Production of Soluble Human Gamma Interferon in the Escherichia coli Expression System with a Decrease in Cultivation Temperature
- Authors: Volosnikova E.A.1, Esina T.I.1, Shcherbakov D.N.1, Volkova N.V.1, Gogina .S.1, Tereshchenko T.A.1, Danilenko E.D.1
-
Affiliations:
- State Research Center of Virology and Biotechnology “Vector”
- Issue: Vol 59, No 2 (2023)
- Pages: 167-173
- Section: Articles
- URL: https://ogarev-online.ru/0555-1099/article/view/138755
- DOI: https://doi.org/10.31857/S0555109923020174
- EDN: https://elibrary.ru/LVLPXU
- ID: 138755
Cite item
Full Text
Abstract
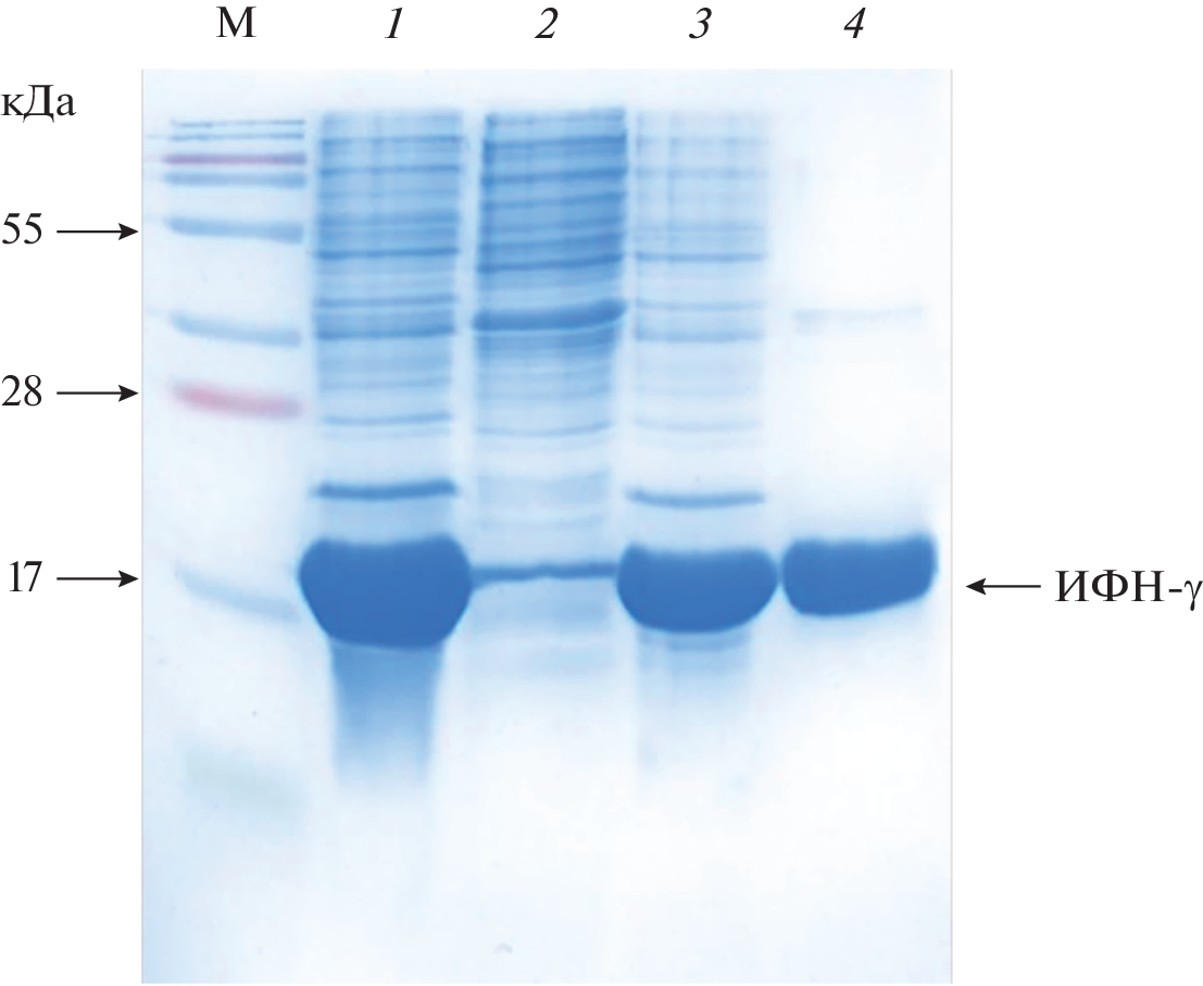
A recombinant strain producing human gamma interferon (IFN-γ) E. coli BL 21/pET-IFN-γ was constructed, providing a high level of its expression. A method has been developed for obtaining a soluble form of recombinant IFN-γ, consisting of the processes of producing a biomass of a producer strain containing a target protein in an amount of 32–37% of the total content of cellular proteins, protein isolation and purification. The purification process included the stages of disintegration, clarification of the cell lysate, chromatographic purification and dialysis. The developed method makes it possible to obtain from 1 g of wet biomass up to 5 mg of the drug with a purity of at least 95% and high specific (antiviral) activity.
