Sources of the Paleoproterozoic Terrigenous Rocks of the Nizhnekhani Graben-Sincline, Western Part of the Aldan Shield on the U–Th–Pb (LA-ICP-MS) Geochronological and Nd Isotopic Studies: To the Question of Correlation of the Udokan Complex Deposits
- Authors: Kovach V.P.1, Gorokhovsky B.M.1, Zagornaya N.Y.1, Fedoseenko A.M.1, Skovitina T.M.1, Plotkina Y.V.1, Popov N.V.2, Timofeev V.F.3, Berezkin B.I.3, Kotov A.B.1, Adamskaya E.V.1, 1
-
Affiliations:
- Institute of Precambrian Geology and Geochronology, RAS
- Trofimuk Institute of Petroleum Geology and Geophysics, SB RAS
- Diamond and Precious Metal Geology Institute, SB RAS
- Issue: Vol 31, No 5 (2023)
- Pages: 27-41
- Section: Articles
- URL: https://ogarev-online.ru/0869-592X/article/view/141802
- DOI: https://doi.org/10.31857/S0869592X23050046
- EDN: https://elibrary.ru/WIJAWV
- ID: 141802
Cite item
Full Text
Abstract
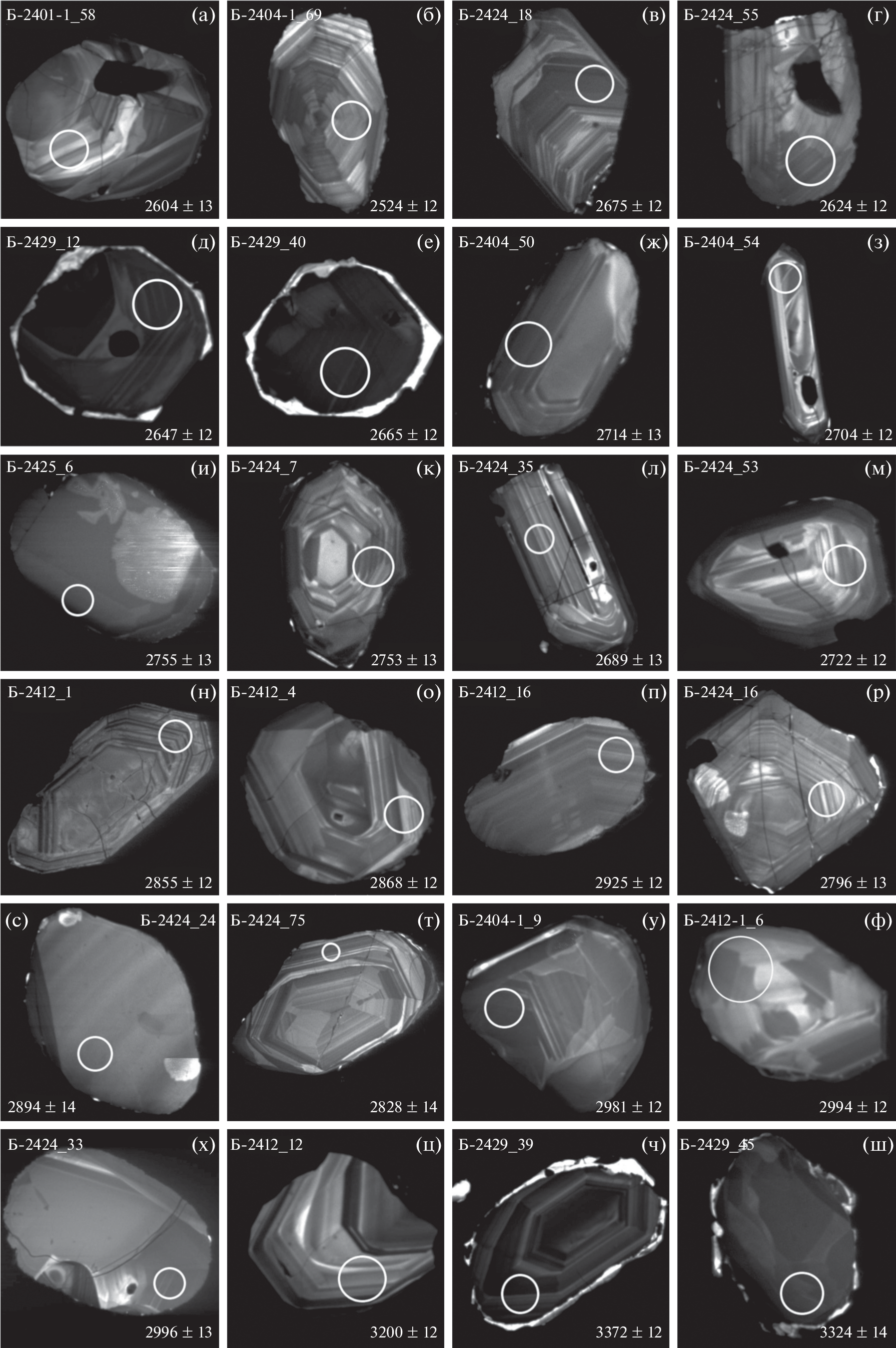
Paper discusses the results of U–Th–Pb (LA-ICP-MS) geochronological studies of detrital zircon and Sm–Nd isotopic studies of metaterrigenous rocks of the Udokan complex of the Nizhnekhani graben-syncline in the western part of the Aldan Shield. Based on the data obtained, it was found that the accumulation of terrigenous deposits of the Nizhnekhani graben-syncline occurred after 2.65 and up to 1.9 Ga, probably at the Paleoproterozoic stage of the development of the region. The igneous and metamorphic rocks formed at ca. 2.65, 2.71, 2.82–2.86, 2.99, 3.10–3.21, and probably 3.26–3.42 Ga ago within the Chara-Olekma geoblock, the zone of its junction with the West Aldan megablock and the Kurulta block of the Stanovoi suture zone, were the sources of detrital material. Metaterrigenous rocks of the Nizhnekhani graben-syncline were formed from sources with the Paleo- and Mesoarchean Nd model ages, while a significant contribution of the Paleoproterozoic juvenile material was established for the metasedimentary rocks of the Kodar-Udokan trough. Significant differences in the age and Nd isotopic characteristics of terrigenous deposit sources of the Nizhnekhani graben-syncline and the Kodar-Udokan trough suggest that they accumulated in isolated basins.
