The diagnostic value of cytoplasmic expression of the transcription factor Oct4 in neuroendocrine tumors
- Authors: Gurevich L.E.1, Ilovayskaya I.A.1, Lugovskaya A.Y.1, Markarova E.V.1, Kogoniya L.M.1, Setdikova G.R.1, Tyurina V.M.1, Yakovenko I.P.1
-
Affiliations:
- Moscow Regional Research and Clinical Institute (MONIKI)
- Issue: Vol 53, No 4 (2025)
- Pages: 169-179
- Section: ARTICLES
- URL: https://ogarev-online.ru/2072-0505/article/view/356849
- DOI: https://doi.org/10.18786/2072-0505-2025-53-017
- ID: 356849
Cite item
Full Text
Abstract
Background: The transcription factor Oct4 plays an important role in tumor progression; however, it has not been adequately studied in neuroendocrine neoplasms. Its impact on the differentiation, functional activity of neuroendocrine cells and mechanisms of neurosecretory granule formation remains unclear.
Aim: To evaluate the diagnostic value of the qualitative and quantitative determination of the transcription factor Oct4 cytoplasmic expression in neuroendocrine tumors (NETs) of various localizations, hormonal activity, and grade.
Methods: In this single-center observational cross-sectional comparative two-sample study we analyzed the Oct4 expression in primary and metastatic NETs in tumor samples from 257 patients (243 with NETs and 14 with other tumor types) who were followed up or consulted at Moscow Regional Research and Clinical Institute (MONIKI) from 2000 to 2025. Tissue samples of tumors obtained during surgery or biopsy, as well as samples of unaffected NET-adjacent mucosa of the small intestine, colon and rectum, stomach, pancreatic islets and adrenal medullaries were examined. The Oct4 expression was assessed by immunohistochemistry with anti-Oct4 monoclonal antibodies (MRQ-10, RTU). A positive result was an intensive and even cytoplasmatic reaction in most tumor cells scored as 3+ if 90 to 100% cells were stained and 2+ if 50 to 89% cells were stained. A negative result for the expression looked as mild cytoplasmatic staining or focal reaction in cytoplasm of some tumor cells (1+) or complete absence of staining (0).
Results: Oct4 expression was present in 181 epithelial NETs of various locations and functional activities (56 bronchopulmonary, 7 thymus / mediastinum, 33 pancreas, 45 stomach, 32 intestine, 4 kidneys and 4 Merkel cell carcinomas), in 62 non-epithelial NETs (54 adrenal pheochromocytomas and 8 extra-adrenal paragangliomas), and in 14 non-neuroendocrine tumors. There were 135 low-grade (LG) NETs and 44 high-grade (HG) neuroendocrine carcinomas (22 small cell and 22 large cell). Positive (2+/3+) Oct4 cytoplasmatic staining was found in 100% of LG ECL- and EC-cell NETs of the stomach, small intestine, and appendix + colon (32/32, 20/20, and 4/4, respectively), 98.1% (53/54) of adrenal pheochromocytomas, 51.4% (18/35) of lung carcinoids, 40% (2/5) of thymus/mediastinum, and 24.5% (8/33) of pancreatic NETs. The highest Oct4 expression (3+) was detected in total (100%) of LG NETs of the small intestine (20/20) and appendix + colon (4/4), 90.6% (29/32) of the stomach, 75.4% (41/54) of adrenal pheochromocytomas (41/54), 22.8% (8/35) of lung carcinoids, 20% (1/5) of thymus / mediastinum, 62.5% (3/8) of extra-adrenal paragangliomas, and in none of pancreatic NETs. The highest Oct4 expression (3+) was found in 2 of 11 pheochromocytomas with increased metastatic potential, compared to 41 of 42 those with low metastatic potential. All NETs of the kidneys (4/4) and rectum (5/5), gastrinomas and somatostatinomas of the pancreas (3/3 and 2/2, respectively), 1 oncocytic pheochromocytoma (1.8%), 62.5% (5/8) of extra-adrenal paragangliomas and all tumors without neuroendocrine differentiation (100%, 14/14) were negative for Oct4. Positive Oct4 expression was observed significantly more frequent in functionally active NETs than in functionally inactive ones (67.4% vs 40.6%, respectively, odds ratio (OR) 3.03, 95% confidence interval (CI) 1.47 to 6.25, p = 0.003), and in well-differentiated NETs compared with neuroendocrine carcinomas (60.6% vs 6.8%, OR 21.01, 95% CI 6.19 to 71.25; p < 0.001). Positive cytoplasmic expression of Oct4 with a high specificity of 94.83% and sensitivity of 60.58% is a marker of well-differentiated NETs. The predictive value of positive cytoplasmic expression of Oct4 in the diagnosis of well-differentiated NETs is 96.51%.
Conclusion: The maximal Oct4 expression was found in the cytoplasm of EC- and ECL-cell of well-differentiated NETs of the gastrointestinal tract, as well as in adrenal pheochromocytomas and their normal cell counterparts. Positive cytoplasmic expression of Oct4 was a highly specific marker of well-differentiated NETs with possible hormonal activity. The specificity of Oct4 expression in various NETs could be used for the development of new individuated approaches to their diagnosis and therapy.
Full Text
Одна из концепций прогрессирования злокачественных заболеваний предполагает, что этот процесс может зависеть от небольшой субпопуляции раковых стволовых клеток, обладающих полипотентными свойствами и высоким потенциалом самообновления. S. Yamanaka и соавт. на экспериментальной модели показали, что соматические высокодифференцированные клетки могут приобрести свойства, аналогичные свойствам плюрипотентных стволовых клеток, при индукции экспрессии 4 ключевых транскрипционных факторов: Oct4, SOX2, KLF4 и c-MYC [1, 2]. При внутриклеточном введении этих факторов, которые позже получили название «коктейль Яманаки», исследователи впервые смогли наблюдать такую трансформацию соматических клеток и назвали их «индуцированные полипотентные стволовые клетки». С тех пор индуцированные полипотентные стволовые клетки были получены из широкого спектра органов и тканей, что свидетельствует об универсальном молекулярном механизме изменения клеточных свойств [3, 4].
