The successful treatment of refractory Crohn's disease by high-dose immunosuppressive therapy with autologous hematopoietic stem cell transplantation: a clinical case
- Authors: Ganich E.G.1, Shchukina O.B.1, Polushin A.Y.1, Zalyalov Y.R.1, Tsynchenko A.A.1, Kamanin A.A.1, Kulikov A.N.1, Kulagin A.D.1, Bagnenko S.F.1
-
Affiliations:
- Academician I.P. Pavlov First St. Petersburg State Medical University
- Issue: Vol 52, No 8 (2024)
- Pages: 446-453
- Section: CLINICAL CASES
- URL: https://ogarev-online.ru/2072-0505/article/view/284273
- DOI: https://doi.org/10.18786/2072-0505-2024-52-043
- ID: 284273
Cite item
Full Text
Abstract
Despite the available novel drug treatments for inflammatory bowel diseases, the number of patients with treatment resistance has been growing. These patients might need more aggressive treatment strategies, as the lack of control over the persistent active inflammation results in the progression of Crohn's disease and development of complications. By now, two randomized controlled studies of high-dose immunosuppressive therapy with autologous hematopoietic stem cell transplantation (HDIT-AHSCT) for the treatment of refractory Crohn's disease (ASTIC and ASTIC-lite) have been completed: their results are quite equivocal. The paper presents the description of a clinical case illustrating the possibility of HDIT-AHSCT as an alternative strategy to achieve remission in a patient with refractory Crohn's disease. This was a young patient with a difficult-to-treat inflammatory Crohn's disease (terminal ileitis and colitis with perianal lesion – A2L3B1p) with high disease activity (frequent loose stools, severe fatigue, abdominal pain, weight loss; C-reactive protein 13 mg/l, erythrocyte sedimentation rate 40 mm/h, fecal calprotectin 1500 mcg/g, SES-CD 8 points). He underwent an HDIT-AHSCT procedure resulting in clinical, laboratory and endoscopic remission at 24 weeks. Up to 24 months, he did not require any resumption of the immunosuppressive and biological therapy. At present, the patient's follow up and monitoring is ongoing. Further accumulation of clinical data is needed for the evaluation of the efficacy and safety of HDIT-AHSCT, profiling of the patient candidates for the use of the procedure, choice of optimal conditioning regimens, time and algorithms of anti-relapse therapy.
Full Text
В последние десятилетия в развитых и в новых индустриальных странах мира отмечается неуклонный рост распространенности и заболеваемости воспалительными заболеваниями кишечника (ВЗК), в том числе болезнью Крона (БК) [1–3]. Современная концепция лечения ВЗК определена стратегией «лечение до достижения цели» (англ. treat to target)1 [4].
Однако и рандомизированные контролируемые исследования, и исследования реальной клинической практики демонстрируют ограниченную эффективность имеющейся медикаментозной терапии [5–8]. Рефрактерность к медикаментозному лечению и развитие осложнений становятся причиной хирургического вмешательства у большинства пациентов с БК [8]. Необходимость проведения повторного оперативного вмешательства возникает в среднем в 30% случаев, а эндоскопический рецидив болезни регистрируют в 80% случаев [9, 10]. Очевидно, что рефрактерные к медикаментозному лечению пациенты с ВЗК нуждаются в дополнительных терапевтических подходах [11].
Специалисты Европейского общества по БК и колиту (англ. European Crohn’s and Colitis Organisation, ECCO) и Европейского общества по трансплантации костного мозга (англ. European Society for Blood and Marrow Transplantation, EBMT) активно разрабатывают рекомендации по протоколу высокодозной иммуносупрессивной терапии с аутологичной трансплантацией гемопоэтических стволовых клеток (ВИСТ-АТГСК) при резистентных к стандартной терапии формах аутоиммунных заболеваний (АИЗ) [12]. Согласно регистру EBMT, за период с 1994 по 2023 г. было проведено более 4 тыс. протоколов ВИСТ-АТГСК по поводу АИЗ, среди которых доля вмешательств при БК составила 6,13% [13]. В Российской Федерации метод ВИСТ-АТГСК применялся в рамках клинической апробации при рассеянном склерозе, а также, в меньшей степени, при ревматоидном артрите и системной красной волчанке [14–16]. Данные об опыте применения ВИСТ-АТГСК у пациентов с БК в России отсутствуют. Мы описываем первый в Российской Федерации случай успешного лечения рефрактерной БК методом ВИСТ-АТГСК с последующим наблюдением.
Клиническое наблюдение
Пациент Ж. 1989 года рождения, мужского пола, европеоидной расы, обратился к специалисту-гастроэнтерологу кабинета ВЗК поликлиники с клинико-диагностическим центром ФГБОУ ВО «Первый Санкт-Петербургский государственный медицинский университет имени академика И.П. Павлова» Минздрава России (ФГБОУ ВО «ПСПбГМУ им. акад. И.П. Павлова» Минздрава России) в октябре 2021 г. с жалобами на кашицеобразный стул до 5 раз в сутки, периодически с примесью крови, боли в правой подвздошной области спастического характера без определенной связи с чем-либо, общую слабость. При общем осмотре выявлен дискомфорт при пальпации в левой и правой подвздошных областях; в остальном без особенностей.
