Coronaviral infection
- Authors: Ivanov D.O.1, Chernova T.M.1, Pavlova E.B.1, Timchenko V.N.1, Barakina E.V.1
-
Affiliations:
- St. Petersburg State Pediatric Medical University, Ministry of Healthcare of the Russian Federation
- Issue: Vol 11, No 3 (2020)
- Pages: 109-117
- Section: Lecture
- URL: https://ogarev-online.ru/pediatr/article/view/42540
- DOI: https://doi.org/10.17816/PED113109-117
- ID: 42540
Cite item
Full Text
Abstract
Coronavirus infection (CVI) is a group of acute ubiquitous infectious diseases known since the 60s 19 century. The clinical picture of CVI is characterized by damage to the respiratory system from mild forms of acute respiratory viral infection to the development of a severe acute respiratory syndrome, as well as involvement of other organs in the pathological process of the gastrointestinal tract. For a long time, coronaviruses were not given attention, since it was believed that they were able to cause only mild respiratory diseases. It is known that children and adolescents are less susceptible to infection than adults. In the etiological structure of acute respiratory viral infections among hospitalized children, coronaviruses account for 6–9%. The introduction of multiplex polymerase chain reaction (PCR) with the inclusion of coronaviruses in practice has shown their role in the occurrence of severe diseases of the lower respiratory tract. Since 2002, outbreaks of coronavirus infection caused by previously unknown pathogens (SARS-CoV, MERS-CoV, SARS-CoV-2) have been observed in the world. New coronaviruses have genetic features and are relatively highly resistant in the environment. The diseases they cause are distinguished by the predominance of severe forms with high mortality due to the development of acute respiratory distress syndrome and sepsis. In December 2019, an outbreak of pneumonia caused by the SARS-CoV-2 virus began in China; in February 2020, the disease was called COVID-2019. In connection with the trend towards the global spread of new infections March 11, 2020, the World Health Organization announced a pandemic. The lecture covers the issues of epidemiology, pathogenesis, clinic, diagnosis and treatment of coronavirus infection, taking into account the emergence of new pathogens.
Keywords
Full Text
Коронавирусная инфекция (КВИ) — группа острых инфекционных заболеваний, вызываемых коронавирусами, передающихся преимущественно воздушно-капельным путем, характеризующихся поражением дыхательной системы от легких форм до развития тяжелого острого респираторного синдрома, а также вовлечением в патологический процесс желудочно-кишечного тракта и редко — других органов.
Исторические данные
Впервые коронавирусы обнаружены в 30-е годы ХХ столетия у домашних птиц. В 1965 г. D. Tyrrell и М. Bynoe выявили вирус у пациента с острой респираторной инфекцией с использованием культуры клеток из трахеи эмбриона человека [22], а в 1975 г. E. Caul и S. Clarke выделили коронавирус из испражнений детей с энтероколитом [9].
В 1968 г. введен термин «коронавирус», так как под электронным микроскопом шиповидная поверхность возбудителя напоминала внешний слой солнца, называемый короной.
Долгое время коронавирусам не уделяли внимания, так как считалось, что они способны вызывать лишь легкие респираторные инфекции. Внедрение в практику мультиплексной полимеразной цепной реакции (ПЦР) с включением коронавирусов показало их роль в возникновении тяжелых заболеваний нижних дыхательных путей.
В ноябре 2002 г. впервые сообщено о нескольких сотнях случаев тяжелой атипичной пневмонии неизвестной этиологии в китайской провинции Гуандон [16]. В марте 2003 г. заболевание получило название «severe acute respiratory syndrome» (SARS) или тяжелый острый респираторный синдром (ТОРС), вместо принятого ранее — «атипичная пневмония». Всего за период эпидемии в 37 странах мира заболело 8 273 человек, 775 человек — со смертельным исходом. С 2004 г. новых случаев заболевания, вызванного SARS-CoV, не зарегистрировано. В Российской Федерации официально зарегистрирован один случай SARS (2003 г.).
В 2012 г. выявлен новый коронавирус MERS-CoV — возбудитель ближневосточного респираторного синдрома (Middle East Respiratory Syndrome — MERS) [11, 24]. С 2012 по 2020 г. зарегистрировано 2519 случаев заболевания коронавирусной инфекцией, вызванной вирусом MERS-CoV, 866 закончились летальным исходом. Все эпизоды географически ассоциированы с Аравийским полуостровом (82 % случаев зарегистрированы в Саудовской Аравии). В настоящий момент MERS-CoV продолжает циркулировать и вызывать новые случаи заболевания.
