Design of iPSC-based cell model to study the functions of the UBE2A gene
- Authors: Fedorenko A.V.1,2, Khomyakova E.A.1, Surdina A.V.1, Sekretova E.K.1, Limanskaya T.V.1, Belikova L.D.1,3, Volovikov E.A.1,3, Gridina M.M.4, Khabarova A.A.4, Kashevarova A.A.3, Fedotov D.A.3, Zerkalenkova E.A.5, Lagarkova M.A.1, Lebedev I.N.3, Bogomazova A.N.1,3
-
Affiliations:
- Lopukhin Federal Research and Clinical Center of Physical-Chemical Medicine
- Skolkovo Institute of Science and Technology
- Research Institute of Medical Genetics, Tomsk National Research Medical Center, Russian Academy of Sciences
- The Federal Research Center Institute of Cytology and Genetics, Siberian Branch of the Russian Academy of Science
- Dmitry Rogachev National Medical Research Center of Pediatric Hematology, Oncology and Immunology
- Issue: Vol 19, No 2 (2024)
- Pages: 297-313
- Section: Original Study Articles
- URL: https://ogarev-online.ru/2313-1829/article/view/262959
- DOI: https://doi.org/10.17816/gc623799
- ID: 262959
Cite item
Abstract
BACKGROUND: The UBE2A protein belongs to the E2 family of ubiquitin-binding enzymes involved in the ubiquitination of substrate proteins. UBE2A mutations lead to congenital X-linked mental retardation syndrome-type Nascimento. How UBE2A participates in the central nervous system development is still unknown.
AIM: To establish a cell model based on induced pluripotent stem cells (iPSCs) to study the molecular and cellular functions of UBE2A in neurogenesis.
METHODS: Using genomic CRISPR-Cas9 editing and lentiviral transduction, a cell model based on iPSCs from two healthy donors was designed. This cell model includes isogenic iPSCs with knockout and inducible hyperexpression of UBE2A. In addition, iPSCs were obtained by reprogramming peripheral blood mononuclear cells of a patient diagnosed with X-linked mental retardation of Nascimento type, which has a deletion spanning the whole UBE2A locus.
RESULTS: The obtained iPSCs demonstrate an ESC-like morphology. They express pluripotent cell markers OCT4, SOX2, SSEA-4, and TRA-1-81 and have normal karyotypes. iPSCs with UBE2A knockout or hyperexpression had significantly increased nuclei size compared with the isogenic control.
CONCLUSION: The developed iPSC-based cell model can be used for fundamental studies of the functions of UBE2A in neurogenesis.
Full Text
INTRODUCTION
The protein UBE2A, encoded by the X-linked gene by the same name, belongs to the family of E2 ubiquitin-binding enzymes and participates in ubiquitination — the attachment of a short polypeptide of ubiquitin to protein substrates. During the transfer of ubiquitin to protein substrates, UBE2A interacts with several E3 ubiquitin ligases, each of which is involved in various cellular processes. For example, UBE2A interacts with PARKIN ubiquitin ligase during mitophagy [1], with RNF20/RNF40 ubiquitin ligase during transcriptional regulation by histone H2B monoubiquitination [2], and with RAD18 ubiquitin ligase during DNA damage repair by tranlesion DNA synthesis [3]. UBE2A also interacts with the neuro-specific ubiquitin ligase UBR4 [4].
The protein UBE2A is highly conserved, with a 152-amino-acid sequence that is identical in humans, mice, and clawed frogs. Yeast also has a very close homolog, the protein Rad6. The fact that the protein UBE2A is highly conserved indirectly indicates its functional importance. However, its absence is not lethal. Deletions and mutations in the gene UBE2A have been associated with the development of the Nascimento syndrome, a form of X-linked mental retardation that manifests as mental retardation and intellectual disability in carriers [5, 6]. This disease is exceedingly rare; no more than three dozen cases of mental retardation associated with mutations in this gene have been reported [7]. In mothers of Nascimento syndrome patients with pathogenic mutations in the UBE2A gene, there is a skew from random inactivation of X chromosomes to completely nonrandom inactivation of a specific X chromosome in somatic cells [6, 8].
Interestingly, there are also duplications of the locus encompassing the UBE2A gene [7]. Some of the duplications detected in patients are associated with mental retardation, which suggests that a high dose of the gene UBE2A may have a pathogenic effect.
The precise manner by which the UBE2A protein participates in the formation of the central nervous system remains unknown. The complexity of studying the role of this protein in neurogenesis lies, in particular, in the multiplicity of its partners among E3 ubiquitin ligases and the diversity of cellular processes in which it participates. Additionally, the study of the UBE2A protein is complicated by the fact that in mammalian cells there is a homolog of the gene UBE2A, the gene UBE2B, which is located on chromosome 5. The amino acid sequences of proteins encoded by the genes UBE2A and UBE2B are 96% identical in humans [9]. The high degree of sequence similarity raises questions about the functional activity of these proteins. However, the amount of the products of these genes in various organs and tissues is not the same. Additionally, mutations in these genes lead to different phenotypic manifestations [10].
Cell models based on induced pluripotent stem cells (iPSCs) are used to study the molecular mechanisms of inherited diseases in vitro in many modern studies. One of the advantages of iPSCs is that they can be derived from cells of patients with a precisely established diagnosis [11]. Additionally, thanks to genomic editing technology (e.g., CRISPR-Cas9), it is possible to create isogenic iPSC lines differing only by a certain mutation, which allows exclusion of the influence of genetic background. iPSCs can differentiate into various cell types, such as neural cells. They can also be used to obtain three-dimensional cell structures, commonly referred to as organoids, such as brain organoids [12]. Consequently, iPSCs can be used to study developmental pathologies at both cellular and tissue levels [13]. Particularly, iPSCs derived from patients with congenital brain developmental disorders can be differentiated into a neural cell type of interest (e.g., forebrain neurons) for further investigation of the molecular pathogenetic mechanisms underlying these disorders [14].
In this study, we describe two independent isogenic iPSC systems, including iPSCs with knockout and inducible hyperexpression of the gene UBE2A. These cell lines were created from a healthy donor’s iPSCs by genomic CRISPR-Cas9-editing and lentiviral transduction, respectively. Apart from the isogenic cell systems, we obtained a line of iPSCs from peripheral blood lymphocytes of a patient with the Nascimento syndrome, in whom the long arm of the X chromosome has a deletion of 167 Kbp, spanning five genes, including the UBE2A gene [8].
The aim of the study was to create a cell model based on iPSCs to investigate the molecular and cellular functions of the gene UBE2A in neurogenesis.
MATERIALS AND METHODS
Cell culture conditions
The iPSCs were cultured in mTeSR1 medium (STEMCELL Technologies, Canada) with 50 units/mL penicillin-streptomycin (PanEco, Russia) on Matrigel-coated (Corning, USA) Petri dishes at 37 °C in a CO2 incubator in an atmosphere of 5% CO2 and 80% humidity. Cells were passaged using 0.05% trypsin-EDTA (Gibco, USA) and 10 μM ROCK inhibitor Y27632 (Miltenyi Biotec, Germany). Spontaneous differentiation of iPSCs was performed through the stage of embryoid cell formation as described in [15].