Анамнез заболевания. Дебют заболевания в возрасте 19 лет: учащенный жидкий стул без патологических примесей, потеря веса. К врачам не обращался. Через 2 года присоединились выраженная общая слабость, повышение температуры. При обследовании был установлен диагноз: «ВЗК, поражение ободочной кишки, без поражения прямой кишки». Получал препараты 5-аминосалициловой кислоты, системные глюкокортикостероиды (сГКС) с формированием стероидозависимости, в связи с чем к терапии добавлен азатиоприн 2,5 мг/кг массы тела. Достигнута клиническая ремиссия, без достижения эндоскопического заживления. Через год наблюдалось обострение болезни с высокой клинико-лабораторной активностью, установлен диагноз: «БК, колит, воспалительная форма (A2L2B1)». В связи с неэффективностью поддерживающей терапии азатиоприном рассматривалась необходимость начала генно-инженерной биологической терапии (ГИБТ), но был повторно назначен курс сГКС, произведена смена азатиоприна на метотрексат (МТХ) подкожно (п/к) 25 мг в неделю. На фоне терапии отмечено достижение клинико-лабораторной ремиссии с целевыми значениями кальпротектина и минимальной активностью по данным магнитно-резонансной энтерографии. По данным илеоколоноскопии наблюдалась минимальная активность в правых отделах ободочной кишки, оценка по шкале SES-CD (англ. Simple Endoscopic Score CD – простая эндоскопическая шкала оценки БК) – 3 балла. Впоследствии развилась непереносимость МТХ (рецидивирующая рвота), в связи с чем доза препарата была снижена. Через 6 месяцев зафиксировано обострение БК. Лабораторно: скорость оседания эритроцитов (СОЭ) – 40 мм/ч, уровень С-реактивного белка (CРБ) – 67,73 мг/л. По данным колоноскопии – тотальное поражение ободочной кишки: слизистая оболочка восходящей, ободочной и сигмовидной кишок отечная, с множественными подслизистыми кровоизлияниями. Слизистая оболочка поперечноободочной кишки с множественными точечными эрозиями диаметром 0,2 см.
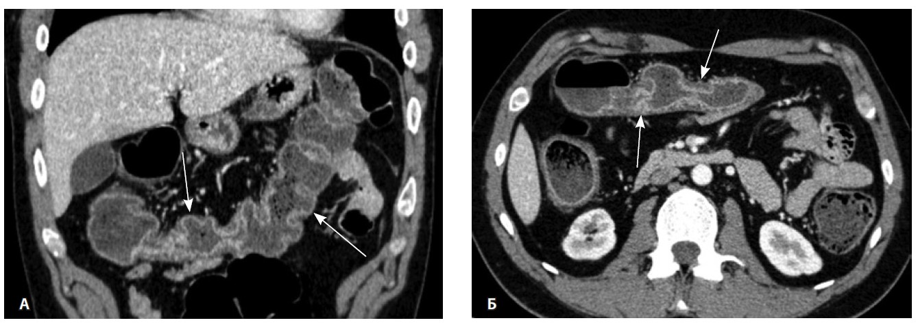
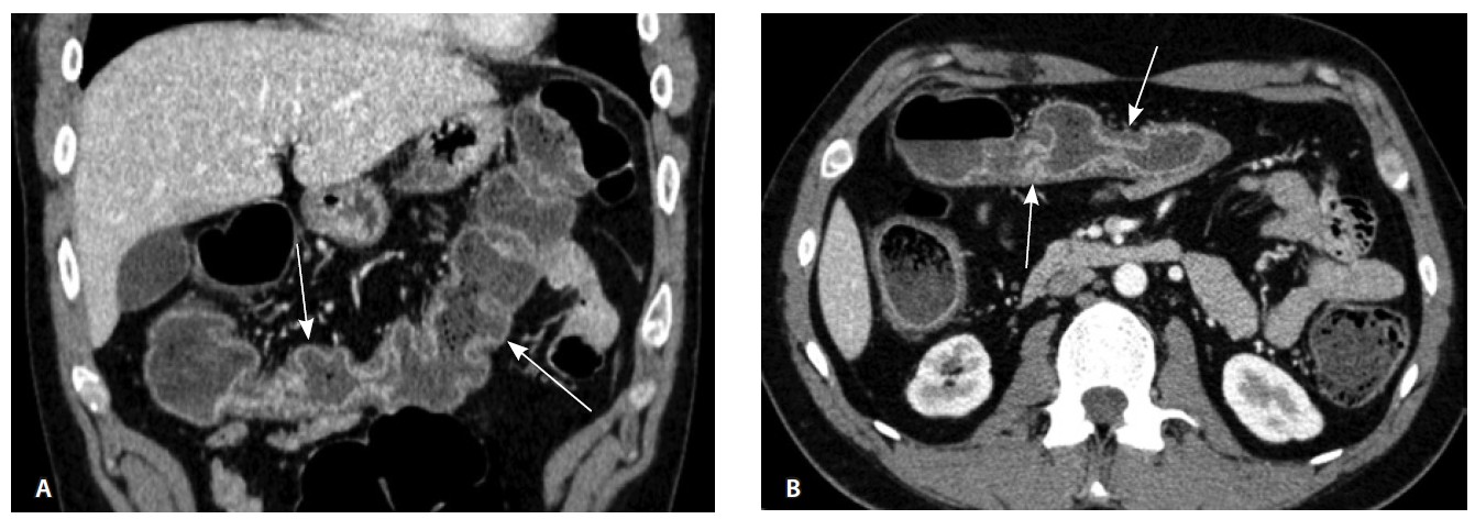
При мультиспиральной компьютерной томографии органов брюшной полости визуализировалась картина диффузного утолщения стенки толстой кишки с умеренным утолщением брыжейки и минимально выраженными явлениями лимфаденопатии в брыжейке (рис. 1).
