Аутоампутация придатков матки вследствие перекрута
- Авторы: Романова Л.А.1, Рухляда Н.Н.1, Тайц А.Н.1, Малышева А.А.1, Дудова К.А.1
-
Учреждения:
- Санкт-Петербургский государственный педиатрический медицинский университет
- Выпуск: Том 13, № 3 (2022)
- Страницы: 65-72
- Раздел: Клинический случай
- URL: https://ogarev-online.ru/pediatr/article/view/109762
- DOI: https://doi.org/10.17816/PED13365-72
- ID: 109762
Цитировать
Полный текст
Аннотация
Перекрут придатков матки — это неотложное хирургическое состояние, определяемое как полное или частичное вращение яичника и/или фаллопиевой трубы вокруг своей сосудистой оси, вызывающее нарушение кровоснабжения. Постановка диагноза затруднена до операции из-за отсутствия патогномоничных признаков клинической картины и инструментальной диагностики. При перекруте яичник обычно вращается вокруг воронко-тазовой и собственной связок яичника, что вызывает сдавление сосудов, развивается ишемия и некроз, приводя к таким осложнениям, как тромбофлебит тазовых вен, кровотечение, инфицирование, перитонит, а также кальцификация и аутоампутация. Классическая клиническая картина перекрута придатков матки — внезапное начало постоянных/периодических тазовых или абдоминальных болей от умеренных до сильных, диффузных или изолированных с одной стороны. Данное состояние может сопровождаться тошнотой, рвотой, лихорадкой, болезненным и учащенным мочеиспусканием. Наиболее точным инструментальным методом диагностики при перекруте придатков матки является цветное доплеровское ультразвуковое исследование, однако окончательный диагноз ставится только во время операции. Если яичник ишемизирован, рекомендована деторсия придатков, при некротизации выполняют аднексэктомию.
В нашем приведенном клиническом случае у пациентки 38 лет отсутствовали жалобы на момент госпитализации, но в анамнезе — постоянные сильные боли внизу живота на фоне полного благополучия. При ультразвуковом обследовании органов малого таза левый яичник не визуализируется. По данным магнитно-резонансной томографии органов малого таза обнаружено кистозное образование в позадиматочном пространстве с геморрагическим или высокобелковым содержимым, а также отсутствие визуализации левого яичника. При лапароскопии выявлена аутоампутация левых придатков матки вследствие перекрута, наличие некротизированного образования в позадиматочном пространстве. Таким образом, лапароскопия — это единственный достоверный метод диагностики и лечения перекрута придатков матки.
Ключевые слова
Полный текст
ВВЕДЕНИЕ
Перекрут придатков матки — это неотложное хирургическое состояние, определяемое как полное или частичное вращение яичника и/или фаллопиевой трубы вокруг своей сосудистой оси, вызывающее нарушение кровоснабжения [12, 15].
Перекрут придатков матки чаще встречается в репродуктивном периоде, хотя может возникать в любой возрастной группе, начиная с рождения до периода постменопаузы. Данное состояние занимает пятое место по распространенности среди неотложной гинекологии и составляет 2,7 %. Изолированный перекрут маточной трубы наблюдают у одной женщины из 1,5 млн [6, 8, 11, 15]. Чаще встречается в детском возрасте из-за анатомических особенностей, удлиненных маточно-яичниковых связок.
Постановка диагноза затруднена до операции из-за отсутствия патогномоничных признаков клинической картины и инструментальной диагностики [7, 16]. Перекрут чаще встречается справа из-за более длинной правой маточно-яичниковой связки, а также гипермобильности слепой и подвздошной кишки в отличие от относительно фиксированной сигмовидной кишки слева [12, 15].
В формировании перекрута выделяют определенные группы риска: анатомические врожденные и приобретенные пороки развития (длинный мезосальпинкс, трубные аномалии, гемо- или гидросальпинкс, гидатиды Морганьи, образования яичника); физиологические нарушения перистальтики кишечника, гемодинамики (венозный стаз в мезосальпинксе); резкие изменения положения тела; перенесенные травмы, заболевания или операции на органах малого таза; увеличение матки в результате беременности. Более чем у 85 % пациенток с перекрутом придатков имеется новообразование яичника. Многие из этих образований связаны с репродуктивными изменениями в организме женщины. У взрослых наиболее частыми предрасполагающими факторами становятся функциональные кисты, желтое тело или доброкачественные новообразования, поскольку злокачественные часто фиксированы к соседним тканям [12, 15].
