Особенности структурной эпилепсии у детей, перенесших геморрагический инсульт
- Авторы: Фомина М.Ю.1, Гуменник Е.В.2, Коростовцев Д.Д.1, Ковеленова М.В.3
-
Учреждения:
- Санкт-Петербургский государственный педиатрический медицинский университет
- Детская городская больница Святой Ольги
- Клиника детской неврологии и эпилептологии EPIJAY
- Выпуск: Том 12, № 6 (2021)
- Страницы: 97-106
- Раздел: Клинический случай
- URL: https://ogarev-online.ru/pediatr/article/view/106329
- DOI: https://doi.org/10.17816/PED12697-106
- ID: 106329
Цитировать
Полный текст
Аннотация
Актуальность изучения последствий геморрагических инсультов у детей раннего возраста обусловлена частотой цереброваскулярной патологии, формированием стойкого неврологического дефицита, в том числе постинсультной эпилепсии, высокой летальностью. Известно, что геморрагии диагностируют в первые 28 дней жизни у 6,7 из 100 000 младенцев, у детей с 28-го дня жизни до 18 лет — от 0,7 до 5,1 случая на 100 тыс. детского населения. Летальность при геморрагических и ишемических инсультах у детей составляет от 7 до 28 %. Эпилептические приступы острейшего и острого периода инсульта — прогностически неблагоприятные факторы течения заболевания. В статье приведены краткие литературные данные об этиологии и локализации геморрагических инсультов, их роли в формировании фармакорезистентной эпилепсии. Особое внимание уделено роли поздней геморрагической болезни новорожденных, сопровождающейся внутричерепными кровоизлияниями, в формировании структурной эпилепсии в последующем. В работе представлены также собственные клинические наблюдения 25 пациентов, страдающих эпилепсией, после перенесенного геморрагического инсульта с описанием клинической картины, особенностей пароксизмальных состояний и их терапии, данных нейровизуализации, электроэнцефалографических феноменов. Представлен клинический пример, в котором рассмотрены клинико-анамнестические, электрофизиологические данные пациента с фармакорезистентной эпилепсией, развившейся вследствие перенесенного геморрагического инсульта на фоне поздней геморрагической болезни новорожденных.
Структурная эпилепсия у детей, формирующаяся после перенесенного геморрагического инсульта, сопровождается значимыми мультирегиональными повреждениями, выраженным неврологическим дефицитом и характеризуется фармакорезистентным течением.
Ключевые слова
Полный текст
ВВЕДЕНИЕ
Проблема инсульта у детей и подростков приобретает все бóльшую актуальность, что связано, в частности, с совершенствованием методов нейровизуализации в педиатрии. Частота инсультов в детском возрасте составляет от 2 до 13 на 100 000 детей ежегодно, данная патология — одна из 10 самых частых причин детской смертности [22]. Частота встречаемости ишемических и геморрагических инсультов в детском возрасте примерно одинакова. Геморрагические инсульты в педиатрической практике встречаются у 50 % пациентов (у взрослых — 20 %) [11, 21]. К геморрагическим инсультам у детей и подростков относят внутримозговое кровоизлияние в сочетании с внутрижелудочковым кровоизлиянием или без него, нетравматическое субарахноидальное кровоизлияние. В проведенном исследовании из 2,5 млн детей зарегистрировано 322 ребенка с инсультами вне неонатального периода (2,9 инсультов на 100 000 человек в год). Из них 140 ишемических (46 %) и 165 геморрагических инсультов. Средний возраст на момент нарушения мозгового кровообращения составил 13,1 года [19].
Существуют два возрастных пика в развитии инсультов у детей — до 1 года и подростковый период. Летальность достигает 12 % при ишемическом и 27 % при геморрагическом инсульте. Известно, что у 25 % детей наблюдается повторный эпизод нарушения мозгового кровообращения, стойкий неврологический дефицит формируется у 66 % детей [8].
Судорожные приступы при инсульте классифицируют по времени их возникновения на ранние судороги, которые развиваются в первые 48 ч заболевания, и поздние судороги — приступы со вторых суток до 4 нед. после инсульта. Важно подчеркнуть, что эпилептические приступы (даже повторные) при острой сосудистой недостаточности считать эпилепсией не следует. Эпилептические пароксизмы в острейший период инсульта в 85 % случаев — это приступы острого периода (острые симптоматические). Только в 15 % приступы, появившиеся в острейший период инсульта, можно рассматривать как дебют постинсультной (или локально обусловленной симптоматической) эпилепсии [1, 2]. У детей с нарушением мозгового кровообращения по времени возникновения пароксизмов выделяют следующие варианты судорожных приступов: немедленные — в течение 24 ч; ранние — в течение 1 или 2 нед.; поздние — после 2 нед. (непровоцируемые). Послеинсультная эпилепсия — это два непровоцированных приступа и более в течение более чем 24 ч, после 30-го дня от перенесенного инсульта [13, 17]. В настоящее время, согласно определению Международной противоэпилептической лиги, достаточно регистрации одного эпилептического приступа [21]. Современные исследователи предлагают выделять острые симптоматические судороги, которые развиваются в течение 7 дней от церебральной катастрофы и непровоцируемые судороги [18].