В декабре 2019 г. в Китае началась вспышка пневмонии, вызванной вирусом SARS-CoV-2 [25]. В феврале 2020 г. заболевание получило название COVID-2019 (COronaVIrus Disease 2019) [3]. В связи с тенденцией к глобальному распространению новой инфекции 11 марта 2020 г. Всемирная организация здравоохранения объявила пандемию.
Этиология
Коронавирусы (порядок Nidovirales, семейство Coronaviridae, род Coronavirus) являются разнородной группой РНК-вирусов, вызывающих заболевания респираторного тракта и вирусные диареи у человека и животных.
По результатам серологического и филогенетического анализа коронавирусы делят на четыре группы: Alphacoronavirus, Betacoronavirus, Gammacoronavirus и Deltacoronavirus. Естественными хозяевами большинства из известных в настоящее время коронавирусов являются млекопитающие (кошки, собаки, свиньи, телята, летучие мыши, верблюды и др.) и птицы. В настоящее время известно, что у человека заболевание могут вызвать только 2 альфа-коронавируса (HCoV-229E, HCoV-NL63) и 5 бета-коронавирусов (HCoV-OC43, HCoV-HKU1, SARS-CoV, MERS-CoV, SARS-CoV-2) [24].
Вирусы имеют сферическую форму диаметром 80–160 нм. Поверхность вириона покрыта булавовидными отростками (шипами), длиной около 20 нм, придающими ему форму короны. Вирусная оболочка состоит из липидного слоя, в котором закреплены структурные белки мембраны (M), оболочки (E) и шипа (S) (рис. 1).
Рис. 1. Схема структуры коронавируса [21]
Fig. 1. Coronavirus structure diagram [21]
Геном коронавирусов является самым большим среди РНК-вирусов и содержит около 30 тыс. пар нуклеотидов. Генетическая последовательность SARSCoV-2 на 79 % сходна с SARS-CoV. Существуют два подтипа вируса SARSCoV-2 — L (70 %) и S (30 %). Подтип L, более агрессивный, чаще регистрировали на ранних этапах вспышки в Китае, к январю 2020 г. его распространенность снизилась, а подтипа S — возросла [20].
Обычные (сезонные) коронавирусы во внешней среде погибают в течение нескольких часов, при благоприятных условиях могут прожить до 2 сут, высоко чувствительны к бытовым дезинфектантам (гибнут за 2 мин), высушиванию, солнечной радиации, нагреванию свыше 56 °C (инактивируются за 10–15 мин).
Новые коронавирусы (MERS-CoV, SARS-CoV, SARS-CoV-2) обладают относительно высокой устойчивостью в окружающей среде. При комнатной температуре способны сохранять жизнеспособность в форме аэрозоля — до 3 ч; на картоне — до 1 сут; на пластике и нержавеющей стали, в моче и фекалиях — до 3–4 дней; в жидкой мокроте — до 7 сут. При замораживании вирусы сохраняются до 3 нед.; нагревание свыше 56 °C уничтожает их за полчаса, 70 % спирт и 0,5 % раствор перекиси водорода — за 1 мин. УФО не приводит к их быстрой инактивации, кварцевание уничтожает вирусы эффективнее естественного ультрафиолета.
Эпидемиология
Источником инфекции является больной человек, который заразен с конца инкубационного периода и продолжает выделять вирус в течение 10 сут и более после клинического выздоровления.
Основные механизмы передачи — капельный, контактный, возможен — фекально-оральный.
Пути передачи. Ведущий — воздушно-капельный, который реализуется при кашле, чихании и разговоре на близком расстоянии (менее 2 м), воздушно-пылевой, контактно-бытовой (во время рукопожатий и других видах непосредственного контакта с инфицированным человеком), а также через пищевые продукты, контаминированные вирусом.
Восприимчивость — всеобщая.
Заболеваемость. Среди заболевших около 50 % составляют лица социально активного возраста (от 19 до 45 лет) [14]. Дети и подростки менее подвержены заболеванию, чем взрослые. В этиологической структуре острых респираторных вирусных инфекций среди госпитализированных детей коронавирусы составляют 6–9 %. При этом чаще коронавирусной инфекцией болеют дети 3–6 лет (8,1 %) и старше 7 лет (9,1 %), дети до 3 лет болеют в два раза реже (4,1 %). КВИ у детей может протекать в виде коинфекции с респираторно-синтициальной (8,8 %) и метапневмовирусной (8,8 %) инфекциями [7, 10]. Циркулирующие HCoV выявляются в фекалиях у 4,7–6,4 % госпитализированных детей с острым гастроэнтеритом в возрасте до 6 лет [14, 15].
