Эндобронхиальное введение сурфактанта у доношенного новорожденного с респираторным дистресс-синдромом (клинический случай)
- Авторы: Иванов Д.О.1, Кирьяков К.С.1, Пшениснов К.В.1, Тесаева И.А.2, Насипова М.У.2, Сизаева Е.А.3, Габисов А.Т.1
-
Учреждения:
- Санкт-Петербургский государственный педиатрический медицинский университет
- Республиканский перинатальный центр Чеченской Республики
- Детская городская больница № 17 Святителя Николая Чудотворца
- Выпуск: Том 13, № 6 (2022)
- Страницы: 107-115
- Раздел: Клинический случай
- URL: https://ogarev-online.ru/pediatr/article/view/133046
- DOI: https://doi.org/10.17816/PED136107-115
- ID: 133046
Цитировать
Аннотация
Респираторный дистресс-синдром новорожденных — основная причина острой дыхательной недостаточности в неонатальном периоде. Несмотря на достигнутые успехи и существующие международные рекомендации, в ряде случаев имеет место тяжелое течение данного заболевания, что требует персонифицированного подхода к пациенту и мероприятиям интенсивной терапии.
В статье представлен случай успешного лечения острого респираторного дистресс-синдрома у доношенного новорожденного, осложнившегося баротравмой легких, с применением монобронхиального введения экзогенного сурфактанта под рентгенологическим контролем. С целью оценки течения заболевания и эффективности лечения проведен ретроспективный анализ медицинской документации. С первых минут жизни у ребенка отмечались дыхательные расстройства, что стало основанием для проведения неинвазивной искусственной вентиляции легких. В динамике выявлено прогрессирование гиперкапнии и гипоксемии, в связи с чем была выполнена интубация трахеи и начата конвекциональная искусственная вентиляция легких с FiO2 = 1,0. Ключевой элемент терапии, позволивший достичь стабилизации состояния и регрессирования нарушений газообмена с полным выздоровлением пациента, — монобронхиальное введение экзогенного сурфактанта.
Монобронхиальное введение сурфактанта при остром респираторном дистресс-синдроме с гетерогенным поражением легких является эффективным вариантом лечения и может использоваться в клинической практике при рефрактерной гипоксемии.
Ключевые слова
Полный текст
ВВЕДЕНИЕ
Респираторный дистресс-синдром (РДС) у новорожденных — один из наиболее частых и грозных критических состояний неонатального периода [1, 3–5, 7–9, 11]. Причины его развития весьма разнообразны и зависят, в первую очередь, от срока гестации на момент рождения ребенка и морфофункциональной зрелости органов дыхания.
Если у недоношенных новорожденных явления дыхательной недостаточности и острый респираторный дистресс-синдром (ОРДС) наиболее часто развиваются в первые часы жизни на фоне первичного дефицита сурфактанта, то у доношенных детей тяжелая гипоксемическая дыхательная недостаточность, как правило, является вторичной и развивается на фоне уже имеющегося патологического процесса с поражением паренхимы легких [1, 5–7]. Основными из них являются пневмония, синдром аспирации мекония и транзиторное тахипноэ новорожденных [5, 7, 10]. В настоящее время известно, что приблизительно у 1 % новорожденных РДС возникает без инфекционного поражения органов дыхания. Чаще всего тяжелая гипоксемия без инфекционного компонента у доношенных новорожденных развивается после оперативного родоразрешения, на фоне транзиторного тахипноэ, которое может стать предвестником ОРДС тяжелой степени. Несмотря на то что транзиторное тахипноэ новорожденных отличается достаточно благоприятным прогнозом и обычно самостоятельно разрешается в течение первых трех суток жизни, в ряде случаев отмечается тяжелое течение с развитием рефрактерной гипоксемии [14]. В частности, у детей со сроком гестации до 39 нед., рожденных путем кесарева сечения, иногда может развиться легочная гипертензия, для коррекции которой может потребоваться экстракорпоральная мембранная оксигенация [13].
В качестве примера тяжелого течения транзиторного тахипноэ с развитием вторичного ОРДС представляем случай его успешного лечения у доношенного новорожденного, осложнившегося баротравмой легких, с применением монобронхиального введения сурфактанта.
