Modeling non-alcoholic fatty liver disease of different severity
- Authors: Brus T.V.1, Vasiliev A.G.1, Vasilieva A.V.1, Pyurveev S.S.1,2, Korablev R.V.1, Bannova A.V.3, Mogileva I.I.1, Daineko M.Y.1, Evgrafov V.A.1, Nudelman N.A.1, Galfanovich I.L.1, Tyumina L.M.1
-
Affiliations:
- Saint Petersburg State Pediatric Medical University
- Institute of Experimental Medicine
- V.I. Vernadsky Crimean Federal University
- Issue: Vol 16, No 1 (2025)
- Pages: 69-78
- Section: Original studies
- URL: https://ogarev-online.ru/pediatr/article/view/312847
- DOI: https://doi.org/10.17816/PED16169-78
- EDN: https://elibrary.ru/TWKNQG
- ID: 312847
Cite item
Full Text
Abstract
BACKGROUND: One of the priority areas of modern medicine, which unites the interests of various specialists (therapists, cardiologists, gastroenterologists, endocrinologists), is the study of the pathogenesis and clinical manifestations of non-alcoholic fatty liver disease, which is widespread and of unconditional social significance. A search for non-alcoholic fatty liver disease adequate experimental model is of utmost importance for the studies of its etiology and pathogenesis. To understand all pathogenetic peculiarities of this pathology elaboration of hypercaloric hepatopathogenic diet rich in carbohydrates model is of utmost interest.
AIM: The aim of the study was to assess biochemical profile changes including antioxidant system significant markers in rat fructose-induced non-alcoholic fatty liver disease model.
MATERIALS AND METHODS: Two non-alcoholic fatty liver disease model versions were used: a light one — non-alcoholic steatosis and a severe variant — non-alcoholic steatohepatitis.
RESULTS: Both were characteristic of bilirubinemia, cholesterolemia, lipid peroxidation activation and antioxidation mechanisms suppression, cytolitic and cholestatic syndromes.
CONCLUSIONS: The extent of metabolic disorders proved to depend on non-alcoholic fatty liver disease model severity.
Full Text
INTRODUCTION
Non-alcoholic fatty liver disease (NAFLD) is a clinical and laboratory syndrome characteristic of profound lipid metabolism disorders, morphologically apparent by storage of lipids within hepatocytes [1]. Nowadays NAFLD besides being a prevailing hepatic pathology in the world is also a component of metabolic syndrome [2–4]. Contemporary classification of NAFLD includes three stages: non-alcoholic steatosis (NAS), non-alcoholic steatohepatitis (NASH), and cirrhosis. Excessive lipid accumulation within hepatocytes occurs due to decreased free fatty acids (FFA) oxidation in mitochondria as well as increased delivery of FFA into the liver. Progressive buildup of FFA causes direct damage of cell membranes, lipid peroxidation (LP) activation, oxidative stress, chronic inflammation (NASH), collagenogenesis and progressive fibrosis.
Recently screening studies in Russia have yielded 27% of people with NAFLD; 80% of these patients had NAS, 17% — NASH and in 3% cirrhosis was revealed [5]. Up to 80% of all cirrhosis cases in Russia are directly caused by NAFLD [6]. Manifestations of NAFLD and metabolic syndrome are found in 30% of all therapeutic patients in Russia [7]. Increased NAFLD rates directly correlate with elevated cardiovascular and endocrine pathology [8–10]. NAFLD rates constantly grow due to current tendencies in diet and sedentary lifestyle [11].
Lack of effective methods of NAFLD treatment and prophylaxis results from inadequate understanding of its etiology and pathogenesis. Although liver biopsy can produce evidence of NAFLD progress it’s impossible to use it in all patients [12]. Hence the test-systems reproducing various components of NAFLD pathogenesis in in vivo experiment model should focus at profound studies of laboratory blood parameters.
Aim — to study biochemical blood parameters and the antioxidant system changes in two most popular fructose-induced NAFLD model in rats.
MATERIALS AND METHODS
Prior to the experiment, the study plan, standardized operating procedures and accompanying documentation were subjected for ethical review and subsequently approved by the Local Ethical Committee of the Ministry of Health of Russian Federation.
