Особенности поражения сосудистого русла при гнойных менингитах у детей
- Авторы: Скрипченко Н.В.1,2, Егорова Е.С.1, Вильниц А.А.1,2, Горелик Е.Ю.1
-
Учреждения:
- Детский научно-клинический центр инфекционных болезней Федерального медико-биологического агентства России
- Санкт-Петербургский государственный педиатрический медицинский университет
- Выпуск: Том 12, № 5 (2021)
- Страницы: 27-35
- Раздел: Оригинальные статьи
- URL: https://ogarev-online.ru/pediatr/article/view/104987
- DOI: https://doi.org/10.17816/PED12527-35
- ID: 104987
Цитировать
Аннотация
Актуальность. Гнойные менингиты занимают одно из важных мест в структуре нейроинфекционных заболеваний у детей и входят в первую десятку причин летальных исходов. Актуальность изучения клиники, патогенеза гнойных менингитов у детей обусловлена тяжестью течения, высокими показателями инвалидизации и летальных исходов (8–39 %). Повреждение сосудистого русла при нейроинфекциях, в том числе при гнойных менингитах, является обязательным компонентом патогенеза заболевания в связи с преимущественно гематогенным путем распространения возбудителей. Проникновение микроорганизмов через гематоэнцефалический барьер в полость черепа и их гематогенная интратекальная циркуляция обусловливают поражение церебральных вен и артерий, приводя к развитию васкулопатий и васкулитов.
Цель: определить особенности сосудистых нарушений при гнойных менингитах у детей.
Материалы и методы. Обследовано 100 детей с гнойными менингитами в возрасте от 1 года до 17 лет 11 мес., за период с 2009 по 2020 г. Всем больным проводился неврологический мониторинг, этиологическая верификация диагнозов, определение маркеров эндотелиальной дисфункции в крови (Д-димера и десквамированных эндотелиоцитов), а также магнитно-резонансная томография головного мозга и магнитно-резонансная ангиография.
Результаты. Доказано комплексное поражение сосудистой системы при гнойных менингитах у детей, связанное с нарушением как структурных, так и функциональных свойств сосудистой стенки, а также повреждением сосудодвигательной функции эндотелия.
Выводы. При гнойных менингитах имеет место повреждение сосудистого русла в виде системного васкулита, в том числе церебральных сосудов, о чем свидетельствует наличие как маркеров повреждения эндотелия (десквамированных эндотелиоцитов и Д-димера), так и изменений при проведении магнитно-резонансной томографии-ангиографии.
Ключевые слова
Полный текст
АКТУАЛЬНОСТЬ
Гнойные менингиты (ГМ) занимают лидирующее место в структуре нейроинфекционных заболеваний у детей и входят в первую десятку причин летальных исходов [10]. Частота ГМ в Санкт-Петербурге составляет в среднем 5,9 на 100 тыс. детского населения в год. Общая летальность от этих заболеваний колеблется от 3,7 до 10 %, а при тяжелом течении у детей грудного возраста она возрастает до 45 % [8]. Актуальность изучения ГМ обусловлена тяжестью течения, высокими показателями инвалидизации и летальных исходов (8–39 %) [6, 11].
Бактерии, попавшие в кровеносное русло по сосудистому сплетению, преодолевают гематоэнцефалический барьер. Происходит вовлечение в инфекционный процесс всех сосудов, в том числе церебральных. В результате формируются неровности стенок, фокальные дилатации и окклюзии ветвей артерий, очаговое воспаление паренхимы, тромбозы синусов, корковых вен, с развитием васкулитов и васкулопатий [3]. Под васкулитом понимают патологический процесс, характеризующийся воспалением и некрозом сосудистой стенки, приводящий к ишемическим и/или геморрагическим изменениям органов и тканей. В зарубежной литературе описаны васкулиты, возникающие на фоне ГМ как у взрослых, так и у детей [16]. При васкулопатиях отсутствуют четкие морфологические признаки воспалительно-клеточной инфильтрации сосудистой стенки и периваскулярного пространства.
В сосудистом русле микроорганизмы контактируют с эндотелием сосудов, вызывая его повреждение, опосредованное медиаторами воспаления, в результате чего нарушаются функции сосудов. Истощение антитромботической функции поврежденных клеток эндотелия приводит к выработке тканевого тромбопластина, что, в свою очередь, обусловливает агрегацию тромбоцитов, выработку тромбина и увеличение свертывающей способности крови. Имеют место повреждения как внутри сосуда, так и снаружи, обусловленные тесным контактом церебральных сосудов с арахноидальной оболочкой, вовлеченной в воспалительный процесс. Изменения сосудистой стенки приводят к сужению просвета сосудов, повышенной коагуляции из-за воздействия провоспалительных цитокинов на поверхность эндотелия и изменения вазомоторного тонуса. Ткань мозга становится подверженной гипоксии, что, в свою очередь, приводит к развитию церебральной ишемии, формированию инфарктов и, как следствие, неврологическому дефициту в исходе заболевания.
