Pleuropulmonary blastoma: case report in a child 8 years old
- Authors: Zaripova Y.R.1, Muss E.A.2, Arsentev V.G.3
-
Affiliations:
- Petrozavodsk State University
- Sortavala Central District Hospital
- Kirov Military Medical Academy
- Issue: Vol 13, No 4 (2022)
- Pages: 83-92
- Section: Clinical observation
- URL: https://ogarev-online.ru/pediatr/article/view/114938
- DOI: https://doi.org/10.17816/PED13483-92
- ID: 114938
Cite item
Full Text
Abstract
Pleuropulmonary blastoma is a very rare primary fetal tumor of the lung and pleura in young children and is associated with a mutation in the DICER1 gene. Based on the histological picture, three types of this tumor are distinguished: cystic (type I), solid cystic (II), solid (type III). Treatment is surgical followed by polychemotherapy. The prognosis is unfavorable.
The authors bring to the attention of colleagues a description of a clinical case of pleuropulmonary blastoma in an 8-year-old child, diagnosed against the background of an acute respiratory viral infection. He fell ill acutely with a rise in temperature and an unproductive cough. The condition was regarded as a course of an acute respiratory viral infection, symptomatic therapy was carried out. After 8 days from the onset of respiratory viral infection, there is a sharp deterioration in the condition in the form of shortness of breath, refusal to eat and drink, and weakness. The child is hospitalized in a Central District Hospital, differential diagnosis with pneumonia is carried out. According to the examination (plain radiograph and CT scan of the chest), a large volumetric formation with even contours is visualized in the right lung. The patient is transferred to a specialized hospital in St. Petersburg. After an MRI of the chest organs with contrast, taking a biopsy material and performing a histological examination, the patient was diagnosed with a tumor of the right lung — pleuropulmonary blastoma type II.
This clinical case of a rare malignant tumor in an 8-year-old child with congenital heart disease and cerebral palsy may demonstrate a severe variant of systemic connective tissue dysplasia and gene mutation.
Full Text
ВВЕДЕНИЕ
Плевропульмональная бластома (ППБ) — редкое злокачественное новообразование детского возраста, но наиболее частая первичная эмбриональная опухоль легких и плевры у детей раннего возраста (0,03–0,07 случаев на 100 тыс. детей) [26, 30]. Плевропульмональная бластома, в основном, диагностируется у детей первых 3 лет жизни, в редких случаях у детей старше 10 лет и отличается агрессивным развитием с неблагоприятным прогнозом. До недавнего времен считалось, что ППБ чаще выявляется у мальчиков (соотношение 1,6 : 1) [2, 3]. Однако данная онкопатология встречается с одинаковой частотой у мальчиков и девочек [28]. За время исследований зарегистрирован единственный взрослый в возрасте 36 лет с такой опухолью [31]. Среди онкологических заболеваний ППБ диагностируется у 0,1 % пациентов [5, 30].
Впервые заболевание было описано W.G. Barnard в 1952 г. как «эмбриональное легкое», основываясь на гистологическом подобии опухоли и эмбриональной ткани легкого плода [7, 9]. В 1961 г. H. Spencer предположил происхождение этой опухоли из плевропотенциальной легочной бластомы, аналогично таким редким «мезенхимальным новообразованиям», как опухоль Вильмса, нейробластома, гепатобластома и другие опухоли, имеющие эмбриональное происхождение [3, 9, 29]. В 1988 г. J.C. Manivel ввел термин «пульмональная бластома», который применялся для определения данного типа опухоли у взрослых [22]. Позднее был предложен термин «плевропульмональная бластома» для обозначения данного заболевания у детей, которое, в отличие от опухоли взрослых, имеет в большинстве случаев сложную гистологическую структуру, но не содержит злокачественных эпителиальных клеток [4].
