Pathomorphological changes and immunolocalization of matrix metalloproteinases in the placenta of cows during afterbirth retention
- Authors: Avdeenko V.S.1, Moroz A.I.1, Safronov D.I.1, Finageev E.Y.1, Makavchik S.P.1, Moiseeva K.A.1
-
Affiliations:
- State Educational Institution of Higher Education St. Petersburg State University of Veterinary Medicine
- Issue: No 5 (2024)
- Pages: 94-101
- Section: Zootechnics
- URL: https://ogarev-online.ru/2500-2082/article/view/268586
- DOI: https://doi.org/10.31857/S2500208224050195
- EDN: https://elibrary.ru/zruozs
- ID: 268586
Cite item
Full Text
Abstract
For the first time, using histochemical and immunohistochemical methods, epithelialized defects with signs of dystrophy in the crypts of caruncles in cows with afterbirth retention were established. The number of diplocaryocytes per unit area in the placenta of a cow during normal delivery was three times higher than the number of cells in cows with afterbirth retention. In the stroma of the villi of the allantochorion of the cotyledons, an increase in the number of collagen fibers and an increase in the number of fibroblasts, which are larger than in normal childbirth, have been established. In samples obtained from cows with afterbirth retention in the stroma of defragmented maternal crypts, the distribution of MMP was established, and immunopositive cells were fixed around the vessels, with active production of MMP-1 and MMP-3. Decreases in MMP-2 and MMP-9 in placentomas were observed in the allantochorion villi of the fetal part of the placenta. Thus, MMP-2 and МMP-9 are localized in the cotyledon and can affect the timely release of allantochorion villi from the crypts of the caruncles, ensuring the separation of fetal membranes from the maternal placenta in cattle.
Full Text
В плаценте крупного рогатого скота во время стельности происходят морфологические изменения, определяющие внутриутробное развитие эмбриона, а в дальнейшем плода. [13] В синэпителиохориальной плаценте у жвачных животных плацентарная связь формируется именно в плацентомах, где ворсины аллантохориона котиледонов образуют единую морфологическую структуру с материнскими криптами карункулов. [5] Карункулярный эпителий состоит из безъядерных, гигантских двуядерных и гибридных трехядерных клеток трофобласта. [7] Такая прочная связь между матерью и плодом, по мнению большинства ветеринарных специалистов, необходима в период стельности, но она должна прекратиться после родоразрешения, чтобы обеспечить оптимальное завершение инволюционных процессов в матке. [3] На последних сроках гестации и непосредственно перед родами происходит ремоделирование и потеря адгезии на границе плацентарного барьера между матерью и плодом, то есть «посредник» прекращает свою деятельность.
Отечественные специалисты в области репродуктологии сходятся во мнении, что нарушение данных процессов приводит к возникновению одной из основных акушерских патологий у крупного рогатого скота – задержанию последа. [6] Такое осложнение родового процесса определяется как состояние, при котором плодные оболочки сохраняются в матке спустя 6…12 ч после отела, создавая нарушения на тканевом и субклеточном уровнях. Ангиогенез и ремоделирование как материнской, так и фетальной частей плаценты, а также физиологически своевременное отделение плодных оболочек требуют наличия протеолитических ферментов и последующей деградации компонентов внеклеточного матрикса. [10] В исследованиях указывается, что цитокератины и матриксные металлопротеиназы играют ключевую роль в процессе разрушения внеклеточного матрикса во время затухания и прекращения функции плаценты на последних сроках гестации и вступления коров в роды. [8]
Большинство авторов пришли к выводу, что цитокератины и матриксные металлопротеиназы секретируются в виде неактивных проферментов, которые активируются при расщеплении N-концевого пропептида. Их активность строго регулируется из-за противодействия цитокератинам и тканевым ингибиторам матриксных металлопротеиназ. [10, 12] Однако ферментативная активность ММР-2, по-видимому, более важна в синеэпителиохориальной плаценте жвачных животных, чем ММР-9. Активируется ММР-2 при образовании тримолекулярного комплекса между ТIМP-2 и ММР-2.