КЛИНИЧЕСКИЙ СЛУЧАЙ
В ОРИТН ГБУ «Республиканский перинатальный центр» Чеченской Республики поступил доношенный новорожденный ребенок с клиникой дыхательной недостаточности тяжелой степени, потребовавшей проведения респираторной поддержки. Вес при рождении 3400 г, длина 52 см, оценка по шкале Апгар на первой минуте 7, на пятой — 8 баллов. Ребенок от четвертой беременности, третьих срочных родов на сроке гестации 37,3 нед. путем кесарева сечения. Беременность протекала на фоне коронавирусной инфекции на сроке беременности 15 нед.
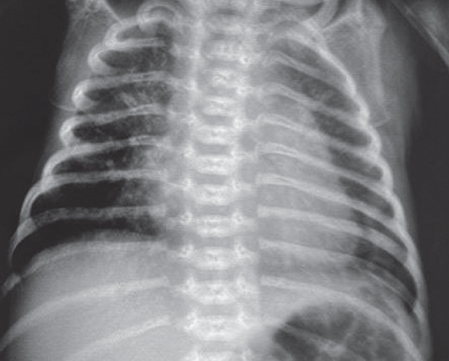
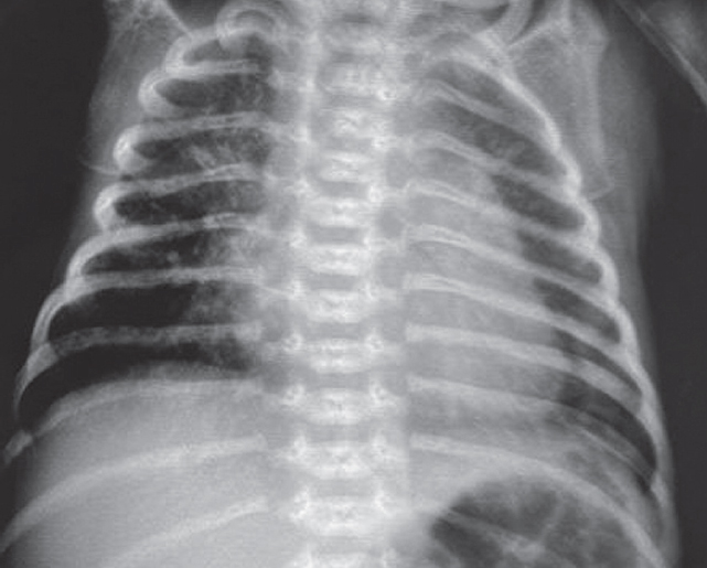
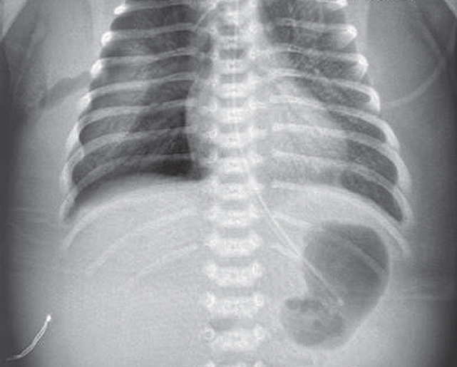
Состояние ребенка с рождения средней степени тяжести, обусловленное явлениями респираторного дистресса (умеренное втяжение межреберий, стонущее дыхание, тахипноэ до 60 в минуту), что потребовало проведения неинвазивной искусственной вентиляции легких (ИВЛ, nСРАР — nasal continuous positive airway pressure) c первых минут жизни [2]. На рентгенограмме отмечаются признаки транзиторного тахипноэ новорожденного (рис. 1).
