Генетическое разнообразие перспективных образцов яровой мягкой пшеницы российской и казахстанской селекции по устойчивости к бурой и желтой ржавчинам
- Авторы: Гультяева Е.И.1, Шайдаюк Е.Л.1, Веселова В.В.1, Левитин М.М.1
-
Учреждения:
- Всероссийский научно-исследовательский институт защиты растений
- Выпуск: № 2 (2024)
- Страницы: 43-48
- Раздел: Растениеводство, защита и биотехнология растений
- URL: https://ogarev-online.ru/2500-2627/article/view/260365
- DOI: https://doi.org/10.31857/S2500262724020087
- EDN: https://elibrary.ru/GSZKUA
- ID: 260365
Цитировать
Полный текст
Аннотация
Исследования проводили с целью характеристики устойчивости к бурой и желтой ржавчинам у перспективных образцов яровой мягкой пшеницы и оценки их разнообразия по Lr и Yr генам устойчивости для выявления ценных генотипов. Материал для исследования включал 36 новых сортов и линий (23 российской и 13 казахстанской селекции). В лабораторных условиях проводили оценку ювенильной устойчивости с использованием тест-клонов и популяций, различающихся по вирулентности. Резистентностью к бурой ржавчине в фазе проростков характеризовались 42 % образцов. С использованием специфичных ПЦР маркеров была проведена идентификация 20 Lr-генов. Положительными контролями служили изогенные линии Thatcher c идентифицируемыми генами. У яровых образцов выявлены высокоэффективные в России и Казахстане гены Lr24 (3 образца), LrAgi2 (3), частично утратившие эффективность гены Lr9 (4), Lr19 (6), малоэффективные гены Lr1 (7), Lr3 (13), Lr10 (4), Lr26 (12) и Lr34 (4) и пшенично-ржаная транслокация 1AL.1RS (4) с генами устойчивости к бурой, стеблевой и желтой ржавчинам. Устойчивые образцы несли по два и более Lr-генов. По результатам фитопатологического тестирования высокоустойчивых образцов ко всем изученным региональным популяциям возбудителя желтой ржавчины не выявлено. При использовании молекулярных маркеров не обнаружено образцов с высокоэффективными генами Yr5, Yr10, Yr15, Yr17, Yr24. Малоэффективные гены Yr9 и Yr18 идентифицированы у 30 % и 8 % линий соответственно. Результаты проведенного анализа свидетельствуют об успехах в селекции на устойчивость к бурой ржавчине и необходимость опережающей селекции на устойчивость к желтой ржавчине с привлечением эффективных доноров.
Ключевые слова
Полный текст
Расширение генетического разнообразия мягкой пшеницы по устойчивости к ржавчинным болезням – актуальная задача современной селекции. Бурая ржавчина (Puccinia triticina Erikss.) – наиболее распространенное заболевание. Оно встречается во всех зонах возделывания культуры. Желтая ржавчина (P. striiformis West.) относится к группе болезней, имеющих региональное значение в годы с прохладным и влажным климатом. С 2000 гг. во всем мире отмечено расширение ареала вредоносности P. striiformis и относительное снижение значимости P. triticina. Обусловлено это адаптацией возбудителя желтой ржавчины к высоким температурам. Заболевание стало приобретать значимость в тех регионах, где ранее его не наблюдали [1, 2].
Генетическая защита – экологически безопасный метод борьбы с ржавчинными болезнями. Ее эффективность предопределяет разнообразие возделываемых сортов по типам и генам устойчивости. Интенсивную селекцию на устойчивость к бурой ржавчине в России проводят с середины прошлого века. За этот период достигнуты определенные успехи. Многие новые сорта, включенные в Государственный реестр селекционных достижений, характеризуются устойчивостью к P. triticina [3, 4]. Селекцию на устойчивость к желтой ржавчине традиционно проводят на Северном Кавказе, где заболевание имеет экономическую значимость [3]. В последние годы развитие болезни стали отмечать и в других регионах РФ, например, в Северо-Западном и Центрально-Черноземном, а также в Западной Сибири [5, 6, 7]. В связи с этим актуально проведение опережающей селекции на устойчивость к этому заболеванию. Предварительный фитопатологический и генетический скрининг новых сортов и перспективного селекционного материала мягкой пшеницы позволяет оценить их потенциал генетической защиты от желтой ржавчины.
С 2000 г. в России и Казахстане реализуется селекционная программа по улучшению яровой пшеницы (Казахстанско-Сибирская сеть улучшения яровой мягкой пшеницы, КАСИБ), в которой участвуют ведущие научно-исследовательские учреждения обеих стран. В рамках этой программы каждые два года предлагаются новые перспективные образцы яровой мягкой пшеницы для мультилокальных испытаний в России и Казахстане по хозяйственно ценным признакам и устойчивости к болезням [8, 9, 10]. Полевые эксперименты в каждой экологической точке организованы по единой схеме. Совместное экологическое изучение объективно отражает уровень прогресса, достигнутого в различных научных учреждениях, и адаптивный потенциал изучаемого материала [8].
Наряду с полевыми исследованиями материал КАСИБ широко изучают в лабораторных условиях по качественным характеристикам зерна и устойчивости к фитопатогенам. Лабораторную оценку его устойчивости к бурой ржавчине и идентификацию генов устойчивости (Lr-генов) традиционно проводят во Всероссийском научно-исследовательском институте защиты растений (Санкт-Петербург) [11]. С 2020 гг. в связи с увеличением значимости желтой ржавчины эти исследования дополнены новым объектом.
Цель исследований – характеристика ювенильной устойчивости к бурой и желтой ржавчинам у образцов яровой мягкой пшеницы питомника КАСИБ-22 и идентификация Lr и Yr генов с использованием молекулярных маркеров.
Для мультилокального изучения в России и Казахстане в 2021–2022 гг. селекционными учреждениями-участниками программы КАСИБ предложено 36 новых перспективных сортов и линий яровой мягкой пшеницы, которые в предварительных испытаниях выделили по комплексу хозяйственно ценных признаков (табл. 1).
