Эквивалент конъюнктивальной ткани на основе коллагена: исследование биосовместимости и биомеханических свойств in vitro
- Авторы: Криволапова Д.А.1, Андреев А.Ю.1,2,3, Суббот А.М.1, Аветисов С.Э.1,3, Осидак Е.О.2,4, Ильина П.Н.1, Панова А.Д.1
-
Учреждения:
- Научно-исследовательский институт глазных болезней имени М.М. Краснова
- ООО Фирма «Имтек»
- Первый Московский государственный медицинский университет имени И.М. Сеченова (Сеченовский Университет)
- Национальный медицинский исследовательский центр детской гематологии, онкологии и иммунологии имени Дмитрия Рогачева
- Выпуск: Том 20, № 2 (2025)
- Страницы: 130-140
- Раздел: Оригинальные исследования
- URL: https://ogarev-online.ru/2313-1829/article/view/310754
- DOI: https://doi.org/10.17816/gc655846
- EDN: https://elibrary.ru/USBLTL
- ID: 310754
Цитировать
Аннотация
Обоснование. Создание эквивалента конъюнктивы, способного замещать дефекты ткани и предотвращать патологическое рубцевание, — ключевая задача разработки биоматериалов, для изготовления которых часто используется коллаген, в реконструктивных вмешательствах. Оценка биосовместимости и биомеханических свойств таких биоматериалов способствует развитию перспективных хирургических методик устранения дефектов конъюнктивы.
Цель. Оценить биосовместимость эпителиальных клеток конъюнктивы (ЭКК) человека и коллагеновой мембраны (КМ) оригинальной технологии in vitro; отсутствие её цитотоксичности для ЭКК; морфологию и паттерн характерных белков ЭКК на КМ; охарактеризовать биомеханические свойства КМ в сравнении с нативной конъюнктивой.
Методы. Первичная культура ЭКК получена эксплантным методом и верифицирована путём окрашивания на маркёры цитокератин 7 и муцин 5АC. Исследовали КМ с концентрацией коллагена 10 и 30 мг/мл. Цитотоксичность КМ 30 мг/мл оценивали при высеивании ЭКК в плотности 50 тыс./см2, проведя MTS-тест и оценку на выживаемость путём окраски кальцеином АМ и Hoechst. Морфологию ЭКК оценивали по фазовоконтрастным снимкам культуры клеток после посева на КМ и иммуноцитохимического окрашивания на цитокератин 7 и муцин 5АC. Биомеханические показатели КМ 30 мг/мл и конъюнктивы исследованы статическими и динамическими тестами на машине-инденторе.
Результаты. По результатам фазовоконтрастной микроскопии, в течение недели после посева на КМ 10 мг/мл отмечена миграция ЭКК во внутренние слои носителя, на КМ 30 мг/мл выявлен рост сливным монослоем по поверхности мембраны. Тест на метаболическую активность не установил значимого различия между группами контроля и КМ 30 мг/мл. В тесте live/dead и в группе контроля, и в группе КМ 95% клеток были положительно окрашены кальцеином. Иммуноцитохимический профиль ЭКК не изменялся: как и в группе контроля, на КМ клетки экспрессировали характерные для конъюнктивы цитокератин 7 и муцин 5АC. Показатели модуля Юнга КМ и бульбарной конъюнктивы оказались сопоставимыми: 0,0008739±0,0004332 и 0,0009472±0,001323 ГПа соответственно (p=0,0549). Показатель твёрдости КМ оказался выше конъюнктивы (p <0,0001), а показатель вязкости — ниже показателей нативной ткани (p <0,0001).
Заключение. ЭКК сохраняли жизнеспособность после посева на исследованные КМ, подтверждая отсутствие её цитотоксичности. Миграция ЭКК вглубь матрикса свидетельствует о способности материала создавать благоприятную микросреду для эпителизации конъюнктивы и резорбироваться после заселения клетками. Сохранение молекулярного паттерна ЭКК свидетельствует о высокой биосовместимости КМ с клетками конъюнктивального эпителия. КМ 30 мг/мл обладают упругостью, аналогичной конъюнктиве; имеют бóльшую жёсткость и меньшую вязкость. Перспективна оптимизация биомеханических свойств КМ под конкретные клинические задачи.
Ключевые слова
Полный текст
Введение
Конъюнктива, являясь тонкой прозрачной слизистой оболочкой, проходит от лимба над поверхностью склеры и образует верхний и нижний своды век, обеспечивая их плавное движение относительно глазного яблока [1, 2]. Конъюнктива служит механическим и иммунологическим барьером глаза от внешних воздействий и обеспечивает секрецию муцинового компонента слёзной жидкости [3, 4].
Как и все барьерные ткани, конъюнктива подвержена травматизации. Иногда регенерация в этой зоне идёт c формированием участков рубцевания, чаще всего это случается при обширном повреждении, присоединении инфекции или в результате системных аутоиммунных заболеваний [5, 6].
Длительный воспалительный процесс на глазной поверхности может также вызывать истощение популяции лимбальных эпителиальных стволовых клеток, что приводит к конъюнктивализации роговицы, неоваскуляризации, врастанию субэпителиальной фиброзной ткани и образованию роговичных стромальных рубцов [7, 8].
Для предупреждения хронизации воспалительных процессов и связанного с ними рубцевания проводятся реконструктивные вмешательства на конъюнктиве с использованием различных материалов [9]. В настоящее время распространённой методикой устранения дефектов в этой зоне является применение конъюнктивальных аутотрансплантатов, однако в случае двусторонних заболеваний может возникнуть дефицит собственной ткани, требующейся для восстановления обширных дефектов [5].
Альтернативным способом реконструкции может стать использование биосовместимого материала с возможностью образования эпителиального слоя на его поверхности. Часто используемый материал — это коллаген, естественная составляющая конъюнктивальной стромы [10]. Коллаген является основным структурным белком внеклеточного матрикса, и эпителиальные клетки способны к нему адгезировать, а также пролиферировать на его поверхности, поэтому данный субстрат имеет положительный опыт применения в качестве биополимерного скаффолда для устранения дефектов конъюнктивы [10, 11].