Рис. 1. Мультиспиральная компьютерная томография органов брюшной полости с внутривенным введением контрастного вещества (йомепрол 350–100 мл), артериальная фаза: А – фронтальная проекция, Б – аксиальная проекция. Стрелками указано диффузное утолщение стенки толстой кишки и брыжейки
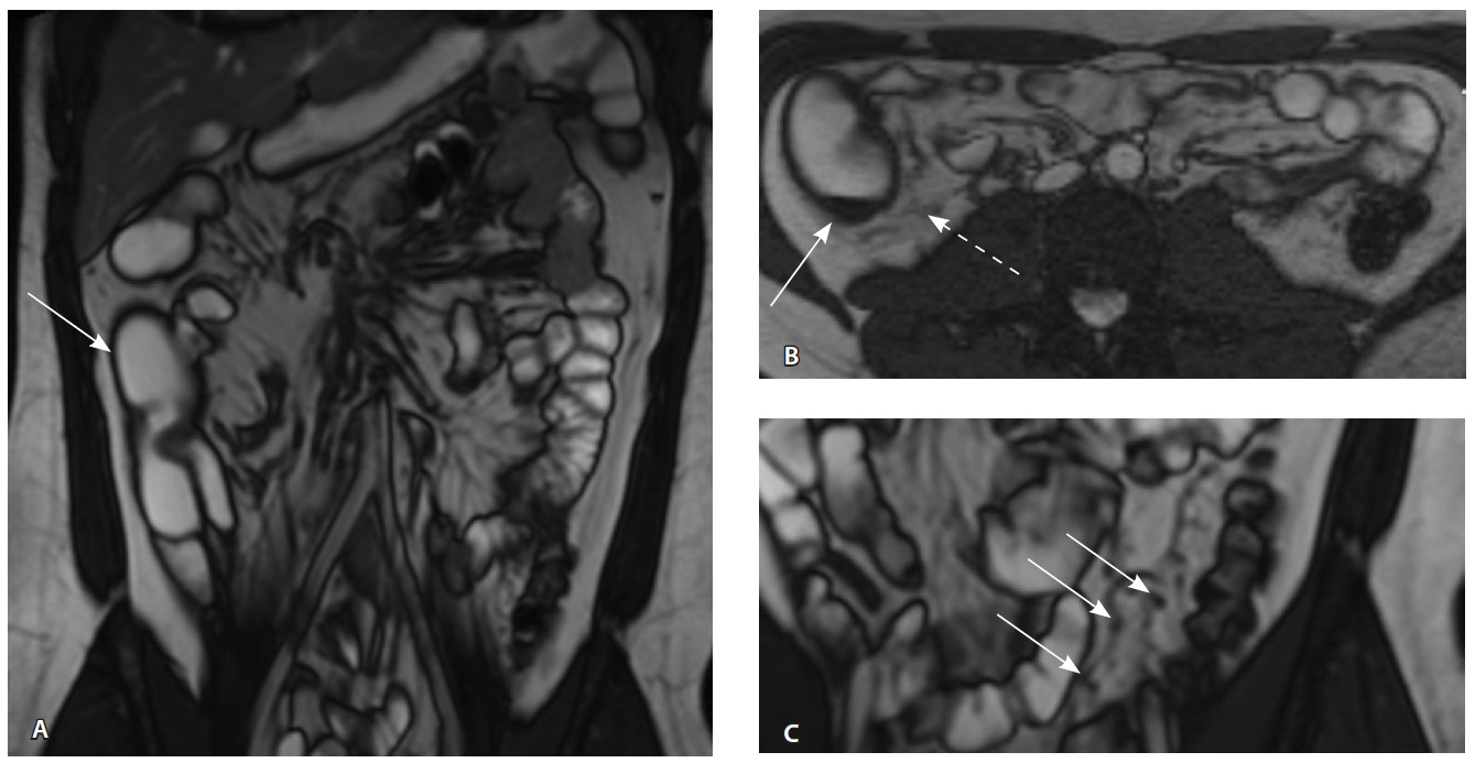
Назначена ГИБТ адалимумабом (препарат Хумира) по стандартной схеме 160 мг п/к (неделя 0), 80 мг п/к (неделя 2) с последующим плановым поддерживающим режимом 40 мг п/к каждые 2 недели. Через 9 месяцев установлена эндоскопическая ремиссия, однако сохранялась концентрация фекального кальпротектина более 2000 мкг/г. Через год жалобы возобновились, тогда же впервые была выявлена задняя анальная трещина. Выполнена магнитно-резонансная энтерография, обнаружены воспалительные изменения, характерные для БК (рис. 2 и 3).
