Влияние ДНК-связывающих белков на ферментативную активность терминальной дезоксинуклеотидилтрансферазы в системах с гомополимерными субстратами
- Авторы: Саченко А.Б.1, Щур В.В.1, Усанов С.А.1, Янцевич А.В.1
-
Учреждения:
- Институт биоорганической химии Национальной Академии наук Беларуси
- Выпуск: Том 60, № 6 (2024)
- Страницы: 589-601
- Раздел: Статьи
- URL: https://ogarev-online.ru/0555-1099/article/view/285186
- DOI: https://doi.org/10.31857/S0555109924060038
- EDN: https://elibrary.ru/QGXEUI
- ID: 285186
Цитировать
Полный текст
Аннотация
Проведено исследование влияния ДНК-связывающих белков EcSSB и Sso7d, стабилизирующих одноцепочечную и двуцепочечную ДНК соответственно, на активность терминальной дезоксинуклеотидилтрансферазы (TdT) in vitro. В качестве субстрата использовали гомополимеры Tn, не склонные к образованию вторичных структур. Внесение в реакционную смесь EcSSB приводило к существенному повышению активности TdT и смещению спектра образующихся продуктов в сторону более протяженных олигонуклеотидов, а максимальный эффект наблюдался в близком к эквимолярному стехиометрическом соотношении (EcSSB)4:TdT в присутствии катионов Mn2+. Присутствие Sso7d в реакционной смеси приводило к небольшому (до 15٪) снижению активности TdT для субстратов T5 и T15 и более выраженному для T35 (до 30٪). При этом катионы Co2+ снижали ингибирующий эффект Sso7d. Продемонстрированное в данной работе влияние ДНК-связывающих белков на активность TdT, а также установленные закономерности, могут найти применение как в белковой инженерии при создании гибридных мультидоменных белков на основе TdT, так и при разработке новых принципов ферментативного de novo синтеза ДНК.
Ключевые слова
Полный текст
В начале 21 века одним из наиболее интенсивно развивающихся направлений биотехнологического рынка является синтез нуклеиновых кислот [1]. Начиная с работы Стеммера [2], опубликованной в 1995 г., и по сегодняшний день, основным исходным материалом для создаваемых de novo последовательностей ДНК являются олигонуклеотиды, получаемые методами твердофазного фосфорамидитного синтеза [1].
Именно твердофазный синтез является основной причиной ошибок в синтетических генах, а также источником токсичных отходов [3]. Негативное влияние на окружающую среду было минимизировано путем внедрения в практику технологий синтеза на микрочипах [4], что, однако повысило вероятность возникновения ошибок.
Реализация программируемого ферментативного de novo синтеза ДНК в водных средах, на сегодняшний день, одна из самых актуальных задач синтетической биологии и во многом зависит от успехов инженерии одной из уникальных ДНК-полимераз – терминальной дезоксинуклеотидилтрансферазы (TdT) [5].
TdT является высокоспециализированной ДНК-полимеразой, которая относится к семейству Х ДНК-полимераз и обеспечивает разнообразие антигенных рецепторов клеток иммунной системы позвоночных. Несмотря на то, что TdT была обнаружена одной из первых среди эукариотических ДНК-полимераз [6], детальный механизм функционирования этого фермента по-прежнему неясен.
TdT обладает способностью к неспецифическому хаотичному добавлению дезоксинуклеотидов к 3-концу ДНК, однако именно этот фермент открывает перспективы программируемого безматричного de novo ДНК-синтеза и новых “цифровых” ДНК-технологий. Более того, недавняя работа Верардо [8] описывает ферментативный мультиплексный автоматизированный синтез ДНК с участием TdT.
Активность TdT связана с клетками иммунной системы, а биологическая функция заключается в реализации механизма V(D)J-рекомбинации ДНК, происходящей на ранних этапах дифференцировки лимфоцитов и приводящей к формированию антиген-распознающих участков антител и Т-клеточного рецептора.
Субстратом TdT является одноцепочечная ДНК (оцДНК), содержащая не менее трех остатков фосфорной кислоты: 5′-фосфорилированный тринуклеотид или нефосфорилированный тетрануклеотид [9].
Несмотря на интенсивные исследования в течение 60 лет с момента открытия, TdT является ферментом с недостаточно изученным для белковой инженерии механизмом действия. Открытые вопросы по-прежнему связаны с переключением между процессивным и дистрибутивным механизмом, влиянием катионов двухвалентных металлов [10]. Последние исследования кинетики реакций с участием TdT [10] указывают на то, что механизм действия фермента не может быть описан строго по классической схеме, характерной для большинства ДНК-полимераз [11].
Известно, что существуют факторы, препятствующие эффективной работе фермента TdT, которые связаны с формированием в молекуле оцДНК вторичных структур. Так, образование шпилечных структур на 3′-конце субстрата существенно ингибирует реакцию [12].
Подходы, основанные на создании гибридных мультидоменных белков, уже продемонстрировали свою эффективность в белковой инженерии. Общая стратегия по созданию гибридных ДНК-полимераз путем объединения генов термостабильных ДНК-полимераз и гена белка, связывающего двуцепочечную ДНК, представлена в работе [13]. Гибридные термостабильные ДНК-полимеразы на основе Pfu-полимеразы и фрагмента ДНК-связывающего белка Sulfolobus solfataricus [4] стали основой коммерческих высокоточных и эффективных ДНК-полимераз Q5 (“New England Biolabs”, Великобритания) и Fusion (“Thermo Fisher Scientific”, США). Внедрение гибридных полимераз в практику синтеза генов существенно улучшило результаты сборки генов из олигонуклеотидов за счет уменьшения вероятности возникновения ошибок и отсутствия 3′–5′- и 5′–3′-экзонуклеазной активности, что позволило синтезировать более протяженные гены (до 2000 пар нуклеотидов) с использованием новых подходов [14].
ДНК-связывающий белок Sso7d S. solfataricus имеет молекулярную массу 7 кДа, обладает компактной глобулярной структурой и существует в виде мономера [15]. Sso7d неспецифически к последовательности связывается с двухцепочечной ДНК (дцДНК) любого размера и состава нуклеотидов [16]. У гипертермофильных архей, Sso7d выполняет функцию стабилизации ДНК, предохраняя ее от действия высоких температур [17]. Взаимодействие белка с ДНК происходит за счет частичной интеркаляции гидрофобных боковых групп Val26 и Met29, что приводит к резкому изгибу двойной спирали ДНК и увеличивает температуру плавления ДНК [18]. После использования в качестве домена-модуля при дизайне высокоэффективных термостабильных ДНК-полимераз Sso7d стал популярен при дизайне мультидоменных гибридных белков.
