Use of spectral computed tomography in the diagnosis of posttraumatic mastoiditis complicated by a Bezold’s abscess and a phlegmon of the neck: a clinical case
- Authors: Stepanova E.A.1, Egorov V.I.1, Belyaeva A.P.1, Gerasimenko M.V.1
-
Affiliations:
- Moscow Regional Research and Clinical Institute (MONIKI)
- Issue: Vol 52, No 7 (2024)
- Pages: 398-404
- Section: CLINICAL CASES
- URL: https://ogarev-online.ru/2072-0505/article/view/280039
- DOI: https://doi.org/10.18786/2072-0505-2024-52-039
- ID: 280039
Cite item
Full Text
Abstract
Bezold’s abscess is a rare intra-temporal complication of mastoiditis; it is a deep cervical abscess with the spread of infection from the mastoid to medial to the attachment of the sternocleidomastoid muscle. There are less than 100 cases of Bezold’s abscess described in the literature. Computed tomography (CT) of the temporal bone and neck has been accepted as a tool for the primary and precise diagnostics. The most common radiological signs include destructive abnormalities of the temporal mastoid (53 to 67% of the cases) and an abscess in the neck soft tissues (60% of the cases). There have been isolated reports on the presence of a substrate in the mastoid without any visible destruction.
We present a rare clinical case of primary posttraumatic mastoiditis complicated by Bezold’s abscess and phlegmon of the neck. Patient S., 39 years old, was admitted with complaints of discharge from the right ear, decreased hearing on the right side, tenderness in the right retroauricular region, erythema and swelling on the lateral neck surface, and increased body temperature to 38.3 °C. A week before hospitalization, he had been hit in his right ear. CT of the temporal bones showed no mastoid destruction. The contrast-enhanced neck CT in the conventional mode was unremarkable for any liquid-containing masses and thickening or lumping. Virtual mono-energetic images 40 keV generated from spectral CT scans were able to identify liquid-containing delimited masses representing the accumulation of pus. The patient underwent right antromastoidectomy, with opening and drainage of the neck phlegmon. In the postoperative period, his condition improved with a decrease in clinical signs and symptoms and serum inflammatory markers. The patient was discharged home on the 10th day to be followed up by an ENT specialist.
This clinical observation of a rare atypical mastoiditis in an adult patient demonstrates the important role of CT in the diagnosis and assessment of the disease zone to determine the surgical strategy. The potential of spectral CT allows to visualize neck abscesses before the planning of a surgical intervention and to confirm the clinically based anticipated diagnosis.
Full Text
Мастоидит – деструктивный остео-периостит ячеистой структуры сосцевидного отростка. Обычно развивается как осложнение острого гнойного воспаления среднего уха или при обострении хронического гнойного среднего отита [1]. В общей популяции на мастоидит приходится до 2 случаев на 100 тыс. населения, пик заболеваемости отмечается на 2–3-й годы жизни [1, 2].
Выделяют первичный мастоидит (травматический, гематогенный), при котором процесс в сосцевидном отростке развивается без предшествующего среднего отита, и вторичный, являющийся интратемпоральным осложнением острого среднего отита. При травмах вследствие образования трещин, мелких костных отломков, а также наличия геморрагического отделяемого в полостях среднего уха создаются благоприятные условия для развития воспалительного процесса с последующей деструкцией костных ячеек сосцевидного отростка. Нередко воспаление выходит за пределы сосцевидного отростка и распространяется на окружающие мягкие ткани [3].
При мастоидите пациенты предъявляют жалобы на боль в ухе и позади ушной раковины с иррадиацией в область виска, темени, затылка, гноетечение из уха, повышение температуры тела до фебрильного уровня, головную боль, слабость. Часто наблюдается инфильтрация мягких тканей и гиперемия кожи в заушной области, оттопыренность ушной раковины [4, 5].
К атипичным формам относят зигоматицит, петрозит, сквамит и верхушечно-шейные мастоидиты (Бецольда, Орлеанского, Мура, Чителли) [6, 7]. В случае распространения воспаления на клетчаточные пространства шеи отмечают появление болезненного инфильтрата в подчелюстной области и по боковой поверхности шеи с последующим развитием флегмоны шеи – абсцесса Бецольда (впервые описан в 1881 г.). С появлением антибиотиков количество зарегистрированных случаев абсцесса Бецольда значительно сократилось. Сегодня мастоидит Бецольда считается редким клиническим наблюдением [8], встречается как у детей, так и у взрослых, среди пациентов преобладают мужчины [9, 10]. В литературе за период наблюдений описано менее 100 случаев абсцесса Бецольда [7, 9].