HEK 293 and HEK 293 Phoenix cells were cultured in DMEM medium (Gibco) enriched with 10% fetal bovine serum (FBS) (Thermo Fisher Scientific, USA), 2 mM glutamine (PanEco), 50 units/mL penicillin-streptomycin at 37 °C and 5% CO2. The medium was changed every 72 h. Cells were passaged using 0.05% trypsin-EDTA.
The absence of mycoplasma contamination of cell cultures was confirmed by PCR as described in [16].
Genomic CRISPR-Cas9-editing of induced pluripotent stem cells
The online resource CRISPOR [17] was used to design a guide RNA (gRNA) that was complementary to the second exon of the gene UBE2A. Oligonucleotides encoding gRNA (Table 1) were cloned into plasmid PX458 (Addgene, No. 48138), which carries genes encoding the Cas9 nuclease and green fluorescent protein (GFP). Transfection was conducted using the TransIT-LT1 reagent (Mirus Bio, USA) in accordance with the manufacturer’s instructions. GFP-positive cells were sorted using FACS Melody (BD, USA) two days after transfection and seeded at low density in mTeSR1 medium with 10 μM ROCK inhibitor Y27632 and CloneR (STEMCELL Technologies). After 10 days, the iPSCs were seeded into individual wells of a 48-well plate (Corning).
DNA was extracted from selected iPSC clones using the “M-sorb” kit (Syntol, Russia) in accordance with the manufacturer’s instructions. Sanger sequencing was conducted to assess the outcomes of genomic editing. Potential off-target sites of CRISPR-Cas9 genome editing were identified using the Off-Spotter online resource [18]. Subsequently, PCR was conducted with primers (see Table 1) targeting potential non-target editing sites, and the resulting amplicons were sequenced by Sanger sequencing.
Lentiviral transduction of induced pluripotent stem cells
A virus with a tet-ON transactivator (Addgene, cat. No. 43915), a virus with the coding sequence (CDS) of the gene UBE2A, and a virus with GFP LeGO-G2 (Addgene, cat. No. 25917) were used to obtain lentiviruses. The virus with CDS of the gene UBE2A was obtained by transferring the CDS of the UBE2A gene from plasmid pDEST17-Ube2A (Addgene, cat. No. 15780) to plasmid pFU-tet-o-hSox2 (Addgene, cat. No. 19779). HEK 293 Phoenix cells were transfected using Unifectin-56 (Unifect group, Russia) with helper plasmids containing the viral genes Rev, RRE, and VSV-G, and the target plasmid at a ratio of 19:37:7:37%, respectively, according to the manufacturer’s protocol. The supernatant containing viral particles was collected after 48 and 72 h. The supernatant was filtered through a 0.45 μm filter. To determine the titer of lentiviruses, cells were infected with the supernatant containing virus carrying the GFP gene at various dilutions (1:1, 1:5, 1:25, 1:125, 1:625). The titer was calculated by determining the percentage of GFP-positive cells.
One day prior to transduction, iPSCs were seeded at a density of 40,000 cells per cm² on a 12-well plate (Corning). Cells were transduced with two lentiviruses: a transactivator under the control of the tet-ON system and a vector encoding the CDS of the gene UBE2A. The multiplicity of infection (MOI) of both viruses was 10. After 48 h, cells were seeded at a low density. After 10 days, iPSC clones were selected. The presence of the target plasmids in the genome was confirmed by PCR using two primer pairs: one on the CDS fragment of the gene UBE2A and one on the fragment of the tet-ON system cassette (see Table 1).
Table 1. Oligonucleotides used in the study
Role | Gene/Locus | Product size, bp | Direct/reverse primer (5ʹ-3ʹ) |
Reference gene (RT-PCR) | GAPDH | 118 | GAAGGTGAAGGTCGGAGTCA/GTTGAGGTCAATGAAGGGGTC |
Markers of pluripotency | SOX2 | 278 | AACCAGCGCATGGACAGTTAGA/CTTGACCACCGAACCCAT |
SALL4 | 303 | TGGCGGAGAGGGCAAATAACAT/GCTGAAGAACTCCGCACA | |
OCT4 | 887 | CCTTCGCAAGCCCTCATTTCGCA/AGTTTGAGCATCCCTCGC | |
DPPA5 | 331 | AAGATGGGAACTCTCTCCCCGG/CGCAAGTTTGAGCATCCCTCGC | |
LIN28 | 92 | TTCGGCTTCCTGTCCATGAC/CCTTCCATGTGCAGCTTACTC | |
SALL4 | 183 | GTGCTCTTCCAGAGCCCTTT/AACCTTGACATAGGTCGGCG | |
TDGF1 | 98 | GCTGCTTTCCTCAGGCATT/ACGTGCAGACGGTGGTAGTT | |
Mycoplasma detection | 16S рРНК | 705–708 | ACTCCTACGGGAGGCAGCAGTA/TGCACCATCTGTCACTCTGTTAACCTC |
For the synthesis of guide RNA | UBE2A | — | CACCGTCCTCCAGCCGGAGTCA/GCGAAACCGCTGACTCCGGCTGGAGGAC |
For Sanger sequencing | UBE2A | 523 | CGACCCTCGACTTCGGAGAAAC/ATTTTCCCCTACCCGCT |
For CDS transfer of the UBE2A gene | CDS UBE2A | 452–459 | ATGTCCACCCCGGCTCGG/TCAACAATCACGCCAGCTTTGTTCTACTA |
For the analysis of quantitative RT-PCR | мРНК UBE2A | 100 | GACTTCAAGAGGTTGCAGG/CTTCAGGCCCGAAAATGA |
For transactivator integration analysis | FUdelta-rtTA | 133 | AACGCACTGTACGCTCTGTC/CCGCTTTCGCACTTTAGCTG |
For the integration analysis of episomal transgenes | pCE-OCT4 | 106 | CCCTGTCTCTGTCACCACTC/ CACACCAGCCACCACCTTC |
pCE-KLF4 | 131 | ATGCGACCGAGCATTTTCC/ CACACCAGCCACCACCTTC | |
pCE-SOX2 | 107 | CATGTCCCAGCACTACCAGAG/ TTTGTTTGACAGGAGCGACAAT | |
pCE-LIN28 | 113 | AGAAATCCACAGCCCTACCC/ CACACCAGCCACCACCTTC | |
pCE-L-MYC | 122 | GGCTGAGAAGAGGATGGCTAC/ TTTGTTTGACAGGAGCGACAAT | |
pCE-mp53DD | 236 | CGTAAACGCTTCGAGATGTTCC/ CACACCAGCCACCACCTTC | |
EBNA1 | 122 | CGGGGTAGAGGACGTGAAAG/ GGAGACCCGGATGATGATGAC | |
VPS4A | 98 | GGCAACCACTGCTAATCTACTT/ GCCACAAAGGACCACCTATT | |
Verification of the deletion | HEXB | 136 | CCGGGCACAATAGTTGAAGT/ TCCTCCAATCTTGTCCATAGC |
UBE2A | 92 | CAAAGCTGGCGTGATTGTTG/ GGAGTAGGGAGGTGACAAACA | |
SEPTIN6 | 112 | GACACCCTGTTCAACACCAAA/ GCTTTAGCCTCACGTTGCTC | |
Potential off-target effects of editing | SNX11 | 114 | TGGAAAGTCCCACTCTCCCA/CATGATCTCCTCCCACAGCC |
Note: RT-PCR — reverse transcription polymerase chain reaction, CDS — coding sequence.