Считается, что церебральные поражения сосудов, вызванные ГМ, проходят 3 фазы. На начальном этапе появляется вазоспазм, вызванный скоплением гнойного материала в субарахноидальном пространстве, далее следует некроз сосудистой стенки, который приводит к вазодилатации. На заключительном этапе отмечаются субэндотелиальный отек и пролиферация гладких мышц, что, в конечном итоге, вызывает стеноз сосуда [2].
Цереброваскулярные осложнения возникают более чем у трети больных ГМ. Они могут появляться как в начале заболевания, так и в остром периоде, и даже отсроченно, после лечения, и чаще всего имеют неблагоприятные исходы [19], что определяет актуальность их своевременной диагностики, профилактики и лечения. Наиболее часто встречаются васкулиты при менингитах, вызванных пневмококковой и гемофильной инфекцией, что обусловлено тропностью этих возбудителей к эндотелиальным клеткам церебральных сосудов.
Диагноз церебрального васкулита устанавливается на основании результатов клинического, лабораторного и нейровизуализационного [магнитно-резонансная томография (МРТ), ангиография] исследований.
При неврологическом осмотре у пациентов с церебральным васкулитом можно выявить сенсомоторный и когнитивный дефицит, изменение личности, аффективные или психотические расстройства. Клинические проявления зависят от локализации поражения, площади и объема церебрального поражения [14].
В диагностике васкулитов некоторую информацию о степени эндотелиального поражения дает метод определения десквамированных (циркулирующих) эндотелиоцитов (ДЭЦ) в крови, уровень которых в норме составляет 2–4 кл./мкл, но при этом невозможно разграничить, какие именно сосуды вовлечены в патологический процесс, — интра- или экстрацеребральные. В связи с тем что эндотелиальная дисфункция сопровождается изменениями в системе гемостаза, одним из показателей тромбообразования является продукт распада фибрина — Д-димер, повышение которого наблюдается при различных патологических состояниях: кровоизлияниях, синдроме диссеминированного внутрисосудистого свертывания (ДВС-синдром), тромбофлебите, тромбоэмболии и проч. Оценка показателей Д-димера позволяет диагностировать ситуации, сопровождающиеся повышенным тромбообразованием, мониторировать эффективность проводимой терапии [1].
Маркером эндотелиального повреждения являются эндотелиальные клетки сосудов микроциркуляторного русла, конституционально экспрессирующие маркер клеточной дифференцировки CD31 [18], а маркер непосредственного повреждения мозговой ткани — выявление S100-позитивных клеток, которые экспрессируются только в клетках нейрогенного происхождения [7].
На ранних этапах изменения в сосудах диагностируются при проведении транскраниального дуплексного сканирования (ТКДС), а также нейровизуализации. ТКДС при ГМ выявляет снижение линейной скорости кровотока в бассейнах мозговых артерий, а также изменение толщины комплекса интима-медиа.
Наличие на МРТ признаков ишемического или геморрагического инсульта позволяет диагностировать церебральный васкулит [5].
Посмертно диагностировать васкулит церебральных сосудов позволяет исследование аутопсийного материала, в котором выявляются множественные мелкие ишемические инфаркты в кортикальных и субкортикальных областях, не диагностируемые прижизненно [1].
Эндотелиальная дисфункция, церебральная ишемия, грубые метаболические нарушения при ГМ обосновывают необходимость их своевременной диагностики и коррекции для улучшения исходов заболевания.
Цель исследования — определить особенности сосудистых нарушений при ГМ у детей.
МАТЕРИАЛЫ И МЕТОДЫ
Проведено комплексное обследование 100 детей с ГМ в возрасте от 1 мес. до 17 лет 11 мес., находившихся на лечении в отделениях нейроинфекций и органической патологии нервной системы, реанимации и интенсивной терапии ФГБУ ДНКЦИБ ФМБА России в период с 2009 по 2020 г. Критерии включения детей в исследование: наличие инфекционного синдрома, общемозговой, менингеальной симптоматики.
