MINUSES AND UNEXPECTED ADVANTAGES OF THE OLD WISTAR RATS’ BODY REACTION AT MODELING POST-TRAUMATIC STRESS DISORDER
- Autores: Kondashevskaya M.V.1, Artem’eva K.A.1, Kozlova M.A.1, Areshidze D.A.1, Kaktursky L.V.1
-
Afiliações:
- “А.Р. Avtsyn Research Institute of Human Morphology” of Federal State Budgetary Research Institution “B.V. Petrovsky Russian research center of surgery”
- Edição: Volume 512, Nº 1 (2023)
- Páginas: 486-494
- Seção: Articles
- URL: https://ogarev-online.ru/2686-7389/article/view/140862
- DOI: https://doi.org/10.31857/S268673892360036X
- EDN: https://elibrary.ru/SYPXCS
- ID: 140862
Citar
Texto integral
Resumo
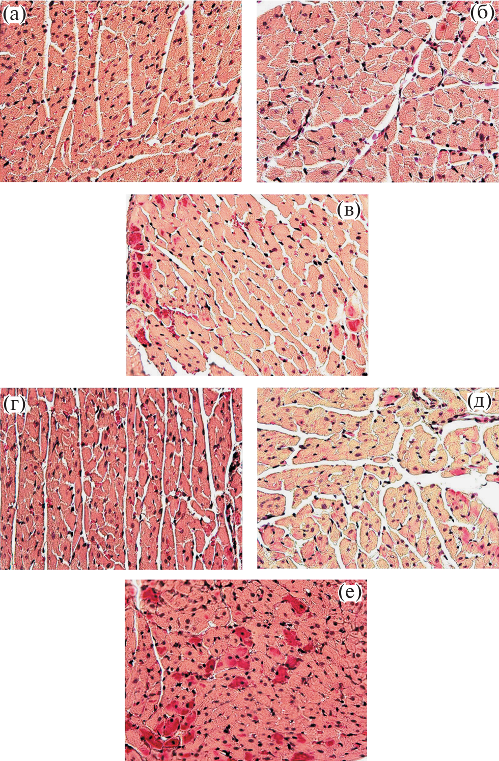
Old Wistar rats exhibit the same general signs of a PTSD-like condition as young animals, when modeling post-traumatic stress disorder (PTSD). At the same time, a number of behavioral features, psycho-emotional manifestations and myocardial state were revealed in old rats. For the first time, it was found a sharp rise in the level of circulating testosterone, which contributes to a more rapid decision on the direction of movement in the labyrinth space under stress in old rats, in contrast to young ones. The index of the ratio of testosterone to corticosterone levels can serve as a guideline for dividing the rat population into low- and high-anxiety individuals when modeling PTSD. The data on dysfunctional accumulation of mitochondria in the myocardium of intact and stressed old rats are priority. The information obtained may be useful in the development of drugs for the devastating consequences of PTSD, as well as senile changes in the myocardium.
Sobre autores
M. Kondashevskaya
“А.Р. Avtsyn Research Institute of Human Morphology” of Federal State Budgetary Research Institution “B.V. Petrovsky Russian research center of surgery”
Autor responsável pela correspondência
Email: marivladiko@mail.ru
Russian Federation, Moscow
K. Artem’eva
“А.Р. Avtsyn Research Institute of Human Morphology” of Federal State Budgetary Research Institution “B.V. Petrovsky Russian research center of surgery”
Email: marivladiko@mail.ru
Russian Federation, Moscow
M. Kozlova
“А.Р. Avtsyn Research Institute of Human Morphology” of Federal State Budgetary Research Institution “B.V. Petrovsky Russian research center of surgery”
Email: marivladiko@mail.ru
Russian Federation, Moscow
D. Areshidze
“А.Р. Avtsyn Research Institute of Human Morphology” of Federal State Budgetary Research Institution “B.V. Petrovsky Russian research center of surgery”
Email: marivladiko@mail.ru
Russian Federation, Moscow
L. Kaktursky
“А.Р. Avtsyn Research Institute of Human Morphology” of Federal State Budgetary Research Institution “B.V. Petrovsky Russian research center of surgery”
Email: marivladiko@mail.ru
Russian Federation, Moscow
Bibliografia
- Eshkoor S.A., Hamid T.A., Mun C.Y., et al. Mild cognitive impairment and its management in older people // Clin Interv Aging. 2015. V. 10. P. 687–693.