About the authors
V. P. Kovach
Institute of Precambrian Geology and Geochronology, RAS
Author for correspondence.
Email: v.p.kovach@gmail.com
Russia, St-Petersburg
B. M. Gorokhovsky
Institute of Precambrian Geology and Geochronology, RAS
Email: v.p.kovach@gmail.com
Russia, St-Petersburg
N. Yu. Zagornaya
Institute of Precambrian Geology and Geochronology, RAS
Email: v.p.kovach@gmail.com
Russia, St-Petersburg
A. M. Fedoseenko
Institute of Precambrian Geology and Geochronology, RAS
Email: v.p.kovach@gmail.com
Russia, St-Petersburg
T. M. Skovitina
Institute of Precambrian Geology and Geochronology, RAS
Email: v.p.kovach@gmail.com
Russia, St-Petersburg
Yu. V. Plotkina
Institute of Precambrian Geology and Geochronology, RAS
Email: v.p.kovach@gmail.com
Russia, St-Petersburg
N. V. Popov
Trofimuk Institute of Petroleum Geology and Geophysics, SB RAS
Email: v.p.kovach@gmail.com
Russia, Novosibirsk
V. F. Timofeev
Diamond and Precious Metal Geology Institute, SB RAS
Email: v.p.kovach@gmail.com
Russia, Yakutsk
B. I. Berezkin
Diamond and Precious Metal Geology Institute, SB RAS
Email: v.p.kovach@gmail.com
Russia, Yakutsk
A. B. Kotov
Institute of Precambrian Geology and Geochronology, RAS
Email: v.p.kovach@gmail.com
Russia, St-Petersburg
E. V. Adamskaya
Institute of Precambrian Geology and Geochronology, RAS
Email: v.p.kovach@gmail.com
Russia, St-Petersburg
Email: v.p.kovach@gmail.com
References
- Адамская Е.В., Ковач В.П., Котов А.Б., Толмачева Е.В., Плоткина Ю.В., Сковитина Т.М., Федосеенко А.М., Горовой В.А. Первые результаты U–Th–Ph (LA-ICP-MS) датирования детритового циркона из метатерригенных отложений кодарской серии удоканского комплекса // Геология на окраине континента. II Молодежная научная конференция-школа ДВГИ ДВО РАН. Материалы конференции. Владивосток: Изд-во Дальневосточного федерального университета, 2022. С. 65−68.