При перекруте яичник обычно вращается вокруг воронко-тазовой и собственной связок яичника, что вызывает сдавление сосудов, в первую очередь нарушается венозный и лимфатический отток, так как стенки артерий толще, чем стенки вен, и, следовательно, более устойчивы к сдавливанию. Это нарушение вызывает отек яичников, что приводит к характерному внешнему виду; затем страдает артериальный кровоток, развивается ишемия и некроз, что может вызвать такие осложнения как тромбофлебит тазовых вен, кровотечение, инфицирование, перитонит, а также кальцификацию и аутоампутацию [9, 13, 15, 16]. Аутоампутация чаще встречается в перинатальном периоде и периоде новорожденности, как правило, сопровождается бессимптомным течением.
Классическая клиническая картина перекрута придатков матки — внезапное начало постоянных/периодических тазовых или абдоминальных болей от умеренных до сильных, которые могут быть диффузными или изолированными с одной стороны. Характер боли может быть острым, тупым, колющим или схваткообразным с иррадиацией в бок, спину, пах или бедро. Болевой синдром может быть различной продолжительности, от нескольких дней до месяцев, и в анамнезе могут быть подобные преходящие эпизоды боли, указывающие на предшествующий частичный перекрут. Данное состояние может сопровождаться тошнотой, рвотой, лихорадкой, болезненным и учащенным мочеиспусканием.
Лабораторные показатели могут быть в пределах нормы, также у некоторых пациентов перекрут придатков матки может сопровождаться отклонениями в клиническом анализе крови характерными для воспаления, такими как умеренный лейкоцитоз и повышение С-реактивного белка или скорости оседания эритроцитов.
При бимануальном влагалищном исследовании возможно выявление болезненного образования в области придатков и боли при тракциях за шейку матки.
В некоторых случаях определяются положительные перитонеальные симптомы.
Результаты визуализации перекрута придатков матки при инструментальной диагностике неспецифичны. По данным ультразвукового исследования органов малого таза может определяться продолговатое, извитое, увеличенное кистозное образование, неоднородной структуры, по сравнению с контрлатеральным яичником. Яичник может располагаться впереди матки, а не в обычном положении сбоку или сзади матки; локализация может меняться в зависимости от степени наполнения мочевого пузыря. Множественные фолликулы могут присутствовать на периферии яичника из-за смещения отеком. Эта особенность также наблюдается при синдроме поликистозных яичников, хотя при поликистозе яичников строма эхогенна в центре, яичник не выглядит отечным, и у пациентки нет острой боли; при данном заболевании яичники также обычно одинаковы по размеру и внешнему виду.
Наиболее точный инструментальный метод диагностики при перекруте придатков матки — это цветное доплеровское ультразвуковое исследование, позволяющее обнаружить симптом «водоворота», а также одностороннее отсутствие кровотока в мезосальпинксе, но его наличие не может исключить перекрут, поскольку сохранение потока может быть связано с неполной окклюзией, прерывистым перекрутом и коллатеральным кровоснабжением (например, маточно-яичниковые и воронко-тазовые сосуды) [7, 10, 12–16].
Перекрут придатков матки без своевременного лечения может вызвать нарушение функции яичников и маточных труб, а также потерю органа, что негативным образом сказывается на репродуктивной функции и может привести к бесплодию [1–5, 10].
Несмотря на характерные клинические проявления и признаки перекрута придатков матки, по данным инструментальных методов исследования, окончательный диагноз ставится во время операции. Лапароскопический доступ считается лучшим диагностическим и терапевтическим подходом при перекруте придатков матки.
Существуют консервативные и радикальные варианты лечения при перекрута придатков. Возраст, репродуктивные планы, менопаузальный статус и наличие патологии яичников — все эти факторы учитываются при принятии решения. На сегодняшний день консервативное лечение является наиболее рекомендуемым хирургическим подходом при перекруте придатков. Наличие отека, воспаления, гиперемии и ишемии приводит к увеличению яичника и появлению черно-синюшного оттенка. Это может затруднить принятие решений во время операции, что приведет к несвоевременному использованию аднексэктомии. Черно-синюшный яичник, не меняющий своей окраски во время операции, не может быть свидетельством некроза, и вероятность восстановления все же есть. Если яичник ишемизирован, но не некротизирован, рекомендовано консервативное лечение, заключающееся в деторсии придатков. В случае некротизированной ткани целесообразно проведение овариоэктомии или аднексэктомии.
Может быть полезно в отдельных случаях проводить интраоперационный анализ замороженных срезов, чтобы оценить жизнеспособность ткани яичника и, возможно, избежать более агрессивного подхода [10, 15].