Биомеханические характеристики коллагеновых мембран (КМ) определяют их пригодность к хирургическому применению, надёжность фиксации шовным материалом. В то же время биомеханика скаффолда должна поддерживать полный объём движений глазного яблока и осуществление акта моргания [12, 13], поэтому подходящая для хирургической реконструкции глазной поверхности КМ должна обладать свойствами, близкими к нативной ткани.
Цель
Оценить биосовместимость эпителиальных клеток конъюнктивы (ЭКК) и КМ, произведённой по оригинальной технологии in vitro; отсутствие цитотоксичности КМ для ЭКК; их морфологию и паттерн характерных белков после посева на КМ; а также охарактеризовать биомеханические свойства КМ в сравнении с нативной тканью конъюнктивы.
Методы
Изготовление коллагеновой мембраны
В соответствии с ранее опубликованным методом [14] изготавливали КМ. Для этого 0,2 мл стерильных растворов высокоочищенного нативного коллагена I типа, выделенного путём кислой экстракции из свиных сухожилий (Viscoll; ООО Фирмы «Имтек», Россия), в различной концентрации (10 и 30 мг/мл) были добавлены в лунки 24-луночного планшета. Для удаления пузырьков воздуха из раствора коллагена планшеты центрифугировали в центрифуге Avanti J-26XP (колебательный ротор JS-5.2; Beckman Coulter, Inc., США) при 3200 об./мин и 4 °C в течение 30 мин. Для индукции гелеобразования коллагена пластины инкубировали в парах аммиака в течение 12 ч при температуре 20 °С. После инкубации гидрогели коллагена собирали, погружали в воду для инъекций (Solopharm, Россия) и инкубировали в течение 24 ч при температуре 20 °С.
На следующем этапе гидрогели коллагена помещали между двумя тефлоновыми пластинами, одна из которых подвергалась постоянной нагрузке 3 кг до полной витрификации. Для длительного хранения полученные материалы регидратировали в воде для инъекций (Solopharm, Россия) в течение 5 мин. Затем КМ помещали на квадратную тефлоновую пластину и герметично упаковывали в стерильные первичные упаковки, соответствующие требованиям ISO 11607-1 («КЛИНИПАК», Россия). Материалы в первичной упаковке герметично запечатывали под вакуумом во вторичной вакуумной упаковке, что позволило хранить КМ при температуре от 4 до 10 °C в течение 12 мес с даты упаковки (рис. 1). Все манипуляции были проведены в асептических условиях.
Рис. 1. Первичная (a) и вторичная (b) герметичная упаковка коллагенового материала; c — снимок изготовленной коллагеновой мембраны.
Fig. 1. Primary (a) and secondary (b) hermetic packaging of the collagen material; (c) image of the fabricated collagen membrane.
Получение культуры эпителиальных клеток и её характеристика
Первичная культура ЭКК человека получена из кадаверного материала от шести доноров эксплантным методом.
Из глазного банка ФГБНУ «Научно-исследовательский институт глазных болезней имени М.М. Краснова» были получены лоскуты бульбарной конъюнктивы (данный материал не востребован в ходе операции и обычно подлежит утилизации). Фрагменты конъюнктивы трижды промывали в растворе Хенкса («ПанЭко», Россия) с антибиотиками (пенициллин–стрептомицин) и антимикотиком (амфотерицин B), измельчали скальпелем до размера 1–2 мм и располагали на поверхности культурального пластика (в чашке Петри диаметром 35 мм) в капле фетальной бычьей сыворотки (Global Kang Qinhuangdao Biotechnology Co., Китай); через сутки к ним добавляли питательную среду RPMI-1640 («ПанЭко», Россия) c 10% фетальной бычьей сывороткой, глютамином и антибиотиком–антимикотиком. Клетки культивировали в стандартных условиях: при 5% СО2, температуре 37 °C и влажности 90%. Смену среды проводили каждые 2–3 дня.
Клетки начинали мигрировать из эксплантатов на 4–5-й день, после чего среду заменяли на DMEM/F12 («ПанЭко», Россия) c 5% фетальной бычьей сывороткой, 2 мМ глютамина, антибиотиками пенициллином–стрептомицином, антимикотиком амфотерицином B, добавкой инсулин–трансферрин–селенит (Gibco, США) и 10 нг/мл эпидермального фактора роста (Sigma-Aldrich, США). Клетки достигали состояния конфлюэнтного монослоя на 2-й неделе, после чего их пересевали с применением трипсина-ЭДТА («ПанЭко», Россия) в соотношении 1:3 (в концентрации 10 тыс./см2). Подсчёт клеток проводили на автоматическом счётчике С100 (RWD, Китай).
Разделение на группы
В контрольной группе ЭКК культивировали на культуральном пластике без обработки (12-луночный планшет (SPL, Корея), в экспериментальной группе — на фрагментах полученной мембраны из коллагена Viscoll с концентрацией 10 или 30 мг/мл (ООО Фирмы «Имтек», Россия) размерами 3×3 мм и толщиной 100 мкм. Перед внесением клеток фрагменты мембраны трижды промывали раствором Хенкса.
Оценка морфологии эпителиальных клеток
Наблюдение за ростом клеток в обеих группах проводили в режиме фазового контраста на микроскопе AxioVert A1 (Carl Zeiss, Германия). Фоторегистрацию культуры осуществляли на 1, 7, 13-е сутки после посева.
Иммуноцитохимическое окрашивание эпителиальных клеток
Для оценки сохранности белкового репертуара ЭКК после их засева на КМ в концентрации 10 мг/мл было выполнено иммуноцитохимическое окрашивание на маркёры ЭКК: филаментообразующий белок цитокератин 7 и компонент секреторного аппарата муцин 5АC [15]. Были использованы моноклональные антитела к цитокератину 7 (MA1-06315; Thermo Fisher Scientific, США) в разведении 1:100 и anti-Mucin 5AC antibody (ARG59705; Arigobio, Китай).
