Vol 3, No 1 (2022)
- Year: 2022
- Articles: 8
- URL: https://ogarev-online.ru/DD/issue/view/3449
- DOI: https://doi.org/10.17816/DD.31
Technical Reports
Coronavirus disease-2019: Changes in computed tomography radiation burden across Moscow medical facilities
Abstract
BACKGROUND: The spread of coronavirus disease-2019 (COVID-19) in Moscow has significantly increased the number of chest computed tomography examinations to establish a diagnosis and assess the treatment efficacy. In Moscow, the new approach to diagnostic imaging associated with COVID-19 caused divergent shifts in the volume and structure of the population radiation burden. This study aimed to bridge the gap in data, as no reliable information about the changes in the structure of diagnostic imaging and the current radiation burden due to COVID-19 in the Moscow population has been reported.
AIMS: To evaluate the impact of the pandemic on the computed tomography radiation doses in Moscow medical facilities between 2017 and 2020.
MATERIALS AND METHODS: We collected and analyzed the following data: forms No. 3-DOZ completed by the public and private Moscow medical facilities in 2017–2020; forms No. 30 completed in 2017–2020; data from the Unified Radiological Information Service for 2020. The study provides details about the annual population radiation exposure and the average individual radiation doses, with a breakdown by anatomic region.
RESULTS: The statistical form evaluation elucidated the boost of computed tomography imaging in Moscow, accounting for 31% higher than anticipated. In 2020, the number of chest imaging studies increased almost two-fold compared to the previous periods. Thereby, causing a corresponding increase in the mean effective dose by over two times.
CONCLUSION: The results show that the epidemiological situation of 2020 had a profound effect on the changes in the computed tomography-related radiation exposure, which helped us get insight into the diagnostic effect of certain types of computed tomography studies applied to various anatomic regions. The analysis contributed to a better understanding of the strengths and weaknesses of various statistical forms.
5-15
Reviews
CARE guidelines for case reports: explanation and elaboration document. Translation into Russian
Abstract
BACKGROUND: Well-written and transparent case reports (1) reveal early signals of potential benefits, harms, and information on the use of resources; (2) provide information for clinical research and clinical practice guidelines, and (3) inform medical education. High-quality case reports are more likely when authors follow reporting guidelines. During 2011–2012, a group of clinicians, researchers, and journal editors developed recommendations for the accurate reporting of information in case reports that resulted in the CARE (CAse REport) Statement and Checklist. They were presented at the 2013 International Congress on Peer Review and Biomedical Publication, have been endorsed by multiple medical journals, and translated into nine languages.
OBJECTIVES: This explanation and elaboration document has the objective to increase the use and dissemination of the CARE Checklist in writing and publishing case reports.
ARTICLE DESIGN AND SETTING: Each item from the CARE Checklist is explained and accompanied by published examples. The explanations and examples in this document are designed to support the writing of high-quality case reports by authors and their critical appraisal by editors, peer reviewers, and readers.
RESULTS AND CONCLUSION: This article and the 2013 CARE Statement and Checklist, available from the CARE website [www.care-statement.org] and the EQUATOR Network [www.equator-network.org], are resources for improving the completeness and transparency of case reports.
SOURCE: This article is a translation of the original paper “CARE guidelines for case reports: explanation and elaboration document” in the Journal of Clinical Epidemiology (doi: 10.1016/j.jclinepi.2017.04.026), prepared under the permission of the copyright holder (Elsevier Inc.), with supervision from the Scientific Editor by Professor E.G. Starostina, MD, PhD (translator) (Moscow, Russia).
16-42
Short communications
All-Russian rating of radiology departments: 2020 competition results
Abstract
The issues of quality medical care management and organization of the work of the department of radiation diagnostics are always relevant and require constant monitoring and analytical expertise. Since 2018, the Moscow regional branch of the Russian Society of Radiologists and Radiologists (MRO PORR) has been conducting an independent assessment of the departments of radiation diagnostics in all the regions of Russia. The rating aimed to identify industry leaders and spread the best practices throughout the country. The survey results identified the positive trends in the development of diagnostic care services throughout the country and critical points that affect the quality of work of medical organizations.
This study presents an analysis of the functioning of 123 departments of radiation diagnostics in 2020. After meeting the inclusion criteria, a list of 163 medical organizations in 15 cities of 7 federal districts was formed. The evaluation procedure was divided into three stages. The first stage consisted of an online survey, wherein each of the participating organizations was asked to answer questions about the department’s work arrangement, equipment, list, and features of performing diagnostic tests, as well as working with patients. The second stage consisted of a clinical and technical audit of a set of anonymized studies with conclusions. Special attention was paid to technical audits since several medical organizations violated the methodology of conducting research. The third stage included checking the information about medical organizations in open sources. During the first and second stages, points were awarded, based on which the finalists, leaders, and rating winners were selected.
