Surgical treatment of advanced congenital kyphoscoliosis: A case report
- Authors: Kosulin A.V.1, Elyakin D.V.1, Dmitrieva N.N.1, Abzalieva A.D.1, Blazhenko A.A.1, Volchenko L.V.1
-
Affiliations:
- St. Petersburg State Pediatric Medical University
- Issue: Vol 9, No 3 (2018)
- Pages: 118-123
- Section: Articles
- URL: https://ogarev-online.ru/pediatr/article/view/9141
- DOI: https://doi.org/10.17816/PED93118-123
- ID: 9141
Cite item
Full Text
Abstract
Clinical case of surgical treatment of advanced congenital kyphoscoliosis in 12 years old child is reported. Radiographs and CT at presentation failed to reveal the entire anomaly. By analysis of priorly made radiographs hemivertebra L1 was recognized. At genitourinary assessment L-shaped kidney was detected. A full-size 3D-printed model was used for surgical planning. Vertebral column resection as treatment option was discussed, but due to high neurologic complication rate this approach was refused. After preoperative 35 days halo-femoral traction anterior instrumented fusion was performed. Right ureter was stented for intraoperative urologic injury prevention. Scoliosis correction of 32% and kyphosis of 14% was achieved. 5 months later definitive posterior uninstrumented fusion was performed. Spinal deformities caused by vertebral malformations progress dramatically unless they are treated early. An advanced case is a clinical challenge because of technical difficulties and poor result. Vertebral column resection is a treatment option for severe kyphoscoliosis, but it’s indications should be strictly individualized. Preoperative halo-femoral traction is the most safe correction method in spinal deformity due to prolonged and gradual action. 3d-printed models are practical for surgical planning. The model may be used intraoperatively as a 3D-reference. In congenital scoliosis genitourinary system should be assessed meticulously, and urologist advice in relevant case is necessary.
Full Text
Клинический случай
Больная Н., 12 лет, поступила в СПбГПМУ с жалобами на тяжелую кифосколиотическую деформацию грудопоясничного перехода. Деформация была замечена в возрасте 5 месяцев, однако оперативное лечение ребенку выполнено не было. На рентгенограммах сколиотический компонент деформации составляет 53°, кифотический — 86°.
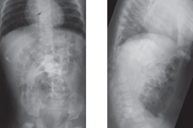
Неврологического дефицита нет (Frankel E). При магнитно-резонансной томографии данных за компрессионную миелопатию не получено. При компьютерной томографии (рис. 1) определить природу порока развития затруднительно в связи с выраженными вторичными изменениями смежных сегментов. Для анализа представлены рентгенограммы, выполненные в раннем возрасте (5 месяцев, 1 год 7 месяцев; рис. 2, 3).
Рис. 1. Компьютерная томография при обращении (возраст 12 лет)
Рис. 2. Рентгенограммы в возрасте 5 месяцев
Рис. 3. Рентгенограммы в возрасте 1 год 7 месяцев
Порок развития идентифицирован как заднебоковой полупозвонок L1. При обследовании выявлена сопутствующая патология — леворасположенная L-образная почка. Учитывая высокий потенциал дальнейшей прогрессии кифоза и сохраняющийся риск неврологического ухудшения, ребенку показано оперативное лечение. Для планирования операции на основе данных компьютерной томографии с помощью 3D-печати изготовлена модель зоны порока (рис. 4).
Рис. 4. 3D-модель зоны порока
Рассмотрены два варианта операции: VCR (vertebral column resection, резекция позвоночного столба) с одномоментной коррекцией кифотической деформации и задней инструментальной фиксацией; передняя инструментальная фиксация и спондилодез с минимальной коррекцией. Принимая во внимание отсутствие исходного неврологического дефицита и высокий риск неврологических осложнений при корригирующей вертебротомии, после всестороннего обсуждения ситуации с больной и ее родителями принято решение выполнить стабилизацию in situ после краниофеморального вытяжения.
