Ранняя хирургическая коррекция инфекционного эндокардита митрального клапана у 16-летней пациентки
- Авторы: Бадуров Р.Б.1, Шихвердиев Н.Н.1, Корнишина Т.Л.1, Иванилова А.А.1, Новак М.Ю.1
-
Учреждения:
- Федеральное государственное бюджетное образовательное учреждение высшего образования «Санкт-Петербургский государственный педиатрический медицинский университет» Министерства здравоохранения Российской Федерации
- Выпуск: Том 11, № 3 (2020)
- Страницы: 119-124
- Раздел: Клинический случай
- URL: https://ogarev-online.ru/pediatr/article/view/42543
- DOI: https://doi.org/10.17816/PED113119-124
- ID: 42543
Цитировать
Полный текст
Аннотация
Оптимальные сроки операции на клапанах сердца у пациентов с активным инфекционным эндокардитом (ИЭ) до сих пор остаются спорными. Общеизвестно, что наиболее частой причиной смерти больных с левосторонним ИЭ является системная тромбоэмболия, поражающая церебральные, коронарные или почечные сосуды, которая может развиться еще до появления клинических проявлений поражения клапанного аппарата сердца. В настоящее время раннее хирургическое вмешательство рассматривается как наиболее эффективный метод лечения большинства форм активного ИЭ с поражением левых отделов сердца, которое подразумевает под собой выполнение хирургической коррекции еще до завершения полного терапевтического курса антибиотиков. Представляется клинический случай раннего успешного хирургического лечения инфекционного эндокардита митрального клапана (МК) у пациентки А., 16 лет. Заболевание протекало остро, с рецидивирующими эмболиями, повлекшими за собой инфаркт правой почки, а также остеомиелит левой ключицы. Хирургическое вмешательство производилось в срочном порядке из правосторонней переднебоковой торакотомии. Операция была проведена на 4-е сутки от момента госпитализации в кардиохирургический стационар. Однако потеря времени на догоспитальном этапе лечения, стремительное развитие грубых деструктивных изменений на МК, к сожалению, не позволили выполнить реконструктивное вмешательство. Произведено протезирование МК. Течение послеоперационного периода гладкое, на 3 сутки девочка была переведена в общесоматическое отделение. При контрольной эхокардиографии через 3 года сократительная функция миокарда сохранена, фракция выброса 65 %, функция протеза не нарушена.
Ключевые слова
Полный текст
ВВЕДЕНИЕ
Оптимальные сроки операции на клапанах сердца у пациентов с активным инфекционным эндокардитом (ИЭ) до сих пор остаются спорными [6, 8, 9, 12]. Тенденция к раннему (до развития выраженных поражений клапанного аппарата и тяжелых осложнений) хирургическому лечению ИЭ наметилась в 90-е годы XX в. [2]. В настоящее время раннее хирургическое вмешательство рассматривается как наиболее эффективный метод лечения большинства форм активного ИЭ с поражением левых отделов сердца, которое подразумевает под собой выполнение хирургической коррекции еще до завершения полного терапевтического курса антибиотиков [5, 9, 10]. В сравнении с консервативной терапией и отсроченной операцией, применение тактики ранней хирургической коррекции первичного левостороннего ИЭ приводит к снижению госпитальной летальности и частоты послеоперационных осложнений [6, 7], а также к улучшению отдаленных результатов и последующего качества жизни пациентов [12]. При этом сохраняется возможность выполнения реконструктивного вмешательства [3, 5], применение которого, в свою очередь, также способствует снижению как операционной летальности [1, 4], так и увеличению долгосрочной выживаемости [11].
