Engineering of recombinant endolysin LysSi3 to increase its antibacterial properties
- Authors: Antonova N.P.1, Grigoriev I.V.1, Lendel A.M.1, Usacheva O.V.1, Klimova A.A.1, Usachev E.V.1, Gushchin V.A.1,2, Vasina D.V.1
-
Affiliations:
- N.F. Gamaleya National Research Centre for Epidemiology and Microbiology, Ministry of Health of the Russian Federation
- Lomonosov Moscow State University
- Issue: Vol 60, No 5 (2024)
- Pages: 455-464
- Section: Articles
- URL: https://ogarev-online.ru/0555-1099/article/view/283873
- DOI: https://doi.org/10.31857/S0555109924050033
- EDN: https://elibrary.ru/QTWCJY
- ID: 283873
Cite item
Full Text
Abstract
The potential of new genetically modified recombinant endolysins as antimicrobial agents against Gram-negative bacteria was investigated. A series of enzymes based on LysSi3 lysozyme-like muramidase were obtained by modifying its sequence with antimicrobial peptides of different families and recombinant expression in E. coli was demonstrated. Modification of LysSi3 resulted in increased bacteriolytic activity against the model isolate of A. baumannii and higher kinetics rate compared to the native enzyme. The cytotoxic properties of new engineered lysins were investigated with the HEK293 and HaCaT cell lines and it was shown that modification of LysSi3 with antimicrobial peptides does not significantly increase the toxic properties in vitro.
Full Text
Перспективным направлением разработки средств профилактики и лечения устойчивых к действию антибиотиков бактериальных инфекций является терапия препаратами на основе литических ферментов бактериофагов – эндолизинов. За счет действия на консервативные структуры клеток риск быстрого развития бактериальной устойчивости к таким препаратам минимален. Широкий спектр действия эндолизинов, выделенных из бактериофагов грамотрицательных бактерий, позволяет использовать такие препараты при лечении системных инфекций различной этиологии, а их способность действовать в отношении бактериальных пленок открывает широкие возможности применения для профилактики и лечения раневых инфекций [1].
Относительно небольшое количество проектов, связанное с использованием рекомбинантных лизинов против грамотрицательных бактерий, обусловлено трудностью преодоления внешней мембраны этих патогенов, что отложило развитие данного направления на несколько лет по сравнению с эндолизинами против грамположительных бактерий. Для повышения пермеабилизующей способности лизинов предложены различные подходы, например, комбинирование эндолизинов с агентами, повышающими проницаемость мембран, таких как ЭДТА и органические кислоты [2].
Другим подходом является получение гибридных молекул лизинов с последовательностями, обеспечивающими активный транспорт лизинов через белковые каналы, пронизывающие мембраны грамотрицательных бактерий. Например, был получен гибридный лизин PyS2-GN4, включающий фрагмент бактериоцина синегнойной палочки PyS2, позволявшего ферменту связываться с поверхностным рецептором бактерий и транслоцироваться через наружную мембрану [3]. Кроме того, известен пример химерной молекулы лизин-колицин А, способной пересекать внешнюю мембрану Escherichia coli с помощью поверхностного рецептора BtuB и порообразующего канала OmpF [4].
Однако наиболее универсальным считается применение методов модификации белка антимикробными пептидами пермеабилизующего действия (АМП). Такой инженерный подход позволил решить проблему проницаемости и значительно расширить спектр действия препаратов на основе ферментов для борьбы с критически важными возбудителями, такими как Pseudomonas aeruginosa, Acinetobacter baumannii, E. coli и Klebsiella pneumoniae [5, 6]. Модификации нативных полипептидов эндолизинов путем введения в последовательность рекомбинантного белка АМП позволяет такой гибридной молекуле эффективно проникать через наружную мембрану бактериальной клетки к своей мишени – пептидогликану и разрушать его. Пермеабилизующие пептиды неспецифично взаимодействуют с гидрофобными или ионными связями ЛПС наружных мембран и таким образом дестабилизируют мембрану и приводят к ее локальным нарушениям [7]. Спектр известных противомикробных пептидов крайне широк и включает группы, различающиеся по структуре и свойствам [5]. В качестве пептидов используют такие как антимикробный пептид SMAP-29 [8], цекропин A [9], пептид PCNP [10], последовательности, насыщенные гидрофобными аминокислотами [11], и другие. Они значительно различаются по свойствам и спектру действия, но системного исследования влияния модификаций пептидами на свойства гибридных молекул не проводилось. Тем не менее, простая гибридизация АМП на N- или C-конце лизина не всегда приводит к созданию высокоактивного фермента. Для получения вариантов адекватно действующих при низких концентрациях необходимо перебрать широкий спектр комбинаций функциональных доменов, возможность включения линкеров и др.
Цель работы – получение новых бактериолитических ферментов, обладающих высокой активностью в отношении грамотрицательных бактерий, на основе рекомбинантных эндолизинов, модифицированных противомикробными пептидами различных групп, а также исследование влияния вводимых пептидов на in vitro свойства получаемых ферментов.
