-452
Обзор российской нормативной документации по организации и функционированию кабинетов и отделений магнитно-резонансной томографии
Аннотация
Диагностические исследования, проводимые с использованием какого-либо медицинского оборудования, нуждаются во всестороннем контроле, который обеспечивается рядом нормативных документов. Особенное внимание уделено рентгеновским методам визуализации, но в области магнитно-резонансной томографии можно заметить как недостаточность этого внимания, так и разнонаправленность усилий по нормированию.
Это объяснимо: в основе данного диагностического метода не используются источники ионизирующего излучения, а магнитные поля хоть и оказывают некоторое воздействие на здоровье человека, особенно на персонал, который работает в кабинетах магнитно-резонансной томографии постоянно, но являются относительно безопасными для пациентов, которые приходят на диагностическую процедуру время от времени и не имеют в своём теле инородных металлических (стальные имплантаты) или электронных (кардиостимуляторы, нейростимуляторы) изделий.
Тем не менее незнание и несоблюдение требований, которые носят как рекомендательный, так и обязательный характер, может значительно повысить риск причинения вреда пациентам или персоналу, а также привести к снижению качества визуализации и диагностики. Отдельная особенность сферы регулирования магнитно-резонансной томографии состоит в том, что за последние десятилетия было вновь издано либо пересмотрено более десятка различных стандартов, санитарных норм, правил, писем и рекомендаций, значительная часть которых дополняет или дублирует друг друга, либо противоречит другим документам. В результате сложно обеспечить соответствие кабинета магнитно-резонансной томографии требованиям нормативных документов.
В данной работе проведён обзор действующей на территории России нормативной документации, относящейся к организации и функционированию кабинета магнитно-резонансной томографии, выделены аспекты, наиболее важные с точки зрения безопасной и качественной эксплуатации, и сформулированы шаги, необходимые для модернизации системы как с точки зрения качества диагностики, так и безопасности диагностических исследований с применением ядерно-магнитного резонанса.
453-464
Клинические случаи и серии клинических случаев
Перфорация дивертикула Меккеля у молодого пациента: клинический случай
Аннотация
В данной статье описывается случай перфорации дивертикула Меккеля у 26-летнего пациента. Это редкое осложнение, возникающее при наиболее распространённой врождённой аномалии желудочно-кишечного тракта. Дивертикул Меккеля может долгое время протекать бессимптомно и осложняться дивертикулитом, энтеролитами, новообразованиями и реже, как в нашем случае, перфорацией.
Для постановки правильного диагноза и последующего лечения пациента решающее значение имеет рентгенологическое исследование в предоперационном периоде.
Представленные в статье типичные особенности перфорации дивертикула Меккеля, выявляемые при томографической визуализации, помогут рентгенологам в обнаружении этого осложнения.
465-470
Инкапсулированный некротический панкреатит
Аннотация
Некротический панкреатит, или панкреонекроз, ― наиболее тяжёлая форма острого панкреатита с высокой частотой летальных исходов. Период, наиболее подходящий для диагностики острого панкреатита, составляет 3–5 дней от манифестации симптомов болезни. В этот период отёк и преходящая ишемия поджелудочной железы могут маскироваться под некроз и разрешаться при последующих исследованиях, и наоборот, местные осложнения могут развиваться без клинических корреляций.
В настоящее время при ведении острого панкреатита все большее значение отводится методам лучевой диагностики, в частности компьютерной томографии, за счёт возможности более точной волюметрии поджелудочной железы, оценки состояния и измерения диаметра селезёночной вены, что в перспективе может иметь значение при формировании прогноза течения панкреонекроза.
В статье приведён редкий клинический случай осложнения острого панкреатита ― инкапсулированного некротического панкреатита, возникшего на фоне алиментарных нарушений. Приведены аспекты семиотики лучевых методов диагностики при динамическом обследовании данных патологий. Случай примечателен тем, что манифестация заболевания у пациента при поступлении в стационар была сопоставима с классической отёчной формой острого панкреатита. Дальнейшее нарастание отрицательной динамики было отмечено серией компьютерно-томографических изображений в динамике, выполненных между клинико-морфологическими фазами течения острого панкреатита и до формирования панкреонекроза, осложнённого секвестрацией тела поджелудочной железы с парапанкреатическим абсцедированием, что позволило максимально наглядно показать ступенчатое развитие заболевания. Лечебная парадигма была изменена, и место консервативного подхода заняла активная хирургическая тактика с последующими неоднократными манипуляциями и динамическим компьютерно-томографическим и магнитно-резонансным контролем вплоть до улучшения состояния пациента.
На сегодняшний день методы лучевой диагностики в совокупности с адекватным терапевтическим и хирургическим подходами способны улучшить прогноз течения некротического панкреатита.