The study involved 100 male albino rats with body mass 220–240 g divided into 3 groups:
- Controls (n=12), intact healthy animals tested for reference blood parameters. They were fed with standard food rations and had free access to drinking water;
- “Liver steatosis” (n=44), rats that were fed with standard rations identical to those of the controls but received 10% fructose solution instead of drinking water.
- “Steatohepatitis” (n=44), rats that throughout the entire study were fed with food briquettes consisting of 21% protein, 5% animal fat, 60% fructose, 8% cellulose, 5% minerals and 1% vitamins. This routine was shown in our previous morphologic studies to cause in 3–4 weeks severe hepatic fibrosis [13].
Blood samples (6 ml) were collected into vacutainers through a transcutaneous heart puncture the animals being subsequently euthanized. Samples from control animals were taken on the first day of the experiment and from the rats of “Liver steatosis” and “Steatohepatitis” groups — on the 21st, 28th and 37th day of the experiment.
Blood biochemical studies were performed by conventional methods and included glucose concentration (Glu), total plasma proteins (TProtein), total bilirubin (TB) and direct bilirubin (DB), alanine aminotransferase (ALT), aspartate aminotransferase (AST), lactate dehydrogenase (LDG), base phosphatase (BP), homocysteine (HC), total cholesterol (TC), triacylglycerides (TAG) levels. LP intensity and the state of antioxidant system was evaluated by blood catalase, superoxide dismutase (SOD) and malonic aldehyde (MDA) levels.
Histological examination was carried out by light microscopy, hematoxylin-eosin staining, magnification 20×. A different degree of severity of morphological changes in the experimental groups was revealed. All experimental groups share signs of fatty degeneration of hepatocytes.
All the results were statistically processed with the help of SPSS for Windows 13.0 package. All the resulting data are presented as mean ± mean error (М±SЕ). Cholmogorov–Smirnov criterion was used to determine the character of data distribution. Student t-criterion was used to compare the mean values of independent samples in case of normal distribution and Mann–Whitney U-criterion — in case of distribution different from normal. Dispersion ANOVA analysis was used to compare mean values of dependent samples (in case of normal distribution); р <0.05 (95% or higher probability) was considered to be valid difference level which is standard for biomedical experiments.
RESULTS AND DISCUSSION
The lethality rate can be used as an integral parameter for the assessment of pathologic process severity and the intensity of the studied models. The high-carb diet (60% of fructose by mass) saturated with lipids caused fast development of pathologic processes in cardiovascular system yielding 32% lethality rate by the end of the experiment (37th day). The exact cause of death (acute cardiovascular insufficiency) with minimum changes of internal organs was substantiated only in two out of 14 deceased animals from “Steatohepatitis” group. “Drinking” model of NAFLD causes slower moderate changes of liver functioning (NAS). Therefore, two deaths in this group must rather be due to individual peculiarities than directly associated with hepatic lesion.
The assessment of biochemical blood parameters of experimental animals characterizing the state of the liver also confirms the validity of fructose-induced NAFLD model. Considerable discrepancy in the dynamics of these parameters between groups with different severity of the process was revealed. Hepatic functions in “Steatohepatitis” group were much deeper impaired than in “Liver Steatosis” one: pigment and lipid metabolism disorders as well as cytolytic and cholestatic syndrome and hyperhomocysteinemia in the former group were much more severe than in the latter.
Starting from day 21st the animals from “Steatohepatitis” group displayed total bilirubin blood plasma concentration increase due to direct bilirubin fraction that demonstrated a valid constant increment during the entire experiment (p <0.01). This increment to appears to reflect a progressive hepatic dysfunction alongside steatohepatitis development. The absence of statistically valid parallel increase of total bilirubin blood concentration during the entire experiment in comparison to control group (p=0.363) confirms this thesis.
Liver steatosis unlike steatohepatitis had caused moderate impairment of pigment metabolism with slow but reliable total bilirubin blood concentration increase (p=0.045) without substantial fluctuations of direct bilirubin concentration testifying to mild hepatocytes dysfunction development.