По результатам метаанализа результатов лечения 8141 пациента с ИЭ оказалось, что ранняя операция в сравнении с отсроченным хирургическим вмешательством приводила к снижению частоты госпитальной летальности [8]. В современных клинических рекомендациях Американской ассоциации сердца и Американской коллегии кардиологов (АНА/ACC, 2017) [9] по ведению пациентов с клапанными пороками сердца, а также в рекомендациях Американской ассоциации торакальных хирургов (AATS, 2019) [10] по хирургическому лечению ИЭ в качестве показаний к ранней операции на клапанах сердца при ИЭ рассматриваются: дисфункция клапана, вызывающая сердечную недостаточность (I, B); левосторонний ИЭ, вызванный Staphylococcus aureus, грибковыми или другими высокоустойчивыми организмами (I, B); ИЭ, осложненный атриовентрикулярной блокадой, аортальным или кольцевым абсцессом или деструктивными проникающими поражениями (I, B); персистирующая инфекция, которая проявляется стойкой бактериемией или лихорадкой (I, B); рецидивирующие эмболии (IIa, B) или реальная их угроза (нативный клапанный эндокардит с подвижными вегетациями длиной более 10 мм (IIb, B)) [9, 10]. Одна из отличительных тенденций в руководящих указаниях AATS, 2019, [10] заключается в более агрессивных подходах к определению сроков хирургической коррекции при наличии высокого риска эмболий. Таким пациентам рекомендуется выполнять хирургическую коррекцию в срочном или даже экстренном порядке (IIa, B) [10]. Задача сохранения нативного клапана рассматривается как одна из приоритетных (I, B) [10], достижение которой, возможно путем расширения показаний для ранней хирургической коррекции острого инфекционного поражения клапанов левого сердца.
ОПИСАНИЕ КЛИНИЧЕСКОГО СЛУЧАЯ
Пациентка А., 16 лет, поступила в клинику СПбГПМУ 30.12.2014 с жалобами на выраженную общую слабость, болезненность в области левой ключицы, повышенную температуру тела.
Из анамнеза известно, что 15.11.2014 пациентка лечилась у стоматолога по поводу пульпита. 20.12.14 на фоне общего благополучия состояние девочки резко ухудшилось, появились слабость, вялость, сонливость, ночью выраженная потливость с ознобом, неприятные ощущения в паховых областях. С 23.12 присоединились тошнота, рвота, озноб, боли в коленных и голеностопных суставах, болезненность в области левой ключицы. Экстренно госпитализирована в ГИБ им. С.П. Боткина 25.12.14 с диагнозом «ОРВИ, грипп», откуда после предварительного обследования девочка переведена в детскую городскую больницу с диагнозом «острый бактериальный эндокардит митрального (аортального?) клапана». Лабораторные данные на момент перевода: СОЭ 79 мм/ч (референсный интервал (РИ) 2–15 мм/ч), тромбоцитопения 79 · 109/л (РИ 180–320 · 109/л), лейкоцитоз 18,4 · 109/л (РИ 4–9 · 109/л). За время наблюдения и лечения в стационаре, с 25.12 по 30.12, сохранялись жалобы на фебрильную лихорадку с ознобом, слабость, вялость, боль в области левой ключицы, наличие пятнисто-папулезной сыпи с геморрагическим компонентом на туловище, лице и конечностях. Сыпь в динамике нарастала, сливалась по всему телу. Лабораторно: в крови лейкоцитоз с нарастанием до 50,0 · 109/л, тромбоциты 51 · 109/л, СОЭ до 38 мм/ч, фибриноген 4,85–5,59 г/л (РИ 2–4 г/л), мочевина 16.1–9.2 ммоль/л (РИ 2,9–7,5 ммоль/л), креатинин 0,185–0,0094 ммоль/л (РИ 0,053–0,097 ммоль/л), прокальцитониновый тест — отрицательный. Осмотрена хирургом 26.12, нельзя исключить остеомиелит левой ключицы. 29.12 произведена хирургическая санация гнойного очага, диагноз остеомиелита подтвержден. В посеве крови от 27.12.14 — золотистый стафилококк, определена чувствительность к антибактериальной терапии. В терапии получала: однократно метилпреднизолон 500 мг, пенициллин (отмена 27.12), медаксон, гентамицин, метрогил, амикацин, курантил. По результатам эхокардиографии (ЭхоКГ) 25.12 и 29.12 отмечена отрицательная динамика в виде увеличения размеров вегетаций на задней створке митрального клапана (МК) (от 3 до 8 мм) и их количества (появление новой вегетации на передней створке МК). 30.12.14, на 10-е сутки от появления первых симптомов заболевания, девочка была переведена в клинику СПбГПМУ с выраженными явлениями синдрома системного воспалительного ответа и лабораторными признаками сепсиса.