ППБ является DICER1-ассоциированным новообразованием, связанным с мутацией в гене DICER1 (14q32.13) [6, 19]. В настоящее время герминальные мутации в этом гене рассматриваются как наследственный синдром, ассоциированный с повышенным риском развития целого ряда злокачественных и доброкачественных новообразований, и носят название DICER1-синдрома [20, 25]. Ген DICER1 расположен на длинном плече хромосомы 14 (14q32.13) и состоит из 36 экзонов [1]. В последнее время изучение этого гена и кодируемого им белка DICER возросло в связи с активным интересом исследователей к функции малых или микроРНК (miRNA). МикроРНК были открыты в 1993 г. V. Ambros и представляют класс малых некодирующих молекул РНК длиной около 22 нуклеотидов [21]. Небольшие фрагменты РНК могут точно настроить количество белка, которое производят различные гены; некоторые малые РНК могут их полностью отключать. Фермент DICER разрезает РНК на более мелкие части — микроРНК, регулирующие гены. Ученые обнаружили, что DICER поддерживает структурную целостность хромосом и «следит» за тем, чтобы они разделялись равномерно во время клеточного деления, то есть отвечает за стабильность генома [14]. Можно предположить, что DICER1 является геном-супрессором опухоли, мутации которого приводят к развитию ППБ и других связанных с DICER1 состояний [6]. DICER1-ассоциированными новообразованиями считаются доброкачественные и злокачественные новообразования, такие как ППБ, опухоль яичников из клеток Сертоли – Лейдига, кистозная нефрома, саркома почки или нефробластома, узловая гиперплазия и рак щитовидной железы, назальная хондромезенхимальная гамартома, эмбриональная рабдомиосаркома, нейробластома, медуллоэпителиома цилиарного тела, гипофизарная бластома и пинеобластома [6, 20].
Существует международный регистр плевропульмональной бластомы (International Pleuropulmonary Blastoma Registry, IPPBR*), основанный в 1987 г. и представляющий результаты лечения более 500 зарегистрированных пациентов с ППБ [23]. Опухолевый процесс протекает в легких, проявляясь симптомами заболеваний дыхательной системы. ППБ растет из легочной ткани и/или плевры и имеет смешанное происхождение. Биология ППБ — уникальная среди данных эмбриональных опухолей и характеризуется тем, что клинически и гистологически ППБ прогрессирует в зависимости от возраста в течение первых 7,5 лет жизни [6, 10, 23]. Существует четыре основных морфологических типа ППБ: тип I (кистозная форма), тип Ir, тип II (кистозно-солидная форма), тип III (солидная форма) с прогрессированием опухоли во времени в течение первых 4–5 лет жизни от прогностически благоприятного кистозного типа I до неблагоприятного солидного типа III [13]. Каждый из этих типов ППБ может быть связан с изменением гена DICER1. Однако описаны случаи ППБ без мутации гена DICER1, а также носительство мутации данного гена без развития опухоли [16]. Отрицательные результаты мутации DICER1 могут быть связаны с мозаицизмом [12]. Риск образования опухоли на протяжении всей жизни у людей с DICER1-синдромом лишь умеренно повышен по сравнению с риском образования опухоли в общей популяции [16]. Кистозная форма ППБ (тип I) может быть унифокальной, унилатеральной и ограничиваться пораженной долей легкого, но в большинстве случаев характеризуется мультифокальным/билатеральным поражением [6, 11, 13, 23]. В перинатальном периоде данная форма дифференцируется от врожденной кистозно-аденоматозной мальформации дыхательных путей [6, 13, 15]. Тип II ППБ, описанный в качестве клинического примера в данной работе, представляет собой кистозные и солидные участки, имеющие клетки как типа I, так и типа III. ППБ типа III — комплексная саркома, сочетающая в себе черты эмбриональной рабдомиосаркомы и веретеновидной саркомы высокой степени злокачественности, содержащей разбросанные большие, странно выглядящие анаплазированные клетки и узлы саркоматозного хряща [6]. Типы II и III ППБ часто представляют собой большие по размерам злокачественные новообразования, всегда приводящие к смещению легких, сердца, диафрагмы и печени [6], могут иметь кавоатриальное распространение и вовлекать как венозный и артериальный кровоток, так и правую и левую камеры сердца [27].