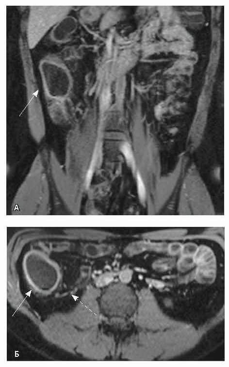
Рис. 2. Магнитно-резонансная энтерография, Т2-взвешенное изображение: А, В – фронтальная проекция; Б – аксиальная проекция. Наблюдается отсутствие гаустрации в восходящем отделе ободочной кишки, утолщение ее стенки до 5 мм (стрелка), снижение магнитно-резонансного сигнала от прилежащих отделов клетчатки, ее неоднородность (пунктирная стрелка), увеличение лимфатических узлов до 6 см в диаметре по ходу сигмовидной кишки (стрелки)
Рис. 3. Магнитно-резонансная энтерография, Т1-взвешенное изображение после внутривенного контрастного усиления (гадобутрол, 5 мл): А – фронтальная проекция, Б – аксиальная проекция. Наблюдается выраженное усиление интенсивности сигнала от восходящего отдела ободочной кишки (стрелка), усиление сигнала от окружающей клетчатки (пунктирная стрелка)
Интервал введения адалимумаба сокращен до одной недели, с клинико-лабораторным улучшением, однако без достижения эндоскопической ремиссии. Сохранялась и системная активность болезни (СРБ – 6,0–15,0 мг/л), при нормальной концентрации адалимумаба в сыворотке крови (12,11 мкг/мл) и отсутствии антител к препарату, что свидетельствовало о вторичной потере ответа на препарат. На контрольной илеоколоноскопии впервые выявлено поражение терминального отдела подвздошной кишки. Ввиду сохраняющейся активности заболевания индуцирована вторая линия ГИБТ устекинумабом (препарат Стелара) с последующей поддерживающей терапией в режиме 90 мг п/к каждые 8 недель. Несмотря на терапию, отмечалась клинико-лабораторная и эндоскопическая активность БК (индекс Харви – Бредшоу – 4–6 баллов, СРБ – 5–13 мг/л, СОЭ – 26–40 мм/ч, фекальный кальпротектин – 1500 мкг/г, SES-CD – 8 баллов).
На мультидисциплинарном консилиуме в составе врачей гастроэнтерологов, колопроктологов и гематологов было принято решение о проведении ВИСТ-АТГСК с целью индукции ремиссии БК у пациента с рефрактерным течением заболевания. Клинический диагноз перед началом процедуры ВИСТ-АТГСК: «Основное заболевание: БК в форме илеоколита, воспалительная форма с перианальным поражением (A2L3B1p), тяжелое стероидозависимое течение, высокая активность. Неэффективность азатиоприна. Неэффективность и непереносимость МТХ. Вторичная потеря ответа на адалимумаб. Недостаточный ответ на устекинумаб. Осложнение основного заболевания: рецидивирующие хронические множественные анальные трещины, аноректальный свищ от марта 2022 г., установка дренажа-сетона от 29.03.2022. Осложнение терапии: индуцированные системными стероидами синдром Иценко – Кушинга, остеопения, гинекомастия».
Одним из условий проведения процедуры ВИСТ-АТГСК было отсутствие септических очагов, в связи с чем выполнено углубленное исследование перианальных поражений БК. По данным магнитнорезонансной томографии органов малого таза выявлен простой аноректальный свищ. За месяц до начала режима кондиционирования проведена санация параректального свища (установка дренажа-сетона), тогда же выполнено последнее п/к введение препарата устекинумаб. По данным контрольной илеоколоноскопии подтверждена активность болезни (рис. 4).
Рис. 4. Контрольная илеоколоноскопия. Слизистая оболочка толстой кишки с изменениями: А – щелевидные и полигональные эрозии (стрелка), Б – поверхностная язва диаметром до 0,5 см (стрелка)
В апреле 2022 г. начата процедура ВИСТ-АТГСК. Пациент последовательно прошел все этапы протокола в условиях отделения химиотерапии и трансплантации костного мозга при онкологических и аутоиммунных заболеваниях [12, 17]:
- мобилизация стволовых клеток крови. На данном этапе использовали следующие препараты: циклофосфамид, гранулоцитарный колониестимулирующий фактор – филграстим;
- аферез гемопоэтических стволовых клеток с последующей их криоконсервацией в жидком азоте;
- режим кондиционирования (флударабин, циклофосфамид, антитимоцитарный глобулин (FluCy + ATG));
- размораживание и трансфузия гемопоэтических стволовых клеток.
После восстановления гемопоэза и разрешения осложнений этапа раннего посттрансплантационного периода (постцитостатическая панцитопения, фебрильная нейтропения) пациент продолжил амбулаторное наблюдение гастроэнтерологом и колопроктологом кабинета ВЗК поликлиники с клинико-диагностическим центром ФГБОУ ВО «ПСПбГМУ им. акад. И.П. Павлова» Минздрава России. Клиническая ремиссия, определяемая как индекс Харви – Брэдшоу < 4 баллов и индекс активности БК < 150 баллов, достигнута через 2 месяца после аутологичной трансплантации гемопоэтических стволовых клеток и поддерживалась до 26-й недели – контрольной точки наблюдения. Улучшение лабораторных показателей – нормализация СРБ (3,5 мг/л (норма – до 5,0 мг/л)) и снижение концентрации фекального кальпротектина (484,88 мкг/г) – наблюдалось через 2 месяца после трансплантации. На 26-й неделе наблюдения СРБ был 2,7 мг/л (норма – до 5,0 мг/л), концентрация фекального кальпротектина – 241,81 мкг/г. Эндоскопическая ремиссия была установлена на 12-й неделе и сохранялась на 26-й неделе. Наблюдение за пациентом продолжается.