BP blood levels in “Steatohepatitis” group demonstrated a reliable moderate increase in comparison with the control group (p <0,001) which is a cholestatic syndrome biochemical marker. Glucose levels in “Steatohepatitis” group grew slowly during the experiment and demonstrated a valid difference with control (p=0.015), while Glu levels in “Liver Steatosis” group did not differ statistically from those in the control group. (Fig. 1). Homocysteine blood concentration increase, an important hepatic and endothelial dysfunction marker was statistically valid in “Steatohepatitis” group (p=0.001) but not in “Liver steatosis” one.
Fig. 1. Total cholesterol (TC), triacylglycerides (TAG), glucose (Glu) and homocysteine (HC) level changes (mmol/L) in rats with liver steatosis and steatohepatitis.
Рис. 1. Динамика уровней общего холестерина (ОХ), триглицеридов (ТГ), глюкозы и гомоцистеина (Hcy) у крыс с неалкогольным стеатозом и стеатогепатитом (ммоль/л)
Fatty liver dystrophy in both experimental models assessed in the present study is based on profound metabolic disorder with hypercholesterolemia and hypertriglyceridemia. (Fig. 2) Total cholesterol blood concentration in “Steatohepatitis” group increased considerably in comparison to control from the very beginning of the experiment (p <0.001) with a parallel even more substantial rise of TAG blood levels (p<0.001); TAG/TC ratio increasing from 0.53 on day 21 up to 9.79 on the 37th day (TAG/TC ratio in control group was 0.52).
Fig. 2. Alanine aminotransferase (ALT), aspartate aminotransferase (AST) and lactate dehydrogenase (LDG) level changes (IU/l) in rats with liver steatosis and steatohepatitis.
Рис. 2. Динамика уровней аланинаминотрансферазы (АЛТ), аспартатаминотрансферазы (АСТ) и лактатдегидрогеназы (ЛДГ) у крыс с неалкогольным стеатозом и стеатогепатитом (МЕ/л)
The rats in “Liver steatosis” group also demonstrated an increase of TС and TAG blood levels. (Fig. 2) However, the increase was slower and not as high as in “Steatohepatitis” group (TC: p=0,003; TAG: p=0.002). TAG/TC ratio in this group changed from 0.46 on day 21 to 0.67 on the 37th day of the experiment.
The analysis of data on the activity of cellular enzymes characterizing cytolytic liver impairment in blood of animals with steatohepatitis (ALT and AST) had revealed a synchronous reliable increase reaching a statistically valid level of difference in comparison to the control group from the very beginning of the experiment (ALT: p <0.01; AST: p <0.01), with a continuous increment during the entire experiment. (Fig. 2)
Hepatic transaminases activity in “Liver steatosis” group demonstrated a slow increase. It was only on the 37th day that they have reached statistically valid difference from the control group (ALT: p=0.001; AST: p=0.002). Cytolytic syndrome intensity in case of steatosis was much lower which was confirmed by a lower ALT and AST level in the animals of this group in comparison with “Steatohepatitis” group (AST level lower by 8,5 IU/l (p=0.011), ALT level — 13,4 IU/l (p=0.004)). (Fig. 1) This fact confirms validity of two chosen NAFLD models of varying severity.
LDG blood levels in “Steatohepatitis” group demonstrated a reliable moderate increase (p <0.001). LDG blood levels in “Liver steatosis” group did not substantially differ from those of the control animals. Comparison of mean LDG blood levels in “Steatohepatitis” and “Liver steatosis” groups revealed that LDG values in rats with liver steatosis were reliably lower by 13.4 IU/l than in the animals with steatohepatitis (p=0.026).
