Features of electrophysiological activity in a neonate with severe post-hypoxic brain damage (post-hypoxic cerebral depression)
- Authors: Melashenko T.V.1, Fomina M.Y.1, Palchik A.B.1, Pavlova O.I.1
-
Affiliations:
- St. Petersburg State Pediatric Medical University Ministry of Health of the Russian Federation
- Issue: Vol 11, No 6 (2020)
- Pages: 13-20
- Section: Original studies
- URL: https://ogarev-online.ru/pediatr/article/view/64733
- DOI: https://doi.org/10.17816/PED11613-20
- ID: 64733
Cite item
Full Text
Abstract
The article briefly presents the literature data and a description of the clinical dynamic observation of a patient with severe hypoxic brain damage (from the neonatal period to 4 months of life), in the conditions of the neonatal intensive care unit. The article describes the clinical picture, features of paroxysmal states and antiepileptic therapy, dynamics of neuroimaging data, electroencephalographic phenomena recorded in a patient with cerebral depression and structural cerebral injuries. The significance of electroencephalographic examination in the intensive care unit as an informative method for assessing cerebral activity in young children with central nervous system depression syndrome is shown. Disorganization of background activity, indicating structural cerebral damage, long-term persistence of slow-wave activity, detection of epileptic changes in the form of generalized flashes of pointed waves in the theta range, alpha-coma pattern, subsequently replaced by suppression of the background pattern in the patient, are typical electrophysiological disorders recorded in severe hypoxic encephalopathy. In conditions of limited opportunities for visual diagnosis of a patient with impaired consciousness, EEG remains the only method of obtaining information about the functional state of the brain, the data obtained during the study are an important prognostic criterion.
Full Text
Электроэнцефалография (ЭЭГ) — один из основных методов диагностики церебральных нарушений. В отделениях реанимации и интенсивной терапии ЭЭГ широко используют для оценки церебральной активности, диагностики функционального состояния головного мозга, а также в определении прогноза церебральных нарушений у пациентов различного возраста, находящихся в состоянии комы [1, 14]. В условиях ограничения возможностей визуальной диагностики пациента с нарушением сознания ЭЭГ остается единственным методом получения информации о функциональном состоянии головного мозга.
С середины прошлого столетия благодаря безопасности и неинвазивности этот метод нашел широкое применение в неонатологии. Но, несмотря на длительное применение ЭЭГ, можно наблюдать ряд затруднений в интерпретации отдельных электрографических феноменов, выявляемых в неонатальном периоде [2, 4, 5, 7, 12]. Такие проблемы связаны, в первую очередь, с отсутствием стандартизации в оценке неонатальной ЭЭГ, недостаточностью систематизированных электрофизиологических критериев функциональной активности головного мозга в неонатальном периоде как в норме, так и при различных церебральных повреждениях. В доступной литературе недостаточно информации об электрофизиологических изменениях головного мозга у новорожденных с синдромом угнетения, вызванного структурными перинатальными повреждениями.
Синдром угнетения центральной нервной системы (ЦНС) у новорожденных может быть одним из основных проявлений церебральной недостаточности, а среди этиологических факторов развития этого синдрома лидирующее положение занимает перинатальная гипоксическая ишемия. Один из общепринятых методов диагностики рассматриваемых нарушений с высокими показателями диагностической ценности — электроэнцефалография.
Приводим результаты клинического наблюдения, нейровизуализационного и электрофизиологического мониторирования доношенного младенца с синдромом угнетения ЦНС, наблюдавшегося в условиях отделения реанимации и интенсивной терапии новорожденных в течение 4 мес.