МЕТОДИКА
Бактериальные штаммы и условия культивирования. В работе были использованы штаммы E. coli для рекомбинантной экспрессии белков, а также клинический изолят A. baumannii, выделенный из мокроты пациента, для исследования свойств ферментов (коллекция лаборатории трансляционной биомедицины НИЦЭМ им. Н.Ф. Гамалеи). Была проведена оценка устойчивости изолята A. baumannii к противомикробным препаратам по минимальным ингибирующим концентрациям препаратов (МИК) методом серийных микроразведений. Показано, что изолят обладал устойчивостью к ампициллину и хлорамфениколу. Все культуры хранили при –80°C, культивировали в соответствующей среде при 37°C при перемешивании 250 об./мин в течение ночи перед проведением анализов.
Получение генетических конструкций модифицированных вариантов эндолизинов. Выбор пептидов для модификации эндолизина LysSi3 и поиск последовательностей для создания генно-инженерных конструкций проводили с использованием публичных баз данных Database of Antimicrobial Activity and Structure of Peptides (DBAASP) [12] и Antimicrobial peptide database APD3 (https://aps.unmc.edu).
Для получения ферментов, модифицированных противомикробными пептидами (LysSi3-АМП), была использована генетическая конструкция на основе экспрессионного вектора pET-42b (+), кодирующая последовательность эндолизина LysSi3 (pET42b-LysSi3) [13]. Все нуклеотидные последовательности дополнительной вставки, соответствующей пептидам, были сконструированы из олигонуклеотидных праймеров (“GenTerra”, Россия) длиной до 70 нуклеотидов путём их перекрытия (табл. 1). Полученные ПЦР фрагменты нуклеотидной последовательности эндолизина с АМП и вектора сливали методом Гибсона.
Таблица 1. Праймеры, используемые для получения конструкций
№ | Название конструкции | Праймер | Последовательность использованных олигонуклеотидных праймеров, 5'–3' |
1 | Вектор (pET42b-LysSi3) | ACPvecF | CGAAAGGAAGCTGAGTTGGCTGCT |
ACPR | AGCCAACTCAGCTTCCTTTCGCTAGGCGACCACAGGTTTGCG | ||
2 | pET42b-LysSi3-CeA | CeaR | AATcTTcTTgAACAGcTTCCAcTTCTCGAGCTTTGGGTATACACTGTC |
CeaF | AAGTGGAAGCTGTTCAAGAAGATTTAAGGGAATTAGAAGAATGAGTGTGATCGCTAAAC | ||
3 | pET42b LysSi3-HIS5 | His5R | CTTCTCGTGGAACTTGCGCTTATAGCCGTGATGGCGTTTCGCGTGGCTATCCTCGAGCTTTGGGTATACACTGTCAAG |
His5F | AGCGCAAGTTCCACGAGAAGCACCATAGCCATCGCGGCTATTAAGGGAATTAGAAGAATGAGTGTGATCGCTAAAC | ||
4 | pET42b LysSi3-GG3 | GG3R | CGCCTTTCAACCACAACTTACCACCCTTCAGCCACAGTTTGCCCTCGAGCTTTGGGTATACACTGTCAAG |
GG3F | GTGGTAAGTTGTGGTTGAAAGGCGGGAAACTGTGGTTAAAGGGCTAAGGGAATTAGAAGAATGAGTGTGATCGCTAAAC |
Смесь собранных фрагментов ДНК трансформировали в химически компетентные клетки E. coli Top10 (“Invitrogen”, США) методом теплового шока. Клеточную культуру после трансформации высевали на чашки Петри с агаризованной средой 2YT (состав, г/л: пептон – 16.0; дрожжевой экстракт – 10.0, NaCl – 5.0, агар – 15.0), содержащей селективный антибиотик канамицин. Для выросших колоний проверялось наличие нуклеотидного фрагмента исследуемого эндолизина методом ПЦР. Плазмидную ДНК выделяли из культуры бактерий, выращенных в среде 2YT в течение 18–20 ч, набором Plasmid Miniprep (“Евроген”, Россия), согласно протоколу производителя.
Соответствие последовательности полученных конструкций теоретическим подтверждали секвенированием открытой рамки считывания плазмидной ДНК с эндолизином и АМП-модификациями методом Сэнгера с использованием BigDay™ Terminator V3.1 (“Applied Biosystems”, USA). В качестве олигонуклеотидных праймеров для секвенирования использовали lacOseqF и ACPRseq как универсальные праймеры для кольцевого вектора pET42b и хромопротеина, Si3seqF (5'-CAGACGTAGAATGGAAGCT-3′) и Si3R как специфические, комплементарные нуклеотидной последовательности лизина Si3 (5'-CTCGAGCTTTGGGTATACACTGTCAAGA-3′).
Экспрессия модифицированных белков. Полученные химерные конструкции трансформировали методом теплового шока в экспрессионный лабораторный штамм E. coli Rosetta(DE3) (“Novagen”, Германия), после чего нарабатывали биомассу, содержащую лизины в среде 2YT и селективные антибиотики (канамицин и хлорамфеникол) при индукции 1 мМ ИПТГ в течении 3–4 ч.
Очистка белков. Рекомбинантный эндолизин LysSi3 был получен, как описано ранее [13]. Очистку модифицированных белков проводили с помощью двухстадийной хроматографии лизата клеток-продуцентов с использованием катионообменного сорбента SP-sepharose (“GE Healthcare”, США) и гель-эксклюзионного сорбента Superdex 75pg (“GE Healthcare”, США), проводя элюцию в фосфатно-солевом буфере PBS, рН 7.4 (“VWR”, США). Конечную концентрацию белков определяли путем измерения OD280 (Implen NanoPhotometer, “IMPLEN”, Германия) с учетом теоретических коэффициентов поглощения. Чистоту полученных препаратов подтверждали с помощью денатурирующего ПААГ-электрофореза. Все белки лиофилизировали и хранили при –80°С до проведения экспериментов.