Табл. 1. Список образцов яровой мягкой пшеницы питомника КАСИБ-2022
Сорт/Линия | Оригинатор | Происхождение |
Династия | Актюбинская СХОС | Степная 60 × k-29614 (Канада) × Саратовская 29 |
Линия 198/225–2020 | Саратовская 70 × Лют.2143 × Асар | |
Линия 205–2020 | Саратовская 55 × Саратовская 71 × Степная 75 | |
Лютесценс 176/09 | НПЦ ЗХ им. А. И. Бараева | Байтерек × Орал |
Лютесценс 342/08 | Карабалыкская 90 х Акмола 40 | |
Линия 43/94к-07–7 | Павлодарская СХОС | Казахстанская 15 × Омская 18 |
Линия 2/03–09–3 | Лютесценс 251–93–4 × Актобе 130 | |
Лютесценс 77 201/09 | Карабалыкская СХОС | Карабалыкская 7 × Карабалыкская 4 |
Лютесценс 30 22/09 | Шортандинская 125 × Лютесценс 86–91–94–1 | |
Лютесценс 8–12–18 | (Омская 35 × EMB 16) × Омская 35 | |
Лютесценс 2244 | Карагандинская СХОС | Акмола 2 × Лютесценс 253–93–4 |
Лютесценс 2219 | Эритроспермум 78 × Целина 50 | |
Лютесценс 2223 | Лютесценс 1567 × Омская 26 | |
Линия 23/07 | Северо- Казахстанская СХОС | Алтайская 100 × Курганская 5 |
Линия 435/12 | Астана × Омская 36 | |
Линия Чт-11 | Курганский НИИСХ | Омская 28 х Авиада |
Линия Пт-235 | ЧС11№ 28 | |
Линия Пт-311 | ЧС11№ 84 | |
KS 14/09–2 | ООО «Агрокомплекс» Кургансемена» | (Лют.162/84–1 × Chris) × (Целинная 20 × Терция) |
KS 60/09–9 | Лют 290 × 99–7 × Лют. 241 х 00–4 | |
KS 61/09–4 | Лют 290/99–7 × Тулеевская | |
KS 285/12–1586 | Заульбинка × (Лютесценс 123 × Омская 20) | |
Лютесценс 1462 | Самарский НИИСХ | Экада 128 × Тулайковская 110 |
Лютесценс 1486 | Тулайковская 110 × Тулайковская 108 | |
Лютесценс 1489 | F11619ае (Бирюза × Лют. 904) × Тулайковская 110 | |
Линия1616ае14 | Тулайковская 110 х Безенчукская 380 | |
Лютесценс 1356 | СибНИИРС – филиал ИЦиГ СО РАН | (((Новосибирская (Н)31 × Н.15) × Н.15) × Н.15) |
Лютесценс 1364 | (((Новосибирская (Н)31 × Н.15) × Н.15) × Н.15) | |
Агрономическая 5 | Омский ГАУ | Sonata × (TAM 200 × Turaco) × Sonata |
Лютесценс 76–17 | Омская 37 × (KA × NAC) × TRCH × Lut.210.99.10 | |
Лютесценс 82/09–7 | ФГБНУ «Омский АНЦ» | Лют. 242/97–2–45 × Лют. 220/03–52 |
Лютесценс 136/10–1 | Омская 35 × Лют.111/03–3 | |
Лютесценс 71/10–4 | Лют. 403/02–2 × Лют. 219/03–10 | |
Ялуторовка | ФГБОУ ВО ГАУ Северного Зауралья | (Lutescens 210.99.10 × Bavis) × Омская 37 |
ГАУ-11–2016 | Челяба × (Oasis × Skauz) × (BCN × WBLL1) Lutescens 30–94 | |
Челябинка | Челябинский НИИСХ | Ватан × Дуэт |
В лабораторных условиях проводили оценку ювенильной устойчивости образцов яровой пшеницы к возбудителю бурой и желтой ржавчины. В фитопатологическом тесте с бурой ржавчиной использовали три тест-клона P. triticina, маркированные вирулентностью к генам Lr9, Lr19 и Lr26, а также дагестанскую популяцию, собранную в коллекционном посеве пшеницы Дагестанской опытной станции ВИР в 2023 г. (табл. 2). Все тест-клоны (kLr9, kLr19, kLr26) были вирулентны к линиям с генами Lr 1, 2a, 2b, 2c, 3a, 3bg, 3ka, 10, 14a, 14b, 15, 16, 17, 18, 20, 30 и авирулентны к линиям с генами Lr 24, 25, 28, 29, 41, 47, 51. Тест клон kLr9 был авирулентным к Lr19 и Lr26 и вирулентным к Lr9; клон kLr19 – авирулентным к Lr9 и Lr26 и вирулентным к Lr19; kLr26 – авирулентным к Lr9 и Lr19 и вирулентным к Lr26. Дагестанская популяция отличалась от них авирулентностью к Lr 2a, 2b, 2c, 9, 19, 24, 26.
Для инокуляции P. striiformis использовали пять сборных популяций из географически отдаленных регионов: дагестанскую (рDag, сбор – 2023 г.), краснодарскую (рKr, 2022 г.), ленинградскую (рSPb, 2022 г.), саратовскую (рSar, 2023 г.) и новосибирскую (рNov, 2021 г.). Предварительно их вирулентность была изучена на почти изогенных линиях Avocet NIL c генами Yr1, Yr5, Yr6, Yr7, Yr8, Yr9 Yr10, Yr15, Yr17, Yr18, Yr24, Yr27 и сортах-дифференциаторах: Vilmorin 23 (Yr3), Nord Desprez (YrND), Spaldings Prolific (YrSP), Strubes Dickkopf (YrSD). Используемый инфекционный материал P. striiformis характеризовался высоким генетическим разнообразием по признаку вирулентности. Дагестанская популяция была вирулентной к Yr 2, 3, 4, 6, 7, 8, 9, 10, 18, 27, SP, SD, ND, авирулентной к Yr 1, 5, 15, 17, 24; краснодарская – вирулентной к Yr 1, 3, 4, 6, 7, 8, 9, 18, авирулентной к Yr 2, 5, 10, 15, 17, 24, 27, SP, SD, ND; ленинградская – вирулентной к Yr 2, 6, 8, 9, 18, 27, авирулентной к Yr 1, 3, 4, 5, 7, 10, 15, 17, 24, SP, SD, ND; саратовская –вирулентной к Yr 4, 6, 8, 9, 17, 18, 27, SP, ND, авирулентной к Yr 1, 2, 3, 5, 7, 10, 15, 24, SD; новосибирская – вирулентной к Yr 1, 2, 3, 6, 8, 9, 18, 27, SD, ND, авирулентной к Yr 4, 5, 7, 10, 15, 17, 24, SP.