При поступлении в клинику СПбГПМУ состояние девочки тяжелое, стабильное, обусловлено течением ангиогенного сепсиса с очагом в левых отделах сердца. Периферических отеков нет. Кожные покровы бледные с элементами распространенной токсико-аллергической сыпи. Слизистые зева с явлениями умеренного фарингита. Регионарные лимфоузлы умеренно увеличены. Лихорадка до 38 °C. В области левого грудинно-ключичного сочленения — повязка после вскрытия абсцесса, выполненного 29.12.2014. Гемодинамически компенсирована, частота сердечных сокращений до 100 уд/мин. Аускультативно со стороны сердца: тоны сердца ритмичные, звучные, ослабление 1 тона на верхушке, выслушивается шум митральной недостаточности в точке Боткина и по среднеаксиллярной линии. Дыхание в легких везикулярное, проводится во все отделы легких, хрипов нет. Печень и селезенка не увеличены. Диурез сохранен. Лабораторно: клинический анализ крови — лейкоцитоз 40,4 · 109/л (РИ 4–9 · 109/л); биохимический анализ крови — С-реактивный белок 181,8 мг/л (РИ до 6 мг/л); проба Реберга — скорость клубочковой фильтрации 67 мл/мин (РИ 88–128 мл/мин). При рентгенологическом исследовании в легких без очагово-инфильтративных изменений; легочный рисунок диффузно усилен.
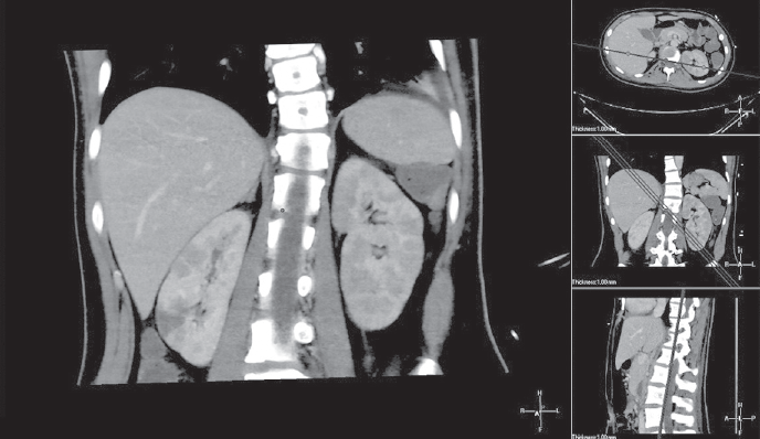
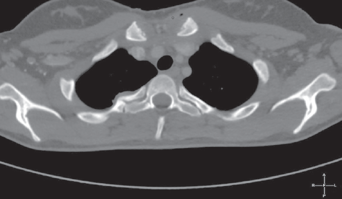
По данным компьютерной томографии от 31.12.14 — признаки выпотного плеврита с обеих сторон, более выраженного слева. Ателектазы в S9 с обеих сторон компрессионного характера. Лимфоаденопатия внутригрудных лимфатических узлов. Перикардит. Отмечается отек мягких тканей вокруг передних отделов ключицы с наличием мелких пузырьков газа. Выявленные изменения в головке левой ключицы соответствуют послеоперационным изменениям. Во всех третях правой почки прослеживаются множественные участки пониженного накопления неправильной треугольной формы, широким основанием прилежащие к капсуле почки, захватывающие кортикальный и медуллярный слои, наиболее вероятно являются проявлениями инфаркта правой почки. Отек паренхимы левой почки (рис. 1, 2).
Рис. 1. Компьютерная томограмма пациентки А., 16 лет. Изменения в головке левой ключицы
Fig. 1. CT scan of 16-year old female patient A. Changes in the head of the left clavicle
Рис. 2. Компьютерная томограмма пациентки А., 16 лет. Инфаркт правой почки
Fig. 2. CT scan of 16-year old female patient A. Infarction of the right kidney
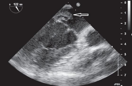
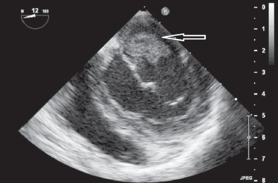
По результатам ЭхоКГ от 31.12.14 — сократительная способность миокарда сохранена. Фракция выброса левого желудочка 65 %. Камеры сердца не расширены. В области передней и задней створок митрального клапана визуализируются крупные и множественные мелкие вегетации. Недостаточность митрального клапана 1–2-й степени. Относительная недостаточность трикуспидального клапана 1–2-й степени. Умеренные явления перикардита (рис. 3, 4).