Serious metabolic disorders accompanying the development of NAFLD in experimental animals were reflected by biochemical blood plasma changes causing lipid peroxidation and considerable antioxidant system depression. These disorders were represented by a progressive increase of MDA blood concentration in both NAS and NASH models with a parallel decrease of basic antioxidant system enzymes activity (catalase, SOD). (Table 1)
Table 1. Antioxidant system enzymes activity and peroxidation intensity in rats with two NAFLD models (M±SE)
Таблица 1. Антиоксидантная система и активность перекисного окисления липидов у крыс при моделировании НАЖБП различной степени тяжести (М±SE)
Groups | Day of the experiment | n | Biochemical parameters | ||
SOD, IU/ml | Catalase, mmol/L | MDA, mmol/L | |||
Control | 0 | 12 | 6,8±0,10 | 0,18±0,01 | 10,3±0,14 |
“Steatohepatitis” | 21 | 12 | 5,9±0,191 | 0,15±0,01 | 16,6±1,441 |
28 | 10 | 5,7±0,151 | 0,11±0,011 | 23,1±2,081 | |
37 | 12 | 4,9±0,231 | 0,09±0,011 | 31,8±3,631 | |
“Liver steatosis” | 21 | 15 | 6,2±0,26 | 0,15±0,01 | 14,5±0,74 |
28 | 15 | 5,9±0,071 | 0,15±0,01 | 17,9±0,901 | |
37 | 16 | 5,5±0,101 | 0,13±0,011 | 19,9±0,281,2 | |
Note. *Difference from control is valid (p <0.05); **difference from “Steatohepatitis” is valid (p <0.05). Примечание. Разница с контролем достоверна (p <0,05); **разница со «стеатогепатитом» достоверна (p <0,05). | |||||
MDA blood concentration in “Steatohepatitis” group grew quickly and reliably (p<0,001) from the very beginning of the experiment reflecting increased lipid peroxidation (table 1). The intensity of LP in the rats from “Liver steatosis” group was way lower than in the animals with NASH: MDA blood concentrations in rats with NAS grew slowly but by the end of the study (day 37) MDA mean value statistically higher by 9,6 mmol/l than in the control group (p=0.001) although lower by 11,9 mmol/l than in rats with NASH (p=0.001).
Parallel to lipid peroxidation activation in both experimental groups basic antioxidant system enzymes (SOD and catalase) considerably decreased their activity. SOD blood activity in “Steatohepatitis” group demonstrated a precipitous drop (p <0.001) with a synchronous decrease of blood catalase concentration from the very beginning of the experiment (p=0.001).
The same enzymes’ blood activity in “Liver steatosis” group decreased slower (SOD: at 28th day (p=0.002); catalase: at day 37th (p=0.009)) and not as substantial.
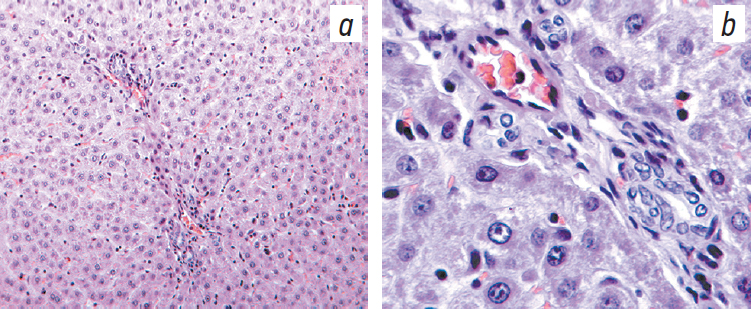
In the experimental group “Liver steatosis”, large droplet fatty degeneration is observed, which is characterized by the presence of large lipid droplets in the cytoplasm of hepatocytes with a displacement of the nucleus to the cell periphery. (Fig. 3)
Fig. 3. Histological changes in “Liver steatosis”: a, hematoxylin-eosin 10×; b, hematoxylin-eosin 40×.
Рис. 3. Гистологические изменения в группе «Стеатоз», окраска гематоксилином и эозином: а — ×10; b — ×40.
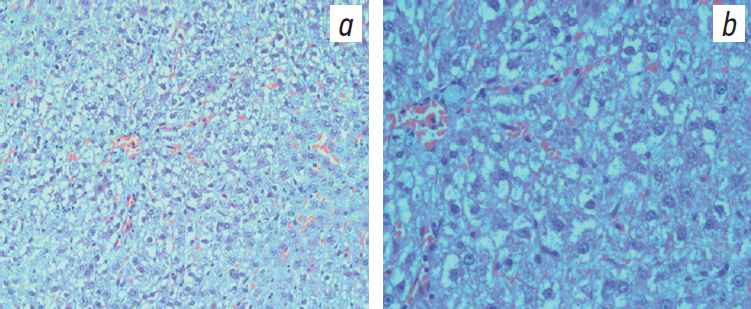
Signs of liver tissue degeneration are most pronounced in the “Steatohepatitis”. (Fig. 4) Signs of balloon dystrophy, apoptosis of hepatocytes are noticeable in comparison with the control (Fig. 5) and the “Liver steatosis” group. Small droplet fatty degeneration was revealed: there are a lot of small lipid droplets in hepatocytes, the nucleus is located in the center of the cell. Hepatocytes are also found in a state of balloon dystrophy. Focal centrilobular necrosis often develops with small droplet steatosis. Hyaline bodies of Mallory are detected with different frequency. The inflammatory infiltrate inside the lobules contains neutrophils, lymphocytes, and histiocytes.