Белок, связывающий одноцепочечную ДНК из E. coli (EcSSB), представляет собой гомотетрамер, состоящий из четырех идентичных полипептидных цепей с молекулярной массой около 18.9 кДа. EcSSB специфично связывается с одноцепочечной ДНК, при этом связывание является кооперативным и определяется параметрами среды, главным образом ионной силой. Основная функция EcSSB – дестабилизация двойной спирали ДНК для обеспечения работы ДНК-полимераз в процессе репликации. При этом белок является достаточно стабильным, сохраняя функциональные свойства после 20-минутной инкубации при температуре 65°С.
Уникальные свойства EcSSB обеспечили возможность его использования в молекулярной биологии для предотвращения образования димеров и шпилечных структур в олигонуклеотидах при проведении полимеразной цепной реакции (ПЦР). Прочность связывания EcSSB с оцДНК очень высока (Ka = 107–108 M–1 c–1) [19]. Благодаря этому свойству EcSSB применяется для обнаружения повреждений в ДНК [20], дестабилизации двойной спирали [20] и активации взаимодействующих с ДНК белков (RecF, RecQ и ДНК-хеликаза), участвующих в рекомбинационной репарации ДНК [21]. Присутствие в реакционной смеси EcSSB увеличивает выход ПЦР для матриц, содержащих вторичную структуру и/или склонных к мутагенезу с делециями ДНК [22]. Использование EcSSB делает возможным анализ более длинных нуклеотидных последовательностей при пиросеквенировании [23].
Целью данной работы является исследование влияния ДНК-связывающих белков микроорганизмов, специфичных как к оцДНК (SSB-белок E. coli), так и к дцДНК (Sso7d-белок S. solfataricus) на ферментативную активность TdT и перспектив использования ДНК-связывающих белков в ферментативном de novo синтезе ДНК, а также анализ возможности создания гибридных мультидоменных ферментов путем слияния генов TdT и ДНК-связывающих белков.
МЕТОДИКА
Реагенты. В работе использованы компоненты питательных сред (“Conda”, Испания), ИПТГ, имидазол, PMSF (“Glentham Life Sciences”, Великобритания), акриламид, бисакриламид, агароза (“Serva”, Германия), глицин, додецилсульфат натрия (“Merck”, Германия), сорбент – Ni2+NTA-агароза, набор для выделения ДНК (“Macherey–Nagel”, Германия). Остальные использованные реагенты – коммерческие препараты фирмы “Sigma–Aldrich” (США). Для проведения работ с синтетической и рекомбинантной ДНК использовали эндонуклеазы рестрикции и ДНК-полимеразы фирмы “New England Biolabs”, (США), набор для клонирования pJET1.2 – фирмы “Thermo Fisher Scientific” (США). Для высокоэффективной жидкостной хроматографии (ВЭЖХ) олигонуклеотидов, масс-спектрометрии белков и пептидов использовали растворители и реагенты соответствующего качества.
Оборудование. Одноцепочечные фрагменты ДНК синтезировали на автоматическом синтезаторе H32 (“K&A”, Германия). Для гомогенизации бактериальных клеток использовали гомогенизатор Emulsiflex C5 (“Avestine”, Канада). Вертикальный электрофорез белков и нуклеиновых кислот проводили на оборудовании Hoefer SE250 (“Hoefer”, США). Для очистки белков использовали хроматограф Biologic LP-LC (“BioRad”, США). Для регистрации масс-спектров белков использовали масс-спектрометр MALDI-TOF MicroFlex (“Bruker”, Германия). Для подтверждения аминокислотной последовательности белков использовали хромато-масс-спектрометр Agilent 1290 Q-TOF 6550 (“Agilent”, США). Электронные спектры поглощения олигонуклеотидов и белков записывали на микроспектрофотометре DS-11 FX+ (“DeNovix”, США). Для секвенирования использовали анализатор генов 3500xL (“Applied Biosystems”, США).
Создание экспрессионных векторов. Олигонуклеотиды синтезировали амидофосфитным методом как описано в [24]. Ген EcSSB клонировали из геномной ДНК E. coli штамма DH5α. Оптимизированные для экспрессии в клетках E. сoli гены TdT Bos bovis и Sso7d Sulfolobus solfataricus синтезировали de novo из 65-звенных олигонуклеотидов используя полимеразную цепную сборку. Полученную последовательность EcSSB клонировали в вектор pET20b по сайтам рестрикции NdeI и HindIII. Гены Sso7d и TdT клонировали в вектор pCWori по сайтам рестрикции NdeI и HindIII. Идентичность полученных последовательностей подтверждали секвенированием по Сэнгеру. Аминокислотные последовательности кодируемых белков представлены в табл. 1.
Таблица 1. Аминокислотные последовательности и свойства белков
EcSSB 191 аминокислотный остаток 20.49 кДа pI = 6.12 ε280 = 27 700 М–1 см–1 | MASRGVNKVILVGNLGQDPEVRYMPNGGAVANITLATSESWRDKAT GEMKEQTEWHRVVLFGKLAEVASEYLRKGSQVYIEGQLRTRKWTDQ SGQDRYTTEVVVNVGGTMQMLGGRQGGGAPAGGNIGGGQPQGGWGQ PQQPQGGNQFSGGAQSRPQQSAPAAPSNEPPMDFDDDIPFKLAAAL EHHHHHH |
Sso7d 79 аминокислотных остатков 9.03 кДа pI = 8.99 ε280 = 8 480 М–1 см–1 | MLGGHMRGSHHHHHHMATVKFKYKGEEKEVDISKIKKVWRVGKMIS FTYDEGGGKTGRGAVSEKDAPKELLQMLEKQKK |
TdT 530 аминокислотных остатков 60.92 кДа pI = 7.84 ε280 = 65 890 М–1 см–1 | MRGSHHHHHHMAQQRQHQRLPMDPLCTASSGPRKKRPRQVGASMAS PPHDIKFQNLVLFILEKKMGTTRRNFLMELARRKGFRVENELSDSV THIVAENNSGSEVLEWLQVQNIRASSQLELLDVSWLIESMGAGKPV EITGKHQLVVRTDYSATPNPGFQKTPPLAVKKISQYACQRKTTLNN YNHIFTDAFEILAENSEFKENEVSYVTFMRAASVLKSLPFTIISMK DTEGIPCLGDKVKCIIEEIIEDGESSEVKAVLNDERYQSFKLFTSV FGVGLKTSEKWFRMGFRSLSKIMSDKTLKFTKMQKAGFLYYEDLVS CVTRAEAEAVGVLVKEAVWAFLPDAFVTMTGGFRRGKKIGHDVDFL ITSPGSAEDEEQLLPKVINLWEKKGLLLYYDLVESTFEKFKLPSRQ VDTLDHFQKCFLILKLHHQRVDSSKSNQQEGKTWKAIRVDLVMCPY ENRAFALLGWTGSRQFERDIRRYATHERKMMLDNHALYDKTKRVFL KAESEEEIFAHLGLDYIEPWERNA |
Экспрессия рекомбинантных белков. Для экспрессии рекомбинантных белков использовали рекомбинантные штаммы E. coli, трансформированные соответствующими экспрессионными векторами.