Определение противомикробной активности эндолизинов. Для оценки активности белков против бактерий в экспоненциальной фазе роста культуру A. baumannii разбавляли в свежей питательной среде и подращивали при 37°С, 250 об/мин до оптической плотности OD600 = 0.6. Для анализа активности ферментов в отношении бактерий в стационарной фазе использовали культуру выращенную в течение 18–20 ч, без подращивания. Далее 1 мл культуры осаждали центрифугированием в течение 5 минут (6000 g) и ресуспендировали осадок в PBS, pH 7.4 до мутности полученной суспензии, соответствующей стандарту мутности МакФарланда 0.5. Бактериальную суспензию разбавляли в 100 раз в буфере 20 мМ Трис-HCl pH 7.5.
Ферменты разводили в 20 мМ Трис-HCl pH 7.5 до концентраций 0.2 мкг/мл, 2.0 мкг/мл или 20.0 мкг/мл. В лунки планшета вносили по 100 мкл суспензии и 100 мкл подготовленных растворов эндолизинов и инкубировали 60 мин при 200 об/мин, 37°С. В качестве отрицательного контроля использовали раствор 20 мМ Трис-HCl, pH 7.5, и 100 мкл суспензии бактерии. Далее, суспензию разводили в 10 раз PBS и наносили по 100 мкл на чашки Петри. Результат оценивали, подсчитывая колониеобразующие единицы (КОЕ) после ночной инкубации в термостате при 37°С. Все эксперименты были проведены в трехкратной повторности.
Определение скорости действия эндолизинов. Для измерения скорости действия анализ проводили, как описано выше при конечной концентрации ферментов 1.0 мкг/мл и времени инкубации с бактериальной культурой 0 (без инкубации), 5, 10, 30, 60 мин.
Противобиопленочная активность. Штамм A. baumannii, образующий биопленки, культивировали в течение ночи в среде TSB (BD Tryptic Soy Broth). Затем культуры разводили 1 : 50 свежим TSB, вносили по 100 мкл в лунки 96-луночных стерильных полистироловых планшетов для культивирования суспензионных культур (“Eppendorf”, Германия) и инкубировали в течение 48 ч при 37°C, 250 об./мин, чтобы обеспечить формирование биопленки. После инкубации содержимое лунок с планктонными клетками стряхивали, планшет трижды промывали PBS рН 7.4, и сушили на воздухе в течение примерно 10 мин. Затем в лунки добавляли растворы эндолизинов до конечной концентрации 100 мкг/мл или 20 мМ Трис-HCl рН 7.5, в качестве отрицательного контроля и инкубировали при 37°С, 250 об./мин в течение 2 ч. После инкубации лунки дважды промывали 200 мкл PBS pH 7.4, и сушили на воздухе. Промытые биопленки окрашивали 0.1% водным раствором кристаллического фиолетового (“PanReac AppliСhem”, Испания) в течение 20 мин при комнатной температуре с последующим трехкратным промыванием бидистиллированной водой, подсушивали на воздухе и растворяли в 33%-ной уксусной кислоте. Оптическую плотность полученных растворов измеряли при 590 нм (ОD590) с помощью прибора для измерения поглощения SPECTROstar NANO (“BMG LABTECH”, Германия). Все эксперименты проводились в трех повторностях.
Цитотоксическое действие. Клетки линий HEK293 и HaCaT (American Type Culture Collection) засевали в 96-луночный планшет (“Eppendorf”, Германия) из расчета 20000 кл./лунку в 100 мкл среды DMEM (“ПанЭко”, Россия) с добавлением 10% фетальной бычьей сыворотки, 2 мM глутамина (“ПанЭко”, Россия) и смеси антибиотиков пенициллина (50 Ед./мл) и стрептомицина (50 мкг/мл) до конфлюэнтности монослоя 80–90% в течение 24 ч при 37°C, в увлажненной атмосфере с содержанием 5% CO2. Далее из лунок удаляли среду и вносили 100 мкл растворов эндолизинов в концентрациях от 1000 мкг/мл до 15.6 мкг/мл (2-кратные разведения белков в стерильной базовой среде DMEM с добавлением 10% фетальной бычьей сыворотки и 2 мM глутамина). В качестве контроля выживаемости в лунки вносили 100 мкл базовой среды DMEM. При анализе данных значения в этих лунках принимали за 100% (Ymax). В качестве положительного контроля использовали значения в лунках, содержащих 100 мкл 0.1% Тритон X-100 (“Хеликон”, Россия), при анализе данных их принимали за 0% (Ymin). Каждую концентрацию анализировали в трех повторностях.
Планшеты инкубировали в термостате при 37°C в атмосфере с содержанием 5% CO2 в течение 24 ч, затем вносили по 100 мкл тетразолиевого красителя MTT (“Диаэм”, Россия) до итоговой концентрации 0.5 мг/мл. Смеси инкубировали в течение еще 4 ч при 37°C в 5%-ном CO2. После инкубации из лунок планшета удаляли всю жидкость, вносили по 100 мкл DMSO и измеряли оптическую плотность при длине волны 570 нм (OD570). Долю живых клеток в каждой лунке для каждой концентрации препарата вычисляли, используя следующую формулу:
ЖС = (Yоб – Yмин)/(Yмакс – Yмин) × 100%,
где ЖС – жизнеспособность, % живых клеток;
Yоб – значение OD570 для образца в определенной концентрации;
Yмакс – среднее значение OD570 в лунках с контролем живых клеток (среда DMEM);
Yмин – среднее значение OD570 в лунках с 0.1% Тритон X-100, контроль мертвых клеток.