Fig. 4. Histological changes in “Steatohepatitis”: a, hematoxylin-eosin, 10×; b, hematoxylin-eosin, 40×.
Рис. 4. Гистологические изменения в группе «Стеатогепатит», окраска гематоксилином и эозином: а — ×10; b — ×40.
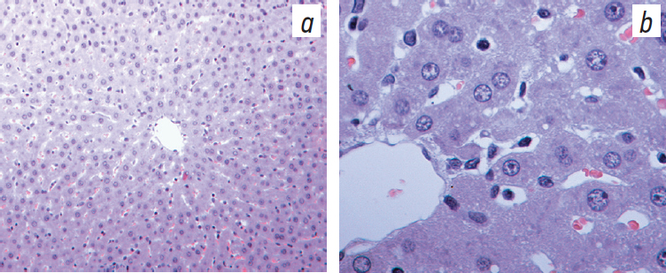
Fig. 5. Histological changes in Control group: a, hematoxylin-eosin, 10×; b, hematoxylin-eosin, 40×.
Рис. 5. Гистологические изменения в группе «Контроль», окраска гематоксилином и эозином: а — ×10; b — ×40.
The used models of steatosis and steatohepatitis were characterized by the development of fatty liver in experimental animals, bilirubinemia, cholesterolemia, activation lipid peroxidation and suppression of antioxidant mechanisms, cytolytic and cholestatic syndromes. The severity of metabolic disorders depended on the severity of the disease being modeled.
The applied high-carbohydrate (60% fructose of the total feed mass — the “Steatohepatitis” group) and lipid-rich diet leads to the rapid formation of pathological processes (5 weeks) compared to other models used [14–16]. However, there is a formation of serious pathological conditions of the cardiovascular system and liver of rats, which is confirmed by 30% lethality of animals at the time of completion of the study (day 37). No mortality has been reported in studies by other authors [17–19].
Analysis of the activity of markers of the cytolytic syndrome in the blood of experimental animals (ALT and AST) revealed the fact of a simultaneous, moderate increase in their activity, which was significantly pronounced in groups with steatohepatitis (by 34.3% and 27.3%, respectively). In studies by other authors, high levels of ALT and AST in the experimental groups were similar to our data [20–23].
It is believed that the pathogenesis of NAFLD is based on a severe imbalance of lipid metabolism with the formation of hypercholesterolemia and hypertriglyceridemia [24, 25]. In our studies, on the 37th day of observation, the level of TG in the Steatohepatitis group became 300% higher than in the Control group. This is somewhat higher than in the experiment by Ackerman Z. [17]: on the 35th day of observations, the indicator increased by 223%. The TC level increased by 167% by the end of the experiment, while in the studies of the same author this indicator increased by 89% [17].
Metabolic disorders of the animal body accompanying the development of NAFLD in our studies lead to a decrease in the activity of the antioxidant system of the body and activation of LPO [26]. This is reflected in a progressive increase in the level of MDA in the blood of rats in both models of NAFLD and a decrease in the content of the main antioxidant enzymes (catalase, SOD), which is comparable with the results of studies by other authors [27]. Pereira et al. and Mendez et al. a significant decrease in the level of antioxidant enzymes SOD and catalase was also observed against the background of NAFLD [28].
CONCLUSIONS
Both of the studied NAFLD models caused disorders of hepatobiliary, endocrine and cardiovascular systems. The intensity of these disorders proved to depend on the severity of the model utilized and was maximum in case of the toughest one (60% of fructose in diet — “Steatohepatitis”) and less grave in case of a lighter model (10% fructose solution instead of drinking water — “Liver steatosis”).
High enough lethality rates in both NAFLD models confirm adequate severity of both as well as direct correlation of dysmetabolic changes and compensatory mechanisms’ disorders.