Клинико-неврологическое обследование пациентов проводили при поступлении в стационар, а также ежедневно на протяжении всего периода госпитализации. Оценивали уровень сознания, выраженности интоксикационного синдрома, а также общемозговых, менингеальных и очаговых симптомов. Этиология ГМ подтверждалась стандартными методами в лаборатории микроэкологии. Для определения эндотелиальной дисфункции проводилось определение количества ДЭЦ в сыворотке крови по методу J. Hladovec (1978) в модификации Н.Н. Петрищева и Т.Д. Власова [4].
Склонность к тромбообразованию определялась количественным содержанием Д-димера в крови. Применяли метод латексной агглютинации с использованием тест-полосок D-Dimer Test (F. Hoffman-La-Roche Ltd., Швейцария) на иммунохимическом экспресс-анализаторе Cardiac Reader (Roche Diagnostics, Швейцария). Исследование Д-димера и ДЭЦ проводилось 3-кратно: при поступлении, через 21 и 45 дней от начала заболевания.
При поступлении, а также в динамике заболевания пациентам проводили транскраниальное дуплексное сканирование сосудов головного мозга на ультразвуковых аппаратах Toshiba Хario SSA-660A и Aloka SSD-3500 (Toshiba, Япония), которое включало исследование сосудов каротидного бассейна.
В остром периоде ГМ была выполнена МРТ головного мозга на сверхпроводящем магнитном томографе Signa Echo-Speed 1,5 Тл (General Electric, США). Программа лучевого обследования состояла из следующих импульсных последовательностей: SE, FSE, IR, FLAIR и DWI для получения PD, Т1- и Т2-взвешенных изображений в 3 плоскостях. Всем пациентам проводилось контрастное усиление изображения с использованием препарата Омнискан в дозе 0,2 мг/кг, вводимого внутривенно, а также бесконтрастная МР-ангиография сосудов головного мозга.
В ходе исследования оценивались сроки нормализации количества ДЭЦ и Д-димера.
Статистическую обработку данных проводили с помощью программы Microsoft Excel 2007. Анализ полученных результатов выполняли с помощью персонального компьютера с применением пакета прикладных программ Statistica 7. Статистическая обработка полученных результатов осуществлялась с использованием непараметрических методов вариационной статистики. Проводился расчет средних величин, стандартного отклонения. Для оценки достоверности различий применялся F-критерий Фишера, χ2 Пирсона, t-критерий Стьюдента, различия считали значимыми при р < 0,05. Результаты проводимых клинических и лабораторных исследований также оценивали в динамике методом парного корреляционного теста.
РЕЗУЛЬТАТЫ
Анализ этиологической структуры менингитов показал, что преобладала менингококковая (57 %) и гемофильная (20 %) инфекции, реже пневмококковая (8 %).
Менингиты менингококковой этиологии чаще регистрировались у детей 3–7 лет (71,0 %), в то время как у детей раннего возраста в 36,0 % случаев были выявлены гемофильные менингиты (HibМ).
Наиболее тяжело протекали менингиты менингококковой и гемофильной этиологии преимущественно у подростков, что, вероятно, обусловлено наличием гормональной перестройки организма в пубертатном периоде.
Клинические особенности ГМ зависели от этиологии заболевания. Клиническая картина менингококковых менингитов характеризовалась остро развившейся интоксикацией. В 90 % случаев заболевание начиналось с высокой лихорадки, до 39–40 °C, нарастающей вялости, общемозговых симптомов. У 80 % детей отмечалась клиника септического шока. Начало HibМ у 60 % детей было острым, у 20 % — сверхострым. Однако у группы детей от 5 мес. до 3 лет в 25 % наблюдений развитию ГМ предшествовали симптомы острой респираторной инфекции, что свидетельствовало о подостром развитии заболевания. В 49 % случаев пациенты имели признаки нарушения сознания до сопора, а в 60 % — очаговую неврологическую симптоматику. Пневмококковые менингиты у всех детей характеризовались острейшим началом, быстрым нарастанием интоксикации и формированием отека головного мозга. Характерны были резко выраженные менингеальные симптомы.
В 30 % случаев ГМ у детей имели среднетяжелую, в 51 % — тяжелую, а в 19 % — крайне тяжелую форму заболевания.
Исходы ГМ зависели от степени тяжести заболевания. При средней и тяжелой формах ГМ выздоровление имело место в 68 и 30 % случаев соответственно, тогда как при ГМ крайне тяжелой формы у 89,5 % детей отмечалось затяжное течение болезни с формированием неврологического дефицита разной выраженности.