Статистическая обработка данных. Результаты были проанализированы и проиллюстрированы с использованием программного обеспечения GraphPad Prism 10.0. Сравнение проведено с использованием однофакторного дисперсионного анализа с учетом критерия множественных сравнений Тьюки. Данные представлены как средние значения трех независимых экспериментов ± стандартное отклонение, SD.
РЕЗУЛЬТАТЫ И ИХ ОБСУЖДЕНИЕ
Инженерия и получение модифицированных эндолизинов. В качестве фермента для модификации был выбран фаговый эндолизин LysSi3, который ранее был охарактеризован [13] как гликозидгидролаза 24 семейства (мурамидаза, GH24) с выраженной антимикробной активностью в отношении бактерий видов P. aeruginosa, A. baumannii, E. coli. При этом, LysSi3 обладал невысокой скоростью противомикробного действия по сравнению с другими эндолизинами, элиминируя 99.9% КОЕ контрольного штамма более, чем за 99 мин. Кроме того, LysSi3 избирательно активен в отношении изолятов K. pneumoniae, Salmonella sp. и Enterobacter sp. [14], а его активность практически полностью ингибируется в присутствии физиологических концентраций соли. Таким образом, не смотря на высокий потенциал действия этого фермента, у него есть ряд недостатков, не позволяющих его рассматривать в качестве действующего вещества противомикробных препаратов.
Модификация нативных эндолизинов введением дополнительных последовательностей, обладающих противомикробной активностью, например, за счет дестабилизации и пермеабилизации внешней мембраны грамотрицательных бактерий, широко применяется для получения кандидатных средств терапии против инфекций, вызываемых такими патогенами. Использование АMП является универсальной стратегией и основано на их физико-химических свойствах. В основном, для этих целей используют поликатионные, гидрофобные, амфипатические последовательности [11, 15]. Несмотря на то, что существуют высокопроизводительные платформы для создания и предсказания свойств таких генно-инженерных конструкций [16], этот подход к конструированию ферментов все равно остается достаточно трудоемким, и требует большого количества экспериментальной работы на этапах скрининга. С другой стороны, системный анализ влияния пептидов на свойства инженерных эндолизинов отсутствует, а описанные исследования ограничены несколькими примерами гибридизации.
Для получения химерных белков LysSi3-АМП выбирали противомикробные пептиды, относящиеся к различным группам по аминокислотному составу. Помимо этого, для пептидов должна быть показана способность проникать через внешнюю мембрану грамотрицательных бактерий, и отсутствие значимого цитотоксического действия на клетки эукариот. По этим критериям, для исследования были выбраны три пептида Цекропин А (1–8) (DBAASPS_9963), Гистатин 5 (DBAASPR_15) и синтетический пептид GG3 (DBAASPS_8820). Их гибридизовали на С-конце последовательности LysSi3, в результате получая модифицированные ферменты: LysSi3-CeA, LysSi3-HIS5 и LysSi3-GG3.
Цекропин А (CeA) — один из наиболее широко изученных антимикробных пептидов, продуцируемый насекомыми в качестве компонента защитной системы от бактериальных инфекций. В зависимости от соотношения в среде пептид/липид, CeA формирует либо ионные каналы (при низких соотношениях), либо поры, достаточные, чтобы могли проходить различные молекулы (при более высоких соотношениях) [17]. Цекропины и их производные пептиды широко используют для модификации эндолизинов с целью получения ферментов, активных в отношении грамотрицательных бактерий, таких видов как A. baumannii, K. pneumoniae, E. coli и Enterobacter cloacae [18–20].
Гистатины представляют собой семейство небольших катионных пептидов, в составе которых присутствует большое количество основных аминокислот, таких как аргинин, лизин и, главным образом, гистидин [21]. Аминокислотная последовательность гистатина 5 (HIS-5) характеризуется случайной вторичной структурой, представляющей α-спираль с амфипатическими свойствами [22]. Несмотря на то, что гистатин в первую очередь рассматривался как пептид, активный в отношении C. albicans, его фрагмент, включающий аминокислотные остатки с 4 по 16, также проявляет антибактериальную активность в отношении P. aeruginosa, E. coli и S. aureus [23–25]. И хотя механизм действия HIS5 до конца не выяснен, известно, что пептид поглощается клеткой и индуцирует продукцию активных форм кислорода [26].
Глицин-богатый центросимметричный пептид GG3 – синтетически синтезированный пептид, сконструированный таким образом, чтобы обойти естественную иммунную защиту хозяина [27]. Он включает гидрофобные, положительно-заряженные аминокислоты, а также остатки Gly. При этом, GG3 показал селективность в отношении грамотрицательных бактерий, отсутствие серьезной гемолитической активности, а механизм его действия, по всей видимости, включает, помимо увеличения проницаемости бактериальной мембраны за счет формирования пор, также связывание с бактериальной ДНК.
Таким образом, все три пептида, используемые для модификации LysSi3 различались между собой как по физико-химическим свойствам и структуре, так и по механизму взаимодействия с внешними мембранами грамотрицательных бактерий.