Среди указанных транскрипционных факторов Oct4 (октамер-связывающий фактор транскрипции 4) – член группы кодируемых геном Pou5f18 факторов транскрипции домена Pit-Oct-Unc – играет решающую роль [5]. Он участвует в процессах эмбриогенеза, поддержания пула стволовых клеток, роста опухолей и их метастазирования [5–7]. В эмбриональных стволовых клетках человека на стадии бластомера и в гемопоэтических стволовых клетках Oct4 присутствует в цитоплазме, при дальнейшей дифференцировке клеток эмбриона Oct4 экспрессируется в ядре [8].
Цитоплазматическая экспрессия Oct4 является маркером клеток нейроэндокринного происхождения. Впервые на этот феномен обратили внимание R.E. Alexander и соавт. в процессе изучения опухолей эмбрионального происхождения и опухолей с нейроэндокринной дифференцировкой [9, 10]. Они также высказали интересное предположение о том, что особенности локализации Oct4 в клетках могут быть важным индикатором популяций клеток, находящихся как на ранней, так и на поздней стадии их дифференцировки.
Позже локализация Oct4 была названа «индикатором иерархии стволовых клеток» ранней или поздней стадии [8]. Эта гипотеза объясняет ядерную или цитоплазматическую локализацию этого фактора в клетках опухолей различного гистогенеза и степени злокачественности. В большинстве исследований при различных онкологических заболеваниях была показана положительная взаимосвязь между повышенной экспрессией Oct4 и химиорезистентностью и, наоборот, отрицательная корреляция между экспрессией Oct4 и клиническим прогнозом [6]. Однако есть и противоположные данные – о снижении экспрессии Oct4 (например, при колоректальном раке) [11]. Влияние данного фактора на дифференцировку, функциональную активность клеток нейроэндокринных опухолей (НЭО) и механизмы формирования нейросекреторных гранул остается неясным.
Целью настоящей работы было изучение качественной и количественной цитоплазматической экспрессии фактора транскрипции Oct4 в НЭО различной локализации, гормональной активности и степени злокачественности для оценки ее возможной диагностической значимости.
Материал и методы
Проведено одноцентровое наблюдательное поперечное двухвыборочное сравнительное исследование. В анализ включены медицинские данные 257 пациентов (243 пациента с НЭО и 14 пациентов с не нейроэндокринными опухолями), наблюдавшихся в ГБУЗ МО МОНИКИ им. М.Ф. Владимирского или в различных медицинских центрах России и обратившихся за экспертной консультацией в ГБУЗ МО МОНИКИ им. М.Ф. Владимирского. В патологоанатомическом отделении ГБУЗ МО МОНИКИ им. М.Ф. Владимирского за период с 2000 по 2025 г. были исследованы тканевые образцы операционных и диагностических биопсий опухолей, а также неизмененных участков окружающих НЭО слизистых оболочек тонкой, толстой и прямой кишки, желудка, эндокринных островков поджелудочной железы и медуллярного слоя надпочечников.
Протокол исследования одобрен независимым комитетом по этике при ГБУЗ МО МОНИКИ им. М.Ф. Владимирского (протокол заседания № 6 от 17.06.2021).
Критериями включения в исследование были ранее установленный гистологический диагноз типа опухоли, уточненный иммуногистохимическим методом; для НЭО – известная градация опухоли в соответствии с международной унифицированной классификацией [12]; для феохромоцитом – данные о метастатическом потенциале, который определялся как высокий при наличии метастазов или по сумме баллов выше отрезной точки в соответствии со шкалами, принятыми для оценки метастатического потенциала этих опухолей (шкала оценки феохромоцитомы надпочечников (англ. Pheochromocytoma of the Adrenal Gland Scaled Score, PASS), система стадирования для феохромоцитомы и параганглиомы надпочечника (англ. Grading System for Adrenal Pheochorocytoma and Paraganglioma, GAPP), прогностическая шкала композитной феохромоцитомы / параганглиомы (англ. Composite Pheochromocytoma / Paraganglioma Prognostic Score, COPPS)).
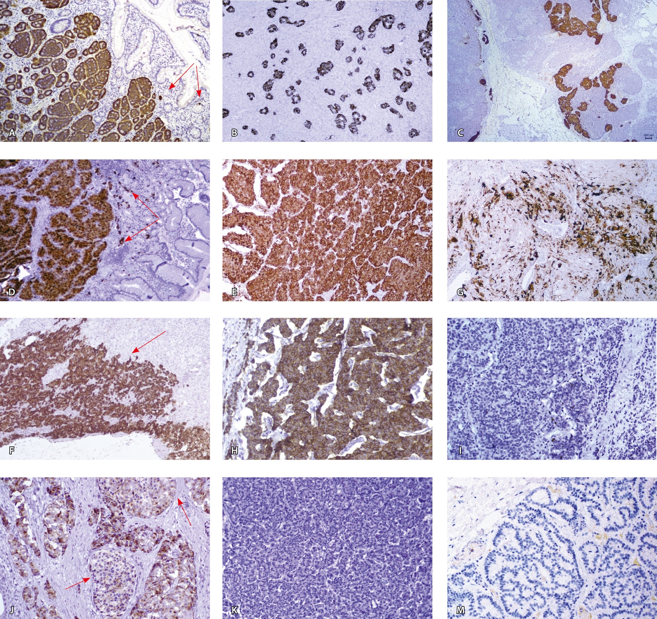
Морфологическое исследование включало гистологический и иммуногистохимический методы. Ткани фиксировали в 10% растворе формалина, заливали в парафин, серийные срезы толщиной 3–5 мкм депарафинировали по стандартным протоколам и окрашивали гематоксилином и эозином. Для иммуногистохимического исследования серийные срезы толщиной 3–5 мкм наносили на предметные стекла с адгезивным покрытием, реакцию проводили с помощью автоматической системы Ventana Benech Ultra (Roche, Швейцария) по стандартному протоколу. Использовали антитела к Oct4 (клон MRQ-10, RTU, Cell Marque, США). Положительной считали интенсивную и равномерную цитоплазматическую реакцию в большинстве опухолевых клеток, которая оценивалась как 3+ при окрашивании 90–100% клеток в исследуемом образце и 2+ при окрашивании 50–89% клеток (рис. 1 А–Д, Ж, З, К; 3А). Отрицательной считали слабое окрашивание цитоплазмы или очаговую реакцию в цитоплазме отдельных опухолевых клеток (1+) и ее полное отсутствие (0) (рис. 1 И, Л, М; 3Б).