Показатели ДЭЦ в остром периоде ГМ были повышенными, однако максимальные их показатели были выявлены при ГМ менингококковой и гемофильной этиологии (13,23 ± 0,52 и 9,97 ± 0,57 клеток в 100 мкл соответственно). При менингитах пневмококковой и неуточненной этиологии также отмечалось увеличение содержания ДЭЦ в остром периоде заболевания, однако значения были ниже: 7,2 ± 0,52 и 4,94 ± 0,86 кл./мкл соответственно. Высокие показатели количества ДЭЦ отмечались до 45-го дня при ГМ менингококковой, гемофильной и пневмококковой этиологии.
В ходе проведенного исследования выявлены достоверные отличия показателей ДЭЦ в остром периоде в зависимости от возраста. У детей 1-го года жизни и раннего дошкольного возраста (до 2 лет 11 мес.), а также дошкольников (3–7 лет) в остром периоде ГМ показатели ДЭЦ были выше, чем у подростков (12–17 лет) и составляли в среднем 9,2 ± 0,48 кл./мкл. Однако в динамике заболевания у пациентов до 7 лет нормализация показателей ДЭЦ к 45-му дню соответствовала нормальным значениям, тогда как у детей подросткового возраста, при относительно невысоких значениях ДЭЦ (7,1 ± 0,79 кл./мкл) в остром периоде заболевания, к 45-му дню сохранялись достоверно высокие значения показателей повреждения эндотелия (табл. 1).
Таблица 1. Динамика изменений показателей количества десквамированных (циркулирующих) эндотелиоцитов (ДЭЦ) при гнойных менингитах в зависимости от возраста (n = 100) / Table 1. Dynamics of changes in the indices of the number of desquamated endothelial cells (DEC) in purulent meningitis, depending on age (n = 100)
Возраст, лет / Age, years | Количество / Number | Количество ДЭЦ, кл./мкл / DEC quantity, cells/mcl | ||
острый период (1–3-й день) / acute period (1–3 days) | 21-й день / days | 45-й день / days | ||
1 мес. – 2 г. 11 мес. / 1 month – 2 years 11 months | 25 | 9,1 ± 0,44 | 6,38 ± 0,34* | 4,3 ± 0,25* |
3–7 лет / years | 55 | 9,2 ± 0,48 | 6,35 ± 0,35* | 4,6 ± 0,24* |
12–17 лет / years | 20 | 7,6 ± 0,68 | 7,3 ± 0,65 | 6,9 ± 0,57 |
* р < 0,05.
Тяжесть заболевания соответствовала деструктивным изменениям в эндотелии сосудов. При среднетяжелой форме заболевания средние показатели ДЭЦ в остром периоде были достоверно меньше, чем при тяжелой и крайне тяжелой, и составляли 7,6 ± 0,71, 8,9 ± 0,85 и 9,9 ± 1,08 кл./мкл соответственно. В динамике заболевания, при тяжелой и крайне тяжелой форме ГМ повышенные значения ДЭЦ сохранялись длительно, вплоть до 45-го дня (табл. 2).
Таблица 2. Динамика количества десквамированных (циркулирующих) эндотелиоцитов (ДЭЦ) при гнойных менингитах в зависимости от степени тяжести заболевания (n = 100) / Table 2. Dynamics of the number of desquamated endothelial cells (DEC) in purulent meningitis, depending on the severity of the disease (n = 100)
Тяжесть гнойного менингита / Severity of purulent meningitis | Количество / Number | Количество ДЭЦ, кл./мкл / DEC quantity, cells/mcl | ||
острый период (1–3-й день) / acute period (1–3 days) | 21-й день / days | 45-й день / days | ||
Среднетяжелая / Moderate | 30 | 7,6 ± 0,71 | 5,6 ± 0,53 | 4,2 ± 0,33 |
Тяжелая / Heavy | 51 | 8,9 ± 0,85* | 7,9 ± 0,83* | 6,6 ± 0,62* |
Крайне тяжелая / Extremely hard | 19 | 9,9 ± 1,08* | 9,2 ± 0,77* | 8,3 ± 0,74* |
* Различия р < 0,05 относительно среднетяжелой формы гнойного менингита.
* Differences р < 0.05 in the relative to moderate form of purulent meningitis.
Исследование маркера тромбообразования (Д-димера) показало его достоверное нарастание в остром периоде заболевания при ГМ различной этиологии, однако максимальные значения были выявлены при ГМ гемофильной (2045,91 ± 346,00 мкг/л) и менингококковой этиологии (1978,34 ± 196,24 мкг/л).
При исследовании количества Д-димера в зависимости от возраста максимальные показатели выявлены у детей дошкольного (3–7 лет) и подросткового (старше 12 лет) возраста (2031,93 ± 231,79 и 1998,45 ± 211,33 мкг/л соответственно). При исследовании динамики изменения показателей во всех возрастных группах к 21-му дню от начала заболевания отмечалось снижение Д-димера в 3– 3,5 раза (табл. 3).