При верификации мастоидита, особенно атипичных его форм, кроме клинических проявлений, таких как боль, отек боковой поверхности шеи, постаурикулярная болезненность над пораженным сосцевидным отростком, ведущую роль играет лучевая диагностика [9]. Учитывая редкость возникновения мастоидита шейной локализации, необходимо тщательно оценивать данные лучевых исследований как для определения признаков мастоидита, так и для выявления возможной флегмоны шеи.
При установлении диагноза мастоидита, наличии признаков распространения воспаления за пределы сосцевидного отростка показано хирургическое лечение по срочным показаниям: антромастоидотомия [11] и, при наличии клинико-диагностических данных, вскрытие клетчаточных пространств шеи [12].
Представленное ниже клиническое наблюдение редко встречающейся атипичной формы мастоидита у взрослого пациента показывает важную роль компьютерной томографии (КТ) в диагностике и оценке зоны изменений для определения возможности хирургического лечения и его объема.
Клиническое наблюдение
Пациент С. 39 лет поступил в приемное отделение ГБУЗ МО «Московский областной научно-исследовательский клинический институт им. М.Ф. Владимирского» (ГБУЗ МО МОНИКИ им. М.Ф. Влади-мирского) с жалобами на гнойные выделения из правого уха, снижение слуха на него, болезненность в заушной области справа, покраснение и припухлость по боковой поверхности шеи, повышение температуры тела до 38,3 °C. Из анамнеза известно, что за неделю до госпитализации получил удар в область правого уха, после которого появились заложенность в правом ухе, уплотнение в заушной области. Спустя 5 суток после травмы пациент стал отмечать головную боль, наиболее выраженную в правой височной области, гнойное отделяемое из правого уха, боли по переднебоковой поверхности шеи справа, усиливающиеся при повороте головы. Самостоятельно принимал нестероидные противовоспалительные средства. В связи с некупируемым болевым синдромом, появлением припухлости по боковой поверхности шеи пациент обратился в приемное отделение ГБУЗ МО МОНИКИ им. М.Ф. Владимирского, госпитализирован в лор-отделение по экстренным показаниям.
При поступлении: общее состояние средней степени тяжести, температура тела – 38 °C. Сознание ясное, контактен, адекватен, менингеальные знаки и очаговая неврологическая симптоматика не выявлены.
При осмотре обращало на себя внимание изменение конфигурации шеи за счет болезненного при пальпации инфильтрата в подчелюстной области и по правой переднебоковой поверхности шеи. Кожные покровы в проекции инфильтрата гиперемированы. Повороты головы сопровождались выраженной болезненностью. При осмотре лор-органов в правой заушной области выявлена припухлость, болезненная при пальпации, гиперемия, флюктуации не отмечалось (рис. 1). При отоскопии установлено: правый наружный слуховой проход широкий, содержал гнойное отделяемое, барабанная перепонка гиперемирована, инфильтрирована, имела перфорацию размерами до 2 мм в задненижнем квадранте, через перфорацию поступало гнойное отделяемое. Слух на правое ухо снижен (шепотная речь – 1 м, разговорная речь – 3,5 м). Проба Вебера латерализовалась вправо. По другим лор-органам – без патологии.
Рис. 1. Инфильтрат по переднебоковой поверхности шеи справа
При клинико-лабораторном обследовании в анализе крови выявлен лейкоцитоз до 24 × 109/л (норма – 4,5–11 × 109/л) со сдвигом лейкоцитарной формулы влево, повышение С-реактивного белка до 369 мг/л (норма – 0–5 мг/л).
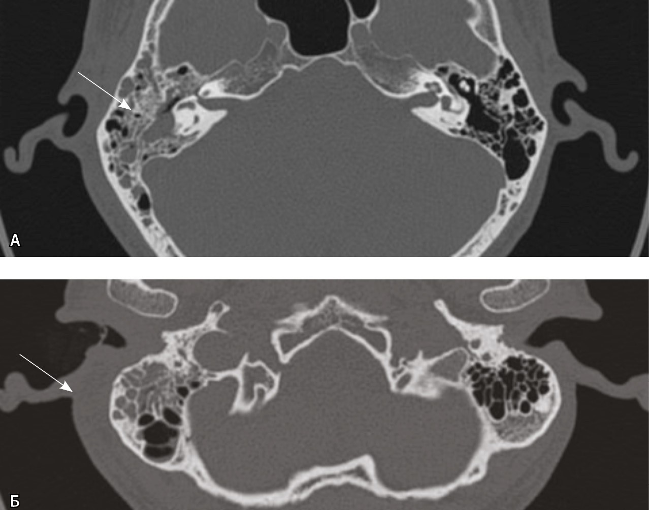
Выполнена КТ височных костей, а затем КТ шеи с контрастом. При КТ височной кости справа определялся пневматического типа строения сосцевидный отросток, практически все ячейки которого были выполнены субстратом. При этом деструктивных изменений как костных стенок ячеек, так и кортикального слоя достоверно не определено (рис. 2).
