Maternal body estrogen exposure influences the mice offspring ovaries’ morphology
- Authors: Sulaymanova R.T.1, Khayrullin R.M.1, Lebedeva A.I.2, Sulaymanova L.I.3, Askhabova E.D.4
-
Affiliations:
- University “Reaviz”
- All-Russian Eye and Plastic Surgery Center
- City Polyclinic No. 52 of the Department of Health of Moscow
- O.M. Filatov Municipal Clinical Hospital No. 15 of the Department of Health of Moscow
- Issue: Vol 12, No 6 (2021)
- Pages: 55-62
- Section: Original studies
- URL: https://ogarev-online.ru/pediatr/article/view/106324
- DOI: https://doi.org/10.17816/PED12655-62
- ID: 106324
Cite item
Full Text
Abstract
Background. The question of the effect of female sex hormones and their analogues on humans and experimental animals is of great interest in medicine.
Aim. The aim of the work was to study the morphological features of the ovaries of the offspring of laboratory mice during the administration of estrogens to the maternal body.
Materials and methods. Female laboratory mice after fertilization were divided into groups: two control and two experimental, which at the stage of development of gestation E11.5 underwent intramuscular, single administration of experimental doses of estrogens. The first experimental group was injected with the synthetic drug synestrol in the form of a 2% oil solution at a total dose of 50 mcg / kg (n = 5; S-50), the first control group was injected with olive oil at a dose of 0.2 μm/kg (n = 5). The second experimental group was injected with a 0.4 ml 0.0005% fulvestrant oil solution at a dose of 100 mcg/kg (n = 5; F-100), the second control group (n = 5) received sterile castor oil at a dose of 0.8 μm/kg.
Results. Persistent morphological changes are observed in the ovaries of the offspring of the first experimental group S-50: an increase in the average area of the cortical substance, a decrease in the area of the medulla, an increase in the average number of yellow bodies, an increase in the average number of luteal cells in the yellow body, a decrease in the total number of follicles and atretic bodies, indicating a violation of the folliculogenesis process, an increase in the average diameter of blood vessels demonstrating increased blood circulation. With the introduction of the drug fulvestrant 100 mcg / kg in the second experimental group F-100, morphological changes in the form of an increase in the average area of the cortical substance, a decrease in the average area of the medulla, sclerosis of the stromal component, accompanied by a restructuring of the vascular network with signs of atresia and cystic degeneration of the follicular epithelium in secondary and tertiary follicles are considered on a slice of the ovaries of the offspring.
Conclusions. The obtained results of the study confirm the urgency of the problem of implementing complex measures aimed at limiting the effects of estrogenetic drugs introduced into the maternal body during pregnancy, in order to prevent adverse effects on the development of the ovaries of offspring.
Keywords
Full Text
АКТУАЛЬНОСТЬ
Вопрос о воздействии женских половых гормонов и их аналогов на человека и экспериментальных животных представляет большой интерес в медицине [8, 16]. Эстроген, который вырабатывают яичники, является представителем женских стероидных половых гормонов и проявляет широкий спектр физиологических функций: регуляция менструального цикла, размножения, модуляция плотности костной ткани, функций мозга и мобилизация холестерина [17]. Биологические эффекты эстрогенов передаются в основном через взаимодействие с рецепторами эстрогенов [12, 14]. Вырабатываемые яичниками стероиды необходимы для адекватного роста и развития плода и поддержания баланса многих функций во время беременности [18]. Стероидогенез увеличивается на протяжении беременности. При осложненной беременности концентрация стероидных гормонов меняется. Недостаточная или повышенная концентрация стероидных гормонов провоцирует бесплодие, синдром поликистозных яичников, выкидыш, преэклампсию, гестационный сахарный диабет и преждевременные роды [15].
Несмотря на благотворное действие эндогенного эстрогена, устойчивое воздействие экзогенного эстрогена — значимый фактор риска канцерогенеза [11] их метаболитов на молекулярно-генетическом уровне в эстроген-чувствительных тканях, в том числе и в репродуктивных органах [9, 19]. Эндокринный дисбаланс матери увеличивает вероятность патологических изменений в репродуктивных органах [4], костно-мышечном аппарате, иммунной и нервной системах обоих полов [13].
В настоящее время количество существующих моделей провоцирующего действия эстрогенподобных веществ на организм человека и млекопитающих незначительно. Пренатальное исследование воздействия препаратов с эстрогенной активностью, а также изучение последствий их применения на потомство является актуальной задачей исследования.