Структурная эпилепсия у взрослых пациентов, перенесших нарушение мозгового кровообращения, развивается в 3–9 % случаев. Согласно данным мультицентрового международного исследования Seizures After Stroke Study (припадки после инсульта) эпилептические приступы после ишемического инсульта в течение первого года наблюдались у 14 % пациентов и у 20 % после геморрагического инсульта [23]. При этом наличие второго неспровоцированного припадка было зарегистрировано только у 2,8 % пациентов, что стало критерием постановки диагноза эпилепсии. По другим данным, риск развития эпилепсии у взрослых составляет 10–12 % за 5–10 лет [20].
Кумулятивный риск развития эпилепсии после инсультов у детей выше, чем у взрослых, этот показатель достигает 33 % при длительности наблюдения до 10 лет [19]. У 20 % детей, перенесших геморрагический инсульт, эпилепсия развивается в течение первых двух лет [15]. По данным этих авторов, у 80 % детей причиной геморрагических инсультов являются аномалии развития сосудов (60 %) и нарушения свертывания крови (до 20 %).
Кумулятивный риск развития эпилепсии у детей, перенесших инсульт в течение 5 лет наблюдения, составил 13 %, в течении 10 лет достигал 33 %. Кумулятивный риск эпилепсии после ишемических инсультов в течение 2 лет (исключая перинатальные инсульты) — 7 %. Изучение 73 детей, перенесших интрацеребральную геморрагию, показало, что из 67 выживших детей у 14 развились спонтанные судороги в течение 2 лет (20 %), девять из них еще получали к тому времени «профилактическую» антиэпилептическую терапию [16].
Изучение предикторов эпилепсии после перенесенного инсульта у детей — актуальная проблема. Наиболее значимыми считаются следующие факторы: супратенториальное вовлечение, геморрагия, вовлекающая кортикальные зоны, инсульт с тяжелым неврологическим дефицитом mRS > 3, судороги, возникающие через 15 дней и более после инсульта. Ишемия, вовлекающая кортикальные и кортикально-субкортикальные области, ишемия и продолжающийся неврологический дефицит, судороги в течение 14 дней после дебюта инсульта — предикторы второй линии [10, 24]. По данным других исследований, предикторами развития эпилепсии после инсульта у детей являются острые судороги, возраст (чем младше ребенок, тем выше риск, снижение возраста на 1 год повышает риск развития эпилепсии на 4 %), повышение внутричерепного давления, требующее острой интервенции, корковая локализация кровоизлияния. Дети, у которых развивается эпилепсия после перенесенного инсульта, имеют неблагоприятный прогноз по уровню психомоторного развития [15]. В табл. 1 представлены данные об этиологии и локализации инсультов у детей [14].
Таблица 1 / Table 1
Этиология и локализация геморрагических инсультов у детей / Etiology and localization of hemorrhagic strokes in children
Локализация и этиология / Location and Etiology | Перинатальные инсульты / Perinatal strokes (n = 20) | Инсульты в детском возрасте / Childhood strokes (n = 53) |
Локализация / Location | ||
Паренхиматозные инсульты / Isolated parenchymal | 3 (15 %) | 29 (55 %) |
Сочетанные инсульты / Combined | 14 (70 %) | 18 (34 %) |
Интравентрикулярные инсульты / Isolated intraventricular | 3 (15 %) | 6 (11 %) |
Этиология / Etiology | ||
Аневризмы / Aneurysm | 0 | 5 (9 %) |
Артериовенозные мальформации / Arteriovenous malformation | 1 (5 %) | 20 (37 %) |
Кавернозные мальформации / Cavernous malformation | 2 (10 %) | 7 (13 %) |
Аномалии развития вен / Developmental venous anomaly | 0 | 1 (2 %) |
Болезнь моямоя / Moyamoya | 0 | 1 (2 %) |
Коагулопатии / Coagulopathy | 5 (25 %) | 6 (11 %) |
Антикоагуляция / Anticoagulation | 0 | 5 (9 %) |
Невыясненные причины / Unknown | 12 (60 %) | 9 (17 %) |
Причины перинатальных инсультов нередко остаются невыясненными, тогда как геморрагические нарушения у детей первых месяцев жизни являются ургентными состояниями с высоким риском неблагоприятного исхода и развития серьезных осложнений у выживших [7, 14]. В других литературных данных анализ причин тяжелых геморрагических нарушений у доношенных детей в возрасте 1–6 мес. (n = 41, период наблюдения — 2013–2017 гг.) показал, что в 68,3 % случаев причиной тяжелого геморрагического синдрома оказалось витамин K-дефицитное состояние. Значительно реже причинами тяжелого геморрагического синдрома были сепсис с синдромом диссеминированного внутрисосудистого свертывания (9,7 %) и наследственные коагулопатии (4,9 %). В единичных случаях имели место тромбоцитопения (2,5 %), врожденная мальформация сосудов головного мозга (2,5 %) и ряд других более редких заболеваний (12,1 %) [4–6]. Из 280 детей, перенесших инсульт в период с 2013 по август 2015 г. (исключены дети с перинатальным инсультом и кровоизлияниями при тяжелых травмах головного мозга) диагноз эпилепсии впоследствии был установлен 24 детям (8,6 %). Ишемический инсульт диагностирован в 62 %, геморрагический — в 38 % случаев. С геморрагическим инсультом преобладали дети в возрасте до 3 лет, с ишемическим — от 6 до 14 лет. Чаще всего приступы дебютировали в период от 12 до 24 мес. после инсульта, более раннее появление приступов отмечено при геморрагическом инсульте, от 1 до 12 мес. (77 %). Только у 3 из 24 (12,5 %) детей приступы отмечались в острый период инсульта [12].