Рис. 3. Эхокардиограмма пациентки А., 16 лет. Апикальная 4-камерная проекция. Вегетации на передней створке митрального клапана
Fig. 3. ECHO of 16-year old female patient A. The apical 4-chamber view. Vegetations on the aortic leaflet of mitral valve
Рис. 4. Эхокардиограмма пациентки А., 16 лет. Парастеральная проекция по длинной оси. Вегетации на задней створке митрального клапана
Fig. 4. ECHO of 16-year old female patient A. Parasternal long-axis view. Vegetations on the mural leaflet of the mitral valve
По результатам клинико-инструментального обследования был установлен диагноз: «Первичный инфекционный эндокардит с поражением митрального клапана. Недостаточность митрального клапана I степени. Рецидивирующие эмболии вегетациями и тромботическими массами. Инфаркт правой почки. Гематогенный остеомиелит левой ключицы. Учитывая наличие активного ИЭ митрального клапана, наличие подвижных вегетаций, эпизоды перенесенной артериальной эмболии, высокий риск повторных эмболий и бесперспективность дальнейшей консервативной терапии, были определены показания для срочного хирургического вмешательства».
04.01.2015 выполнена операция: правосторонняя торакотомия. Санация камер сердца. Протезирование митрального клапана протезом МедИнж в условиях искусственного кровообращения и кровяной холодовой кардиоплегии.
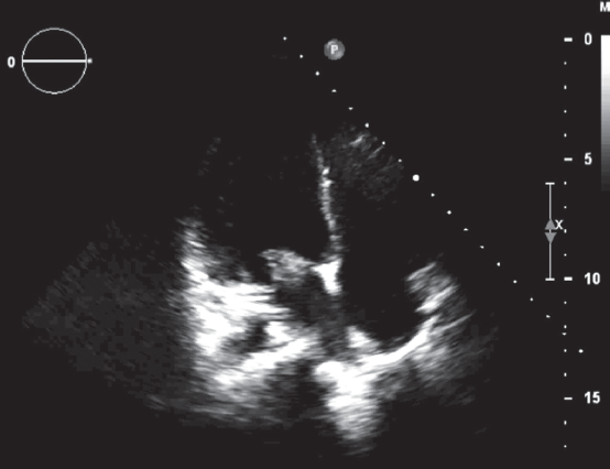
Чреспищеводная ЭхоКГ: визуализирована большая вегетация, длиной более 1 см, фиксированная своим основанием к задней сворке МК и вегетации на передней створке МК (рис. 5, 6).
Рис. 5. Чреспищеводная эхокардиограмма пациентки А., 16 лет. Продольная ось сердца. Стрелками указаны вегетации на задней створке митрального клапана
Fig. 5. Transesophageal ECHO of 16-year old female patient A. Long axis. Arrows indicate vegetations on the mural leaflet of the mitral valve
Рис. 6. Чреспищеводная эхокардиограмма пациентки А., 16 лет. Поперечная ось сердца. Стрелками указаны вегетации на задней створке митрального клапана
Fig. 6. Transesophageal ECHO of 16-year old female patient A. Short axis. Arrows indicate vegetations on the mural leaflet of the mitral valve
Интраоперационно: левая атриотомия. В области задней створки митрального клапана (Р2) определяется абсцесс 1 × 1 см, вегетация 1,5 × 1,5 см с тромботическими массами, фиксированная к створке митрального клапана (рис. 7, 8). В области передней створки митрального клапана (А2, А3) определяются вегетации от 0,5 до 1 см с тромботическими массами с распространением на опорные хорды и подклапанный аппарат. Абсцесс задней створки вскрыт, санирован. Створки митрального клапана иссечены по периметру фиброзного кольца МК с оставлением части подклапанных структур задней створки. Санация камер сердца. Вшит механический протез МедИнж 27 мм.
Рис. 7. Интраоперационное фото. Абсцесс на задней створке митрального клапана
Fig. 7. Intraoperative photo. Abscess on the mural leaflet of the mitral valve
Рис. 8. Макропрепарат: створки удаленного митрального клапана с вегетациями.
Примечание. Фрагменты створок МК 3 × 2 см и 2,5 × 1 см с множественными «бородавками» серо-розового цвета (6 штук). На задней створке — свежие тромботические массы с переходом их на хордальные нити. Створки клапана неравномерно утолщены, режутся с трудом. На передней створке — тромботические массы меньше и стенка более тонкая
Fig. 8. Deleted mitral valve’s leaflets with vegetations.