Исследователи заключили, что задержка плаценты в родах происходит после дистоции и родильного пареза. [9] Задержание последа возникает из-за субклинической гипокальциемии, дефицита селена или витамина Е. Оптимальное кормление сухостойных коров способствует уменьшению таких случаев. [2, 4, 15] Выбор быков-производителей, обеспечивающих легкий отел, – наиболее важное управленческое и селекционное решение для предотвращения задержания последа у животных в родах. [14] Для стимуляции отела специалисты рекомендуют использовать индукцию родов кортикостероидами или простагландином F2-альфа (можно одновременно). [11] Но индуцированный отел увеличивает вероятность задержания последа.
В стенке матки коровы при родах трофобластическая выстилка эндометрия выделяет ферменты, которые способствуют растворению волокон фибрина и коллагена, связывающих матку и плаценту, это означает, что фетальная часть плаценты с маткой теряет механическую прочность. [1–3] Долгое время считалось, что окситоцин помогает отделению плодных оболочек после стадии выведения плода, но это не снижало частоту задержания последа у высокопродуктивных молочных коров.
Не было доказано, что препараты кальция ускоряют процесс изгнания плодных оболочек или предотвращают осложнения, связанные с их сохранением в матке. Оперативный метод отделения плодных оболочек вручную не рекомендуется из-за травматичности эндометрия.
Считается, что механизмы, лежащие в основе нарушения отделения плодных оболочек после рождения плода у крупного рогатого скота, изучены недостаточно. Мы предполагаем, что процесс потери единой морфологической структуры между организмами матери и плода модулируется взаимодействием тканевых ингибиторов матриксных металлопротеиназ. Таким образом, регуляция и активация ММР-2 представляет особый интерес для нашего исследования. На данный момент информация об активности ферментов и потенциальной активации ММP-2 для плаценты крупного рогатого скота отсутствует. Пространственная регуляция деградации внеклеточного матрикса и последующего отделения плодных оболочек может быть опосредована самими плодными оболочками и/или материнской частью плаценты. Кроме того, основные механизмы, участвующие в потере адгезии плодных оболочек после родов изучены слабо. Мы считаем, что процесс потери адгезии между плацентомами матери и плода модулируется MMPs. Понимание причин возникновения и механизмов протекания патологических процессов, вызывающих задержание последа у коров, позволит эффективно профилактировать и проводить терапию данной патологии, что сократит экономические потери и повысит рентабельность молочного производства.
Цель работы – изучить морфологические изменения в задержавшейся плаценте коров после выведения плода гистохимическими и иммуногистохимическими методами.
МАТЕРИАЛЫ И МЕТОДЫ
В 2023–2024 годах исследовали группу коров (n = 10) голштинизированной черно-пестрой породы с живой массой 650…700 кг и среднегодовой молочной продуктивностью 13300 кг. Объект изучения – плацента коров, не отделившаяся в течение 12 ч с момента выведения плода. Образцы готовили фрагментами толщиной не менее 5 мм, общей площадью до 3 см2. Затем их помещали в раствор нейтрального 10% забуферного формалина для фиксации. Обезвоживание материала проводили в батарее восходящих спиртов – 70, 80, 90 и 100%, по 30 мин. в изопропиловом спирте. Уплотняли в двух сериях парафина по 60 мин. Гистологические срезы изготавливали на ротационном микротоме «Ротмик-2» (Россия) толщиной 4 мкм, которые впоследствии окрашивали гематоксилином Джилла-эозином, по Маллори общепринятыми методиками. Изучали гистологические препараты под светооптическим микроскопом Микмед-5 ЛОМО. Микрофотографирование выполняли цифровой камерой Touptek Photonic FMA050 (США). Окуляр-микрометром (МОВ-15) измеряли высоту эпителия крипт, а с помощью морфометрической сетки определяли относительную площадь ворсин аллантохориона, соединительной ткани и эпителия крипт в карункулах. Парафиновые срезы образцов плаценты толщиной 5 мкм, подлежащих иммуногистохимическому исследованию, монтировали на стекла, обработанные поли-L-лизином (Menzel). Для блокирования эндогенной пероксидазы срезы после депарафинизации инкубировали 20 мин. в 3% перекиси водорода. Постановку иммуногистохимических реакций проводили в пероксидаза-полимерной системе визуализации согласно инструкции производителя (Lab Vision, Thermo). Использовали антитела: Recombinant Bovine anti-MMP-1, Recombinant Bovine anti-MMP-2, Recombinant Bovine anti-MMP-3, Recombinant Anti-MMP-9 antibod. Демаскировку антигенов осуществляли кипячением срезов при 100°С в цитратном буфере в течение 10 мин., рН = 6,0. Пероксидазу проявляли 3-3-диаминобензидином из набора протокола. На заключительном этапе реакции срезы докрашивали гематоксилином Майера. При статистической обработке применяли программу STATISTICA (StatSoft Inc., США, версия 7.0) адаптированную к ПK Microsoft Excel 2020 SPSS 10.0.5 for Windows.