Оценку ювенильной устойчивости образцов пшеницы КАСИБ-22 выполняли по ранее описанным методикам [11, 12]. Растения высевали в сосуды с почвой (по 10 зерен на образец). Инокуляцию бурой ржавчиной проводили в фазе первого листа (8…10 дневные проростки), желтой – в фазе появления второго листа (11…14 дневные проростки). Изучаемые образцы пшеницы опрыскивали суспензией спор каждого изолята/популяции в иммерсионной жидкости 3M™ Novec™ 7100. После заражения бурой ржавчиной растения выдерживали в темноте в течение суток во влажной камере при температуре 20 °C. Затем переносили в светоустановку (температура 20 °C, фотопериод 16 ч день / 8 ч ночь). Спороношение патогена отмечали на 8…9 сутки. После инокуляции популяциями желтой ржавчины сосуды с растениями инкубировали в темноте при температуре 10 °C и влажности 100 % в течение суток, затем переносили в климатическую камеру (Versatile Environmental Test Chamber MLR-352H) со следующими параметрами: день – 16 ч, освещение 15000…20000 люкс, температура 16 °C; ночь – 8 ч, температура 10 °C. Учет проводили через 16…18 дней после заражения.
Учет типа реакции к бурой ржавчине осуществляли по шкале Майнса и Джексона [13]; к желтой ржавчине – по шкале Гасснера и Штрайба [13]: балл 0 – отсутствие симптомов поражения; 0; – некрозы без пустул; 1 – мелкие пустулы, окруженные некрозом; 2 – пустулы среднего размера, окруженные некрозом или хлорозом; 3 – пустулы среднего размера без некроза; 4 – крупные пустулы без некроза. Растения c оценкой 0, 1, 2 балла относили к устойчивым, 3, 4 балла – к восприимчивым.
ДНК выделяли CTAB-методом с использованием набора фирмы «Бигль» из смеси 3 растений. В случае обнаружения расщепления по устойчивости при фитопатологическом тестировании, ДНК выделяли по растениям для 10 проростков. С использованием молекулярных маркеров проводили идентификацию 20 генов – Lr1 (WR003), Lr3 (Xmwg798), Lr9 (SCS5), Lr10 (F1.2245/Lr10–6/r2), Lr19 (SCS265), Lr20 (STS638), Lr21 (Lr21F/R), Lr24 (Sr24≠12, Sr24≠50), Lr25 (Lr25F20/R19), Lr28 (SCS421), Lr29 (Lr29F24), Lr35 (Sr39≠12), Lr39 (GDM35), Lr47 (PS10), Lr50 (GWM382, GDM87), Lr66 (S13-R16), Lr_YrAgi2 (МF2/MR1r2), Yr2 (Wmc364), Yr5 (STS7/8, STS9/10), Yr7 (CFD77), Yr10 (Xpsp3000), Yr15 (Xbarc8), Yr24 (Barc181), Yr25 (Xgwm6), Yr60 (Wmc776, Wmc313), Lr34, Yr18 (csLV34), Lr37, Yr17 (Ventriup/LN2) и 2 транслокаций – 1BL.1RS (Lr26, Yr9) и 1АL.1RS (SCM9) (4,11,12,14–17). Информация об этих маркерах и эффективности Lr и Yr генов, сцепленных с этими маркерами, широко представлена в мировой и отечественный литературе [13, 14, 15]. Маркеры были синтезированы фирмой BioBеagle (Санкт-Петербург). Для постановки ПЦР использовали протоколы, рекомендованные разработчиками маркеров [15, 16, 17], и амплификатор BioRad C1000. Реакционные смеси для ПЦР готовили с использованием реактивов фирмы «Диалат ЛТД». Положительными контролями для бурой ржавчины служили изогенные линии Thatcher с генами Lr1, Lr3, Lr9, Lr10, Lr19, Lr20, Lr21, Lr24, Lr25, Lr26, Lr28, Lr29, Lr35, Lr37, Lr34 и сорта KS90WGRC10 (Lr39), Pavon (Lr47), KS96WGRC36 (Lr50), Челяба 75 (Lr66), Тулайковская 10 (Lr_YrAgi2), для желтой ржавчины – изогенные линии Avoсet с генами Yr5, Yr7, Yr9, Yr10, Yr15, Yr17, Yr18, Yr24 и Yr25. Для разделения ПЦР-продуктов использовали 1,5 %-ный агарозный гель (TBE). Определение размеров продуктов амплификации проводили с использованием маркеров молекулярного веса ДНК 100bp и 1Kbp («Диалат ЛТД»).
Результаты и обсуждение. При проведении фитопатологического анализа высокую устойчивость ко всем клонам и дагестанской популяции P. triticina продемонстрировали 15 образцов (табл. 3), в том числе 14 российской и 1 казахстанской селекции. Линии KS 14/09–2, KS 60/09–9, KS 285/12–1586 и ГАУ-11–2016 были восприимчивы к тест-клону kLr26 и дагестанской популяции (pDag), а линия 23/07 к тест-клону kLr9. Согласно результатам фитопалогического теста у них можно предположить наличие генов Lr26 и Lr9 соответственно. Расщепление по устойчивости выявлено у линии KS 61/09–4 при инокуляции клоном kLr26 и популяцией pDag, а также у сорта Ялуторовка при инокуляции kLr19, kLr26 и pDag, что указывает на гетерогенность этих образцов пшеницы. При инокуляции линии KS 61/09–4 70 % растений продемонстрировали устойчивую реакцию, 30 % восприимчивость. Для сорта Ялуторовка расщепление по устойчивости для указанных клонов и популяции составило 50 %.