Рис. 1. Рентгенограмма органов грудной клетки новорожденного с клиническими признаками респираторного дистресс-синдрома через 2 ч после рождения
Fig. 1. Chest X-ray of newborn with clinical signs of respiratory distress 2 hours after birth
На фоне проведения nСРАР отмечено прогрессирование дыхательной недостаточности, на повторной рентгенограмме органов грудной клетки выявлены признаки РДСН, в связи с чем была выполнена интубация трахеи и начата инвазивная ИВЛ в режиме SIMV с FiO2 0,5, давлением на вдохе (Pinsp) 16 см Н2О, положительным давлением в конце выдоха (PEEP) 5 см Н2О, частотой дыхания (f) 40 в минуту и временем вдоха (Tinsp) 0,4 с. В связи с артериальной гипотензией проведена волемическая нагрузка 0,9 % раствором натрия хлорида в объеме 15 мл/кг, без эффекта, начата постоянная инфузия дофамина в дозе 5 мкг/(кг · мин). До получения отрицательных маркеров воспаления и бактериологического посева начата эмпирическая антибактериальная терапия [ампициллин в дозе 200 мг/(кг · сут); гентамицин в дозе 4 мг/(кг · сут)].
В связи с отсутствием эффекта эндотрахеально введен экзогенный сурфактант в дозе 200 мг/кг, однако несмотря на это, состояние ребенка продолжало ухудшаться, что потребовало увеличения инвазивности ИВЛ (FiO2 1,0, PIP 18 см Н2О, PEEP 5 см Н2О, f 40 в минуту, Tinsp 0,4 с).
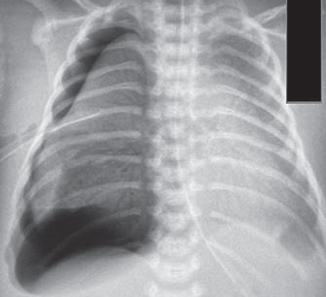
На контрольной рентгенограмме, выполненной на вторые сутки жизни (после введения сурфактанта), сохраняются признаки тяжелого РДС, осложнившегося правосторонним напряженным пневмотораксом (рис. 2), в связи с чем по экстренным показаниям было выполнено дренирование плевральной полости.
Рис. 2. Рентгенограмма органов грудной клетки новорожденного после введения сурфактанта
Fig. 2. Chest X-ray of newborn after surfactant administration
По данным анализа газового состава и кислотно-основного состояния венозной крови на момент резкого ухудшения состояния отмечается декомпенсированный смешанный ацидоз (рН 7,07, рО2 27 мм рт. ст., рСО2 50 мм рт. ст., BE — 18,1 ммоль/л, SvO2 26 %). В связи с выраженной артериальной гипотензией доза допамина увеличена до 10 мкг/(кг · мин).
В динамике отмечены эпизоды десатурации со снижением SpO2 до 49 % на максимальных параметрах ИВЛ, в связи с чем начата высокочастотная осцилляторная (ВЧО) ИВЛ с FiO2, 1,0, средним давлением в дыхательных путях (МАР) 25 см Н2О, амплитудой 40, частотой 8 Гц, соотношением вдоха к выходу 1 : 2. Несмотря на увеличение дозы дофамина до 15 мкг/(кг · мин) сохранялась выраженная артериальная гипотензия, в связи с чем к терапии добавлен адреналин в дозе 0,05 мкг/(кг · мин), на этом фоне достигнуты референсные показатели артериального давления.
На рентгенограмме органов грудной клетки сохраняются признаки тяжелого РДС, тотальное затемнение левого легочного поля, несмотря на проведение активного дренирования правой плевральной полости, сохраняется пристеночный правосторонний пневмоторакс, отмечается скопление воздуха в медиальном отделе правого легкого.
По данным анализа газового состава и кислотно-основного состояния (КОС) венозной крови отмечается декомпенсированный респираторный ацидоз, выраженная гипоксемия (рvO2 5 мм рт. ст.), гиперлактатемия (5,9 ммоль/л). Клинически имеет место тотальный цианоз кожи, SpO2 30 → 7 % на фоне ВЧО ИВЛ с FiO2 = 1,0, МАР 22 см Н2О, Amp 32, f 8 Гц, I : E = 1 : 2).
На фоне ухудшения состояния пациента за счет прогрессирования полиорганной дисфункции, несмотря на отсутствие лабораторных признаков тяжелого течения инфекционного процесса, проведена коррекция антибактериальной терапии, назначены цефоперазон/сульбактам в дозе 80 мг/(кг · сут) и амикацин в дозе 10 мг/(кг · сут).