В течение 2017–2019 гг. на базе городского Санкт-Петербургского кабинета по лечению детей с эпилепсией наблюдалось 2700 человек. Всем детям проведено клиническое неврологическое исследование, электроэнцефалография, магнитная резонансная томография (МРТ) головного мозга. Среди них под наблюдением было 1570 детей со структурной эпилепсией, подтвержденной результатами МРТ. У 41 ребенка эпилепсия развилась вследствие перенесенного инсульта: ишемический инсульт зарегистрирован у 16 детей, геморрагический перенесли 25 из 41 пациента (62,5 %).
В данной работе представлены результаты собственных наблюдений за пациентами с эпилепсией, перенесших клинически проявившийся эпизод геморрагического инсульта с 28-го дня жизни до 18 лет с повторными неспровоцированными эпилептическими приступами, при этом необходимым условием было соответствие клинико-электрофизиологических и МРТ-данных, позволявших считать перенесенный инсульт наиболее вероятной причиной эпилепсии. Из исследования были исключены дети с перинатальным гипоксически-ишемическим повреждением центральной нервной системы, дети с изменениями на МРТ, позволявшими думать о перенесенном инсульте, но без регистрации в анамнезе события, которое бы отвечало клиническим критериями диагностики острого инсульта.
Выделено две группы детей в соответствии с причинами инсульта. Первая группа — 10 пациентов (40 %) с различными этиологическими факторами инсульта: аномалиями развития сосудов, болезнями крови и неизвестными причинами. Вторая группа — 15 детей с поздней геморрагической болезнью новорожденных, перенесших нарушение мозгового кровообращения. Возраст пациентов первой группы составил от 1 г. 10 мес. до 18 лет. Дебют геморрагического инсульта отмечался в различные возрастные периоды: от неонатального до 8 лет. Основная причина геморрагического инсульта — это врожденные аномалии развития сосудов головного мозга (7 детей). У одного пациента диагностированы гематологические нарушения, у ребенка в возрасте 21 дня инсульт развился во время оперативного вмешательства по поводу коррекции врожденного порока сердца. Осталась неустановленной причина инсульта у одной пациентки 13 лет. В настоящее время в группе детей, перенесших геморрагический инсульт, наблюдаются двигательные нарушения в виде гемипареза различной степени тяжести (4 ребенка) и спастического тетрапареза у одного пациента, речевые изолированные расстройства (афазия) — у 2 детей, грубое отставание в развитии, формирование симптомокомплекса детского церебрального паралича диагностировано у двух пациентов. Не имеют очаговых неврологических симптомов и не отстают в развитии 2 ребенка. Ремиссия эпилепсии достигнута у 4 пациентов (не получают антиэпилептическую терапию два ребенка), приступы сохраняются на фоне приема противоэпилептических препаратов у 4 больных, фармакорезистентная терапия сформировалась у 2 пациентов.
У детей раннего возраста среди причин внутричерепных геморрагий доминирует геморрагическая болезнь новорожденных. Геморрагическая болезнь новорожденных, или витамин K-зависимый геморрагический синдром, — приобретенное или врожденное заболевание, проявляющееся повышенной кровоточивостью у новорожденных и детей первых месяцев жизни вследствие недостаточности факторов свертывания крови (II, VII, IX, X), активность которых зависит от витамина K. Данное заболевание обусловлено физиологическим дефицитом витамина K у детей, находящихся на грудном вскармливании [4, 11]. Витамин K1 (филлохинон) как оптимальное средство профилактики поздней геморрагической болезни позволяет практически полностью исключить это состояние, он не зарегистрирован в Российской Федерации в качестве препарата, корректирующего витамин K-дефицитный геморрагический синдром.