ППБ типа Ir — это регрессированная форма ППБ типа I [4, 6, 23]. Кисты ППБ типа Ir имеют строение, характерное для типа I, у них отсутствуют субэпителиальные примитивные мелкие клетки, но имеется гиалинизированный интерстиций [6]. На данный момент времени неизвестно, будет ли тип I ППБ прогрессировать до более агрессивного типа II и III или регрессировать до типа Ir. В литературе описаны случаи, когда тип Ir имел более позднее развитие в ППБ типов II и III [11]. Бессимптомные кисты легких у членов семьи, имеющих анамнез по ППБ, в возрасте старше 7 лет наиболее вероятно имеют морфологический вариант тип Ir, так как в этом возрасте более чем в 95 % случаев диагностируются формы II и III [6, 23].
В настоящее время, по данным международного регистра ППБ, существует корреляция между средним возрастом при постановке диагноза и патологическим типом ППБ: тип I — 8 мес., тип II — 35 мес., тип III — 41 мес. Другая значимая корреляция наблюдается между типом ППБ и выживаемостью: тип I — 94 %, тип II — 71 %, тип III — 53 % пациентов [11, 22].
Клиническая картина ППБ неспецифична. Нередко болезнь протекает с клиникой респираторных воспалительных заболеваний и сопровождается жалобами на боли в груди или в животе, кашель, повышение температуры, одышку, слабость (более характерно для II и III типов опухоли) [4]. Данная симптоматика отмечалась и у нашего пациента. Дебют заболевания может проявляться напряженным пневмотораксом с развитием дыхательной недостаточности (чаще при типе I) [3, 24]. Возможность ППБ следует учитывать у детей с пневмотораксом, множественными легочными кистозными поражениями, семейным анамнезом легочных кист, семейным анамнезом ППБ или объемными поражениями, связанными с DICER1-синдромами [32]. ППБ может быть обнаружен случайно при проведении визуализирующих исследований при отсутствии симптомов. В связи с тем что плевропульмональная бластома — крайне редкая опухоль, без патогномоничной симптоматики, быстро растущая и метастазирующая, диагностика и лечение ее представляют большие трудности. Поскольку до сих пор по ППБ не было опубликовано проспективных или сравнительных проспективных исследований, все рекомендации по диагностике и лечению основаны на уровне доказательности IV или V [8]. Лабораторные данные неспецифичны, чаще всего наблюдаются тенденция к анемии, увеличение скорости оседания эритроцитов, могут присутствовать умеренный лейкоцитоз, тромбоцитоз [4].
Рентгенологические исследования так же неспецифичны и зависят от типа опухоли, могут проявляться унилакунарными кистами или мультикистозными структурами (как субплевральной, так и легочной локализации), кистами с солидным компонентом или солидными мягкотканными образованиями [4]. Для уточнения диагноза может помочь спиральная компьютерная томография (СКТ, уровень доказательности IV, степень рекомендаций А), позитронно-эмиссионная томография, совмещенная с рентгеновской КТ (ПЭТ/КТ, уровень IV, степень С), на которых выявляется солидный фрагменты опухоли, тонкостенные кисты, смещение органов средостения в здоровую сторону, интенсивное накопление радиофармпрепарата в солидном компоненте опухоли и отсутствие его в кистозном. ПЭТ/КТ, вероятно, в будущем может заменить сканирование костей [8]. При типах II и III ППБ необходимо КТ брюшной полости [8]. Магнитно-резонансная томография (МРТ) органов грудной клетки может помочь определить региональное распространение опухоли (уровень IV, степень С). МРТ головного мозга (уровень IV, степень В) и радионуклидное сканирование костей позволит определить наличие отдаленных метастазов при II и III типах ППБ [8]. Самым эффективным диагностическим методом признана эндоскопическая торакоскопия или толстоигольная биопсия с проведением полноценной биопсии образования и последующим гистологическим и иммуногистохимическим исследованием [10]. Эхокардиография необходима для выявления сосудистой инвазии и внутрисердечного поражения (уровень IV, степень В) [8].