- Kresge H.A., Khan O.A., Wagener M.A., et al. Subclinical Compromise in Cardiac Strain Relates to Lower Cognitive Performances in Older Adults // J Am Heart Assoc. 2018. V. 7. № 4. P. e007562.
- Musisi S., Kinyanda E. Long-Term Impact of War, Civil War, and Persecution in Civilian Populations-Conflict and Post-Traumatic Stress in African Communities // Front Psychiatry. 2020. V. 11. P. 20.
- Yehuda R., Bierer L. M. Transgenerational transmission of cortisol and PTSD risk // Prog Brain Res. 2008. V. 167. P. 121–35.
- Cohen H., Matar M.A., Joseph Z. Animal models of post-traumatic stress disorder // Curr Protoc Neurosci. 2013. Ch. 9. Unit 9.45.
- Кондашевская М.В., Комелькова М.В., Цейликман В.Э., и др. Новые нейробиологические критерии профиля устойчивости при моделировании посттравматического стрессового расстройства // Доклады РАН. Науки о жизни. 2021. Т. 501. № 1. С. 522–527.
- Nahum K., Todder D., Zohar J., et al. The Role of Microglia in the (Mal) adaptive Response to Traumatic Experience in an Animal Model of PTSD // Int J Mol Sci. 2022. V. 23. № 13. P. 7185.
- Никольская К.А., Кондашевская М.В., Серкова В.В., Диатроптов М.Е. Системные эффекты тестостерона: гормонально-поведенческий аспект // Бюллетень экспериментальной биологии и медицины. 2015. Т. 160. № 11. С. 565–568.
- Янин В.Л., Бондаренко О.М., Сазонова Н.А. Методы исследования в цитологии и гистологии: учебно-методическое пособие для аспирантов заочной формы обучения к практическим занятиям по дисциплине. Ханты-Мансийск: БУ “Ханты-Мансийская государственная медицинская академия”, 2015.
- Balkanov A.S., Rozanov I.D., Galanov A.V., et al. Endothelium changes of peritumoral zone capillaries after brain glioblastoma adjuvant radiation therapy // Clin. exp. morphology. 2021. V. 10. № 1. P. 33–40.
- Reynolds E.S. The use of lead citrate at high pH as an electron-opaque stain in electron microscopy // J Cell Biol. 1963. V. 17. № 1. P. 208–212.
- Degens H., Attias J., Evans D., et al. The mobility limitation in healthy older people is due to weakness and not slower muscle contractile properties // PLoS One. 2021. V. 16. № 6. P. e0253531.
- Balsamo M., Cataldi F., Carlucci L., et al. Assessment of anxiety in older adults: a review of self-report measures // Clin Interv Aging. 2018. V. 13. P. 573–593.
- Tanelian A., Nankova B., Miari M., Nahvi R .J., Sabban E.L. Resilience or susceptibility to traumatic stress: Potential influence of the microbiome // Neurobiol Stress. 2022. V. 19. P. 100461.
- Кондашевская М.В., Алексанкина В.В., Артемьева К.А., Болтовская М.Н. Сопоставление адаптивной способности старых и молодых крыс Вистар к стрессорному воздействию и острой гипоксической гипоксии // Бюлл. экспер. биол. и мед. 2021. Т. 171. № 6. С. 783–787.
- Sree A.B., Hanifa M., Bali A. Investigations on Rho/ROCK signaling in post-traumatic stress disorder-like behavior in mice // Behav Brain Res. 2023. V. 443. P. 114347.
- Slimani M., Paravlic A.H., Chaabene H., Davis P., Chamari K., Cheour F. Hormonal responses to striking combat sports competition: a systematic review and meta-analysis // Biol Sport. 2018. V. 35. № 2. P. 121–136.
- Khorshidahmad T., Tabrizian K., Vakilzadeh G., et al. Interactive effects of a protein kinase AII inhibitor and testosterone on spatial learning in the Morris water maze // Behav Brain Res. 2012. V. 228. № 2. P. 432–439.
- Li A., Gao M., Liu B., et al. Mitochondrial autophagy: molecular mechanisms and implications for cardiovascular disease // Cell Death Dis. 2022. V. 13. № 5. P. 444.
Arquivos suplementares