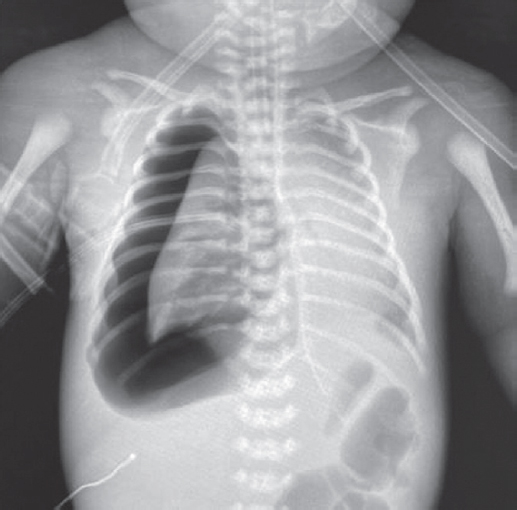
Учитывая наличие правостороннего пневмоторакса и рентгенологических признаков тяжелого РДС с преимущественным поражением левого легкого, принято решение о монобронхиальном введении порактанта альфа. На фоне проведения ВЧО ИВЛ, через эндотрахеальную трубку в левый главный бронх введен порактант альфа в дозе 100 мг/кг. Манипуляция осуществлялась под рентгенологическим контролем.
На этом фоне отмечается выраженный положительный эффект в виде увеличения SpO2 с 7–23 до 90 %, на контрольной рентгенограмме сразу после введения порактанта альфа (рис. 3) отмечается незначительное улучшение пневматизации левого легкого, сохраняется свободный воздух в правой плевральной полости.
Рис. 3. Рентгенограмма органов грудной клетки новорожденного после монобронхиального введения сурфактанта
Fig. 3. Chest X-ray of newborn after monobronchial surfactant administration
На контрольной рентгенограмме через 6 ч после манипуляции сохраняются признаки правостороннего пневмоторакса, отмечается неравномерное восстановление воздушности левого легкого. Снизить параметры ВЧО ИВЛ не представлялось возможным. В последующем отмечено прогрессирование явлений дыхательной недостаточности с десатурацией (SpO2 46 %), по анализу газового состава венозной крови отмечается выраженная венозная гипоксемия (рО2 13 мм рт. ст.), гиперлактатемия (6,7 ммоль/л). Сохраняется выраженная артериальная гипотензия, в связи с чем скорость введения адреналина увеличена до 0,2 мкг/(кг · мин), на этом фоне достигнута стабилизация.
В левый главный бронх повторно введен порактант-альфа. После выполнения манипуляции отмечается клинико-рентгенологическое улучшение (рис. 4) — увеличение SpO2 до 90 %, положительная динамика газового состава крови.
Рис. 4. Рентгенограмма органов грудной клетки новорожденного после повторного монобронхиального введения сурфактанта
Fig. 4. Chest X-ray of newborn after repeated monobronchial administration of surfactant
На третьи сутки жизни, через 12 ч после повторного введения порактанта альфа отмечается отрицательная динамика в виде снижения SpO2 до 78–84 %, прогрессирования цианоза кожи. Выполнена повторная рентгенограмма органов грудной клетки, наблюдается прогрессирование правостороннего пневмоторакса, снижение пневматизации левого легкого по сравнению со снимком сразу после введения порактанта альфа. Продолжено активное дренирование правой плевральной полости. В связи с артериальной гипотензией доза адреналина увеличена до 0,3 мкг/(кг · мин), на этом фоне гемодинамика стабильная, артериальное давление в пределах возрастной нормы. Учитывая снижение пневматизации левого легкого и прогрессирование дыхательной недостаточности, в левый главный бронх введен препарат берактанта. Во время манипуляции зарегистрировано снижение SpO2 до 45–50 %, нарастание цианоза кожи, в связи с чем манипуляция прекращена. Начато введение порактанта альфа в дозе 100 мг/кг в левый главный бронх. На фоне введения порактанта альфа наблюдается положительная динамика состояния пациента в виде увеличения SpO2 до 98 %. На рентгенограмме органов грудной клетки спустя 12 ч (рис. 5) после введения сурфактанта отмечается повышение прозрачности левого легкого.