В настоящее время специфические онкомаркеры ППБ отсутствуют (уровень IV, степень E). Следует рассмотреть возможность дополнительной оценки для поиска DICER1-ассоциированных патологий как у пациента, так и у членов его семьи.
Лечение пациентов с ППБ — комбинированное мультимодальное, включающее хирургическое и полихимиотерапию [4, 8]. Данные в поддержку использования адъювантной химиотерапии у пациентов с ППБ типа I противоречивы. В настоящее время рекомендовано проведение адъювантной химиотерапии для ППБ I типа с включением ифосфамида, винкристина, актиномицина D и циклофосфамида (уровень IV, степень С) [6, 8]. У детей младше 12 мес. решение о проведении адъювантной химиотерапии с подозрением на обсеменение опухолевыми клетками или остаточную опухоль после хирургического вмешательства необходимо принимать индивидуально, с дозами, адаптированными к возрасту пациента (уровень V, степень C). При II и III типах ППБ химиотерапия обязательна (уровень IV, степень А) [8]. Описаны различные схемы, длительность варьирует от 21 до 45 нед. Роль лучевой терапии при ППБ неясна. Лучевая терапия не рекомендуется при типе I ППБ (уровень IV, степень Е). При II и III типах ППБ лучевая терапия может быть рекомендована в случаях остаточной жизнеспособности опухоли после проведения химиотерапии и повторного хирургического вмешательства. В этом случае преимущества и риски наружной лучевой терапии следует сопоставить с тотальной плевропневмонэктомией (уровень IV, степень С). Данных об оптимальной дозе лучевой терапии нет [8, 17, 18].
КЛИНИЧЕСКИЙ ПРИМЕР
Пациент, мальчик, 8 лет, от первой беременности, протекавшей на фоне анемии, преэклампсии, угрозы прерывания, первых срочных родов через естественные родовые пути, с весом 3010 г, длиной тела 50 см, по шкале Апгар 6/7 баллов, с асфиксией в родах. После рождения диагностирован врожденный порок сердца — тетрада Фалло. Проведена 2-этапная коррекция порока в возрасте 6 мес. и 1 г. 3 мес. в условиях искусственного кровообращения и гипотермии. В возрасте 1 г. 1 мес. перенес бактериальный менингит неуточненной этиологии. Ребенок состоит на диспансерном учете у невролога-эпилептолога, кардиолога, ортопеда по поводу детского церебрального паралича, тетрапареза, задержки речевого и психомоторного развития. Перенесенные заболевания: редкие острые респираторные вирусные инфекции, бронхит. Других детей в семье нет. Наследственность, со слов родителей, не отягощена.
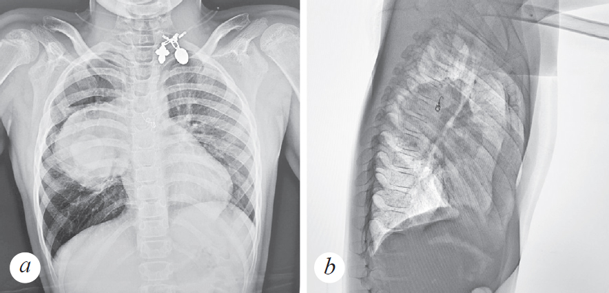
На момент госпитализации болен, со слов родителей, 10 дней. Начало заболевания — покашливание, умеренная астения. Осмотрен педиатром по месту жительства, состояние расценено как течение острой респираторной вирусной инфекции, назначена симптоматическая терапия Амброгексалом. На фоне лечения — без улучшения, отмечается повышение температуры до 38 °C, кашель, в связи с чем ребенка повторно осматривал участковый педиатр, коррекция терапии не проводится. Мама самостоятельно начала давать мальчику Амоксиклав. На 2-й день приема антибиотика, со слов родителей, отмечалось улучшение самочувствия, нормализация температуры тела, уменьшение кашля. Семья уехала на отдых в Карелию, где на 3-й день пребывания у ребенка наблюдается резкое ухудшение состояния в виде выраженной одышки, отказа от еды и питья, слабости. С данными жалобами ребенок госпитализирован в ГБУЗ РК «Сортавальская ЦРБ». Состояние при поступлении расценено как тяжелое. Мальчик вялый, адинамичный. При осмотре отмечается бледность кожных покровов, одышка смешанного характера до 40–46 дыханий в минуту, SpO2 90 %. Зев без катаральных явлений. Периферические лимфоузлы не увеличены. Носовое дыхание свободное. Аускультативно в легких: справа ослабленное дыхание, сухие свистящие