Efferent therapy in pregnant women with the threat of very early premature birth with premature effusion of amniotic fluid. Two clinical observations
- Authors: Vetrov V.V.1, Ivanov D.O.1, Reznik V.A.1, Romanova L.A.1, Melashenko T.V.1, Kurdynko L.V.1, Vyugov M.A.2
-
Affiliations:
- Saint Petersburg State Pediatric Medical University, Perinatal Сenter
- Maternity Hospital
- Issue: Vol 13, No 4 (2022)
- Pages: 93-100
- Section: Clinical observation
- URL: https://ogarev-online.ru/pediatr/article/view/114939
- DOI: https://doi.org/10.17816/PED13493-100
- ID: 114939
Cite item
Full Text
Abstract
It is known from the literature that premature amniotic fluid expulsion in 22 weeks – 27 weeks 6 days gestation is very dangerous, as it is accompanied by high morbidity and mortality in newborn infants.
Clinical observation. This article presents the results of observing two women with premature amniotic fluid expulsion at 22 and 24 weeks’ gestation, respectively. In the first case, the woman was immediately admitted to the perinatal center; in the second observation, she was admitted after 3.5 weeks of treatment at another institution. In both cases, pregnant women had manifestations of oligo and endotoxemia, a protective inflammatory response in the mother-placental-fetal system (more pronounced in the second observation) against a background of urogenital infection. In the course of complex treatment, the patients underwent detoxification, of efferent therapy in the form of repeated consecutive sessions of plasmapheresis, hemosorption (one operation each), external photomodification of blood with ultraviolet, laser beams with prolongation of pregnancy by 10 and 8 weeks. The deliveries in both cases were operative with live babies with body weight of 1600 g and 1840 g, respectively. In the first case the infant did not need intensive care, was breastfed, in the second observation the newborn received active respiratory support for 9 days, in the dynamics his condition normalized. No septic complications in mothers and fetuses were observed.
The concluding efferent therapy in course of therapy were effected by prolongating of pregnancy with of good the results for mothers and them of fetus.
Full Text
ВВЕДЕНИЕ
Преждевременное излитие околоплодных вод (ПИОВ) при беременности сроком 22 нед. – 27 нед. 6 дней очень опасно, так как сопровождается высокой заболеваемостью и летальностью новорожденных детей [4–8, 10].
В литературе есть сообщения о возможности пролонгирования беременности при угрозе очень ранних преждевременных родов с помощью методов детоксикационной, эфферентной терапии (ЭТ) в виде плазмафереза и др. [1–4, 9].
В статье представлены результаты использования методов ЭТ для пролонгирования беременности и профилактики гнойно-септических осложнений у женщин с угрозой очень ранних преждевременных родов на фоне ПИОВ.
КЛИНИЧЕСКОЕ НАБЛЮДЕНИЕ 1
Пациентка 30 лет, рост 152 см, вес 54 кг. В анамнезе 1 нормальные роды, хронический цистит. В 12 нед. настоящей беременности отмечала тянущие боли в области поясницы справа, к врачам не обращалась. На учет встала в 19 нед., при обследовании был выявлен нефроптоз II степени справа без нарушения функции почки. Поступила в Перинатальный центр (ПЦ) Санкт-Петербургского государственного педиатрического медицинского университета (СПбГПМУ) в 22 нед. 21.12.2017 с жалобами на внезапное излитие околоплодных вод, мажущие кровянистые выделения из половых путей, повышенный тонус матки. Общее состояние пациентки было удовлетворительным, в анализах крови выявлены: легкая анемия (гемоглобин 106 г/л), эндотоксикоз [лейкоцитарный индекс интоксикации (ЛИИ) 3,2 усл. ед., норма до 1,5 усл. ед.], склонность к гиперкоагуляции (протромбиновый индекс 116 %, фибриноген 6,2 г/л), из цервикального канала высеяна кишечная палочка (Escherichia coli) в