После достижения культурой оптической плотности A600нм = 0.6 и снижения температуры культивирования до 18°С синтез белка индуцировали добавлением в среду ИПТГ до концентрации 1 мМ. Экспрессию белка продолжали в течение 24 ч, клетки осаждали центрифугированием (3000 g, 4°С). Клеточную массу ресуспендировали в 50 мМ натрий-фосфатном буфере, рН 8.0, содержащем 0.3 М NaCl, 10 мМ имидазол, 0.1 мМ PMSF, 20%-ный глицерин.
Гомогенизация клеток E. coli. Суспензию клеток, содержащих рекомбинантный белок, пропускали через гомогенизатор Emulsiflex C5. Полученный гомогенизат центрифугировали в течение 50 мин при 4°С в центрифужном поле 40 000 g. Полученную прозрачную жидкость над осадком использовали для выделения целевых белков.
Метало-хелатная хроматография. Для метало-хелатной хроматографии использовали буферные растворы L1 (50 мМ натрий-фосфатный буфер, рН 8.0, 0.3 М NaCl, 10 мМ имидазол); W1 (50 мМ натрий-фосфатный буфер, рН 8.0, 0.3 М NaCl, 50 мМ имидазол), E1 (50 мМ натрий-фосфатный буфер, рН 8.0, 0.3 М NaCl, 250 мМ имидазол). Жидкость над осадком, содержащую белок, наносили на хроматографическую колонку с 10 мл сорбента Ni2+-NTA, промывали 10 объемами буфера L1, 20 объемами буфера W1 и элюировали буфером E1, собирая фракции объемом 0.5 мл.
Фракции, содержащие белок с электрофоретической чистотой более 95% и концентрацией более 1 мг/мл, объединяли и с помощью диализа переводили в буфер для хранения. Белок Sso7d был выделен ранее по методике описанной в [10].
Для хранения TdT использовали буфер S1 (50 мМ калий-фосфатный буфер, рН 7.3, 300 мМ NaCl, 1.43 мМ β-меркаптоэтанол, 50%-ный глицерин, 0.1%-ный Тритон X-100), для хранения белков Sso7d и EcSSB буфер S2 (50 мM Трис-HCl, pH 7.5, 0.2 M NaCl, 0.1 мM ЭДТА, 50% глицерин, 1.0 мМ дитиотреитол, ДТТ).
Пробоподготовка для анализа белков. Для масс-спектрометрии белков образцы (100 мкг белка) обессоливали путем осаждения 70%-ным этанолом, осадок растворяли в 20 мкл 70%-ного водного раствора муравьиной кислоты. Полученный раствор смешивали с раствором матрицы HCCA (а-циано-4-гидроксикоричная кислота) или синапиновой кислоты в соотношении 1 : 1 и наносили на металлическую пластину для масс-спектрометрии (“Bruker”, Германия).
Для подтверждения последовательности белка методами пептидного “фингерпринта” и тандемной масс-спектрометрии, осадок белка после обессоливания восстанавливали ДТТ, модифицировали йодацетамидом и проводили трипсинолиз в 100 мМ аммоний-бикарбонатном буфере [25].
Анализ каталитической активности TdT. Фермент (1 мкл, 4 мкМ) вносили в 100 мкл реакционной смеси, следующего состава: 0.2 мМ тимидинтрифосфат, TTP, 5 мM AcOK, 2 мM AcOTрис, pH 7.9, 1 мM AcOMg, содержащей 40 пмоль олигонуклеотида (конечная концентрация 0.4 мкМ) и выдерживали при 37°С в течение 30 мин. Фермент инактивировали нагреванием при 70°С в течение 10 мин. К раствору добавляли 100 мкл 100 мМ буфера триэтиламинацетата (TEAAc), pH 7.0, и центрифугировали при 19 000 g, 10 мин. Надосадочную жидкость переносили в хроматографические виалы со вставками объемом 150 мкл. Исследования влияния белков EcSSB и Sso7d на ферментативную активность TdT проводились в идентичных условиях.
При исследовании влияния катионов металлов на активность TdT в реакционную смесь дополнительно вводили 0.25 мМ Me2+. Эксперименты по определению активности TdT и по изучению действия белков проводились в трех повторностях.
Количественное определение активности фермента основано на возможности разделять олигонуклеотиды различной длины с помощью ион-парной обращенно-фазовой хроматографии. Удлинение олигонуклеотида приводит к соответствующему увеличению коэффициента молярной экстинкции, что позволяет точно рассчитать количество включенных в полимер остатков тимидина.
Реакционную смесь фракционировали на колонке Thermo Fisher Scientific Hypersil GOLD (2.1 × 50 мм, 1.9 мкм). Подвижная фаза А – 100 мМ буфер TEAAc, pH 7.0, в 5%-ном ацетонитриле. Подвижная фаза Б – 100 мМ буфер TEAAc, pH 7.0, в 20%-ном ацетонитриле.
Объем вводимой пробы – 5 мкл. Для формирования градиента использовали бинарный насос и следующий режим элюирования: 35% фазы Б к объему элюэнта в течение 2 мин, от 35 до 65% – 19 мин и 65% в течение 9 мин. Скорость потока подвижной фазы 200 мкл/мин, температура колонки 40°С. Субстрат и продукты реакции детектировали при длине волны 260 нм. Анализ хроматограмм проводили в программе MassHunter V 11.0 (“Agilent”, США). В описанных условиях время удерживания (tR) олигонуклеотидов составляло: Т5 5.6 мин; Т15 12.4 мин; Т25 15.2 мин; Т30 16.5 мин; Т45 18.1 мин; Т50 22.2 мин.
Активность фермента рассчитывали по формуле:
,
где: U – активность фермента; Sf – площадь хроматографического пика, соответствующего продукту ферментативной реакции TdT; Sstd – площадь хроматографического пика, соответствующего исходному субстрату до реакции с TdT; L – длина последовательности олигонуклеотидного субстрата; T – время проведения ферментативной реакции, ч.
Одна единица активности TdT соответствовала количеству фермента, которое необходим для включения 1 нмоль остатка тимидина в олигонуклеотид за 60 мин при 37°С.