Вторичные антитела с меткой Alexa Fluor 594 (A-11032; Invitrogen, США) применяли в разведении 1:500. Вторичные антитела с меткой Cy2 (ab6940; Abcam, CША) использовали в разведении 1:100, докрашивание ядер проводили красителем Hoechst 33342 («ПанЭко», Россия) в концентрации 1 мкг/мл. Детекцию осуществляли на интегрированной системе визуализации Celena X (Logos Biosystems, Южная Корея).
Тест live/dead
Для оценки выживаемости ЭКК после посева на КМ с концентрацией коллагена 30 мг/мл их окрашивали кальцеином АМ (Invitrogen, США) и ядерным красителем Hoechst («ПанЭко», Россия). На фотографиях производили подсчёт общего количества клеток: живых (цитоплазма которых окрашена в зелёный цвет) и мёртвых (ядра которых окрашены в ярко-синий цвет).
Оценка метаболической активности клеток
Для исследования активности митохондриальных клеточных процессов в контрольной группе и группе КМ с концентрацией колагена 30 мг/мл был проведён колориметрический одноступенчатый формазановый MTS-тест, отражающий уровень метаболической активности исследуемых клеток. Принцип метода заключается в переводе живыми активными клетками реактива CellTiter 96 AQueous Non-Radioactive Cell Proliferation Assay (Promega, США) из неокрашенной в окрашенную форму. Таким образом, светопропускание в лунке планшета после проведения теста пропорционально количеству живых активных клеток в ней. Клетки высевали в лунки 24-луночного планшета с кусочками мембраны и без неё (контроль) за сутки до тестирования в концентрации 10 тыс./см2. Чтобы учесть возможное взаимодействие MTS-реагента с носителем, для выполнения теста в каждую лунку с клетками на носителе и без него, а также в пустые лунки (бланк) вносили по 300 мкл свежей среды и 60 мкл реагента. Далее планшет убирали для развития реакции в инкубатор на 3 ч. По прошествии этого времени выдерживали планшет в течение 10 мин на орбитальном шейкере со скоростью вращения 250 rpm для равномерного распределения окраски по объёму лунки. Затем переносили по 100 мкл из каждой лунки 24-луночного планшета в соответствующие лунки 96-луночного планшета для детекции коэффициента пропускания на планшетном фотометре Multiskan FC (Тhermo Fisher Scientific, США) при длине волны 492 нм. Пробы были поставлены в трёх повторах.
Оценка биомеханических свойств бульбарной конъюнктивы и коллагеновой мембраны
Индентирование — метод исследования механических свойств материалов, основанный на вдавливании индентора (твёрдого наконечника известной геометрической формы) в поверхность исследуемого материала с контролируемой силой и/или скоростью и последующим анализом кривой «нагрузка–смещение».
В настоящем исследовании были выбраны нагрузки, наиболее часто используемые при исследовании биомеханических свойств методом наноиндентирования схожих коллагенсодержащих материалов [16–18].
Оценку биомеханических свойств фрагментов бульбарной конъюнктивы 10 доноров и 10 образцов КМ с концентрацией коллагена 30 мг/мл проводили при помощи машины-индентора Nanovea, оснащённой наномодулем (Irvine, США). Образцы располагали на поверхности предметного стекла и погружали в физиологический раствор для предотвращения высыхания во время тестирования. Измерения проводили при комнатной температуре. Радиус сферического наконечника индентора — 3000 мкм. Выполняли статический и динамический механический анализ. В статическом режиме индентирование осуществляли при нагрузке 0,75 мН. Время выдержки при пиковой нагрузке составило 30 с. В динамическом режиме амплитуда составила 0,5 мН, частота 0,25 Гц. Было выполнено 5 измерений на образец. Поскольку конъюнктива считается упругим и эластичным материалом, в ходе испытаний оценивали модуль Юнга (показатель упругости), значения твёрдости и параметр, характеризующий вязкость (тангенс дельта).
Статистический анализ
Статистическую обработку различий значений проводили в программе Prism 7.0 (GraphPad Inc., США). Для оценки различий между группами использовали критерий Манна–Уитни. В качестве уровня статистической значимости принимали p <0,05.
Результаты
Перед началом эксперимента мы визуально удостоверялись, что клетки соответствуют эпителиальному морфотипу. Миграция из эксплантатов на культуральный пластик начиналась на 3–4-й день (рис. 2, a). Клетки заполняли поверхность культуральной чашки, формируя монослой плотно прилежащих друг к другу клеток. На 7-е сутки формировался субконфлюэнтный монослой, содержащий мелкие эпителиальные клетки в виде «булыжной мостовой» с высоким ядерно-цитоплазматическим соотношением (рис. 2, b). На этом этапе клетки пассировали на поверхность исследуемых мембран.
Рис. 2. Первичная культура эпителиальных клеток конъюнктивы при миграции из экспланта: a — эпителиальные клетки на поверхности культурального планшета на 4-й день; b — эпителиальные клетки на поверхности культурального планшета на 7-й день, монослой клеток в виде «булыжной мостовой» с высоким ядерно-цитоплазматическим соотношением. Бар 100 мкм.
Fig. 2. Primary culture of conjunctival epithelial cells during migration from the explant. Scale bar: 100 µm.