Наложено краниофеморальное скелетное вытяжение. За 35 суток достигнута коррекция сколиотической деформации на 17° (32 %), кифотической — на 12° (14 %). Учитывая расположение правого мочеточника в зоне доступа к телам позвонков грудопоясничного перехода, непосредственно перед основным этапом оперативного лечения под контролем флюороскопии в мочеточник заведен стент. В положении на левом боку выполнена торакофренолюмботомия через ложе 12-го ребра. Отмечено снижение высоты межпозвонковых дисков, отсутствие пульпозных ядер на вершине деформации, конкресценция тел Th12 и полупозвонка L1. Дискэпифизэктомия в парах Th11-Th12, L1-L2, L2-L3, спондилодез сульфатом кальция в комбинации с аутогенной костью (резецированное ребро). Между телами позвонков Th11 и L3 установлен сетчатый имплант Mash. Через тела позвонков Th11 и L3 бикортикально проведены винты, коммутированы стержнем. Плевральная полость и забрюшинное пространство дренированы. Рана послойно ушита. На 12-е сутки после операции больная вертикализирована в корсете. Через 5 месяцев госпитализирована для контрольного обследования и проведения заключительного этапа хирургического лечения. По данным рентгенографии, достигнутая коррекция сохраняется (рис. 5). В качестве заключительной операции выполнен задний спондилодез на вершине деформации.
Рис. 5. Рентгенограммы через 5 месяцев после операции
Обсуждение
Приведенное наблюдение наглядно иллюстрирует, каким огромным потенциалом прогрессии могут обладать деформации позвоночника на фоне врожденных аномалий. Ключевым фактором прогноза при нарушении развития позвонков является соотношение потенциала роста на выпуклой и вогнутой сторонах сколиотической дуги, количественным выражением которого следует считать число замыкательных пластинок в соответствующей зоне [15]. Таким образом, наименьшим потенциалом прогрессии обладает клиновидный позвонок, наибольшим — множественные полупозвонки с контралатеральным несегментированным стержнем; одиночный полупозвонок занимает промежуточное положение [12]. Также на прогноз влияют уровень деформации (область грудопоясничного перехода наименее благоприятна), возраст при обращении, одиночный или множественный характер порока [11].
Прогрессия врожденного сколиоза приводит к вторичным структурным изменениям вовлеченных в компенсаторные дуги позвонков [11, 12], что значительно затрудняет оперативное лечение и ограничивает возможности безопасной коррекции [8]. Естественное течение прогрессирующих врожденных деформаций может обусловливать, помимо существенного косметического дефекта, развитие неврологических осложнений при выраженном кифотическом компоненте [11] и нарушение роста и функции легких (синдром торакальной недостаточности) вследствие уменьшения объема и искажения биомеханики грудной клетки [3, 6].
При врожденном сколиозе на фоне высокоактивного моносегментарного порока (полупозвонка), занимающего прогностически неблагоприятную зону, методом выбора является ранняя корригирующая операция — транспедикулярная резекция полупозвонка и задняя инструментальная фиксация [7–9, 15, 19]. Только техническая невозможность установки опорных элементов металлоконструкции в связи с малыми размерами костных структур и/или высокий риск несостоятельности покровов из-за недостаточного развития мягких тканей могут потребовать переноса вмешательства на более поздние сроки.
Единственным способом радикальной коррекции тяжелого кифоза при запущенной врожденной деформации представляется VCR, предполагающая полное удаление позвонков на вершине кифотической дуги и последующее соединение верхнего и нижнего сегментов позвоночника металлоконструкцией [14, 20, 22]. Одномоментное значительное изменение геометрии позвоночного канала несет существенный риск: общая частота неврологических осложнений достигает 11,6 % [22], причем в некоторых сериях наблюдений исход в перманентную нижнюю параплегию составил 3 % [17]. Операция характеризуется большой ожидаемой кровопотерей [14, 22] и высокой вероятностью несостоятельности металлоконструкции: 2,9 % больных в дальнейшем нуждаются в проведении ревизионных вмешательств [17]. Решение выполнить корригирующую вертебротомию у неврологически интактного пациента должно быть строго взвешенным и обоснованным.
Несмотря на умеренную эффективность, предоперационное краниофеморальное скелетное вытяжение и его модификации остаются наиболее безопасными методиками коррекции деформаций позвоночника. Принцип способа сводится к продолжительному (до нескольких недель) тракционному воздействию с постепенным увеличением груза и регулярным неврологическим контролем. Случаев необратимого повреждения спинного мозга вследствие предоперационного скелетного вытяжения в литературе не описано [13].
Использование полноразмерных 3D-моделей зоны интереса существенно облегчает планирование операции [1, 2, 18, 21], при сложной анатомии порока стерилизованная 3D-модель может применяться во время вмешательства как референтный объект, преимущества которого перед рентгеновскими снимками и виртуальными реконструкциями очевидны. Данная технология получает все более широкое распространение в связи с повышением доступности 3D-печати. Для некоторых наиболее технически сложных операций на позвоночнике (в том числе для VCR) 3D-прототипирование рекомендовано как рутинная методика [20].