Анализ ДНК-связывающей способности EcSSB. На центрифужную колонку объемом 250 мкл с 50 мкл сорбента Ni2+-NTA наносили 2 мг EcSSB и центрифугировали при 3100 g 3 мин. Колонку промывали буфером B, содержащем 10 мМ Трис-HCl, рН 7.4, 200 мМ NaCl, 10 мМ MgCl2. Затем наносили 100 мкл 5 мкМ раствора 15-звенного олигонуклеотида. Колонку промывали буфером В. Элюаты собирали в новую пробирку объемом 1.5 мл и записывали спектр поглощения раствора. По разнице оптической плотности при 260 нм исходного раствора олигонуклеотида, нанесенного на колонку, и элюатов, определяли количество связавшейся ДНК.
Анализ ДНК-связывающей способности Sso7d. Функциональную активность Sso7d подтверждали путем оценки изменения электрофоретической подвижности плазмидной ДНК в присутствии Sso7d. Sso7d смешивали с плазмидной ДНК (электрофоретическая подвижность суперспирализованной формы соответствует 5000-звенной линейной дцДНК) в эквимолярном соотношении и перемешивали. После добавления буфера для нанесения, содержащего: 20 мМ Трис-HCl, рН 8.0, 60 мМ ЭДТА, 60%-ный глицерин, 0.48%-ный додецилсульфат натрия и 0.03%-ный бромфеноловый синий, проводили электрофорез в 1%-ном агарозном геле. Все измерения проводили в трех повторностях.
РЕЗУЛЬТАТЫ И ИХ ОБСУЖДЕНИЕ
Клонирование, экспрессия и очистка белков TdT, EcSSB, Sso7d. Идентичность последовательностей генов рекомбинантных белков, клонированных в экспрессионные вектора, подтверждена секвенированием по Сэнгеру.
Электрофоретически гомогенные препараты EcSSB и TdT были успешно получены с использованием стандартного метода металло-хелатной хроматографии. Однако металло-хелатная хроматография не позволила очистить белок Sso7d, поскольку в описанных условиях белок не связывался с сорбентом Ni2+-NTA. Для его очистки использовали термическую обработку надосадочной жидкости с последующим центрифугированием, ультрафильтрацией на мембранах с порогом отсечения 10 кДа и катионообменной хроматографией [10].
Выход рекомбинантных белков составил 130 мг на 1 л культуральной среды для EcSSB, 70 мг для Sso7d, 5 мг для TdT. Электрофоретическая гомогенность всех полученных препаратов белка составляла более 95%.
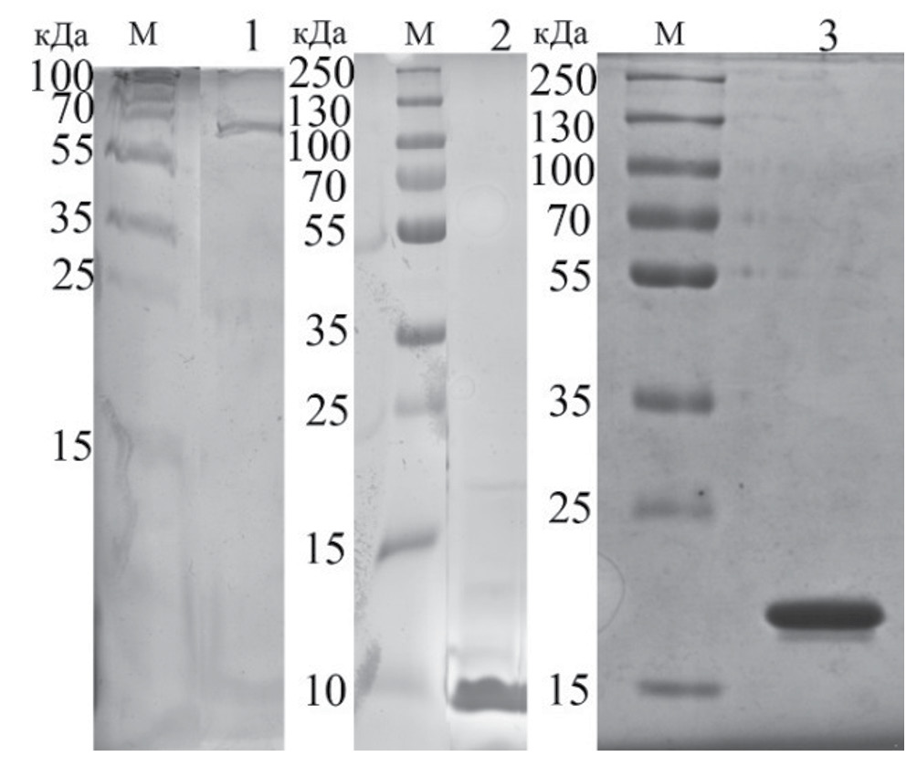
Идентичность последовательностей целевых белков подтверждена методами электрофореза в ПААГ (рис. 1) в денатурирующих условиях, масс-спектрометрией MALDI-TOF и тандемной масс-спектрометрией.
Рис. 1. Результаты ПААГ-электрофореза в денатурирующих условиях образцов выделенных рекомбинантных белков TdT (дорожка 1), Sso7d (дорожка 2) и EcSSB (дорожка 3); М – стандарт молекулярных масс белков 10–250 кДа.
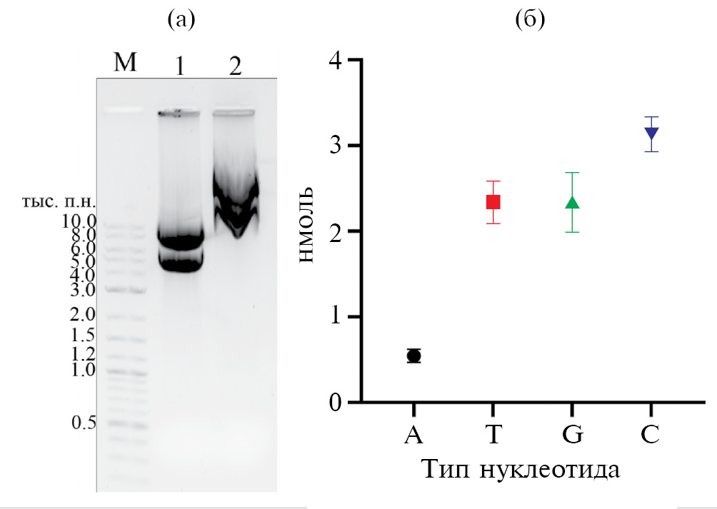
Функциональная активность Sso7d подтверждена изменением электрофоретической подвижности плазмидной ДНК в присутствии белка (рис. 2a).
Рис. 2. Результаты электрофореза кольцевой плазмидной ДНК (5994 п.о.) в 1% агарозном геле без Sso7d (дорожка 1), в присутствии Sso7d (дорожка 2). М – стандарт линейной ДНК (а); количество гомополимерных 15-мерных олигонуклеотидов различной природы (нмоль), связавшихся с EcSSB (10 нмоль), иммобилизованном на Ni2+-NTA-агарозе (б).