Клинический случай
Новорожденный, доношенный мальчик, родился от третьей нормально протекавшей беременности, третьих срочных самостоятельных родов, с оценкой по шкале Апгар 5/6 баллов, поступил на отделение реанимации и интенсивной терапии новорожденных перинатального центра Клиники Санкт-Петербургского государственного педиатрического медицинского университета на 15-й день жизни в крайне тяжелом состоянии. Из анамнеза известно, что состояние при рождении расценивалось как крайне тяжелое, обусловленное перенесенной интранатальной асфиксией, а также тяжелыми респираторными нарушениями. При поступлении на отделение реанимации и интенсивной терапии новорожденных тяжесть состояния ребенка сохранялась, продолжена инвазивная респираторной терапии. В клинической картине наблюдались неонатальные судороги: генерализованные клонические судороги, а также генерализованные миоклонии по типу «генерализованного вздрагивания». Данные двигательные пароксизмы не купировались препаратами бензодиазепинового ряда (Реланиум 100 мкг/кг массы тела) и вальпроевой кислоты (Депакин до 50 мг/кг в сутки) в адекватных дозах, введение фенобарбитала в дозе 20 мг/кг в сутки также оказалось неэффективным. Ребенок введен в барбитуратовую кому (тиопентал натрия 5 мг/кг в час — нагрузочная доза, с последующим переходом на поддерживающую дозу). На фоне медикаментозной комы и продолжения парентерального введения вальпроата (Депакин) наблюдалось уменьшение количества двигательных пароксизмов (генерализованных миоклонических судорог), ребенок выведен из медикаментозного угнетения ЦНС (в возрасте 4 нед.).
Немногочисленные двигательные и электрофизиологические пароксизмальные феномены сохранялись до 6 нед. жизни на фоне монотерапии препаратом вальпроевой кислоты. В клинической картине доминировал синдром угнетения ЦНС. При неврологическом обследовании (в возрасте 6 нед. жизни) отмечалась следующая симптоматика: на осмотр ребенок не реагировал, глаза не открывал, также отсутствовало спонтанное открывание глаз. Спонтанная двигательная активность отсутствовала.
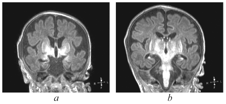
Рис. 1. Магнитно-резонансная томограмма головного мозга пациента, фронтальный срез: а— на уровне базальных ганглиев; b— с визуализацией гиппокампов / Fig. 1. Patients brain, magnetic resonance imaging, front: a – T1 hyperintensity symmetric of basal nuclei; b–hippocampus, cortex and brain hypotrophy are evidence
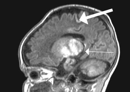
Рис. 2. Магнитно-резонансная томограмма головного мозга пациента, сагиттальный срез. Визуализируется гиперинтенсивный сигнал в области базальных ядер (тонкая стрелка), прецентральной извилины (толстая стрелка) / Fig. 2. Patients brain, magnetic resonance imaging, sagittal. Abnormal T1 hyperintensity is presented at the level of thalamic (thin arrow), motor cortex (thick arrow)
Отмечались патологические синкинезии при пассивных движениях в конечностях и при вызывании глубоких рефлексов. Наблюдался супрануклеарный офтальмопарез с обеих сторон. Сосательный, кашлевой рефлексы угнетены. Выявлен гипертонус конечностей с симметричным усилением в разгибателях рук, сгибателях пальцев кистей, сгибателях нижних конечностей. Глубокие рефлексы симметричные, высокие, с расширением рефлексогенных зон (на верхних и нижних конечностях), в то время как подошвенные сгибательные и разгибательные рефлексы получены не были. Отмечалась дисфункция вегетативной нервной системы, проявляющаяся термолабильностью (непостоянные эпизоды гипертермии без воспалительных изменений по результатам параклинических данных), эпизодами артериальной гипертензии (систолическое давление достигало 110 мм рт. ст.).
Результаты мультимодальной нейровизуализации пациента
Мультимодальная нейровизуализация включала краниальную сонографию (КСГ) и магнитно-резонансную томографию (МРТ) головного мозга. Чрезродничковая КСГ выполнена на аппарате Philips XD11, Voluson E8 (Нидерланды) по стандартной методике с получением стандартных сканов с использованием микроконвексного (5 МГц) и линейного (7–12 Гц) датчиков. МРТ-исследование головного мозга проведено с помощью высокопольной магнитно-резонансной системы Philips (Нидерланды) 1,5 Т, в стандартных режимах (импульсные последовательности Т1, Т2, DWI, Flair), с использованием неонатальных головных катушек, без применения седации.