Известно [11, 13, 14], что высокую эффективность в защите от бурой ржавчины в России и Казахстане имеют гены Lr24, Lr25, Lr28, Lr29, Lr39(41), Lr45, Lr47, Lr51, Lr53. Частично утратили эффективность гены Lr9, Lr19, Lr21, Lr23, Lr44, Lr48, Lr49, Lr50. Большая часть других Lr-генов [13] по отдельности утратили свою эффективность.
Табл. 2. Характеристика вирулентности инфекционного материала P. triticina и P. striiformis, используемого в исследованиях
Изолят | Происхождение | Вирулентность / авирулентность* |
Puccinia triticina | ||
kLr9 | Челябинская обл, 2022 | 1, 2a, 2b, 2c, 3a, 3bg, 3ka, 9, 10, 14a, 14b, 15, 16, 17, 18, 20, 30 / 19, 24, 26 |
kLr19 | Саратовская обл., 2022 | 1, 2a, 2b, 2c, 3a, 3bg, 3ka, 10, 14a, 14b, 15, 16, 17, 18, 19, 20, 30 / 9, 24, 26 |
kLr26 | Новосибирская обл., 2022 | 1, 2a, 2b, 2c, 3a, 3bg, 3ka, 10, 14a, 14b, 15, 16, 17, 18, 20, 26, 30 / 9, 19, 24 |
pDag | Республика Дагестан, 2023 | 1, 3a, 3bg, 3ka, 10, 14a, 14b, 15, 16, 17, 18, 20, 26, 30 / 2a, 2b, 2c, 9, 19, 24 |
Puccinia striiformis | ||
рDag | Республика Дагестан, 2023 | 2, 3, 4, 6, 7, 8, 9, 10, 18, 27, SP, SD, ND / 1, 5, 15, 17, 24 |
рKr | Краснодарский край, 2022 | 1, 3, 4, 6, 7, 8, 9, 18 / 2, 5, 10, 15, 17, 24, 27, SP, SD, ND |
рSPb | Ленинградская обл., 2022 | 2, 6, 8, 9, 18, 27 / 1, 3, 4, 5, 7, 10, 15, 17, 24, SP, SD, ND |
рSar | Саратовская обл., 2023 | 4, 6, 8, 9, 17, 18, 27б SP, ND / 1, 2, 3, 5, 7, 10, 15, 24, SD |
рNov | Новосибирская обл., 2021 | 1, 2, 3, 6, 8, 9, 18, 27, SD, ND / 4, 5, 7, 10, 15, 17, 24, SP |
*для Puccinia triticina – к линиям Thatcher c генами Lr; для Puccinia striiformis – к линиям Avocet c генами Yr и сортам-дифференциаторам (AvocetNIL: Yr1, Yr5, Yr6, Yr7, Yr8, Yr9 Yr10, Yr15, Yr17, Yr18, Yr24, Yr27; Yr3 – Vilmorin 23, ND – Nord Desprez, SP – Spaldings Prolific, SD – Strubes Dickkopf).
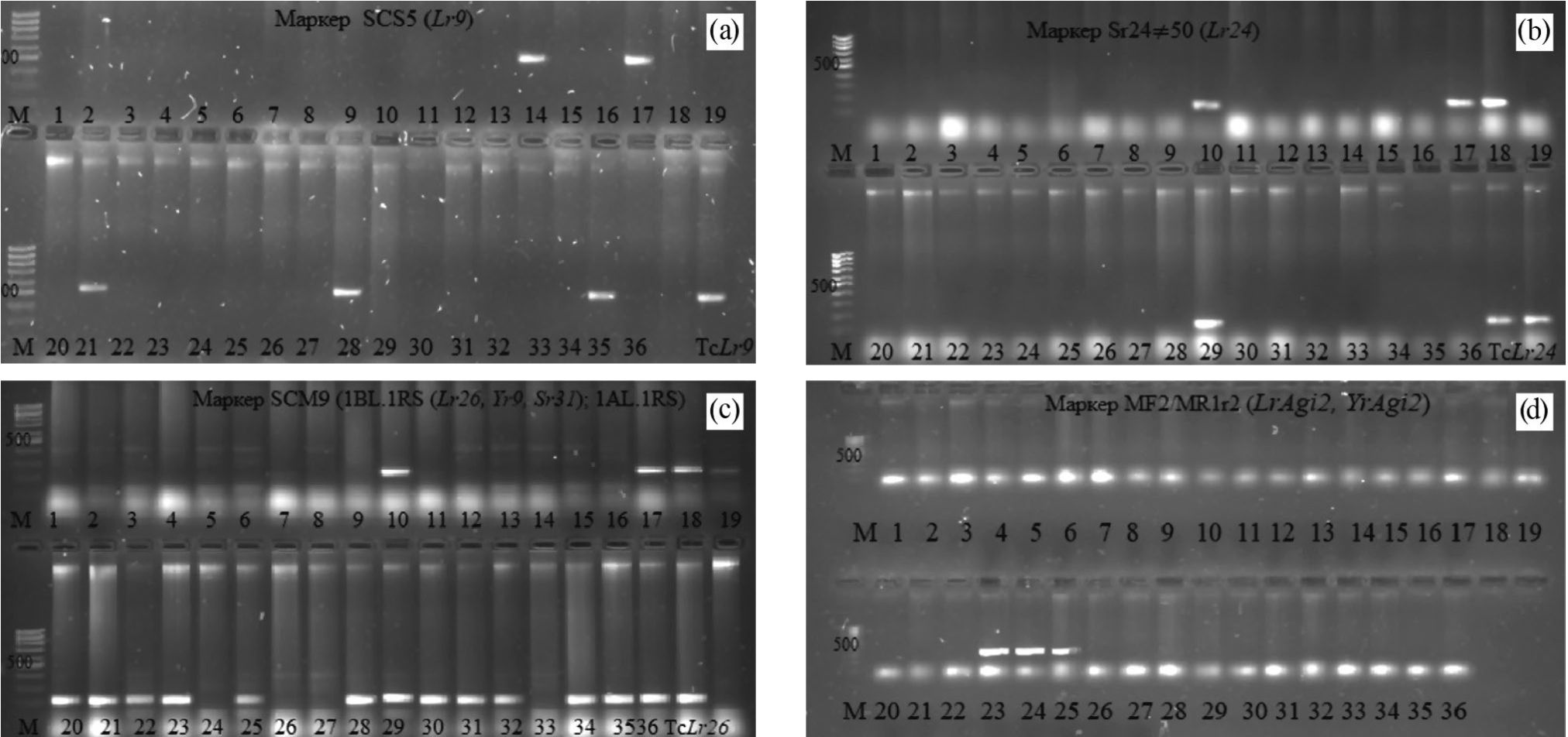
С использованием молекулярных маркеров 20 Lr-генов, широко и умеренно используемых в селекции, установлено высокое генетическое разнообразие материала КАСИБ-22 по устойчивости к бурой ржавчине. У резистентных образцов определены высокоэффективные гены Lr24, LrAgi2, частично утратившие эффективность гены Lr9, Lr19, малоэффективные гены Lr1, Lr3, Lr10, Lr26 и Lr34 и пшенично-ржаная транслокация 1AL.1RS с неидентифицированными генами устойчивости к бурой, стеблевой и желтой ржавчинам (см. табл. 3). Например, с использованием маркера SCS5 отмечено наличие гена Lr9 у линий 23/07, Пт-235, KS 61/09–4, Лютесценс 1364, ГАУ-11–2016 (см. рисунок, а), маркера Sr24≠50 – гена Lr24 у образцов Лютесценс 8–12–18, Линия Пт-235, Линия Пт-311, Агрономическая 5 (см. рисунок, b). При проведении ПЦР с маркером SCM9 положительная реакция показана у 17 образцов из 36 (см. рисунок, с), с маркером МF2/MR1r2 – у образцов Лютесценс 1462, Лютесценс 1486, Лютесценс 1489 (см. рисунок, d).