Манифестные формы болезни среди детей регистрируются в 1–5 %, летальные исходы — в единичных случаях.
Сезонность. Большинство HCoV постоянно циркулируют среди людей по всему миру с подъемом заболеваемости в зимне-весенний период [14].
После перенесенного заболевания формируется типоспецифический иммунитет. Возможны повторные случаи, вызванные другими типами коронавирусов.
Патогенез
Входные ворота — эпителий верхних дыхательных путей и эпителиоциты желудка и кишечника. Кроме того, коронавирусы могут поражать печень, почки, нервную систему, сердце и глаза.
Вирус прикрепляется к клетке с помощью поверхностных белков, затем «продавливает» клеточную оболочку и вводит в ее цитоплазму свою РНК. Далее запускается сборка вирусных белков. После формирования вирусного нуклеокапсида готовые вирусы покидают клетку, используя ее внешнюю мембрану, а сама клетка погибает (рис. 2). В большинстве случаев данный процесс самостоятельно ограничивается, что приводит к полному выздоровлению по мере формирования защитных антител в организме.
Рис. 2. Формирование вирионов коронавируса (электронная микроскопия, университет Гонконга, 2019)
Fig. 2. Coronavirus Virion Formation (Electron Microscopy, University of Hong Kong, 2019)
При недостаточной иммунной реактивности организма инфекция распространяется, вовлекая в патологический процесс нижние отделы респираторного тракта. Развивающаяся в ранние сроки болезни лимфопения и способность коронавирусов блокировать основные звенья первичного иммунного ответа обусловливают развитие тяжелых форм инфекции с быстро прогрессирующей симптоматикой.
Одним из наиболее частых осложнений коронавирусной инфекции является развитие острой дыхательной недостаточности. В патогенезе острого респираторного дистресс-синдрома (ОРДС) главную роль играет избыточный ответ иммунной системы со стремительно развивающимся синдромом высвобождения цитокинов (цитокиновый шторм), приводящий к повреждению легких. Вирус вызывает повышение проницаемости альвеолярных сосудов и усиленный транспорт жидкости, богатой альбумином, с развитием интерстициального и альвеолярного отека. Диффузное повреждение пневмоцитов вызывает нарушение синтеза и секреции сурфактанта, что ведет к спадению альвеол и резкому нарушению газообмена [6].
В отличие от других коронавирусов, для SARS-CoV-2 мишенью являются клетки дыхательного тракта, почек, пищевода, мочевого пузыря, подвздошной кишки, сердца, центральной нервной системы, имеющие рецепторы ангиотензинпревращающего фермента II типа [4]. Развитие крайне тяжелых форм COVID-19 связывают, в частности, с повышением уровня интерлейкина-6 (ИЛ-6).
Обладая способностью к индукции апоптоза, коронавирусы вызывают некроз пораженных тканей и у пациентов после выздоровления остаются фиброзные рубцы в легких.
Патоморфология
При исследовании биопсийного материала обнаруживалась картина интерстициального воспаления с разрушением альвеолярных пневмоцистов. Постмортальные гистологические изменения соответствовали патоморфологической картине респираторного дистресс-синдрома.
При исследовании печени — мелкодисперсная жировая инфильтрация, точечный некроз гепатоцитов, селезенки — обширные поля ишемического некроза.
Классификация коронавирусной инфекции
По типу:
- Типичные.
- Атипичные:
- бессимптомная.
По степени тяжести:
- Легкая.
- Среднетяжелая.
- Тяжелая.
- Крайне тяжелая (критическая).
Критерии тяжести:
- выраженность синдрома лихорадки;
- выраженность синдрома интоксикации;
- наличие изменений в легких;
- выраженность дыхательной недостаточности.
По течению (характеру):
- Гладкое.
- Негладкое:
- с осложнениями;
- с наслоением вторичной инфекции;
- с обострением хронических заболеваний.
Клиническая картина
Инкубационный период составляет от 2 до 10 сут, при COVID-19 — до 14 дней (в среднем 5–7 дней).
Типичная коронавирусная инфекция у детей протекает в виде легкой острой респираторной инфекции. Заболевание начинается остро с повышения температуры тела до 38 °C, возможны недомогание, слабость, головная боль. Наблюдаются катаральные явления в виде заложенности носа, насморка с необильным слизистым отделяемым, першения или незначительной боли в горле. Кашель в начале сухой, через несколько дней — с небольшим количеством мокроты. Почти в половине случаев могут присоединиться признаки поражения пищеварительного тракта в виде дискомфорта в животе, диареи, тошноты, рвоты [18]. В течение 1–2 недель выраженность симптоматики снижается и наступает выздоровление.