Видео-ЭЭГ-мониторинг выполнен в динамике по стандартному международному неонатальному протоколу, с размещением электродов по международной системе в неонатальной модификации (10–20) в моно- и биполярных отведениях, с длительностью записи 60 мин (энцефалограф-анализитор Nicolet, 8-электродная система). Проведение ЭЭГ и интерпретация данных выполнены специалистами отделения функциональной диагностики ФГБОУ ВО СПб ГПМУ.
На 27-й день жизни выполнена МРТ головного мозга, диагностирована гипоксически-ишемическая энцефалопатия с двухсторонним поражением базальных ядер, ножек мозга, прецентральной извилины и гиппокампов. Кроме того, выявлена смешанная гидроцефалия по заместительному типу (рис. 1, 2). Визуализируется симметричное усиление МР-сигнала в области базальных ганглиев (рис. 1, а), гиппокампов (рис. 1, b), также определяется значительное расширение субарахноидальных пространств, преимущественно над лобными, височными долями больших полушарий с расширением сильвиевой щели, расширение борозд и истончение коры больших полушарий (наружная гидроцефалия по заместительному типу), расширение передних отделов боковых желудочков.
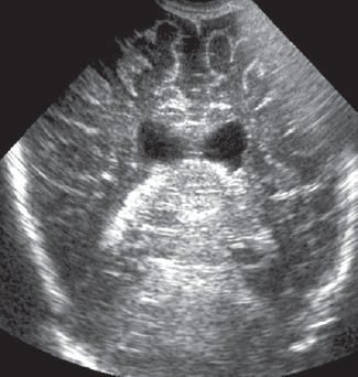
Краниальную сонографию выполняли в динамике. При выполнении КСГ в последующие месяцы отмечалось нарастание атрофических изменений головного мозга — расширение субарахноидальных пространств (до 15 мм), истончение кортикальной пластины, расширение пространств между бороздами и извилинами, расширение боковых (передних и центральных отделов) и третьего желудочков мозга (рис. 3).
Рис. 3. Краниальная сонография пациента. Фронтальный скан в В-режиме / Fig. 3. Cranial ultrasound. Frontal scanner B-image
Рис. 4. Краниальная сонография пациента. Дуплекс церебральных сосудов. Результаты измерения скоростных потоков передней мозговой артерии — тенденция к рестриктивному типу / Fig. 4. Cranial ultrasound. Duplex of cerebral vessels. The results of measuring the velocity flows of the anterior cerebral artery-a tendency to a restrictive type
Визуализируется смешанная гидроцефалия по атрофическому типу (расширение субарахноидальных пространств, межполушарной щели, передних отделов боковых желудочков), истончение корковой пластины, расширение межбороздного пространства.
В доплеровском режиме выявлен рестриктивный тип церебрального кровотока (рис. 4).
Результаты электрофизиологического обследования
Выполнена серия многоканальных ЭЭГ с видеомониторированием в неонатальном и постнатальном возрасте.
Запись ЭЭГ № 1. Выполнена на 20-й день жизни ребенка на фоне антиэпилептической терапии вальпроатом натрия (Депакин) в дозе 40 мг/кг в сутки и Реланиумом (0,2 мг/кг на разовое введение). Основной паттерн электробиологической активности (ЭБА) представлен дезорганизованным дельта- и тета-ритмами в диапазоне 2–4 Гц. Средняя амплитуда основной активности достигала 40–60 мкВ. Межполушарная асимметрия составляла 30 %. Зарегистрированы 3 эпизода генерализованного мышечного вздрагивания (генерализованный миоклонус), которые сопровождались изменением ЭБА — генерализованные вспышки высокоамплитудных заостренных тета-волн (до 300 мкВ) с наслоением низкоамплитудных спайков. Такая патологическая активность расценена как эпилептическая (рис. 5).
Рис. 5. Электроэнцефалограмма пациента в возрасте 20 дней. Иктальный паттерн / Fig. 5. Electroencephalogram of a patient at the age 20 days. Ictal pattern
В данный момент у пациента отмечался генерализованный миоклонический приступ, который сопровождался на ЭЭГ вспышкой высокоамплитудных медленных волн в тета-диапазоне с наличием низкоамплитудных заостренных волн.