Обсуждение
Приведен клинический случай пациента с рефрактерной к лечению БК. Количество таких пациентов постоянно увеличивается, в связи с чем Международной организацией по изучению воспалительных заболеваний кишечника (англ. International Organization for the Study of Inflammatory Bowel Disease, IOIBD) была сформулирована концепция, которая получила название «ВЗК, трудно поддающиеся лечению» (англ. difficult-to-treat IBD) [11]. Наш пациент соответствует данной категории больных: у него наблюдалась неэффективность современных методов лечения БК (двух линий ГИБТ), поэтому решение о применении ВИСТ-АТГСК было полностью обоснованным. Метод ВИСТ-АТГСК показал эффективность в индукции и сохранении клинической, лабораторной и эндоскопической ремиссии к 26-й неделе наблюдения у пациента с рефрактерным течением БК, без потребности в возобновлении иммуносупрессивной терапии.
Метод ВИСТ-АТГСК относительно новый в лечении пациентов неонкогематологического профиля. Он отличается от стандартных методов лечения БК использованием комбинации высоких доз цитостатических иммуносупрессивных препаратов и лимфодеплетирующей терапии. Применение иммуноаблативных режимов кондиционирования способствует глубокой лимфодеплеции, а отсутствие необходимости использования высокотоксичных миелоаблативных режимов обеспечивает безопасность процедуры за счет быстрого восстановления миелоидного кроветворения с низкой частотой тяжелых нейтропенических инфекций и кровотечений в период цитопении. Иммунная реконституция после аутологичной трансплантации гемопоэтических стволовых клеток сопровождается восстановлением гемопоэза de novo и «перезагрузкой» нарушенных механизмов периферической иммунологической толерантности. Такая «перезагрузка» приводит к достижению ремиссии БК, а в случае развития рецидива заболевания, как правило, его течение характеризуется возобновлением чувствительности к базисной терапии, несмотря на предшествующую потерю ответа [18, 19].
Режим кондиционирования, применявшийся в нашем клиническом случае, является немиелоаблативным и иммуноаблативным, используется при аллогенной трансплантации гемопоэтических стволовых клеток у онкогематологических пациентов, при этом обладает минимальной органной и отсроченной гематологической токсичностью, которая нивелируется трансфузией аутологичных стволовых клеток. В свою очередь, выполнение аллогенной трансплантации гемопоэтических стволовых клеток с целью элиминации патологического процесса, лежащего в основе патогенеза БК, в настоящее время нецелесообразно в связи с возможным высоким риском развития осложнений, сопряженных с самим методом [12].
К настоящему времени проведены два рандомизированных контролируемых исследования метода ВИСТ-АТГСК для лечения рефрактерной БК: ASTIC [20] и ASTIC-lite [21], результаты которых довольно спорны и получили ряд замечаний ведущих экспертов [12]. Основная проблема, ограничивающая использование метода, – частота серьезных побочных эффектов [22, 23]. По данным недавнего систематического обзора с метаанализом, который включал 12 различных исследований по применению аутологичной трансплантации гемопоэтических стволовых клеток при рефрактерной БК, была подтверждена эффективность метода в индукции и поддержании ремиссии болезни, а также для лечения перианальных свищей. Корректная работа медицинской команды специалистов имеет важное значение для минимизации риска нежелательных явлений и обеспечения эффективности процедуры [24].
Заключение
Процедура ВИСТ-АТГСК видится перспективным терапевтическим инструментом для пациентов с рефрактерной БК. В нашем клиническом наблюдении данный метод показал эффективность в индукции клинико-лабораторной и эндоскопической ремиссии после безуспешной последовательной терапии двумя генно-инженерными биологическими препаратами, без серьезных нежелательных явлений. Для оценки эффективности, безопасности ВИСТ-АТГСК, определения профиля пациента – кандидата для применения метода, выбора оптимальных режима кондиционирования, сроков и схем противорецидивной терапии необходимо дальнейшее накопление клинического материала.
Дополнительная информация
Согласие пациента
Пациент добровольно подписал информированное согласие на публикацию персональной медицинской информации в обезличенной форме в журнале «Альманах клинической медицины».
Финансирование
Работа выполнена без привлечения дополнительного финансирования со стороны третьих лиц.
Конфликт интересов
Авторы декларируют отсутствие явных и потенциальных конфликтов интересов, связанных с публикацией настоящей статьи.