РЕЗУЛЬТАТЫ И ОБСУЖДЕНИЕ
Исследуя аллантохорион плодных оболочек у коров, установили, что интраэпителиально расположенные капилляры были приближены к эпителию маточной крипты, их количество при нормальных родах на единицу площади составило 0,7 ± 0,18, с увеличением числа капилляров терминальных ворсин (3,7 ± 0,73) в 13 раз и более, чем при задержании последа (табл. 1).
Таблица 1.
Цифровая структура капиллярной сети крипт карункулов и аллантохориона котиледонов в норме и при задержании последа (сетка Автандилова = 0,0073 мм)
Количество капилляров, мм2 | Роды | |
нормальные | осложненные задержанием последа | |
в криптах карункулов | 0,7 ± 0,18 | 3,4 ± 0,72, р < 0,001 |
в ворсинах аллантохориона котиледона | 2,5 ± 0,14 | 0,13 ± 0,07, р < 0,001 |
При задержании последа в эпителиоцитах крипт карункулов на единицу площади материнской части плаценты было больше белковых субстанций и капилляров, по сравнению с нормальными родами. Маточный эпителий имеет кубическую форму, слущен, цитоплазма его светлее окрашивается (рис. 1).
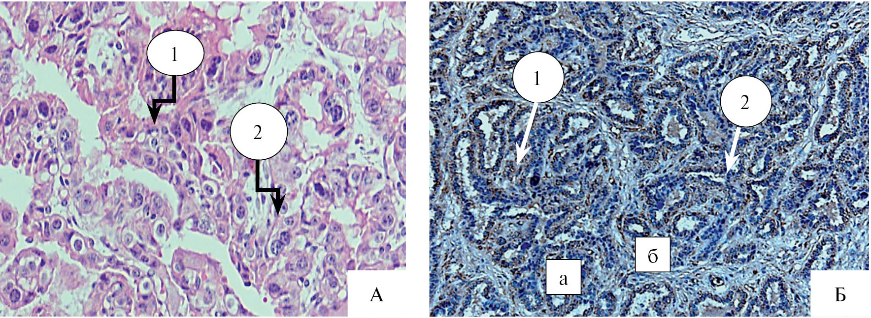
Рис. 1. Структурно-клеточная организация трофобластической выстилки крипт карункулов и аллантохориона ворсин котиледонов в норме и при задержании последа. А, В – ШИК реакция по Мак-Манусу; трихромная окраска по Masson; окраска альциановым синим по Стидмену; Б, Г – окраска гематоксилином и эозин-флоксином; PAS-реакция по Мак-Манусу. Здесь и в рис. 2–5 докраска гематоксилином Майера, общее увеличение × 200.
Ядра клеток цитотрофобласта среднего и крупного размера, округло-овальной формы, нормохромные с одним-двумя средними и мелкими нуклеолами, гигантских двух- и трехъядерных гибридных клеток (рис. 1).