Цель работы — изучение морфологических особенностей яичников потомства лабораторных мышей после введения эстрогенов материнскому организму во время беременности.
МАТЕРИАЛЫ И МЕТОДЫ
Исследование проведено на половозрелых лабораторных мышах массой 19–21 г, которые были получены в «Питомнике лабораторных животных» (Республика Башкортостан, Чишминский район, с. Горный, лицензия № 99-04-000097 от 25.01.2005, Федеральная служба по надзору в сфере здравоохранения и социального развития РФ). Условия вивария и содержание животных соответствовали «Методическим рекомендациям по содержанию лабораторных животных в вивариях научно-исследовательских институтов и учебных заведений», другим санитарным нормам и требованиям ветеринарного контроля и надзора работ с лабораторными и экспериментальными животными.
После фертилизации беременных самок лабораторных мышей разделили на группы: две контрольные и две экспериментальные, которым на стадии развития гестации Е11.5 было выполнено внутримышечное однократное введение экспериментальных доз эстрогенов. Расчеты эффективности доз препарата производили в соответствии с коэффициентами для перерасчета доз веществ в мкг/кг для мышей [2, 3, 5–7]. Первой экспериментальной группе вводили однократно внутримышечно синестрол в виде 2 % масляного раствора в общей дозе 50 мкг/кг (n = 5; С-50), первой контрольной группе вводили оливковое масло в дозе 0,2 мкг/кг (n = 5; МО). Второй экспериментальной группе был введен 0,0005 % масляный раствор фулвестранта 0,4 мл в дозе 100 мкг/кг (n = 5; Ф-100), группа контроля (n = 5; МК) получала стерильное касторовое масло в дозе 0,8 мкг/кг.
По достижении постнатального возраста 90 дней потомство (по пять животных, рожденных от самок каждой группы) выводили из опыта в одну и ту же фазу эстрального цикла — в фазу диэструса. Для определения фазы эстрального цикла использовали влагалищные мазки, окрашенные по Романовскому и критерии, предложенные M.C. Cora и соавт. [10]. Все экспериментальные манипуляции выполнены в соответствии с Женевской конвенцией (Geneva, 1990), а также Хельсинкской декларацией Всемирной медицинской ассоциации о гуманном отношении к животным (2000). На работу получено разрешение экспертного совета по биомедицинской этике ГБОУ ВПО «Башкирский государственный медицинский университет» (протокол № 3 от 17.03.2014).
Объектом исследований служили яичники потомства лабораторных мышей, их извлекали и фиксировали в 10 % нейтральном забуференном формалине в течение 24 ч, подвергали стандартной гистологической обработке. Срезы толщиной 5–6 мкм окрашивали гематоксилином и эозином. Исследование, визуализацию и морфометрию гистологических препаратов производили с использованием инвертированного биологического микроскопа для лабораторных исследований Axioobserver со штативом D1 (Carl Zeiss Microscopy GmbH, Германия), со специализированным программным обеспечением ZEN2018 (микроскоп был предоставлен лабораторией клеточных культур Центральной научной исследовательской лаборатории Башкирского государственного медицинского университета). Фотосьемку гистологических препаратов производили цифровой камерой AxioCamMRc5 (Carl Zeiss, Япония).
Были определены следующие морфометрические показатели яичников: средняя площадь поперечного среза, средняя площадь коркового, мозгового веществ, средний диаметр кровеносных сосудов, средняя площадь желтых тел, среднее количество лютеиновых клеток в желтом теле на стандартной площади, среднее количество атретических фолликулов в яичнике на стандартной площади. Были также исследованы фолликулы на разных стадиях развития: примордиальные, первичные, вторичные, третичные на стандартной площади с дальнейшим сравнением полученных результатов с контрольной группой [1]. Всего приготовлено 97 гистологических микропрепаратов.
Статистическую обработку осуществляли с использованием программы Statistica 7.0 (StatSoft, США). По каждому параметру вычисляли среднее арифметическое значение и его стандартную ошибку (М ± SD). Достоверность изменений оценивали с помощью t-критерия Стьюдента, различия определяли при достигнутом уровне значимости p ≤ 0,05.