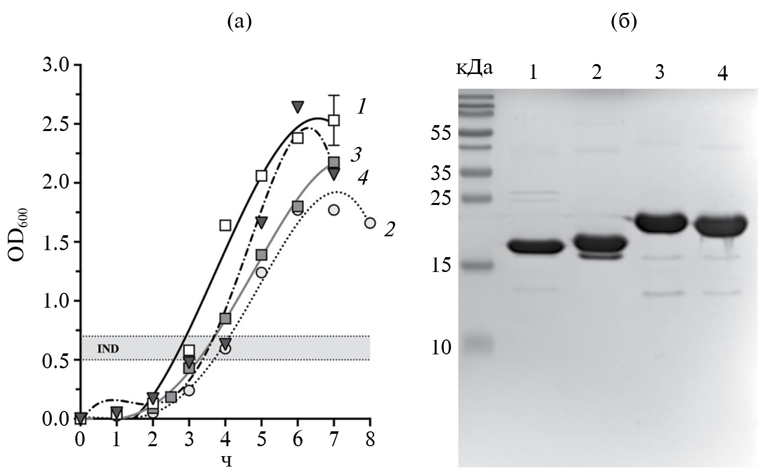
Все белки были получены в экспрессионной системе E. coli. Индукцию проводили при OD600 0.5–0.7 оптических ед. При этом, по сравнению с LysSi3, для модифицированных противомикробными пептидами белков наблюдалось замедление роста и накопления биомассы. А у штаммов, продуцирующих LysSi3-GG3 и LysSi3-CeA, спустя 3 ч индукции начинался лизис культуры и снижение оптической плотности (рис. 1а), вероятно, из-за накопления высокой концентрации эндолизинов в клетках продуцента и их токсичности.
Рис. 1. Кривые роста и накопления биомассы (а) и электрофорез в ПААГ очищенных белков (б): 1 – LysSi3, 2 – LysSi3-CeA, 3 – LysSi3-HIS5, 4 – LysSi3-GG3. IND – диапазон оптической плотности культуры, при которой вносили ИПТГ для индукции экспрессии белков.
Несмотря на это, выход белков после двухстадийной хроматографической очистки растворимой фракции составил 10.0; 3.18; 1.34 мг/г биомассы для LysSi3-CeA, LysSi3-HIS5 и LysSi3-GG3 соответственно, а препараты достигали высокой степени очистки (рис. 1б).
Таким образом, возможность получения белков в выбранной системе экспрессии подтверждено экспериментально, а получаемые количества достаточны для определения основных свойств.
Влияние модификаций на противомикробные свойства LysSi3. В ходе работы нами были оценены такие параметры антимикробной активности полученных ферментов, как эффективные концентрации эндолизинов, скорость действия в отношении модельного штамма A. baumannii, активность в отношении бактерий, находящихся в стационарной фазе роста, а также в составе биопленок.
В сравнении с нативным LysSi3 все модифицированные ферменты были более активными и в минимальной измеренной концентрации 0.1 мкг/мл активность составила 55.6, 88.8 и 98.3% для LysSi3-CeA, LysSi3-HIS5 и LysSi3-GG3 соответственно (рис. 2а). Активность LysSi3 в этой концентрации не превышала 20%. Также значительно возросла скорость действия эндолизинов, содержащих дополнительные пептиды, и при концентрации 1.0 мкг/мл LysSi3-CeA, LysSi3-HIS5 и LysSi3-GG3 потребовалось 11.8, 4.6 и 4.5 мин на элиминацию 90% бактерий, в то время как для LysSi3 это время составило 51 мин (рис. 2в). Помимо этого, эндолизины были активнее в отношении бактериальных клеток в стационарной фазе роста, причем LysSi3-HIS5 и LysSi3-GG3 полностью элиминировали бактерии в образцах (рис. 2б). Известно, что лизины обычно менее активны в отношении бактерий, находящихся в стационарной фазе и характеризующихся более устойчивой к внешним воздействиям клеточной стенкой по сравнению с экспоненциально растущими бактериальными клетками [28], что может ограничивать их применение в реальных условиях. В связи с этим, модификации, позволяющие добиться противомикробной активности, независимо от метаболического статуса клетки является большим преимуществом.
Рис. 2. Зависимость противомикробной активности (а) от концентрации LysSi3 и его модифицированных вариантов (I – 0.1 мкг/мл, II – 1.0 мкг/мл, III – 10.0 мкг/мл), активность в отношении бактерий в экспоненциальной (I) и стационарной (II) фазах роста штамма A. baumannii в концентрации 1.0 мкг/мл (б), скорость противомикробного действия (в), окрашивание массы сформированной бактериальной пленки A. baumannii кристаллическим фиолетовым после инкубации с ферментами (г), показаны значения оптической плотности для трех технических повторов. Для а–г: 1 – LysSi3, 2 – LysSi3-CeA, 3 – LysSi3-HIS5, 4 – LysSi3-GG3, К – контроль роста.