Рис. 1. Интенсивная цитоплазматическая экспрессия Oct4 (3+) в серотонин-продуцирующей нейроэндокринной опухоли (НЭО) подвздошной кишки Grade 1 (А, увеличение ×125), метастазах в яичнике (Б, увеличение ×125) и лимфатическом узле шеи (В, увеличение ×40). Интенсивная экспрессия Oct4 (3+) в высокодифференцированной НЭО желудка и в эндокринных клетках окружающей слизистой (показано стрелками) (Г, увеличение ×125). Интенсивная экспрессия Oct4 (3+) в феохромоцитоме с низким потенциалом метастазирования (Д, увеличение ×125) и в клетках медуллярного слоя надпочечников (Ж, увеличение ×125), неравномерная экспрессия Oct4 с наличием больших полей, где экспрессия очаговая или отсуствует, в феохромоцитоме с высоким метастатическим потенциалом (Е, увеличение ×125). Интенсивная экспрессия Oct4 (3+) в клетках атипичного карциноида легкого (З, увеличение ×250). Негативная реакция с Oct4 в клетках типичного карциноида легкого (И, увеличение ×125). Умеренно выраженная неравномерная экспрессия Oct4 (2+) в клетках инсулиномы поджелудочной железы и слабая очаговая экспрессия (1+) в клетках эндокринного островка (показано стрелками) (К, увеличение ×250). Негативная реакция в клетках нефункционирующей глюкагон-продуцирующей НЭО поджелудочной железы (Л, увеличение ×125) и в высокодифференцированной НЭО прямой кишки (М, увеличение ×125)
Статистический анализ проводили с помощью программы Statistica, версия 12.0. Нормальность распределения количественных признаков устанавливали методом Шапиро – Уилка. В анализе использовали статистические методы для непараметрического распределения данных. Количественные показатели представлены в виде медианы с интерквартильным размахом (Ме [25-й; 75-й процентили]). С целью определения статистической значимости качественных признаков применяли точный критерий Фишера, количественных признаков – критерий Краскела – Уоллиса для множественного сравнения. Отношение шансов (ОШ) при сравнении двух групп рассчитывали как частное от деления шансов развития исхода в одной группе к шансам развития исхода в другой, где шансами считали отношение числа исследуемых с наличием исхода к числу исследуемых с отсутствием исхода; для рассчитанного ОШ определяли 95% доверительный интервал (ДИ). Различия считали статистически значимыми при р < 0,05.
Результаты
В исследование вошли 243 пациента, которые были разделены на 2 группы – эпителиальные (n = 181) и неэпителиальные (n = 62) опухоли (табл. 1) – в соответствии с классификацией Всемирной организации здравоохранения 2022 г. [12]. Группу сравнения составили 14 пациентов с опухолями различного гистогенеза без нейроэндокринной дифференцировки: аденокарциномы поджелудочной железы (n = 3) и легких (n = 3), рак желудка (n = 3), гастроинтестинальные стромальные опухоли желудка (n = 1), рак коры надпочечников (n = 3), холангиокарцинома (n = 1).
Таблица 1. Демографические характеристики пациентов, включенных в исследование
Характеристика | Эпителиальные НЭО (n = 181) | Неэпителиальные НЭО (n = 62) | Другие злокачественные опухоли (n = 14) | Значение р |
Возраст пациентов, Me [Q1; Q3], лет | 56 [46; 66] | 53 [37; 63] | 55 [39; 64] | 0,978* |
Женщины / мужчины, абс. (%) | 104 (57,5) / 77 (42,5) | 38 (61,3) / 24 (38,7) | 8 (57,1) / 5 (42,9) | 0,891** |
НЭО – нейроэндокринные опухоли
* Критерий Краскела – Уоллиса
** Точный критерий Фишера
В группу эпителиальных НЭО включен 181 образец опухолей различной локализации, функциональной активности и степени злокачественности (табл. 2).
Таблица 2. Локализация и функциональная активность нейроэндокринных опухолей
Локализация НЭО | Высокодифференцированные НЭО | Нейроэндокринные карциномы | Количество образцов, абс. | ||
функционально активные | функционально неактивные | мелкоклеточные | крупноклеточные | ||
Бронхолегочная система | 4 | 31 | 9 | 12 | 56 |
Тимус / средостение | 2 | 3 | 0 | 2 | 7 |
Поджелудочная железа | 15 | 17 | 0 | 1 | 33 |
Желудок | 0 | 32 | 8 | 5 | 45 |
Кишечник: | 22 | 7 | 1 | 2 | 32 |
тонкая кишка | 20 | 0 | 0 | 0 | 20 |
ободочная кишка | 1 | 2 | 0 | 0 | 3 |
аппендикс | 1 | 0 | 0 | 2 | 3 |
прямая кишка | 0 | 5 | 1 | 0 | 6 |
Почка | 0 | 4 | 0 | 0 | 4 |
Кожа, карцинома Меркеля | 0 | 0 | 4 | 0 | 4 |
Всего | 43 | 94 | 22 | 22 | 181 |
НЭО – нейроэндокринные опухоли
Среди функционально активных НЭО были опухоли с карциноидным синдромом (НЭО тонкой кишки, n = 20), АКТГ-эктопическим гиперкортицизмом (НЭО легких, n = 5 и тимуса, n = 2), среди НЭО поджелудочной железы – инсулиномы с гипогликемическим синдромом (n = 11), гастриномы с синдромом Золлингера – Эллисона (n = 3), соматостатиномы с признаками специфического синдрома (n = 2). Среди функционально неактивных НЭО поджелудочной железы выявлена продукция глюкагона (n = 2), панкреатического полипептида (n = 2), кальцитонина (n = 1), в остальных НЭО тип гормона не был выявлен.