РЕЗУЛЬТАТЫ И ОБСУЖДЕНИЕ
При однократном пренатальном введении беременным самкам лабораторных мышей на стадии гестации Е11.5 препарата синестрола в виде 2 % масляного раствора в дозе 50 мкг/кг в экспериментальной группе С-50 выявило статистически значимое увеличение средней площади поперечного среза яичников по центру через мозговое вещество и средней площади коркового вещества (см. таблицу, рис. 1). Статистически значимое уменьшение средней площади мозгового вещества наблюдается в экспериментальной группе С-50 (31,5 ± 2,3 мкм2), в отличие от группы контроля МО (172,6 ± 2,5 мкм2). Мозговое вещество хорошо васкуляризовано, в строме яичника наблюдается статистически значимое увеличение среднего диаметра кровеносных сосудов в экспериментальной группе С-50 (31,0 ± 1,6 мкм), что свидетельствует об усилении их кровоснабжения, в контрольной группе МО (22,0 ± 3,7 мкм), кровеносные сосуды проходят из мозгового вещества в корковое. Соединительнотканная основа среза яичников экспериментальной группы С-50 не упорядочена, образована коллагеновыми волокнами, клетками фибробластического ряда веретенообразной формы, в срезе наблюдалось перемещение фолликулов на периферию ближе к корковому веществу, сократилось на стандартной площади количество примордиальных, вторичных, третичных фолликулов (5,4 ± 1,7; 4,2 ± 1,1; 3,0 ± 0,7). Среднее количество первичных фолликулов увеличилось в группе С-50 по сравнению с группой контроля МО. Среднее количество атретических фолликулов в экспериментальной группе С-50 и в группе контроля МО примерно одинаковое. Желтые тела покрыты соединительнотканной капсулой, от которой к центру направляются тонкие прослойки, содержащие кровеносные и лимфатические сосуды. Обнаруженные желтые тела имеют неправильную форму. Наблюдается увеличение среднего количества желтых тел в экспериментальной группе С-50 (4,8 ± 1,3), в сравнении с группой контроля МО (2,2 ± 1,3). Статистически увеличивается среднее количество лютеиновых клеток в экспериментальной группе С-50 (622,2 ± 26,1), тогда как в группе контроля МО этот показатель составил 448,0 ± 91,0.
Таблица / Table
Анализ морфометрических показателей среза яичников на стандартной площади потомства при пренатальном однократном внутримышечном воздействии эстрогенов / Analysis of morphometric parameters of the ovarian section on the standard area of the offspring with prenatal, single, intramuscular exposure to estrogens
Показатель / Indication | Группы / Group | |||
Контроль МО / Control (olive oil) | С-50 / S-50 | Контроль МК / Control (castor oil) | Ф-100 / F-100 | |
Средняя площадь поперечного среза яичников по центру органа, мкм2 / Mean cross-sectional area of the ovaries in the center of the organ, μm2 | 1249,2 ± 81,4 | 1628,3 ± 62,1* | 964,5 ± 167,5 | 1122,3 ± 412,2 |
Средняя площадь коркового вещества среза яичников по центру органа, мкм2 / Mean area of the cortical substance of the ovarian section in the center of the organ, μm2 | 1076,6 ± 82,0 | 1596,7 ± 62,5* | 862,8 ± 175,3 | 1273,7 ± 196,7* |
Средняя площадь мозгового вещества среза яичников по центру органа, мкм2 / Mean area of the medulla of the ovarian section in the center of the organ, μm2 | 172,6 ± 2,5 | 31,5 ± 2,3* | 101,7 ± 10,4 | 73,1 ± 22,6* |
Средний диаметр кровеносных сосудов на стандартной площади среза яичников, мкм / Mean diameter of blood vessels on a standard ovarian incision area, μm | 22,0 ± 3,7 | 31,0 ± 1,6* | 21,5 ± 6,6 | 22 ± 6,6 |
Среднее количество примордиальных фолликулов на стандартной площади / Mean number of primordial follicles per standard area | 8,0 ± 1,6 | 5,4 ± 1,7* | 8,2 ± 3,7 | 11,0 ± 1,9 |
Среднее количество первичных фолликулов на стандартной площади / Mean number of primary follicles per standard area | 3,4 ± 0,5 | 5,0 ± 1,2* | 4,6 ± 1,5 | 7,6 ± 2,4* |
Среднее количество вторичных фолликулов на стандартной площади / Mean number of secondary follicles per standard area | 5,2 ± 2,9 | 4,2 ± 1,1 | 6,6 ± 1,5 | 10,0 ± 2,7* |
Среднее количество третичных фолликулов на стандартной площади / Mean number of tertiary follicles per standard area | 3,4 ± 0,9 | 3,0 ± 0,7 | 2,4 ± 1,1 | 3,6 ± 1,5 |
Среднее количество атретических фолликулов на стандартной площади / Mean number of atretic follicles per standard area | 3,2 ± 0,8 | 3,0 ± 0,7 | 3,2 ± 1,3 | 7,4 ± 1,8* |
Среднее количество желтых тел на стандартной площади / Mean number of yellow bodies in a standard area | 2,2 ± 1,3 | 4,8 ± 1,3* | 1,6 ± 1,1 | 3,2 ± 1,3 |
Среднее количество лютеиновых клеток в желтом теле на стандартной площади / Mean number of luteal cells in the yellow body per standard area | 448,0 ± 91,0 | 622,2 ± 26,1* | 465,8 ± 64,7 | 439 ± 20,4 |
* Выраженные эффекты значимы при р ≤ 0,05. * Marked effects are significant at р ≤ 0.05.