Для профилактики и лечения новорожденных с геморрагической болезнью используют витамин K3 (менадиона натрия бисульфит). Симптомы заболевания появляются в период с 8-го дня после рождения до 6 мес. жизни, как правило, манифестация приходится на возраст 2–12 нед. Особенностью клинической картины поздней формы геморрагической болезни новорожденных является развитие внутричерепных кровоизлияний с частотой от 30 до 75 %, которые в 30–50 % случаев ведут к инвалидизации или летальному исходу. У части детей за некоторое время до кровоизлияния в мозг (от дня до недели) наблюдаются малые «предупреждающие» геморрагии [9]. По данным наших наблюдений, у 15 пациентов второй группы в основе инсульта лежала поздняя геморрагическая болезнь. Это дети с дебютом заболевания после 28-го дня жизни. Витамин K не вводили им профилактически, несмотря на существующие клинические рекомендации Союза педиатров [3]. У 8 из 15 пациентов перед развитием интрацеребрального кровоизлияния отмечались «предупреждающие геморрагии»: носовые кровотечения; кровотечения из пупочной ранки; петехии и экхимозы на коже или слизистых оболочках; межмышечные гематомы или кровотечения из мест инвазивных вмешательств (инъекции, вакцинации, места забора крови). Дебют эпилепсии наблюдался в различные сроки: от острого периода заболевания до 9 лет жизни, у 8 из 15 человек — позже 1 года жизни. У 9 детей отмечалась фармакорезистентная эпилепсия, у 6 из них отмечались двусторонние повреждения при МРТ-исследовании, что исключало возможность радикальной хирургии. У 13 пациентов наблюдались проявления грубого неврологического дефицита и когнитивные нарушения. Структурная эпилепсия вследствие поздней геморрагической болезни новорожденных дебютировала в возрасте 3 мес. у 4 детей, с 3 до 12 мес. — у 3, у остальных пациентов приступы развились после 12 мес., максимальный возраст составил 8 и 9 лет. У 9 детей (60 %) из 15 сформировалась фармакорезистентная эпилепсия, у двоих — эпилептические энцефалопатии: электрический эпилептический статус медленноволнового сна и когнитивный эпилептиформный регресс. Только 2 (13 %) ребенка из 15 развиты в соответствии с возрастом, однако у одного из них наблюдается афакия и слепота, у двоих — легкие нарушения развития (дизартрия, задержка развития). У 73 % детей, перенесших позднюю геморрагическую болезнь, выявлены грубые неврологические нарушения, детский церебральный паралич, умственная отсталость. У 4 из 9 детей с фармакорезистентной эпилепсией имеются двусторонние церебральные повреждения, что затрудняет хирургическое лечение. Наши наблюдения показывают, что у всех пациентов поздняя геморрагическая болезнь новорожденных не была вовремя диагностирована (диагностика заключается в проведении лабораторных тестов — удлинение протромбинового времени при нормальном уровне тромбоцитов и фибриногена). Диагноз также подтверждается при нормализации протромбинового времени и/или прекращении кровотечения после введения витамина K (уровень доказательности А) [23]. Клинические проявления поздней геморрагической болезни у детей появились за несколько часов или суток (до 2 нед.) до наступления инсульта в виде «предупреждающих геморрагий». У 6 пациентов отмечались кровоизлияния в месте укола, гематомы на коже, кровь в стуле. У 3 детей наблюдалась общемозговая симптоматика — нарастающая сонливость, угнетение сознания и клонические подергивания конечностей.
По данным проведенного исследования, фармакорезистентная эпилепсия формируется чаще при раннем дебюте заболевания и двустороннем характере повреждения головного мозга. Тяжелые неврологические отклонения наблюдались у всех детей с фармакорезистентной эпилепсией. В табл. 2 приведены данные детей, перенесших позднюю геморрагическую болезнь новорожденных, осложненную нарушением мозгового кровообращения.