В ряде случаев у пациентов с ослабленным иммунитетом через 5–7 сут от начала заболевания развивается пневмония [17, 23]. Приступы сухого, непродуктивного кашля усиливаются, становятся более длительными. Больные жалуются на быструю утомляемость. Воспаление в начале имеет очаговый характер, затем быстро превращается в сливную долевую пневмонию и может распространяться на все легкие, вызывая их тотальное поражение. Возникает ощущение заложенности в грудной клетке, чувство нехватки воздуха, развивается одышка, нарастает дыхательная недостаточность. Возможны спутанность сознания, головная боль, кровохарканье, сердцебиение. До 10 % больных нуждаются в реанимационном пособии, около 6 % — в искусственной вентиляции легких (ИВЛ). На фоне нарастающей дыхательной и полиорганной недостаточности возможен летальный исход [1].
Коронавирусы связывают с развитием тяжелых заболеваний нервной системы: HCoV-229E и -OC43 — с рассеянным склерозом [19], HCoV-OC43 — с острым диссеминированным энцефаломиелитом [12], у 50 % детей HCoV-HKU1-инфекция может протекать с фебрильными судорогами [13]. У пациентов с инфекцией, вызванной SARS-CoV-2, зарегистрированы случаи энцефалита, некротизирующей геморрагической энцефалопатии, инсульта, эпилептических припадков и синдрома Гийена – Барре [8].
Согласно клиническим наблюдениям при COVID-19, чаще у детей и молодых людей, возможна полиморфная сыпь (макулопапулезная, эритематозная, ливедоподобная, по типу крапивницы), а также высыпания в виде несимметричных пятен на руках и ногах, похожих на результат обморожения, сопровождающихся болезненностью и зудом («ковидные пальцы») (рис. 3) [2]. В редких случаях наблюдаются аносмия, боли в суставах и мышцах, конъюнктивит.
Рис. 3. Изменения на коже при COVID-19 («ковидные пальцы») [2]
Fig. 3. Changes on the skin with COVID-19 (“covoid fingers”) [2]
Атипичные формы. Бессимптомная форма протекает с отсутствием клинических признаков заболевания и визуальных изменений на рентгенограмме (томограмме), но с положительным результатом лабораторного исследования на наличие РНК коронавируса.
По степени тяжести выделяют легкую, среднетяжелую, тяжелую и крайне тяжелую (критическую) коронавирусную инфекцию. В 59 % заболевание, вызванное сезонными коронавирусами, протекает в легкой степени, среднетяжелая и тяжелая степень регистрируется в 31 и 10 % случаев соответственно. У детей младше 5 лет и взрослых старше 50 лет заболевание чаще протекает в тяжелой форме [14].
Легкая степень характеризуется нормальной или субфебрильной температурой тела, симптомами интоксикации (слабость, миалгия) и поражением верхних дыхательных путей (кашель, боль в горле, насморк и чихание). При осмотре выявляются гиперемия слизистых оболочек ротоглотки. Аускультативных изменений в легких нет. Возможно наличие только гастроинтестинальных симптомов (тошнота, рвота, боль в животе и диарея) без повышения температуры тела.
При среднетяжелой степени отмечаются лихорадка до 38 °C, выраженная слабость, головная боль, насморк, першение и боль в горле, сухой кашель, иногда с умеренным отделением мокроты. Аускультативно могут выслушиваться хрипы (сухие или влажные). Признаки дыхательной недостаточности (одышка) и гипоксемии отсутствуют. На рентгенограмме грудной клетки выявляются незначительные изменения в легких, в отдельных случаях без явных клинических симптомов поражения нижних дыхательных путей.
Тяжелая степень сопровождается высокой температурой тела, резкой слабостью, тошнотой, головокружением, сильным кашлем (сухим или с мокротой), болью в груди. Появляются признаки дыхательной недостаточности (чувство нехватки воздуха, стеснения в области грудной клетки, одышка, цианоз), SpO2 составляет ≤92 %. На рентгенограмме и КТ органов грудной клетки — признаки пневмонии.
Крайне тяжелая (критическая) степень характеризуется прогрессирующей одышкой, тахикардией, снижением артериального давления, развитием ОРДС с тяжелой дыхательной недостаточностью и необходимостью респираторной поддержки (ИВЛ). Могут наблюдаться септический шок, энцефалопатия, нарушение коагуляции, повреждение миокарда, почек, печени с развитием полиорганной недостаточности.