Рис. 5. Рентгенограмма органов грудной клетки новорожденного после монобронхиального введения порактанта альфа
Fig. 5. Chest X-Ray of newborn after monobronchial administration of proractant alpha
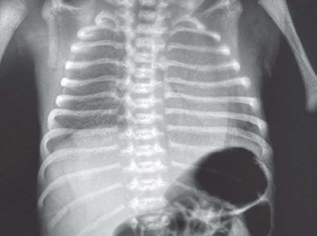
На контрольной рентгенограмме на четвертые сутки жизни (рис. 6) сохраняется правосторонний пристеночный пневмоторакс, пневматизация левого легкого с улучшением. В связи с артериальной гипотензией продолжена постоянная инфузия допамина в дозе 15 мкг/(кг · мин), доза адреналина увеличена до 0,5 мкг/(кг · мин).
Рис. 6. Рентгенограмма органов грудной клетки новорожденного на шестые сутки жизни
Fig. 6. Chest X-ray of newborn on the sixth day of life
На шестые сутки жизни на рентгенограмме органов грудной клетки сохраняются остаточные явления правостороннего пневмоторакса, повышение прозрачности легочной ткани с обеих сторон. Показатели частоты сердечных сокращений и артериального давления стабильны на фоне постоянной инфузии допамина в дозе 15 мкг/(кг · мин) и адреналина в дозе 0,1 мкг/(кг · мин).
На седьмые сутки жизни наблюдается прогрессирование дыхательной недостаточности, снижение SpO2 до 76 % на фоне легочного и желудочного кровотечения. В связи с артериальной гипотензией доза адреналина увеличена до 0,15 мкг/(кг · мин). Учитывая выраженную кислородную зависимость на фоне агрессивной респираторной поддержки, проведена трансфузия эритроцитарной взвеси в объеме 15 мл/кг. На контрольной рентгенограмме отмечается нарастание очаговой пневмонии правого легкого, слева выявлены множественные очаговые затемнения, сохраняющийся свободный воздух в правой плевральной полости. Учитывая ухудшение клинической картины, цефоперазон/сульбактам и амикацин отменены, назначены меропенем в дозе 40 мг/кг через 8 ч и линезолид в дозе 10 мг/кг через 8 ч. На фоне стабилизации гемодинамики доза допамина снижена до 3 мкг/(кг · мин), адреналина — до 0,1 мкг/(кг · мин).
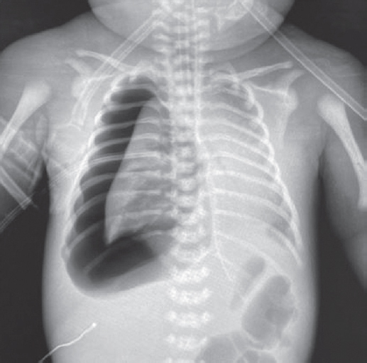
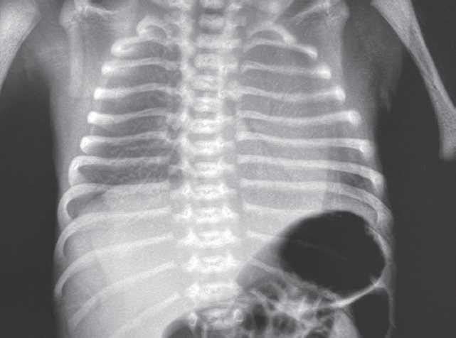
На девятые сутки жизни состояние ребенка стабильное, по газовому составу и КОС венозной крови компенсирован, параметры ИВЛ со снижением, плевральный дренаж удален (рис. 7).
Рис. 7. Рентгенограмма органов грудной клетки новорожденного на девятые сутки жизни
Fig. 7. Chest X-ray of newborn on the ninth day of life
На фоне постепенного снижения параметров ИВЛ пациент переведен с ВЧО на конвекциональную ИВЛ (FiO2 0,45, Pinsp 12 см Н2О, PEEP 5 см Н2О, f 35 в минуту, Tinsp 0,4 с). Гемодинамика стабильна без инотропной поддержки, артериальное давление в пределах возрастной нормы. На рентгенограмме в легких имеются множественные очаговые затемнения, больше справа.