Таблица 2 / Table 2
Клинико-анамнестические данные пациентов, перенесших инсульт на фоне поздней геморрагической болезни новорожденных / Clinical and anamnestic data of patients who suffered a stroke on the background of late hemorrhagic disease of newborns
Возраст пациента / Patient, age | Дебют поздней геморрагической болезни / Disease debut | Дебют эпилепсии / Epilepsy debut | Локализация oчага / Focus localization | Исход / Outcome | Течение эпилепсии / Course of Epilepsy |
1. 10 лет / 10 years | 1,5 мес. / 1.5 month | 6 лет / 6 years | Левая теменно-височная / Left parietotemporal | Задержка психоречевого развития / Mental retardation | Приступов нет / No seizures |
2. 4 года / 4 years | 6 мес. / 6 months | 6 мес. / 6 months | Правая гемисфера / Right hemisphere | ДЦП, левосторонний гемипарез / Cerebral palsy, Left-sided hemiparesis | Фармакорезистентность. Хирургия эпилепсии / Pharmacoresistance. Epilepsy surgery |
3. 4 года / 4 years | 3 мес. / 3 months | 3 года / 3 years | Левая лобно-височная / Left frontotemporal | Дизартрия / Dysarthria | Электрический статус фазы медленного сна, ESES, гормональная терапия / Hormonal therapy |
4. 5 лет / 5 years | 28 день / 28 days | 3,5 года / 3.5 years | Левая теменно-затылочная / Left parietal-occipital | Легкая задержка психомоторного развития, дизартрия / Mild Psychomotor Development Delay, Dysarthria | Приступов нет, высокий индекс эпилептиформной активности / No seizures, High index of epileptiform activity |
5. 10 лет / 10 years | 1 мес. / 1 month | 8 лет / 8 years | Левая лобная и затылочная / Left frontal, left occipital | ДЦП. Тетрапарез. Тяжелая ЗПМР / Cerebral palsy, Tetraparesis, Severe psychomotor Development Delay | Приступов нет, высокий индекс эпилептиформной активности / No seizures, High index of epileptiform activity |
6. 3 года / 3 years | 2 мес. / 2 months | 3 мес. Инфантильные спазмы / 3 months. Infantile spasms | Двусторонняя. Левая лобно-теменная, правая затылочная / Double-sided. Left frontal-parietal, right occipital | ДЦП. Тяжелая ЗПМР / Cerebral palsy, Severe Psychomotor Development Delay | Синдром Леннокса – Гасто. Фармакорезистентность / Syndrome Lennox – Gastaut, pharmacoresistance |
7. 2 года / 2 years | 1 мес. / 1 month | 6 мес. Инфантильные спазмы / 6 months. Infantile spasms | Двусторонняя / Double-sided | ДЦП. Тяжелая задержка / Cerebral palsy, severe delay | Синдром Леннокса – Гасто. Фармакорезистентность / Syndrome Lennox – Gastaut, pharmacoresistance |
8. 3,4 года / 3.4 years | 28 дней / 28 days | 5 мес. Инфантильные спазмы / 5 months. Infantile spasms | Левая височная / Left temporal | ДЦП. Гемипарез / Cerebral palsy, Hemiparesis | Эпилептический электрический стаус в фазу медленного сна / ESES |
9. 10 лет / 10 years | 4,5 мес. / 4,5 months | 9 лет / 9 years | Левая затылочная / Left occipital | Афазия / Aphasia | Приступов нет / No seizures |
10. 5 лет / 5 years | 35 дней / 35 days | 5 лет / 5 years | Правое полушарие / Right hemisphere | ЗПМР. Левосторонний гемипарез / Psychomotor Development Delay, Left-sided Hemiparesis | Синдром Леннокса – Гасто. Фармакорезистентность / Syndrome Lennox – Gastaut, pharmacoresistance |
11. 3 года / 3 years | 23 дня / 23 days | 1 год / 1 year | Двусторонняя / Double-sided | Паллиативный статус. ДЦП / Palliative status. Cerebral palsy | Фармакорезистентность. Хирургическое лечение / Pharmacoresistance. Surgery treatment |
12. 5 лет / 5 years | 1 месяц / 1 month | 3 мес. / 3 months | Правая лобно-теменная область / Right frontal-parietal region | Легкая ЗПМР / Mild psychomotor development delay | Приступов нет / No seizures |
13. 5 лет / 5 years | 1 мес. / 1 month | 3 мес. Инфантильные спазмы / 3 months. Infantile spasms | Двусторонняя / Double-sided | ДЦП. ЗПМР. Левосторонний гемипарез / Cerebral palsy, psychomotor development delay. Left sided hemiparesis | Фармакорезистентность, гормональная терапия / Pharmacoresistance, hormonal therapy |
14. 7 лет / 7 years | 1 мес. / 1 month | 6 лет / 6 years | Правосторняя / Right-sided | ДЦП. Гемипарез / Cerebral Palsy. Hemiparesis | Фармакорезистентность. Хирургическое лечение / Pharmacoresistance. Surgery treatment |
15. 3 года / 3 years | 1 мес. / 1 month | 3 мес. / 3 months | Левая теменно-затылочная и височная / Left parietal-occipital and temporal | ДЦП, тетрапарез. Грубая ЗПМР / Cerebral palsy, tetraparesis, severe psychomotor development delay | Фармакорезистентность / Pharmacoresistance |
Примечание. ДЦП — детский церебральный паралич, ЗПМР — задержка психомоторного развития.
Наши наблюдения показывают, что одной из основных причин развития инсульта и впоследствии постинсультной эпилепсии у детей является поздняя геморрагическая болезнь новорожденных. Данное состояние — это практически полностью профилактируемая проблема, приводящая к формированию грубых неврологических нарушений, эпилепсии и дебютирующая до 9-го года жизни, часто фармакорезистентная. Значимые мультирегиональные повреждения головного мозга часто делают невозможным хирургическое лечение, вследствие этого как основной способ коррекции используют медикаментозную (антиэпилептическую) терапию.