В группу неэпителиальных НЭО включены параганглиомы надпочечниковой (феохромоцитомы, n = 54) и вненадпочечниковой локализации (каротидное тело, n = 5; двенадцатиперстная кишка, n = 1; поджелудочная железа, n = 1; носовая полость, n = 1).
Экспрессия Oct4 в эпителиальных нейроэндокринных опухолях различной локализации
Экспрессия Oct4, расцененная как положительная, выявлена во всех исследованных образцах высокодифференцированных НЭО желудка (100%), тонкой кишки (100%), аппендикса (1/1) и ободочной кишки (3/3), а также в большинстве (18/35, 51,4%) образцов НЭО (карциноидах) бронхолегочной системы (табл. 3, рис. 1, 2). При этом максимально интенсивная цитоплазматическая реакция Oct4 (3+) обнаружена во всех исследованных энтерохромаффино-клеточных НЭО тонкой кишки с карциноидным синдромом (см. рис. 1 А–В), аппендикса и ободочной кишки и подавляющем большинстве (90,6%) энтерохромаффиноподобно-клеточных НЭО желудка (см. рис. 1Г), а также в 22,8% карциноидов легких (см. рис. 1З) и в 1/5 образцов НЭО тимуса / средостения (см. табл. 3).
Таблица 3. Особенности экспрессии Oct4 в образцах нейроэндокринных опухолей различной локализации и дифференцировки
Локализация и тип опухоли (n) | Интенсивность экспрессии Oct4 | ||
отрицательная | положительная | ||
0/1+ | 2+ | 3+ | |
Эпителиальные НЭО | |||
НЭО легких (n = 56): | |||
типичные и атипичные карциноиды (n = 35) | 17 | 10 | 8 |
МК НЭК (n = 9) | 9 | 0 | 0 |
КК НЭК (n = 12) | 11 | 0 | 1 |
НЭО тимуса / средостения (n = 7): | |||
ВД НЭО (n = 5) | 3 | 1 | 1 |
КК НЭК (n = 2) | 1 | 0 | 1 |
НЭО кишечника (n = 32): | |||
ВД НЭО тонкой кишки (n = 20) | 0 | 0 | 20 |
ВД НЭО ободочной кишки (n = 3) | 0 | 0 | 3 |
ВД НЭО аппендикса (n = 1) | 0 | 0 | 1 |
ВД НЭО прямой кишки (n = 5) | 5 | 0 | 0 |
КК НЭК аппендикса (n = 2) | 2 | 0 | 0 |
МК НЭК прямой кишки (n = 1) | 1 | 0 | 0 |
НЭО желудка (n = 45): | |||
ВД НЭО (n = 32) | 0 | 3 | 29 |
МК НЭК (n = 8) | 7 | 1 | 0 |
КК НЭК (n = 5) | 5 | 0 | 0 |
НЭО поджелудочной железы (n = 34): | |||
инсулиномы (n = 11) | 6 | 5 | 0 |
гастриномы (n = 3) | 3 | 0 | 0 |
соматостатиномы (n = 2) | 2 | 0 | 0 |
НФ НЭО (n = 17) | 14 | 3 | 0 |
КК НЭК (n = 1) | 1 | 0 | 0 |
НЭО почек (n = 8): | |||
ВД НЭО почек (n = 4) | 4 | 0 | 0 |
Карциномы Меркеля (n = 4) | 4 | 0 | 0 |
Неэпителиальные НЭО (n = 62) | |||
Феохромоцитомы (n = 54) | 1 | 12 | 41 |
Параганглиомы (n = 8) | 5 | 3 | 0 |
n – количество образцов, ВД – высокодифференцированная, КК – крупноклеточная, МК – мелкоклеточная, НФ – нефункционирующие, НЭО – нейроэндокринная опухоль, НЭК – нейроэндокринная карцинома
Рис. 2. Экспрессия Оct4 в клетках эпителиальных высокодифференцированных нейроэндокринных опухолей (НЭО) и нейроэндокринных карцином в зависимости от степени злокачественности (Grade)
При Oct4-положительных НЭО экспрессия этого фактора выявлена также и в метастазах этих опухолей (см. рис. 1Б). Следует отметить, что в высокодифференцированных НЭО поджелудочной железы ни в одном из исследованных случаев максимальная цитоплазматическая экспрессия Oct4 (3+) не обнаружена. Негативными к Oct4 были все исследованные эпителиальные НЭО почек, прямой кишки (см. рис. 1М), гастриномы и соматостатиномы поджелудочной железы. Частота выявления положительной (2+/3+) экспрессии Oct4 в цитоплазме опухолевых клеток статистически значимо различалась в зависимости от локализации НЭО (р < 0,001).
Экспрессия Oct4 в эпителиальных нейроэндокринных опухолях в зависимости от степени злокачественности
Частота выявления экспрессии Oct4 статистически значимо различалась в НЭО в зависимости от степени злокачественности (р < 0,001), составив 70,6% при НЭО Grade 1, 50,8% при НЭО Grade 2, 50% при НЭО Grade 3 и 6,8% при нейроэндокринных карциномах (см. рис. 2). Среди нейроэндокринных карцином экспрессия Oct4 выявлена в 1/22 (4,5%) случаев мелкоклеточной нейроэндокринной карциномы желудка (Oct4 2+) и 2/22 (9,1%) случаев крупноклеточной нейроэндокринной карциномы легкого и средостения (оба случая – Oct4 3+) (рис. 3). Шансы выявить экспрессию Oct4 в цитоплазме клеток были статистически значимо выше при высокодифференцированных НЭО, чем при нейроэндокринных карциномах (ОШ 21,01, 95% ДИ 6,19–71,25; р < 0,001).