Запись ЭЭГ № 2. Повторная запись ЭЭГ выполнена на 23-й день жизни ребенка, судорожные пароксизмы сохранялись, антиэпилептическая терапия (АЭТ) усилена введением фенобарбитала в дозе 20 мг/кг в сутки парентерально. Основной ритм ЭЭГ представлен дельта- и тета-ритмом (2–4 Гц), средней амплитуды 40–60 мкВ, отмечались генерализованные вспышки заостренных тета-волн амплитудой 300–400 мкВ, которые сопровождались двигательными феноменами — генерализованными миоклониями (рис. 6).
Рис. 6. Электроэнцефалограмма пациента в динамике, возраст 23 дня. На фоне проводимой антиэпилептической политерапии сохраняются иктальные паттерны / Fig. 6. Electroencephalogram of a patient in dynamics, age 23 days. Against the background of antiepileptic polytherapy, ictal patterns persist
Запись ЭЭГ № 3. Выполнена пациенту в возрасте 4 недель. На данном этапе ребенок выведен из тиопенталовой комы, синдром церебральной депрессии сохранялся. Антиэпилептическая терапия продолжена (вальпроат натрия в дозе 45 мг/кг в сутки, Реланиум 0,2 мг/кг внутривенное введение, фенобарбитал в дозе 5 мг/кг в сутки). Двигательные пароксизмы в виде генерализованных миоклонусов сохранялись, однако специфическими изменениями на ЭЭГ они не сопровождались. Иных двигательных феноменов не отмечалось. Регистрировалась дезорганизованная непрерывная медленноволновая активность в диапазоне 2–4 Гц, до 20–30 мкВ, межполушарная асимметрия достигала 30 %. Фокальной, эпилептической и эпилептиформной активности не выявлено. На основании данных представленной ЭЭГ проведена коррекция лечения: доза вальпроата натрия снижена до 35 мг/кг в сутки, отменен фенобарбитал и Реланиум (рис. 7).
Рис. 7. Электроэнцефалограмма пациента в динамике, возраст 28 дней. Эпилептиформных и очаговых изменений нет. Двигательные феномены не сопровождались типичными эпилептическими паттернами / Fig. 7. Electroencephalogram of a patient in dynamics, age 28 days. There are no epileptiform or focal changes. Motor phenomena were not
Запись ЭЭГ № 4. Выполнена пациенту в возрасте 6 недель. Сохраняется синдром угнетения ЦНС (нет реакции на осмотр, не открывает глаза спонтанно и при стимуляции, резко снижена спонтанная двигательная активность), судорожных пароксизмов не выявлено, центральный тетрапарез. Продолжается респираторная терапия, АЭТ (энтерально получает вальпроат натрия 35 мг/кг в сутки). На ЭЭГ паттерн фоновой активности устойчивый и представлен медленноволновым ритмом (2–4 Гц), средней амплитуды до 30–40 мкВ. Регистрировались участки альфаподобной активности 9 Гц низкой амплитуды (20 мкВ), а также диффузные вспышки тета-волн с амплитудой, незначительно превышающей основную активность (до 70–80 мкВ). Фокальных изменений не выявлено (рис. 8).
Рис. 8. Электроэнцефалограмма пациента в возрасте 42 дней на фоне монотерапии вальпроатом натрия. Эпилептиформная и очаговая активность не зарегистрированы / Fig. 8. Electroencephalogram of a patient at the age 28 days on the background of monotherapy with sodium valproate. Epileptiform and focal activity were not registered
Запись ЭЭГ № 5. Выполнена пациенту в возрасте 3 месяцев. Неврологический статус ребенка прежний. Судорожных, пароксизмальных двигательных феноменов не выявлено. Сохраняется синдром угнетения ЦНС: ребенок на осмотр не реагирует, глаза не открывает (спонтанно и на осмотр), реакции на болевой раздражитель нет, спонтанная двигательная активность значительно снижена, кашлевой рефлекс вызывается. Дыхание самостоятельное (наложена трахеостома). Наблюдается центральная тетраплегия, наружный офтальмопарез с двух сторон. Продолжалась антиэпилептическая монотерапия вальпроатом (в дозе 35 мг/кг в сутки энтерально). При записи ЭЭГ фоновый паттерн уплощен, регистрируется низкоамплитудная активность, которая не сопровождается эпилептиформными и очаговыми изменениями (рис. 9).