Подчеркивая сохраняющуюся актуальность данной проблемы, приводим следующий клинический пример.
КЛИНИЧЕСКИЙ ПРИМЕР
Пациент, 9 лет. Обратился для консультации эпилептолога в 2021 г. Жалобы на пароксизмальные состояния. Предоставлена видеозапись приступа: поворот головы и глаз влево, оперкулярные автоматизмы, автоматизмы в левой руке. Приступы ежедневные, от 1 до 3 раз в сутки, чаще провоцируются умственной нагрузкой. Отмечаются также приступы во время сна следующего характера: начало приступа с сипящего дыхания, сдавленного кашля, затем следует тоническое напряжение конечностей, поворот головы в сторону, расширение зрачков, сердцебиение, замирание, мимика страха, паники, ослабевают мышцы ног. В этот момент ребенок сохраняет контакт, выполняет инструкции, но не может говорить. Продолжительность приступа 3–5 с. Провоцирующие факторы: перевозбуждение, шум, музыка. Частая провокация приступов возможна при неожиданных резких звуках. Использование профессиональных берушей привело к снижению частоты приступов. В настоящее время приступы продолжаются с прежней частотой на фоне антиэпилептической терапии, но менее выражены по длительности.
Терапия при обращении: окскарбазепин (Трилептал) в дозе 1200 мг в сутки, леветирацетам (Кеппра) в дозе 2000 мг в сутки, руфинамид (Иновелон) в дозе 2000 мг в сутки. Вес ребенка — 35 кг.
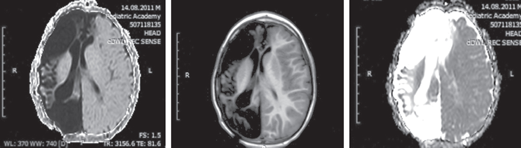
Анамнез болезни: в возрасте 4 мес. на фоне гастроэнтерита у ребенка развился геморрагический синдром. Госпитализирован по месту жительства (Владивосток), проведена компьютерная томография головного мозга и выявлена правополушарная субдуральная гематома. Проведено нейрохирургическое вмешательство. Отмечались ранние судороги в послеоперационном периоде. Через 3 нед. появились гематомы на коже живота, бедер, рук. Проведено гематологическое обследование, предположительный диагноз — гемофилия. На контрольной КТ головного мозга выявлены три свежие гематомы. Ребенок повторно оперирован, затем направлен в онкологический центр (Москва), исключена патология сосудисто-тромбоцитарного и коагуляционного звеньев гемостаза. Установлен окончательный диагноз поздней геморрагической болезни новорожденных. В дальнейшем проводилась реабилитационная терапия по поводу коррекции левостороннего гемипареза. Дебют приступов в 2017 г. (в возрасте 6 лет). Назначен леветирацетам, на этом фоне отмечалась положительная динамика, приступы купированы. Рецидив приступов в мае 2018 г. (на фоне приема леветирацетама в дозе 900 мг в сутки), постепенно количество приступов нарастало, до двух эпизодов в сутки. К терапии добавлен вальпроат в дозе 30 мг/кг, эффекта не отмечено. На ЭЭГ регистрировались разряды эпилептиформной активности над левым полушарием с диффузным распространением. МРТ головного мозга проведена в августе 2019 г.: МР-картина обширной зоны лейкоэнцефаломаляции, субтотально занимающей правую гемисферу и парасаггитальные отделы левой лобной доли. Невыраженные атрофические изменения правого гиппокампа правого миндалевидного тела (рис. 1, 2). Введен окскарбазепин (Трилептал, 20 мг/кг), отменена вальпроевая кислота (Депакин). На фоне отмены вальпроевой кислоты — улучшение общего состояния, ребенок стал более активным, внимательным, однако частота приступов осталась прежней. К схеме лечения добавлен ламотриджин, пациент стал возбудим, препарат отменен. Введен руфинамид (Иновелон в дозе 800 мг в сутки), на этом фоне в течение 5 мес. приступов не было. С октября 2020 г. пароксизмы возобновились.
Рис. 1. Магнитно-резонансная томограмма пациента. Коронарные срезы, Т2 взвешенное изображение. Лейкоэнцефаломаляция правой гемисферы и парасаггитальных отделов левой лобной доли
Fig. 1. MRI of a patient М. Coronary sections, T2 VI. Leukoencephalomalacia of the right hemisphere and parasagittal parts of the left frontal lobe
Рис. 2. Магнитно-резонансная томограмма пациента. 4 мес. Аксиальные срезы. Кистозно-атрофические изменения в правой гемисфере
Fig. 2. MRI of a patient. Axial sections, T1 VI, T2 VI, Flair. the cystic-atrophic changes in the right hemisphere
Перинатальный, ранний анамнез не отягощен. Масса при рождении 3500 г, оценка по шкале Апгар 8/9 баллов. Профилактику поздней геморрагической болезни не получал. Наследственность по эпилепсии, заболеваниям кроветворения не отягощена. Неврологический статус: ребенок отстает в психомоторном развитии. Левосторонний гемипарез, более выражен в дистальных отделах левой руки. Мышечный тонус, глубокие рефлексы выше слева. Патологических знаков нет.