КЛИНИЧЕСКИЙ СЛУЧАЙ
Пациентка, 38 лет, поступила в отделение гинекологии Перинатального центра Санкт-Петербургского государственного педиатрического медицинского университета по поводу кистозного образования в позадиматочном пространстве с геморрагическим или высокобелковым содержимым по данным магнитно-резонансной томографии, а также отсутствия визуализации левого яичника. Жалоб на момент госпитализации нет.
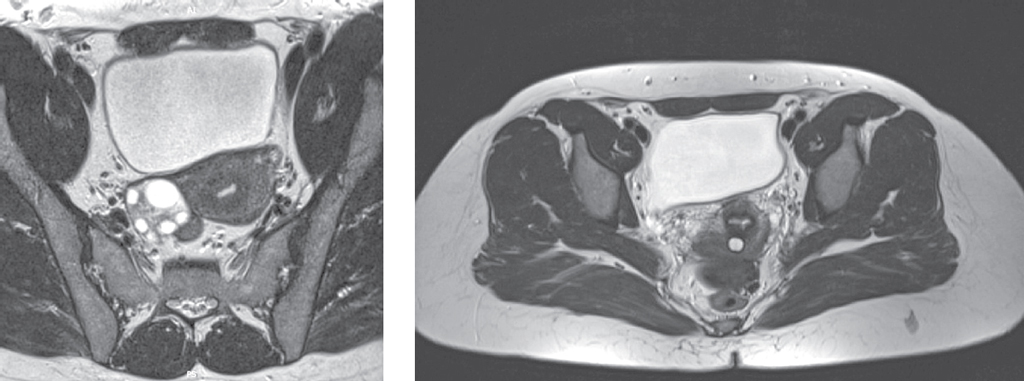
В анамнезе в 2012 г. на сроке беременности 5/6 нед. отмечала внезапно возникшую на фоне полного благополучия постоянную сильную боль внизу живота. При ультразвуковом исследовании органов малого таза патологии не выявлено. Постоянный прием нестероидных противовоспалительных средств в течение 2 нед. (нурофен, баралгин) периодически незначительно уменьшал болевой синдром. Тошноту, рвоту отрицает. На сроке беременности 7/8 нед. — вакуум-аспирация содержимого полости матки. Болевой синдром прекратился. Через год внезапно появление интенсивной непрерывной боли в течение нескольких дней, обследована — патологии не выявлено. Болевой синдром связывали с радикулопатией. В июне 2021 г. при плановом обследовании по ультразвуковому исследованию органов малого таза левый яичник не визуализируется. В позадиматочном пространстве определяется овальной формы образование неоднородной структуры (гипоэхогенное с гиперэхогенными включениями), без кровотока при цветовом доплеровское картировании, размерами 38 × 18 × 25 мм. По данным магнитно-резонансной томографии органов малого таза от октября 2021 г.: признаки кистозного образования в позадиматочном пространстве с геморрагическим или высокобелковым содержимым — вероятно, эндометриоидная киста позадиматоного пространства. Левый яичник убедительно не определяется (рис. 1).
Рис. 1. Магнитно-резонансная томография органов малого таза / Fig. 1. Magnetic resonance imaging of pelvic organs
Менархе у пациентки наступило в возрасте 13 лет; менструальный цикл длится 25 дней, а менструации по 5 дней, обильные, безболезненные. Начало половой жизни в возрасте 16 лет, метод контрацепции — мужской презерватив. Первая беременность в 2007 г. закончилась нормальными доношенными родами через естественные родовые пути: девочка, массой тела 3400 г, длиной 50 см, без осложнений. Вторая беременность — роды через естественные родовые пути на доношенном сроке: девочка, массой тела 3550 г, длиной тела 53 см, без осложнений.
У пациентки отягощен соматический анамнез: хроническая анемия I степени тяжести. Хронический геморрой, ремиссия. Ретикулярный варикоз. Хронический цистит, ремиссия. Дегенеративно-дистрофические заболевания позвоночника с грыжеобразованием грудного и поясничного отделов.
В 2006 г. проведена диатермоэлектрокоагуляция шейки матки по поводу дисплазии легкой степени. Аллергологический анамнез: жжение при использовании вагинальных свечей «Нео-Пенотран». Вредные привычки отрицает.