При оценке противобиопленочных свойств модифицированных белков оказалось, что нативный фермент, напротив, был наиболее активен, снижая массу бактериальной пленки в 2.5 раза относительно контроля (рис. 2г). Для модифицированных белков снижение составило 2.0; 1.4; 1.6 раз. Эти результаты могут быть, в частности, связаны с агрегацией молекул модифицированных белков за счет заряженных частей глобулы, и их взаимодействия с матриксом бактериальных пленок или полистирольной поверхностью планшета, что затрудняло действие ферментов в отношении сформированных бактериальных пленок. Так, например, при исследовании противобиопленочной активности бактериоцина лизостафина, в среду добавляют инертный белок (БСА), поскольку он предотвращает такое “налипание” [29]. Действительно способность модифицированных ферментов разрушать сформированные биопленки соотносится с общим зарядом исследованных модифицированных белков (табл. 2), тем не менее, природа снижения активности модифицированных ферментов в отношении биопленок требует дополнительных исследований.
Таблица 2. Характеристики модифицированных лизинов и пептидов, использованных в работе
Фермент | LysSi3 | LysSi3-CeA | LysSi3-HIS5 | LysSi3-GG3 |
Пептид для модификации | – | Cecropin A (1–8) | Histatin 5 | GG3 |
Последовательность АМП | – | KWKLFKKI | DSHAKRHHGYKRKF HEKHHSHRGY | GKLWLKGGKLWL KGGKLWLKG |
ID в базе dbaasp | – | DBAASPS_9963 | DBAASPR_15 | DBAASPS_8820 |
Источник АМП | – | Hyalophora cecropia | Homo sapiens | Синтетический |
Заряд белка*, pH 7.5 | 4.4 | 7.7 | 9.3 | 9.7 |
Молмасса белка*, кДа | 18.5 | 18.5 | 20.5 | 19.8 |
pI белка* | 9.05 | 9.47 | 9.51 | 9.59 |
Коэфф. экстинкции при 280 нм*, (мг/мл)–1см–1 | 1.0289 | 1.3379 | 1.0575 | 1.827 |
Характеристика АМП | – | Lys-насыщенный, альфа-спираль | Histatins, His- насыщенный, альфа-спираль | Gly-насыщенный, центросимметричный пептид |
Предполагаемый механизм действия | Гидролиз пептидогликана (ПГ) по β-1,4-гликозидной связи | Гидролиз ПГ + OMP (ковровая модель, ионные каналы) | Гидролиз ПГ + OMP (пептид-фосфолипидные взаимодействия) | Гидролиз ПГ + OMP (модель тороидальной поры), связывание с ДНК |
Мишень | ПГ | ПГ, липидный бислой | ПГ, липидный бислой | ПГ, липидный бислой, ДНК/РНК |
Ссылки | [13] | [18] | [27] |
* Расчетное значение (https://protcalc.sourceforge.net);
** OMP – пермеабилизация внешней мембраны.
Таким образом, все генно-инженерные белки, полученные в ходе исследования, характеризовались более высокой противомикробной активностью, по сравнению с нативной мурамидазой LysSi3, и обладали более высокой скоростью действия на планктонные клетки. При этом, повышение противомикробной активности происходит в ряду LysSi3 < LysSi3-CeA < LysSi3-HIS5 < LysSi3-GG3 и коррелирует с расчётным общим зарядом белка, который при pH 7.5 составляет 4.4; 7.7; 9.3 и 9.7 соответственно.
Цитотоксические свойства модифицированных ферментов. Несмотря на хорошие противомикробные свойства, дальнейшее применение литических ферментов, проявляющих высокую цитотоксическую активность, может быть ограничено. Это же относится и к противомикробным пептидам, активность которых часто является неспецифичной, в результате чего они способны поражать и эукариотические клетки [30, 31].
Чтобы исследовать цитотоксические свойства полученных белков, мы оценили выживаемость клеток почки эмбриона человека HEK293 (рис. 3а) и кератиноцитов HaCaT (рис. 3б) in vitro при концентрациях белков от 15.6 до 1000 мкг/мл.
Рис. 3. Влияние различных концентраций модифицированных ферментов на жизнеспособность клеток почки эмбриона человека HEK293 (а) и кератиноцитов HaCaT (б): 1 – LysSi3, 2 – LysSi3-CeA, 3 – LysSi3-HIS5, 4 – LysSi3-GG3.
В концентрациях до 500 мкг/мл включительно значимого снижения выживаемости обеих линий не наблюдалось, выживаемость составляла не менее 75–80%. При увеличении концентрации эндолизинов до 1000 мкг/мл отмечено снижение количества жизнеспособных клеток, однако, степень влияния белков зависела от клеточной линии. При исследовании кератиноцитов было показано, что их цитотоксические свойства близки для всех исследуемых белков и выживаемость клеток для всех препаратов составляла ~ 70% (за исключением LysSi3-HIS5, где выживаемость HaCaT была 55%). В случае линии HEK293 эндолизины по-разному влияли на клетки. Так, в присутствии немодифицированного LysSi3, жизнеспособность клеток относительно контроля составляла 130–150% со снижением до 120% при 1000 мкг/мл, в то время как в присутствии модифицированных белков этот показатель составлял 80–120%, а ниже всего выживаемость была в присутствии LysSi3-GG3 (65–85% во всем диапазоне концентраций белка).
In vitro тесты показали, что значительного снижения выживаемости клеток эукариот в присутствии эндолизинов (как нативного, так и модифицированных) не происходило, а, следовательно, ферменты обладали специфическим и избирательным действием в отношении клеточных мембран бактерий. Такие ферменты могут рассматриваться в качестве объектов дальнейшей разработки противомикробных препаратов.