хрипы по всем легочным полям. Перкуторно над легкими: укорочение легочного тона справа в проекции средней доли. Тоны сердца ясные, ритмичные, 102 в минуту. Артериальное давление 95/60 мм рт. ст. Живот мягкий, безболезненный, печень по краю реберной дуги, селезенка не пальпируется. Физиологические отправления в норме. В клиническом анализе крови при поступлении гемоглобин 119 г/л, эритроциты 4,48 · 1012/л, лейкоциты 6,68 · 109/л, тромбоциты 336 · 109/л, палочкоядерные нейтрофилы 5 %, сегментоядерные нейтрофилы 85 %, лимфоциты 6 %, моноциты 4 %. В биохимическом анализе крови: общий белок 66,7 г/л, С-реактивный белок 33,7 ед., аланинаминотрансфераза 14,7 U/I, аспартатаминотрансфераза 28,0 U/I, билирубин общий 5,3 ммоль/л, глюкоза 7,52 ммоль/л, мочевина 5,0 ммоль/л, креатинин 23 ммоль/л. Общий анализ мочи: лейкоциты 20–22 в поле зрения, эритроциты 25–27 в поле зрения. Коагулограмма: Д-димер 3,27. На рентгенограмме легких (прямая и правая боковая проекция, рис. 1) и СКТ легких (рис. 2) — справа, в проекции SVI, огромное образование с ровными и четкими контурами, плотной интенсивности, не сопровождающееся нарушением проходимости бронхов.
Рис. 1. Пациент, 8 лет. Прямая (a) и правая боковая рентгенограмма (b) грудной клетки — справа, в проекции S6, огромное образование с ровными и четкими контурами, плотной интенсивности, не сопровождающееся нарушением проходимости бронхов
Рис. 2. Пациент, 8 лет. Компьютерная томограмма, легочный режим: А (аксиальная проекция) — большое солидное образование в 6-м сегменте правого легкого
Слева — без очаговых и инфильтративных изменений. Электрокардиография: синусовая тахикардия, частота сердечных сокращений 148 в минуту, неполная блокада правой ножки пучка Гисса. Эхокардиоскопия: незначительное расширение правых полостей сердца, косвенные признаки умеренной легочной гипертензии, пик градиента давления на легочной артерии 9,8 мм рт. ст., шунтирующих потоков нет, жидкости в полости перикарда нет, не исключается тромбоз анастомоза. Предварительный диагноз: «Образование правого легкого (в проекции S6): опухоль, киста, тромбоз анастомоза — аневризма? Обструктивный трахеобронхит, дыхательная недостаточность II степени, смешанного генеза». Сопутствующий диагноз: «Детский церебральный паралич, тетрапарез, задержка речевого и психомоторного развития. Врожденный порок сердца, тетрада Фалло, операции в 2014 и 2015 гг., недостаточность кровообращения 0 степени». Проводимая терапия: инфузионная, антибактериальная (цефтриаксон), дексаметазон, диазепам, кислородотерапия, небулайзерная терапия фенотеролом и ипратропия бромидом, будесонидом. На 3-и сутки от момента госпитализации в районную больницу после предварительной консультации ребенок транспортирован санитарной авиацией в отделение онкогематологии клиники ФГБОУ ВО «Санкт-Петербургский государственный педиатрический медицинский университет», где после проведения МРТ органов грудной клетки с контрастированием (прорастание опухоли в корень легкого и сосудистый пучок) выполнена чрескожная трепанобиопсия опухоли правого легкого под ультразвуковой навигацией. По результатам гистологического исследования диагностирована опухоль правого легкого — плевропульмональная бластома, II тип (смешанный вариант с солидным и кистозным компонентом опухоли). Начата полихимиотерапия по протоколу лечения ППБ. В настоящее время после 3-го курса полихимиотерапии достигнута клинико-рентгенологическая стабилизация опухолевого процесса: образование уменьшилось в размерах. С учетом положительной динамики и отягощенного преморбидного фона, а также прорастание опухоли в корень легкого и сосудистый пучок в настоящее время от операции пневмонэктомии решено воздержаться. В плане — продолжение полихимиотерапии.