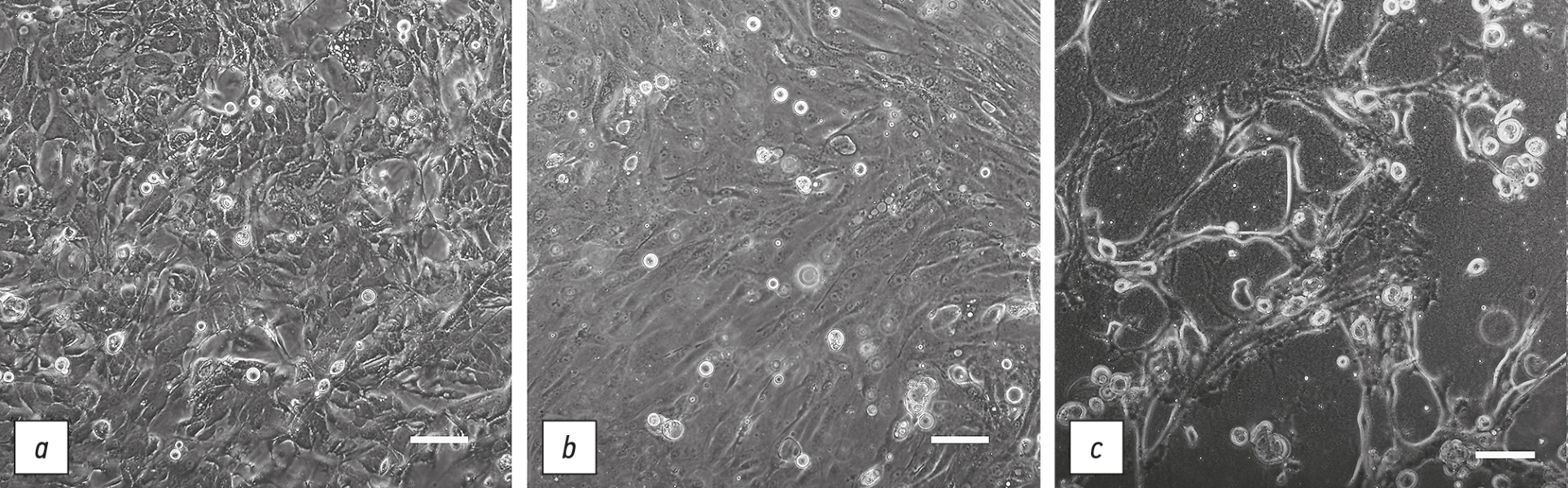
На 3-и сутки после рассева клеток на мембрану с концентрацией коллагена 10 мг/мл ЭКК продемонстрировали способность к активной миграции в толщу коллагенового слоя (рис. 3, c). На мембране с концентрацией коллагена 30 мг/мл клетки располагались только на её поверхности. Можно отметить более плотное прилегание клеток друг к другу при засеве их на КМ с концентрацией коллагена 30 мг/мл (рис. 3, b).
Рис. 3. Первичные культуры эпителиальных клеток конъюнктивы (фазово-контрастная микроскопия): a — контрольная группа (пластик); b — посев на коллагеновую мембрану в концентрации 30 мг/мл; с — в концентрации 10 мг/мл. Бар 100 мкм.
Fig. 3. Primary cultures of conjunctival epithelial cells (phase contrast microscopy). Scale bar: 100 µm.
Окрашивание на цитокератин 7 и муцин 5АC показало сохранность молекулярных маркёров ЭКК после посева на КМ с концентрацией коллагена 30 мг/мл (рис. 4).
Рис. 4. Репрезентативные поля зрения при окрашивании культуры эпителиальных клеток конъюнктивы на пластике (a) и на коллагеновой мембране с концентрацией коллагена 30 мг/мл (b) на 3-и сутки после посева. Красное окрашивание — цитокератин 7; зелёное окрашивание — муцин 5АC; синее окрашивание — ядра, меченные красителем Hoechst. Бар 100 мкм.
Fig. 4. Representative fields of immunostained conjunctival epithelial cell cultures on plastic (a) and on a collagen membrane with 30 mg/mL collagen concentration (b) on day 3 post-seeding. Scale bar: 100 µm.
При окрашивании кальцеином АМ клеток, засеянных на КМ с концентрацией коллагена 30 мг/мл (опыт) и на культуральный пластик (контроль), не выявлено различий в количестве живых клеток (окрашенных в зелёный цвет). Данный факт позволяет заключить, что исследуемый материал не цитотоксичен для ЭКК (рис. 5).
Рис. 5. Культура эпителиальных клеток конъюнктивы 3-го пассажа на 13-е сутки культивирования (эпифлуоресцентная микроскопия). Живые клетки окрашены зелёным цветом (окраска кальцеином АМ): a — в группе контроля, b — после посева на коллагеновую мембрану с концентрацией коллагена 30 мг/мл. Бар 100 мкм.
Fig. 5. Third-passage conjunctival epithelial cell culture on day 13 (epifluorescence microscopy). Scale bar: 100 µm.
Сравнительный тест на метаболическую активность не выявил значимого различия между группами контроля и КМ с концентрацией коллагена 30 мг/мл (рис. 6). Иными словами, культивирование на исследованной КМ не вызывает снижения метаболической активности клеток и подтверждает биосовместимость этого материала и его потенциал для использования в тканевой инженерии.
Рис. 6. Графическое отображение результатов колориметрического формазанового теста: 1 — метаболическая активность клеток на пластике; 2 — метаболическая активность клеток на коллагеновой мембране с концентрацией коллагена 30 мг/мл.
Fig. 6. Graphical representation of the formazan colorimetric assay results.
В результате сравнительного анализа биомеханических характеристик бульбарной конъюнктивы и КМ установлено, что модуль Юнга, характеризующий упругость КМ с концентрацией коллагена 30 мг/мл, сопоставим с аналогичным показателем бульбарной конъюнктивы, его значение составляет 0,0008739±0,0004332 и 0,0009472±0,001323 ГПа соответственно. Статистически значимых различий между ними не обнаружено (p=0,0549), что позволяет сделать вывод о сходстве упругих свойств обоих исследуемых материалов (рис. 7).