Таблица 3. Динамика изменений показателей количества Д-димера при гнойных менингитах в зависимости от возраста (n = 100) / Table 3. Dynamics of changes in indicators of the amount of D-dimer in purulent meningitis, depending on age (n = 100)
Возраст, лет / Age, years | Количество / Number | Д-димер, мкг/л / D-dimer, mcg/l | ||
острый период (1–3-й день) / acute period (1–3 days) | 21-й день / days | 45-й день / days | ||
1 мес. – 2 г. 11 мес. / 1 month – 2 years 11 months | 25 | 1312,83 ± 125,41 | 425,30 ± 94,08* | 419,73 ± 42,61* |
3–7 лет / years | 55 | 2031,93 ± 231,79* | 685,98 ± 181,12* | 421,64 ± 45,39* |
12–17 лет / years | 20 | 1998,45 ± 211,33* | 694,91 ± 310,53* | 710,95 ± 295,12* |
* р < 0,05.
Установлена зависимость показателей Д-димера и от тяжести заболевания: чем тяжелее протекало заболевание, тем выше был показатель тромбообразования (табл. 4).
Таблица 4. Динамика показателей Д-димера при гнойных менингитах в зависимости от степени тяжести заболевания (n = 100) / Table 4. Dynamics of D-dimer indices in purulent meningitis, depending on the severity of the disease (n = 100)
Тяжесть гнойного менингита / Severity of purulent meningitis | Количество / Number | Д-димер, мкг/л / D-dimer, mcg/l | ||
острый период (1–3-й день) / acute period (1–3 days) | 21-й день / days | 45-й день / days | ||
Среднетяжелая / Moderate | 30 | 1238,13 ± 187,46 | 512,085 ± 132,54 | 275,98 ± 138,13 |
Тяжелая / Heavy | 51 | 1850,35 ± 345,84 | 756,74 ± 354,94* | 612,35 ± 257,31* |
Крайне тяжелая / Extremely hard | 19 | 2356,76 ± 589,02 | 1750,75 ± 439,05* | 985,01 ± 461,84* |
* Различия р < 0,05 относительно среднетяжелой формы гнойного менингита.
* Differences р < 0.05 in the relative to moderate form of purulent meningitis.
Транскраниальное дуплексное сканирование сосудов головного мозга при ГМ у 90 % детей выявило снижение линейной скорости кровотока в бассейне задней и средней мозговых артерий, у 28 % определялось утолщение комплекса интима-медиа, что свидетельствовало об изменении просвета сосуда в связи с воспалительными изменениями в его стенке.
МРТ головного мозга детей показало в 90 % случаев расширение субдурального пространства за счет патологического скопления жидкости на PD, Т1 и Т2-ВИ. При внутривенном введении контрастного препарата у всех пациентов отмечалось утолщение и избирательное повышение интенсивности сигнала от оболочек головного мозга на постконтрастных изображениях, что свидетельствовало о повреждении сосудистого русла и нарушении проницаемости гематоэнцефалического барьера.
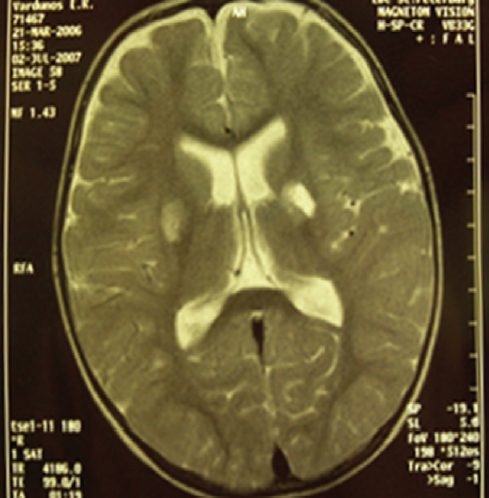
У 23 % детей с ГМ гемофильной и менигококковой этиологии выявлены очаги патологического МР-сигнала, обусловленного васкулитом с развитием множественных мелких зон ишемии различных размеров, округлой или овальной формы, с нечеткими контурами, которые локализовались как в субкортикальных, так и в перивентрикулярных отделах белого вещества (рис. 1).