Как нативные лизины, так и противомикробные пептиды, несмотря на свою высокую активность, обладают рядом недостатков, которые возможно преодолеть при их гибридизации в единую молекулу. Добавление к лизину АМП повышало активность ферментов в отношении грамотрицательных бактерий за счет дополнительной пермеабилизации мембраны бактериальной клетки. При этом, гибридная молекула становилась более устойчивой к действию протеолитических ферментов, по сравнению с АМП, которые подвержены значительной протеолитической деградации, что сокращает период их полувыведения in vivo. Также, гибридизация повышает селективность действия пептидов, снижая их цитотоксическую и гемолитическую активность. Таким образом, анализ различных комбинаций эндолизин-АМП позволяет не только получать эффективные и стабильные молекулы с заданными свойствами, но и выявлять закономерности модификации, что может послужить для направленного получения молекул с заданными свойствами под конкретные задачи.
Исследования показали, что эффективные концентрации и скорость действия LysSi3 повышалась после введения дополнительных функциональных последовательностей, при этом, отмечалась корреляция с увеличением общего заряда белка. Кроме того, это приводит к повышению его активности в отношении бактерий в стационарной фазе роста, которые менее чувствительны к действию эндолизинов [28]. С другой стороны, снижение противобиопленочной активности модифицированных ферментов, несмотря на повышение скорости и эффективности действия на планктонные клетки, показало, что выбор модификации фермента должен быть основан не только на оценке противомикробной активности, но и подразумевает необходимость комплексного анализа с использованием нескольких параметров.
ФИНАНСИРОВАНИЕ. Исследование выполнено за счет гранта Российского научного фонда № 23-74-10027, https://rscf.ru/project/23-74-10027/.
СОБЛЮДЕНИЕ ЭТИЧЕСКИХ СТАНДАРТОВ. Настоящая работа выполнена без привлечения людей или животных в качестве объектов исследований.
КОНФЛИКТ ИНТЕРЕСОВ. Авторы заявляют об отсутствии конфликта интересов.
About the authors
N. P. Antonova
N.F. Gamaleya National Research Centre for Epidemiology and Microbiology, Ministry of Health of the Russian Federation
Email: d.v.vasina@gmail.com
Russian Federation, Moscow, 123098
I. V. Grigoriev
N.F. Gamaleya National Research Centre for Epidemiology and Microbiology, Ministry of Health of the Russian Federation
Email: d.v.vasina@gmail.com
Russian Federation, Moscow, 123098
A. M. Lendel
N.F. Gamaleya National Research Centre for Epidemiology and Microbiology, Ministry of Health of the Russian Federation
Email: d.v.vasina@gmail.com
Russian Federation, Moscow, 123098
O. V. Usacheva
N.F. Gamaleya National Research Centre for Epidemiology and Microbiology, Ministry of Health of the Russian Federation
Email: d.v.vasina@gmail.com
Russian Federation, Moscow, 123098
A. A. Klimova
N.F. Gamaleya National Research Centre for Epidemiology and Microbiology, Ministry of Health of the Russian Federation
Email: d.v.vasina@gmail.com
Russian Federation, Moscow, 123098
E. V. Usachev
N.F. Gamaleya National Research Centre for Epidemiology and Microbiology, Ministry of Health of the Russian Federation
Email: d.v.vasina@gmail.com
Russian Federation, Moscow, 123098
V. A. Gushchin
N.F. Gamaleya National Research Centre for Epidemiology and Microbiology, Ministry of Health of the Russian Federation; Lomonosov Moscow State University
Email: d.v.vasina@gmail.com
Russian Federation, Moscow, 123098; Moscow, 119991
D. V. Vasina
N.F. Gamaleya National Research Centre for Epidemiology and Microbiology, Ministry of Health of the Russian Federation
Author for correspondence.
Email: d.v.vasina@gmail.com
Russian Federation, Moscow, 123098
References
- Murray E., Draper L.A., Ross R.P., Hill C. // Viruses. 2021. V. 13. № 4. P. 680. https://doi.org/10.3390/v13040680
- Oliveira H., Thiagarajan V., Walmagh M., Sillankorva S., Lavigne R., Neves-Petersen M.T. et al. // PLoS One. 2014. V. 9. № 10. P. e108376. https://doi.org/10.1371/journal.pone.0108376
- Heselpoth R.D., Euler C.W., Schuch R., Fischetti V.A. // Antimicrob. Agents Chemother. 2019. V. 63. № 6. https://doi.org/10.1128/AAC.00342-19
- Yan G., Liu J., Ma Q., Zhu R., Guo Z., Gao C. et al. // Antonie van Leeuwenhoek. 2017. V. 110. № 12. P. 1627–1635. https://doi.org/10.1007/s10482-017-0912-9