Рис. 3. Интенсивная цитоплазматическая экспрессия Oct4 (3+) в крупноклеточной нейроэндокринной карциноме легкого (А, увеличение ×125) и отсутствие экспрессии в мелкоклеточной карциноме легкого (Б, увеличение ×250)
Экспрессия Oct4 в эпителиальных нейроэндокринных опухолях в зависимости от их функциональной активности
Цитоплазматическая экспрессия Oct4 была положительной в 67,4% функционально активных и 40,6% функционально неактивных НЭО (рис. 4) и статистически значимо чаще встречалась среди функционально активных НЭО (ОШ 3,03, 95% ДИ 1,47–6,25; р = 0,003).
Рис. 4. Экспрессия Оct4 в клетках эпителиальных нейро-эндокринных опухолей в зависимости от их функциональной активности
Экспрессия Oct4 в неэпителиальных нейроэндокринных опухолях в зависимости от локализации и степени злокачественности
Экспрессия Oct4 выявлена в 90,3% (56/62) неэпителиальных НЭО, включая 98,1% (53/54) феохромоцитом и 37,5% (3/8) параганглиом вненадпочечниковой локализации (см. табл. 3). Максимальная экспрессия Oct4 отмечена в 41 феохромоцитоме из 54 (см. рис. 1Д).
Среди 54 феохромоцитом было 43 опухоли с низким метастатическим потенциалом и 11 – с высоким, максимальная экспрессия Oct4 статистически значимо чаще встречалась в феохромоцитомах с низким по сравнению с высоким метастатическим потенциалом – 41/43 против 2/11 феохромоцитом соответственно (ОШ 60,0, 95% ДИ 8,71–413,3; р < 0,001).
Обращало на себя внимание наличие в феохромоцитомах с высоким метастатическим потенциалом больших участков, имеющих вид «проплешин», в которых Oct4 экспрессировали только отдельные клетки или небольшие группы опухолевых клеток (см. рис. 1Е). Из всех феохромоцитом негативной к Oct4 была только одна онкоцитарная опухоль (1/54, 1,8%).
Экспрессия Oct4 в эндокринных клетках неизмененных тканей
Максимально интенсивная цитоплазматическая реакция (3+) с Oct4 наблюдалась в образцах нормальных эндокринных клеток окружающей НЭО слизистой оболочки тонкой, толстой и прямой кишки, желудка и в клетках медуллярного слоя надпочечников (см. рис. 1 А, Г, Ж, обозначено стрелками). В клетках эндокринных островков поджелудочной железы цитоплазматическая экспрессия Oct4 была слабой, очаговой (1+) или умеренно выраженной (2+) и чаще локализовалась по периферии островков (см. рис. 1К, обозначено стрелками).
Группа сравнения – опухоли без нейроэндокринной дифференцировки
Во всех 14 исследованных опухолях различного гистогенеза и без нейроэндокринной дифференцировки цитоплазматическая экспрессия Oct4 не выявлена.
Экспрессия Oct4 как предиктор высокодифференцированных нейроэндокринных опухолей
Наличие экспрессии Oct4 в клетках НЭО со специфичностью 94,83% и чувствительностью 60,58% соответствовало высокодифференцированным вариантам НЭО. Прогностическая ценность положительного результата составила 96,51%.
Обсуждение
Согласно полученным данным, экспрессия Oct4 в клетках НЭО с высокой специфичностью (94,83%) и средней чувствительностью (60,58%) соответствовала высокодифференцированным вариантам НЭО. Мы изучили этот феномен на конкретных типах функционирующих и нефункционирующих нейроэндокринных неоплазий различной локализации и степени дифференцировки и показали, что интенсивная цитоплазматическая экспрессия фактора Oct4 характерна лишь для высокодифференцированных НЭО определенных локализаций, а в других она или слабо выражена, или вовсе отсутствует.
R.E. Alexander и соавт. впервые описали экспрессию Oct4 в цитоплазме нормальной мозговой ткани надпочечников и в параганглиомах, включая феохромоцитомы, а также в эпителиальных НЭО других типов [9, 10]. Авторы получили аналогичные нашим результаты с использованием моноклональных и поликлональных антител и с помощью иммуноэлектронной микроскопии доказали, что экспрессия Oct4 была тесно ассоциирована именно с эндокринными гранулами в клетках этих опухолей. По их данным, цитоплазматическая экспрессия Oct4 была выявлена в 96% высокодифференцированных «карциноидных» опухолей, в 67% умеренно дифференцированных НЭО и только в 12% нейроэндокринных карцином. Они также установили сильную обратную корреляцию между величиной индекса Ki-67 и интенсивностью экспрессии Oct4. Мы в своем исследовании использовали те же моноклональные антитела Oct4, что и R.E. Alexander и соавт. (клон MRQ-10, Cell Marque), и, хотя наши данные в целом согласуются с их результатами, есть и отличия. По нашим данным, цитоплазматическая экспрессия Oct4 была выявлена всего в 6,8% нейроэндокринных карцином (против 12%, полученных R.E. Alexander и соавт. [9]), но эти отличия легко объяснить тем, что высокодифференцированные НЭО Grade 3 были выделены в классификациях НЭО только после 2017 г. [12], а до этого они часто попадали в группу нейроэндокринных карцином. Что касается низкодифференцированных нейроэндокринных карцином, из которых мы отдельно рассматривали мелкоклеточные и крупноклеточные варианты, очевидно, что в них процессы формирования и накопления эндокринных гранул нарушены, как и механизмы депонирования гормонов. Наши данные свидетельствуют о том, что цитоплазматическая экспрессия Oct4 в НЭО позволяет оценить степень дифференцировки, функциональный тип и, вероятно, хотя и косвенно – особенности формирования эндокринных гранул в их клетках.