Электрофореграммы ПЦР образцов яровой пшеницы КАСИБ-22 с маркерами SCS5 (а), Sr24≠50 (b), SCM9 (c) и МF2/MR1r2 (d): М – маркер молекулярного веса (100bp, Диалат); 1…36 – образцы яровой пшеницы согласно перечню в табл. 1.
У устойчивых линий выявлено по несколько генов устойчивости. Высокоэффективный ген Lr24 и транслокация AL.1RS обнаружены у линии Лютесценс (Лют.) 8–12–18 из Казахстана и линий Пт-235, Пт-311, Лют. 76–17 из России (см. табл. 3). Наряду с этими генами у линии Лют.8–12–18 определен ген Lr34, у линии Пт-235– ген Lr9, у линии Пт-311 – ген Lr3.
Табл. 3. Характеристика образцов КАСИБ-22 по устойчивости к бурой и желтой ржавчинам и идентифицированные у них гены устойчивости
Линия, сорт | Тип реакции (балл) | Идентифицированные гены устойчивости | ||||||||
бурая ржавчина | желтая ржавчина | |||||||||
kLr9 | kLr19 | kLr26 | pDag | pDag | pKr | pSPb | pSar | pNov | ||
Династия | 3 | 3 | 3 | 3 | 3 | 3…4 | 3 | 3 | 3 | - |
Линия 198/225-2020 | 3 | 3 | 3 | 3 | 3 | 3 | 3 | 3 | 3 | Lr3 |
Линия 205-2020 | 3 | 3 | 3 | 3 | 3 | 3…4 | 3 | 3 | 3 | - |
Лютесценс 176/09 | 3 | 3 | 3 | 3 | 3 | 3…4 | 3 | 3 | 3 | Lr10 |
Лютесценс 342/08 | 3 | 3 | 3 | 3 | 3 | 3…4 | 3 | 3 | 3 | - |
Линия 43/94к-07-7 | 3 | 3 | 3 | 3 | 3 | 3…4 | 3 | 0 | 3 | - |
Линия 2/03-09-3 | 3...4 | 3 | 3 | 3 | 3 | 3 | 3 | 3 | 3 | - |
Лютесценс 77 201/09 | 3...4 | 3 | 3 | 3 | 3 | 3 | 3 | 3 | 3 | Lr3 |
Лютесценс 30 22/09 | 3...4 | 3 | 3 | 3 | 3…4 | 3 | 2…3 | 3 | 3 | - |
Лютесценс 8-12-18 | 0...1 | 0 | 1 | 0…1 | 3…4 | 3 | 2…3 | 3 | 3 | Lr24, Lr34/Yr18, 1AL.1RS |
Лютесценс 2244 | 3 | 3 | 3 | 3 | 3 | 1…2 | 2 | 3 | 3 | Lr3 |
Лютесценс 2219 | 3 | 3 | 3 | 3 | 3 | 3 | 2…3 | 3 | 3 | - |
Лютесценс 2223 | 3 | 3 | 3 | 3 | 3 | 3…4 | 2…3 | 3 | 3 | Lr3 |
Линия 23/07 | 3 | 0 | 0 | 0 | 3 | 3 | 3…4 | 3 | 3 | Lr1, Lr9 |
Линия 435/12 | 3 | 3 | 3 | 3 | 3…4 | 3…4 | 3 | 3 | 3 | Lr3 |
Линия Чт-11 | 3 | 3 | 3 | 3 | 3 | 3 | 2 | 3 | 3 | - |
Линия Пт-235 | 0 | 0 | 0 | 0 | 3 | 3 | 3 | 3 | 3 | Lr9, Lr24, 1AL.1RS |
Линия Пт-311 | 0 | 0 | 0…1 | 0 | 3 | 3…4 | 3…4 | 0…1 | 3 | Lr3, Lr24, 1AL.1RS |
KS 14/09-2 | 0 | 0 | 3 | 3 | 3 | 3…4 | 3 | 3 | 3 | Lr26/Yr9 |
KS 60/09-9 | 0 | 0 | 3 | 3 | 2…3 | 3…4 | 3…4 | 3 | 3 | Lr1, Lr26/Yr9 |
KS 61/09-4 | 0 | 0 | 0, 3** | 0,3 | 0 | 2 | 3 | 0 | 3 | Lr9 *, Lr26/Yr9 |
KS 285/12-1586 | 0 | 0 | 3 | 3 | 3 | 2…3 | 3 | 3 | 3 | Lr1, Lr26/Yr9 |
Лютесценс 1462 | 0 | 0 | 0 | 0 | 0 | 3 | 2…3 | 0 | 2…3 | Lr19, Lr26/Yr9, LrAgi2 |
Лютесценс 1486 | 0 | 0 | 0 | 0 | 3 | 2 | 3…4 | 3 | 3 | Lr3, Lr19, LrAgi2 |
Лютесценс 1489 | 0 | 0 | 0 | 0 | 3 | 1…2 | 2…3 | 3 | 3 | Lr3, LrAgi2 |
Линия1616ае14 | 0 | 0 | 0 | 0 | 2…3 | 3 | 3 | 3 | 3 | Lr19, Lr26/Yr9 |
Лютесценс 1356 | 0 | 0 | 0 | 0 | 3 | 3…4 | 3…4 | 3 | 3 | Lr1, Lr3, Lr10 |
Лютесценс 1364 | 0 | 0 | 0 | 0...1 | 3 | 3…4 | 3…4 | 3 | 3 | Lr1, Lr3, Lr10 |
Агрономическая 5 | 0 | 0 | 0 | 0...1 | 2 | 2…3 | 2…3 | 2 | 3 | Lr9, Lr26/Yr9 |
Лютесценс 76-17 | 0 | 0 | 0 | 0 | 3 | 3 | 2…3 | 2 | 3 | Lr24, 1AL.1RS |