Lymphocyte reprogramming
After obtaining informed consent of the patient's representative with the Nascimento syndrome, his blood was drawn. Reprogramming of peripheral blood lymphocytes was performed in accordance with the methodology described in [19, 20]. A total of five nonintegrative episomes (Addgene, No. 41813-41814, No. 41855-41857) were introduced into 500,000 peripheral blood mononuclear cells by electroporation using the Neon Transfection System (Thermo Fisher Scientific), yielding a total of 6 μg. In the process of reprogramming and obtaining iPSC clones, cells were cultured in the DMEM/F12 medium containing 20% Knockout serum substitute, 1% GlutaMAX-I, 1% substituted amino acids, 1% penicillin-streptomycin, 0.1 mM β-mercaptoethanol, and 10 ng/mL recombinant bFGF protein (all reagents from Thermo Fisher Scientific) on a feeder cell layer. Selection of the obtained iPSC clones was conducted manually. At the second to fifth passages, iPSCs were transferred to feeder-free conditions: in mTESR1 medium on Matrigel-coated dishes. The integration of episomal vectors into the genome of iPSCs was confirmed at the 12th to 18th passages using quantitative PCR with primers for all introduced transgenes. To confirm deletion, real-time PCR was used, using primers for the genes UBE2A and SEPT6 localized in the deletion region, in addition to control primers for the gene HEXB (see Table 1).
Flow cytometry
The iPSC suspension was prepared using a 0.05% trypsin-EDTA solution. To stain surface markers SSEA-4 and TRA-1-81, the collected cells were incubated with primary antibodies for 15 min at room temperature. To stain the OCT4 nuclear marker, cells were fixed in 4% paraformaldehyde solution (Sigma-Aldrich, USA) for 15 min on ice, before they were treated with 80% cold ethanol for 30 min on ice, and finally incubated with primary labeled antibodies (Table 2) in phosphate-buffered saline (PBS) (PanEco) supplemented with 2% FBS at 4 °C for 60 min. To stain surface markers SSEA-4 and TRA-1-81, samples were incubated with secondary antibodies (Table 3) at 4 °C for 30 min in the dark. Analysis was performed using a NovoCyte flow cytometer (Agilent, USA).
Table 2. Primary antibodies used in the study
Antibody | Manufacturer, cat. No. | RRID |
Rabbit IgG anti-OCT4 | Abcam, ab18976 | RRID:AB_444714 |
Mouse Alexa Fluor 488 anti-Oct4 (Oct3) | Sony Biotechnology, 3868525 | RRID:AB_2940931 |
Rabbit IgG anti-SOX2 | Abcam, ab97959 | RRID:AB_2341193 |
Mouse IgG3 anti-SSEA-4 | DSHB, MC-813-70 | RRID:AB_528477 |
Mouse IgM anti-TRA-1-81 | Cell Signaling Technology, 4745 | RRID:AB_2119060 |
Mouse IgG2b, kappa anti-Tubulin β 3 (TUBB3)/Clone: AMC0115 | ABclonal, A18132 | RRID:AB_2861923 |
Rabbit IgG anti-human HNF3β/FOXA2 | ABclonal, A19053 | RRID:AB_2862546 |
Rabbit IgG anti-human Vimentin/Clone: SP20 | Thermo Fisher, RM-9120-S0 | RRID:AB_722371 |
Mouse IgG1 anti-human cytokeratin PAN (CK PAN) | “PrajmBioMed”, 10-310046 | RRID:AB_2940932 |
Rabbit IgG anti-UBE2A | Thermo Fisher Scientific, PA5-112140 | RRID:AB_2866876 |
Rabbit anti-human TATA binding protein TBP | Abcam, ab63766 | RRID:AB_1281140 |
Table 3. Secondary antibodies used in the study
Antibody | Manufacturer, cat. No. | RRID |
Goat anti-Mouse IgG (H+L) Cross-Adsorbed Secondary Antibody, Alexa Fluor 555 | Thermo Fisher Scientific, A21422 | RRID:AB_2535844 |
Goat anti-Rabbit IgG (H+L) Cross-Adsorbed Secondary Antibody, Alexa Fluor 488 | Thermo Fisher Scientific, A11008 | RRID:AB_143165 |
Goat anti-Mouse IgG (H+L) Highly Cross-Adsorbed Secondary Antibody, Alexa Fluor 647 | Thermo Fisher Scientific, A21236 | RRID:AB_2535805 |
Rabbit anti-Mouse IgG (whole molecule) Peroxidase antibody | Sigma-Aldrich, A9044 | RRID:AB_258431 |
Goat anti-rabbit IgG (whole molecule) Peroxidase antibody | Sigma-Aldrich, A9169 | RRID:AB_258434 |
Immunocytochemical staining
The cells were fixed in a 4% paraformaldehyde solution diluted in PBS for 10 min, before permeabilization in 0.1% Triton X-100 (Sigma-Aldrich) for 10 min. They were then incubated with a blocking solution consisting of PBS, 0.1% Tween 20 (Thermo Fisher Scientific), 2.5% FBS, and 2.5% goat serum (Thermo Fisher Scientific) for 30 min. All procedures were conducted at room temperature. The primary antibodies were incubated with the cells overnight at 4 °C, whereas the secondary fluorescently labeled antibodies were incubated for 30–45 min at room temperature. The nuclei were stained with DAPI (Sigma-Aldrich). The preparations were analyzed on an Eclipse Ni-E fluorescence microscope (Nikon, Japan) equipped with a Qi2 camera (Nikon), and microphotometry was performed using BR NIS-Elements software (Nikon).
Western blotting
Protein lysates were obtained by resuspending cell sediment in a RIPA buffer (50 mM Tris HCl; 150 mM NaCl; 0.5% Sodium deoxylcholate; 0.1% SDS) and incubating it for 1 h at 4 °C. The lysate was then stored at −70 °C. Protein lysates were combined with twofold Lammli buffer (Bio-Rad, USA), incubated for 5 min at 95 °C, and 10 μg of total protein was applied per well of the gel. A 10% polyacrylamide separating gel and a 5% polyacrylamide concentrating gel were prepared and poured under traction. Protein electrophoresis was conducted in a vertical chamber (Bio-Rad) at 100 V in Tris-glycine buffer with SDS. The proteins were transferred from the gel to the PVDF membrane via a Trans-Blot Turbo device (Bio-Rad) for 30 min at 25 V. Subsequently, nonspecific antibody binding was blocked by incubation in 5% skim milk (Bio-Rad) for 16 h at 4 °C (see Table 2). The following day, the membrane was washed with PBST (PBS + 0.1% Tween 20), incubated with horseradish peroxidase-conjugated secondary antibodies for 1 h, before it was washed with PBST solution. Visualization was performed on a ChemiDoc gel-documentation system (Bio-Rad) using ECL Femto-Sensitivity reagents (Invitrogen, USA).
Karyotyping
Karyotyping was performed as described in [14].