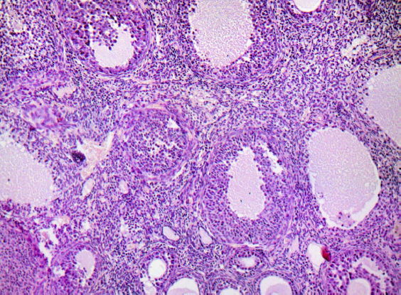
Рис. 1. Микрофотография препарата среза яичника потомства экспериментальной группы С-50. Окраска гематоксилином и эозином. Ув. ×100
Fig. 1. Microphoto of the ovarian section preparation of the offspring of the experimental group S-50. Stained with hematoxylin-eosin. Magnification ×100
Рис. 2. Микрофотография препарата среза яичника потомства экспериментальной группы Ф-100. Окраска гематоксилином и эозином. Ув. ×100
Fig. 2. Micrograph of the preparation of the ovarian section in the offspring of the experimental group F-100. Stained with hematoxylin-eosin. Magnification ×100
После проведенных морфометрических исследований среза яичников потомства лабораторных мышей во второй экспериментальной группе при однократном внутримышечном пренатальном введении препарата фулвестранта в дозе 100 мкг/кг, Ф-100, установлено, что снаружи яичник окружен белочной оболочкой, состоящей из плотной волокнистой соединительной ткани, покрытой мезотелием. Средняя площадь поперечного среза яичников в экспериментальной группе Ф-100 увеличена, по сравнению с группой контроля МК (см. таблицу, рис. 2).
Под белочной оболочкой располагается корковое вещество, состоящее из плотно лежащих фибробластов и межклеточного вещества. Средняя площадь коркового вещества в экспериментальной группе значительно больше (1273,7 ± 196,7 мкм2), чем в группе контроля МК (862,8 ± 175,3 мкм2).
Мозговое вещество на срезе яичников представлено большим количеством неупорядоченных эластических волокон, гладкомышечных клеток. Средняя площадь мозгового вещества в экспериментальной группе Ф-100 составила 73,1 ± 22,6 мкм2, в контрольной группе МК наблюдается увеличение данного показателя (101,7 ± 10,4 мкм2).
При исследовании среднего диаметра сосудов среза яичников наблюдается склерозирование стромального компонента, приводящее к усилению кровоснабжения в виде перестройки сосудистой сети, выражающееся в увеличении среднего диаметра сосудов (22 ± 6,6 мкм) в экспериментальной группе Ф-100 в отличие от группы контроля МК (21,5 ± 6,6 мкм).
В корковом веществе на срезе яичников фолликулы находятся на разных стадиях развития: от примордиальных, первичных, вторичных, до зрелых третичных фолликулов, отмечается статистически значимое увеличение в экспериментальной группе Ф-100 в отличие от контрольной группы МК. На гистологическом срезе яичников экспериментальной группы наблюдаются кистозные изменения в фолликулах разных уровней развития. Среднее количество атретических фолликулов на срезе яичников в экспериментальной группе Ф-100 почти в два раза больше, чем в группе контроля МК.
Обнаруженные желтые тела имеют овальные или округлые формы. Проведенные исследования выявили, что в экспериментальной группе Ф-100 среднее количество желтых тел статистически увеличивается (3,2 ± 1,3) в отличие от группы контроля МК (1,6 ± 1,1). Среднее количество лютеиновых клеток в желтом теле на стандартной площади яичника в экспериментальной группе Ф-100 уменьшается, в сравнении с группой контроля МК.