Рис. 2. Компьютерная томография височной кости, аксиальный скан, костное окно. А – в клетках сосцевидного отростка, антруме и барабанной полости справа определяется содержимое (стрелка); Б – асимметричное утолщение парааурикулярных мягких тканей справа (стрелка)
При КТ основания черепа и шеи до и после внутривенного болюсного введения йодсодержащего контрастного препарата (в рекомендуемом согласно инструкции по применению препарата объеме и с рекомендованной скоростью введения) и дальнейшем анализе сканов в абдоминальном окне начиная с уровня наружного основания черепа справа имелось явно определяемое асимметричное утолщение мягких тканей и уплотнение клетчаточных пространств. Однако на фоне утолщенных мягких тканей в режиме обычной визуализации дополнительных жидкостных образований, требующих хирургического вмешательства, не обнаружено. Так как исследование выполняли на компьютерном томографе Philips iQon Spectral CT (Philips, Нидерланды), был проведен анализ моноэнергетических изображений с низкими энергиями. Это позволило выявить в толще измененных мягких тканей на уровне сосцевидного отростка, в парафарингеальном пространстве низкоконтрастные сообщающиеся жидкостные образования – скопления гноя, которые на обычных изображениях не определялись и могли быть пропущены врачом-рентгенологом (рис. 3).
Рис. 3. Компьютерная томография шеи, венозная фаза. Фронтальная реконструкция и аксиальный скан. А, Б – обычный режим, мягкотканное окно; В, Г – моноэнергетическое изображение 40 кеВ на том же уровне: виден субпериостальный абсцесс вдоль латеральной поверхности верхушки сосцевидного отростка (стрелки), не определяемый в обычном режиме
Заключение по проведенному исследованию: правосторонний мастоидит, субпериостальный абсцесс на уровне верхушки правого сосцевидного отростка (абсцесс Бецольда), флегмона шеи справа.
На основании жалоб, анамнеза заболевания, данных объективного осмотра, результатов лабораторно-инструментальных исследований установлен диагноз: «Правосторонний острый гнойный средний отит. Посттравматический острый мастоидит. Флегмона шеи».
Выполнено оперативное вмешательство по экстренным показаниям: антромастоидотомия справа, вскрытие и дренирование флегмоны шеи. В ходе операции выявлена деструкция кортикального слоя сосцевидного отростка в области верхушки; ячейки сосцевидного отростка, антрум заполнены гнойным отделяемым, утолщенной слизистой. Все патологические образования удалены. Установлен антрум-дренаж. Выполнен разрез по передней поверхности грудино-ключично-сосцевидной мышцы справа. Проведена ревизия парафарингеального, ретрофарингеального, превертебрального пространств, получено гнойное отделяемое, установлены двухпросветные дренажи. Рану вели открыто.
В послеоперационном периоде пациент получал антибактериальную терапию: цефтриаксон 2 г в сутки внутривенно, метронидазол 1500 мг в сутки внутривенно в течение 9 суток. Проводились ежедневные перевязки, промывание ран по дренажам. В первые 2 дня после операции промывные воды были мутными, с примесью гнойного отделяемого. Антрум-дренаж удален на 3-и сутки, двухпросветные дренажи – на 6-е сутки после операции. На 8-й день выполнено наложение вторичных швов на рану шеи под местной анестезией.
На 10-е сутки в удовлетворительном состоянии пациент выписан под наблюдение лор-врача по месту жительства. При отоскопии правый наружный слуховой проход широкий, барабанная перепонка серая, умеренно утолщена, имела перфорацию размерами до 2 мм в задненижнем квадранте с ровными краями, отделяемого через перфорацию не поступало. Слух на правое ухо снижен (шепотная речь – 3 м, разговорная речь – 4,5 м). На аудиограмме пороги слуха на речевых частотах справа – 38/17 дБ, слева – 10/6 дБ.