RNA isolation and reverse transcription polymerase chain reaction
RNA was isolated using the RNAeasy Mini Kit (QIAGEN, USA). To synthesize complementary DNA (cDNA), degenerate d(N)10 primers (Evrogen, Russia) and the M-MLV reverse transcription kit (Evrogen) were used in accordance with the manufacturer’s instructions. Quantitative RT-PCR (reverse transcription PCR) was performed using specific primers (see Table 1) on a CFX96 Touch amplifier (Bio-Rad). PCR was performed in a total volume of 20 μl, using a 5X qPCRmix-HS SYBR ready mix (Eurogen) and a primer concentration of 500 nM. Each reaction was performed in duplicate.
Ethical review
The study was approved by the Ethics Committee of Lopukhin Federal Research and Clinical Center of Physical-Chemical Medicine of Federal Medical Biological Agency (Protocol No. 1 dated June 1, 2021). The patient’s representative voluntarily signed the informed consent form approved by the Ethical Committee of the Research Institute of Medical Genetics of the Tomsk National Research Medical Center of the Russian Academy of Sciences (Protocol No. 3 dated May 17, 2018).
RESULTS
Creation and validation of a cell model for studying UBE2A gene functions
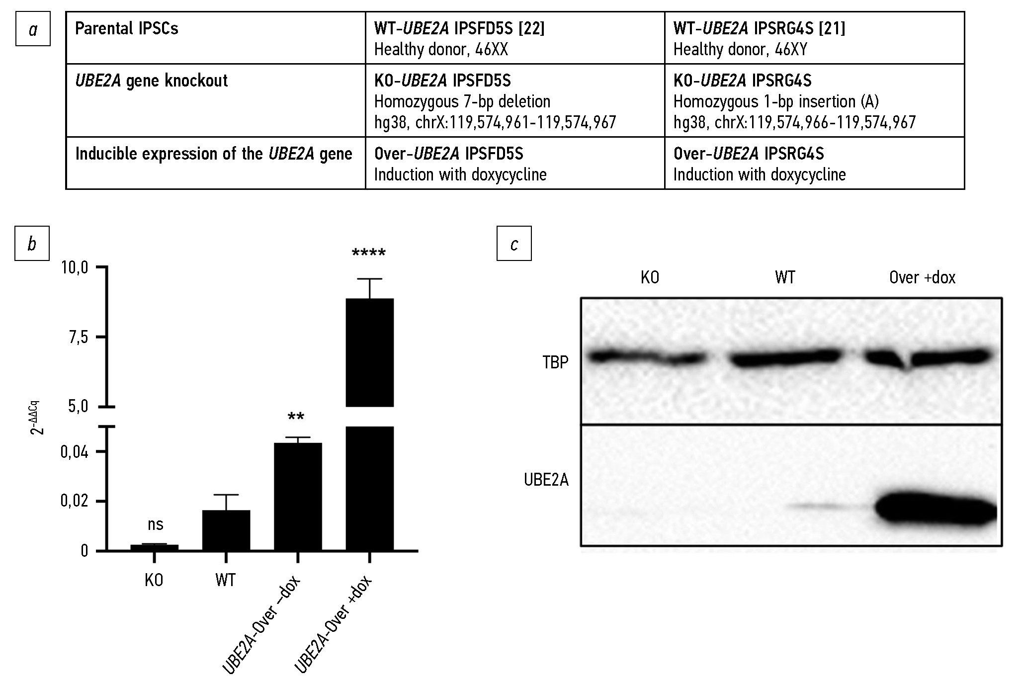
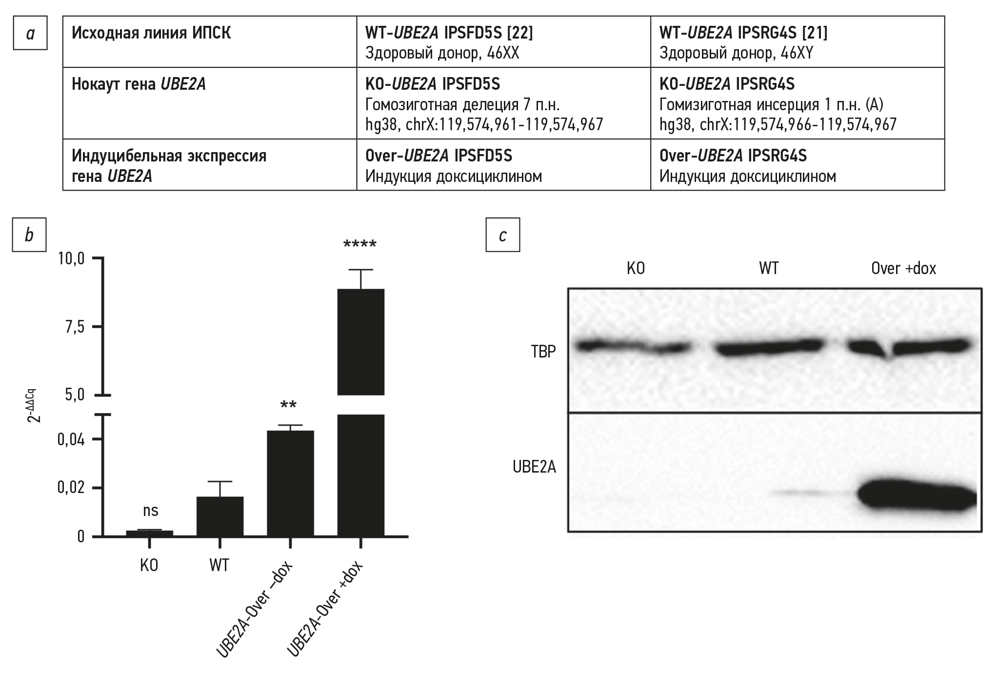
In this study, two isogenic iPSC systems were created, including iPSCs with gene UBE2A knockout and those with inducible hyperexpression of gene UBE2A (Fig. 1, a). This model was created based on two previously obtained iPSC lines reprogrammed from skin fibroblasts of healthy donors. The IPSRG4S (RCPCMi009-A) line, which has a male karyotype [21], and the IPSFD5S line, which has a female karyotype [22], had also been obtained earlier. The IPSRG4S line was obtained as a knockout of the gene UBE2A [14].
Fig. 1. Cell model based on iPSCs of healthy donors for studying UBE2A gene: a — iPSC lines of the cell model; b — validation of the iPSCs derived from IPSFD5S by analysis of UBE2A gene expression; c — validation of the iPSCs derived from IPSFD5S by western blotting with antibodies to UBE2A protein. Here: KO — KO-UBE2A IPSFD5S; WT — WT-UBE2A IPSFD5S; –dox — Over-UBE2A IPSFD5S without doxycycline induction; Over +dox — Over-UBE2A IPSFD5S after doxycycline induction; 2-ΔΔCq — relative expression, calculated with delta-delta Сq algorithm; TBP — TATA binding protein; ** difference with WT is significant, p <0.01; **** difference with WT is significant, p <0.0001; ns — difference with WT in not significant.