ЗАКЛЮЧЕНИЕ
Плевропульмональная бластома диагностирована у ребенка в ходе обследования по поводу острой респираторной вирусной инфекции, имеющей нетипичное течение. Крайняя редкость, отсутствие специфической клинической картины, быстрый рост и метастазирование данной опухоли обусловливает сложность диагностики и несвоевременность лечения. Необходимо помнить о существовании данного заболевания у детей младшего возраста в случае отсутствия динамики при лечении воспалительных заболеваний, как в данном клиническом примере, а также при выявлении кистозных образований и пневмоторакса. Данный клинический случай выявления редкой злокачественной опухоли у ребенка 8 лет, имеющего отягощенный анамнез (врожденный порок сердца, детский церебральный паралич), возможно, демонстрирует тяжелый вариант реализации системной дисплазии соединительной ткани и генной мутации.
ДОПОЛНИТЕЛЬНАЯ ИНФОРМАЦИЯ
Вклад авторов. Все авторы внесли существенный вклад в разработку концепции, проведение исследования и подготовку статьи, прочли и одобрили финальную версию перед публикацией.
Конфликт интересов. Авторы декларируют отсутствие явных и потенциальных конфликтов интересов, связанных с публикацией настоящей статьи.
Источник финансирования. Авторы заявляют об отсутствии внешнего финансирования при проведении исследования.
Информированное согласие на публикацию. Авторы получили письменное согласие официальных представителей пациента на публикацию медицинских данных.
ADDITIONAL INFORMATION
Author contribution. Thereby, all authors made a substantial contribution to the conception of the study, acquisition, analysis, interpretation of data for the work, drafting and revising the article, final approval of the version to be published and agree to be accountable for all aspects of the study.
Competing interests. The authors declare that they have no competing interests.
Funding source. This study was not supported by any external sources of funding.
Consent for publication. Written consent was obtained from the patient for publication of relevant medical information within the manuscript.
* https://www.ppbregistry.org
About the authors
Yuliya R. Zaripova
Petrozavodsk State University
Author for correspondence.
Email: julzar@mail.ru
ORCID iD: 0000-0002-6907-2382
MD, PhD, Dr. Sci. (Med.), Head of the Department of Pediatrics and Pediatric Surgery, School of Medicine
Russian Federation, Petrozavodsk, Republic of KareliaElena A. Muss
Sortavala Central District Hospital
Email: super.babydoc@yandex.ru
ORCID iD: 0000-0003-1804-0820
Head of the Pediatric Department. Sortavala Central District Hospital
Russian Federation, Sortavala, Republic of KareliaVadim G. Arsentev
Kirov Military Medical Academy
Email: rainman63@mail.ru
ORCID iD: 0000-0002-3135-0412
MD, PhD, Dr. Sci. (Med.), Head of the Department of Children's Diseases
Russian Federation, Saint PetersburgReferences
- Babinskaya SA, Kalinchenko NYu, Ilyin AA, et al. A clinical case of hereditary papillary thyroid carcinoma associated with a germline DICER1 gene mutation. Problems of Endocrinology. 2017;63(5):320–324. (In Russ.) doi: 10.14341/probl2017635320-324
- Davydov MI, Aksel’ EM, editors. Statistika zlokachestvennykh obrazovanii v Rossii i stranakh SNG v 2012 g. Moscow: Izdatel’skaya gruppa RONTS, 2014. 226 p. (In Russ.)