ЭЭГ от 27.04.2021. Проведена запись в состоянии спокойного бодрствования при открытых глазах. Отмечается выраженная асимметрия вольтажа, с угнетением физиологической активности над левым полушарием. Над левым полушарием достаточно устойчивый альфа-ритм 8 Гц. Эпилептиформная активность в виде нечастых одиночных и сдвоенных разрядов, по морфологии — доброкачественных эпилептических разрядов детского возраста над левым полушарием, с инверсией фазы над задневисочными отведениями и распространением по полушарию и редко — контрлатерально. Заключение: асимметрия вольтажа. Эпилептиформная активность в виде нечастых одиночных, сдвоенных, реже кластерных разрядов над левым полушарием, инверсия над задневисочными отведениями. Диагноз: «Фокальная структурная эпилепсия, фармакорезистентная. STARTL-приступы. Левосторонний гемипарез. Задержка психомоторного развития» (рис. 1, 2).
Приведенное клиническое наблюдение демонстрирует значимость профилактики витамин K-дефицитной коагулопатии неонатального периода в предупреждении поздней геморрагической болезни новорожденных, осложненной внутричерепным кровоизлиянием и развитием впоследствии структурной фармакорезистентной эпилепсии.
Структурная эпилепсия у детей, формирующаяся после перенесенного геморрагического инсульта, сопровождается значимыми мультирегиональными повреждениям, выраженным неврологическим дефицитом и характеризуется фармакорезистентным течением.
ДОПОЛНИТЕЛЬНАЯ ИНФОРМАЦИЯ
Вклад авторов. Все авторы подтверждают соответствие своего авторства международным критериям ICMJE (все авторы внесли существенный вклад в разработку концепции, проведение исследования и подготовку статьи, прочли и одобрили финальную версию перед публикацией).
Конфликт интересов. Авторы декларируют отсутствие явных и потенциальных конфликтов интересов, связанных с публикацией настоящей статьи.
Источник финансирования. Авторы заявляют об отсутствии внешнего финансирования при проведении исследования.
Информированное согласие на публикацию. Авторы получили письменное согласие законных представителей пациента на публикацию медицинских данных и фотографий.
Об авторах
Мария Юрьевна Фомина
Санкт-Петербургский государственный педиатрический медицинский университет
Автор, ответственный за переписку.
Email: myfomina@mail.ru
д-р мед. наук, профессор кафедры неонатологии с курсами неврологии и акушерства-гинекологии
Россия, Санкт-ПетербургЕлена Валерьевна Гуменник
Детская городская больница Святой Ольги
Email: helenneurol@mail.ru
канд. мед. наук, заведующая кабинетом. Городской кабинет по лечению эпилепсии и пароксизмальных состояний
Россия, Санкт-ПетербургДмитрий Дмитриевич Коростовцев
Санкт-Петербургский государственный педиатрический медицинский университет
Email: korostovtsevdmitry@gmail.com
канд. мед. наук, заведующий отделением неврологии и реабилитациии, Консультативно диагностический центр
Россия, Санкт-ПетербургМарина Вячеславовна Ковеленова
Клиника детской неврологии и эпилептологии EPIJAY
Email: mkovelenova@yahoo.com
канд. мед. наук, доцент, невролог-эпилептолог
Россия, Санкт-ПетербургСписок литературы
- Базилевич С.Н., Одинак М.М., Дыскин Д.Е., Красаков И.В., и др. Результаты структурной и функциональной нейровизуализации у пациентов с эпилептическими приступами при цереброваскулярных заболеваниях // Журнал неврологии и психиатрии им. C.C. Корсакова 2008. № S2. C33–40.
- Гехт А.Б., Тлапшкова Л.Б., Лебедева А.В. Постинсультная эпилепсия // Журнал неврологии и психиатрии им. С.С. Корсакова. 2000. № 9. 67–70.
- Дегтярев Д.Н., Карпова А.Л., Мебелова И.И. Клинические рекомендации по диагностике и лечению геморрагической болезни новорожденных. Москва, 2015. 21 с.
- Заплатников А.Л., Бражникова О.В., Медоев С.Б., и др. Внутричерепные кровоизлияния при поздней геморрагической болезни новорожденных // Педиатрия. Consilium Medicum. 2019. № 4. C. 14–17. doi: 10.26442/26586630.2019.4.190755
- Иванов Д.О. История изучения геморрагической болезни новорожденных // Педиатр. 2017. Т. 8, № 4. С. 118–125. doi: 10.17816/PED84118-125
- Иванов Д.О., Атласов В.О., Бобров С.А., и др. Руководство по перинатологии / под ред. Д.О. Иванова. Санкт-Петербург: Информ-Навигатор, 2015. 1214 с.