An isogenic IPSFD5S iPSC line with a knockout (KO) of the gene UBE2A was obtained from IPSFD5S using genomic CRISPR-Cas9-editing. Genomic CRISPR-Cas9-editing of the IPSFD5S line was performed using gRNA complementary to the sequence of the second exon of the gene UBE2A. The editing resulted in a homozygous 7-bp deletion at the gRNA annealing site. This deletion consequently formed a premature stop codon in the matrix RNA (mRNA), which was then subjected to nonsense-mediated decay. Western blotting (Fig. 1, c) confirmed the absence of UBE2A protein expression in the selected knockout line. The resulting iPSC KO-UBE2A IPSFD5S line retained ESC-like morphology (ESC — embryonic stem cells) and normal karyotype (46, XX). Additionally, this line exhibited expression of pluripotency markers (OCT4, NANOG, TRA-1-81, SSEA-4) and the capacity to differentiate into derivatives of three germ layers (Fig. 2, b–f).
Fig. 2. Characterization of KO-UBE2A IPSFD5S line: a — localization of gRNA used for CRISPR-Cas9 genome editing and the obtained 7 bp deletion in the second exon of the UBE2A gene; b — ESC-like morphology of KO-UBE2A IPSFD5S; c — immunocytochemical staining for pluripotency markers OCT4, NANOG, SSEA-4 AND TRA-1-81, DAPI — blue color, corresponding marker — green or red; d — cytometry analysis for pluripotency markers OCT4, SSEA-4 and TRA-1-81; e — analysis of pluripotency state-specific gene expression in IPSFD5S IPSCs by quantitative RT-PCR; f — differential GTG staining of metaphase chromosomes revealed a normal 46, XX karyotype in KO-UBE2A IPSFD5S line. Ex — exon, RT+ — cDNA synthesis using reverse transcriptase; RT– — cDNA synthesis using no reverse transcriptase; APC-A — allophycocyanin fluorescence, area; FITC-A — fluorescein fluorescence, area. See text for other designations.
Given the pathogenic effect of a high dose of the gene UBE2A, it was decided to supplement the isogenic systems with lines with increased expression of the gene in question. Lentiviral transduction was used to obtain iPSCs with inducible hyperexpression of the gene UBE2A, for which two viruses were collected: one containing the tet-ON transactivator and another containing the CDS of the gene UBE2A. Lentiviral transduction of iPSCs IPSRG4S and IPSFD5S yielded corresponding isogenic iPSC lines with tet-ON-inducible hyperexpression of the gene UBE2A. Quantitative RT-PCR and Western blotting (Fig. 1, b; see Fig. 1, c) confirmed a significant increase in the expression of this gene in response to treatment of cells with doxycycline for 72 h. The lentiviral-transduced iPSCs exhibited a slight increase in UBE2A gene expression even in the absence of doxycycline induction (data not shown). This can be attributed to an imperfect genetic transgenic construct in which the transgene promoter is not completely “silent” in the absence of doxycycline induction. This phenomenon may become even more apparent through multiple transgene insertions during lentiviral transduction.
Generation and characterization of a cell line of induced pluripotent stem cells from a patient with UBE2A gene deletion
For more detailed study of the role of the gene UBE2A in the development of mental retardation, we created the IPSC line IPS67-7 by reprogramming peripheral blood lymphocytes from a patient with X-linked mental retardation of the Nascimento type. In this patient, a hemizygous deletion of 167.5 bp of the long arm of the X chromosome had been previously detected [8]. This deletion resulted in the complete absence of five genes in his genome, including the UBE2A gene (Fig. 3, a).
Fig. 3. Characterization of IPSC line IPS67-7 derived from lymphocytes of a patient with Nascimento syndrome: a — localization of 167.5 Kbp deletion with indication of genes captured by the deletion [8]; b — ESC-like morphology of IPS67-7 colony; c — flow cytometry analysis for pluripotency markers OCT4, SSEA-4 and TRA-1-81 in IPS67-7; d — RT-qPCR analysis for pluripotent gene expression , cDNA of HUES9 ESCs served as a positive control, cDNA of healthy donor fibroblasts was taken as a negative control; e — immunocytochemical staining analysis for pluripotency markers OCT4, SOX2, SSEA-4 AND TRA-1-81, DAPI — blue color, corresponding marker — green or red; The scale bar corresponds to 100 μm; f — immunocytochemical staining analysis of spontaneous differentiation derivatives of IPS67-7. Antibodies to βIII-tubulin (βIII-tubulin) and pancytokeratin (PAN CK) were used to detect ectodermal derivatives, antibodies to vimentin (vimentin) were used to detect mesodermal derivatives, antibodies to FOXA2 (HNF3B) were used to detect entodermal derivatives, DAPI — blue, corresponding marker — green; scale bar — 100 µm; g — differential GTG staining of metaphase chromosomes revealed a normal 46, XY karyotype in IPS67; h — PCR test did not reveal mycoplasma contamination of cells, 67-7 — DNA isolated from IPS67-7 cells, –K — negative control, H2O — PCR technical control, +K — positive control; i — verification of the deletion in IPS67-7 by quantitative PCR with primers for UBE2A and SEPT6 genes. The HEXB gene was used as a reference gene; *** p <0.001; **** p <0.0001. See text for designations.
Transfection with non-integrating episomal plasmid vectors expressing reprogramming factors, including OCT4, MYC, LIN28, SOX2, and KLF4, was performed to obtain iPSCs from lymphocytes of a patient with X-linked mental retardation. Additionally, episomes were engineered to carry genes encoding auxiliary factors that enhance the efficiency of reprogramming, including the EBNA1 protein and the C-terminal fragment of the mouse p53 protein mp53DD [18].
The IPS67-7 iPSC line was characterized to ascertain its pluripotency status. The iPSC cell line exhibited the typical morphology of human pluripotent stem cells (Fig. 3, b) and displayed high proliferative activity. Flow cytofluorometry confirmed the high expression of pluripotency markers, including transcription factor OCT4 and surface markers SSEA-4 and TRA-1-81 (Fig. 3, c). Expression of the pluripotency genes LIN28, SALL4, and TDGF1 was confirmed by quantitative RT-PCR using ESC line HUES9 as a positive control and healthy donor skin fibroblasts as a negative control (Fig. 3, d). Visualization of pluripotency biomarkers (transcription factors OCT4 and SOX2, and surface markers SSEA-4 and TRA-1-81) was performed by immunocytochemical staining (Fig. 3, e). The ability of IPS67-7 cells to form three germ layers (ento, meso- and ectoderm) was confirmed by spontaneous in vitro differentiation to the embryoid cell stage. The resulting differentiated cells expressed biomarkers of ectoderm (pancytokeratin and βIII-tubulin), mesoderm (vimentin) and entoderm (FOXA2) (Fig. 3, f). Karyotype analysis performed at 14th passage showed that the iPSC line obtained had a stable chromosomal composition and a normal karyotype (46, XY) (Fig. 3, g). Quantitative PCR using primers specific for the deleted region of the X chromosome confirmed the presence of the deletion in iPSCs from a patient with the Nascimento syndrome (Fig. 3, i). The resulting iPSCs at passage 18 were tested for the integration of episomes into the genome. This test showed that the genome of the iPSC line contained OCT4, EBNA1, and mp53DD transgenes, and the mp53DD transgene retained a strong expression in the iPSCs at passage 18 (data not shown).