Методом аффинной хроматографии на центрифужных колонках, доказано, что белок EcSSB взаимодействует с оцДНК, включая 4 возможных типа гомополимерных олигонуклеотидов. При этом в эксперименте эффективность связывания EcSSB различалась для гомополимерных олигонуклеотидов (рис. 2б) [26], убывая в ряду dCn > dGn > Tn > dAn, являясь более прочной для полицитидиновых гомополимеров.
Зависимость активности TdT от длины субстрата. TdT взаимодействует с оцДНК или одноцепочечной РНК, которые содержат не менее четырех остатков фосфорной кислоты. Следовательно, в качестве минимального субстрата могут выступать либо фосфорилированные по 5′-концу тринуклеотиды, либо тетрануклеотиды. При увеличении длины субстрата неизбежно образуются вторичные структуры, что может существенно снижать скорость присоединения нуклеотидов.
По этой причине для оценки влияния ДНК-связывающих белков на реакции с участием TdT в качестве субстрата в данной работе использовали гомополимеры Tn (n = 5–50), не склонные к образованию вторичных структур, что создает оптимальные условия для работы фермента. Процесс элонгации цепи происходит по классическому механизму предложенному Стейцем с соавт [11] с некоторыми изменениями. Для взаимодействия с субстратом необходимы два катиона Mg2+, расположенные в сайтах A и B. Ионы металлов связываются с ДНК-полимеразой через карбоксильные группы консервативных остатков аспартата или глутамата в palm-домене фермента. Катион А активирует 3′-ОН группу субстрата, что приводит к нуклеофильной атаке α-фосфатной группы. Оба катиона стабилизируют переходное состояние. Катион Б стабилизирует уходящую пирофосфатную группу и способствует освобождению продукта реакции.
Условия реакции (время, концентрация фермента, олигонуклетида и TTP) и хроматографии (время и градиент) подбирали с учетом методики анализа, для оптимального разделения разных по длине исходных олигонуклеотидов. Исследование олигонуклеотидных субстратов T5–Т45 продемонстрировало, что активность TdT растет с увеличением протяженности олигонуклеотида (рис. 3). При длине субстрата в 45 и 50 нуклеотидов скорость уже не меняется. Эти данные согласуются с результатами, полученными ранее для серии гомополимерных олигонуклеотидов dAn (n = 4–50) [9].
Рис. 3. Зависимость активности TdT от длины олигонуклеотидного субстрата в серии гомополимеров Tn.
В качестве модельного субстрата в данном исследовании выбрали Т15 так как его элонгация ферментом TdT эффективно детектируется стандартными методами ион-парной обращенно-фазовой хроматографии, при этом его длина существенно больше минимальной длины субстрата, содержащего четыре фосфатные группы. Дальнейшее увеличение протяженности исходного олигонуклеотида приводит к наложению пиков продуктов реакции, что не позволяет корректно определить их распределение (рис. 4).
Рис. 4. Хроматограммы продуктов элонгации субстратов различной длины (T5–Т50) с участием TdT (конц. ТТР 200 мкМ, время реакции 30 мин): время удерживания, соответствующее субстратам: Т5 – 5.6 мин; Т15 – 12.4 мин; Т25 – 15.2; Т30 – 16.5 мин; Т45 – 18.1 мин; Т50 – 22.2 мин.
Влияние катионов двухвалентных металлов на активность TdT. Влияние катионов двухвалентных металлов на активность TdT и других ДНК-полимераз по-прежнему остается предметом обсуждения и исследования во многих работах [27]. Как и большинство полимераз, TdT в активном центре содержит катионы, которые необходимы для работы фермента и определяют координационную геометрию активного центра [28]. В случае TdT предпочтение катионов Me2+ не настолько строгое, как для репликационных ДНК-полимераз, а эффект зависит от природы субстрата и нуклеотидов. Например, для субстратов dA5-50 активность фермента уменьшается в ряду Mg2+ > Zn2+ > Co2+ > Mn2+ при элонгации олигонуклеотидов с участием dATP [9]. Присутствие Mg2+ обеспечивает максимальный эффект при добавлении остатков dG. Ионы Co2+ способствуют полимеризации пиримидиновых нуклеотидов, а Mn2+ – пуриновых [29]. Известно, что TdT не обладает высоким сродством к активного центра фермента, а следовательно, и механизм ферментативной реакции.
Механизм полимеризации с участием TdT может реализовываться как с диссоциацией образованного олигонуклеотида (дистрибутивный механизм), так и с его перемещением в активном центре (процессивный механизм) без распада белково-нуклеинового комплекса.
Для определения влияния катионов Me2+ на ферментативную активность TdT в реакционную смесь, содержащую 1.0 мМ Mg2+, дополнительно добавляли 0.25 мМ Me2+ (Ca2+, Zn2+, Mg2+, Mn2+, Co2+) в виде хлоридов. Наибольший эффект на активность TdT проявили катионы Co2+ и Mn2+, что не противоречит данным литературы (рис. 5) [30, 31]. Повышение концентрации Mg2+ увеличивало активность TdT на 35% (рис. 5). Незначительное увеличение активности фермента наблюдалось в присутствии катионов Zn2+, а добавление Ca2+ в пределах ошибки эксперимента не влияло на функционирование фермента.
Рис. 5. Влияние катионов Me2+ на ферментативную активность TdT.
Количественная оценка распределения продуктов элонгации Т15 показала, что в присутствии катионов Mn2+ в продуктах реакции появляются Т37–39, при этом по сравнению с альтернативными условиями наблюдалось смещение в сторону более протяженных Т22–36 продуктов (табл. Д1). Представление распределения продуктов реакции по длине в виде зависимости суммарной площади хроматографических пиков субстратов (S) от количества добавленных оснований (∑1NSn∑Sn от n, где Sn – это площадь хроматографического пика, соответствующая продукту с длиной l + n, где l – длина исходного субстрата, n – количество присоединенных нуклеотидов, N – максимальное количество присоединенных нуклеотидов), позволяет четко дифференцировать различия в характере реакций с короткими и длинными субстратами, а также влияние катионов металлов (рис. 6а).
Рис. 6. Зависимость суммарной площади хроматографических пиков продуктов (S) от количества присоединенных TdT нуклеотидов к субстратам T5 и T15 в реакционной смеси, содержащей: 40 нМ TdT, 0.2 мМ TTP, 5 мM AcOK, 2 мM AcOTрис (pH 7.9), 1 мM AcOMg, 0.25 мМ Me2+ (обозначено на легенде для T15), 0.4 мкМ олигонуклеотида (а) и реакционной смеси, дополнительно содержащей 2 мкМ EcSSB (б).