Обсуждение
Абсцесс Бецольда можно охарактеризовать как редкое интратемпоральное осложнение мастоидита в виде глубокого шейного абсцесса, при котором инфекция распространяется из сосцевидного отростка между ним и прикреплением грудино-ключично-сосцевидной мышцы. Далее инфекция может распространяться в другие шейные пространства, в том числе ограниченные глубокой шейной фасцией, вызывать прогрессирующую флегмону шеи и даже тромбоз внутренней яремной вены [10].
Наиболее важным фактором, способствующим развитию абсцесса Бецольда, считается наличие хорошо пневматизированного сосцевидного отростка височной кости. По мере того как происходит процесс пневматизации сосцевидного отростка, окружающие его стенки истончаются, особенно в области верхушки, где крепится двубрюшная мышца. Если инфекцию не остановить, наружные стенки верхушки сосцевидного отростка вовлекаются в распространение инфекции вдоль грудино-ключично-сосцевидной мышцы, трапециевидной мышцы и ременной мышцы головы [13].
Так как лечение этого заболевания хирургическое, абсцесс должен быть тщательно дренирован. Показание к хирургическому вмешательству и его объем определяют на основании жалоб, анамнеза и осмотра, а также данных КТ с контрастным усилением. Задача рентгенолога – обнаружить костную деструкцию стенок сосцевидного отростка для подтверждения предполагаемого мастоидита, а вторым этапом – возможные скопления жидкости в мягких тканях шеи. В нашем клиническом наблюдении достоверных данных за наличие костной деструкции сосцевидного отростка не было, что могло повести рентгенолога по ложному пути. В этой ситуации более важным было обнаружение жидкостных скоплений на шее – единственного признака, подтверждающего клинические предположения.
В литературе абсцесс Бецольда представлен единичными клиническими наблюдениями. A.S. Alkhaldi и соавт. проанализировали 28 описаний этого редко встречаемого осложнения гнойного мастоидита (27 случаев, опубликованных в период с 2000 по 2020 г., и 1 собственное наблюдение) с точки зрения лучевых находок [8]. В одном из 28 случаев не было зафиксировано никаких лучевых признаков. При анализе рентгенологических данных 27 случаев наиболее часто регистрировали 2 признака: деструктивные изменения сосцевидного отростка височной кости (67% (18 из 27) случаев) и абсцесс в мягких тканях шеи (59,6% (16 из 27) случаев). Наличие субстрата в сосцевидном отростке без визуализации литических изменений зафиксировано в 5 (18,5%) наблюдениях, при этом 4 из 5 работ опубликованы в период с 2001 по 2006 г. [8], когда компьютерные исследования проводились с разрешением, недостаточным для выявления деструктивных изменений. Из более поздних наблюдений (2013 г.) только в 1 случае не описано наличие костной деструкции [14], но у этого пациента в анамнезе было оперативное лечение холестеатомы. Третьим по частоте встречаемости лучевым признаком абсцесса Бецольда было поражение грудино-ключично-сосцевидной мышцы (33,3% (9 из 27) случаев), при этом изменения варьировали от воспалительной инфильтрации (с изменением сигнала при магнитно-резонансной томографии (МРТ), толщины и плотностных характеристик при КТ) до наличия абсцессов в структуре мышцы [8]. Тромбоз сигмовидного синуса встретился в 22,2% (6 из 27) случаев; с такой же частотой регистрировали сопутствующую холестеатому (имеет свои лучевые признаки) [8], соответственно, можно предположить, что сосцевидный отросток, как и остальные полости среднего уха, был изменен хроническим воспалительным процессом в нем. Изменение заглоточного и предпозвоночного пространств, изолированный тромбоз внутренней яремной вены как в области луковицы, так и на уровне экстракраниальных отделов встречались редко (11 и 3,7% случаев) [8]. У единичных пациентов наблюдались интракраниальные осложнения: деструкция затылочной кости, воспалительные изменения менингеальных оболочек, оболочечная эмпиема, абсцесс мозжечка и септическая эмболия легких как признак генерализации процесса [8]. Таким образом, рентгенологические и клинические признаки абсцесса Бецольда весьма разнообразны, и даже часто встречаемые и наиболее характерные признаки, такие как деструкция сосцевидного отростка и наличие абсцесса в мягких тканях шеи, можно считать нестойкими, что затрудняет рентгенологическую интерпретацию.