ВЫВОДЫ
Таким образом, анализ морфометрических показателей среза яичников при пренатальном однократном внутримышечном воздействии синестрола в экспериментальной группе С-50, по сравнению с контрольной группой (МО), показал: увеличение средней площади коркового вещества среза яичников на 48,3 % (р ≤ 0,05); уменьшение средней площади мозгового вещества на 81,7 % (р ≤ 0,05); увеличение среднего диаметра кровеносных сосудов на 40,9 % (р ≤ 0,05), демонстрирующее усиление кровообращения в органе; снижение среднего количества примордиальных фолликулов на 32,5 % (р ≤ 0,05); увеличение среднего количества первичных фолликулов на стандартной площади на 47,1 % (р ≤ 0,05), свидетельствующее о нарушении процесса фолликулогенеза; увеличение среднего количества желтых тел в два раза (р ≤ 0,05); увеличение среднего количества лютеиновых клеток в желтом теле на 38,8 % (р ≤ 0,05).
Морфометрическая оценка показателей среза яичников потомства лабораторных мышей при пренатальном однократном внутримышечном воздействии фулвестранта в экспериментальной группе Ф-100, по сравнению с контрольной группой (МК), показала: увеличение средней площади коркового вещества на 47,6 % (р ≤ 0,05); уменьшение средней площади мозгового вещества на 28,1 % (р ≤ 0,05); увеличение среднего количества первичных фолликулов на 65,2 % (р ≤ 0,05); увеличение среднего количества вторичных фолликулов на 51,5 % (р ≤ 0,05); увеличение среднего числа атретических фолликулов в два раза ( р ≤ 0,05). На срезе яичников наблюдается склерозирование стромального компонента, сопровождающееся перестройкой сосудистой сети с признаками атрезии и кистозного перерождения во вторичных и третичных фолликулах.
Полученные результаты исследования подтверждают актуальность проблемы внедрения комплексных мероприятий, направленных на лимитирование воздействия вводимых в материнский организм препаратов эстрогенового ряда в период беременности, для предотвращения неблагоприятных эффектов на развитие яичников потомства.
ДОПОЛНИТЕЛЬНАЯ ИНФОРМАЦИЯ
Вклад авторов. Все авторы подтверждают соответствие своего авторства международным критериям ICMJE (все авторы внесли существенный вклад в разработку концепции, проведение исследования и подготовку статьи, прочли и одобрили финальную версию перед публикацией).
Конфликт интересов. Авторы декларируют отсутствие явных и потенциальных конфликтов интересов, связанных с публикацией настоящей статьи.
Источник финансирования. Авторы заявляют об отсутствии внешнего финансирования при проведении исследования.
About the authors
Rimma T. Sulaymanova
University “Reaviz”
Author for correspondence.
Email: rimma2006@bk.ru
ORCID iD: 0000-0002-1658-9054
SPIN-code: 4933-2131
PhD, Cand. Sci. (Biol.), Associate Professor of the Department of Medical and Biological Disciplines
Russian Federation, Saint PetersburgRadik M. Khayrullin
University “Reaviz”
Email: r.m.hayrullin@reaviz.online
MD, PhD, Dr. Sci. (Med.), Professor of the Department of Morphology and Pathology
Russian Federation, Saint PetersburgAnna I. Lebedeva
All-Russian Eye and Plastic Surgery Center
Email: Jeol02@mail.ru
Dr. Sci. (Biol.), Senior Researcher of the Research Department of Morphology
Russian Federation, UfaLuisa I. Sulaymanova
City Polyclinic No. 52 of the Department of Health of Moscow
Email: lsulajmanova@bk.ru
Pediatrician
Russian Federation, MoscowEliza D. Askhabova
O.M. Filatov Municipal Clinical Hospital No. 15 of the Department of Health of Moscow
Email: eliza_askhabova92@mail.ru
Pediatrician
Russian Federation, MoscowReferences
- Аvtandilov GG. Meditsinskaya morfometriya. Rukovodstvo. Moscow: Meditsina; 1990. 384 p. (In Russ.)
- Arzamastsev EV. Metodologicheskiye ukazaniya po izucheniyu obshchetoksicheskogo deystviya farmakologicheskikh veshchestv. Harbiev RU, ed. (In Russ.) Moscow: Medocina; 2005 C. 41–45.