Рис. 1. Магнитно-резонансная томограмма головного мозга ребенка, 1 год 9 мес. Диагноз: «Гнойный менингит гемофильной этиологии. Острое нарушение мозгового кровообращения по ишемическому типу в бассейне правой среднемозговой артерии». Режим Т2-ВИ. В базальных структурах справа определяется зона высокой интенсивности сигнала размерами 1,8 × 1,2 × 1,4 см с нечеткими контурами. В базальных отделах слева — лакунарная киста размерами 1,4 × 0,9 × 1,1 см / Fig. 1. MRI of a child, 1,9 years old. Diagnosis: Purulent meningitis of hemophilic etiology. Acute ischemic cerebral circulation disorder in the basin of the right middle cerebral artery. T2-VI mode. In the basal structures on the right, a zone of high signal intensity with dimensions of 1.8 × 1.2 × 1.4 cm with fuzzy contours is determined. In the basal regions on the left – a lacunar cyst measuring 1.4 × 0.9 × 1.1 cm
Проведение DWI МРТ у 63 % детей показало наличие множественных двусторонних очагов инфарктов, вероятнее всего развившихся вследствие васкулита мелких сосудов (рис. 2).
Рис. 2. Магнитно-резонансная томограмма головного мозга ребенка, 2 года 4 мес. На DWI множественные инфаркты мозолистого тела и правого хвостатого ядра / Fig. 2. MRI of a child, 2,4 years old. The DWI shows multiple infarctions of the corpus callosum and the right caudate nucleus
При проведении бесконтрастной ангиографии у 34 % пациентов имели место лучевые находки в виде: гипоплазии (14 %), асимметрии (18 %) и патологической извитости (5 %) задней мозговой артерии, передней мозговой артерии, позвоночных артерий, вариантов разомкнутого виллизиева круга (3 %), а также задней трифуркации внутренней сонной артерии (2 %).
ОБСУЖДЕНИЕ
Анализ полученных результатов позволяет говорить о выраженном повреждении эндотелия сосудов общециркуляторного русла (генерализованный васкулит) и мозговых оболочек под действием бактериальных агентов, вызывающих «цитокиновый взрыв» с развертыванием каскада воспалительных реакций организма [15, 21]. Несмотря на проведение этиотропной антибактериальной терапии, длительно существующие высокие значения эндотелиоцитов в остром периоде ГМ свидетельствуют о выраженном повреждении эндотелия в связи с бактериемией, что требует дополнительного назначения препаратов, обладающих эндотелийпротективным действием [9].
У детей раннего младшего дошкольного и дошкольного возраста имеются анатомо-физиологические особенности строения сосудов в виде широкого просвета и повышенной эластичности сосудистой стенки, что приводит к быстрому восстановлению эндотелиальной выстилки к 45-му дню. Вегетативная дисфункция у подростков, характеризующаяся активацией процессов перекисного окисления липидов, снижение уровня антиоксидантной активности плазмы и уменьшение уровня оксида азота оказывают воздействие на эндотелиальную выстилку сосудов и регуляцию сосудистого тонуса, что, вероятно, обусловливает медленное уменьшение количества ДЭЦ у подростков. Кроме того, играет роль и повышение уровня гомоцистеина, оказывающего непосредственное влияние на эндотелий, что способствует его длительному восстановлению [12].
Исследование показало прямую корреляционную связь между степенью тяжести ГМ и деструктивными изменениями в стенке сосудов, что может быть обусловлено высокой нагрузкой большого количества возбудителя, попавшего в организм, на эндотелий сосудов.
Высокие значения показателей Д-димера в остром периоде ГМ отражают процессы образования фибрина, его лизиса, и являются одним из главных маркеров активации системы гемостаза. При ГМ на 21-й день заболевания показатели Д-димера у большинства пациентов находились в пределах нормы, что, вероятно, связано с быстрой элиминацией бактериального агента из тока крови и постепенным восстановлением сосудистой стенки. Исследования показали зависимость значений Д-димера от тяжести заболевания: чем тяжелее заболевание, тем выше показатель тромбообразования, что связано с более выраженным повреждением сосудистого русла и активацией гиперкоагуляции [13, 17]. Сохранение высоких показателей Д-димера у детей старше 12 лет свидетельствует о длительном нарушении процессов тромбообразования, что может быть связано с повышенной уязвимостью и функциональной неустойчивостью сердечно-сосудистой системы, а также со снижением эластичности сосудистой стенки, возникающими в связи с дисбалансом компонентов нейрогормональной системы в период пубертата.
Высокие показатели ДЭЦ и Д-димера, характеризующие дисфункцию эндотелия и свертывающей системы у подростков, свидетельствуют о роли гормональной перестройки организма в пубертатном периоде, когда выражена неравномерность развития органов и систем, в том числе и сердечно-сосудистой, в связи с чем происходит нарушение эластичности, а также недостаточное расслабление или сокращение сосудов и нарушение тромбообразования. У детей до 7 лет благодаря широкому просвету сосудов и повышенной эластичности сосудистой стенки эти изменения выражены слабее.