Cell nucleus morphometry in induced pluripotent stem cell lines of the derived model
Immunocytochemical staining of the obtained iPSC lines indicated that the knockout of the UBE2A gene and its overexpression increased the size of cell nuclei (Fig. 4). Morphometric analysis of the obtained iPSC lines revealed a significant increase in the area of nuclei in the modified iPSCs. The most striking effect was observed in the iPSCs with inducible overexpression of the UBE2A gene (Table 4).
Fig. 4. Cell nuclei area in KO-UBE2A IPSFD5S p. 54 (KO) and Over-UBE2A IPSFD5S p. 52 (Over +dox) is significantly larger than in the isogenic normal IPSFD5S p. 46 (WT), ** difference from the normal IPSCs is significant, p <0.01; Student’s t-test; **** difference from the normal IPSCs is significant, p <0.0001, Student’s t-test. Scale bar — 25 μm, histogram whiskers indicate standard error of mean.
Table 4. Results of measurements of nuclei area in the induced pluripotent stem cells of cell model
Induced pluripotent stem cell line | UBE2A gene status | Number of nuclei analysed | Mean nuclei area ± SEM, μm² |
IPSFD5S | Wild type | 2127 | 101,4±0,9 |
KO-UBE2A IPSFD5S | Knockout | 2130 | 148,7±1,3** |
Over-UBE2A IPSFD5S | Overexpression | 10225 | 220,6±0,8**** |
IPSRG4S | Wild type | 1007 | 156,9±2,6 |
KO-UBE2A IPSRG4S | Knockout | 1600 | 188,4±2,5** |
Over-UBE2A IPSRG4S | Overexpression | 2457 | 278,6±1,7**** |
IPS67-6 | Deletion | 282 | 136,7±2,8 |
** differences with isogenic normal induced pluripotent stem cells were statistically significant, p <0.01; Student’s t-test; **** differences with isogenic normal induced pluripotent stem cells were statistically significant, p <0.0001; Student’s t-test.
The increase in the size of nuclei in knockout iPSCs was observed only relative to the isogenic parental iPSCs. For instance, in iPSC IPSFD5S, the average area of nuclei was 101.4±0.9 μm², whereas in the isogenic knockout clone, it was 148.7±1.3 μm², which was lower than in normal male iPSC IPSRG4S (See Table 4). However, in knockout derivatives of male IPSRG4S iPSCs, the average nuclei area was higher than in the parental normal iPSCs, with a value of 188.4±2.5 μm² (See Table 4). The mean area of the nuclei in iPSCs derived from the patient with a UBE2A gene deletion was similar to that of knockout clones of the female FD5S line, with a mean of 136.7±2.8 μm² (See Table 4).
DISCUSSION
The UBE2A protein is highly conserved and its amino acid sequence is identical among vertebrates [5]. Therefore, it can be assumed that there is a high selective pressure against the emergence of new variants of the protein. Additionally, selection, at least at the somatic cell level, can explain the fact that 100% nonrandom inactivation of the X chromosome is observed in blood cells from mothers of patients with the Nascimento syndrome [6, 8]. However, the knockout of this gene is not lethal in mice. Only a homozygous knockout of the gene UBE2A leads to sterility in females [9]. This discrepancy suggests that mutations in the gene UBE2A is non-lethal only in a certain genetic context. The extreme rarity of the Nascimento syndrome is consistent with the assumption that mutations in the gene UBE2A may be non-lethal in a certain genetic context. Furthermore, the effect of the gene UBE2A knockout on the cell nucleus area in iPSCs can only be detected by comparing isogenic cells. The model we have created, which includes two isogenic systems of iPSCs and iPSCs from a patient with the Nascimento syndrome, can be used to study the effect of gene UBE2A dysfunction without influence of genetic background. Moreover, it can be used to demonstrate how the dysfunction of this gene manifests in various genetic environments.
In our study, we reprogrammed blood lymphocytes from a patient with the Nascimento syndrome in a nonintegrative method using episomal transfection [18]. However, the iPSCs that we obtained integrated into the genome of three (OCT4, EBNA1, and mp53DD) out of the seven transgenes that were introduced during reprogramming. The transgene OCT4 encodes the transcription factor OCT4, which is one of the four major reprogramming factors included in the Yamanaka cocktail [23]. The transgene EBNA1 encodes an Epstein–Barr virus EBNA1 protein that promotes extrachromosomal replication by episomes and can also bind the p53 protein and prevent its activity as a transcription factor. The transgene mp53DDD encodes a C-terminal fragment of mouse p53 protein, which has a dominant-negative effect, preventing the formation of functional tetramers of protein p53 [18]. The transgenes EBNA1 and OCT4 do not exhibit expression in iPSCs at passage 18. This suggests that they underwent epigenetic silencing, which is common in exogenous factors upon completion of reprogramming. Residual activity of exogenous reprogramming factors impairs the ability of iPSCs to differentiate [24]. However, our findings demonstrate that the patient’s iPSCs, obtained through our methodology, differentiated into derivatives of all three germ layers. These findings support the conclusion that the OCT4 integrating transgene underwent reliable silencing.
In contrast to observations in EBNA1 and OCT4 transgenes, the anti-apoptotic transgene mp53DD continued expressing in the passaged 18 iPSCs in patient. The fact that human pluripotent stem cells in vitro are predisposed to upregulation of anti-apoptotic genes is well documented. A subsequent cytogenetic analysis of over 120 human ESC lines revealed that a significant proportion of these lines exhibited a recurrent duplication of the 20q11.21 region, which encompasses the anti-apoptotic gene BCL2L1 [25]. The integration of the transgene mp53DD and the preservation of its expression even in advanced passages of iPSCs indicate that it is impossible to use the obtained iPSC line IPS67-7 in studies investigating apoptosis or cytotoxicity. Nevertheless, this iPSC line passed all tests for pluripotency, including the ability to differentiate into derivatives of three germ layers, and thus can be used as an addition to our isogenic system created on the basis of iPSCs from two healthy donors.
Quantitative RT-PCR indicated that the knockout of the gene UBE2A resulted in a minimal reduction in the quantity of UBE2A mRNA. The knockout in iPSCs was validated through Western blotting with antibodies directed against the UBE2A protein. The Human Proteome Atlas database [26] indicates that commercially available antibodies lack sufficient specificity for UBE2A protein due to cross-reactivity with its highly similar homolog, the UBE2B protein. This suggests that the successful validation of knockout in our work was possible due to the lower expression of the UBE2B protein than protein UBE2A in iPSCs. However, the cross-reactivity of antibodies precludes the application of western blotting or immunocytochemical staining in differentiated neural progenitor cells, where the used antibodies to UBE2A “recognized” a protein product even in patient cells in the complete absence of the UBE2A gene locus (data not shown). The cell model generated by our laboratory, which includes iPSCs with a deletion and overexpression of the gene UBE2A, can serve as a reliable validation platform for the development of antibodies that are specific to UBE2A and do not cross-react with UBE2B.
Our findings indicate that iPSCs with knockout or hyperexpression of the gene UBE2A exhibit a larger mean area of nuclei than the parental iPSC line. An abnormal increase in cell nuclei has been previously demonstrated for cells with overexpression of the gene UBE2B, which has high homology with the gene UBE2A [27]. The observed increase in the mean nucleus area in the cell population can be attributed to several factors, including an increase in the proportion of cells at the G2 stage, cell flattening due to increased cell adhesion, and alterations in the dynamics of nuclear-cytoplasmic transport.