- Gus’kova TA. A Preclinical toxicological study of drugs as a guarantee of their safe clinical investigations. (In Russ.) Toxicological Review. 2010;(5(104)):2–6.
- Sulaymanova RT. Anogenital distance as a biomarker of the prenatal action of estrogens and the risk of developing reproductive disorders of offspring. Journal of Anatomy and Histopathology. 2021;10(2):38–42. (In Russ.) doi: 10.18499/2225-7357-2021-10-2-38-42
- Patent RU № 2722988/ 05.06.2020. Sulaymanova RT, Murzabaev HK, Rahmatullina IR, et al. Method for simulating the procarcinogenic action of fulvestrant on female descendants ovary in laboratory mice. (In Russ.) Available from: https://patenton.ru/patent/RU2722988C1. Accessed: 12.11.2021
- Patent RU № 2676437/ 09.01.2018. Sulaymanova RT, Khayrullin RM, Imaeva AK, et al. Method for modeling pro-carcinogenic effect of synoestrol on the ovaries of the female offspring of laboratory mice. (In Russ.) Available from: https://patenton.ru/patent/RU2676437C1
- Khabriev RU. Rukovodstvo po eksperimental’nomu (doklinicheskomu) izucheniyu novykh farmakologicheskikh veshchestv. 2005:49–51. (In Russ.)
- Yusupova LR, Sulaymanova RT, Magadeev TR, et al. About the risk factor for breast cancer associated with prenatal estrogen metabolism. Fundamental’nye issledovaniya. (In Russ.) 2013;10(1):130–135.3.
- Bromer JG, Zhou Y, Taylor MB, et al. Bisphenol-A exposure in utero leads to epigenetic alterations in the developmental programming of uterine estrogen response. FASEB J. 2010;24(7):2273–2280. doi: 10.1096/fj.09-140533
- Cora MC, Kooistra L, Travlos G. Vaginal Cytology of the Laboratory Rat and Mouse: Review and Criteria for the Staging of the Estrous Cycle Using Stained Vaginal Smears. Toxicologic Pathology. 2015;43(6):776–793. doi: 10.1177/0192623315570339
- Chandhoke G, Shayegan B, Hotte SJ. Exogenous estrogen therapy, testicular cancer, and the male to female transgender population: a case report. J Med Case Rep. 2018;12(1):373. doi: 10.1186/s13256-018-1894-6
- Hatsumi T, Yamamuro Y. Downregulation of estrogen receptor gene expression by exogenous 17beta-estradiol in the mammary glands of lactating mice. Exp Biol Med (Maywood). 2006;231(3):311–316. doi: 10.1177/153537020623100311
- Iguchi T, Watanabe H, Katsu Y. Developmental effects of estrogenic agents on mice, fish, and frogs: a mini-review. Horm Behav. 2001;40(2):248–251. doi: 10.1006/hbeh.2001.1675
- Korach KS, Couse JF, Curtis SW, et al. Estrogen receptor gene disruption: molecular characterization and experimental and clinical phenotypes. Recent Prog Horm Res. 1996;51:159–186.
- Makieva S, Hutchinson LJ, Rajagopal SP, et al. Androgen-induced relaxation of uterine myocytes is mediated by blockade of both ca(2þ) flux and mlc phosphorylation. J Clin Endocrinol Metab. 2016;101(3):1055–1065. doi: 10.1210/jc.2015-2851
- Li S, Jiang K, Li J, et al. Estrogen enhances the proliferation and migration of ovarian cancer cells by activating transient receptor potential channel C3. J Ovarian Res. 2020;13(1):20. doi: 10.1186/s13048-020-00621-y
- Liang J, Shang Y. Estrogen and cancer. Annu Rev Physiol. 2013;75:225–240. doi: 10.1146/annurev-physiol-030212-183708
- Sulaymanova RT. Effect of the prenatal action of fulvestrant on the ovaries of the offspring of laboratory mice December. RUDN Journal of Medicine. 2021;25(3):256–262. doi: 10.22363/2313-0245-2021-25-3-256-262
- Soto AM, Maffini MV, Sonnenschein C. Neoplasia as development gone awry: the role of endocrine disruptors. Int J Androl. 2008;31(2):288–293. doi: 10.1111/j.1365-2605.2007.00834.x
Supplementary files