About the authors
E. A. Volosnikova
State Research Center of Virology and Biotechnology “Vector”
Author for correspondence.
Email: volosnikova_ea@vector.nsc.ru
Russia, 630559, Novosibirsk Region, Koltsovo
T. I. Esina
State Research Center of Virology and Biotechnology “Vector”
Email: volosnikova_ea@vector.nsc.ru
Russia, 630559, Novosibirsk Region, Koltsovo
D. N. Shcherbakov
State Research Center of Virology and Biotechnology “Vector”
Email: volosnikova_ea@vector.nsc.ru
Russia, 630559, Novosibirsk Region, Koltsovo
N. V. Volkova
State Research Center of Virology and Biotechnology “Vector”
Email: volosnikova_ea@vector.nsc.ru
Russia, 630559, Novosibirsk Region, Koltsovo
Ya. S. Gogina
State Research Center of Virology and Biotechnology “Vector”
Email: volosnikova_ea@vector.nsc.ru
Russia, 630559, Novosibirsk Region, Koltsovo
T. A. Tereshchenko
State Research Center of Virology and Biotechnology “Vector”
Email: volosnikova_ea@vector.nsc.ru
Russia, 630559, Novosibirsk Region, Koltsovo
E. D. Danilenko
State Research Center of Virology and Biotechnology “Vector”
Email: volosnikova_ea@vector.nsc.ru
Russia, 630559, Novosibirsk Region, Koltsovo
References
- Pandey R., Prabhu A.A., Dasu V.V. // Separation Science and Technology. 2018. V. 53. № 3. P. 487–495. https://doi.org/10.1080/01496395.2017.1395463
- Razaghi A., Owens L., Heimann K. // J. Biotechnol. 2016. V. 240. P. 48–60. https://doi.org/10.1016/j.jbiotec.2016.10.022
- Khalilzadeh R., Shojaosadati S.A., Bahrami A., Maghsoudi N. // Biotechnology Letters. 2003. V. 25. № 23. P. 1989–1992. https://doi.org/10.1023/b:bile.0000004390.98648.25
- Rosano G.L., Ceccarelli E.A. // Front. Microbiol. 2014. V. 5. P. 172. https://doi.org/10.3389/fmicb.2014.00172
- Malhotra A. // Methods in Enzymol. 2009. V. 463. P. 239–258. https://doi.org/10.1016/S0076-6879(09)63016-0
- Leibly D.J., Nguyen T.N., Kao L.T., Hewitt S.N., Barrett L.K., Van Voorhis W.C. // PlOS ONE. 2012. V. 7. №. 12. P. e52482. https://doi.org/10.1371/journal.pone.0052482
- Tileva M., Krachmarova E., Ivanov I., Maskos K., Nacheva G. // Protein Expr. Purif. 2016. V. 117. P. 26–34. https://doi.org/10.1016/j.pep.2015.09.022
- Государственная фармакопея РФ XIV изд. Т.2. ОФС.1.7.2.0002.15 Биологические методы испытания препаратов интерферона с использованием культур клеток. С. 2740–2749. https://femb.ru/record/pharmacopea14
- Хайруллин Р.Ф. Экспрессия рекомбинантных белков в E. coli: учебн. пособие. / Ред. Р.Ф. Хайруллин, Р.Г. Киямова, А.А. Ризванов. Казань: Изд-во Казанского ун-та, 2018. 142 с.
- Закабунин А.И., Барановская Г.А., Пустошилова Н.М., Майстренко В.Ф., Гаврюченкова Л.П., Громова О.А. Способ получения рекомбинантного интерферона – гамма человека. Патент РФ. 1999. № 2132386.
Supplementary files