значимом титре (106). Тесты на околоплодные воды при поступлении и в динамике наблюдения положительные. Анализы мочи — в норме. Шевеление плода ощущает хорошо, матка в повышенном тонусе, частота сердечных сокращений 138 в минуту. При ультразвуковом исследовании (УЗИ): в матке один живой плод в головном предлежании, соответствует 22 нед. беременности, предполагаемая масса тела (МТ) плода 470 г. Плацента располагается по задней стенке матки, краевое предлежание. Амниотический индекс (АИ) 8 мм (ангидрамнион), цервикальный канал сохранен, длиной 37 мм. При допплеровском исследовании выявлено нарушение маточно-плацентарного кровотока IА степени. При контрольном УЗИ на другой день и в ближайшие последующие дни ангидрамнион был подтвержден. Проводилась комплексная сохраняющая терапия (милдронат в дозе 5,0 мл + 0,9 % раствор натрия хлорида в дозе 250,0 мл внутривенно капельно, № 10; актовегин в дозе 5,0 мл + 0,9 % раствор натрия хлорида в дозе 250,0 мл внутривенно капельно, № 10; сульфат магния 25 % — 20,0 мл внутривенно микроструйно, № 4; цефтриаксон 2,0 г + 0,9 % раствор натрия хлорида в дозе 250,0 мл внутривенно капельно, 7 дней; дексаметазон в дозе 24 мг внутримышечно; Феррум Лек 1 таблетка 2 раза в день; Актовегин 1 таблетка 3 раза в день), при прекращении кровянистых выделений (с 4-го дня от поступления) были подключены методы ЭТ в виде курса среднеобъемного аппаратного («Гемос-ПФ» производства НПО «Биотех М», Москва) мембранного плазмафереза (МПА; эксфузия плазмы около 1 % объема циркулирующей плазмы; плазмовозмещение кристаллоидами). Показанием служила потребность в пролонгировании беременности и профилактике гнойно-септических осложнений у матери и плода [1].
Через день-два были выполнены 3 процедуры МПА, которые сочетались с наружной фотомодификацией крови ультрафиолетовыми и лазерными лучами (по № 3 с чередованием) на область сосудистого пучка на шее. Осложнений ЭТ не было, явления угрозы прерывания беременности окончательно прошли, улучшились показатели анализов крови. Для усиления лечебного эффекта, купирования маловодия, эндотоксикоза и воспалительного ответа организма (показатель ЛИИ сохранялся на уровне 2,6–3,0 усл. ед.) терапия была усилена проведением процедуры гемосорбции в виде одного объема циркулирующей крови (ОЦК) на аппарате «Гемос-ПФ» с использованием отечественного гемосорбента «ВНИИТУ». В динамике отмечены нормализация показателей крови, появились околоплодные воды с возрастанием АИ до 43 мм, активным ростом плода при нормализации гемодинамики в маточно-плацентарном кровотоке.
В последующем пациентка получала поддерживающие сеансы МПА один раз в 7–10 дней, АИ 45–50 мм. Всего за время нахождения в ПЦ при беременности получила 7 сеансов МПА, 1 сеанс гемосорбции и 14 сеансов наружной фотомодификации крови ультрафиолетовыми и лазерными лучами (по № 7). Осложнений при ЭТ не отмечали. В 32 нед., в связи с самопроизвольным появлением схваток, родоразрешена путем кесарева сечения (показание — наступление преждевременных родов при длительном безводном промежутке).
Осложнений не было, кровопотеря составила 600 мл. Послеродовой период протекал без осложнений, выписана домой на 6-е сутки после родов. При лабораторном обследовании: в анализах крови: гемоглобин 106 г/л, ЛИИ 2,1 усл. ед., общий белок 60 г/л, фибриноген 4,6 г/л; показатели общего анализа мочи в норме. В последе выявлен микоплазменно-бактериальный хориодецидуит, очаговый гнойный виллузит. Хроническая субкомпенсированная недостаточность плаценты. Новорожденный мальчик, с МТ при рождении 1600 г и оценкой по шкале Апгар 7/9 баллов, в реанимационной помощи не нуждался, наблюдался в отделении патологии новорожденных. Выписан домой в удовлетворительном состоянии. Катамнез ребенка в 10 мес. жизни: по заключениям врачей росто-весовые показатели соответствуют возрасту, ребенок здоров (рис. 1, 2).