В ходе данного исследования определены лучевые маркеры церебрального васкулита. У детей чаще встречается одностороннее поражение терминальной внутренней сонной, среднемозговой и переднемозговой артерий.
Выявленные на DWI-изображениях очаги инфаркта мелких церебральных сосудов можно использовать для визуализации первых признаков васкулита в связи с его более высокой чувствительностью по сравнению с последовательностями T2-ВИ и FLAIR. Ультразвуковое исследование магистральных сосудов позволяет оценить их размеры, выявить расширение (аневризмы) или сужение просвета, атеросклеротические бляшки, тромбы, а также количественно оценить скорость и характер кровотока [20].
Таким образом, с целью ранней диагностики цереброваскулярных нарушений при ГМ у детей необходимо проведение комплексного обследования, включающего не только получение клинико-лабораторных данных, но и нейровизуализационное исследование.
ЗАКЛЮЧЕНИЕ
Таким образом, при ГМ имеет место генерализованный васкулит, в том числе церебральный, характеризующийся не только повреждением стенки сосуда, но и нарушением его функции, что характеризуется достоверным увеличением циркулирующих эндотелиоцитов и Д-димера. Дополнительным маркером повреждения церебральных сосудов при ГМ являются утолщение и избирательное повышение интенсивности сигнала от оболочек головного мозга на постконтрастных МР-изображениях. Длительно сохраняющиеся (на протяжении 45 дней) изменения показателей ДЭЦ при ГМ, коррелирующие с изменениями на МРТ, сохраняющейся неврологической симптоматикой, указывают на патогенетическое значение структурно-функциональных свойств сосудистой стенки в генезе нейроинфекций у детей. Выявленные изменения обусловливают необходимость назначения в остром периоде ГМ эндотелийпротективных препаратов и препаратов, обладающих антикоагулянтным действием, что позволит улучшить исходы заболевания и сократит длительность пребывания детей в стационаре.
ДОПОЛНИТЕЛЬНАЯ ИНФОРМАЦИЯ
Вклад авторов. Все авторы подтверждают соответствие своего авторства международным критериям ICMJE (все авторы внесли существенный вклад в разработку концепции, проведение исследования и подготовку статьи, прочли и одобрили финальную версию перед публикацией).
Конфликт интересов. Авторы декларируют отсутствие явных и потенциальных конфликтов интересов, связанных с публикацией настоящей статьи.
Источник финансирования. Авторы заявляют об отсутствии внешнего финансирования при проведении исследования.
Об авторах
Наталья Викторовна Скрипченко
Детский научно-клинический центр инфекционных болезней Федерального медико-биологического агентства России; Санкт-Петербургский государственный педиатрический медицинский университет
Автор, ответственный за переписку.
Email: snv@niidi.ru
д-р мед. наук, заместитель директора, дирекция
Россия, Санкт-Петербург; Санкт-ПетербургЕкатерина Сергеевна Егорова
Детский научно-клинический центр инфекционных болезней Федерального медико-биологического агентства России
Email: kate_inf@mail.ru
канд. мед. наук, научный сотрудник, научно-исследовательский отдел интенсивной терапии неотложных состояний
Россия, Санкт-ПетербургАлла Ароновна Вильниц
Детский научно-клинический центр инфекционных болезней Федерального медико-биологического агентства России; Санкт-Петербургский государственный педиатрический медицинский университет
Email: vilnitz@mail.ru
д-р мед. наук, старший научный сотрудник, научно-исследовательский отдел интенсивной терапии неотложных состояний
Россия, Санкт-Петербург; Санкт-ПетербургЕвгений Юрьевич Горелик
Детский научно-клинический центр инфекционных болезней Федерального медико-биологического агентства России
Email: e.gorelik@mail.ru
канд. мед. наук, старший научный сотрудник, научно-исследовательский отдел нейроинфекций и органической патологии нервной системы
Россия, Санкт-ПетербургСписок литературы
- Вильниц А.А. Гнойные менингиты у детей: клинико-патогенетические, диагностические, прогностические и терапевтические аспекты интракраниальных осложнений: автореф. дис. … докт. мед. наук. Санкт-Петербург, 2019.