Участие авторов
Е.Г. Ганич – ведение пациента, сбор и анализ информации о пациенте, сбор информации о методе, возможности его применения, написание статьи; О.Б. Щукина, Ю.Р. Залялов, А.А. Цынченко, А.А. Каманин, А.Н. Куликов – ведение пациента, сбор и анализ информации о пациенте, сбор информации о методе, возможности его применения, существенная переработка содержания статьи; А.Ю. Полушин – отбор пациента, сбор информации о методе, возможности его применения, существенная переработка содержания статьи; А.Д. Кулагин, С.Ф. Багненко – отбор пациента, сбор и анализ информации о пациенте, сбор информации о методе, возможности его применения, существенная переработка содержания статьи. Все авторы прочли и одобрили финальную версию статьи перед публикацией, согласны нести ответственность за все аспекты работы и гарантируют, что ими надлежащим образом были рассмотрены и решены вопросы, связанные с точностью и добросовестностью всех частей работы.
Благодарности
Коллектив авторов благодарит Собко Виктора Юрьевича за консультирование и предоставление фотографий магнитно-резонансной энтерографии, Барышникову Викторию Викторовну за консультирование и предоставление фотографий илеоколоноскопии.
1 Болезнь Крона. Клинические рекомендации Министерства здравоохранения Российской Федерации. 2024. Доступно по: https://cr.minzdrav.gov.ru/recomend/176_2 (дата обращения 05.11.2024).
About the authors
Ekaterina G. Ganich
Academician I.P. Pavlov First St. Petersburg State Medical University
Author for correspondence.
Email: dr.ganich@yandex.ru
ORCID iD: 0000-0003-1376-4651
MD, Gastroenterologist, Inflammatory Bowel Disease Unit of the Outpatient Clinic
Russian Federation, ul. Lva Tolstogo 6–8, St. Petersburg, 197022Oksana B. Shchukina
Academician I.P. Pavlov First St. Petersburg State Medical University
Email: burmao@gmail.com
ORCID iD: 0000-0001-8402-0743
MD, PhD, Professor, Chair of General Medical Practice (Family Medicine), Head of the Inflammatory Bowel Disease Unit of the Outpatient Clinic
Russian Federation, ul. Lva Tolstogo 6–8, St. Petersburg, 197022Alexey Y. Polushin
Academician I.P. Pavlov First St. Petersburg State Medical University
Email: alexpolushin@yandex.ru
ORCID iD: 0000-0001-8699-2482
MD, PhD, Associate Professor, Head of the Scientific and Clinical Center of Transplantation and Cell Therapy for Autoimmune and Neurodegenerative Diseases
Russian Federation, ul. Lva Tolstogo 6–8, St. Petersburg, 197022Yuri R. Zalyalov
Academician I.P. Pavlov First St. Petersburg State Medical University
Email: yz21@mail.ru
ORCID iD: 0000-0002-3881-4486
MD, PhD, Hematologist, Head of the Chemotherapy and Bone Marrow Transplantation Unit, Scientific and Clinical Center of Chemotherapy and Bone Marrow Transplantation for Oncological and Autoimmune Diseases
Russian Federation, ul. Lva Tolstogo 6–8, St. Petersburg, 197022Alexander A. Tsynchenko
Academician I.P. Pavlov First St. Petersburg State Medical University
Email: dr.tsynchenko@gmail.com
ORCID iD: 0000-0002-0015-4777
MD, Hematologist, Scientific and Clinical Center of Chemotherapy and Bone Marrow Transplantation for Oncological and Autoimmune Diseases
Russian Federation, ul. Lva Tolstogo 6–8, St. Petersburg, 197022Alexey A. Kamanin
Academician I.P. Pavlov First St. Petersburg State Medical University
Email: alexkamanin@yandex.ru
ORCID iD: 0000-0002-8432-9182
MD, PhD, Coloproctologist, Associate Professor, Department of General Surgery
Russian Federation, ul. Lva Tolstogo 6–8, St. Petersburg, 197022Alexander N. Kulikov
Academician I.P. Pavlov First St. Petersburg State Medical University
Email: ankulikov2005@yandex.ru
ORCID iD: 0000-0002-4544-2967
MD, PhD, Professor, Head of the Department of Propaedeutics of Internal Diseases, Head of the Department of Functional Diagnostics, Director of the Research Center
Russian Federation, ul. Lva Tolstogo 6–8, St. Petersburg, 197022Alexander D. Kulagin
Academician I.P. Pavlov First St. Petersburg State Medical University
Email: kulagingem@rambler.ru
ORCID iD: 0000-0002-9589-4136
MD, PhD, Professor, Director of the Raisa Gorbacheva Memorial Research Institute of Children Oncology, Hematology and Transplantation, Head of the Department of Hematology, Transfusiology and Transplantology with а Сourse in Pediatric Oncology named after Professor B.V. Afanasyev, Faculty of Postgraduate Studies
Russian Federation, ul. Lva Tolstogo 6–8, St. Petersburg, 197022Sergey F. Bagnenko
Academician I.P. Pavlov First St. Petersburg State Medical University
Email: rector@1spbgmu.ru
ORCID iD: 0000-0002-6380-137X
Scopus Author ID: 6701742188
MD, PhD, Professor, Academician of Russ. Acad. Sci., Rector
Russian Federation, ul. Lva Tolstogo 6–8, St. Petersburg, 197022References
- Freeman K, Ryan R, Parsons N, Taylor-Phillips S, Willis BH, Clarke A. The incidence and prevalence of inflammatory bowel disease in UK primary care: A retrospective cohort study of the IQVIA Medical Research Database. BMC Gastroenterol. 2021;21(1):139. doi: 10.1186/s12876-021-01716-6.