According to the evaluation results of all stages,31 organizations reached the final stage,6 were in the group of leaders, and 5 were winners, whereas 45% of the finalists belonged to the Central Federal District. Greater interest was found in the auditing work in municipal and private medical institutions than in departmental and federal ones. Some database has been collected, in addition to the list of winners, which may represent a cross-section of the state of the radiation diagnostics service in the Russian Federation.
Conducting such competitions is primarily aimed at improving the quality and safety of X-ray examinations. The methodology of the competition is improved every year.
43-54
Case reports
Polyostotic fibrous dysplasia: imaging findings of a controversial case
Abstract
Fibrous dysplasia is a rare non-neoplastic tumor-like congenital bone disease that is most likely associated with GNAS gene mutations, with a broad spectrum of clinical presentations, ranging from isolated monostotic and polyostotic forms to other extra-skeletal associated manifestations as in McCune–Albright syndrome. It is responsible for bone’s weakening and increased fragility, making it prone to fractures.
A 65-year-old female patient was referred to our radiology department for cervical and dorsal pain, with a previous diagnosis of incidental cervical and dorsal bone lesions that are suspected for metastases. X-ray, computed tomography, and magnetic resonance imaging were performed with a precise diagnostic suspicion of fibrous dysplasia that is confirmed by bone biopsy.
Fibrous dysplasia principally affects the bone and is characterized by bone replacement itself by dysplastic fibrous tissue. According to the number of affected bones and their association to endocrine alterations, it is classified into three categories monostotic, polyostotic, and Albright’s disease. Differential diagnosis with multiple myeloma among others and the best treatment decision was made.
55-63
Cardiac myxoma originating from mitral valve leaflet
Abstract
Primary heart tumors are an extremely rare disease, with a prevalence of 0.0017%–0.03% in the population according to various data.
Heart tumors are benign in most cases, and more than half of such formations are represented by cardiac myxomas. Myxoma is the most common primary cardiac tumor; however, its number is extremely small among the general population. Myxoma that affects the cardiac valves is a rare pathology. For the first time, such variance of changes was described in 1934. Most often, cardiac myxomas are localized at the atrial septum level near the oval fossa. One of the typical signs of myxoma is a narrow leg and an uneven surface, which causes the risk of embolism. Echocardiographic examination and magnetic resonance imaging are currently the methods of choice when suspecting the presence of volumetric heart formation. With such atypical tumor localization, conducting a mandatory differential diagnosis with heart valve vegetations and papillary fibroelastoma is necessary.
Herein, presented an elderly patient with complaints of shortness of breath, stabbing pains in the left half of the chest, and arrhythmias with a history of aspiration pneumonia and esophageal extirpation with stomach esophagogastroplasty. During the examination, the patient revealed a paroxysmal form of atrial fibrillation (outside of paroxysm), chronic heart failure, and arterial hypertension. The clinical data of the patient were not characteristic enough for the possibility of infectious endocarditis with valvular vegetations. The echocardiographic examination and multispiral computed tomography with bolus contrast enhancement on the atrial surface of the posterior flap of the mitral valve revealed an additional volume formation of 5–9 mm in size, rounded shape, with clear uneven contours, together with the valve flap into the left ventricular cavity into the atrial systole. The formation was optimally visualized using the Fiesta-CINE mode in modified two- and four-chamber projections. The formation was removed with suture plasty of the mitral valve in artificial blood circulation conditions. The histological examination of the formation revealed a morphological characteristic of myxoma. The postoperative period proceeded without complications.