Рис. 9. Электроэнцефалограмма пациента в возрасте 3 месяцев. Отмечается супрессия основного ритма, эпилептиформной активности и очаговых изменений нет / Fig. 9. Electroencephalogram of a patient at the age 3 months. There is a suppression of the main rhythm, epileptiform activity and no focal changes
Пациент переведен в неврологический стационар по месту жительства с рекомендациями продолжить терапию препаратами вальпроевой кислоты.
Для наглядности в таблице представлены выявленные динамические ЭЭГ-изменения пациента с тяжелым гипоксически-ишемическим повреждением головного мозга (двухсторонним повреждением базальных ядер, ножек мозга, гиппокампа).
Особенности изменения электробиологической активности пациента с гипокcически-ишемическим поражением головного мозга в хронологическом порядке / Features of electrobiological activity changers in chronology order
Основные феномены ЭЭГ / Main EEG phenomena | Запись № 1 (20-й день жизни) / Record No. 1 (20 days) | Запись № 2 (23-й день жизни) / Record No. 2 (23 days) | Запись № 3 (28-й день жизни) / Record No. 3 (28 days) | Запись № 4 (1,5 мес.) / Record No. 4 (1.5 month) | Запись № 5 (3 мес.) / Record No. 5 (3 months) | |
Частотно-амплитудная характеристика основной активности / Frequency amplitude changers of background | Дельта- и тета-ритм (2–4 Гц), 40–60 мкВ / Delta and theta rhythm (2–4 Hz), 40–60 Mv | Дельта- и тета-ритм (2–4 Гц), 40–60 мкВ / Delta and theta rhythm (2–4 Hz), 40–60 Mv | Дельта- и тета-ритм (2–4 Гц), 30 мкВ / Delta and theta rhythm (2–4 Hz), 30 Mv | Дельта- и тета-ритм (2–4 Гц), 20–30 мкВ / Delta and theta rhythm (2–4 Hz), 20–30 Mv | Дельта- и тета-ритм (2–4 Гц), 10–20 мкВ / Delta and theta rhythm (2–4 Hz), 10–20 Mv | |
Дезорганизация основного ритма / Disorganization of background | Дезорганизация / Disorganization | Дезорганизация / Disorganization | Дезорганизация / Disorganization | Дезорганизация / Disorganization | Дезорганизация / Disorganization | |
Непрерывность основной активности / Continuity of background | + | + | + | + | + | |
Эпилептические/эпилептиформные феномены / Epileptiphorm phenomena | Генерализованные вспышки заостренных тета-волн со спайками / Generalization burst sharp θ-waves with spikes | Генерализованные вспышки заостренных тета-волн / Generalization burst sharp θ-waves with spikes | Нет / No | Нет / No | Нет / No | |
Иные феномены / Other phenomena EEG | – | – | – | Альфа-подобная активность (9 Гц, 20 мкВ), диффузные вспышки тета-волн (70–80 мкВ) / Alpha activity (9 Hz, 20 mkV), diffuse burst of θ-waves (70–80 mkV) | – | |
Обсуждение
В представленном клиническом наблюдении выполнен анализ особенностей изменений электрической активности головного мозга в неонатальном и постнатальном периодах у пациента с перинатальным постгипоксическим двусторонним повреждением базальных ядер, ножек, гиппокампа и длительным синдромом угнетения ЦНС. К характерным изменениям ЭБА головного мозга, наблюдаемым при структурных изменениях базальных ядер различной этиологии, относится дезорганизация основной активности, зарегистрированная в динамике у данного пациента. Регистрация медленноволновой основной активности, представленная в диапазоне 2–4 Гц, у данного пациента наблюдалась во всех записях ЭЭГ (включая запись, выполненную в возрасте 3 месяцев). Длительная регистрация медленноволновой основной активности характерна для новорожденных и детей раннего возраста с тяжелой гипоксической энцефалопатией [13]. Регистрация медленноволновой основной активности у доношенных новорожденных с постгипоксическими церебральными структурными повреждениями была описана в ранее выполненном нами когортном исследовании изменений ЭБА у новорожденных детей [3].