- Ng SC, Shi HY, Hamidi N, Underwood FE, Tang W, Benchimol EI, Panaccione R, Ghosh S, Wu JCY, Chan FKL, Sung JJY, Kaplan GG. Worldwide incidence and prevalence of inflammatory bowel disease in the 21st century: A systematic review of population-based studies. Lancet. 2017;390(10114):2769–2778. doi: 10.1016/S0140-6736(17)32448-0.
- Aniwan S, Park SH, Loftus EV Jr. Epidemiology, natural history, and risk stratification of Crohn’s disease. Gastroenterol Clin North Am. 2017;46(3):463–480. doi: 10.1016/ j.gtc.2017.05.003.
- Turner D, Ricciuto A, Lewis A, D'Amico F, Dhaliwal J, Griffiths AM, Bettenworth D, Sandborn WJ, Sands BE, Reinisch W, Schölmerich J, Bemelman W, Danese S, Mary JY, Rubin D, Colombel JF, Peyrin-Biroulet L, Dotan I, Abreu MT, Dignass A; International Organization for the Study of IBD. STRIDE-II: An update on the Selecting Therapeutic Targets in Inflammatory Bowel Disease (STRIDE) initiative of the International Organization for the Study of IBD (IOIBD): Determining therapeutic goals for treat-to-target strategies in IBD. Gastroenterology. 2021;160(5):1570–1583. doi: 10.1053/ j.gastro.2020.12.031.
- Kennedy NA, Heap GA, Green HD, Hamilton B, Bewshea C, Walker GJ, Thomas A, Nice R, Perry MH, Bouri S, Chanchlani N, Heerasing NM, Hendy P, Lin S, Gaya DR, Cummings JRF, Selinger CP, Lees CW, Hart AL, Parkes M, Sebastian S, Mansfield JC, Irving PM, Lindsay J, Russell RK, McDonald TJ, McGovern D, Goodhand JR, Ahmad T; UK Inflammatory Bowel Disease Pharmacogenetics Study Group. Predictors of anti-TNF treatment failure in anti-TNF-naive patients with active luminal Crohn’s disease: A prospective, multicentre, cohort study. Lancet Gastroenterol Hepatol. 2019;4(5):341–353. doi: 10.1016/S2468-1253(19)30012-3.
- Falloon KA, Fiocchi C. Current therapy in inflammatory bowel disease: Why and how we need to change? EMJ Innov. 2022;6(1):40–49. doi: 10.33590/emjinnov/21-00134.
- Rubín de Célix C, Chaparro M, Gisbert JP. Real-world evidence of the effectiveness and safety of ustekinumab for the treatment of Crohn’s disease: Systematic review and meta-analysis of observational studies. J Clin Med. 2022;11(14):4202. doi: 10.3390/ jcm11144202.
- Peyrin-Biroulet L, Danese S, Argollo M, Pouillon L, Peppas S, Gonzalez-Lorenzo M, Lytras T, Bonovas S. Loss of response to vedolizumab and ability of dose intensification to restore response in patients with Crohn’s disease or ulcerative colitis: A systematic review and meta-analysis. Clin Gastroenterol Hepatol. 2019;17(5):838–846.e2. doi: 10.1016/ j.cgh.2018.06.026.
- Torres J, Mehandru S, Colombel JF, Peyrin-Biroulet L. Crohn’s disease. Lancet. 2017;389(10080):1741–1755. doi: 10.1016/S0140-6736(16)31711-1.
- Scow JS. Modern surgery for Crohn’s disease: When to divert, impact of biologics on infectious complications, and surgical techniques to decrease post-operative recurrence of Crohn’s disease. Surg Open Sci. 2024;19:20–23. doi: 10.1016/j.sopen.2024.02.003.
- Parigi TL, D’Amico F, Abreu MT, Dignass A, Dotan I, Magro F, Griffiths AM, Jairath V, Iacucci M, Mantzaris GJ, O’Morain C, Reinisch W, Sachar DB, Turner D, Yamamoto T, Rubin DT, Peyrin-Biroulet L, Ghosh S, Danese S. Difficult-to-treat inflammatory bowel disease: Results from an international consensus meeting. Lancet Gastroenterol Hepatol. 2023;8(9):853–859. doi: 10.1016/S2468-1253(23)00154-1.
- Ganich EG, Shchukina OB, Polushin AYu, Zalyalov YuR, Kulikov AN, Dobronravov VA, Kulagin AD. [High-dose immunosuppressive therapy with autologous hematopoietic stem cell transplantation in Crohn disease: literature review]. New St. Petersburg Medical Records. 2024;(2):11–24. Russian. doi: 10.24884/1609-2201-2024-103-2-11-24.
- Alexander T, Greco R. Hematopoietic stem cell transplantation and cellular therapies for autoimmune diseases: Overview and future considerations from the Autoimmune Diseases Working Party (ADWP) of the European Society for Blood and Marrow Transplantation (EBMT). Bone Marrow Transplant. 2022;57(7):1055–1062. doi: 10.1038/s41409-022-01702-w.
- Makarov SV, Rossiev VA, Mishchenko OV, Kozlov VA, Semagina OV, Alexandrova IY, Grishina GV, Minaev YL. [The role and place of high-dose immunosuppressive therapy and autologous transplantation of hematopoietic stem cells for autoimmune diseases]. Therapeutic Archive. 2016;88(1):53–59. Russian. doi: 10.17116/terarkh201688153-59.