- Petrikova NI, Efremenkov AM, Ignatiev EM, Snitkin NA. Pleuropulmonary blastoma: literature review and proper clinical supervision. Onkopediatriya. 2014;(4):52–55. (In Russ.)
- Stashuk GA, Pykhteev DA, Kazantseva IA, et al. A rare lung malignancy in a 3-year-old child. Almanac of Clinical Medicine. 2015;(43): 120–126. (In Russ.)
- Chernekhovskaya NE, Fedchenko GG, Andreev VG, Povalyaev AV. Rentgeno-ehndoskopicheskaya diagnostika zabolevanii organov dykhaniya. Moscow: MEDpress-inform, 2007. 241 p. (In Russ.)
- Schultz KAP, Williams GM, Kachanov DYu, et al. DICER1 syndrome and pleuropulmonary blastoma: a report from the International Pleuropulmonary Blastoma Registry. Russian Journal of Pediatric Hematology and Oncology. 2017;4(4):9–19. (In Russ.) doi: 10.17650/2311-1267-2017-4-4-13-19
- Barnard WG. Embryoma of lungs. Thorax. 1952;7(4): 299–301. doi: 10.1136/thx.7.4.299
- Bisogno G, Sarnacki S, Stachowicz-Stencel T, et al. Pleuropulmonary blastoma in children and adolescents: TheEXPeRT/PARTNER diagnostic and therapeutic recommendations. Pediatr Blood Cancer. 2021;68(S4): e29045. doi: 10.1002/pbc.29045
- Cutler CS, Michel RP, Yassa M, Langleben A. Pulmonary blastoma: case report of a patient with a 7-year remission and review of chemotherapy experience in the world literature. Cancer. 1998;82(3):462–467. doi: 10.1002/(SICI)1097-0142(19980201)82:3<462:: AID-CNCR6>3.0.CO;2-R
- Dehner LP, Messinger YH, Schultz KA, et al. Pleuropulmonary blastoma: evolution of an entity as an entry into a familial tumor predisposition syndrome. Pediatr Dev Pathol. 2015;18(6):504–511. doi: 10.2350/15-10-1732-OA.1
- Dehner LP, Schultz KA, Hill DA. Pleuropulmonary blastoma: more than a lung neoplasm of childhood. Mo Med. 2019;116(3):206–210.
- Faure A, Atkinson J, Bouty A, et al. DICER1 pleu-ropulmonary blastoma familial tumour predisposition syndrome. J Pediatr Urol. 2016;12(1):5–10. doi: 10.1016/j.jpurol.2015.08.012
- González IA, Stewart DR, Schultz KAP, et al. DICER1 tumor predisposition syndrome: an evolving story initiated with the pleuropulmonary blastoma. Mod Pathol. 2022;35(1):4–22. doi: 10.1038/s41379-021-00905-8
- Gutbrod MJ, Roche B, Steinberg JI, et al. Dicer promotes genome stability via the bromodomain transcriptional co-activator BRD4. Nat Commun. 2022;13:1001. doi: 10.1038/s41467-022-28554-8
- Haider F, Al Saad K, Al-Hashimi F, Al-Hashimi H. It’s rare so be aware: pleuropulmonary blastoma mimicking congenital pulmonary airway malformation. Thorac Cardiovasc Surg Rep. 2017;6(1):e10–e14. doi: 10.1055/s-0037-1598625
- Hamad SG, Al-Naimi A, Abu-Hasan M. Pleuropulmonary blastoma (PPB) in child with DICER1 mutation: the first case report in the state of qatar. Case Rep Pulmonol. 2021;2021:1983864. doi: 10.1155/2021/1983864
- Al Absi HS, Konstantinopoulou S, Al Junaibi AA, et al. Type I regressed pleuropulmonary blastoma in a 10-year-old boy. Indian J Thorac Cardiovasc Surg. 2019;35(4): 579–583. doi: 10.1007/s12055-019-00814-1
- Hill DA, Jarzembowski JA, Priest JR, et al. Type I pleuropulmonary blastoma: pathology and biology study of 51 cases from the international pleuropulmonary blastoma registry. Am J Surg Pathol. 2008;32(2):282–295. doi: 10.1097/PAS.0b013e3181484165
- Hill DA, Ivanovich J, Priest JR, et al. DICER1 mutations in familial pleuropulmonary blastoma. Science. 2009;325(5943):965. doi: 10.1126/sci-ence.1174334
- Hill DA, Doros L, Schultz KA, et al. DICER1-related disorders. R.A. Pagon, editor. GeneReviews™. Seattle: University of Washington, 2014.