Hepatic functions proved to be impaired in rat steatohepatitis model to a much greater extent than in case of liver steatosis; this difference was manifested in more serious symptoms of pigment and lipid metabolism disorders, cytolytic and cholestatic syndromes, substantial lipid peroxidation activation and antioxidant system depression.
The results of the study confirm the validity of choice of NAFLD models varying in severity. The data yielded by these experiments can be adequately extrapolated on human pathology for they reflect all components of NAFLD (hypercholesterolemia, insulin-resistance, metabolic syndrome).
The present study also demonstrates appropriateness of NAFLD biochemical markers (ALT, AST, TProtein, TAG, MDA, SOD) for determination of the disease severity (NAS or NASH) and timely diagnostics and treatment of metabolic disorders.
ADDITIONAL INFO
Authors’ contributions. All the authors made a significant contribution to the development of the concept, research and preparation of the article, read and approved the final version before publication.
Funding source. This study was not supported by any external sources of funding.
Competing interests. The authors declare that they have no competing interests.
Ethics approval. The present study protocol was approved by the local Ethics Committee of the Saint Petersburg State Pediatric Medical University (No. 09/04 dated 2022 Feb 11).
ДОПОЛНИТЕЛЬНАЯ ИНФОРМАЦИЯ
Вклад авторов. Все авторы внесли существенный вклад в разработку концепции, проведение исследования и подготовку статьи, прочли и одобрили финальную версию перед публикацией.
Источник финансирования. Авторы заявляют об отсутствии внешнего финансирования при проведении исследования.
Конфликт интересов. Авторы декларируют отсутствие явных и потенциальных конфликтов интересов, связанных с публикацией настоящей статьи.
Этический комитет. Протокол исследования был одобрен локальным этическим комитетом ФГБОУ ВО «Санкт-Петербургский государственный педиатрический медицинский университет» (№ 09/04 от 11.02.2022).
About the authors
Tatiana V. Brus
Saint Petersburg State Pediatric Medical University
Author for correspondence.
Email: bant.90@mail.ru
ORCID iD: 0000-0001-7468-8563
SPIN-code: 9597-4953
MD, PhD, Associate Professor, Department of Pathological Physiology with a Course of Immunopathology
Russian Federation, Saint PetersburgAndrei G. Vasiliev
Saint Petersburg State Pediatric Medical University
Email: avas7@mail.ru
ORCID iD: 0000-0002-8539-7128
MD, PhD, Dr. Sci. (Medicine), Professor, Head of the Department of Pathological Physiology with a Course in Immunology
Russian Federation, Saint PetersburgAnna V. Vasilieva
Saint Petersburg State Pediatric Medical University
Email: anvalvasileva@yandex.ru
SPIN-code: 5333-0144
Assistant Professor, Department of Pathological Physiology with a Course of Immunopathology
Russian Federation, Saint PetersburgSarng S. Pyurveev
Saint Petersburg State Pediatric Medical University; Institute of Experimental Medicine
Email: dr.purveev@gmail.com
ORCID iD: 0000-0002-4467-2269
SPIN-code: 5915-9767
MD, PhD, Assistant Professor, Department of Pathological Physiology with the Course of Immunopathology, Saint Petersburg State Pediatric Medical University, Ministry of Health of the Russian Federation; Research Associate, Department of Neuropharmacology, Institute of Experimental Medicine
Russian Federation, Saint Petersburg; Saint PetersburgRodion V. Korablev
Saint Petersburg State Pediatric Medical University
Email: rodion.korablev@gmail.com
SPIN-code: 4969-6038
MD, PhD, Associate Professor, Department of Pathological Physiology with a Course of Immunopathology
Russian Federation, Saint PetersburgAnastasiya V. Bannova