- Polushin AYu, Zalyalov YuR, Gavrilenko AN, Tsynchenko AA, Lopatina EI, Skiba IB, Estrina MA, Babenko EV, Gotovchikov AA, Prakhova LN, Ilves AG, Totolyan NA, Kulagin AD, Skoromets AA. [High-dose immunosuppressive therapy with autologous hematopoietic stem cell transplantation in multiple sclerosis: preliminary clinical results of approbation of the method]. Russian Neurological Journal. 2022;27(5):25–35. Russian. doi: 10.30629/2658-7947-2022-27-5-25-35.
- Lisukov IA, Sizikova SA, Kulagin AD, Kruchkova IV, Gilevich AV, Konenkova LP, Zonova EV, Chernykh ER, Leplina OY, Sentyakova TN, Demin AA, Kozlov VA. High-dose immunosuppression with autologous stem cell transplantation in severe refractory systemic lupus erythematosus. Lupus. 2004;13(2):89–94. doi: 10.1191/0961203304lu491oa.
- Muraro PA, Martin R, Mancardi GL, Nicholas R, Sormani MP, Saccardi R. Autologous haematopoietic stem cell transplantation for treatment of multiple sclerosis. Nat Rev Neurol. 2017;13(7):391–405. doi: 10.1038/nrneurol.2017.81.
- Snowden JA, Badoglio M, Alexander T. The rise of autologous HCT for autoimmune diseases: What is behind it and what does it mean for the future of treatment? An update on behalf of the EBMT autoimmune diseases working party. Expert Rev Clin Immunol. 2019;15(10):981–985. doi: 10.1080/1744666X.2019.1656526.
- Pockley AG, Lindsay JO, Foulds GA, Rutella S, Gribben JG, Alexander T, Snowden JA. Immune reconstitution after autologous hematopoietic stem cell transplantation in Crohn’s disease: Current status and future directions. A review on behalf of the EBMT Autoimmune Diseases Working Party and the Autologous Stem Cell Transplantation In Refractory Cd-Low Intensity Therapy Evaluation Study Investigators. Front Immunol. 2018;9:646. doi: 10.3389/fimmu.2018.00646.
- Hawkey CJ, Allez M, Clark MM, Labopin M, Lindsay JO, Ricart E, Rogler G, Rovira M, Satsangi J, Danese S, Russell N, Gribben J, Johnson P, Larghero J, Thieblemont C, Ardizzone S, Dierickx D, Ibatici A, Littlewood T, Onida F, Schanz U, Vermeire S, Colombel JF, Jouet JP, Clark E, Saccardi R, Tyndall A, Travis S, Farge D. Autologous hematopoetic stem cell transplantation for refractory Crohn disease: A randomized clinical trial. JAMA. 2015;314(23):2524–2534. doi: 10.1001/jama.2015.16700.
- Snowden JA, Hawkey C, Hind D, Swaby L, Mellor K, Emsley R, Mandefield L, Lee E, Badoglio M, Polge E, Labopin M, Gribben J, Pockley AG, Foulds GA, Lobo A, Travis S, Parkes M, Satsangi J, Papaioannou D, Lindsay JO; Autologous Stem Cell Transplantation In Refractory CD – Low Intensity Therapy Evaluation Study Investigators; European Society for Blood and Marrow Transplantation (EBMT) Autoimmune Diseases Working Party (ADWP). Autologous stem cell transplantation in refractory Crohn’s disease – low intensity therapy evaluation (ASTIClite): Study protocols for a multicentre, randomised controlled trial and observational follow up study. BMC Gastroenterol. 2019;19(1):82. doi: 10.1186/s12876-019-0992-2.
- Lindsay JO, Allez M, Clark M, Labopin M, Ricart E, Rogler G, Rovira M, Satsangi J, Farge D, Hawkey CJ; ASTIC trial group; European Society for Blood and Marrow Transplantation Autoimmune Disease Working Party; European Crohn’s and Colitis Organisation. Autologous stem-cell transplantation in treatment-refractory Crohn’s disease: An analysis of pooled data from the ASTIC trial. Lancet Gastroenterol Hepatol. 2017;2(6):399–406. doi: 10.1016/S2468-1253(17)30056-0.
- Lindsay J, Din S, Hawkey C, Hind D, Irving P, Lobo A, Mahida Y, Moran G, Parkes M, Satsangi J, Subramanian S, Swaby L, Travis S, Snowden J. OFR-9 An RCT of autologous stem-cell transplantation in treatment refractory Crohn’s disease (low-intensity therapy evaluation): ASTIClite. Gut. 2021;70:A4. doi: 10.1136/gutjnl-2021-bsg.6.
- Serrano-Fernandez V, Carmona-Torres JM, Arroyo-Rodriguez A, Lopez-Gonzalez A, Rabanales-Sotos J, Laredo-Aguilera JA. Hematopoietic stem cell transplantation therapy for refractory Crohn disease: A systematic review and meta-analysis. Medicine (Baltimore). 2024;103(42):e40144. doi: 10.1097/MD.0000000000040144.
Supplementary files