Note. Gross appearance of phragments of mitral valve’s leaflets 3 × 2 cm and 2.5 × 1 cm with multiple warts gray-pink color (6 pieces). On the back leaflet – fresh thrombotic masses with their transition to chordae tendineae. The valve leaflets are unevenly thickened and are difficult to cut. On the anterior leaflet-the thrombotic masses are smaller and the wall is thinner
Течение послеоперационного периода гладкое, экстубирована через 8 ч с момента окончания операции, центральные венозные катетеры удалены на третьи сутки послеоперационного периода, дальнейшую антибиотикотерапию осуществляли через периферические вены. На третьи сутки девочка была переведена на общесоматическое отделение. Проводилось лечение: инфузионная, антикоагулянтная, противовоспалительная, антимикотическая терапия (флюконазол), антибактериальная терапия (лендацин, ванкомицин, линезолид, амикацин). По результатам иммуноферментного анализа были выявлены: гипериммуноглобулинемия А, М, G, Е; циркулирующие иммунные комплексы в сыворотке крови; относительный В-лимфоцитоз и относительная Т-лимфоцитопения. Посевы венозной крови на протяжении всего пребывания пациентки в стационаре оставались стерильны. Результаты гистологического исследования: фрагменты митрального клапана с очаговыми утолщениями в виде фиброзных бородавок, дезорганизация соединительной ткани и наличие макрофогально-гистиоцитарных гранулем. Кроме того, видимые свежие тромбы с большим числом лейкоцитов, клеточным детритом и диффузные лейкоцитарные инфильтраты (рис. 5).
Три года спустя после операции пациентка чувствует себя хорошо. Продолжает учебу, ведет активный образ жизни. Проводится постоянная антикоагулянтная терапия варфарином. При контрольной ЭхоКГ — сократительная способность миокарда сохранена, камеры сердца не расширены, ФВ 65 %, функция протеза не нарушена (максимальный градиент на протезе 6 мм рт. ст., Vmax 1,1 м/с).
ОБСУЖДЕНИЕ И ЗАКЛЮЧЕНИЕ
В описываемом клиническом случае операция была проведена на 4-е сутки от момента госпитализации пациентки в стационар, что согласуется с общепринятыми подходами ранней хирургической коррекции ИЭ МК [5, 9, 11, 12].
Целесообразность выполнения ранней операции в подавляющем большинстве случаев активного левостороннего ИЭ в настоящий момент не вызывает сомнений и продиктована, в первую очередь, стремлением сохранить жизнь пациента [5, 12].
Однако потеря времени на догоспитальном этапе лечения, стремительное развитие грубых деструктивных изменений на МК, к сожалению, не позволили выполнить реконструктивное вмешательство.
Об авторах
Руслан Бекирович Бадуров
Федеральное государственное бюджетное образовательное учреждение высшего образования «Санкт-Петербургский государственный педиатрический медицинский университет» Министерства здравоохранения Российской Федерации
Автор, ответственный за переписку.
Email: badurov.r@gmail.com
канд. мед. наук, доцент, кафедра сердечно-сосудистой хирургии
Россия, Санкт-ПетербургНазим Низамович Шихвердиев
Федеральное государственное бюджетное образовательное учреждение высшего образования «Санкт-Петербургский государственный педиатрический медицинский университет» Министерства здравоохранения Российской Федерации
Email: nazniz@mail.ru
д-р мед. наук, профессор, кафедра сердечно-сосудистой хирургии
Россия, Санкт-ПетербургТатьяна Леонидовна Корнишина
Федеральное государственное бюджетное образовательное учреждение высшего образования «Санкт-Петербургский государственный педиатрический медицинский университет» Министерства здравоохранения Российской Федерации
Email: tk.06@mail.ru
ассистент, кафедра госпитальной педиатрии
Россия, Санкт-ПетербургАлина Андреевна Иванилова
Федеральное государственное бюджетное образовательное учреждение высшего образования «Санкт-Петербургский государственный педиатрический медицинский университет» Министерства здравоохранения Российской Федерации
Email: iv.alina@bk.ru
студентка 4-го курса, кафедра сердечно-сосудистой хирургии
Россия, Санкт-ПетербургМария Юрьевна Новак
Федеральное государственное бюджетное образовательное учреждение высшего образования «Санкт-Петербургский государственный педиатрический медицинский университет» Министерства здравоохранения Российской Федерации
Email: marylovepeace@mail.ru
ассистент, кафедра сердечно-сосудистой хирургии
Россия, Санкт-ПетербургСписок литературы
- Марченко С.П. Реконструктивная хирургия атриовентрикулярных клапанов сердца: Автореф. дис. … д-ра мед. наук. – СПб., 2008. – 47 с. [Marchenko SP. Rekonstruktivnaya khirurgiya atrioventrikulyarnykh klapanov serdtsa. [dissertation] Saint Petersburg; 2008. 47 p. (In Russ.)]