V.I. Vernadsky Crimean Federal University
Email: bannova06@list.ru
ORCID iD: 0009-0007-6867-9477
SPIN-code: 2034-8324
2nd year student of 1st medical faculty, S.I. Georgievsky Order of the Red Banner of Labor Medical Institute
Russian Federation, SimferopolIrina I. Mogileva
Saint Petersburg State Pediatric Medical University
Email: flan43@mail.ru
Associate Professor, Head of the Department of Foreign Languages with courses in Russian and Latin
Russian Federation, Saint PetersburgMariya Yu. Daineko
Saint Petersburg State Pediatric Medical University
Email: aspirantura@gpmu.org
SPIN-code: 4188-3230
PhD, Associate Professor, Head of the Department of Foreign Languages with courses in Russian and Latin
Russian Federation, Saint PetersburgVladimir A. Evgrafov
Saint Petersburg State Pediatric Medical University
Email: psh_k@mail.ru
MD, PhD, Associate Professor, Department of Anesthesiology, Resuscitation and Emergency Pediatrics named after Professor V.I. Gordeev
Russian Federation, Saint PetersburgNatalia A. Nudelman
Saint Petersburg State Pediatric Medical University
Email: bant.90@mail.ru
SPIN-code: 5386-8740
Senior Lecturer, Department of Foreign Languages with courses in Russian and Latin
Russian Federation, Saint PetersburgIren L. Galfanovich
Saint Petersburg State Pediatric Medical University
Email: bant.90@mail.ru
Senior Lecturer, Department of Foreign Languages with courses in Russian and Latin
Russian Federation, Saint PetersburgLyudmila M. Tyumina
Saint Petersburg State Pediatric Medical University
Email: bant.90@mail.ru
SPIN-code: 8706-0338
Senior Lecturer, Department of Foreign Languages with courses in Russian and Latin
Russian Federation, Saint PetersburgReferences
- Yoneda M, Imajo K, Takahashi H, et al. Rodent models of nonalcoholic fatty liver disease (non-alcoholic steatohepatiti). Int J Mol Sci. 2013;14(11):21833–21857. doi: 10.3390/ijms141121833
- Chercashina EA, Petrenco LV, Evstigneeva AYu. Non-alcoholic fatty liver disease: pathogenesis, diagnostics, treatment. Ulyanovsk Medical and Biological Journal. 2014;(1):35–46. EDN: QKICIT
- Brus TV, Vasiliev AG, Trashkov AP. The main biochemical markers of non-alcoholic fatty liver disease of various severity (experimental study). Pathological physiology and experimental therapy. 2022;66(1):44–51 (In Russ.) doi: 10.25557/0031-2991.2022.01.44-51 EDN: OOMRKU
- Brus TV, Kalinina AA, Bannova AA, et al. Influence of non-alcoholic fatty liver disease on reproductive function in an experiment. Pediatrician (St. Petersburg). 2024;15(1):37–44. doi: 10.17816/PED15137-44 EDN: HXADVS
- Mitra S, De A, Chowdhury A. Epidemiology of non-alcoholic fatty liver diseases. Transl Gastroenterol Hepatol. 2020;5:161–166. doi: 10.21037/tgh.2019.09.08
- Drapkina OM, Gatsolayeva DS, Ivashkin VT. Nonalcoholic fatty liver disease as a component of metabolic syndrome. Russian medical news. 2010;15(2):72–78. EDN: MLHZDB
- Brunt EM, Wong VW, Nobili V, et al. Non-alcoholic fatty liver disease. Nat Rev Dis Primers. 2015;1:15080. doi: 10.1038/nrdp.2015.80
- Rinella ME. Non-alcoholic fatty liver disease: a systematic review. JAMA. 2015;313(22):2263–2273. doi: 10.1001/jama.2015.5370
- Sayiner M, Koenig A, Henry L, Younossi ZM. Epidemiology of non-alcoholic fatty liver disease and non-alcoholic steatohepatitis in the United States and the rest of the world. Clin Liver Dis. 2016;20(2):205–214. doi: 10.1016/j.cld.2015.10.001
- Mareev VYu, Fomin IV, Ageev FT, et al. Chronic heart failure (CHF). Journal of Heart Failure. 2017;18(1):3–40. doi: 10.18087/rhfj.2017.1.2346. EDN: YHVIOF
- Schwarz JM, Noworolski SM, Wen MJ, et al. Effect of a high-fructose weight-maintaining diet on lipogenesis and liver fat. J Clin Endocrinol Metabol. 2015;100(6):2434–2442. doi: 10.1210/jc.2014-3678