CONCLUSIONS
In this study, we constructed a cell model based on iPSCs to investigate the role of the UBE2A gene in the pathogenesis of the Nascimento syndrome. This model comprised two isogenic cell systems, derived from two healthy donors, each consisting of iPSCs with knockout of the gene UBE2A, iPSCs with inducible overexpression of the gene UBE2A, and normal parental iPSCs. The model was supplemented with a line of iPSCs from a patient with the Nascimento syndrome caused by deletion of the X chromosome region containing the gene UBE2A. This model was used for the first time to demonstrate that both knockout and overexpression of the gene UBE2A result in a significantly higher mean area of nuclei in iPSCs than in the isogenic control. Additionally, our findings indicate that the morphological effect of UBE2A gene knockout in iPSCs can only be detected in an isogenic context. These findings suggest that genetic background plays a significant role in the manifestation of mutations in the gene UBE2A. The model can be used for fundamental studies of UBE2A gene functions, including its molecular and cellular functions in neurogenesis. Furthermore, the model can be used to generate antibodies that are specific to the UBE2A protein and not cross-reactive to the homologous UBE2B protein.
ADDITIONAL INFORMATION
Acknowledgments. We are grateful to the Center for High-Precision Genome Editing and Genetic Technologies for Biomedicine of the Lopukhin Federal Research and Clinical Center of Physical-Chemical Medicine for assistance in Sanger sequencing.
Funding source. This work was supported by the Russian Scientific Foundation (grant N 21-65-00017).
Competing interests. The authors declare that they have no competing interests.
Authors’ contribution. E.A. Khomyakova and A.V. Fedorenko performed the cultivation and genetic modification of iPSCs and their characterization; M.A. Gridina and A.A. Khabarova obtained iPSCs from a patient with Nascimento syndrome; A.A. Kashevarova, D.A. Fedotov, and T.V. Limanskaya characterized the iPSCs of the patient; A.V. Surdina and L.D. Belikova analyzed the expression of pluripotency markers by immunocytochemical staining and flow cytometry, respectively; E.A. Volovikov and E.K. Sekretova performed western blotting; E.A. Zerkalenkova analyzed the karyotype of IPSC lines; M.A. Lagarkova, I.N. Lebedev, and A.N. Bogomazova developed the design of the experiment, analyzed the obtained data, and participated in writing the article.
About the authors
Alisa V. Fedorenko
Lopukhin Federal Research and Clinical Center of Physical-Chemical Medicine; Skolkovo Institute of Science and Technology
Email: afedorenko00@gmail.com
ORCID iD: 0009-0008-1090-2477
Russian Federation, Moscow; Moscow
Ekaterina A. Khomyakova
Lopukhin Federal Research and Clinical Center of Physical-Chemical Medicine
Email: kate.hom@gmail.com
ORCID iD: 0000-0001-5387-5554
SPIN-code: 1573-1381
Russian Federation, Moscow
Anastasia V. Surdina
Lopukhin Federal Research and Clinical Center of Physical-Chemical Medicine
Email: asya.surdina@gmail.com
ORCID iD: 0000-0002-5484-2049
SPIN-code: 5261-7407
Cand. Sci. (Biology)
Russian Federation, MoscowElizaveta K. Sekretova
Lopukhin Federal Research and Clinical Center of Physical-Chemical Medicine
Email: Sekretova.1999@mail.ru
ORCID iD: 0000-0001-7859-920X
SPIN-code: 4618-0793
Russian Federation, Moscow
Tatiana V. Limanskaya
Lopukhin Federal Research and Clinical Center of Physical-Chemical Medicine
Email: perunat@bk.ru
ORCID iD: 0009-0001-9177-2342
SPIN-code: 1443-7747
Russian Federation, Moscow
Lilia D. Belikova
Lopukhin Federal Research and Clinical Center of Physical-Chemical Medicine; Research Institute of Medical Genetics, Tomsk National Research Medical Center, Russian Academy of Sciences
Email: shuvalova_l@inbox.ru
ORCID iD: 0000-0003-0887-3415
SPIN-code: 2949-7522
Russian Federation, Moscow; Tomsk
Egor A. Volovikov
Lopukhin Federal Research and Clinical Center of Physical-Chemical Medicine; Research Institute of Medical Genetics, Tomsk National Research Medical Center, Russian Academy of Sciences
Email: volovikovea@gmail.com
ORCID iD: 0000-0002-0346-6194
SPIN-code: 7413-0278
Russian Federation, Moscow; Tomsk
Maria M. Gridina
The Federal Research Center Institute of Cytology and Genetics, Siberian Branch of the Russian Academy of Science
Email: gridina@bionet.nsc.ru
ORCID iD: 0000-0002-7972-5949
SPIN-code: 4251-8865
Cand. Sci. (Biology)
Russian Federation, NovosibirskAnna A. Khabarova
The Federal Research Center Institute of Cytology and Genetics, Siberian Branch of the Russian Academy of Science
Email: khabarova@bionet.nsc.ru
ORCID iD: 0000-0002-9425-9763
SPIN-code: 7440-7804
Cand. Sci. (Biology)
Russian Federation, NovosibirskAnna A. Kashevarova
Research Institute of Medical Genetics, Tomsk National Research Medical Center, Russian Academy of Sciences
Email: anna.kashevarova@medgenetics.ru
ORCID iD: 0000-0002-0716-4302
SPIN-code: 2161-4386
Cand. Sci. (Biology)
Russian Federation, TomskDmitry A. Fedotov
Research Institute of Medical Genetics, Tomsk National Research Medical Center, Russian Academy of Sciences
Email: dmitry.fedotov@medgenetics.ru
ORCID iD: 0000-0002-0295-3230
SPIN-code: 2631-6989
Russian Federation, Tomsk
Elena A. Zerkalenkova
Dmitry Rogachev National Medical Research Center of Pediatric Hematology, Oncology and Immunology
Email: eazerkalenkova@gmail.com
ORCID iD: 0000-0001-9634-5828
SPIN-code: 4866-1393
Cand. Sci. (Biology)
Russian Federation, MoscowMaria A. Lagarkova
Lopukhin Federal Research and Clinical Center of Physical-Chemical Medicine
Email: lagar@rcpcm.org
ORCID iD: 0000-0001-9594-1134
SPIN-code: 4315-1701
Dr. Sci. (Biology), Corresponding Member of the Russian Academy of Sciences
Russian Federation, MoscowIgor N. Lebedev
Research Institute of Medical Genetics, Tomsk National Research Medical Center, Russian Academy of Sciences
Email: igor.lebedev@medgenetics.ru
ORCID iD: 0000-0002-0482-8046
SPIN-code: 5312-9250
Dr. Sci. (Biology), Professor of the Russian Academy of Sciences
Russian Federation, TomskAlexandra N. Bogomazova
Lopukhin Federal Research and Clinical Center of Physical-Chemical Medicine; Research Institute of Medical Genetics, Tomsk National Research Medical Center, Russian Academy of Sciences
Author for correspondence.