Фрагменты выстилки крипт карункула, окрашенные гематоксилином-эозином, имеют хорошо выраженную соединительнотканную основу, характеризующуюся диффузным реактивным фиброзом (табл. 2).
Таблица 2.
Структурно-клеточная организация эндометральной выстилки крипт карункулов и аллантохориона трофобластических ворсин котиледонов в норме и при задержании последа (сетка Автандилова = 0,0073 мм)
Количество, кл/мм2 | Роды | |
нормальные | осложненные задержанием последа | |
Диплокариоциты | 8,5 ± 2,13 | 2,8 ± 0,84, р < 0,001 |
Эпителиоциты | 6,5 ± 1,91 | 15,5 ± 3,53, р < 0,001 |
Количество диплокариоцитов на единицу площади аллантохориона коров при нормальных родах составило 8,5 ± 2,1 и превысило число гигантских двуядерных клеток при задержании последа (2,8 ± 0,84, р < 0,001). Среди клеток трофобласта обнаружены двуядерные и гибридные трехядерные. Выявлены участки скопления диплокариоцитов в криптах карункулов материнской части плаценты.
Ворсины аллантохориона состоят из рыхлой волокнистой соединительной ткани с фокусами миксоидного строения и обильной васкуляризацией. В некоторых ворсинах аллантохориона котиледонов было разрыхление стромы и незначительный ее отек.
В эпителиальных клетках и стромальных криптах карункулов отмечается выраженная экспрессия MMP-1 (рис. 2). Установлено наличие распределения металлопротеиназы типа ММР-1 в морфологически измененных криптах материнской части плаценты. Активность MMP-2 особенно четко прослеживалась только вокруг сосудов ворсин аллантохориона фетальной части плаценты (рис. 3). ММР-3 распределяются в основном в эпителиоцитах крипт карункулов (рис. 4).
Рис. 2. Иммунолокализация ММР-1 пролиферации клеток «плацентомы» ПАП-метод. А – нормальные роды: 1 – локализация ММР-1 в крипте; 2 – синцитиотрофобласте. Антитела к ММР-1. Б – задержание последа: 1 – локализация ММР-1 в клетках крипт; 2 – пространстве крипт и ворсин. Антитела к ММР-1: а – вакуолярная дистрофия клеток эпителия крипт карункула; б – кровенаполнение сосудов крипты карункула.
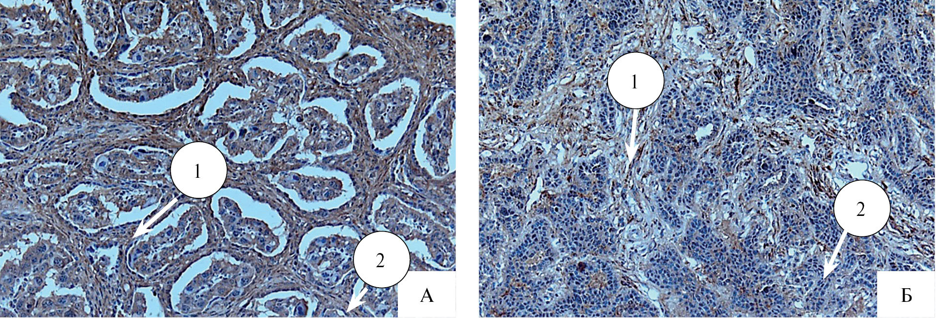
Рис. 3. Иммунолокализация ММР-2 пролиферации клеток плаценты ПАП-метод. А – нормальные роды: 1 – локализация ММР-2 в крипте; 2 – синцитиотрофобласте. Антитела к ММР-2. Б – задержание последа: 1 – локализация ММР-2 в энителиальных клетках крипт; 2 – криптах и ворсинах. Антитела к ММР-2.