- Komshilova KA, Troshina EA. Obesity and non-alcoholic fatty liver disease: metabolic risks and their correction. Obesity and metabolism. 2015;12(2):35–39. doi: 10.14341/omet2015234-38 EDN: UHHUWX
- Trashkov AP, Brus TV, Vasiliev AG, et al. Red blood indicators’ dynamics in rats with non-alcoholic fatty liver disease and possibilities of its correction. Clinical Pathophysiology. 2017;23(3):66–72. EDN: YPKUDT
- Нaddad Y, Vallerand D, Brault A, Haddad PS. Antioxidant and hepatoprotective effects of silibinin in a rat model of non-alcoholic steatohepatitis. Evid Based Complement Alternat Med. 2011;2011:nep164. doi: 10.1093/ecam/nep164
- Lieber CS, Leo MA, Mak KM, et al. Model of non-alcoholic steatohepatitis. Am J Clin Nutrit. 2004;79(3):502–509. doi: 10.1093/ajcn/79.3.502
- Younossi ZM. Non-alcoholic fatty liver disease — a global public health perspective. J Hepatol. 2019;70(3):531–544. doi: 10.1016/j.jhep.2018.10.033
- Ackerman Z, Oron-Herman M, Grozovski M, et al. Fructose-induced fatty liver disease hepatic effects of blood pressure and plasma triglyceride reduction. Hypertension. 2005;45(5):1012–1018. doi: 10.1161/01.HYP.0000164570.20420.67
- Flessa CM, Nasiri-Ansari N, Kyrou I, et al. Genetic and Diet-Induced Animal Models for Non-Alcoholic Fatty Liver Disease (NAFLD). Research. International Journal of Molecular Sciences. 2022;23(24):15791. doi: 10.3390/ijms232415791
- Winkler TW, Gunther F, Hollerer S, et al. A joint view on genetic variants for adiposity differentiates subtypes with distinct metabolic implications. Nat Commun. 2018;9(1):1946. doi: 10.1038/s41467-018-04124-9
- Asgharpour A, Cazanave SC, Pacana T, et al A diet-induced animal model of non-alcoholic fatty liver disease and hepatocellular cancer. J Hepatol. 2016;65(3):579–588. doi: 10.1016/j.jhep.2016.05.005
- Baumgardner J, Shankar K, Hennings L, et al. A new model for non-alcoholic steatohepatitis in the rat utilizing total enteral nutrition to overfeed a high-polyunsaturated fat diet. Am J Physiol Gastrointest Liver Physiol. 2008;294(1):27–38. doi: 10.1152/ajpgi.00296.2007
- Dela Peña A, Leclercq I, Field J, et al. NF-kappaB activation, rather than TNF, mediates hepatic inflammation in a murine dietary model of steatohepatitis. Gastroenterology. 2005;129(5):1663–1674. doi: 10.1053/j.gastro.2005.09.004
- Fan J-G, Qiao L. Commonly used animal models of non-alcoholic steatohepatitis. Hepatobiliary Pancreat Dis Int. 2009;8(3):233–240.
- Anstee QM, Goldin RD. Mouse models in non-alcoholic fatty liver disease and steatohepatitis research. Int J Exp Pathol. 2006;87(1):1–16. doi: 10.1111/j.0959-9673.2006.00465.x
- Larter C, Yeh M. Animal models of non-alcoholic steatohepatitis: getting both pathology and metabolic context right. J Gastroenterol Hepatol. 2008;23(11):1635–1648. doi: 10.1111/j.1440-1746.2008.05543.x
- Wang Y, Ausman L, Greenberg A, et al. Non-alcoholic steatohepatitis induced by a high-fat diet promotes diethylnitrosamine-initiated early hepatocarcinogenesis in rats. Int J Cancer. 2009;124(3):540–546. doi: 10.1002/ijc.23995
- Gao D, Wei C, Chen L, et al. Oxidative deoxyribonucleic acid. damage and deoxyribonucleic acid repair enzyme expression are inversely related in murine models of fatty liver disease. Am J Physiol Gastrointest Liver Physiol. 2004;287(5):1070–1077. doi: 10.1152/ajpgi.00228.2004
- Da Silva Pereira EN, Silvares RR, Ilaquita Flores EE, et al. Hepatic microvascular dysfunction and increased advanced glycation end products are components of non-alcoholic fatty liver disease. PLOS One. 2017;6(12):0179654. doi: 10.1371/journal.pone.0179654
Supplementary files