Ген Oct4 человека расположен на хромосоме 6, состоит из 5 экзонов и кодирует 3 основные изоформы, известные как Oct4A, Oct4B и Oct4B1. Изоформы Oct4A и Oct4B человека состоят из 360 и 265 аминокислот, где последние 225 C-концевых аминокислот у них идентичны [13]. На нуклеотидном уровне Oct4A и Oct4B идентичны в экзонах 2–5, но различаются в экзоне 1 [5, 14]. Oct4B, который по сравнению с Oct4A является укороченным вариантом, состоит из 2 субъединиц – Oct4B1 и Oct4B, а Oct4B1 содержит дополнительный экзон 2c [5, 13]. Изоформы Oct4A и Oct4B отличаются по их внутриклеточной локализации: изоформа Oct4A локализуется в ядре, а Oct4B – в цитоплазме клеток [5]. В эмбриональных, индуцированных полипотентных и базальных клетках экспрессия Oct4 локализуется в ядре [3, 5, 13]. Несмотря на различия в биологических функциях изоформ Oct4, до сих пор активно изучают экспрессию этого фактора в ядрах клеток, а феномен его экспрессии в цитоплазме нормальных соматических и опухолевых клеток долгое время игнорировали и даже оценивали как артефакт. При этом было показано, что иммуногистохимический и иммунофлуоресцентный методы позволяют различать Oct4A и Oct4B по их локализации в клетке [14]. И хотя роль изоформы Oct4B при ее локализации в цитоплазме клеток до конца не ясна, предполагается, что она тесно связана с транскрипцией генетической информации [15]. Синтез факторов транскрипции обычно начинается со специфической транскрипции мРНК с геномной ДНК с последующей миграцией мРНК на рибосомы в цитоплазме клеток для дальнейшей трансляции информации, а затем полученные белковые продукты мигрируют обратно в ядро и регулируют его транскрипционную активность по типу обратной связи [8]. На субклеточную локализацию Oct4, как и других факторов транскрипции, влияет множество различных факторов – связывание с определенными партнерами, изоформы белков и наличие или отсутствие сигналов как ядерной, так и неядерной локализации [5, 14]. Высказывается также гипотеза о важной роли Oct4B в реакции на стресс [3, 6].
Данные о роли цитоплазматической экспрессии Oct4 в опухолях разных типов очень ограничены. H.H. Yu и соавт. наблюдали изолированную цитоплазматическую или сочетанную – цитоплазматическую и ядерную – локализацию Oct4 в образцах плоскоклеточного рака полости рта [16]. Подобные результаты были получены и при исследовании глиом [17]. Цитоплазматическую экспрессию фактора Oct4 в плоскоклеточном раке языка и губы некоторые авторы связали с нейроэндокринной дифференцировкой этих опухолей [18, 19]. В связи с вышесказанным изучение роли ядерной и цитоплазматической локализации в клетках транскрипционных факторов, таких как Oct4, представляется важным параметром, который в дальнейшем поможет прояснить механизмы роста и прогрессирования не только НЭО, но и опухолей других типов. Представляется целесообразным проведение дальнейших исследований в этом направлении с использованием конкретных изоформ Oct4 и с учетом специфичности разных клонов антител.
Несмотря на то что эндокринные гранулы – очень важные органеллы в нормальных эндокринных клетках и клетках НЭО, отличия в механизмах формирования гранул разных типов и депонирования в них широкого спектра гормонов до конца не изучены. Известно, что субстратом для эндокринных гранул служат молекулы, связанные с хромогранинами и секретогранинами, а некоторые из них участвуют и в сортировке, и в протеолитической обработке прогормонов [20]. Пока не ясно, какую именно функцию выполняет Oct4 в эндокринных гранулах, но на основании полученных нами данных становится очевидным, что максимально интенсивная экспрессия этого фактора в цитоплазме клеток высокодифференцированных НЭО непосредственно связана с формированием в них многочисленных эндокринных гранул, способных, как и их нормальные аналоги, накапливать и депонировать гормональные продукты определенных типов (серотонин, катехоламины, гистамин и их аналоги): экспрессия Oct4 значительно чаще встречалась в функционально активных НЭО (ОШ 3,03, 95% ДИ 1,47–6,25; р = 0,003), то есть в опухолях с сохраненными свойствами гормонального синтеза и секреции. Возможно, интенсивная экспрессия Oct4 отражает участие этого фактора в механизмах клеточной дифференцировки, формирования и стабилизации в них эндокринных гранул. В НЭО, в которых цитоплазматическая экспрессия Oct4 слабая или вообще отсутствует, формирование эндокринных гранул, вероятно, происходит по Oct4-независимым механизмам. Таким образом, цитоплазматическая экспрессия Oct4 представляет собой очень специфичный признак хорошо гранулированных высокодифференцированных НЭО, продуцирующих определенный спектр гормонов.
Выраженная цитоплазматическая экспрессия Oct4 коррелирует с высокой степенью дифференцировки НЭО именно тех локализаций, где практически не встречаются нейроэндокринные карциномы. Это в первую очередь касается энтерохромаффино-клеточных высокодифференцированных НЭО тонкой кишки, энтерохромаффиноподобно-клеточных высокодифференцированных НЭО желудка, а также клеток феохромоцитомы. Обращает на себя внимание, что отсутствие экспрессии Oct4 отмечено только в одном случае феохромоцитомы онкоцитарного строения. Возможно, этот редкий вариант феохромоцитомы следует выделить в самостоятельную подгруппу, как это уже было принято для адренокортикального рака [21, 22].
При депонировании гормонов других типов, вероятно, используются другие механизмы, в которых Oct4 вообще не участвует или его участие ограничено. В нашем исследовании это хромогранин-А-негативные гранулы L-клеток НЭО прямой кишки, эндокринные гранулы НЭО почек, части карциноидов легких и тимуса, большинства НЭО поджелудочной железы. И хотя в НЭО поджелудочной железы мы не наблюдали максимально интенсивной экспрессии Oct4 (3+), умеренно выраженная экспрессия (2+) этого фактора чаще выявлялась в менее агрессивных опухолях (инсулиномах) по сравнению с другими типами НЭО этой локализации.