Осложнения
Специфические осложнения включают отек легких, ОРДС, острую сердечную недостаточность, острую почечную недостаточность, септический шок. Неспецифические осложнения обусловлены присоединением бактериальной инфекции.
Особенности коронавирусной инфекции у детей первого года жизни
Доказательств внутриутробной инфекции, вызванной вертикальной передачей инфекции от матери к ребенку, не обнаружено, все случаи считаются приобретенными после рождения [1].
При заболевании наблюдается повышение температуры тела, вялость, срыгивания, ребенок слабо сосет, иногда отмечаются диарея, вздутие живота. Респираторные симптомы могут проявляться тахипноэ, стонущим дыханием, раздуванием крыльев носа, усиленной работой дыхательных мышц, апноэ, кашлем и тахикардией. На рентгенограмме грудной клетки односторонние или двусторонние изменения по типу «матового стекла».
Диагностика
Опорно-диагностические критерии коронавирусной инфекции:
- эпидемиологический анамнез: пребывание (в том числе транзитом) в неблагополучном по заболеванию регионе, тесный контакт с больным коронавирусной инфекцией;
- острое начало;
- лихорадка;
- наличие клинических проявлений острой респираторной инфекции, пневмонии, ОРДС, сепсиса.
Лабораторная диагностика. Используют вирусологический, молекулярно-биологический и серологический методы.
Вирусологический метод предполагает выделение коронавируса на клеточной культуре из любого тестируемого образца с подтверждением в ПЦР.
Экспресс-диагностика включает обнаружение РНК вируса с использованием ПЦР и антигена вируса в РИФ. Материалом для исследования являются слизь с задней стенки глотки, мокрота, промывные воды бронхов, полученные при фибробронхоскопии (бронхоальвеолярный лаваж), эндотрахеальный и назофарингеальный аспират, цельная кровь, сыворотка, фекалии, биопсийный или аутопсийный материал легких.
Серологические реакции (ИФА, НРИФ) позволяют выявить IgM с пятых суток от начала заболевания, IgG — с 14-х суток.
В клиническом анализе крови отмечаются лейкопения, лимфопения, тромбоцитопения, при присоединении вторичной бактериальной микрофлоры — лейкоцитоз, нейтрофилез, повышенная СОЭ.
У ряда пациентов в сыворотке крови наблюдается увеличение концентрации КФК и ЛДГ (более 2 норм), АЛТ (в 5–10 раз), может незначительно увеличиваться содержание С-реактивного белка и прокальцитонина.
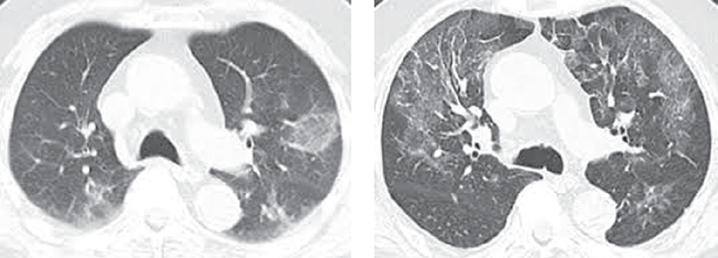
Рентгенографическая (томографическая) картина легких может оставаться нормальной в течение всей болезни. У части пациентов в фазе респираторных расстройств выявляются очаговые инфильтраты в легочной ткани с тенденцией к увеличению размеров и слиянию, вовлечением в патологический процесс интерстициальной ткани (по типу «матового стекла») (рис. 4). Локализуются инфильтраты преимущественно в нижних и средних зонах легких. Также может присутствовать небольшой плевральный выпот.
Рис. 4. Компьютерная томограмма органов грудной клетки — двусторонние инфильтраты в легочной ткани по типу «матового стекла» [5]
Fig. 4. CT of the chest organs – bilateral infiltrates in the lung tissue according to the type of «frosted glass» [5]
Дифференциальная диагностика проводится с другими заболеваниями, протекающими с поражением органов дыхания: гриппом, парагриппом, респираторно-синцитиальной, аденовирусной, риновирусной, метапневмовирусной, бокавирусной, микоплазменной, хламидийной и др. инфекциями.
Лечение детей с бессимптомной формой или легкой степенью тяжести коронавирусной инфекции проводится в домашних условиях. Госпитализации подлежат больные со среднетяжелой и тяжелой степенью заболевания, с осложнениями, наличием тяжелой хронической патологии; первичным или вторичным иммунодефицитом (в том числе ВИЧ-инфекцией), онкогематологическими заболеваниями; получающие иммуносупрессивную или химиотерапию; при отсутствии условий для лечения на дому или гарантий выполнения рекомендаций, а также дети раннего возраста. При развитии острого респираторного дистресс-синдрома больной помещается в отделение реанимации и интенсивной терапии.