Диагностику абсцесса Бецольда осложняет не только вариабельность клинических и лучевых симптомов, но и недостаток знаний врачей вследствие редкой встречаемости этой патологии. В 2022 г. S. Valeggia и соавт. выполнили систематизированный обзор 97 клинических наблюдений (включая 4 собственных случая) абсцесса Бецольда, опубликованных в англоязычной и испаноязычной литературе в период с 1881 по 2021 г. [9]. Описаны 16 различных клинических симптомов, в том числе поражение черепных нервов. Наиболее частым (60%) был отек шеи, остальные симптомы встречались реже. КТ была проведена у 80% пациентов, МРТ – у 22%. Деструкция сосцевидного отростка выявлена у 51 из 97 (53%) больных, особенно при наличии сопутствующей холестеатомы. У 7 из 97 (7%) пациентов, как и в нашем наблюдении, отмечен неповрежденный сосцевидный отросток. По мнению S. Valeggia и соавт., именно КТ шеи с контрастным усилением должна показывать наличие абсцесса шеи и точно определять его анатомические границы [9]. КТ и МРТ названы основными методами диагностики, подтверждающими наличие эрозии верхушки сосцевидного отростка. Диагноз может быть установлен при правильном применении КТ. МРТ играет ограниченную диагностическую роль, но может иметь решающее значение при подозрении на внутричерепные осложнения или наличие холестеатомы [9].
В нашем клиническом наблюдении применена спектральная КТ – технология, которая на основе анализа информации, полученной в результате использования рентгеновских лучей с различными уровнями энергии, позволяет проводить бо`льшую дифференциацию материалов, чем обычная КТ. У некоторых материалов показатели относительного поглощения рентгеновских лучей варьируют в зависимости от того, на каком уровне энергии они испускаются. Это свойство позволяет дифференцировать структуры с одинаковой плотностью, но разным элементным составом [15]. Описаны наиболее востребованные зоны и патологии для применения спектральной КТ в неотложной радиологии. Среди основных показаний к применению этой технологии указано обнаружение абсцессов области головы и шеи [16, 17]. В нашем случае не потребовался предварительный выбор протокола спектральной КТ, поскольку спектральные данные доступны для каждого сканирования. Был проведен ретроспективный спектральный анализ, который оказался особенно важным с учетом экстренности и неожиданных полученных результатов.
Заключение
Описанный случай – редкое клиническое наблюдение первичного мастоидита посттравматического генеза, осложненного абсцессом Бецольда и флегмоной шеи. Для достижения выздоровления было необходимо выполнение одномоментной санации полостей среднего уха и дренирования клетчаточных пространств шеи. Использование возможностей спектральной КТ позволило визуализировать абсцессы шеи перед планированием оперативного лечения и подтвердить клинически предполагаемый диагноз.
Дополнительная информация
Согласие пациента
Пациент добровольно подписал информированное согласие на публикацию персональной медицинской информации в обезличенной форме и фотографий в журнале «Альманах клинической медицины».
Финансирование
Работа выполнена без привлечения финансирования со стороны третьих лиц.
Конфликт интересов
Авторы декларируют отсутствие явных и потенциальных конфликтов интересов, связанных с публикацией настоящей статьи.
Участие авторов
Е.А. Степанова – концепция и дизайн статьи, написание и редактирование текста, сбор, анализ и интерпретация данных КТ, утверждение финальной версии статьи; В.И. Егоров – редактирование текста, утверждение финальной версии статьи; А.П. Беляева – сбор, анализ клинических данных; М.В. Герасименко – сбор и анализ клинических данных, написание текста. Все авторы прочли и одобрили финальную версию статьи перед публикацией, согласны нести ответственность за все аспекты работы и гарантируют, что ими надлежащим образом были рассмотрены и решены вопросы, связанные с точностью и добросовестностью всех частей работы.
About the authors
Elena A. Stepanova
Moscow Regional Research and Clinical Institute (MONIKI)
Author for correspondence.