- Березкин В.И., Богомолова Л.М., Смелов А.П., Тимофеев В.Ф. Метаморфизм докембрия восточной части Олекминской складчатой зоны // Метаморфизм докембрия в районе Байкало-Амурской магистрали. Л.: Наука, 1983. С. 34−48.
- Березкин В.И., Тимофеев В.Ф., Смелов А.П., Постников А.А., Тимошина И.Д., Зедгенизов А.Н., Попов Н.В. Геология и петрология палеопротерозойской Нижнеханинской грабен-синклинали (Алдано-Становой щит): к проблеме поисков следов древней жизни на Земле // Отечественная геология. 2007. № 5. С. 62–71.
- Великославинский С.Д., Котов А.Б., Сальникова Е.Б., Кузнецов А.Б., Ковач В.П., Попов Н.В., Толмачева Е.В., Анисимова И.В., Плоткина Ю.В. Новые данные о возрасте тоналит-трондьемитовых ортогнейсов олекминского комплекса центральной части Чара-Олекминского геоблока Алданского щита // Докл. АН. 2018. Т. 482. № 5. С. 547−552.
- Глебовицкий В.А., Котов А.Б., Сальникова Е.Б., Ларин А.М., Великославинский С.Д. Гранулитовые комплексы Джугджуро-Становой складчатой области и Пристанового пояса: возраст, условия и геодинамические обстановки проявления метаморфизма // Геотектоника. 2009. № 4. С. 3−15.
- Горохов И.М., Тимофеев В.Ф., Бизунок М.В., Березкин В.И., Дук В.Л., Крылов И.Н., Кутявин Э.П., Мельников Н.Н., Смелов А.П. Rb−Sr системы в метаосадочных породах Ханинского грабена (Олекминская гранит-зеленокаменная область) // Изотопная геохронология докембрия. Л.: Наука, 1989. С. 110–126.
- Государственная геологическая карта Российской Федерации масштаба 1 : 1 000 000, новая серия, лист О-(50) 51 и объяснительная записка. Ред. Миронюк Е.П. СПб.: ВСЕГЕИ, 1998. 428 с.
- Государственная геологическая карта Российской Федерации масштаба 1 : 1 000 000 (третье поколение). Серия Алдано-Забайкальская. Лист O-50 – Бодайбо и объяснительная записка. Ред. Митрофанов Г.Л. СПб.: ВСЕГЕИ, 2010. 612 с.
- Государственная геологическая карта Российской Федерации. Масштаб 1 : 1 000 000 (третье поколение). Серия Алдано-Забайкальская. Лист O-51 – Алдан. Объяснительная записка. СПб.: ВСЕГЕИ, 2015. 365 с.
- Ковач В.П., Котов А.Б., Гладкочуб Д.П., Толмачева Е.В., Великославинский С.Д., Гороховский Б.М., Подковыров В.Н., Загорная Н.Ю., Плоткина Ю.В. Возраст и источники метапесчаников чинейской подсерии (Удоканская серия, Алданский щит): результаты U–Th–Pb геохронологического (LA-ICP-MS) и Nd изотопного изучения // Докл. АН. 2018а. Т. 482. № 2. С. 1138−1141.