Рис. 1. Ребенок в возрасте 10 мес.
Рис. 2. Ребенок в возрасте 3 лет
КЛИНИЧЕСКОЕ НАБЛЮДЕНИЕ 2
Пациентка 28 лет, рост 176 см, вес 88 кг. Поступила в ПЦ СПбГПМУ 21.10.2019 с диагнозом: «Беременность 27 нед. 2 дня. Преждевременное излитие (27.09.2019) околоплодных вод. Маловодие. Отягощенный акушерско-гинекологический анамнез. Пролапс митрального клапана I степени. НК 0. Хронический гастрит. Язвенная болезнь двенадцатиперстной кишки, ремиссия».
С детства наблюдается у кардиолога по поводу пролапса митрального клапана. Половая жизнь с 17 лет, в браке. В 2018 г. по поводу неразвивающейся беременности в 6 нед. проведено инструментальное опорожнение полости матки, без осложнений. Настоящая беременность вторая, дважды (в 9 и 16 нед.) лечилась в стационаре от угрозы прерывания беременности. 27.09.2019 (24 нед.) внезапно излились околоплодные воды, была госпитализирована в роддом, где проводилась сохраняющая терапия по протоколу, профилактика синдрома дыхательных расстройств (дексаметазон), антибиотикотерапия (курсы эритромицина, цефтриаксона). С прогрессирующей беременностью в удовлетворительном состоянии через 3,5 нед. переведена в ПЦ СПбГПМУ. Предъявляла жалобы на периодическое усиление жидких выделений из влагалища, «повышенный тонус матки» без болевого синдрома. Женщина в компенсированном состоянии, физиологические отправления в норме. При осмотре размеры матки соответствовали 27 нед. беременности, тонус нормальный, кровянистых выделений из половых путей не было. В клиническом анализе крови: гемоглобин 108 г/л, лейкоцитоз 15,7 тыс., скорость оседания эритроцитов 46 мм/ч, ЛИИ 3,9 усл. ед. В биохимическом анализе крови: общий белок крови 56 г/л, С-реактивный белок 5,7 нг/мл, протромбиновый индекс 103 %, фибриноген 5,2 г/л, остальные показатели в пределах нормы. В содержимом цервикального канала обнаружен обильный рост грибов Candida, в динамике пробы на наличие околоплодных вод в выделениях из влагалища положительные. Результаты УЗИ: в матке один живой плод в головном предлежании, соответствует 27 нед. и 2 дням беременности, предполагаемая МТ плода 1060 г. Плацента толщиной 32 мм, I–II степени зрелости, располагается по передней стенке матки. Цервикальный канал сохранен, длиной 37 мм. Маловодие — АИ 31 мм. Данные кардиотокографии в норме, ЧСС 142 в минуту. При ДПИ нарушений гемодинамики в маточно-плацентарном кровотоке не обнаружено. Продолжена антибактериальная терапия и, учитывая наличие выраженных воспалительных изменений в крови и эндотоксикоза, добавлены методы ЭТ. Лечение начато с проведения процедуры гемосорбции в объеме 1 ОЦК с помощью аппарата «Гемос-ПФ» (НПО «Биотех-М», Москва) и гемосорбента «ВНИИТУ». Последующие процедуры ЭТ проводили в виде МПА один раз в 5–7 дней с эксфузией плазмы 0,8 % ОЦК с плазмовозмещением кристаллоидами в сочетании с очищенной методом гепаринкриопреципитации аутоплазмой по 250 мл. Эти методы сочетались с наружной фотомодификацией крови ультрафиолетовыми и лазерными лучами (аппарат «Матрикс-ВЛОК», Москва) с чередованием через день в количестве по № 7. Осложнений при ЭТ не было. На фоне терапии показатели гомеостаза нормализовались, в динамике при УЗИ отмечено увеличение АИ (до 44–52–65 мм), свидетельствующее об улучшении функционального состояния жизненно-важных органов (почек) плода (рис. 3).