При физикальном обследовании пациентка в сознании, общее состояние удовлетворительное, хорошо ориентируется во времени и пространстве. Жизненно важные показатели в норме. Рост 153 см, вес 73 кг, индекс массы тела 31,18. Кожные покровы физиологической окраски, без высыпаний. Видимые слизистые физиологической окраски, влажные. Молочные железы при пальпации мягкие, безболезненные. Дыхание везикулярное, хрипов нет. Живот мягкий, не вздут, безболезненный. Наружные половые органы развиты правильно. Паховые лимфатические узлы не пальпируются. В зеркалах шейка матки чистая, наружный зев закрыт, щелевидный, выделения из половых путей слизистые, умеренные. Тело матки нормальных размеров, плотное, в антефлексии, подвижное, безболезненное. Правые придатки матки: не пальпируются. Левые придатки матки: не пальпируются. Своды глубокие.
Лабораторные показатели: лейкоциты 6,8 · 109/л, эритроциты 4,38 · 1012/л, гемоглобин 107 г/л, тромбоциты 297 · 109/л, лимфоциты 39,4 %, моноциты 5,1 %, гранулоциты 55,5 %, Ca-125 10,23 Ед/мл.
Установлен диагноз: «Анемия 1 степени тяжести».
Предоперационный диагноз: «Опухоль малого таза: образование левого яичника?»
Учитывая анамнез, вышеуказанный диагноз, выполнено оперативное вмешательство лапароскопическим доступом.
В позадиматочном пространстве располагается образование малого таза (образование напоминает яичник 30 × 30 × 25 мм с маточной трубой с признаками «старого» некроза и кальцинированной перекрученной ножкой кисты (рис. 2).
Рис. 2. Образование малого таза в позадиматочном пространстве / Fig. 2. Pelvic lesion in posterior cul-de-sac
Матка нормальных размеров, формы в антефлексии. Придатки слева отсутствуют (рис. 3). Придатки справа: яичник размерами 30 × 25 × 28 мм, маточная труба визуально не изменена, фимбриальный отдел свободный.
Рис. 3. Отсутствие придатков матки слева / Fig. 3. Absence of uterine adnexa on the left
Другой патологии со стороны органов брюшной полости не выявлено. Препарат (фрагменты яичника, маточной трубы?) извлечен в эвакуаторе (рис. 4). Общая кровопотеря 20 мл.
Рис. 4. Извлеченный препарат (фрагменты некротизированной ткани левых придатков матки вследствие перекрута) / Fig. 4. Biopsy (fragments of necrotized tissue of left uterine adnexa due to torsion)
Послеоперационный диагноз: «Образование малого таза (аутоампутация левых придатков матки вследствие перекрута?)».
Патологоанатомическое заключение: фрагменты некротизированной ткани.
Послеоперационный период протекал без особенностей, пациентка выписана на 7-е сутки. При контрольном осмотре через 1 мес. патологии не выявлено. Беременность не планирует — назначена гормональная контрацепция (этинилэстрадиол 20 мкг и дроспиренон).
ЗАКЛЮЧЕНИЕ
Таким образом, разбор нашего клинического случая может быть полезен в диагностике перекрута придатков матки для своевременного выявления и оперативного лечения женщин с целью сохранения репродуктивных органов.
ДОПОЛНИТЕЛЬНАЯ ИНФОРМАЦИЯ
Вклад авторов. Все авторы внесли существенный вклад в разработку концепции, проведение исследования и подготовку статьи, прочли и одобрили финальную версию перед публикацией.
Конфликт интересов. Авторы декларируют отсутствие явных и потенциальных конфликтов интересов, связанных с публикацией настоящей статьи.
Источник финансирования. Авторы заявляют об отсутствии внешнего финансирования при проведении исследования.
ADDITIONAL INFORMATION
Author contribution. Thereby, all authors made a substantial contribution to the conception of the work, acquisition, analysis, interpretation of data for the work, drafting and revising the work, final approval of the version to be published and agree to be accountable for all aspects of the work.
Competing interests. The authors declare that they have no competing interests.
Funding source. This study was not supported by any external sources of funding.
Об авторах
Лариса Андреевна Романова
Санкт-Петербургский государственный педиатрический медицинский университет
Email: l_romanova2011@mail.ru
канд. мед. наук, кафедра акушерства и гинекологии
Россия, Санкт-ПетербургНиколай Николаевич Рухляда
Санкт-Петербургский государственный педиатрический медицинский университет
Email: nickolasr@mail.ru
д-р мед. наук, профессор кафедры акушерства и гинекологии
Россия, Санкт-ПетербургАнна Николаевна Тайц
Санкт-Петербургский государственный педиатрический медицинский университет
Email: annataits1@rambler.ru
канд. мед. наук, доцент, заведующая кафедрой акушерства и гинекологии
Россия, Санкт-ПетербургАнна Александровна Малышева
Санкт-Петербургский государственный педиатрический медицинский университет
Email: malisheva.anyuta@yandex.ru
врач гинеколог, отделение гинекологии
Россия, Санкт-ПетербургКристина Андреевна Дудова
Санкт-Петербургский государственный педиатрический медицинский университет
Автор, ответственный за переписку.