Режим определяется состоянием больных (постельный, палатный), отдельных рекомендаций по диетическому питанию не разработано.
В качестве этиотропной терапии при легкой степени тяжести рекомендуются препараты рекомбинантного интерферона альфа-2b интраназально или ректально. При лечении инфекций SARS-CoV и MERS-CoV используют синтетический аналог нуклеозидов (рибавирин) внутривенно, внутрь, ингаляционно.
В терапии инфекции, вызванной SARS-CoV-2, возможно применение умифеновира, ингибитора протеаз (лопинавир + ритонавир), при тяжелой и крайне тяжелой (критической) степени — рекомбинантного гуманизированного моноклонального антитела к ИЛ-6 (тоцилизумаб), внутривенных иммуноглобулинов [1].
Патогенетическая и симптоматическая терапия направлена на устранение дыхательной недостаточности, улучшение микроциркуляции, стабилизацию клеточных мембран, уменьшение отека тканей.
При вязкой, трудно отделяемой мокроте показаны муколитические и отхаркивающие средства (амброксол, ацетилцистеин, карбоцистеин). При наличии синдрома бронхиальной обструкции возможно использование бронходилататоров (сальбутамол, фенотерол + ипратропия бромид) с помощью дозированных ингаляторов через спейсер.
Стероидные гормоны (метилпреднизолон) назначают для снятия воспалительных симптомов и предупреждения отека легкого коротким курсом на 3–5 дней.
При тяжелой пневмонии/ОРДС для поддержания адекватного объема циркулирующей крови и нормализации перфузии проводят инфузионную терапию сбалансированными солевыми растворами, назначают инотропные (добутамин) и вазопрессорные (адреналин) средства. Выбор метода респираторной поддержки (оксигенотерапия через маску, интубация трахеи с переводом на ИВЛ) зависит от тяжести дыхательной недостаточности у пациента. При тяжелой рефрактерной гипоксемии больным с ОРДС показано проведение экстракорпоральной мембранной оксигенации (ЭКМО).
Жаропонижающая терапия включает парацетамол, ибупрофен.
Антибиотики широкого спектра действия назначают в возрастных дозах при развитии бактериальных осложнений.
Профилактика
Неспецифическая профилактика предусматривает раннее выявление и изоляцию больных с коронавирусной инфекцией.
Мероприятия, направленные на механизм передачи инфекции, включают соблюдение правил личной гигиены (мытье рук с мылом, использование одноразовых салфеток при чихании и кашле, прикосновение к лицу только чистыми салфетками или вымытыми руками), использование средств индивидуальной защиты, проведение дезинфекционных мероприятий.
За лицами, находившимися в контакте с больным SARS-CoV, MERS-CoV, SARS-CoV-2 (члены семьи, персонал, пациенты и др.), необходимо установить 14-дневное наблюдение с ежедневной термометрией и однократным ПЦР-обследованием. При выявлении у контактных любых проявлений острого респираторного заболевания следует обратиться за медицинской помощью.
Специфическая профилактика не разработана.
About the authors
Dmitry O. Ivanov
St. Petersburg State Pediatric Medical University, Ministry of Healthcare of the Russian Federation
Author for correspondence.
Email: doivanov@yandex.ru
MD, PhD, Dr Med Sci, Professor, Rector
Russian Federation, St. PetersburgTatyana M. Chernova
St. Petersburg State Pediatric Medical University, Ministry of Healthcare of the Russian Federation
Email: t-chernova@mail.ru
MD, PhD, Associate Professor, Department of Infectious Diseases in Children named after Professor M.G. Danilevich
Russian Federation, St. PetersburgElena B. Pavlova
St. Petersburg State Pediatric Medical University, Ministry of Healthcare of the Russian Federation
Email: pavlova.elena.doc@gmail.com
MD, PhD, Associate Professor, Department of Pharmacology and Pharmacoeconomics with a course of clinical pharmacology
Russian Federation, St. PetersburgVladimir N. Timchenko
St. Petersburg State Pediatric Medical University, Ministry of Healthcare of the Russian Federation
Email: timchenko22081953@yandexl.ru
MD, PhD, Dr Med Sci, Professor, Head, Department of Infectious Diseases in Children named after Professor M.G. Danilevich
Russian Federation, St. PetersburgElena V. Barakina
St. Petersburg State Pediatric Medical University, Ministry of Healthcare of the Russian Federation
Email: elenabarakina@mail.ru
MD, PhD, Assistent Professor, Department of Infectious Diseases in Children named after Professor M.G. Danilevich
Russian Federation, St. PetersburgReferences
- Министерство здравоохранения Российской Федерации. Особенности клинических проявлений и лечения заболевания, вызванного новой коронавирусной инфекцией (COVID-19) у детей (методические рекомендации). Версия 2 (03.07.2020). [Ministry of Health of the Russian Federation. Osobennosti klinicheskikh proyavleniy i lecheniya zabolevaniya, vyzvannogo novoy koronavirusnoy infektsiey (COVID-19) u detey (metodicheskie rekomendatsii). Ver. 2 (03.07.2020). (In Russ.)]