Из графика, представленного на рис. 6а, заметно, что разница между влиянием Co2+, Mg2+, Са2+ не существенна, Zn2+ снижал процессивность фермента, а Mn2+ существенно повышал ее.
Влияние EcSSB на ферментативную активность TdT. Свойства EcSSB связывать и стабилизировать оцДНК с одной стороны может оказать ингибирующее действие путем конкурентного связывания, а с другой может быть перспективным для повышения активности TdT. Для проверки этих гипотез все последующие эксперименты проводили в одинаковых условиях с использованием одной партии TdT, как описано в материалах и методах.
Результаты анализа влияния EcSSB на ферментативную активность TdT, продемонстрировали концентрационную зависимость, характер которой определяется длиной олигонуклеотида (использовали T5 и T15).
Внесение даже минимального количества белка EcSSB (1/100 от количества TdT) в реакционную смесь приводило к увеличению количества и смещению продуктов реакции в сторону более протяженных олигонуклеотидов, а значит и увеличению процессивности фермента (рис. 7а, б). Изменение стехиометрических соотношений EcSSB/TdT, в диапазоне от 0 до 10, приводило к увеличению активности TdT (табл. 2), а на хроматограммах ясно просматривался переход с дистрибутивного механизма на процессивный (рис. 7а, б). При значениях соотношения в диапазоне 10–100, активность TdT начинала снижаться, но не блокироваться.
Рис. 7. Хроматограммы продуктов реакции при различных стехиометрических соотношениях EcSSB/TdT (субстрат T5, tR 5.6 мин, а) и EcSSB/TdT (субстрат T15, tR 12.4 мин, б); контроль: 0.2 мМ TTP, 5 мM AcOK, 2 мM AcOTрис (pH 7.9), 1 мM AcOMg и 0.4 мкМ олигонуклеотида Т5.
Таблица 2. Зависимость активности TdT от стехиометрического соотношения EcSSB/TdT для субстратов T5 и T15
EcSSB/TdT | Активность TdT (T5), Ед./мкг | Активность TdT (T15), Ед./мкг | EcSSB/Tn | Количество продуктов реакции (T5) | Количество продуктов реакции (T15) |
0 | 2.42 ± 0.06 | 4.69 ± 0.05 | 0 | 6 | 22 |
0.01 | 2.69 ± 0.05 | 5.09 ± 0.03 | 0.003 | 8 | 22 |
0.10 | 2.82 ± 0.04 | 5.46 ± 0.09 | 0.30 | 9 | 22 |
0.2 | 2.82 ± 0.10 | 5.43 ± 0.10 | 0.06 | 9 | 23 |
0.5 | 2.84 ± 0.09 | 5.85 ± 0.06 | 0.15 | 10 | 25 |
1 | 2.96 ± 0.05 | 5.98 ± 0.04 | 0.3 | 11 | 26 |
2 | 3.16 ± 0.05 | 6.58 ± 0.21 | 0.6 | 14 | 28 |
5 | 5.13 ± 0.06 | 22.43 ± 0.17 | 1.5 | 21 | 30 |
10 | 5.79 ± 0.05 | 24.15 ± 0.23 | 3.0 | 13 | 24 |
100 | 5.18 ± 0.06 | 0.68 ± 0.16 | 30 | 8 | 5 |
Это может объясняться конкурентным взаимодействием EcSSB с олигонуклеотидными субстратами и способностью легко диффундировать вдоль цепи ДНК [32]. Однако, большой избыток EcSSB негативно сказывался на работе фермента TdT (табл. 2). Таким образом, стехиометрическое соотношение EcSSB/TdT равное пяти, приводило к заметному росту активности и процессивности TdT. Для оценки эффекта конкурирования за связывание с олигонуклеотидным субстратом приведены значения EcSSB/Tn, характеризующие стехиометрическое отношение ДНК-связывающего белка (мономера) и олигонуклеотидного субстрата.
Влияние белка EcSSB на активность TdT при разной длине исходного олигонуклеотидного субстрата. Для всех исследованных олигонуклеотидных субстратов (T5–T50) добавление в реакционную смесь белка EcSSB приводила к повышению активности TdT (рис. 8, табл. Д2). Наиболее значительный эффект наблюдался для 15- и 25-звенных олигонуклеотидных субстратов.
Рис. 8. Влияние EcSSB на активность TdT для субстратов различной длины (EcSSB/TdT 5 : 1).
Рис. 9. Влияние белка EcSSB на ферментативную активность TdT в присутствии Me2+: контроль: 40 нМ TdT, 0.2 мМ TTP, 5 мM AcOK, 2 мM AcOTрис (pH 7.9), 1 мM AcOMg, 0.4 мкМ олигонуклеотида Т15 и 2 мкМ EcSSB.
Полученные результаты свидетельствовали о том, что влияние EcSSB на активность TdT зависило от длины олигонуклеотидного субстрата, что в свою очередь указывало на то, что эффективное значение концентрации EcSSB определяется не соотношением EcSSB/TdT, а отношением концентрации EcSSB и олигонуклеотидного субстрата EcSSB/Tn (табл. 2), которое определяет присутствие в системе, свободной, несвязанной с EcSSB одноцепочечной ДНК. EcSSB связывает ДНК в виде тетрамера, а повышение активности ТdT наблюдалось для значений EcSSB/Tn до 3.0. При EcSSB/Tn равном 4.0, должно происходить полное связывание олигонуклеотидного субстрата EcSSB. Дальнейшее повышение значения EcSSB/Tn приводило к полному связыванию олигонуклеотидного субстрата тетрамером EcSSB.
Анализируя рис. 6а и 6б, можно сделать вывод о том, что присутствие в среде ДНК-связывающего белка EcSSB увеличивало активность TdT и обеспечивало образование более длинных продуктов элонгации цепи. Разница в распределении продуктов реакции в значительной степени зависило от природы катиона Me2+. При этом следует отметить, что природа катиона оказывала большее влияние на форму кривой распределения продуктов реакции в присутствии EcSSB. Известно, что катион в активном центре TdT способен регулировать процессивность фермента [30, 31]. Таким образом, можно предположить, что связывание олигонуклеотида с EcSSB, последующее взаимодействие с TdT и переход олигонуклеотида в активный центр TdT, обеспечивают реализацию преимущественно процессивного механизма функционирования трансферазы.
Влияние белка EcSSB на ферментативную активность TdT в присутствии катионов двухвалентных металлов. Известно, что катионы Me2+ влияют не только на активность TdT, но и на прочность комплекса EcSSB-оцДНК, который зависит от радиуса катионов металла, с увеличением которого снижается необходимая концентрация соли для эффективного связывания ДНК [11].