- Мартынов В.А., Жданович Л.Г., Карасева Е.А., и др. Осложнения бактериальных менингитов // Инфекционные болезни: новости, мнения, обучение. 2018. Т. 7, № 1. С. 54–59
- Нагибина М.В. Бактериальные гнойные менингиты: актуальные проблемы патогенеза, диагностики и лечения: автореф. дис … докт. мед. наук. Москва, 2017. 46 с.
- Петрищев Н.Н., Власов Т.Д. Физиология и патофизиология эндотелия. Санкт-Петербург: СПбГМУ, 2003. 438 с.
- Селезнева С.В. Церебральные васкулопатии (васкулиты): особенности клиники, диагностика, принципы лечения // Здоровье Украины. 2017. № 3. С. 42–43.
- Скрипченко Н.В., Лобзин Ю.В., Вильниц А.А. Гнойные менингиты у детей: руководство для врачей. 2-е изд., перераб. Санкт-Петербург: СИНЭЛ, 2017.
- Скрипченко Н.В., Широкова А.С. Нейронспецифическая енолаза и белок s100 — биомаркеры повреждений головного мозга. Состояние вопроса и клиническое применение // Нейрохирургия и неврология детского возраста. 2016. № 4. С. 16–25.
- Скрипченко Н.В., Лобзин Ю.В., Войтенков В.Б., и др. Инновации в ведении нейроинфекций у детей // Детские инфекции. 2017. Т. 16, № 3. С. 5–9.
- Скрипченко Н.В., Трофимова Т.Н., Иванова Г.П., и др. Совершенствование лечения нейроинфекций, протекающих с синдромом васкулита у детей // Вестник Уральской государственной медицинской академии. 2010. № 21. С. 290–293.
- Солдаткин П.К. Бактериальные менингиты и менингоэнцефалиты: учебное пособие. Благовещенск: Амурская государственная медицинская академия, 2016. 85 с.
- Alamarat Z., Hasbun R. Management of Acute Bacterial Meningitis in Children // Infect and Drug Resist. 2020. Vol. 13, P. 4077–4089. doi: 10.2147/IDR.S240162
- Allama A., Ammarb H., Radwanc A. Serum homocysteine level and eye involvement in Egyptian patients with Behçet’s disease // The Egyptian Rheumatologist. 2014. Vol. 36, No. 1. P. 29–34. doi: 10.1016/j.ejr.2013.09.002
- Engelen-Lee J.Y., Brouwer M.C., Aronica E., van de Beek D. Delayed cerebral thrombosis complicating pneumococcal meningitis: An autopsy study // Ann Intensive Care. 2018. Vol. 8, No. 1. P. 20. doi: 10.1186/s13613-018-0368-8
- Jillella D.V., Wisco D.R. Infectious causes of stroke // Curr Opin Infect Dis. 2019. Vol. 32, No. 3. P. 285–292. doi: 10.1097/QCO.0000000000000547
- Mook-Kanamori B.B., Geldhoff M., van der Poll T., van de Beek D. Pathogenesis and pathophysiology of pneumococcal meningitis // Clin Microbiol Rev. 2011. Vol. 24, No. 3. P. 557–591. doi: 10.1128/CMR.00008-11
- Poil A.R., Shaukat A., Case K.D. Pneumococcal Meningitis Complicated by Cerebral Vasculitis, Abscess, Hydrocephalus, and Hearing // Loss Rep Infect Dis. 2018. Vol. 2018. ID 8528023. doi: 10.1155/2018/8528023
- Ramineni K.K., Bandaru O., Jakkani R.K. Early cerebral vasculitic infarcts in acute pneumococcal meningitis // Curr J Neurol. 2020. Vol. 19, No. 1. P. 45–46. doi: 10.18502/ijnl.v19i1.3293
- Rohlwink U.K., Figaji A.A. Biomarkers of Brain Injury in Cerebral Infections // Clin Chem. 2014. Vol. 60, No. 6. P. 823–834. doi: 10.1373/clinchem.2013.212472
- Siegel J.L. Acute bacterial meningitis and stroke // Neurol Neurochir Pol. 2019. Vol. 53, No. 4. P. 242–250. doi: 10.5603/PJNNS.a2019.0032
- Smitka M., Bruck N., Engellandt K., et al. Clinical perspective on Primary Angiitis of the Central Nervous System in Childhood (cPACNS) // Front Pediatr. 2020. Vol. 8. ID281. doi: 10.3389/fped.2020.00281
- Yau B., Hunt N.H., Mitchell A.J., Too L.K. Blood–Brain Barrier Pathology and CNS Outcomes in Streptococcus pneumoniae Meningitis // Int J Mol Sci. 2018. Vol. 19, No. 11. P. 3555. doi: 10.3390/ijms19113555
Дополнительные файлы