- Шевченко Ю.Л. Хирургическое лечение инфекционного эндокардита. – СПб.: Наука, 1995. – 230 с. [Shevchenko YuL. Khirurgicheskoe lechenie infektsionnogo endokardita. Saint Petersburg: Nauka; 1995. 230 p. (In Russ.)]
- Шихвердиев Н.Н., Хубулава Г.Г., Марченко С.П. Клапансохраняющие оперативные вмешательства в хирургии митральных пороков инфекционной этиологии: показания и варианты коррекции // Вестник аритмологии. – 2004. – Т. 35. – № S2. – C. 166. [Shikhverdiev NN, Khubulava GG, Marchenko SP. Klapansokhranyayushchie operativnye vmeshatel’stva v khirurgii mitral’nykh porokov infektsionnoy etiologii: pokazaniya i varianty korrektsii Journal of arrhythmology. 2004;35(S2):166. (In Russ.)]
- Шихвердиев Н.Н., Хубулава Г.Г., Марченко С.П., Аскеров М.А. Реконструктивные вмешательства на митральном клапане: варианты коррекции, непосредственные и отдаленные результаты // Артериальная гипертензия. – 2008. – Т. 14. – № 1. – С. 91–96. [Shikhverdiev NN, Khubulava GG, Marchenko SP, Askerov MA. Mitral valverepair: types of correction, immediateand long-term results. Arterialnaia gipertenziia. 2008;14(1):91-96. (In Russ.)]
- Davierwala PM, Marin-Cuartas M, Misfeld M, Borger MA. The value of an “Endocarditis Team”. Ann Cardiothorac Surg. 2019;8(6):621-629. https://doi.org/10.21037/acs.2019.09.03.
- Kang DH, Kim YJ, Kim SH, et al. Early Surgery versus Conventional Treatment for Infective Endocarditis. N Engl J Med. 2012;366(26):2466-2473. https://doi.org/10.1056/NEJMoa1112843.
- Lalani T, Cabell CH, Benjamin DK, et al. Analysis of the Impact of Early Surgery on In-Hospital Mortality of Native Valve Endocarditis. Use of Propensity Score and Instrumental Variable Methods to Adjust for Treatment-Selection Bias. Circulation. 2010;121:1005-1013. https://doi.org/10.1161/CIRCULATIONAHA.109.864488.
- Liang F, Song B, Liu R, et al. Optimal timing for early surgery in infective endocarditis: a meta-analysis. Interact Cardiovasc Thorac Surg. 2016;22(3):336-345. https://doi.org/10.1093/icvts/ivv368.
- Nishimura RA, Otto CM, Bonow RO, et al. 2017 AHA/ACC Focused Update of the 2014 AHA/ACC Guideline for the Management of Patients with Valvular Heart Disease. J Am Coll Cardiol. 2017;70(2):252-289. https://doi.org/10.1016/j.jacc.2017.03.011.
- Pettersson GB, Hussain ST. Current AATS guidelines on surgical treatment of infective endocarditis. Ann Cardiothorac Surg. 2019;8(6):630-644. https://doi.org/10.21037/acs.2019.10.05.
- Shang E, Forrest GN, Chizmar T, et al. Mitral Valve Infective Endocarditis: Benefit of Early Operation and Aggressive Use of Repair. Ann Thorac Surg. 2009;87(6):1728-1733. https://doi.org/10.1016/j.athoracsur.2009.02.098.
- Wang, A. Statement from the International Collaboration on Endocarditis on the current status of surgical outcome in infective endocarditis. Ann Cardiothorac Surg. 2019;8(6):678-680. https://doi.org/10.21037/acs.2019.05.19.
Дополнительные файлы