Рис. 7. Графическое отображение результатов наноиндентирования в статическом режиме: 1 — показатели модуля Юнга бульбарной конъюнктивы при нагрузке 0,75 мН; 2 — модуль Юнга коллагеновой мембраны с концентрацией коллагена 30 мг/мл при нагрузке 0,75 мН.
Fig. 7. Graphical representation of static mode nanoindentation results.
При оценке твёрдости значительно более высокие значения данного параметра были зафиксированы у КМ с концентрацией коллагена 30 мг/мл по сравнению с бульбарной конъюнктивой (p <0,0001). И наоборот, вязкость КМ оказалась существенно ниже, чем у естественной ткани (p <0,0001) (рис. 8).
Рис. 8. Графическое отображение результатов наноиндентирования в динамическом режиме: a: 1 — показатели твёрдости бульбарной конъюнктивы при нагрузке 0,75 мН; 2 — показатели твёрдости коллагеновой мембраны с концентрацией коллагена 30 мг/мл при нагрузке 0,75 мН; b: 3 — показатели вязкой составляющей бульбарной конъюнктивы при нагрузке 0,75 мН, 4 — показатели вязкой составляющей коллагеновой мембраны с концентрацией коллагена 30 мг/мл при нагрузке 0,75 мН. * — статистически значимые отличия.
Fig. 8. Graphical representation of dynamic mode nanoindentation results.
Данные результаты показывают, что упругость КМ с концентрацией коллагена 30 мг/мл сопоставима с аналогичным показателем бульбарной конъюнктивы. При этом КМ обладает повышенной жёсткостью и уменьшенной вязкостью по сравнению с естественной тканью. Эти параметры потенциально могут быть cкорректированы в дальнейшем посредством изменения технологии изготовления мембраны в зависимости от конкретных целей применения.
Обсуждение
Одним из основных осложнений хронического воспалительного процесса глазной поверхности являются рубцевание и контрактура тканей конъюнктивы. Такая ситуация нередко наблюдается у пациентов с лимбальной недостаточностью, и это служит фактором, снижающим успешность трансплантации лимбальных стволовых клеток [19]. У данной группы пациентов восстановление одной лишь роговицы не будет эффективным без полноценного восстановления глубокого и подвижного свода конъюнктивы.
В клинической практике для замещения рубцового дефекта используются аутологичные и аллогенные конъюнктивы, слизистые оболочки носа и рта, амниотическая мембрана, а также биосинтетические материалы. Аутологичные ткани предпочтительны благодаря отсутствию риска отторжения, но их применение ограничено при необходимости больших по площади трансплантатов или при поражении тканей ввиду аутоиммунных заболеваний [20, 21]. В таких случаях используют слизистые оболочки носа и рта, хотя и их эффективность снижается при иммунопатологических состояниях [22]. Амниотическая мембрана человека часто применяется для замещения дефектов ткани, после химических ожогов, при пемфигоиде слизистых оболочек и синдроме Стивенса–Джонсона [23, 24]. Однако эта мембрана подвергается быстрому лизису и имеет тенденцию к формированию рубцовой ткани после трансплантации [25].
Проведённое нами исследование перекликается с аналогичными, выполненными ранее. Так, в работе C.C. Drechsler и соавт. ЭКК также рассевали на КМ, изготовленную из раствора коллагена с концентрацией 3 мг/мл [10]. Различие мембран заключалось в концентрации, источнике коллагена и способе изготовления. В основе нашего подхода лежит технология изготовления стерильного высококонцентрированного раствора коллагена — Viscoll. Это позволяет создавать прочные коллагеновые биоматериалы без использования технологии химических сшивок, которые ухудшают клеточную совместимость материала.
Известно также, что при повышении концентрации коллагена наблюдается уменьшение миграции клеток во внутренние слои субстрата и происходит формирование эпителиального монослоя, тогда как с уменьшением концентрации в коллагеновом гидрогеле происходит интеграция клеток в структуру биополимерного материала [26], что мы и увидели при посеве на мембрану с концентрацией коллагена 10 мг/мл. Результаты, похожие на наши, наблюдаются в работах с фибробластами, засеянными на КМ, где клетки принимали звёздчатую форму в течение нескольких часов, а позже становились веретенообразной формы, агрегировали, но данная тенденция уменьшалась с увеличением концентрации коллагена [27–29]. С учётом того, что в нашей работе и работе C.C. Drechsler и соавт. при концентрации раствора 10 мг/мл получены сходные результаты — морфология клеток и их молекулярный профиль после посева на КМ оставались характерными для конъюнктивы, можно сделать вывод о том, что плотность матрикса не оказывает определяющего влияния на биосовместимость исследуемого материала. С другой стороны, использование более концентрированных растворов коллагена для изготовления КМ позволяет фиксировать их швом в зоне операции [14]. Поэтому для определения биомеханических свойств были взяты КМ с концентрацией коллагена 30 мг/мл.
В работе H. Zhou и соавт. исследовали 3 вида материала — витрифицированный коллаген, обычный коллагеновый гель и культуральный пластик в качестве контроля [11]. На всех трёх субстратах ЭКК кролика показали высокий уровень жизнеспособности (>95%) через 5 дней культивирования, что было подтверждено окрашиванием live/dead. Авторами также отмечено, что на витрифицированном коллагене плотность клеток превышала таковую на пластике более чем в два раза. Это свидетельствует о высокой пролиферативной активности клеток на исследуемом материале. Мы не определяли колониеобразующую способность, как предыдущие исследователи, но провели тесты на цитотоксичность (путём окрашивания live/dead и в метаболическом тесте), показавшие её отсутствие и, следовательно, высокий потенциал для использования в тканевой инженерии.
Выбор материала на основе коллагена I типа в ряде исследований обусловлен тем, что он является наиболее распространённым структурным белком интерстициального матрикса стромы конъюнктивы [30]. Коллаген I типа также участвует в процессах регенерации тканей, что особенно важно для применения в биоматериалах, направленных на восстановление конъюнктивы и создание условий для её нормального функционирования. Кроме того, биосовместимость и низкий риск иммунного отторжения делают его предпочтительным материалом для создания носителей в тканевой инженерии.