Email: dr.kristinaandreevna@gmail.com
ординатор кафедры акушерства и гинекологии
Россия, Санкт-ПетербургСписок литературы
- Боярский К.Ю., Гайдуков С.Н., Чинчаладзе А.С. Факторы, определяющие овариальный резерв женщины // Журнал акушерства и женских болезней. 2009. Т. 58, № 2. С. 65–71.
- Гасымова Д.М., Рухляда Н.Н., Мельникова М.А. Функция единственного яичника после хирургического лечения осложнений доброкачественных опухолей и опухолевидных образований яичников у женщин репродуктивного возраста // Скорая медицинская помощь. 2017. Т. 18, № 1. С. 34–38. doi: 10.24884/2072-6716-2017-18-1-34-38
- Малышева А.А., Абрамова В.Н., Резник В.А., и др. Клинический случай лечения интерстициальной трубной беременности мифепристоном и мизопростолом // Педиатр. 2017. Т. 8, № 6. С. 114–117. doi: 10.17816/PED86114-117
- Рухляда Н.Н., Гасымова Г.М., Новиков Е.И., Мельникова М.А. Оценка овариального резерва в неотложной гинекологии. Учебное пособие. Москва: Стикс, 2014.
- Тайц А.Н., Иванов Д.О., Рухляда Н.Н., Малышева А.А. Опыт диагностики и лечения грудных детей с опухолевыми образованиями яичников // Сборник трудов 2-й Всероссийской научно-практической конференции «Современные проблемы подростковой медицины и репродуктивного здоровья молодежи. Кротинские чтения». Ноябрь 29–30, 2018. Санкт-Петербург. С. 59–66.
- Юрьев В.К. Методология оценки и состояние репродуктивного потенциала девочек и девушек // Проблемы социальной гигиены, здравоохранения и истории медицины. 2000. № 4. С. 3–5.
- Bharathi A., Gowri M. Torsion of the fallopian tube and the haematosalpinx in perimenopausal women — a case report // J Clin Diagn Res. 2013. Vol. 7, No. 4. P. 731–733. doi: 10.7860/JCDR/2013/5099.2896
- Khaitov D., Gabbur N. Contralateral recurrence of fallopian tube torsion: A case report // Case Rep Womens Health. 2021. Vol. 30. ID e00307. doi: 10.1016/j.crwh.2021.e00307
- Konoplitskyi V.S., Korobko Yu.Ye. Assessment of the influence of uterine appendages torsion on their pathomorphological changes in the experiment // Wiadomości Lekarskie. 2021. Vol. 74, No. 8. P. 1876–1884. doi: 10.36740/WLek202108117
- Lee K.H., Song M.J., Jung I.C., et al. Autoamputation of an ovarian mature cystic teratoma: a case report and a review of the literature // World J Surg Oncol. 2016. Vol. 14. ID217. doi: 10.1186/s12957-016-0981-7
- Malhotra V., Dahiya K., Nanda S., Malhotra N. Isolated torsion of the fallopian tube in a perimenopausal woman: A rare entity // J Gynecol Surg. 2012. Vol. 28, No. 1. P. 31–33. doi: 10.1089/gyn.2011.0020
- Laufer M.R., Sharp H.T., Levine D., Chakrabarti A. Ovarian and fallopian tube torsion // UpToDate.
- Rizk D.E., Lakshminarasimha B., Joshi S. Torsion of the fallopian tube in an adolescent female: a case report // J Pediatr Adolesc Gynecol. 2002. Vol. 15, No. 3. P. 159–161. doi: 10.1016/s1083-3188(02)00149-3
- Sankaran S., Shahid A., Odejinmi F. Autoamputation of the fallopian tube after chronic adnexal torsion // J Minim Invasive Gynecol. 2009. Vol. 16, No. 2. P. 219–221. doi: 10.1016/j.jmig.2008.11.014
- Spinelli C., Piscioneri J., Strambi S. Adnexal torsion in adolescents // Curr Opin Obstet Gynecol. 2015. Vol. 27, No. 5. P. 320–325. doi: 10.1097/GCO.0000000000000197
- van der Zanden M., Nap A., van Kints M. Isolated torsion of the fallopian tube: a case report and review of the literature // Eur J Pediatr. 2011. Vol. 170. P. 1329–1332. doi: 10.1007/s00431-011-1484-8
Дополнительные файлы