Учитывая стабильное состояние пациента, отсутствие признаков прогрессирования инфекционно-воспалительного процесса по лабораторным данным, антибактериальная терапия продолжена в прежнем объеме. С целью улучшения мукоцилиарного клиренса в терапию добавлен ацетилцистеин в дозе 10 мг/кг через 12 ч.
На 12-е сутки жизни на фоне регулярного самостоятельного дыхания, восстановления защитных рефлексов и мышечного тонуса ребенок экстубирован и переведен на неинвазивную ИВЛ: FiO2 0,3, PEEP 5 см Н2О, f 7,0 л в минуту. Выраженные патологические изменения на контрольной рентгенограмме органов грудной клетки отсутствуют (рис. 8).
Рис. 8. Рентгенограмма органов грудной клетки новорожденного на фоне спонтанного дыхания
Fig. 8. Chest X-ray of newborn with spontaneous breathing
К 26-м суткам жизни респираторная поддержка отменена, кислородная зависимость отсутствует, показатели SpO2 в пределах референсных значений. На 33-е сутки жизни ребенок переведен в отделение патологии новорожденных в удовлетворительном состоянии для дальнейшего лечения. Динамика показателей газового состава крови и концентрации лактата в сыворотке крови на фоне проводимых терапевтических мероприятий представлена в таблице.
Таблица. Показатели газового состава и концентрации лактата в венозной крови новорожденного
Table. Parameters of gas composition and lactate concentration in venous blood of newborn
Возраст ребенка / Age of child | рН | pO2, мм рт. ст. / mm Hg | pCO2, мм рт. ст. / mm Hg | Лактат, ммоль/л / Lactate, mmol/l |
2 ч 12 мин / 2 hours 12 minutes | 7,2 | 37 | 57 | 4,2 |
9 ч (после введения берактанта) / 9 hours (after administration of the beractant) | 7,28 | 43 | 35 | 3,1 |
27 ч 30 мин (напряженный пневмоторакс) / 27 hours 30 minutes (tension pneumothorax) | 7,07 | 27 | 50 | 5,6 |
28 ч 50 мин (после дренирования плевральной полости) / 28 hours 50 minutes (after drainage of the pleural cavity) | 7,43 | 36 | 38 | 7,4 |
41 ч 30 мин / 41 hour 30 minutes | 7,16 | 5 | 87 | 5,9 |
44 ч 30 мин / 44 hours 30 minutes | 7,29 | 23 | 51 | 6,6 |
46 ч 50 мин (после введения порактанта альфа) / 46 hours 50 minutes (after administration of poractant alpha) | 7,27 | 23 | 48 | 6,0 |
49 ч 25 мин / 49 hours 25 minutes | 7,33 | 13 | 44 | 6,7 |
53 ч / 53 hours | 7,4 | 35 | 40 | 4,2 |
58 ч 20 мин / 58 hours 20 minutes | 7,4 | 45 | 35 | 4.0 |
Длительность инвазивной вентиляции легких составила 360 ч, неинвазивной ИВЛ после экстубации — 192 ч, продолжительность лечения в отделении реанимации и интенсивной терапии составила 27 суток. Ребенок выписан из стационара на 31-е сутки жизни с основным диагнозом: «Транзиторное тахипноэ новорожденных. Острый респираторный дистресс-синдром. Пневмония новорожденных. Осложнений со стороны дыхательной и центральной нервной систем не было».
ОБСУЖДЕНИЕ
Отличительная особенность данного случая — крайне тяжелое течение ОРДС у доношенного новорожденного ребенка, развившегося на фоне нарушений газообмена, обусловленных транзиторным тахипноэ новорожденных. Даже несмотря на своевременную неинвазивную респираторную поддержку, которая использовалась практически с первых минут жизни, отмечалось прогрессирование тяжелых респираторных нарушений, потребовавших интубации трахеи и перевода ребенка на конвекциональную, а затем и ВЧО ИВЛ с агрессивными параметрами, что стало одним из факторов, усугубивших тяжесть состояния пациента, спровоцировавших развитие синдрома утечки воздуха и синдрома полиорганной дисфункции [3, 12].