Лютесценс 82/09-7 | 0 | 0…1 | 0…1 | 0...1 | 3 | 3 | 2…3 | 3 | 3 | Lr1, Lr3, Lr19, Lr26/Yr9 |
Лютесценс 136/10-1 | 0 | 0 | 0 | 0 | 2…3 | 2 | 2…3 | 2 | 3 | Lr3, Lr19,Lr26/Yr9,Lr34/Yr18 |
Лютесценс 71/10-4 | 0 | 0 | 0 | 0 | 3 | 3 | 3 | 3 | 3 | Lr1, Lr19, Lr26/Yr9 |
Ялуторовка | 3 | 0, 3 | 0, 3 | 0, 3 | 0 | 0 | 0…1 | 3 | 3 | Lr3, Lr10, Lr34/Yr18 |
ГАУ-11-2016 | 0 | 0 | 3 | 3 | 0 | 3 | 3 | 3 | 3 | Lr26/Yr9,Lr34/Yr18 |
Челябинка | 0 | 0 | 0 | 0 | 3 | 3 | 3 | 3 | 3 | Lr9, Lr26/Yr9 |
*расщепление при анализе по растениям при использовании маркера гена Lr9; ** расщепление образца по устойчивости в фитопатологическом тесте; - – идентифицируемых генов не выявлено.
В защите от бурой ржавчины эффективной считают стратегию пирамидирования генов устойчивости [3, 8]. Она подразумевает комбинирование в одном генотипе нескольких генов устойчивости. Это могут быть как высокоэффективные гены, так и гены по отдельности, утратившие эффективность. Эффективные их сочетания позволяют существенно продлить срок «полезной жизни» новых сортов. В защите от бурой ржавчины перспективным считают сочетание генов Lr9 (или Lr19) с Lr26. Ген Lr9 утратил свою эффективность в Западной Сибири и на Урале, Lr19 – в Поволжье. Обусловлено это широким возделыванием генетически однородных по Lr9 и Lr19 сортов в указанных регионах. Изоляты P. triticina по отдельности вирулентные к Lr9 и Lr19 имеют высокую представленность в западносибирских и уральских популяциях, при этом все они авирулентны к линии с геном Lr26 [4]. Это обусловливает эффективность пирамидирования генов Lr9 и Lr19 с Lr26. В материале КАСИБ-22 гены Lr9 и Lr26 определены у сортов Агрономическая 5 и Челябинка. В мультилокальных полевых исследованиях КАСИБ и региональных Государственных сортоиспытаниях они выделены по комплексу хозяйственно ценных признаков [9, 18] и в 2023–2024 гг. включены в Государственный реестр селекционных достижений РФ. Линия KS 61/09–14 показала гетерогенность по Lr9. При анализе индивидуальных растений определены растения с двумя генами (Lr9, Lr26) и с одним (Lr26). Расщепление этой линии по устойчивости отмечено и при фитопатологическом тестировании.
Сочетание генов Lr19 и Lr26 выявлено у трех линий селекции Омского АНЦ: Лют. 82/09–7 (+Lr1, Lr3), Лют. 136/10–1 (+Lr3, Lr34), Лют. 71/10–4 (+Lr1). Коммерческие сорта Омская 37 и Омская 38 с генами Lr19 и Lr26 возделываются в Западной Сибири с 2010 гг. и до сих пор характеризуются устойчивостью к бурой ржавчине.
Сочетание генов Lr19 и Lr26 также определено у линий 161ае14 и Лют. 1462, созданных в Самарском НИИСХ. У линии Лют. 1462 дополнительно идентифицирован высокоэффективный ген LrAgi2. Кроме того, он определен еще у двух линий этого селекцентра: Лют. 1486 (+Lr19, Lr3) и Лют. 1489 (+ Lr3). Первые высокоустойчивые к бурой ржавчине сорта с LrAgi2 были созданы в Самарском НИИСХ в начале 2000 гг. (Тулайковская 5, Тулайковская 10). Ген сохраняет свою эффективность в России и Казахстане [6].