- BBC News. Русская служба новостей. Коронавирус: «ковидные пальцы» и сыпь как симптомы Covid-19. 3 мая 2020. bbc.com [интернет]. [BBC News. Russkaya sluzhba novostey. Koronavirus: “kovidnye pal’tsy” i syp’ kak simptomy Covid-19. 3 maya 2020. bbc.com [Internet] (In Russ.)]. Доступно по: https://www.bbc.com/russian/news-52523925. Ссылка активна на 14.05.2020.
- Всемирная организация здравоохранения. Наименование заболевания, вызванного коронавирусом (COVID-19), и вирусного возбудителя. www.who.int [интернет]. [Vsemirnaya organizatsiya zdravookhraneniya. Naimenovanie zabolevaniya, vyzvannogo koronavirusom (COVID-19), i virusnogo vozbuditelya www.who.int [Internet]. (In Russ.)]. Доступно по: https://www.who.int/ru/emergencies/diseases/novel-coronavirus-2019/technical-guidance/naming-the-coronavirus-disease-(covid-2019)-and-the-virus-that-causes-it. Ссылка активна на 14.05.2020.
- Министерство Здравоохранения Российской Федерации. Профилактика, диагностика и лечение новой коронавирусной инфекции (COVID-19) (временные методические рекомендации). Версия 6 (28.04.2020). 2020. – 165 с. [Ministry of Health of the Russian Federation. Profilaktika, diagnostika i lechenie novoy koronavirusnoy infektsii (COVID-19) (vremennye metodicheskie rekomendatsii). Version 6 (28.04.2020). 2020. 165 p. (In Russ.)]
- Морозов С.П., Проценко Д.Н., Сметанина С.В., и др. Лучевая диагностика коронавирусной болезни (COVID-19): организация, методология, интерпретация результатов. Серия «Лучшие практики лучевой и инструментальной диагностики». Выпуск 65. – М.: ГБУЗ «НПКЦ ДиТ ДЗМ», 2020. – C. 60 с. [Morozov SP, Protsenko DN, Smetanina SV, et al. Luchevaya diagnostika koronavirusnoy bolezni (COVID-19): organizatsiya, metodologiya, interpretatsiya rezul’tatov. Seriya “Luchshie praktiki luchevoy i instrumental’noy diagnostiki”. Vypusk 65. Moscow: GBUZ “NPKTs DiT DZM”; 2020. 60 p. (In Russ.)]
- Никифоров В.В., Суранова Т.Г., Миронов А.Ю., Забозлаев Ф.Г. Новая коронавирусная инфекция (COVID-19): этиология, эпидемиология, клиника. Диагностика, лечение и профилактика. – М.: Академия постдипломного образования ФГБУ «ФНКЦ ФМБА России», 2020. – 48 с. [Nikiforov VV, Suranova TG, Mironov AYu, Zabozlaev FG. Novaya koronavirusnaya infektsiya (COVID-19): etiologiya, epidemiologiya, klinika. Diagnostika, lechenie i profilaktika. Moscow: Akademiya postdiplomnogo obrazovaniya FGBU “FNKTs FMBA Rossii”; 2020. 48 p. (In Russ.)]
- Тимченко В.Н., Суховецкая В.Ф., Чернова Т.М., и др. Роль ранней этиологической расшифровки острых респираторных вирусных инфекций в выборе противовирусной терапии у детей в условиях стационара // Педиатрия им. Г.Н. Сперанского. – 2020. – Т. 99. – № 1. – С. 101–106. [Timchenko VN, Sukhovetskaya VF, Chernova TM, et al. The role of early etiological decoding of acute respiratory viral infections in antiviral therapy choice for children in a hospital setting. Pediatriia. 2020;99(1): 100-106. (In Russ.)]. https://doi.org/10.24110/0031-403x-2020-99-1-100-106.