Рис. 3. Данные амниотического индекса при ультразвуковом исследовании пациентки в период применения методов эфферентной терапии
Однако к 32 нед. беременности у пациентки вновь было отмечено некоторое усиление воспалительного ответа организма (с возрастанием показателя ЛИИ до 2,5 усл. ед.) с одновременным снижением АИ до 9 мм (рис. 4).
Рис. 4. Данные ультразвукового исследования через 56 дней после отхождения вод (22.11.2019), амниотический индекс 9 мм
Было принято решение о прерывании беременности путем экстренного кесарева сечения (показание — нарастающее маловодие при длительном безводном промежутке у недоношенного плода). Операция прошла без осложнений, кровопотеря составила 600 мл. В послеродовом периоде осложнений у матери не было, выписана на 6-е сутки с результатами анализов: гемоглобин 106 г/л, общий белок крови 62 г/л, ЛИИ 2,0 усл. ед. Гистология последа: гнойный интервиллузит, РНК-вирусно-микоплазменный хориодецидуит с хронической субкомпенсированной недостаточностью плаценты.
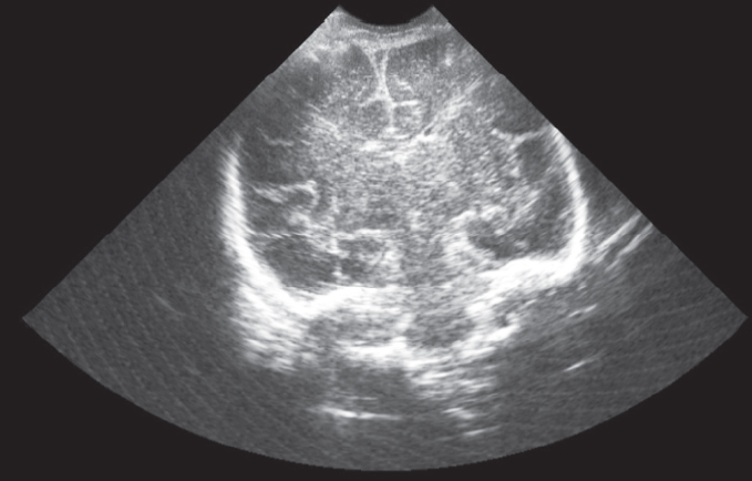
Родился живой ребенок (девочка) с МТ 1840 г, длиной 38 см, с оценкой по шкале Апгар 5/6 баллов. С рождения состояние ребенка расценивалось как тяжелое за счет дыхательной недостаточности (течение респираторного дистресс-синдрома), в связи с чем был переведен на аппаратную вентиляцию легких. За время лечения в отделении реанимации новорожденных ПЦ состояние ребенка улучшилось — на 8-е сутки выполнены экстубация и перевод на NCPAP, а с 10-х суток респираторная поддержка отменена. В неврологическом статусе очаговой и общемозговой симптоматики не выявлено. При проведении скрининговой краниальной сонограммы структурных нарушений не выявлено, церебральная зрелость по нейровизуализационным критериям соответствовала гестационному возрасту ребенка (рис. 5).
Рис. 5. Краниальная сонограмма новорожденного ребенка в 34 нед. гестации. Фронтальный скан (норма). Визуализируются вторичные извилины коры больших полушарий
Количественные характеристики церебрального кровотока свидетельствовали об удовлетворительной церебральной перфузии (рис. 6).
Рис. 6. Исследование кровотока в передней мозговой артерии новорожденного ребенка. Количественные характеристики допплеровского спектра кровотока в пределах нормы, нормальное периферическое сопротивление
В динамике в отделении реанимации новорожденных состояние ребенка стабильное, церебральный статус без патологии, двигательная активность и мышечный тонус соответствовали постконцептаульному возрасту. Черепная иннервация без патологических изменений. Очаговой и общемозговой симптоматики не отмечено. После отмены респираторной поддержки на 12-й день жизни переведена в отделение патологии новорожденных на совместное пребывание с матерью (рис. 7)
Рис. 7. Новорожденная девочка на 22-е сутки жизни
Со слов матери, в 1 г. 8 мес. девочка не отстает в развитии от своих сверстников, очень жизнерадостная. Активно ходит, знает много слов, знает всех родных по именам, играет с домашними животными. Отмечается пищевая аллергия на молочные продукты — видимо, результат искусственного вскармливания (рис. 8).