Аномалии развития мочевыделительной системы при врожденных сколиозах встречаются в 20–34 % случаев [5], в связи с чем каждый больной подлежит обязательному скрининговому ультразвуковому исследованию [15]. При выявлении сопутствующего порока для детальной оценки анатомии мочевых путей необходима внутривенная урография. Расположение мочеточника в зоне предполагаемого вмешательства служит показанием к предварительному стентированию для облегчения идентификации его в ране [4]. Большая часть урологических осложнений наступает незаметно для хирурга и не распознается во время операции (наиболее чувствительным признаком является возникновение макрогематурии [10]). 70–80 % повреждений мочевых путей диагностируют лишь в послеоперационном периоде [16] при развитии клиники обструкции или инфицирования забрюшинного пространства и требуют повторного хирургического вмешательства [4]. Своевременное выявление потенциально опасных ситуаций и профилактические мероприятия с привлечением специалиста-уролога существенно снижают риск подобных осложнений.
Заключение
Без раннего оперативного вмешательства деформации позвоночника на фоне врожденных пороков развития значительно прогрессируют, что затрудняет хирургическое лечение и ухудшает его результаты.
Корригирующая вертебротомия находит применение при самых тяжелых кифосколиозах, однако сопровождается высоким риском неврологических осложнений. Показания к данной операции должны быть строго индивидуализированы.
Предоперационное краниофеморальное скелетное вытяжение представляет собой наиболее безопасный метод коррекции деформаций позвоночника в связи с постепенностью и продолжительностью воздействия.
Использование 3D-модели пораженного сегмента позвоночника облегчает планирование операции. Модель может быть использована в качестве референтного объекта во время хирургического вмешательства.
Больным с врожденным сколиозом необходимо предоперационное обследование органов мочевыделительной системы и при необходимости привлечение к оперативному лечению уролога.
About the authors
Artem V. Kosulin
St. Petersburg State Pediatric Medical University
Author for correspondence.
Email: hackenlad@mail.ru
Assistant Professor, Department of Operative Surgery and Topographic Anatomy
Russian Federation, Saint PetersburgDmitriy V. Elyakin
St. Petersburg State Pediatric Medical University
Email: dimaelkins@mail.ru
Pediatric Surgeon, Surgical Department No 2
Russian Federation, Saint PetersburgNadezhda N. Dmitrieva
St. Petersburg State Pediatric Medical University
Email: nadegdanik86@gmail.com
Resident Doctor, Department of Surgical Diseases of Childhood
Russian Federation, Saint PetersburgAlina D. Abzalieva
St. Petersburg State Pediatric Medical University
Email: a.abzalieva@gmail.com
Student, Department of Operative Surgery and Topographic Anatomy
Russian Federation, Saint PetersburgAleksandra A. Blazhenko
St. Petersburg State Pediatric Medical University
Email: alexandrablazhenko@gmail.com
Student, Department of Operative Surgery and Topographic Anatomy
Russian Federation, Saint PetersburgLyubov V. Volchenko
St. Petersburg State Pediatric Medical University
Email: volchenko.lyubov@mail.ru
Student, Department of Operative Surgery and Topographic Anatomy
Russian Federation, Saint PetersburgReferences
- Багатурия Г.О. Перспективы использования 3D-печати при планировании хирургических операций // Медицина: теория и практика. - 2016. - Т. 1. - № 1. - С. 26-35. [Bagaturiya GO. Prospects for the use of 3D-printing when planning surgery. Meditsina: teoriya i praktika. 2016;1(1):26-35. (In Russ.)]
- Кулешов А.А., Ветрилэ М.С., Лисянский И.Н., и др. Хирургическое лечение пациента с врожденной деформацией позвоночника, аплазией корней дуг грудных и поясничных позвонков, компрессионным спинальным синдромом // Хирургия позвоночника. - 2016. - Т. 13. - № 3. - С. 41-48. [Kuleshov AA, Vetrile MS, Lisyanskiy IN, et al. Surgical treatment of a patient with congenital deformity of the spine, the thoracic and lumbar pedicle aplasia, and spinal compression syndrome. Spine surgery. 2016;13(3):41-48. (In Russ.)]
- Рябых С.О., Ульрих Э.В. Синдром торакальной недостаточности при врожденном сколиозе // Вестник хирургии им. И.И. Грекова. - 2011. - Т. 170. - № 4. - С. 73-78. [Ryabykh SO, Ul’rikh EV. Thoracal insufficiency syndrome in congenital scoliosis. Vestn Khir Im I I Grek. 2011;170(4):73-78. (In Russ.)]