- Carod-Artal FJ. Neurological complications of coronavirus and COVID-19. Rev Neurol. 2020;70(9):311-322. https://doi.org/10.33588/rn.7009.2020179.
- Clarke SK, Caul EO, Egglestone SI. The human enteric coronaviruses. Postgrad Med J. 1979;55(640):135-142. https://doi.org/10.1136/pgmj.55.640.135.
- Heimdal I, Moe N, Krokstad S, et al. Human Coronavirus in Hospitalized Children With Respiratory Tract Infections: A 9-Year Population-Based Study From Norway. J Infect Dis. 2019;219(8):1198-1206. https://doi.org/10.1093/infdis/jiy646.
- Hui DS, Azhar EI, Kim Y-J, et al. Middle East respiratory syndrome coronavirus: risk factors and determinants of primary, household, and nosocomial transmission. Lancet Infect Dis. 2018;18(8):e217-e227. https://doi.org/10.1016/s1473-3099(18)30127-0.
- Ann Yeh E, Collins A, Cohen ME, et al. Detection of Coronavirus in the Central Nervous System of a Child With Acute Disseminated Encephalomyelitis. Pediatrics. 2003;113(1):e73-e76. https://doi.org/10.1542/peds.113.1.e73.
- Lau SK, Woo PC, Yip CC, et al. Coronavirus HKU1 and other coronavirus infections in Hong Kong. J Clin Microbiol. 2006;44(6):2063-2071. https://doi.org/10.1128/JCM.02614-05.
- Monto AS, DeJonge PM, Callear AP, et al. Coronavirus Occurrence and Transmission Over 8 Years in the HIVE Cohort of Households in Michigan. J Infect Dis. 2020;222(1):9-16. https://doi.org/10.1093/infdis/jiaa161.
- Paloniemi M, Lappalainen S, Vesikari T. Commonly circulating human coronaviruses do not have a significant role in the etiology of gastrointestinal infections in hospitalized children. J Clin Virol. 2015;62:114-117. https://doi.org/10.1016/j.jcv.2014.10.017.
- Peiris JSM, Lai ST, Poon LLM, et al. Coronavirus as a possible cause of severe acute respiratory syndrome. Lancet. 2003;361(9366):1319-1325. https://doi.org/10.1016/s0140-6736(03)13077-2.
- Pene F, Merlat A, Vabret A, et al. Coronavirus 229E-related pneumonia in immunocompromised patients. Clin Infect Dis. 2003;37(7):929-932. https://doi.org/10.1086/377612.
- Risku M, Lappalainen S, Rasanen S, Vesikari T. Detection of human coronaviruses in children with acute gastroenteritis. J Clin Virol. 2010;48(1):27-30. https://doi.org/10.1016/j.jcv.2010.02.013.
- Stewart JN, Mounir S, Talbot PJ. Human coronavirus gene expression in the brains of multiple sclerosis patients. Virology. 1992;191(1):502-505. https://doi.org/10.1016/0042-6822(92)90220-j.
- Lu J, Cui J, Qian Z, et al. On the origin and continuing evolution of SARS-CoV-2. Natl Sci Rev. 2020;7(6): 1012-1023. https://doi.org/10.1093/nsr/nwaa036.
- The Economist/Briefing. Understanding SARS-CoV-2 and the drugs that might lessen its power. Mar 12th 2020. economist.com [Internet]. [cited 2020 Jul 6]. Available from: https://www.economist.com/briefing/2020/03/12/understanding-sars-cov-2-and-the-drugs-that-might-lessen-its-power.
- Tyrrell DA, Bynoe ML. Cultivation of a Novel Type of Common-Cold Virus in Organ Cultures. Br Med J. 1965;1(5448):1467-1470. https://doi.org/10.1136/bmj.1.5448.1467.
- Woo PC, Lau SK, Tsoi HW, et al. Clinical and molecular epidemiological features of coronavirus HKU1-associated community-acquired pneumonia. J Infect Dis. 2005;192(11):1898-1907. https://doi.org/10.1086/497151.
- Zaki AM, van Boheemen S, Bestebroer TM, et al. Isolation of a novel coronavirus from a man with pneumonia in Saudi Arabia. N Engl J Med. 2012;367(19):1814-1820. https://doi.org/10.1056/NEJMoa1211721.
- Zhu N, Zhang D, Wang W, et al. A Novel Coronavirus from Patients with Pneumonia in China, 2019. N Engl J Med. 2020;382(8):727-733. https://doi.org/10.1056/NEJMoa2001017.
Supplementary files