Заключение
Нами впервые получены данные, свидетельствующие о том, что интенсивная экспрессия Oct4 в цитоплазме клеток хорошо гранулированных энтерохромаффино-клеточных и энтерохромаффиноподобно-клеточных высокодифференцированных НЭО желудочно-кишечного тракта и феохромоцитомы, а также в их нормальных клеточных аналогах отражает участие Oct4 в механизмах клеточной дифференцировки. Положительная цитоплазматическая экспрессия Oct4 представляет собой очень специфичный признак хорошо гранулированных высокодифференцированных НЭО, продуцирующих определенный спектр гормонов. Прогностическая ценность интенсивной цитоплазматической экспрессии Oct4 в диагностике высокодифференцированных НЭО составила 96,51%. Особенности и интенсивность экспрессии Oct4 в НЭО разных типов могут быть в дальнейшем использованы для разработки более дифференцированных подходов как к диагностике, так и к терапии этих опухолей.
Дополнительная информация
Финансирование
Работа проведена без привлечения дополнительного финансирования со стороны третьих лиц.
Конфликт интересов
Авторы декларируют отсутствие явных и потенциальных конфликтов интересов, связанных с публикацией настоящей статьи.
Участие авторов
Л.Е. Гуревич – концепция и дизайн исследования, сбор материала, анализ полученных результатов, написание и редактирование текста, утверждение итогового варианта текста рукописи; И.А. Иловайская – анализ и интерпретация полученных данных, написание и редактирование текста; А.Ю. Луговская – набор клинического материала, анализ результатов исследования, написание текста; Е.В. Маркарова – набор клинического материала, анализ и интерпретация результатов исследования, написание текста; Л.М. Когония – анализ полученных данных, написание и редактирование текста; Г.Р. Сетдикова – критический пересмотр результатов исследования, утверждение окончательного варианта статьи; В.М. Тюрина, И.П. Яковенко – набор клинического материала, анализ и интерпретация результатов исследования. Все авторы прочли и одобрили финальную версию статьи перед публикацией, согласны нести ответственность за все аспекты работы и гарантируют, что ими надлежащим образом были рассмотрены и решены вопросы, связанные с точностью и добросовестностью всех частей работы.
About the authors
Larisa E. Gurevich
Moscow Regional Research and Clinical Institute (MONIKI)
Author for correspondence.
Email: larisgur@mail.ru
ORCID iD: 0000-0002-9731-3649
Doctor of Biol. Sci., Professor, Leading Research Fellow, Department of Morphological Diagnostics, Oncology Unit
Russian Federation, ul. Shchepkina 61/2, Moscow, 129110Irena A. Ilovayskaya
Moscow Regional Research and Clinical Institute (MONIKI)
Email: irena.ilov@yandex.ru
ORCID iD: 0000-0003-3261-7366
MD, PhD, Associate Professor, Head of Department of Neuroendocrine Diseases, General Endocrinology Unit, Professor of Chair of Endocrinology, Postgraduate Training Faculty
Russian Federation, ul. Shchepkina 61/2, Moscow, 129110Anna Y. Lugovskaya
Moscow Regional Research and Clinical Institute (MONIKI)
Email: annettae.leto@gmail.com
ORCID iD: 0000-0002-5187-1602
MD, Research Fellow, Department of Neuroendocrine Diseases, General Endocrinology Unit
Russian Federation, ul. Shchepkina 61/2, Moscow, 129110Ekaterina V. Markarova
Moscow Regional Research and Clinical Institute (MONIKI)
Email: katemarkarova@mail.ru
ORCID iD: 0000-0002-2028-566X
MD, PhD, Associate Professor, Department of Oncology and Thoracic Surgery, Postgraduate Training Faculty
Russian Federation, ul. Shchepkina 61/2, Moscow, 129110Lali M. Kogoniya
Moscow Regional Research and Clinical Institute (MONIKI)
Email: lali51@yandex.ru
ORCID iD: 0000-0003-3326-4961
MD, PhD, Professor, Department of Oncology and Thoracic Surgery, Postgraduate Training Faculty
Russian Federation, ul. Shchepkina 61/2, Moscow, 129110Galiya R. Setdikova
Moscow Regional Research and Clinical Institute (MONIKI)
Email: galiya84@mail.ru
ORCID iD: 0000-0002-5262-4953
MD, PhD, Head of Department of Morphological Diagnostics, Oncology Unit
Russian Federation, ul. Shchepkina 61/2, Moscow, 129110Vlada M. Tyurina
Moscow Regional Research and Clinical Institute (MONIKI)
Email: tyurina.vm@mail.ru
ORCID iD: 0000-0002-1426-0917
Junior Research Fellow, Department of Morphological Diagnostics, Oncology Unit
Russian Federation, ul. Shchepkina 61/2, Moscow, 129110Irina P. Yakovenko
Moscow Regional Research and Clinical Institute (MONIKI)
Email: irinaakovenko029@gmail.com
ORCID iD: 0009-0006-3890-4330
Pathologist, Pathological Anatomy Department
Russian Federation, ul. Shchepkina 61/2, Moscow, 129110References
- Takahashi K, Yamanaka S. Induction of pluripotent stem cells from mouse embryonic and adult fibroblast cultures by defined factors. Cell. 2006;126(4):663–676. doi: 10.1016/ j.cell.2006.07.024.
- Takahashi K, Tanabe K, Ohnuki M, Narita M, Ichisaka T, Tomoda K, Yamanaka S. Induction of pluripotent stem cells from adult human fibroblasts by defined factors. Cell. 2007;131(5):861–872. doi: 10.1016/j.cell.2007.11.019.
- Karagiannis P, Takahashi K, Saito M, Yoshida Y, Okita K, Watanabe A, Inoue H, Yamashita JK, Todani M, Nakagawa M, Osawa M, Yashiro Y, Yamanaka S, Osafune K. Induced pluripotent stem cells and their use in human models of disease and development. Physiol Rev. 2019;99(1):79–114. doi: 10.1152/physrev.00039.2017.