- Иванов Д.О., Козлова Л.В., Деревцов В.В. Нервно-психическое развитие у детей, имевших внутриутробную задержку роста, в первом полугодии жизни // Педиатр. 2017. Т. 8, № 1. С. 40–49. doi: 10.17816/PED8140-49
- Кузнецова А.А. Щедеркина И.О. Лившиц М.И., и др. Геморрагический инсульт и постинсультная эпилепсия у детей. Индивидуальный подход при выборе тактики ведения на примере клинического наблюдения // Нейрохирургия и неврология детского возраста. 2021. № 1. С. 22–34.
- Ляпин А.П., Касаткина Т.П., Рубин А.Н., и др. Внутричерепные кровоизлияния как проявление поздней геморрагической болезни новорожденных // Педиатрия. 2013. Т. 92, № 2. С. 38–42.
- Спирин А.Л., Трашков А.П., Цыган Н.В., и др. Cупратенториальные внутримозговые кровоизлияния: патофизиологические аспекты и тактика лечения // Педиатр. 2015. Т. 6, № 1. P. 96–104. doi: 10.17816/PED6196-104
- Шабалов Н.П., Иванов Д.О., Шабалова Н.Н. Гемостаз в динамике первой недели жизни как отражение механизмов адаптации ко внеутробной жизни новорожденного // Педиатрия. Журнал им. Г.Н. Сперанского. 2000. Т. 79, № 3. С. 84–91.
- Щедеркина И.О. Заваденко Н.Н., Колтунов И.E. Эпилепсия у детей, перенесших инсульт // Эпилепсия и парокисзмальные состояния. 2015. Т. 7, № 4. С. 66–71.
- Benbadis S. The differential diagnosis of epilepsy // Epilepsy & Behavior. 2009. Vol. 15, No. 1. P. 15–21. doi: 10.1016/j.yebeh.2009.02.024
- Beslow L.A., Abend N.S., Gindville M.C., et al. Intracerebral Hemorrhage Locations and Etiologies // JAMA Neurol. 2013. Vol. 70, No. 4. P. 448–454. doi: 10.1001/jamaneurol.2013.1033
- Beslow L.A., Dowling M.M., Hassanein S.M., et al. Mortality After Pediatric Arterial Ischemic Stroke. International Pediatric Stroke Study Investigators // Pediatrics. 2018. Vol. 141, No. 5. P. 2017–4146. doi: 10.1542/peds.2017-4146
- Billinghurst L.L., Beslow L.A., Abend N.S., et al. Incidence and predictors of epilepsy after pediatric arterial ischemic stroke // Neurology. 2017. Vol. 88, No. 7. P. 630–637. doi: 10.1212/WNL.0000000000003603
- Bladin C.F., Alexandrov A.V., Bellavance A., et al. Seizures after stroke: a prospective multicenter study // Arch Neurol. 2000. Vol. 57, No. 11. P. 1617–1622. doi: 10.1001/archneur.57.11.1617
- Fisher R.S., Acevedo C., Arzimanoglou A., et al. ILAE official report: a practical clinical definition of epilepsy // Epilepsia. 2014. Vol. 55, No. 4. P. 475–482. doi: 10.1111/epi.12550
- Fox C.K., Glass H.C., Sidney S., et al. Acute seizures predict epilepsy after childhood stroke // Ann Neurol. 2013. Vol. 74, No. 2. P. 249–256. doi: 10.1002/ana.23916
- Haapaniemi E., Strbian D., Rossi C. The CAVE score for predicting late seizures after intracerebral hemorrhage // Stroke. 2014. Vol. 45, No. 7. P. 1971–1976. doi: 10.1161/STROKEAHA.114.004686
- Holtkamp M., Beghi E., Benninger F., et al. European Stroke Organisation guidelines for the management of post-stroke seizures and epilepsy // Eur Stroke J. 2017. Vol. 2, No. 2. P. 103–115. doi: 10.1177/2396987317705536
- Jordan L.C. Assessment and treatment of stroke in children // Current Treatment Options in Neurology. 2008. Vol. 10, No. 6. P. 399–409. doi: 10.1007/s11940-008-0042-9
- Puckett R.M., Offringa M. Prophylactic vitamin K for vitamin K deficiency bleeding in neonates // Review Cochrane Database Syst Rev. 2000. Vol. 2000, No. 4. P. CD002776. doi: 10.1002/14651858.CD002776
- Yinghao Z., Li X., Zhang K., Ting T. The Progress of Epilepsy after Stroke // Current Neuropharmacology. 2018. Vol. 16, No. 1. P. 71–78. doi: 10.2174/1570159X15666170613083253
Дополнительные файлы