- Ковач В.П., Котов А.Б., Сальникова Е.Б., Гладкочуб Д.П., Скляров Е.В., Толмачева Е.В., Великославинский С.Д., Гороховский Б.М., Подковыров В.Н., Ларин А.М., Загорная Н.Ю., Плоткина Ю.В., Федосеенко А.М. Возраст и источники терригенных отложений удоканской серии Удоканской зоны Кодаро-Удоканского прогиба (Алданский щит): результаты геохронологических и Nd изотопных исследований // Методы и геологические результаты изучения изотопных геохронометрических систем минералов и пород. Российская конференция по изотопной геохронологии. Материалы конференции. М.: ИГЕМ РАН, 2018б. С. 142−144.
- Ковач В.П., Котов А.Б., Сальникова Е.Б., Попов Н.В., Великославинский С.Д., Плоткина Ю.В., Ван К.-Л., Федосеенко А.М. Верхняя возрастная граница формирования Олондинского фрагмента Токко-Ханинского зеленокаменного пояса Алданского щита: результаты U–Pb (ID-TIMS) геохронологических исследований // Докл. АН. Науки о Земле. 2020. Т. 494. № 2. С. 13−19.
- Котов А.Б. Граничные условия геодинамических моделей формирования континентальной коры Алданского щита. Автореф. дис. … докт. геол.-мин. наук. СПб.: Изд-во СПбГУ, 2003. 78 с.
- Котов А.Б., Морозова И.М., Сальникова Е.Б., Богомолов Е.С., Беляцкий Б.В., Бережная Н.Г. Раннепротерозойские гранитоиды северо-западной части Алданской гранулито-гнейсовой области: U–Pb и Sm–Nd данные // Геология и геофизика. 1993. Т. 34. № 2. С. 15−31.
- Котов А.Б., Сальникова Е.Б., Ларин А.М., Ковач В.П., Саватенков В.М., Яковлева С.З., Бережная Н.Г., Плоткина Ю.В. Раннепротерозойские гранитоиды зоны сочленения Олекминской гранит-зеленокаменной и Алданской гранулито-гнейсовой областей, Алданский щит: возраст, источники и геодинамические обстановки формирования // Петрология. 2004. Т. 12. № 1. С. 46−67.
- Котов А.Б., Сальникова Е.Б., Глебовицкий В.А., Ковач В.П., Ларин А.М., Великославинский С.Д., Загорная Н.Ю. Sm–Nd изотопные провинции Алданского щита // Докл. АН. 2006. Т. 410. № 1. С. 91−94.
- Котов А.Б., Сальникова Е.Б., Ковач В.П., Великославинский С.Д., Скляров Е.В., Гладкочуб Д.П., Ларин А.М., Толмачева Е.В., Федосеенко А.М., Плоткина Ю.В. Верхняя возрастная граница формирования протолитов метаосадочных пород нижней части разреза удоканской серии (Алданский щит) // Докл. АН. 2018. Т. 479. № 4. С. 412−416.
- Ларин А.М., Котов А.Б., Сальникова Е.Б., Глебовицкий В.А., Суханов М.К., Яковлева С.З., Ковач В.П., Бережная Н.Г., Великославинский С.Д., Толкачев М.Д. Каларский комплекс (Алдано-Становой щит) – древнейший представитель анортозит-мангерит-чарнокит-гранитной магматической ассоциации // Петрология. 2006. Т. 14. № 1. С. 4–24.
- Латышева И.В., Шацилло А.В., Рудько Д.В., Федюкин И.В. Базальные горизонты кебектинской серии Угуйского грабена: проблема происхождения и возраста // Геодинамическая эволюция литосферы Центрально-Азиатского подвижного пояса (от океана к континенту). Материалы научной конференции. Вып. 16. Иркутск: ИЗК СО РАН, 2018. С. 159−162.
- Миронюк Е.П., Любимов Б.К., Магнушевский Э.Л. Геология западной части Алданского щита. М.: Недра, 1971. 236 с.