Совсем недавно внеклеточный матрикс считался обычным инертным скаффолдом, поддерживающим клетки. Однако за последние два десятилетия была доказана его фундаментальная роль в ключевых аспектах клеточной биологии [31, 32]. Важным событием стало открытие явления регуляции дифференцировки мезенхимальных стволовых клеток и других типов стволовых клеток в соответствии с заданными физическими свойствами окружающего их внеклеточного матрикса [33, 34].
В связи с вышесказанным необходимо учитывать биомеханические свойства материала при разработке матриксов для трансплантации клеток. В работе B. Trappmann и соавт. отмечено, что при увеличении модуля упругости полиакриламидных гидрогелей, ковалентно связанных с коллагеном I типа, увеличивалось распространение эпидермальных стволовых клеток и уменьшалась их дифференциация в кератиноциты [35]. В нашем исследовании не изучались оптимальные биомеханические свойства, обеспечивающие поддержание стволовых клеток и дифференциацию бокаловидных клеток конъюнктивы, так как основной фокус был направлен на предварительный анализ механических характеристик КМ, рассматриваемых с точки зрения их пригодности для применения в реконструктивных операциях.
В работе С.С. Drechsler и соавт. сравнивали эластичность прессованного коллагена, амниотической мембраны и нативной конъюнктивы, и пришли к выводу, что разница между коллагеновым носителем и конъюнктивой была значительной: прессованный коллаген оказался менее эластичным, в то время как статистически значимой разницы между амниотической мембраной и конъюнктивой почти не было [10].
Результаты нашего исследования показывают, что в сравнении с бульбарной конъюнктивой исследуемая КМ обладает схожей упругостью, но большей твёрдостью, что в перспективе позволит КМ противостоять деформации и сохранять заданную форму. Исследуемая КМ может успешно применяться для устранения дефектов конъюнктивы, а её биомеханические свойства могут подвергаться дальнейшей адаптации под индивидуальные клинические задачи.
Заключение
Тканевая инженерия предлагает множество новых подходов к реконструкции конъюнктивы, многие из которых ещё предстоит оценить в клинической практике. В настоящее время для реконструкции конъюнктивы доступны различного рода материалы, но ни один из них не лишён недостатков. Существует клиническая потребность в создании универсальной замены ткани, особенно для лечения больших по площади дефектов конъюнктивы. При разработке биоматериала для восстановления и регенерации поверженной ткани, в том числе конъюнктивы, необходимо учитывать несколько критериев. К ним относятся максимальная биосовместимость с окружающими тканями с минимальной воспалительной реакцией, возможность адгезии и пролиферации клеток на поверхности трансплантата, а также сходство биомеханических характеристик. В настоящем исследовании показано, что исследуемая КМ обеспечивает необходимые условия для роста ЭКК: культивирование на КМ не вызывает снижения метаболической активности клеток, сохраняются пролиферативная активность и молекулярный репертуар белков ЭКК. Кроме того, биомеханические свойства изготовленной КМ сопоставимы с нативной конъюнктивой, что позволяет данной КМ быть перспективной альтернативой биологической ткани в реконструктивных целях. В перспективе для каждого патогенетически обусловленного случая можно подобрать различные характеристики материала, что обеспечит адаптацию субстрата к уникальным условиям и требованиям терапии.
Дополнительная информация
Вклад авторов. Д.А. Криволапова — обзор литературы, сбор и анализ литературных источников, сбор и обработка материала, подготовка и написание текста, редактирование статьи; А.Ю. Андреев, А.М. Суббот — концепция и дизайн исследования, сбор и обработка материала, редактирование статьи; С.Э. Аветисов, Е.О. Осидак — концепция и дизайн исследования, редактирование статьи; П.Н. Ильина и А.Д. Панова — обработка материала.
Все авторы одобрили рукопись (версию для публикации), а также согласились нести ответственность за все аспекты работы, гарантируя надлежащее рассмотрение и решение вопросов, связанных с точностью и добросовестностью любой её части.
Благодарности. Неприменимо.
Этическая экспертиза. Проведение исследования одобрено локальным этическим комитетом Научно-исследовательского института глазных болезней имени М.М. Краснова (протокол № 46/2 от 08.11.2022).
Источники финансирования. Исследование поддержано грантом Российского научного фонда (№24-15-00387, https://rscf.ru/project/24-15-00387/). Препараты Viscoll с концентрацией коллагена 10 или 30 мг/мл для изготовления коллагеновых мембран предоставлены компанией ООО Фирмы «Имтек».
Раскрытие интересов. А.Ю. Андреев и Е.О. Осидак являются сотрудниками ООО Фирмы «Имтек» (Москва, Россия). Данная работа выполнена в рамках диссертационного исследования Д.А. Криволаповой.
Оригинальность. При создании настоящей работы авторы не использовали ранее опубликованные сведения (текст, иллюстрации, данные).
Доступ к данным. Все данные, полученные в настоящем исследовании, доступны в статье.
Генеративный искусственный интеллект. При создании настоящей статьи технологии генеративного искусственного интеллекта не использовали.
Рассмотрение и рецензирование. Настоящая работа подана в журнал в инициативном порядке и рассмотрена по обычной процедуре. В рецензировании участвовали три члена редакционной коллегии и научный редактор издания.
Additional information
Author contributions: D.A. Krivolapova: investigation, data collection, formal analysis, writing—original draft, writing—review & editing; A.Yu. Andreev, A.M. Subbot: conceptualization, methodology, data collection, formal analysis, writing—review & editing; S.E. Avetisov, E.O. Osidak: conceptualization, methodology, writing—review & editing; P.N. Ilina, A.D. Panova: investigation. All the authors approved the version of the manuscript to be published and agreed to be accountable for all aspects of the work, ensuring that questions related to the accuracy or integrity of any part of the work are appropriately investigated and resolved.
