一名6岁儿童的左室心肌致密化不全和左心室动脉瘤
- 作者: Dautov T.B.1, Kaliyev B.B.1, Yerekesh B.T.2
-
隶属关系:
- «University Medical Center» Corporate Fund
- National Research Cardiac Surgery Center
- 期: 卷 4, 编号 4 (2023)
- 页面: 625-632
- 栏目: 临床病例及临床病例的系列
- URL: https://ogarev-online.ru/DD/article/view/262988
- DOI: https://doi.org/10.17816/DD551837
- ID: 262988
如何引用文章
详细
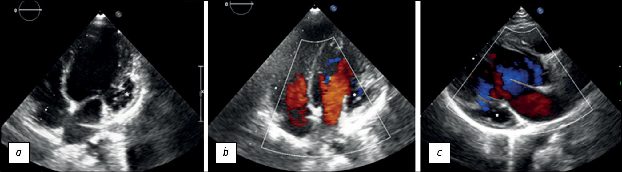
左室心肌致密化不全是一种罕见的心肌病。它通常伴有心室动脉瘤。本文描述了一个6岁女孩的临床病例。这名女孩因主诉在体育活动时身体不适而被送进本诊所。超声心动图检查显示了左心室壁有明显的小梁,侧壁基底部有隆起。这些症状与左心室动脉瘤和左室心肌致密化不全相符。心脏磁共振成像显示了,非致密层与致密层的比例为2.6:1,证实了存在左室心肌致密化不全。此外,还发现了收缩功能障碍和伴有心肌瘢痕形成的左心室动脉瘤。冠状动脉造影排除了冠状动脉病变。在这种情况下,我们可以认为心内膜瘢痕形成的性质是非致密心肌层微循环障碍的结果。
作者简介
Tairkhan B. Dautov
«University Medical Center» Corporate Fund
Email: tairkhan.dautov@mail.ru
ORCID iD: 0000-0002-5267-0108
SPIN 代码: 8632-6605
MD, Dr. Sci. (Med.), Assistant Professor
哈萨克斯坦, AstanaBauyrzhan B. Kaliyev
«University Medical Center» Corporate Fund
编辑信件的主要联系方式.
Email: baur233113@mail.ru
ORCID iD: 0000-0003-4825-749X
SPIN 代码: 7315-9129
哈萨克斯坦, Astana
Bibissara T. Yerekesh
National Research Cardiac Surgery Center
Email: bibisara_97@mail.ru
ORCID iD: 0009-0002-0185-3278
哈萨克斯坦, Astana
参考
- Srivastava S, Yavari M, Al-Abcha A, Banga S, Abela G. Ventricular non-compaction review. Heart Failure Reviews. 2022;27(4):1063–1076. doi: 10.1007/s10741-021-10128-3
- Petersen SE, Jensen B, Aung N, et al. Excessive Trabeculation of the Left Ventricle. JACC: Cardiovascular Imaging Expert Panel Paper. 2023;16(3):408–425. doi: 10.1016/j.jcmg.2022.12.026
- Catalano MA, Hemli JM, Lasic Z, Patel NC. Repair of left ventricular aneurysm in the setting of noncompaction. Journal of Cardiology Cases. 2022;25(6):416–419. doi: 10.1016/j.jccase.2022.01.008
- Tilahun T, Kedir E, Eshetu B. Fatal Left Ventricular Aneurysm in a 13 Years Old Male Child: A Case Report. Ethiopian journal of health sciences. 2021;31(4):903–906. doi: 10.4314/ejhs.v31i4.26
- Tian S, Liang H, Li X, et al. A novel mutation in the TTN gene resulted in left ventricular noncompaction: a case report and literature review. BMC Cardiovascular Disorders. 2023;23(1):352. doi: 10.1186/s12872-023-03382-w
- Yakabe D, Matsushima S, Uchino S, et al. Left Ventricular Noncompaction with Multiple Thrombi in Apical Aneurysm. Internal Medicine. 2020;59(3):377–381. doi: 10.2169/internalmedicine.3489-19
- Gerecke BJ, Engberding R. Noncompaction Cardiomyopathy-History and Current Knowledge for Clinical Practice. Journal of Clinical Medicine. 2021;10(11):2457. doi: 10.3390/jcm10112457
- Daprati A, Sassi CG, Garatti A, Saitto G, Menicanti L. Congenital left ventricular aneurysm with myocardial noncompaction pattern. Asian Cardiovascular and Thoracic Annals. 2020;28(8):504–506. doi: 10.1177/0218492320949833
- Ogah OS, Iyawe EP, Orimolade OA, et al. Left ventricular noncompaction in Ibadan, Nigeria. The Egyptian Heart Journal. 2023;75(1):69. doi: 10.1186/s43044-023-00396-9
- Gaižauskienė K, Glembockytė G, Glaveckaite S, Valevičienė N. Magnetic resonance diagnostic criteria of non-compaction cardiomyopathy: new diagnostic criteria still needed? Seminars in Cardiovascular Medicine. 2023;29(1):1–13. doi: 10.2478/semcard-2022-0003
- Ohlow MA. Congenital left ventricular aneurysms and diverticula: an entity in search of an identity. Journal of Geriatric Cardiology. 2017;14(12):750–762. doi: 10.11909/j.issn.1671-5411.2017.12.005
- Siripornpitak S, Khositseth A, Sriprachyakul A. Left Ventricular Non-compaction with Ventricular Aneurysms. Journal of Cardiovascular Imaging. 2020;28(3):222–225. doi: 10.4250/jcvi.2019.0091
补充文件