По результатам анализа хроматограмм установлено, что наибольший эффект на каталитические свойства системы EcSSB-TdT оказывали катионы Mn2+, приводя к смещению основных продуктов элонгации T15 от Т17–23 к Т38–43 (табл. Д2, рис. 10). Повышение концентрации Mg2+ приводило к увеличению активности фермента на 20% и количества продуктов Т33–40. В тоже время, ионы Ca2+ снижали активность, но увеличивали процессивность фермента и количество пролонгированных олигонуклеотидов до Т29–37. Этот эффект, возможно, связан с большим радиусом ионов Ca2+, приводящим к стерическому затруднению в активном центре фермента и повышению сродства EcSSB к оцДНК [19]. Присутствие ионов Zn2+ в реакционной смеси приводило к снижению активности TdT.
Рис. 10. Хроматограммы продуктов элонгации T15 (tR 12.4 мин), отражающие влияние катионов Me2+ и EcSSB: контроль: 40 нМ TdT, 0.2 мМ TTP, 5 мM AcOK, 2 мM AcOTрис (pH 7.9), 1 мM AcOMg, 0.25 мМ Me2+, 0.4 мкМ Т15 и 2 мкМ EcSSB.
Таким образом, использование EcSSB в присутствии катионов Mn2+ или Co2+ в ферментативном синтезе с участием TdT существенно влияло на ход ферментативной реакции. Причиной изменения активности и процессивности TdT могла быть не только стабилизация одноцепочечной структуры олигонуклеотидов, но и межбелковые взаимодействия между EcSSB и TdT, которые одновременно связывались с олигонуклеотидом.
Влияние белка Sso7d на активность фермента TdT. В общем случае от стабилизирующего двуцепочечную ДНК белка Sso7d следовало ожидать ингибирующего действия на активность TdT как в случае двуцепочечной ДНК, так и в случае олигонуклеотидов смешанного состава. Для гомополимеров типа Tn и dAn, не образующих межцепочечные водородные связи, ингибирующее действие Sso7d неочевидно. Для проверки гипотезы белок Sso7d использовали в эквимолярном соотношении с TdT, а условия реакции и анализа использовали как в эксперименте с EcSSB.
Исследование олигонуклеотидных субстратов T5, T15, T35 в реакции продемонстрировало, что активность TdT возрастала с увеличением протяженности олигонуклеотида (рис. 11). Полученные результаты согласовывались с данными, полученными для серии олигонуклеотидов dAn (n = 4–50) [9]. Кинетический анализ подтвердил, что при возрастании олигонуклеотидной цепи dAn от 4 до 50, KM уменьшалось от 160 до 1 мкМ [9]. Для субстрата T15 присутствие катионов Co2+ оказывало активирующее влияние, а катионы Zn2+, напротив, снижали активность TdT. Во всех случаях присутствие в системе Sso7d приводило к снижению активности TdT.
Рис. 11. Влияние Sso7d на активность TdT в реакции элонгации T5, T15, T35 в различных условиях. Отражено влияние катионов Zn2+ и Co2+ на элонгацию T15.
В отсутствие Me2+ ингибирующее действие Sso7d возрастало с ростом длины олигонуклеотидной цепи, что указывает на то, что механизм ингибирования не связан с белок-белковыми взаимодействиями Sso7d и TdT, а скорее опосредован конкурентным взаимодействием Sso7d с ДНК.
Катионы Co2+ и Mn2+ изначально использовались как замена Mg2+ в буферных системах для TdT для дестабилизации ДНК-дуплексов, особенно в реакции удлинения тупых концов [5]. Таким образом, можно предположить, что влияние катионов Co2+, в реакционной смеси, могло быть причиной не столь выраженного ингибирующего эффекта белка Sso7d.
***
В настоящей работе впервые исследовано влияние белков, неспецифично связывающих и стабилизирующих одноцепочечную (EcSSB) и двуцепочечную (Sso7d) ДНК, на активность терминальной дезоксинуклеотидилтрансферазы в отношении гомополимерных субстратов Tn.
Выдвинута гипотеза о том, что ДНК-связывающие белки способны влиять на активность TdT путем разрушения/стабилизации вторичных структур субстрата и/или путем конкурентного связывания с субстратом. Для оценки альтернативных эффектов ДНК-связывающих белков использованы модельные системы с гомополимерными субстратами Tn, не склонными к образованию вторичных структур.
Sso7d, связывающий и стабилизирующий двуцепочечную ДНК, приводил к небольшому (до 15%) снижению активности TdT для субстратов T5 и T15 и более выраженному для T35 (до 30%).
При этом обнаружено существенное увеличение активности TdT в присутствии EcSSB. Изучение характера зависимости распределения продуктов реакции по количеству добавленных ферментом TdT нуклеотидов от присутствия EcSSB и катионов Me2+, позволило установить, что EcSSB увеличивал процессивность фермента. EcSSB оказывал максимальный эффект на активность TdT в близком к эквимолярному стехиометрическом соотношении (EcSSB)4:TdT в присутствии катионов Mn2+. Вероятной причиной изменения процессивности TdT являлись белок-белковые взаимодействия между ферментом и ДНК-связывающим белком. Следует отметить, что специфические взаимодействия между гетерологичными белками маловероятны, однако полностью исключить их невозможно, учитывая то, что белки, связывающие одноцепочечную ДНК, широко растпространены в природе и представлены во всех царствах живых существ. Учитывая существенную разницу в значении изоэлектрических точек белков TdT (7.84) и EcSSB (6.12), а также возможность диполь-дипольных взаимодействий, неспецифические взаимодействия также могли быть значимыми в исследуемой системе.
Таким образом, выдвинуто предположение, что механизм влияния EcSSB на TdT заключается не только в стабилизации одноцепочечной структуры олигонуклеотидов, а может быть следствием межбелковых взаимодействий, которые переключают механизм работы TdT на процессивный, при котором тетрамер ЕсSSB в составе комплекса передает субстрат в активный центр TdT, а катион Mn2+ дополнительно увеличивает эффект.
Последующие исследования других гомополимерных субстратов, а также субстратов, формирующих внутри- и межцепочечные взаимодействия в системах, содержащих TdT и ДНК-связывающие белки позволят более полно понять молекулярные механизмы обнаруженных эффектов.
Таким образом, продемонстированные в данной работе эффекты ДНК-связывающих белков на активность TdT, а также установленные закономерности, могут найти применение как в белковой инженерии при создании гибридных мультидоменных белков на основе TdT, так и при разработке новых принципов ферментативного синтеза ДНК de novo.
Вклад авторов. А.В. Янцевич – концепция и руководство работой; А.Б. Саченко – проведение экспериментов; В.В. Щур – синтез генов; А.Б. Саченко, С.А. Усанов, А.В. Янцевич – обсуждение результатов исследования; А.Б. Саченко – подготовка рукописи; А.В. Янцевич – редактирование рукописи.