Email: abogomazova@rcpcm.org
ORCID iD: 0000-0003-1549-1984
SPIN-code: 8093-8009
Cand. Sci. (Biology), Associate Professor
Russian Federation, Moscow; TomskReferences
- Haddad DM, Vilain S, Vos M, et al. Mutations in the intellectual disability gene Ube2a cause neuronal dysfunction and impair parkin-dependent mitophagy. Mol Cell. 2013;50(6):831–843. doi: 10.1016/j.molcel.2013.04.012
- Fu J, Liao L, Balaji KS, et al. Epigenetic modification and a role for the E3 ligase RNF40 in cancer development and metastasis. Oncogene. 2021;40(3):465–474. doi: 10.1038/s41388-020-01556-w
- Yamada T, Imamachi N, Imamura K, et al. Systematic analysis of targets of pumilio-mediated mRNA decay reveals that PUM1 repression by DNA damage activates translesion synthesis. Cell Rep. 2020;31(5):107542. doi: 10.1016/j.celrep.2020.107542
- Barnsby-Greer L, Mabbitt PD, Dery MA, et al. An atypical E3 ligase module in UBR4 mediates destabilization of N-degron substrates. bioRxiv. 2023. doi: 10.1101/2023.05.08.539884
- Nascimento RM, Otto PA, de Brouwer AP, Vianna-Morgante AM. UBE2A, which encodes a ubiquitin-conjugating enzyme, is mutated in a novel X-linked mental retardation syndrome. Am J Hum Genet. 2006;79(3):549–555. doi: 10.1086/507047
- Czeschik JC, Bauer P, Buiting K, et al. X-linked intellectual disability type Nascimento is a clinically distinct, probably underdiagnosed entity. Orphanet J Rare Dis. 2013;8:146. doi: 10.1186/1750-1172-8-146
- Kopanos C, Tsiolkas V, Kouris A, et al. VarSome: the human genomic variant search engine. Bioinformatics. 2019;35(11):1978–1980. doi: 10.1093/bioinformatics/bty897
- Tolmacheva EN, Kashevarova AA, Nazarenko LP, et al. Delineation of clinical manifestations of the inherited Xq24 microdeletion segregating with sXCI in mothers: two novel cases with distinct phenotypes ranging from UBE2A deficiency syndrome to recurrent pregnancy loss. Cytogenet Genome Res. 2020;160(5):245–254. doi: 10.1159/000508050
- Roest HP, Baarends WM, de Wit J, et al. The ubiquitin-conjugating DNA repair enzyme HR6A is a maternal factor essential for early embryonic development in mice. Mol Cell Biol. 2004;24(12):5485–5495. doi: 10.1128/MCB.24.12.5485-5495.2004
- Foglizzo M, Day CL. E2 enzymes: lessons in ubiquitin transfer from XLID patients. Nat Chem Biol. 2019;15(1):6–7. doi: 10.1038/s41589-018-0191-4
- Park IH, Arora N, Huo H, et al. Disease-specific induced pluripotent stem cells. Cell. 2008;134(5):877–886. doi: 10.1016/j.cell.2008.07.041
- Eremeev AV, Lebedeva OS, Bogomiakova ME, et al. Cerebral organoids-challenges to establish a brain prototype. Cells. 2021;10(7):1790. doi: 10.3390/cells10071790
- Crook JM, Wallace G, Tomaskovic-Crook E. The potential of induced pluripotent stem cells in models of neurological disorders: implications on future therapy. Expert Rev Neurother. 2015;15(3):295–304. doi: 10.1586/14737175.2015.1013096
- Deshpande A, Yadav S, Dao DQ, et al. Cellular phenotypes in human iPSC-derived neurons from a genetic model of autism spectrum disorder. Cell Rep. 2017;21(10):2678–2687. doi: 10.1016/j.celrep.2017.11.037
- Khomyakova EA, Fedorenko AV, Surdina AV, et al. Derivation of induced pluripotent stem cells line (RCPCMI009-A-1) with knockout of the UBE2A gene by CRISPR/CAS9 genome editing. Ontogenez. 2024. (In press). doi: 10.31857/S0475145023060046
- van Kuppeveld FJ, van der Logt JT, Angulo AF, et al. Genus- and species-specific identification of mycoplasmas by 16S rRNA amplification. Appl Environ Microbiol. 1992;58(8):2606–2615. Corrected and republished from: Appl Environ Microbiol. 1993;59(2):655. doi: 10.1128/aem.58.8.2606-2615.1992
- Concordet JP, Haeussler M. CRISPOR: intuitive guide selection for CRISPR/Cas9 genome editing experiments and screens. Nucleic Acids Res. 2018;46(W1):W242–W245. doi: 10.1093/nar/gky354
- Pliatsika V, Rigoutsos I. “Off-Spotter”: very fast and exhaustive enumeration of genomic lookalikes for designing CRISPR/Cas guide RNAs. Biol Direct. 2015;10:4. doi: 10.1186/s13062-015-0035-z
- Okita K, Yamakawa T, Matsumura Y, et al. An efficient nonviral method to generate integration-free human-induced pluripotent stem cells from cord blood and peripheral blood cells. Stem Cells. 2013;31(3):458–466. doi: 10.1002/stem.1293
- Gridina MM, Nurislamov AR, Minina JM, et al. Generation of iPS cell line (ICGi040-A) from skin fibroblasts of a patient with ring small supernumerary marker chromosome 4. Stem Cell Res. 2022;61:102740. doi: 10.1016/j.scr.2022.102740
- Holmqvist S, Lehtonen Š, Chumarina M, et al. Creation of a library of induced pluripotent stem cells from Parkinsonian patients. NPJ Parkinsons Dis. 2016;2:16009. doi: 10.1038/npjparkd.2016.9
- Benedetti MC, D’Andrea T, Colantoni A, et al. Cortical neurons obtained from patients-derived GNAO1 iPSCs show altered differentiation and functional properties. bioRxiv. 2023. doi: 10.1101/2023.06.15.545051
- Shi Y, Inoue H, Wu JC, Yamanaka S. Induced pluripotent stem cell technology: a decade of progress. Nat Rev Drug Discov. 2017;16(2):115–130. doi: 10.1038/nrd.2016.245
- Ramos-Mejía V, Montes R, Bueno C, et al. Residual expression of the reprogramming factors prevents differentiation of iPSC generated from human fibroblasts and cord blood CD34+ progenitors. PLoS One. 2012;7(4):e35824. doi: 10.1371/journal.pone.0035824
- International Stem Cell Initiative; Amps K, Andrews PW, et al. Screening ethnically diverse human embryonic stem cells identifies a chromosome 20 minimal amplicon conferring growth advantage. Nat Biotechnol. 2011;29(12):1132–1144. doi: 10.1038/nbt.2051
- Uhlén M, Bjorling E, Agaton C, et al. A human protein atlas for normal and cancer tissues based on antibody proteomics. Mol Cell Proteomics. 2005;4(12):1920–1932. doi: 10.1074/mcp.M500279-MCP200
- Shekhar MP, Lyakhovich A, Visscher DW, et al. Rad6 overexpression induces multinucleation, centrosome amplification, abnormal mitosis, aneuploidy, and transformation. Cancer Res. 2002;62(7):2115–2124.
Supplementary files