Важно отметить стадийность течения заболевания. Изначально тяжесть состояния ребенка была обусловлена транзиторным тахипноэ новорожденных, а в дальнейшем прогрессирование гипоксемии привело к вторичному поражению легких и развитию ОРДС. На более поздних стадиях заболевания, вероятнее всего, имело место постнатальное инфицирование, которое и стало причиной появления клинико-рентгенологических признаков пневмонии. Отличительная особенность данного случая — наличие стойкой гипоксемии при относительно приемлемых показателях напряжения углекислого газа в крови, что свидетельствовало о наличии у ребенка вторичной легочной гипертензии, особенно если учесть, что на момент рождения его гестационный возраст составлял 37,3 нед.
Учитывая гетерогенность поражения легочной ткани с преимущественным поражением одного легкого, было заподозрено течение инфекционного процесса. Под рентгенологическим контролем в левый главный бронх введен экзогенный сурфактант, состояние пациента стабилизировалось на непродолжительное время. В дальнейшем было отмечено прогрессирование тяжелой гипоксемической дыхательной недостаточности и только повторные монобронхиальные введения экзогенного сурфактанта позволили достичь стойкого положительного терапевтического эффекта и способствовали регрессированию критического состояния с высоким риском летального исхода.
ЗАКЛЮЧЕНИЕ
Монобронхиальное введение экзогенного сурфактанта при вторичном ОРДС с гетерогенным поражением легких является эффективным вариантом лечения и может использоваться в клинической практике при рефрактерной гипоксемии как стратегия спасения.
ДОПОЛНИТЕЛЬНАЯ ИНФОРМАЦИЯ
Вклад авторов. Все авторы внесли существенный вклад в разработку концепции, проведение исследования и подготовку статьи, прочли и одобрили финальную версию перед публикацией.
Конфликт интересов. Авторы декларируют отсутствие явных и потенциальных конфликтов интересов, связанных с публикацией настоящей статьи.
Информированное согласие на публикацию. Авторы получили письменное согласие законных представителей пациента на публикацию медицинских данных и фотографий.
ADDITIONAL INFORMATION
Author contribution. Thereby, all authors made a substantial contribution to the conception of the study, acquisition, analysis, interpretation of data for the work, drafting and revising the article, final approval of the version to be published and agree to be accountable for all aspects of the study.
Competing interests. The authors declare that they have no competing interests.
Consent for publication. Written consent was obtained from the patient for publication of relevant medical information and all of accompanying images within the manuscript.
Об авторах
Дмитрий Олегович Иванов
Санкт-Петербургский государственный педиатрический медицинский университет
Email: doivanov@yandex.ru
д-р мед. наук, профессор, ректор, заведующий кафедрой неонатологии с курсами неврологии, акушерства и гинекологии факультета послевузовского и дополнительного профессионального образования
Россия, Санкт-ПетербургКирилл Сергеевич Кирьяков
Санкт-Петербургский государственный педиатрический медицинский университет
Email: kiryakov.ks@yandex.ru
врач – анестезиолог-реаниматолог отделения анестезиологии-реанимации для детей с кардиохирургической патологией клиники
Россия, Санкт-ПетербургКонстантин Викторович Пшениснов
Санкт-Петербургский государственный педиатрический медицинский университет
Автор, ответственный за переписку.