471-480
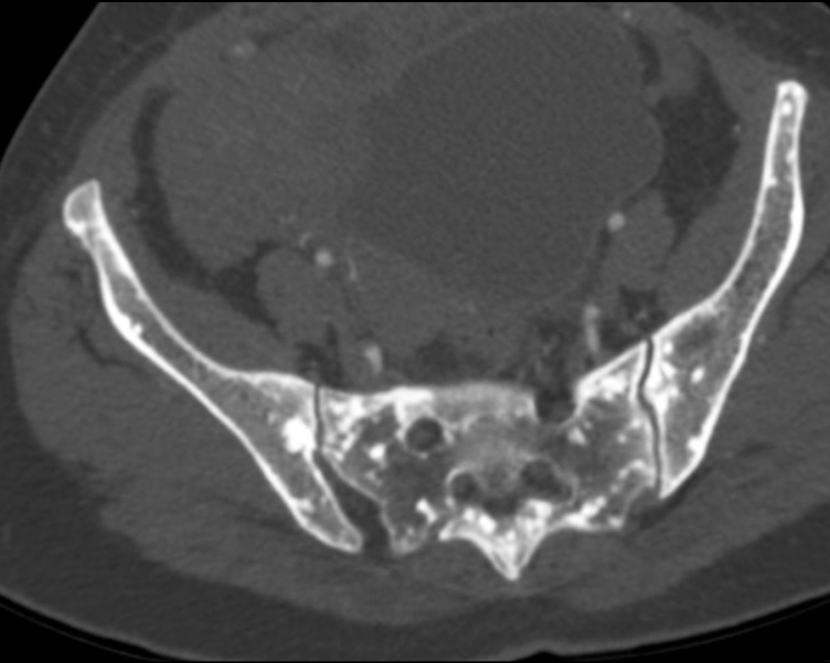
Поражение костей таза, позвоночника и рёбер при остеопойкилии: клинический случай
Аннотация
Остеопойкилия ― редкая форма наследственной доброкачественной дисплазии костей, случайно обнаруживаемая при рентгенографии. Характеризуется специфической рентгенологической картиной ― диффузными склеротическими участками кости круглой или овальной симметричной формы, определяемыми по всему скелету. Правильная постановка диагноза очень важна, поскольку поражения такого типа схожи с костными метастазами.
В данной статье представлен случай остеопойкилии у пациентки, обратившейся в нашу клинику с жалобой на кратковременную потерю сознания без признаков онемения, покалывания, слабости в ногах или других частях тела. Компьютерная томография показала множественные мелкие склеротические очаги, рассеянные по грудному и поясничному отделу позвоночника, рёбрам, тазовым костям, крестцу и проксимальному отделу бедренных костей с обеих сторон. При остеосцинтиграфии всего тела с применением технеция-99м повышения накопления препарата не выявлено. У пациентки были диагностированы характерные рентгенологические признаки остеопойкилии, после чего она находилась под наблюдением.
481-487
Редакционные статьи
Возрастающая роль функциональной визуализации для навигации радиотерапии и брахитерапии на примере рака предстательной железы
Аннотация
Брахитерапия успешно применяется в лечении злокачественных новообразований у мужчин и женщин, в редких случаях у детей, как самостоятельный метод (например, при локализованном раке предстательной железы) или адъювантный с дистанционной фокальной лучевой терапией (например, при раке шейки матки, анального канала, головы и шеи, молочной железы и пр.).
Расширение диагностических возможностей (появление компьютерной и магнитно-резонансной томографии) благодаря трёхмерной визуализации дало брахитерапии важное технологическое преимущество перед другими методами. Существует множество вариантов сочетания брахитерапии с дистанционной лучевой или системной противоопухолевой терапией в первой линии, а также в монорежиме при локализованном рецидиве опухоли в ранее облучённой зоне.
Введение интрастатов (полых трубок) для внутритканевой высокодозной брахитерапии осуществляется во время операции, а инкапсулированных (закрытых) радиоактивных микроисточников для низкодозовой брахитерапии ― напрямую (чрезкожно).
Отличительной спецификой брахитерапии является резкое падение дозы за пределами опухолевого очага, что минимизирует риск облучения окружающих органов и тканей.
Основным преимуществом брахитерапии в сравнении с дистанционной лучевой терапией является более высокий градиент дозы облучения на границе опухоли (со всех сторон). Более того, нет необходимости уточнения границ неопределённости при облучении мишени: когда опухоль изменяется в процессе лечения, то фиксированные в опухоли источники синхронно меняют своё положение.
Помимо преимуществ в эффективности и безопасности, совокупные финансовые затраты при брахитерапии существенно ниже других вариантов лучевой терапии.
488-497