В молекулярном анализе присутствие гена Lr26 определено у линий KS 14/09–2, KS 60/09–9 (+Lr1), KS 285/12–1586 (Lr1), ГАУ-11–2016 (+Lr34); гена Lr9 – у линии 23/07 (+Lr1), что согласуется с результатами фитопатологического теста.
У двух высокоустойчивых линий Лют. 1356 и Лют. 1364, созданных в СибНИИРС с участием сортов Новосибирская 15 и Новосибирская 31, определены только малоэффективные гены Lr1, Lr3 и Lr10. Их комбинация не обеспечивает эффективной защиты от ржавчины, что указывает на наличие у этих линий дополнительных Lr-генов, отличающихся от идентифицируемых в представленном анализе. По результатам Государственного сортоиспытания в 2024 г. линия Лют. 1356 включена в Реестр селекционных достижений как сорт Загора Новосибирская. Линия Лют. 1364 проходит государственное сортоизучение как сорт Суенга [9].
Все устойчивые к бурой ржавчине сорта и линии яровой пшеницы, выделенные в представленном анализе, имели высокую резистентность к болезни в полевых условиях [9].
Иммунологические исследования устойчивости к желтой ржавчине продемонстрировали низкий потенциал материала КАСИБ-22. Образцов, устойчивых ко всем региональным популяциям при инокуляции в фазе проростков, не выявлено. Это указывает на отсутствие у них высокоэффективных Yr-генов. Устойчивость к трем популяциям показали сорт Ялуторовка (pDag, pKr, pSPb) и линия KS61/09–4 (pDag, pKr, pSar); к двум популяциям – Лют. 2244 (pKr, pSPb), Лют. 136/10–1 (pKr, pSar), Лют. 1462, Агрономическая (pDag, pSar); к одной – линии 43/94к-07–7 и ПТ-311 (pSar). Число устойчивых образцов к саратовской (17 %), дагестанской (11 %) и краснодарской (11 %) популяциям было выше, чем к ленинградской (5 %). Все изученные образцы были восприимчивы к новосибирской популяции.
Высокой эффективностью в России и Казахстане характеризуются гены Yr5, Yr10, Yr15, Yr17 и Yr24 [7, 19, 20]. С использованием молекулярных маркеров в образцах КАСИБ-22 такие гены не выявлены, что согласуется с результатами фитопатологического тестирования. Также у них не выявлено частично эффективных генов Yr2, Yr7, Yr25 и Yr60. У 11 образцов определено наличие гена Yr9, локализованного в одной транслокации с геном Lr26 и Sr31. У трех линий определено наличие гена Yr18, сцепленного с генами Lr34 и Sr57. Гены Yr9 и Yr18, Lr26 и Lr34 утратили свою эффективность в России [4, 7]. При этом сохраняется эффективность Sr31 и Sr57.
Выводы. В фазе проростков 42 % изученных образцов КАСИБ-22, включающих перспективные сорта и линии яровой мягкой пшеницы российской и казахстанской селекции (23 и 13 образцов соответственно), продемонстрировали резистентность при инокуляции тест-клонами и популяцией P. triticina. Больше всего устойчивых отмечено среди образцов российской селекции (36 %). С использованием молекулярных маркеров показано высокое разнообразие изученного материала по Lr-генам. Выявлены высокоэффективные гены Lr24 и LrAgi2, частично утратившие эффективность гены Lr9 и Lr19, малоэффективные гены Lr1, Lr3, Lr10, Lr26 и Lr34, а также пшенично-ржаная транслокация 1AL.1RS с не идентифицированными генами устойчивости к бурой, стеблевой и желтой ржавчинам. Все устойчивые образцы несли по два и более Lr-генов.
В ходе лабораторной оценки устойчивости к возбудителю желтой ржавчины образцов иммунных ко всем используемым популяциям P. striiformis, которые отличались по географическому происхождению (Северный Кавказ, Северо-Запад, Западная Сибирь), не обнаружено. Устойчивость к трем из пяти популяций продемонстрировали 5 % образцов, к двум – 11 %, к одной – 17 %. В молекулярном анализе у изученных образцов высокоэффективных генов Yr5, Yr10, Yr15, Yr17, Yr24 не обнаружено. Малоэффективные гены Yr9 и Yr18 идентифицированы у 30 % и 8 % линий соответственно.
Результаты проведенного анализа указывают на необходимость опережающей селекции яровой пшеницы на устойчивость к желтой ржавчине с привлечением генетически разнообразных доноров.
ФИНАНСИРОВАНИЕ РАБОТЫ.
Исследования поддержаны Российским научным фондом, проект № 23–26–00042. Никаких дополнительных грантов на проведение или руководство данным конкретным исследованием получено не было.
СОБЛЮДЕНИЕ ЭТИЧЕСКИХ СТАНДАРТОВ.
В работе отсутствуют исследования человека или животных.
КОНФЛИКТ ИНТЕРЕСОВ.
Авторы работы заявляют, что у них нет конфликта интересов.
Об авторах
Е. И. Гультяева
Всероссийский научно-исследовательский институт защиты растений
Автор, ответственный за переписку.
Email: eigultyaeva@gmail.com
доктор биологических наук
Россия, 196608, Санкт-Петербург-Пушкин, ш. Подбельского, 3Е. Л. Шайдаюк
Всероссийский научно-исследовательский институт защиты растений
Email: eigultyaeva@gmail.com
кандидат биологических наук
Россия, 196608, Санкт-Петербург-Пушкин, ш. Подбельского, 3В. В. Веселова
Всероссийский научно-исследовательский институт защиты растений
Email: eigultyaeva@gmail.com
Россия, 196608, Санкт-Петербург-Пушкин, ш. Подбельского, 3
М. М. Левитин
Всероссийский научно-исследовательский институт защиты растений
Email: eigultyaeva@gmail.com
доктор биологических наук, академик РАН
Россия, 196608, Санкт-Петербург-Пушкин, ш. Подбельского, 3Список литературы
- Virulence characterization of Puccinia striiformis f. sp. tritici collections from six countries in 2013 to 2020 / X. Chen, M. Wang, A. Wan, et al. // Canadian Journal of Plant Pathology. 2021. Vol. 43. No. 2. P. 308–322. doi: 10.1080/07060661.2021.1958259.