Благодарности. Авторы благодарят Ю.П. Буренкову за помощь при создании экспрессионных конструкций, А.И. Жолнеровича за помощь при выполнении экспериментов по определению активности терминальной дезоксинуклеотидилтрансферазы, М. А. Шапиро и Я. В. Диченко за помощь в хроматографической очистке белков.
Финансирование. Работа выполнена при поддержке гранта БРФФИ № Х21М-056 и грантов Национальной академии наук Беларуси № 2023-27-021 и № 2021-04-22.
Конфликт интересов. Авторы заявляют об отсутствии конфликта интересов.
Соблюдение этических норм. Настоящая статья не содержит описания каких-либо исследований с участием людей или животных в качестве объектов.
Об авторах
А. Б. Саченко
Институт биоорганической химии Национальной Академии наук Беларуси
Email: yantsevich@iboch.by
Белоруссия, Минск, 220141
В. В. Щур
Институт биоорганической химии Национальной Академии наук Беларуси
Email: yantsevich@iboch.by
Белоруссия, Минск, 220141
С. А. Усанов
Институт биоорганической химии Национальной Академии наук Беларуси
Email: yantsevich@iboch.by
Белоруссия, Минск, 220141
А. В. Янцевич
Институт биоорганической химии Национальной Академии наук Беларуси
Автор, ответственный за переписку.
Email: yantsevich@iboch.by
Белоруссия, Минск, 220141
Список литературы
- Hoose A., Vellacott R., Storch M., Freemont P.S., Ryadnov M.G. // Nat. Rev. Chem. 2023. V. 7. P. 144–161.
- Stemmer W.P., Crameri A., Ha K.D., Brennan T.M., Heyneker H.L. // Gene. 1995. V. 164. P. 49–53.
- Ma S., Saaem I., Tian J. // Trends Biotechnol. 2012. V. 30. P. 147–154.
- Kosuri S., Church G.M. // Nat. Meth. 2014. V. 11. P. 499–507.
- Grosse F., Manns A. // Meth. Mol. Biol. 1993. V. 16. P. 95–105.
- Bollum F.J. // J. Biol. Chem. 1960. V. 235. P. 2399–2403.
- Church G.M., Gao Y., Kosuri S. // Science. 2012. V. 337. P. 1628. https://doi.org/10.1126/science.1226355
- Verardo D., Adelizzi B., Rodriguez-Pinzon D.A., Moghaddam N., Thomee E., Loman T. et al. // Science. Adv. 2023. V. 9. P. eadi0263. https://doi.org/10.1126/sciadv.adi0263
- Deibel M.R., Jr., Coleman M.S. // J. Biol. Chem. 1980. V. 255. P. 4206–4212.
- Sachanka A.B., Trawkina M., Shchur V.V., Usanov S.A., Yantsevich A.V. // Proc. Nat. Acad. Sci. Bel. Chem. Ser. 2023. V. 55. P. 225–233.
- Steitz T.A., Steitz J.A. // Proc. Nat. Acad. Sci. USA. 1993. V. 90. P. 6498–6502.
- Barthel S., Palluk S., Hillson N.J., Keasling J.D., Arlow D.H. // Genes. 2020. V. 11. https://doi.org/10.3390/genes11010102
- Wang Y., Prosen D.E., Mei L., Sullivan J.C., Finney M., Vander Horn P.B. // Nucleic Acids Res. 2004. V. 32. P. 1197–1207.
- Dolgova A.S., Stukolova O.A. // 3 Biotech. 2017. V. 7. P. 128. https://doi.org/10.1007/s13205-017-0745-2
- Baumann H., Knapp S., Lundbäck T., Ladenstein R., Härd T. //Nat. Mol. Biol. 1994. V. 1. P. 808–819.
- Shehi E., Serina S., Fumagalli G., Vanoni M., Consonni R., Zetta L. et al // FEBS Lett. 2001. V. 497. P. 131–136.
- Guagliardi A., Napoli A., Rossi M., Ciaramella M. // J. Mol. Biol. 1997. V. 267. P. 841–848.
- McAfee J.G., Edmondson S.P., Datta P.K., Shriver J.W., Gupta R. // Biochem. 1995. V. 34. P. 10063–10077.
- Bujalowski W., Overman L.B., Lohman T.M. // J. Biol. Chem. 1988. V. 263. P. 4629–4640.
- Bochkarev A., Bochkareva E., Frappier L., Edwards A.M. // EMBO J. 1999. V. 18. P. 4498–4504.
- Chédin F., Seitz E.M., Kowalczykowski S.C. // Trends Biochem. Sci. 1998. V. 23. P. 273–277.
- Schwarz K., Hansen-Hagge T., Bartram C. // Nucleic Acids res. 1990. V. 18. P. 1079. https://doi.org/10.1093/nar/18.4.1079
- Ronaghi M. // Anal. Biochem. 2000. V. 286. P. 282–288.
- Yantsevich A.V., Shchur V.V., Usanov S.A. // SLAS tech. 2019. V. 24. № 6. P. 556–568. https://doi.org/10.1177/2472630319850534
- Yantsevich A.V., Dzichenka Y.V., Ivanchik A.V., Shapiro M.A., Trawkina M., Shkel T.V., et al.. // Prikl. Biokhim. Mikrobiol. 2017. V. 53. № 2. P. 173–187.
- Shlyakhtenko L.S., Lushnikov A.Y., Miyagi A., Lyubchenko Y.L. // Biochem. 2012. V. 51. P. 1500–1509.
- Kuffel A., Gray A., Daeid N.N. // Int. J. Leg. Med. 2021. V. 135. P. 63–72.
- Johns D., Richard Morgan A. // Biochem. Biophys. Res. Commun. 1976. V. 72. P. 840–849.
- Kato K.I., Goncalves J.M., Houts G.E., Bollum F.J. // J. Biol. Chem. 1967. V. 242. P. 2780–2789.
- Flamme M., Hanlon S., Iding H., Puentener K., Sladojevich F., Hollenstein M. // Bioorg. Med. Chem. Lett. 2021. V. 48. P. 128242. https://doi.org/10.1016/j.bmcl.2021.128242
- Aleksandra A.K., Timofey E.T., Irina V.A., Nadezhda A.T., Olga S.F., Nikita A.K. // Life Sci. All. 2022. V. 5. P. e202201428. https://doi.org/10.26508/lsa.202201428
- Kuznetsov S.V., Kozlov A.G., Lohman T.M., Ansari A. // J. Mol. Biol. 2006. V. 359. P. 55–65.
Дополнительные файлы