Рис. 4. Иммунолокализация ММР-3 пролиферации клеток плаценты. А – нормальные роды: 1 – локализация ММР-3 в крипте; 2 – синцитиотрофобласте. Антитела к ММР-3. Б – задержание последа: 1 – локализация ММР-3 в энителиальных клетках крипт; 2 – криптах и ворсинах. Антитела к ММР-3.
При окраске ворсин аллантохориона по Маллори отмечается диффузное тонкое фибриллярное окрашивание коллагена в составе крипт карункула и выраженное диффузное окрашивание ядерного материала клеточного компонента. Выявляется резкое цитоплазматическое набухание и вакуолизация эпителиальных клеток, субэпителиальный отек соединительной ткани. Иммунолокализация металлопротеиназы матриксной ММР-9 активно проявлялась в цитоплазме синцитиотрофобласта (1) и трофобласта (2), за исключением гигантских двуядерных клеток (рис. 5А). Слабовыраженная реакция MMP-9 отмечалась в цитоплазме эпителиоцитов крипт карункулов материнской части плаценты. Остаточное скопление данного типа металлопротеиназы было зафиксировано в деградируемых криптах (1) материнской части плаценты, а также вокруг сосудов (2) (рис. 5Б).
Рис. 5. Иммунолокализация ММР-9 пролиферации клеток плаценты ПАП-метод. А – нормальные роды: 1 – локализация ММР-9 в крипте; 2 – локализация ММР-9 в синцитиотрофобласте. Антитела к ММР-9. Б – задержание последа: 1 – локализация ММР-9 в энителиальных клетках крипт; 2 – локализация ММР-9 в пространстве крипт и ворсин. Антитела к ММР-9.
В научной литературе за последние годы приведены многочисленные доказательства того, что для внутриутробного развития плода необходимо стабильное равновесие и соотношение различных типов матриксных металлопротеиназ, а также их белковых ингибиторов. Отечественные и зарубежные авторы в своих исследованиях неоднократно указывали на чрезмерную активность матриксных металлопротеиназ, которые на последних сроках беременности непосредственно перед родами и действии других внешних факторов способствуют деградации внутриклеточного матрикса материнской части плаценты, что провоцирует репродуктивную патологию в последующем. [2, 10, 12, 13] Отсутствие или снижение экспрессии ММР может быть результатом неонатальных заболеваний новорожденных. При изучении в плацентах коров с нормальными родами и задержанием последа с помощью иммуногистохимического метода установлено, что содержание тканевого ингибитора визуально идентично соответствующей металлопротеиназе как в норме, так и при задержании последа. Косвенно это может указывать на нарушение целостности клеточных мембран. Металлопротеиназы имели практически идентичную локализацию в клетках аллантохориона, которая была получена в наших исследованиях у коров, несмотря на кардинально различный тип плацентации, что не характерно для металлопротеиназ типов 1, 2, 3 и 9, так как они обладают специфической клеточной экспрессией. Отдельными авторами было показано, что металлопротеиназа типа 1, ответственная за активность коллагеназ и фибробластов, способна деградировать фибриллярные коллагены основных типов компонента мезенхимального слоя материнских крипт. [7, 16] По другим данным, металлопротеиназы типов 3 и 9 – ключевые в ремоделировании фибриллярных коллагенов, которые локализуются преимущественно в базальной мембране крипт карункулов. [4, 11, 13, 15] На фето-материнском интерфейсе основные морфологические характеристики своевременного отделения плодных оболочек – истончение материнского карункулярного эпителия и снижение количества фетальных двуядерных гигантских клеток трофобласта. [17]