- Bjurlin MA, Rousseau LA, Vidal PP, Hollowell CM. Iatrogenic ureteral injury secondary to a thoracolumbar lateral revision instrumentation and fusion. Spine J. 2009;9(6):e13-15. doi: 10.1016/j.spinee.2008.12.009.
- Bollini G, Launay F, Docquier PL, et al. Congenital abnormalities associated with hemivertebrae in relation to hemivertebrae location. J Pediatr Orthop B. 2010;19(1):90-94. doi: 10.1097/BPB.0b013e3283327f57.
- Campbell RM, Jr., Smith MD, Mayes TC, et al. The characteristics of thoracic insufficiency syndrome associated with fused ribs and congenital scoliosis. J Bone Joint Surg Am. 2003;85-A(3):399-408.
- Gomez JA, Ramirez F, Hedequist DJ. Hemivertebrae Excision: Technique for Congenital Spine Deformity. In: Y Wang, O Boachie-Adjei, L Lenke, editors. Spinal Osteotomy. Dordrecht: Springer; 2015. p. 139-147. doi: 10.1007/978-94-017-8038-4_11.
- Guo J, Zhang J, Wang S, et al. Surgical outcomes and complications of posterior hemivertebra resection in children younger than 5 years old. J Orthop Surg Res. 2016;11(1):48. doi: 10.1186/s13018-016-0381-2.
- Hedequist D, Emans J. Congenital scoliosis: a review and update. J Pediatr Orthop. 2007;27(1):106-116. doi: 10.1097/BPO.0b013e31802b4993.
- Lee HJ, Kim JS, Ryu KS, Park CK. Ureter Injury as a Complication of Oblique Lumbar Interbody Fusion. World Neurosurg. 2017;102:693 e697-693 e614. doi: 10.1016/j.wneu.2017.04.038.
- Marks DS, Qaimkhani SA. The natural history of congenital scoliosis and kyphosis. Spine. 2009;34(17):1751-55. doi: 10.1097/BRS.0b013e3181af1caf.
- McMaster MJ, Ohtsuka K. The natural history of congenital scoliosis. A study of two hundred and fifty-one patients. J Bone Joint Surg Am. 1982;64(8):1128-1147.
- Neal KM, Siegall E. Strategies for Surgical Management of Large, Stiff Spinal Deformities in Children. J Am Acad Orthop Surg. 2017;25(4):e70-e78. doi: 10.5435/JAAOS-D-16-00282.
- Saifi C, Laratta JL, Petridis P, et al. Vertebral Column Resection for Rigid Spinal Deformity. Global Spine J. 2017;7(3):280-90. doi: 10.1177/2192568217699203.
- Sponseller PD, Ting BL. Congenital Scoliosis. In: H Herkowitz, SR Garfin, FJ Eismont, et al, editors. Rothman-Simeone The Spine. 6th ed. Philadelphia: Elsevier; 2011. p. 374-384.
- St Lezin MA, Stoller ML. Surgical ureteral injuries. Urology. 1991;38(6):497-506. doi: 10.1016/0090-4295(91)80165-4.
- Suk SI, Kim JH, Kim WJ, et al. Posterior vertebral column resection for severe spinal deformities. Spine. 2002;27(21):2374-2382. doi: 10.1097/01.BRS.0000032026.72156.1D.
- Tack P, Victor J, Gemmel P, Annemans L. 3D-printing techniques in a medical setting: a systematic literature review. Biomed Eng Online. 2016;15(1):115. doi: 10.1186/s12938-016-0236-4.
- Tikoo A, Kothari MK, Shah K, Nene A. Current Concepts - Congenital Scoliosis. Open Orthop J. 2017;11:337-345. doi: 10.2174/1874325001711010337.
- Wagner SC, Lehman RA Jr, Lenke L. Posterior Vertebral Column Resection (VCR) for Complex Spinal Deformities. In: Y Wang, O Boachie-Adjei, L Lenke, editors. Spinal Osteotomy. Dordrecht; Springer; 2015. p. 111-129. doi: 10.1007/978-94-017-8038-4_9.
- Wilcox B, Mobbs RJ, Wu AM, Phan K. Systematic review of 3D printing in spinal surgery: the current state of play. J Spine Surg. 2017;3(3):433-443. doi: 10.21037/jss.2017.09.01.
- Yang C, Zheng Z, Liu H, et al. Posterior vertebral column resection in spinal deformity: a systematic review. Eur Spine J. 2016;25(8):2368-2375. doi: 10.1007/s00586-015-3767-7.
Supplementary files