64-70
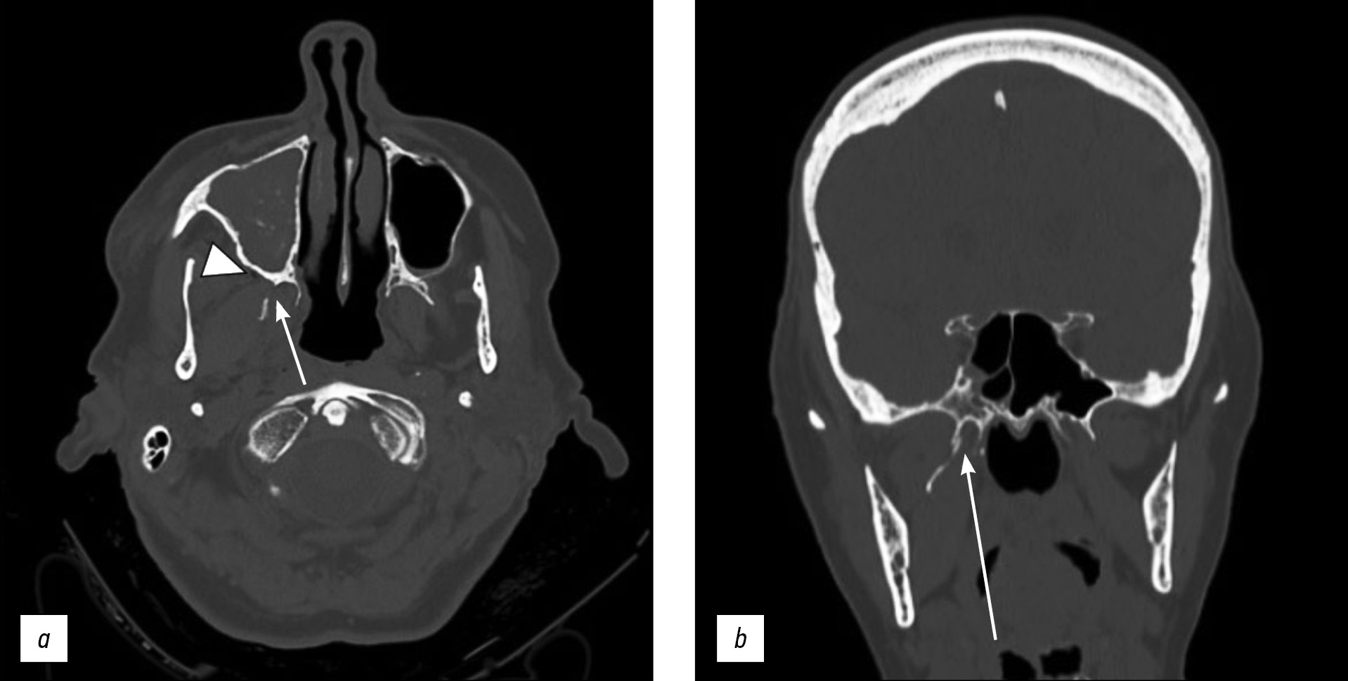
Unilateral isolated fracture of the pterygoid plate: a case report
Abstract
Pterygoid plate fractures are often associated with Le Fort fractures and accompanied by other facial fractures such as frontal sinus and naso-orbital-ethmoid fractures; isolated pterygoid plate fractures are extremely rare.
Le Fort fractures must be surgically treated with fixation of unstable fracture segments to re-establish bone form and function, and the pterygoid process must be surgically stabilized; however, surgical treatment is unnecessary in isolated pterygoid plate fractures.
Here, we report a rare case of isolated unilateral fracture of the pterygoid process in a 71-year-old female patient who had a syncopal episode with secondary head injury and a hematoma at the base of the right orbit.
A computed tomography scan showed unilateral right pterygoid plate fracture with signs of emphysema in the ipsilateral masticatory space. The patient also had a fracture of the medial wall of the right maxillary sinus with hemosine, but no fractures of the skull base or theca. She was treated conservatively.
71-77
Testicular rupture in a young patient: diagnostic value of contrast-enhanced ultrasonography
Abstract
Testicular rupture after a blunt scrotal trauma is characterized by tearing of the tunica albuginea that result in the extrusion of the seminiferous tubules.
Imaging, particularly ultrasonography, plays a crucial role in the assessment of scrotal trauma and directs patient management toward conservative or surgical treatment. Conventional B-mode and color Doppler ultrasonography are the main imaging techniques in the evaluation of the testicle in trauma but may underestimate the extent of injury. The most important information for the surgeon is the integrity or interruption of the tunica albuginea and the extent of vital testicular tissue. The latter is often difficult to assess with conventional ultrasonography because the injured testicle is often hypovascular even in vital regions due to testicular edema that compromises vascular flow. The selective use of advanced techniques such as contrast-enhanced ultrasonography is important in identifying testicular viability when color Doppler ultrasonography is equivocal.
This case report describes the evaluation and management of a blunt testicular trauma in a 15-year-old football player.
78-85
Editorials
Interdisciplinary databank in oncoendocrinology: radioiodine refractory differentiated thyroid cancer
Abstract
High achievements in personalized evidence-based medicine and oncology, particularly in developed countries, are associated with the successful development of “clinical” carceral registries of patients (SEER, NCDB, etc.), which are multimodal data banks. They are a data matrix for the development of analytical and prognostic tools in the study of diagnostic features, clinical disease course, therapy response, assessment of prognostic factors, etc. From the point of view of medical digital data banks, data redundancy and duplication are not as critical as information incompleteness or inconsistency when making medical decisions.
This study aimed to present a multimodal database of patients with radioiodine refractory differentiated thyroid cancer, which is essentially a modern interdisciplinary digital medical registry.
Along with demographic and nosological data that is typical for epidemiological registers, the multimodal data banks consider key clinical and paraclinical data, such as the results of laboratory, morphological, and instrumental research methods, and various imaging methods, such as ultrasound, computed tomography (CT), magnetic resonance imaging, single-photon emission computed tomography/CT, and positron emission tomography/CT. The multimodal data banks present the molecular genetic profile results of the tumor, of which the clinical usefulness in the choice of treatment tactics is undoubted today. All these data are accumulated in the multimodal data banks, noting the execution time and the revision results (second opinion), considering standardized qualitative and quantitative parameters (factors) that potentially affect the clinical course, treatment response, complication development, and outcomes.
86-93