Выводы. Установлено, что трофобластическая выстилка ворсин аллантохориона, сгруппированных в котиледоны, представлена несколькими типами клеток, находящимися на различных стадиях дифференцировки: столбчатые, предиплокариоциты и диплокариоциты. Количество диплокариоцитов с характерной поверхностью на ворсинах аллантохориона котиледонов в норме составляет 7,3 ± 1,24 и уменьшается при задержании последа до 2,3 ± 0,85. Интенсивность глюкозамингликанов снижена в 3,5 раза в плаценте коров, при задержании последа. В строме ворсин котиледонов увеличивается число коллагеновых волокон и фибробластов на единицу площади карункула. Гистоструктура плаценты при нормальных родах характеризовалась свободным расположением ворсин аллантохориона в криптах карункулов формируемых ответвлениями маточных крипт. ММР-1 и ММР-3 распределяются в основном в эпителиоцитах крипт карункулов, ММР-2 и ММР-9 – в эпителиальных клетках ворсин аллантохориона. Это может быть обусловлено тем, что у коров для установления более плотного контакта между фетальной и материнской частями плаценты возникает адаптационная необходимость активации фибриллярных коллагеновых волокон котиледона. Иммунлокализация, характерная для ММР-2 и MMP-9, позволяет предположить синергетическое участие данных металлопротеиназ на последних сроках беременности и особенно в период родов. Выраженное ремоделирование внеклеточного матрикса матки происходит на последних сроках беременности и во время родов. Несбалансированная доступность ключевых медиаторов деградации внеклеточных матриксов, а именно матриксных металлопротеиназ (MMPS), вовлечена в патогенез задержания последа у коров. Таким образом, MMP-2 и МMP-9 локализуются в котиледонах фетальной части плаценты и обеспечивают отделение плодных оболочек плода от эндометрия у крупного рогатого скота. Полученные нами материалы подтверждают гипотезу о том, что высокая активность матриксных металлопротеиназ в структуре фетальной части плаценты у коров при задержании последа – маркер деградации компонентов внутриклеточного матрикса. Доказательная база может быть основанием при разработке ИФА–теста для прогноза осложнений завершения стельности на последних сроках гестации, родильного пареза, задержания последа у коров и заболеваний после отела.
Исследование выполнено за счет гранта Российского научного фонда 23-26-00284, https://rscf.ru/project/23-26-00284/ The research was supported by a grant from the Russian Science Foundation (project no. 23-26-00284, https://rscf.ru/project/23-26-00284/).
About the authors
V. S. Avdeenko
State Educational Institution of Higher Education St. Petersburg State University of Veterinary Medicine
Author for correspondence.
Email: sashamoroz.shuramoroz@mail.ru
Grand PhD in Veterinary Sciences
Russian Federation, St. PetersburgA. I. Moroz
State Educational Institution of Higher Education St. Petersburg State University of Veterinary Medicine
Email: sashamoroz.shuramoroz@mail.ru
PhD Student
Russian Federation, St. PetersburgD. I. Safronov
State Educational Institution of Higher Education St. Petersburg State University of Veterinary Medicine
Email: sashamoroz.shuramoroz@mail.ru
PhD in Veterinary Sciences
Russian Federation, St. PetersburgE. Y. Finageev
State Educational Institution of Higher Education St. Petersburg State University of Veterinary Medicine
Email: sashamoroz.shuramoroz@mail.ru
PhD in Veterinary Science
Russian Federation, St. PetersburgS. P. Makavchik
State Educational Institution of Higher Education St. Petersburg State University of Veterinary Medicine
Email: sashamoroz.shuramoroz@mail.ru
Grand PhD in Veterinary Sciences
Russian Federation, St. PetersburgK. A. Moiseeva
State Educational Institution of Higher Education St. Petersburg State University of Veterinary Medicine
Email: sashamoroz.shuramoroz@mail.ru
PhD Student
Russian Federation, St. PetersburgReferences
- Evglevskij A.A. Aspekty razvitiya metabolicheskogo acidoza i ketoacidoza u korov v promyshlennom zhivotnovodstve // Vestnik rossijskoj sel’skohozyajstvennoj nauki. 2022. № 3. S. 71–75. https://doi.org/10.30850/vrsn/2022/3/71-75
- Klyuchnikova N.F., Klyuchnikov M.T., Klyuchnikova E.M. Effektivnost’ primeneniya akantopanaksa dlya profilaktiki yalovosti korov // Vestnik rossijskoj sel’skohozyajstvennoj nauki. 2023. № 6. S. 91–94. https://doi.org/10.31857/2500-2082/2023/6/91-94
- Rodin I.A., Sedov A.V., Kapustin A.V. i dr. Rasprostranennost’ i etiologicheskie faktory, obuslavlivayushchie zaderzhanie plodnyh obolochek u korov // Siberian Journal of Life Sciences and Sciences and Agriculture. 2021. T. 13. № 4. S. 144–158.