Email: Psh_k@mail.ru
д-р мед. наук, доцент, профессор кафедры анестезиологии, реаниматологии и неотложной педиатрии факультета послевузовского и дополнительного профессионального образования
Россия, Санкт-ПетербургИмани Ахмедовна Тесаева
Республиканский перинатальный центр Чеченской Республики
Email: dr.tesaeva89@mail.ru
заведующая отделением реанимации и интенсивной терапии новорожденных
Россия, Грозный, Чеченская РеспубликаМилана Умаровна Насипова
Республиканский перинатальный центр Чеченской Республики
Email: milananasipova92@gmail.com
врач – анестезиолог-реаниматолог отделения реанимации и интенсивной терапии новорожденных
Россия, Грозный, Чеченская РеспубликаЕлена Александровна Сизаева
Детская городская больница № 17 Святителя Николая Чудотворца
Email: Lena.sizaeva@yandex.ru
врач – анестезиолог-реаниматолог
Россия, Санкт-ПетербургАзамат Таймуразович Габисов
Санкт-Петербургский государственный педиатрический медицинский университет
Email: azamgabisov@mail.ru
ординатор кафедры неонатологии с курсами неврологии и акушерства-гинекологии факультета послевузовского и дополнительного профессионального образования
Россия, Санкт-ПетербургСписок литературы
- Александрович Ю.С., Пшениснов К.В. Респираторная поддержка при критических состояниях в педиатрии и неонатологии (руководство для врачей). Москва: ГЭОТАР-Медиа, 2020. 272 с.
- Александрович Ю.С., Иванов Д.О., Пшениснов К.В. Сердечно-легочная реанимация новорожденного в родильном зале // Педиатр. 2019. Т. 10, № 4. С. 5–16. doi: 10.17816/PED1045-16
- Александрович Ю.С., Пшениснов К.В., Хиенас В., и др. Инвазивная искусственная вентиляция легких у недоношенных новорожденных в родильном зале: всегда ли она оправдана? // Анестезиология и реаниматология. 2018. № 5. С. 44–52. doi: 10.17116/anaesthesiology201805144
- Ведение новорожденных с респираторным дистресс-синдромом. Клинические рекомендации / под ред. акад. РАН Н.Н. Володина. 2016. 38 с.
- Гомелла Т.Л. Неонатология. Т. 2. Москва: Бином. Лаборатория знаний, 2015.
- Запевалова Е.Ю., Клюхина Ю.Б., Бойцова Е.В., Кирбятьева М.А. Клиническое течение и структурные изменения легочной ткани у детей с бронхолегочной дисплазией в анамнезе // Педиатр. 2016. Т. 7, № 1. С. 50–57. doi: 10.17816/PED7150-57
- Иванов Д.О., Аврелькина Е.В., Александрович Ю.С., и др. Руководство по перинатологии. Т. 2. Санкт-Петербург: Информ-Навигатор, 2019. 1592 с.
- Моисеева К.Е. Некоторые результаты оценки динамики заболеваемости новорожденных в организациях родовспоможения // Медицина и организация здравоохранения. 2019. Т. 4, № 3. С. 40–47.
- Неонатология: национальное руководство. Краткое издание / под ред. Н.Н. Володина. Москва: ГЭОТАР-Медиа, 2013. 896 c.
- Соломаха А.Ю., Петрова Н.А., Иванов Д.О., Свиряев Ю.В. Нарушения дыхания во сне у недоношенных детей с бронхолегочной дисплазией и легочной гипертензией // Педиатр. 2017. Т. 8, № 6. С. 5–10. doi: 10.17816/PED865-10
- Шабалов Н. П. Неонатология: учебное пособие в 2 т. 7-е изд., перераб. и доп. Москва: ГЭОТАР-Медиа, 2020. Т. 2. 752 с.
- Хиенас В., Александрович Ю.С., Пшениснов К.В., и др. Оценка эффективности ранней неинвазивной респираторной поддержки у доношенных новорожденных // Вестник анестезиологии и реаниматологии. 2017. Т. 14, № 2. С. 20–26. doi: 10.21292/2078-5658-2017-14-2-20-26
- Keszler M., Carbone M.T., Cox C., Schumacher R.E. Severe respiratory failure after elective repeat cesarean delivery: a potentially preventable condition leading to extracorporeal membrane oxygenation // Pediatrics. 1992. Vol. 89, No. 4 (Pt 1). P. 670–672.
- Subramanian S., Gupta A.O., Bahri M., Kicklighter S.D. Transient tachypnea of the newborn. Available at: https://emedicine.medscape.com/article/976914-overview#a2
Дополнительные файлы