- Неелов А.Н. Петрохимическая классификация метаморфизованных осадочных и вулканических пород. Л.: Наука, 1980. 100 с.
- Петров А.Ф. Докембрийские орогенные комплексы запада Алданского щита. Новосибирск: Наука, 1976. 120 с.
- Подковыров В.Н., Котов А.Б., Ларин А.М., Котова Л.Н., Ковач В.П., Загорная Н.Ю. Источники и области сноса раннепротерозойских терригенных пород удоканской серии южной части Кодаро-Удоканского прогиба: результаты Sm–Nd изотопно-геохимических исследований // Докл. АН. 2006. Т. 408. № 2. С. 223–227.
- Попов Н.В., Котов А.Б., Сальникова Е.Б., Постников А.А., Тимофеев В.Ф., Березкин В.И., Ларин А.М., Федосеенко А.М., Яковлева С.З. Диабазы куранахского комплекса западной части Алдано-Станового щита: возраст и тектоническое положение // Докл. АН. 2012. Т. 442. С. 365–368.
- Салоп Л.И. Геология Байкальской горной области. Т. 1. М.: Недра, 1964. 515 с.
- Сальникова Е.Б. Тектоно-магматическая эволюция северного фланга зоны сочленения Олекминской гранит-зеленокаменной и Алданской гранулито-гнейсовой областей Алданского щита. Автореф. дис. … канд. геол.-мин. наук. Санкт-Петербург, 1993. 16 с.
- Сальникова Е.Б., Ковач В.П., Котов А.Б., Немчин А.А. Этапы формирования континентальной коры западной части Алданского щита: Sm–Nd систематика гранитоидов // Петрология. 1996. Т. 4. № 2. С. 115−130.
- Сальникова Е.Б., Котов А.Б., Беляцкий Б.В., Яковлева С.З., Морозова И.М., Бережная Н.Г., Загорная Н.Ю. U–Pb возраст гранитоидов зоны сочленения Олекминской гранит-зеленокаменной и Алданской гранулито-гнейсовой областей // Стратиграфия. Геол. корреляция. 1997. Т. 5. № 2. С. 3–12.
- Сальникова Е.Б., Глебовицкий В.А., Котов А.Б., Ларин А.М., Яковлева С.З., Бережная Н.Г., Ковач В.П., Другова Г.М., Анисимова И.В. Метаморфическая история гранулитов курультинского блока (Алданский щит): результаты U–Pb датирования единичных зерен циркона // Докл. АН. 2004а. Т. 298. № 2. С. 239–243.
- Сальникова Е.Б., Ларин А.М., Котов А.Б., Глебовицкий В.А., Суханов М.К., Яковлева С.З., Ковач В.П., Бережная Н.Г., Толкачев М.Д. Каларский анортозит-чарнокитовый комплекс (Алдано-Становой щит): возраст и тектоническое происхождение // Стратиграфия. Геол. корреляция. 2004б. Т. 12. № 3. С. 3−11.
- Самсонов А.В., Борисовский С.Е., Дубинина Е.О., Ларионов А.Н., Ларионова Ю.О., Сальникова Е.Б., Степанова А.В., Кичигин С.Л., Лесняк В.В., Микляев В.И., Моралев Г.В. Происхождение палеопротерозойских осадочных пород Угуйского грабена (Алданский щит): результаты геохронологических, геохимических и изотопно-геохимических исследований // Материалы VI Российской конференции по изотопной геохронологии. СПб.: Sprinter, 2015. С. 256–258.
- Сочава А.В. Петрохимия верхнего архея и протерозоя запада Витимо-Алданского щита. Л.: Наука, 1986. 142 с.
- Федоровский В.С. Стратиграфия нижнего протерозоя хребтов Кодар и Удокан. М.: Наука, 1972. 130 с.
- Федоровский В.С. Нижний протерозой Байкальской горной области (геология и условия формирования континентальной коры в раннем докембрии). М.: Наука, 1985. 200 с.