Acknowledgments: Not applicable.
Ethics approval: The study was approved by the local Ethics Committee of the M.M. Krasnov Research Institute of Eye Diseases (Protocol No. 46/2, dated November 8, 2022).
Funding sources: This study was supported by a grant from the Russian Science Foundation (No. 24-15-00387, https://rscf.ru/project/24-15-00387/). Viscoll preparations with collagen concentrations of 10 or 30 mg/mL, used for the fabrication of collagen membranes, were provided by Imtek LLC (Moscow, Russia).
Disclosure of interests: A.Yu. Andreev and E.O. Osidak are employees of Imtek LLC (Moscow, Russia). This study was conducted as part of the thesis research of D.A. Krivolapova.
Statement of originality: No previously published material (text, images, or data) was used in this work.
Data availability statement: All data generated during this study are available in the article.
Generative AI: No generative artificial intelligence technologies were used to prepare this article.
Provenance and peer review: This paper was submitted unsolicited and reviewed following the standard procedure. The review process involved three members of the editorial board, and the in-house scientific editor.
Об авторах
Диана Алексеевна Криволапова
Научно-исследовательский институт глазных болезней имени М.М. Краснова
Автор, ответственный за переписку.
Email: dia.med94@gmail.com
ORCID iD: 0000-0001-6974-7872
SPIN-код: 4861-4771
Россия, Москва
Андрей Юрьевич Андреев
Научно-исследовательский институт глазных болезней имени М.М. Краснова; ООО Фирма «Имтек»; Первый Московский государственный медицинский университет имени И.М. Сеченова (Сеченовский Университет)
Email: docandreev@gmail.com
ORCID iD: 0000-0002-0267-9040
SPIN-код: 6410-7993
канд. мед. наук
Россия, Москва; Москва; МоскваАнастасия Михайловна Суббот
Научно-исследовательский институт глазных болезней имени М.М. Краснова
Email: kletkagb@gmail.com
ORCID iD: 0000-0002-8258-6011
SPIN-код: 3898-2570
канд. мед. наук
Россия, МоскваСергей Эдуардович Аветисов
Научно-исследовательский институт глазных болезней имени М.М. Краснова; Первый Московский государственный медицинский университет имени И.М. Сеченова (Сеченовский Университет)
Email: s.avetisov@niigb.ru
ORCID iD: 0000-0001-7115-4275
SPIN-код: 9784-0459
д-р мед. наук, профессор, академик РАН
Россия, Москва; МоскваЕгор Олегович Осидак
ООО Фирма «Имтек»; Национальный медицинский исследовательский центр детской гематологии, онкологии и иммунологии имени Дмитрия Рогачева
Email: eosidak@gmail.com
ORCID iD: 0000-0003-2549-4011
SPIN-код: 9995-3951
канд. биол. наук
Россия, Москва; МоскваПолина Николаевна Ильина
Научно-исследовательский институт глазных болезней имени М.М. Краснова
Email: polinailina1107@mail.ru
ORCID iD: 0009-0009-7926-7253
Россия, Москва
Анна Дмитриевна Панова
Научно-исследовательский институт глазных болезней имени М.М. Краснова
Email: ainushgnomello@gmail.com
ORCID iD: 0000-0002-9322-6273
Россия, Москва
Список литературы
- Nelson JD, Cameron JD. The conjunctiva: anatomy and physiology. Cornea. 2005;1:39–54.
- Downie LE, Bandlitz S, Bergmanson JPG, et al. CLEAR — Anatomy and physiology of the anterior eye. Cont Lens Anterior Eye. 2021;44(2):132–156. doi: 10.1016/j.clae.2021.02.009 EDN: DZTEPQ
- Gipson IK. Distribution of mucins at the ocular surface. Exp Eye Res. 2004;78(3):379–388. doi: 10.1016/s0014-4835(03)00204-5
- Stewart RM, Sheridan CM, Hiscott PS, et al. Human conjunctival stem cells are predominantly located in the medial canthal and inferior forniceal areas. Invest Ophthalmol Vis Sci. 2015;56(3):2021–2030. doi: 10.1167/iovs.14-16266
- Hatton MP, Rubin PA. Conjunctival regeneration. Adv Biochem Eng Biotechnol. 2005;94:125–140. doi: 10.1007/b100002
- Di Pascuale MA, Espana EM, Liu DT, et al. Correlation of corneal complications with eyelid cicatricial pathologies in patients with Stevens–Johnson syndrome and toxic epidermal necrolysis syndrome. Ophthalmology. 2005;112(5):904–912. doi: 10.1016/j.ophtha.2004.11.035
- Schrader S, Notara M, Beaconsfield M, et al. Tissue engineering for conjunctival reconstruction: established methods and future outlooks. Curr Eye Res. 2009;34(11):913–924. doi: 10.3109/02713680903198045
- Shapiro MS, Friend J, Thoft RA. Corneal re-epithelialization from the conjunctiva. Invest Ophthalmol Vis Sci. 1981;21(1 Pt 1):135–142.