- Breda F.L., Manchado-Gobatto F.B., de Barros Sousa F.A. et al. Complex networks analysis reinforces centrality hematological role on aerobic–anaerobic performances of the Brazilian Paralympic endurance team after altitude training // Scientific Reports. 2022. Vol. 7. No. 12. PP. 114–120.
- Davenport K.M., Ortega M.S., Johnson G.A., Seo H. Implantation and placentation in ruminants // Animal. 2023. Vol. 17. No. 5. PP. 180–196. https://doi.org/10.1016/j.animal.2023.100796.
- Davenport K.M., O’Neil E.V., Ortega M.S. et al. Single-cell insights into development of the bovine placenta // 2024. Vol. 110. No. 1. PP. 169–184. https://doi.org/10.1093/biolre/ioad123
- Hooshmandabbasi R., Zerbe H., Bauersachs S. et al. Pregnancy-associated glycoproteins in cows with retained fetal membranes // Theriogenology. 2018. Vol. 105. PP. 158–163.
- Johnson Gregory A., Bazer Fuller W., Heewon Seo et al. Understanding placentation in ruminants: a review focusing on cows and sheep Reprod Fertil Dev. 2023. Vol. 36. No. 2. PP. 93–111. https://doi.org/10.1071/RD23119
- Kamada H., Matsui Y. Twelve-oxoeicosatetraenoic acid-induced fetal membrane release improves postpartum ovarian function, milk production, and blood plasma biochemical parameters in cows // Animal bioscience. 2023. Vol. 36. No 9. PP. 137–146. https://doi.org/10.5713/ab.22.0443
- Lean I.J., LeBlanc S.J., Sheedy D.B. et al. Associations of parity with health disorders and blood metabolite concentrations in Holstein cows in different production systems // J Dairy Sci. 2023. Vol. 106. No. 1. PP. 500–518. https://doi.org/10.3168/jds.2021-21673
- Sarli G., Castagnetti C., Bianco C. et al. Canine placenta histological findings and microvascular density: the histological basis of a negative neonatal outcome? // Animals. 2021. Vol. 11. No. 5. PP. 1418–1400. https://doi.org/10.3390/ani11051418
- Scariot C.A., Scariot J., de Souza Ramos I.A. et al. Bovine anaplasmosis as a risk factor for retained placenta, mastitis, and abomasal displacement in dairy cattle // Res Vet Sci. 2023. Vol. 154. PP. 145–150. https://doi.org/10.1016/j.rvsc.2022.12.011
- Scariot P.P., Gobatto C.A., Polisel E.E. et al. Early-life mice housed in standard stocking density reduce the spontaneous physical activity and increase visceral fat deposition before reaching adulthood // Laboratory Animals. 2022. Vol. 4. No. 4. PP. 234–247.
- Scariot P.P., Manchado-Gobatto F.B., Beck W.R. et al. Monocarboxylate transporters (MCTs) in skeletal muscle and hypothalamus of less or more physically active mice exposed to aerobic training Life Sciences. 2022. Vol. 1. No. 307. PP. 120–128.
- Pereira K.H.N.P., Lourenço M.L. Reanimação neonatal de cães e gatos ao nascimento // Rev Bras Reprod Anim. 2022. Vol. 46. P. 3–16. https://doi.org/10.3390/ani12233426
- Tanner A.R., Kennedy V.C., Lynch C.S. et al. In vivo investigation of ruminant placenta function and physiology // Journal of animal science. 2022. Vol. 100. No. 6. PP. 1023–1043. https://doi.org/10.1093/jas/skac045
Supplementary files