На ЭЭГ у пациента также регистрировались фокальные патологические паттерны в виде вспышек заостренных генерализованных тета-волн, амплитудой 40–80 мкВ (ЭЭГ № 1, 2), которые сопровождались пароксизмальными двигательными феноменами (миоклонусами) и были расценены как иктальные события. На ЭЭГ № 4 продолжали регистрироваться патологические паттерны в виде заостренных диффузных тета-волн, но они не сопровождались пароксизмальными двигательными феноменами. Подобные заостренные генерализованные паттерны в диапазоне тета- и альфа-волн регистрируются у пациентов более старшего возраста с аноксической энцефалопатией в остром периоде, и находящихся в коме [6]. Известно, что регистрация эпилептиформных ЭЭГ-феноменов и миоклонических пароксизмов характеризуется неблагоприятным прогнозом [8], заостренные волны на ЭЭГ у новорожденных рассматриваются как биомаркер церебральной дисфункции [11].
Кроме того, необходимо отметить, что на записи ЭЭГ № 4 регистрировались участки низкоамплитудной (20 мкВ) быстроволновой активности (альфа-ритма 9 Гц). У пациентов старших возрастных групп, находящихся в коме, такая патологическая активность определяется феноменом альфа-кома и наблюдается при вегетативных состояниях [9]. Альфа-кома описана у пациентов с поражением ствола головного мозга, преимущественно ишемической этиологии [10].
Заключение
Подводя итоги анализа серии ЭЭГ ребенка с интранатальным постгипоксическим двусторонним повреждением базальных ядер, ножек, гиппокампа и длительным синдромом угнетения ЦНС, среди основных изменений ЭБА можно отметить следующие прогностические неблагоприятные электрофизиологические феномены: регистрация характерной для структурных церебральных повреждений дезорганизованной активности, длительное персистирование медленноволновой активности, выявление эпилептических изменений в виде вспышек заостренного генерализованного тета-ритма и регистрация паттерна альфа-комы, впоследствии сменившаяся супрессиией фонового паттерна. Данное наблюдение свидетельствует о важности мультидисциплинарного подхода к решению проблемы диагностики и лечения пациентов с тяжелой гипоксической энцефалопатией, сопровождающейся пароксизмальными состояниями, затрагивающего сферу интересов неврологов, неонатологов, нейрофизиологов и специалистов лучевой диагностики.
About the authors
Tatiana V. Melashenko
St. Petersburg State Pediatric Medical University Ministry of Health of the Russian Federation
Author for correspondence.
Email: melashenkotat@mail.ru
MD, PhD, Resident doctor, Neonatal intensive care unit
Russian Federation, St. PetersburgMaria Y. Fomina
St. Petersburg State Pediatric Medical University Ministry of Health of the Russian Federation
Email: myfomina@mail.ru
MD, PhD, Dr. Sci. (Med.), Professor, Department Neonatology with Courses in Neurology and Obstetrics-Gynecologiya
Russian Federation, St. PetersburgAlexander B. Palchik
St. Petersburg State Pediatric Medical University Ministry of Health of the Russian Federation
Email: xander57@mail.ru
MD, PhD, Dr. Sci. (Med.), Professor, Department Neonatology with Courses in Neurology and Obstetrics-Gynecologiya
Russian Federation, St. PetersburgOlga I. Pavlova
St. Petersburg State Pediatric Medical University Ministry of Health of the Russian Federation
Email: eegenmg@mail.ru
Resident Doctor, Department of Functional Diagnostics
Russian Federation, St. PetersburgReferences
- Жирмунская Е.А. Клиническая электроэнцефалография (обзор литературы и перспективы использования метода). – М.: Мэйби, 1991. – 118 с. [Zhirmunskaja EA. Klinicheskaya ehlektroehntsefalografiya (obzor literatury i perspektivy ispol’zovaniya metoda). Moscow: Mehibi; 1991. 118 p. (In Russ.)]
