蝶骨翼突单侧孤立性骨折:临床病例
- 作者: Balzano R.F.1, Testini V.2, Cammarota A.3, Guglielmi G.1,2,4
-
隶属关系:
- Radiology Unit, Barletta University Campus UNIFG, “Dimiccoli” Hospital
- Department of Clinical and Experimental Medicine, Foggia University School of Medicine
- Radiation Oncology Unit, IRCCS CROB, Rionero in Vulture
- Radiology Unit, Hospital “Casa Sollievo Della Sofferenza”, San Giovanni Rotondo
- 期: 卷 3, 编号 1 (2022)
- 页面: 71-77
- 栏目: 临床病例及临床病例的系列
- URL: https://ogarev-online.ru/DD/article/view/90282
- DOI: https://doi.org/10.17816/DD90282
- ID: 90282
如何引用文章
详细
翼突骨折通常与勒福(Le Fort)分型骨折相关,并且可能与其他面部骨折一起发生,例如额窦壁骨折和鼻眶筛骨骨折。孤立的翼突骨折极为罕见。
与勒福(Le Fort)分型骨折不同,必须通过手术固定不稳定的碎片以恢复翼突的形态和功能并稳定翼突,孤立的翼板骨折不需要手术治疗。
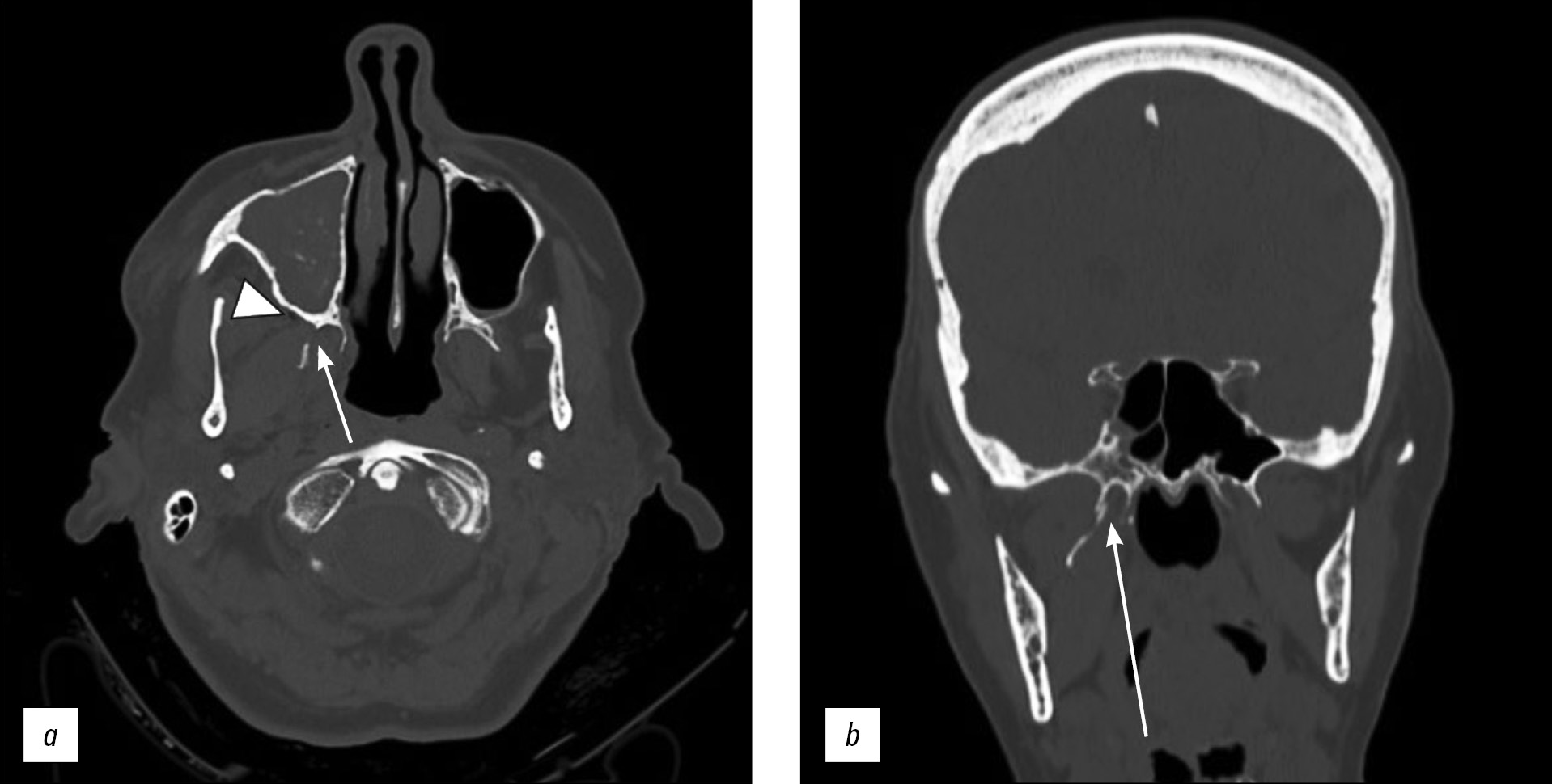
本文描述了一名71岁女性患者的蝶骨翼突单侧孤立性骨折的罕见病例,该患者颅脑外伤,右眼窝底部血肿,由意识丧失引起。
计算机断层扫描显示右侧翼突板单侧骨折,同侧咀嚼上颌间隙有肺气肿迹象。此外,该患者还发现了右侧上颌窦侧壁骨折,有血窦征象。未检测到颅底骨折或硬脑膜损伤。患者接受了保守治疗。
关键词:蝶骨翼突骨折; Le Fort型骨折; CT扫描。
关键词
作者简介
Rosario Francesco F. Balzano
Radiology Unit, Barletta University Campus UNIFG, “Dimiccoli” Hospital
Email: ro.balzano@gmail.com
意大利, Foggia
Valentina Testini
Department of Clinical and Experimental Medicine, Foggia University School of Medicine意大利, Foggia
Aldo Cammarota
Radiation Oncology Unit, IRCCS CROB, Rionero in Vulture
Email: aldo.cammarota@crob.it
意大利, Potenza
Giuseppe Guglielmi
Radiology Unit, Barletta University Campus UNIFG, “Dimiccoli” Hospital; Department of Clinical and Experimental Medicine, Foggia University School of Medicine; Radiology Unit, Hospital “Casa Sollievo Della Sofferenza”, San Giovanni Rotondo
编辑信件的主要联系方式.
Email: giuseppe.guglielmi@unifg.it
ORCID iD: 0000-0002-4325-8330
Medical Doctor, Full Professor of Radiology, Department of Clinical and Experimental Medicine.
意大利, Foggia; Foggia; Foggia参考
- Boffano P, Roccia F, Zavattero E, et al. European Maxillofacial Trauma (EURMAT) project: a multicentre and prospective study. J Craniomaxillofac Surg. 2015;43(1):62–70. doi: 10.1016/j.jcms.2014.10.011
- Winegar BA, Murillo H, Tantiwongkosi B. Spectrum of critical imaging findings in complex facial skeletal trauma. Radiographics. 2013;33(1):3–19. doi: 10.1148/rg.331125080