Рис. 8. Девочка в возрасте 1 г. 8 мес.
ОБСУЖДЕНИЕ
Известно, что у беременных при крайне выраженном риске реализации очень ранних преждевременных родов при ПИОВ прогноз для здоровья и жизни плодов при традиционных мерах малоблагоприятный. По данным обследования при поступлении в ПЦ у обеих пациенток было зафиксировано: маловодие (в первом наблюдении — ангидрамнион), проявления эндотоксикоза, воспалительного ответа организма, склонность к гиперкоагуляции — в большей степени у второй пациентки. Проведением комплексной, в том числе избирательной, ЭТ удалось купировать эти проявления и пролонгировать беременность в первом случае на 10 нед., во втором случае (вместе с лечением до поступления в ПЦ) — на 8 нед. При рождении сроки гестации у детей были практически одинаковые, МТ первого плода составила 1600 г, второго — 1840 г. Первый плод, несмотря на более длительное пребывание в матке при ПИОВ, при рождении и в неонатальном периоде в реанимационной помощи не нуждался, переведен после рождения на отделение патологии новорожденных. Во втором случае патологически протекавшей беременности ребенок в постнатальном периоде в связи с недоношенностью и развитием респираторного дистресс-синдрома нуждался в респираторной поддержке в течение 9 сут. Разница в состоянии детей при рождении и развитие дыхательной недостаточности у второго ребенка, возможно, связаны с разными сроками начала выполнения ЭТ после ПИОВ: в первом наблюдении практически сразу, а во втором случае — только через 3,5 нед. после излития вод и проведения традиционного лечения в другом учреждении. Несмотря на осложненное течение беременности, имеющиеся риски нарушения развития плода и преждевременное родоразрешение, результатом комплексного лечения беременных стало благоприятное в целом течение послеродового периода у матерей и неонатального периода у детей от этих беременностей, что, возможно, связано с детоксикационным и противовоспалительным эффектами избирательной, сочетанной и безопасной технологией ЭТ.
ЗАКЛЮЧЕНИЕ
Для пролонгирования беременности и профилактики гнойно-септических осложнений у женщин с угрозой очень ранних преждевременных родов при ПИОВ методы ЭТ необходимо раньше включать в курсы комплексного лечения с отражением этого факта в клиническом протоколе.
ДОПОЛНИТЕЛЬНАЯ ИНФОРМАЦИЯ
Вклад авторов. Все авторы внесли существенный вклад в разработку концепции, проведение исследования и подготовку статьи, прочли и одобрили финальную версию перед публикацией.
Конфликт интересов. Авторы декларируют отсутствие явных и потенциальных конфликтов интересов, связанных с публикацией настоящей статьи.
Источник финансирования. Авторы заявляют об отсутствии внешнего финансирования при проведении исследования.
Информированное согласие на публикацию. Авторы получили письменное согласие пациентов на публикацию медицинских данных и фотографий.
ADDITIONAL INFORMATION
Author contribution. Thereby, all authors made a substantial contribution to the conception of the study, acquisition, analysis, interpretation of data for the work, drafting and revising the article, final approval of the version to be published and agree to be accountable for all aspects of the study.
Competing interests. The authors declare that they have no competing interests.
Funding source. This study was not supported by any external sources of funding.
Consent for publication. Written consent was obtained from the patients for publication of relevant medical information and all of accompanying images within the manuscript.
About the authors
Vladimir V. Vetrov
Saint Petersburg State Pediatric Medical University, Perinatal Сenter
Author for correspondence.