- Lee RC, Feinbaum RL, Ambros V. The C elegans heterochronic gene lin-4 encodes small RNAs with antisense complementarity to lin-14. Cell. 1993;75(5):843–854. doi: 10.1016/0092-8674(93)90529-Y
- Manivel JC, Priest JR, Watterson J, et al. Pleuropulmonary blastoma. The so-called pulmonary blastoma of childhood. Cancer. 1988;62(8):1516–1526. doi: 10.1002/1097-0142(19881015)62:8<1516:: AID-CNCR2820620812>3.0.CO;2-3
- Messinger YH, Stewart DR, Priest JR, et al. Pleuropulmonary blastoma: a report on 350 central pathology-confirmed pleuropulmonary blastoma cases by the International Pleuropulmonary Blastoma Registry. Cancer. 2015;121(2):276–285. doi: 10.1002/cncr.29032
- Miniati DN, Chintagumpala M, Langston C, et al. Prenatal presentation and outcome of children with pleuropulmonary blastoma. J Pediatr Surg. 2006;41(1): 66–71. doi: 10.1016/j.jpedsurg.2005.10.074
- Priest JR, Watterson J, Strong L, et al. Pleuropulmonary blastoma: a marker for familial disease. J Pediatr. 1996;128(2):220–224. doi: 10.1016/S0022-3476(96)70393-1
- Priest JR, McDermott MB, Bhatia S, et al. Pleuropulmonary blastoma: a clinicopathologic study of 50 cases. Cancer. 1997;80(1):147–161. doi: 10.1002/(SICI)1097-0142(19970701)80:1<147::AID-CNCR20>3.0.CO;2-X
- Priest JR, Andic D, Arbuckle S, et al. Great vessel/cardiac extension and tumor embolism in pleuropulmonary blastoma: a report from the International Pleuropulmonary Blastoma Registry. Pediatr Blood Cancer. 2011;56(4):604–609. doi: 10.1002/pbc.22583
- Spahiu L, Baruti-Gafurri Z, Grajçevci-Uka V, et al. Type II pleuropulmonary blastoma in a 4 month old infant with negative dicer1 mutation on next generation sequencing. Case Rep Med Arch. 2021;75(1):61–65. doi: 10.5455/medarh.2021.75.61-65
- Spencer H. Pulmonary blastoma. J Pathol Bacteriol. 1961;82(1):161–165. doi: 10.1002/path.1700820119
- Steliarova-Foucher E, Stiller C, Lacour B, Kaatsch P. International Classification of Childhood Cancer, 3rd edition. Cancer. 2005;103(7):1457–1467. doi: 10.1002/cncr.20910
- Stocker JT, Hussain AN, Dehner LP. Pediatric tumors. Dail and Hammar’s Pulmonary Pathology. 3rd edition. Vol. II. J.F. Tomashefski, P.T. Cagle, С.F. Farver, A.E. Fraire, editors. New York: Springer, 2008. 542–557 p.
- Zhang N, Zeng Q, Ma X, et al. Diagnosis and treatment of pleuropulmonary blastoma in children: A single-center report of 41 cases. J Pediatr Surg. 2020;55(7): 1351–1355. doi: 10.1016/j.jpedsurg.2019.06.009
Supplementary files