- Andersen T. Correction of common lead in U–Pb analyses that do not report 204Pb // Chem. Geol. 2002. V. 192. P. 59–79.
- Gehrels G.E. Detrital zircon U–Pb geochronology: current methods and new opportunities // Tectonics of Sedimentary Basins: Recent Advances. Eds. Busby C., Azor A. Chichester, UK: Wiley-Blackwell, 2012. P. 47–62.
- Goldstein S.J., Jacobsen S.B. Nd and Sr isotopic systematics of rivers water suspended material: implications for crustal evolution // Earth Planet. Sci. Lett. 1988. V. 87. P. 249−265.
- Harnois L. The CIW index: a new chemical index of weathering // Sediment. Geol. 1988. V. 55. P. 319–322.
- Herron M.M. Geochemical classification of terrigenous sands and shales from core or log data // J. Sediment Petrol. 1988. V. 58. P. 820−829.
- Horstwood M.S.A., Košler J., Gehrels G., Jackson S.E., M-cLean N.M., Paton Ch., Pearson N.J., Sircombe K., S-ylvester P., Vermeesch P., Bowring J.F., Condon D.J., Schoene B. Community-derived standards for LA-ICP-MS U−(Th−)Pb geochronology – uncertainty propagation, age interpretation and data reporting // Geostand. Geoanalyt. Res. 2016. V. 40. P. 311−322.
- Jackson S.E., Pearson N.J., Griffin W.L., Belousova E.A. The application of laser ablation-inductively coupled plasma-mass spectrometry to in situ U−Pb zircon geochronology // Chem. Geol. 2004. V. 211. P. 47–69.
- Jacobsen S.B., Wasserburg G.J. Sm−Nd evolution of chondrites and achondrites // Earth Planet. Sci. Lett. 1984. V. 67. P. 137–150.
- Jahn B.-M., Gruau G., Capdevila R., Cornichet J., Nemchin A., Pidgeon R., Rudnik V. Archean crustal evolution of the Aldan Shield, Siberia: geochemical and isotopic constraints // Precambrian Res. 1998. V. 91. P. 333−363.
- Keto L.S., Jacobsen S.B. Nd and Sr isotopic variations of Early Paleozoic oceans // Earth Planet. Sci. Lett. 1987. V. 84. P. 27−41.
- Nesbitt H.W., Young G.M. Early Proterozoic climates and plate motions inferred from major element chemistry of lutites // Nature. 1982. V. 299. P. 715−717.
- Neymark L.A., Kovach V.P., Nemchin A.A., Morozova I.M., Kotov A.B., Vinogradov D.P., Gorokhovsky B.M., Ovchinnikova G.V., Bogomolova L.M., Smelov A.P. Late Arhaean intrusive complexes in the Olekma granite-greenstone terrain (eastern Siberia): geochemical and isotopic study // Precambrian Res. 1993. V. 62. P. 453–472.
- Nutman A.P., Chenyshev I.V., Baadsgaard H., Smelov A.P. The Aldan Shield of Siberia, USSR: the age of its Archaean components and evidence for widespread reworking in the mid-Proterozoic // Precambrian Res. 1992. V. 54. P. 195−210.
- Rudnick R.L., Gao S. Composition of the continental crust // Treatise on Geochemistry. 3. The Crust. Eds. Rudnick R.L., Holland H.D., Turekian K.K. Oxford: Elsevier Pergamon, 2003. P. 1–64.
- Taylor S.R., McLennan S.M. The continental crust: its evolution and composition. London: Blackwell, 1985. 312 p.
- Van Achterbergh E., Ryan C.G., Jackson S.E., Griffin W.L. LA-ICP-MS in the Earth sciences – appendix 3, data reduction software for LA-ICP-MS // Ed. Sylvester P.J. Short Course Mineral. Assoc. Canada, St. John’s. 2001. V. 29. P. 239–243.
- Vermeesch P. IsoplotR: a free and open toolbox for geochronology // Geosci. Frontiers. 2018. V. 9. P. 1479–1493.
Supplementary files