Email: vetrovplasma@mail.ru
Dr. Sci. (Med.), Associate Professor, Department of Neonatology with courses of Neurology and Obstetrics and Gynecology
Russian Federation, Saint PetersburgDmitry O. Ivanov
Saint Petersburg State Pediatric Medical University, Perinatal Сenter
Email: doivanov@yandex.ru
ORCID iD: 0000-0002-0060-4168
MD, PhD, Dr. Sci. (Med.), Professor, Rector
Russian Federation, Saint PetersburgVitaly A. Reznik
Saint Petersburg State Pediatric Medical University, Perinatal Сenter
Email: klinika.spb@gmail.com
ORCID iD: 0000-0002-2776-6239
MD, PhD, Chief Physician of the Children's Clinical Hospital
Russian Federation, Saint PetersburgLarisa A. Romanova
Saint Petersburg State Pediatric Medical University, Perinatal Сenter
Email: l_romanova2011@mail.ru
MD, PhD, Department of Obstetrics and Gynecology
Russian Federation, Saint PetersburgTatiana V. Melashenko
Saint Petersburg State Pediatric Medical University, Perinatal Сenter
Email: melashenkotat@mail.ru
MD, PhD, Associate Professor of the Department of Neonatology with courses of Neurology and Obstetrics and Gynecology
Russian Federation, Saint PetersburgLyudmila V. Kurdynko
Saint Petersburg State Pediatric Medical University, Perinatal Сenter
Email: l.kurdynko@yandex.ru
Head of the Obstetrical Physiology Department
Russian Federation, Saint PetersburgMikhail A. Vyugov
Maternity Hospital
Email: mikhailvyugov@yandex.ru
MD, PhD, Anesthesiologist-Intensivist
Russian Federation, TaganrogReferences
- Vetrov VV, Ivanov DO, Sidorkevich SV, Voinov VA. Ehfferentnye i krovesberegayushchie tekhnologii v perinatologii. Rukovodstvo dlya vrachei. Saint Petersburg, 2014. 352 p. (In Russ.)
- Vetrov VV, Ivanov DO. Plod kak patsient transfuziologa. Saint Petersburg: Inform-Navigator, 2016. 112 p. (In Russ.)
- Vetrov VV, Ivanov DO, Reznik VA, et al. Methods of efferent therapy in prolongation of pregnancy in the isthmic-cervical insufficiency (two clinical observations). Pediatrician (St. Petersburg). 2019;10(1): 101–106. (In Russ.) doi: 10.17816/PED101101-106
- Vetrov VV, Ivanov DO, Reznik VA, et al. Results of efferent therapy in monochorionic diamniotic twins with dissociation of fetal development (three clinical observations). Pediatrician (St. Petersburg). 2019;10(2): 111–120. (In Russ.) doi: 10.17816/PED102111-120
- Ivanov DO, Atlasov VO, Bobrov SA, et al. Rukovodstvo po perinatologii. Saint Petersburg: Inform-Navigator, 2015. 1214 p. (In Russ.)
- Ivanov DO, Yuryev VK, Moiseyeva KЕ, et al. Dynamics and forecast of mortality among newborns in obstetric organizations of the Russian Federation. Medicine and health care organization. 2021;6(3):4–19. (In Russ.)
- Nechaev VN, Lisitsyna AS. Sostoyanie novorozhdennykh v zavisimosti ot dlitel’nosti bezvodnogo promezhutka i infektsionnogo protsessa u materi. Proceeding of the VII Regional Scientific Forum “Mat’ i ditya”; 2014 Jun 25–27; Gelendzhik. Moscow, 2014. P. 336. (In Russ.)
- Nikolaeva AE, Kutueva FR, Kutusheva GF. Sovremennye metody diagnostiki prezhdevremennykh rodov v ambulatornom akusherstve. Proceeding of the VII Regional Scientific Forum “Mat’ i ditya”; 2014 Jun 25–27; Gelendzhik. Moscow, 2014. P. 101. (In Russ.)
- Voinov VA, Vyugov MA, Vetrov VV. Plazmaferez pri rezus-nesovmestimoi beremennosti i gemoliticheskoi bolezni ploda i novorozhdennogo. Nauchnyi zhurnal ginekologii i akusherstva. 2019;2(2):001–004. (In Russ.)
- Tsinzerling VA, Mel’nikova VF. Perinatal’nye infektsii: Voprosy patogeneza, morfologicheskoi diagnostiki i kliniko-morfologicheskikh sopostavlenii. Saint Petersburg: Ehlbi SPb, 2002. 352 p. (In Russ.)
Supplementary files