- Gutiérrez D., Briers Y. // Curr. Opin. Biotechnol. 2021. V. 68. P. 15–22. https://doi.org/10.1016/j.copbio.2020.08.014
- Ma Q., Guo Z., Gao C., Zhu R., Wang S., Yu L. et al. // Antonie Van Leeuwenhoek. 2017. V. 110. № 3. P. 347–355. https://doi.org/10.1007/s10482-016-0806-2
- Gerstmans H., Criel B., Briers Y. // Biotechnol. Adv. 2018. V. 36. № 3. P. 624–640. https://doi.org/10.1016/j.biotechadv.2017.12.009
- Antonova N.P., Vasina D.V., Rubalsky E.O., Fursov M.V., Savinova A.S., Grigoriev I.V., Usachev E.V. et al. // Biomolecules. 2020. V. 10. № 3. P. 440. https://doi.org/10.3390/biom10030440
- Yang H., Wang M., Yu J., Wei H. // Front. Microbiol. 2015. https://doi.org/10.3389/fmicb.2015.01471
- Briers Y., Walmagh M., Van Puyenbroeck V., Cornelissen A., Cenens W., Aertsen A. // mBio. 2014. V. 5. № 4. https://doi.org/10.1128/mBio.01379-14
- Yan G., Yang R., Fan K., Dong H., Gao C., Wang S. et al. // AMB Express. 2019. V. 9. № 1. https://doi.org/10.1186/s13568-019-0838-x
- Pirtskhalava M., Amstrong A.A., Grigolava M., Chubinidze M., Alimbarashvili E., Vishnepolsky B. et al. // Nucleic Acids Res. 2021. V. 49. № D1. P. D288–D297. https://doi.org/10.1093/nar/gkaa991
- Vasina D.V., Antonova N.P., Grigoriev I.V., Yakimakha V.S., Lendel A.M., Nikiforova M.A., Pochtovyi A.A. et al. // Front. Microbiol. 2021. V. 12. P. 3033. https://doi.org/10.3389/fmicb.2021.748718
- Vasina D.V., Antonova N.P., Shidlovskaya E.V., Kuznetsova N.A., Grishin A.V., Akoulina E.A. et al. // Gels. 2024. V. 10. № 1. https://doi.org/10.3390/gels10010060
- Ma Q., Guo Z., Gao C., Zhu R., Wang S., Yu L. et al. // Antonie van Leeuwenhoek. 2017. V. 110. № 3. P. 347–355. https://doi.org/10.1007/s10482-016-0806-2
- Gerstmans H., Grimon D., Gutiérrez D., Lood C., Rodríguez A., van Noort V. et al. // Sci. Adv. 2020. V. 6. № 23. https://doi.org/10.1126/sciadv.aaz1136
- Silvestro L., Weiser J.N., Axelsen P.H. // Antimicrob. Agents Chemother. 2000. V. 44. № 3. P. 602. https://doi.org/10.1128/AAC.44.3.602-607.2000
- Chen X., Liu M., Zhang P., Leung S.S.Y., Xia J. // ACS Infect. Dis. 2021. V. 7. № 8. P. 2192–2204. https://doi.org/10.1021/acsinfecdis.1c00222
- Islam M.M., Kim D., Kim K., Park S.J., Akter S., Kim J. et al. // Front. Microbiol. 2022. V. 13. P. 988522. https://doi.org/10.3389/fmicb.2022.988522
- Lim J., Hong J., Jung Y., Ha J., Kim H., Myung H. et al. // J. Microbiol. Biotechnol. 2022. V. 32. № 6. P. 816–823. https://doi.org/10.4014/jmb.2205.05009
- Zolin G.V.S., Fonseca F.H.D., Zambom C.R., Garrido S.S. // Biomolecules. 2021. V. 11. № 8. P. 1209. https://doi.org/10.3390/biom11081209
- Helmerhorst E.J., van’t Hof W., Breeuwer P., Veerman E.C., Abee T., Troxler R.F. et al. // J. Biol. Chem. 2001. V. 276. № 8. P. 5643–5649. https://doi.org/10.1074/jbc.M008229200
- Kavanagh K., Dowd S., Kavanagh K. // J. Pharm. Pharmacol. 2010. V. 56. № 3. P. 285–289. https://doi.org/10.1211/0022357022971.
- Puri S., Edgerton M. // Eukaryot. Cell. 2014. V. 13. № 8. P. 958–964. https://doi.org/10.1128/EC.00095-14
- Sajjan U.S., Tran L.T., Sole N., Rovaldi C., Akiyama A., Friden P.M. et al. // Antimicrob. Agents Chemother. 2001. V. 45. № 12. P. 3437–3444. https://doi.org/10.1128/AAC.45.12.3437-3444.2001
- De Smet K., Contreras R. // Biotechnol. Lett. 2005. V. 27. № 18. P. 1337–1347. https://doi.org/10.1007/s10529-005-0936-5
- Wang J., Chou S., Xu L., Zhu X., Dong N., Shan A., et al. // Sci. Rep. 2015. V. 5. № 1. P. 1–19. https://doi.org/10.1038/srep15963
- Oliveira H., São-José C., Azeredo J. // Viruses. 2018. V. 10. № 6. https://doi.org/10.3390/v10060292
- Kudinova A., Grishin A., Grunina T., Poponova M., Bulygina I., Gromova M. et al. // Pathogens. 2023. V. 12. № 2. P. 177. https://doi.org/10.3390/pathogens12020177
- de Pontes J.T.C., Toledo Borges A.B., Roque-Borda C.A., Pavan F.R. // Pharmaceutics. 2022. V. 14. № 3. https://doi.org/10.3390/pharmaceutics14030642
- Huan Y., Kong Q., Mou H., Yi H. // Front. Microbiol. 2020. V. 11. https://doi.org/10.3389/fmicb.2020.582779
- Welling M.M., Brouwer C.P., van’t Hof W., Veerman E.C., Amerongen A.V. et al. // Antimicrob. Agents Chemother. 2007. V. 51. № 9. P. 3416–3419. https://doi.org/10.1128/AAC.00196-07
Supplementary files