- Le Fort R: Etude experimentale sur les fractures de la machoire superieure. Rev Chir. 1901;23:208–507.
- Patel BC, Wright T, Waseem M. Le Fort Fractures. In: StatPearls. Treasure Island (FL): StatPearls Publishing; 2021.
- Choi JW, Kim MJ. Treatment of panfacial fractures and three-dimensional outcome analysis: the occlusion first approach. J Craniofac Surg. 2019;30(4):1255–1258. doi: 10.1097/SCS.0000000000005528
- Surya M, Soni P, Bharti R, Jamwal I. Isolated fracture of lateral pterygoid plate by penetrating foreign body ― a rarity indeed. Pol J Radiol. 2017;82:137–140. doi: 10.12659/PJR.900407
- Garg RK, Alsheik NH, Afifi AM, Gentry LR. Pterygoid plate fractures: not limited to Le Fort Fractures. J Craniofac Surg. 2015;26(6):1823–1825. doi: 10.1097/SCS.0000000000001901
- Truong AQ, O’Brien DC, Strong EB, Dublin A. Lateral pterygoid plate fractures associated with mandible fractures. JAMA Facial Plast Surg. 2014;16(6):437–439. doi: 10.1001/jamafacial.2014.645
- Unger JM, Gentry LR, Grossman JE. Sphenoid fractures: prevalence, sites, and significance. Radiology. 1990;175(1):175–180. doi: 10.1148/radiology.175.1.2315477
- Murray GM, Phanachet I, Uchida S, et al. The human lateral pterygoidmuscle: a review of some experimental aspects and possible clinical relevance. Aust Dent J. 2004;49(1):2–8. doi: 10.1111/j.1834-7819.2004.tb00042.x
- Phang SY, Whitehouse K, Lee L, et al. Management of CSF leak in base of skull fractures in adults. Br J Neurosurg. 2016;30(6):596–604. doi: 10.1080/02688697.2016.1229746
- Choi NR, Shin SH, Kim SS, et al. Healing pattern of intentional pterygoid plate fracture after posterior movement of maxilla through Le Fort I osteotomy. J Craniomaxillofac Surg. 2018;46(10):1828–1833. doi: 10.1016/j.jcms.2018.08.003
- Kaeppler G, Cornelius CP, Ehrenfeld M, Mast G. Diagnostic efficacy of cone-beam computed tomography for mandibular fractures. Oral Surg Oral Med Oral Pathol Oral Radiol. 2013;116 (l):98–104. doi: 10.1016/j.oooo.2013.04.004
- De Oliveira DM, Vasconcellos RJ, Filho JR, Cypriano RV. Fracture of the coronoid and pterygoid processes by firearms: case report. Braz Dent J. 2007;18(2):168–170. doi: 10.1590/s0103-64402007000200016
补充文件