- Gurevich LE, Bondarenko EV, Vasyukova OA, Mikhaleva LM. [The role of Yamanaka cocktail transcription factors (OCT4, SOX2, KLF4, c-Myc) in the differentiation of somatic cells, their malignant transformation, and tumor progression]. Clinical and Experimental Morphology. 2022;10(S4):7–22. Russian. doi: 10.31088/CEM2021.10.S4.7-22.
- Mehravar M, Ghaemimanesh F, Poursani EM. An overview on the complexity of OCT4: At the level of DNA, RNA and protein. Stem Cell Rev Rep. 2021;17(4):1121–1136. doi: 10.1007/s12015-020-10098-3.
- Mohiuddin IS, Wei SJ, Kang MH. Role of OCT4 in cancer stem-like cells and chemotherapy resistance. Biochim Biophys Acta Mol Basis Dis. 2020;1866(4):165432. doi: 10.1016/j.bbadis.2019.03.005.
- Chen W, Wang YJ. Multifaceted roles of OCT4 in tumor microenvironment: Biology and therapeutic implications. Oncogene. 2025;44(18):1213–1229. doi: 10.1038/s41388-025-03408-x.
- van Schaijik B, Davis PF, Wickremesekera AC, Tan ST, Itinteang T. Subcellular localization of the stem cell markers OCT4, SOX2, NANOG, KLF4 and c-MYC in cancer: A review. J Clin Pathol. 2018;71(1):88–91. doi: 10.1136/jclinpath-2017-204815.
- Alexander RE, Cheng L, Grignon DJ, Idrees MT. Cytoplasmic OCT4 staining is a sensitive marker of neuroendocrine differentiation. Hum Pathol. 2014;45(1):27–32. doi: 10.1016/j.humpath.2013.08.006.
- Alexander RE, Cheng L, Grignon DJ, Idrees M. Cytoplasmic staining of OCT4 is a highly sensitive marker of adrenal medullary-derived tissue. Am J Surg Pathol. 2013;37(5):727–733. doi: 10.1097/PAS.0b013e3182793dc2.
- Turyova E, Mikolajcik P, Grendar M, Kudelova E, Holubekova V, Kalman M, Marcinek J, Hrnciar M, Kovac M, Miklusica J, Laca L, Lasabova Z. Expression of OCT4 isoforms is reduced in primary colorectal cancer. Front Oncol. 2023;13:1166835. doi: 10.3389/fonc.2023.1166835.
- Rindi G, Mete O, Uccella S, Basturk O, La Rosa S, Brosens LAA, Ezzat S, de Herder WW, Klimstra DS, Papotti M, Asa SL. Overview of the 2022 WHO classification of neuroendocrine neoplasms. Endocr Pathol. 2022;33(1):115–154. doi: 10.1007/s12022-022-09708-2.
- Wang X, Dai J. Concise review: isoforms of OCT4 contribute to the confusing diversity in stem cell biology. Stem Cells. 2010;28(5):885–893. doi: 10.1002/stem.419.
- Liedtke S, Stephan M, Kögler G. Oct4 expression revisited: potential pitfalls for data misinterpretation in stem cell research. Biol Chem. 2008;389(7):845–850. doi: 10.1515/BC.2008.098.
- Atlasi Y, Mowla SJ, Ziaee SA, Gokhale PJ, Andrews PW. OCT4 spliced variants are differentially expressed in human pluripotent and nonpluripotent cells. Stem Cells. 2008;26(12):3068–3074. doi: 10.1634/stemcells.2008-0530.
- Yu HH, Featherston T, Tan ST, Chibnall AM, Brasch HD, Davis PF, Itinteang T. Characterization of cancer stem cells in moderately differentiated buccal mucosal squamous cell carcinoma. Front Surg. 2016;3:46. doi: 10.3389/fsurg.2016.00046.
- Guo Y, Liu S, Wang P, Zhao S, Wang F, Bing L, Zhang Y, Ling EA, Gao J, Hao A. Expression profile of embryonic stem cell-associated genes Oct4, Sox2 and Nanog in human gliomas. Histopathology. 2011;59(4):763–775. doi: 10.1111/j.1365-2559.2011.03993.x.
- Baillie R, Itinteang T, Yu HH, Brasch HD, Davis PF, Tan ST. Cancer stem cells in moderately differentiated oral tongue squamous cell carcinoma. J Clin Pathol. 2016;69(8):742–744. doi: 10.1136/jclinpath-2015-203599.
- Ram R, Brasch HD, Dunne JC, Davis PF, Tan ST, Itinteang T. The identification of three cancer stem cell subpopulations within moderately differentiated lip squamous cell carcinoma. Front Surg. 2017;4:12. doi: 10.3389/fsurg.2017.00012.
- Ishii J, Sato-Yazawa H, Kashiwagi K, Nakadate K, Iwamoto M, Kohno K, Miyata-Hiramatsu C, Masawa M, Onozaki M, Noda S, Miyazawa T, Takagi M, Yazawa T. Endocrine secretory granule production is caused by a lack of REST and intragranular secretory content and accelerated by PROX1. J Mol Histol. 2022;53(2):437–448. doi: 10.1007/s10735-021-10055-5.
- Mete O, Erickson LA, Juhlin CC, de Krijger RR, Sasano H, Volante M, Papotti MG. Overview of the 2022 WHO classification of adrenal cortical tumors. Endocr Pathol. 2022;33(1):155–196. doi: 10.1007/s12022-022-09710-8.
- Prinzi A, Guarnotta V, Di Dalmazi G, Canu L, Ceccato F, Ferraù F, Badalamenti G, Albertelli M, De Martino MC, Fanciulli G, Modica R, Pani A, Arcidiacono F, Barca I, Donnarumma F, Zanatta L, Torchio M, Alessi Y, Vitiello C, Frasca F, Malandrino P. Multicentric retrospective analysis of oncocytic adrenocortical carcinoma: Insights into clinical and management strategies. Endocr Pathol. 2025;36(1):11. doi: 10.1007/s12022-025-09857-0.
Supplementary files