- Мелашенко Т.В., Фомина М.Ю. Изменения электробиологической активности головного мозга у доношенных новорожденных с гипоксически-ишемической энцефалопатией // Педиатр. – 2020. – Т. 11. – № 2. – C. 73–84. [Melashenko TV, Fomina MYu. Changes in the electrobiological activity of the brain in full-term newborns with hypoxic-ischemic encephalopathy. Pediatrician (St. Petersburg). 2020;11(2):73-84. (In Russ.)] https://doi.org/10.17816/PED11273-84.
- Мелашенко Т.В., Фомина М.Ю., Павлова О.И. Особенности межиктальной электрической активности головного мозга у доношенных новорожденных с судорожным синдромом при церебральной ишемии // Нейрохирургия и неврология детского возраста. – 2018. – № 3(57). – С 8–14. [Melashenko TV, Fomina MYu, Pavlova OI. Features of interictal brain activity in term infants with convulsive syndrome in cerebral ischemia. Neurosurgery and neurology of childhood. 2018;3(57):8-14. (In Russ.)]
- Понятишин А.Е., Пальчик А.Б. Электроэнцефалография в неонатальной неврологии. – Санкт-Петербург: Сотис, 2010. – 172 c. [Ponjatishin AE, Pal’chik AB. Ehlektroehntsefalografiya v neonatal’noi nevrologii. Saint Petersburg: Sotis; 2010. 172 p. (In Russ).]
- Фомина М.Ю., Мелашенко Т.В., Павлова О.И. Неонатальные судороги у доношенных новорожденных: клинико-электрофизиологические особенности // Педиатр. – 2018. – Т. 9. – № 5. – C. 13–20. [Fomina MY, MeLashenko TV, Pavlova OI. Neonatal seizures in term infants: clinical and electrophysiological features. Pediatrician (St. Petersburg). 2018;9(5):13-20 (In Russ.)] https://doi.org/10.17816/PED9513-20.
- Bauer G, Trinka E, Koplan PW. EEG patterns in hypoxic encephalopathies (post-cardiac arrest syndrome): fluctuations, transitions, and reactions. J Clin Neurophysiol. 2013;30(5):477-489. https://doi.org/10.1097/wnp.0b013e3182a73e47.
- Hagberg H, Edwards AD, Groenendaal F. Perinatal brain damage: The term infant. Neurobiol Dis. 2016;92(Pt A):102-112. https://doi.org/10.1016/j.nbd.2015.09.011.
- Simon RP, Aminoff MJ. Electrographic status epilepticus in fatal anoxic coma. Ann Neurol. 1986;20(3):351-355. https://doi.org/10.1002/ana.410200313.
- Westmoreland B, Klass DW, Sharbrough FW, Reagan TJ. Alpha-coma: electroencephalographic, clinical, pathologic and etiological correlations. Arch Neurol. 1975;32(11):713-718. https://doi.org/10.1001/archneur.1975.00490530035001.
- Wilson JA, Nordal HJ. EEG ved coma. Tidsskr Nor Legeforen. 2013;133(1):53-57. (In Norwegian.) https://doi.org/10.4045/tidsskr.11.1432.
- Wusthoff CJ, Sullivan S, Glass HC, et al. Interrater Agreement in the Interpretation of Neonatal Electroencephalography in Hypoxic Ischemic Encephalopathy. Epilepsia. 2017;58(3):429-435. https://doi.org/10.1111/epi.13661.
- Volpe J, Inder T, Darras B, et al. Volpe’s Neurology of the Newborn. 6th Edn. Elеsivier; 2017.
- Young GB, McLachlan RS, Kreeft JH, DeMelo JD. An electroencephalographic classification system for coma. Can J Neurol Sci. 1997;24(4):320-325. https://doi.org/10.1017/S0317167100032996.
- Young G.B. The EEG in Coma. J of Clin Neurophysiol. 2000;17(5):473-485. https://doi.org/10.1097/ 00004691-200009000-00006.
Supplementary files