- Makuloluwa AK, Hamill KJ, Rauz S, et al. Biological tissues and components, and synthetic substrates for conjunctival cell transplantation. Ocul Surf. 2021;22:15–26. doi: 10.1016/j.jtos.2021.06.003 EDN: CMBFXA
- Drechsler CC, Kunze A, Kureshi A, et al. Development of a conjunctival tissue substitute on the basis of plastic compressed collagen. J Tissue Eng Regen Med. 2017;11(3):896–904. doi: 10.1002/term.1991
- Zhou H, Lu Q, Guo Q, et al. Vitrified collagen-based conjunctival equivalent for ocular surface reconstruction. Biomaterials. 2014;35(26):7398–7406. doi: 10.1016/j.biomaterials.2014.05.024
- Lu Q, Al-Sheikh O, Elisseeff JH, Grant MP. Biomaterials and tissue engineering strategies for conjunctival reconstruction and dry eye treatment. Middle East Afr J Ophthalmol. 2015;22(4):428–434. doi: 10.4103/0974-9233.167818
- Witt J, Mertsch S, Borrelli M, et al. Decellularised conjunctiva for ocular surface reconstruction. Acta Biomater. 2018;67:259–269. doi: 10.1016/j.actbio.2017.11.054 EDN: WVOTEM
- Andreev AY, Osidak EO, Grigoriev TE, et al. A new collagen scaffold for the improvement of corneal biomechanical properties in a rabbit model. Exp Eye Res. 2021;207:108580. doi: 10.1016/j.exer.2021.108580 EDN: BHUXPJ
- Merjava S, Neuwirth A, Tanzerova M, Jirsova K. The spectrum of cytokeratins expressed in the adult human cornea, limbus and perilimbal conjunctiva. Histol Histopathol. 2011;26(3):323–331. doi: 10.14670/HH-26.323
- Offeddu GS, Ashworth JC, Cameron RE, Oyen ML. Multi-scale mechanical response of freeze-dried collagen scaffolds for tissue engineering applications. J Mech Behav Biomed Mater. 2015;42:19–25. doi: 10.1016/j.jmbbm.2014.10.015
- Ahearne M, Yang Y, El Haj AJ, et al. Characterizing the viscoelastic properties of thin hydrogel-based constructs for tissue engineering applications. J R Soc Interface. 2005;2(5):455–463. doi: 10.1098/rsif.2005.0065
- Dunphy SE, Bratt JA, Akram KM, et al. Hydrogels for lung tissue engineering: Biomechanical properties of thin collagen-elastin constructs. J Mech Behav Biomed Mater. 2014;38:251–259. doi: 10.1016/j.jmbbm.2014.04.005
- Ilari L, Daya SM. Long-term outcomes of keratolimbal allograft for the treatment of severe ocular surface disorders. Ophthalmology. 2002;109(7):1278–1284. doi: 10.1016/s0161-6420(02)01081-3
- Kantor NB, Tovar A, Wang T, Galor A. How does ocular graft-versus-host disease fit under the dry eye umbrella? A review. Clin Exp Ophthalmol. 2024;52(2):167–185. doi: 10.1111/ceo.14347 EDN: SVKPDW
- Adewara B, Singh S. Severe cicatricial entropion repair using mucous membrane graft in Stevens–Johnson syndrome. Indian J Ophthalmol. 2022;70(12):4470. doi: 10.4103/ijo.IJO_1504_22 EDN: ADNWLJ
- Mai C, Bertelmann E. Oral mucosal grafts: old technique in new light. Ophthalmic Res. 2013;50(2):91–98. doi: 10.1159/000351631
- Fernandes M, Sridhar MS, Sangwan VS, Rao GN. Amniotic membrane transplantation for ocular surface reconstruction. Cornea. 2005;24(6):643–653. doi: 10.1097/01.ico.0000151501.80952.c5
- Chen Z, Lao HY, Liang L. Update on the application of amniotic membrane in immune-related ocular surface diseases. Taiwan J Ophthalmol. 2021;11(2):132–140. doi: 10.4103/tjo.tjo_16_21 EDN: VVYYTR
- Zhao H, Qu M, Wang Y, et al. Xenogeneic acellular conjunctiva matrix as a scaffold of tissue-engineered corneal epithelium. PLoS One. 2014;9(11):e111846. doi: 10.1371/journal.pone.0111846
- Chermnykh ES, Kalabusheva EP, Osidak EO, et al. Effect of high-density matrix on human skin dermal cell behavior in 3D constructs. Genes & Cells. 2019;14(3 Suppl.):253–253.
- Kanta J. Collagen matrix as a tool in studying fibroblastic cell behavior. Cell Adh Migr. 2015;9(4):308–316. doi: 10.1080/19336918.2015.1005469
- Dodd NJ, Schor SL, Rushton G. The effects of a collagenous extracellular matrix on fibroblast membrane organization. An ESR Spin Label Study. Exp Cell Res. 1982;141(2):421–431. doi: 10.1016/0014-4827(82)90230-0
- da Rocha-Azevedo B, Grinnell F. Fibroblast morphogenesis on 3D collagen matrices: the balance between cell clustering and cell migration. Exp Cell Res. 2013;319(16):2440–2446. doi: 10.1016/j.yexcr.2013.05.003
- Eidet JR, Dartt DA, Utheim TP. Concise review: comparison of culture membranes used for tissue engineered conjunctival epithelial equivalents. J Funct Biomater. 2015;6(4):1064–1084. doi: 10.3390/jfb6041064
- Gattazzo F, Urciuolo A, Bonaldo P. Extracellular matrix: a dynamic microenvironment for stem cell niche. Biochim Biophys Acta. 2014;1840(8):2506–2519. doi: 10.1016/j.bbagen.2014.01.010
- Akhmanova M, Osidak E, Domogatsky S, et al. Physical, spatial, and molecular aspects of extracellular matrix of in vivo niches and artificial scaffolds relevant to stem cells research. Stem Cells Int. 2015;2015:167025. doi: 10.1155/2015/167025 EDN: UZWXXL
- Engler AJ, Sen S, Sweeney HL, Discher DE. Matrix elasticity directs stem cell lineage specification. Cell. 2006;126(4):677–689. doi: 10.1016/j.cell.2006.06.044 EDN: XTVJIX
- Discher DE, Mooney DJ, Zandstra PW. Growth factors, matrices, and forces combine and control stem cells. Science. 2009;324(5935):1673–1677. doi: 10.1126/science.1171643
- Trappmann B, Gautrot JE, Connelly JT, et al. Extracellular-matrix tethering regulates stem-cell fate. Nat Mater. 2012;11(7):642–649. doi: 10.1038/nmat3339 Erratum in: Nat Mater. 2012;11(8):742.
Дополнительные файлы