- Левитин М. М. Распространение болезней растений в условиях глобального изменения климата // Сельскохозяйственные науки и агропромышленный комплекс на рубеже веков. 2016. С. 97–100.
- Генетическая защищенность сортов озимой пшеницы от ржавчинных болезней / Л. А. Беспалова, И. Б. Аблова, Ж. Н. Худокормова и др. // Рисоводство. 2019. Т. 4. № 45. С. 30–37.
- Gultyaeva E., Shaydayuk E., Gannibal P. Leaf rust resistance genes in wheat cultivars registered in Russia and their influence on adaptation processes in pathogen populations // Agriculture. 2021. Vol. 11. No. 4. Article 319. URL: https://www.mdpi.com/2077–0472/11/4/319 (дата обращения: 15.12.2023). doi: 10.3390/agriculture11040319.
- Зеленева Ю.В., Судникова В. П., Бучнева Г. Н. Иммунологическая характеристика сортов озимой мягкой пшеницы в условиях ЦЧР // Труды Кубанского государственного аграрного университета. 2022. № 96. С. 95–99. doi: 10.21515/1999-1703-96-95-99.
- Получение и характеристика линии мягкой пшеницы (Тулайковская 10×Саратовская 29) с интрогрессией хромосомы пырея Thinopyrum intermedium 6Agi2 / Ю. Н. Иванова, К. К. Розенфрид, А. И. Стасюк и др. // Вавиловский журнал генетики и селекции. 2021. Т. 25. Вып. 7. C. 701–712. doi: 10.18699/VJ21.080.
- Gultyaeva E. I., Shaydayuk E. L., Kosman E. Virulence diversity of Puccinia striiformis f. sp. tritici in common wheat in Russian Regions in 2019–2021 // Agriculture. 2022 V. 12 No. 11. Article 1957. URL: https://www.mdpi.com/2077–0472/12/11/1957 (дата обращения: 15.12.2023). doi: 10.3390/agriculture12111957.
- Шаманин В. П., Потоцкая И. В., Кузьмин О. Г. Скрининг сортов яровой мягкой пшеницы питомника КАСИБ к бурой и стеблевой ржавчине в условиях Западной Сибири // Вестник Казанского ГАУ. 2017. Т. 4. № 46. С. 61–66. doi: 10.12737/article_5a5f06807861a9.60475518.
- Агеева Е. В., Капко Т. Н., Советов В. В. Изучение устойчивости к некоторым заболеваниям сортов и линий яровой пшеницы питомника КАСИБ-22 // Письма в Вавиловский журнал генетики и селекции. 2023. Т. 9. Вып. 1. С. 21–29. doi: 18699/LettersVJ-2023-9-04.
- Оценка коллекции сортов сети КАСИБ в условиях южной лесостепи Западной Сибири / В. Е. Пожерукова, В. П. Шаманин, М. С. Гладких и др. // Вестник Омского государственного аграрного университета. 2019. Т. 1. № 33. С. 30–37.
- Гультяева Е. И., Шайдаюк Е. Л., Рсалиев А. С. Идентификация генов устойчивости к бурой ржавчине у образцов яровой мягкой пшеницы российской и казахстанской селекции // Вестник защиты растений. 2019. № 3. С. 41–49. doi: 10.31993/2308-6459-2019-3(101)-41-49.
- Gultyaeva E. I., Shaydayuk E. L. Resistance of modern Russian winter wheat cultivars to yellow rust // Plants. 2023. Vol. 12. No. 19. Article 3471. URL: https://www.mdpi.com/2223–7747/12/19/3471 (дата обращения: 15.12.2023). doi: 10.3390/plants12193471.
- McIntosh R. A., Wellings C. R., Park R. F. Wheat rusts. An atlas of resistance genes. CSIRO Australia: Kluwer Acad. Publ., Dordrecht, the Netherlands, 1995. 213 p.
- Mas Wheat. URL: https://maswheat.ucdavis.edu/ (дата обращения 20.02.2024).
- Rani R., Singh R., Yadav N. R. Evaluating stripe rust resistance in Indian wheat genotypes and breeding lines using molecular markers // Comptes Rendus Biol. 2019. Vol. 342. P. 154–174. doi: 10.1016/j.crvi.2019.04.002.
- Chawla V. Genetic diversity of bread wheat genotypes (Triticum aestivum L.) revealed by microsatellite SSR markers for leaf and stripe rust resistance // J. Pharmacogn. Phytochem. 2019. Vol. 8. P. 86–93.
- Фенотипическая изменчивость селекционных линий мягкой пшеницы (Triticum aestivum L.) по элементам структуры урожая в экологических условиях Западной Сибири и Татарстана / А. И. Стасюк, И. Н. Леонова, М. Л. Пономарева и др. // Сельскохозяйственная биология. 2021. Т. 56. № 1. С. 78–91. doi: 10.15389/agrobiology.2021.1.78rus.
- Характеристики сортов растений, впервые включенных в 2023 году в Государственный реестр селекционных достижений, допущенных к использованию: официальное издание. М: ФГБНУ «Росинформагротех»;2023. 326 с.
- Kokhmetova A., Rsaliyev Sh., Atishova M., et al. Evaluation of wheat germplasm for resistance to leaf rust (Puccinia triticina) and identification the sources of Lr-resistance genes using molecular markers // Plants. 2021. Vol. 10. No. 7. Article 1484. URL: https://www.mdpi.com/2223–7747/10/7/1484 (Дата обращения 15.12.2023). doi: 10.3390/ plants10071484.
- Postulation of Yr resistance genes to stripe rust in 12 commercial wheat cultivars of Russian breeding / I. Matveeva, G. Volkova, Y. Kim, et al. // Siberian Journal of Life Sciences and Agriculture. 2023. Vol. 15. No. 4. P. 158–179. doi: 10.12731/2658-6649-2023-15-4-158-179.
Дополнительные файлы