Email: stepanovamoniki@gmail.com
ORCID iD: 0000-0002-9037-0034
MD, PhD, Head of the Department of Radiation Diagnostics, Head of the Chair of Radiation Diagnostics, Postgraduate Training Faculty
Russian Federation, ul. Shchepkina 61/2, Moscow, 129110Viktor I. Egorov
Moscow Regional Research and Clinical Institute (MONIKI)
Email: evi.lor-78@mail.ru
ORCID iD: 0000-0002-8825-5096
MD, PhD, Professor, Senior Research Fellow, Department of Otolaryngology, Head of the Chair of Otolaryngology, Postgraduate Training Faculty
Russian Federation, ul. Shchepkina 61/2, Moscow, 129110Anna P. Belyaeva
Moscow Regional Research and Clinical Institute (MONIKI)
Email: belyaeva0996@yandex.ru
ORCID iD: 0009-0003-0615-5572
MD, Junior Research Fellow, Department of Otolaryngology
Russian Federation, ul. Shchepkina 61/2, Moscow, 129110Mariya V. Gerasimenko
Moscow Regional Research and Clinical Institute (MONIKI)
Email: mariyy99@inbox.ru
ORCID iD: 0000-0002-4241-3220
Сlinical Resident, Chair of Otolaryngology, Postgraduate Training Faculty
Russian Federation, ul. Shchepkina 61/2, Moscow, 129110References
- Bridwell RE, Koyfman A, Long B. High risk and low prevalence diseases: Acute mastoiditis. Am J Emerg Med. 2024;79:63–69. doi: 10.1016/j.ajem.2024.02.009.
- Sarno LD, Cammisa I, Curatola A, Pansini V, Eftimiadi G, Gatto A, Chiaretti A. A scoping review of the management of acute mastoiditis in children: What is the best approach? Turk J Pediatr. 2023;65(6):906–918. doi: 10.24953/turkjped.2023.320.
- Fujiwara RJT, Alonso JE, Ishiyama A. Temporal trends and regionalization of acute mastoiditis management in the United States. Otol Neurotol. 2021;42(5):733–739. doi: 10.1097/MAO.0000000000003050.
- Malik K, Dever LL, Kapila R. Bezold's abscess: A rare complication of suppurative mastoiditis. IDCases. 2019;17:e00538. doi: 10.1016/ j.idcr.2019.e00538.
- Lin YH, Lin MY. Bezold abscess. Ear Nose Throat J. 2015;94(6):E45–46. doi: 10.1177/ 014556131509400621.
- Shpotin VP, Saydulaev VA, Aliev ShM, Fernando DR. [Experience of treatment of patients with atypical mastoiditis]. Difficult patient. 2017;15(4-5):36–39. Russian.
- Winters R, Hogan CJ, Lepore ML, Geiger Z. Bezold abscess. 2023 Jul 4. In: StatPearls [Internet]. Treasure Island (FL): StatPearls Publishing; 2025 Jan–.
- Alkhaldi AS, Alwabili M, Albilasi T, Almuhanna K. Bezold's abscess: A case report and review of cases over 20 years. Cureus. 2022;14(1):e21533. doi: 10.7759/cureus.21533.
- Valeggia S, Minerva M, Muraro E, Bovo R, Marioni G, Manara R, Brotto D. Epidemiologic, imaging, and clinical issues in Bezold's abscess: A systematic review. Tomography. 2022;8(2):920–932. doi: 10.3390/tomography8020074.
- Govea-Camacho LH, Pérez-Ramírez R, Cornejo-Suárez A, Fierro-Rizo R, Jiménez-Sala CJ, Rosales-Orozco CS. Abordaje diagnóstico y terapéutico de las complicaciones de la otitis media en el adulto. Serie de casos y revisión de la literatura [Diagnosis and treatment of the complications of otitis media in adults. Case series and literature review]. Cir Cir. 2016;84(5):398–404. Spanish. doi: 10.1016/ j.circir.2015.05.052.
- Correia-Rodrigues P, Levy J, Luís L. Bezold's abscess complicating acute otomastoiditis: Transmastoid approach for surgical drainage with an exoscope (with video). Eur Ann Otorhinolaryngol Head Neck Dis. 2021;138 Suppl 3: 75–76. doi: 10.1016/j.anorl.2020.12.018.
- Lyoubi H, Berrada O, Lekhbal A, Abada RA, Mahtar M. Bezold's abscess: An extremely rare complication of suppurative mastoiditis: Case report and literature review. Int J Surg Case Rep. 2020;77:534–537. doi: 10.1016/ j.ijscr.2020.11.052.
- Rizzi AM, Dickherber JL, Bielski R. Acute hematogenous osteomyelitis of the scapula: A case report. JBJS Case Connect. 2020;10(3):e20.00016. doi: 10.2106/JBJS.CC.20.00016.
- Lionello M, Manara R, Lora L, Mylonakis I, Fasanaro E, La Torre FB, Ottaviano G, Staffieri A, Ragona RM. Case report of cholesteatoma recurrence with Bezold's abscess presenting as a deep neck infection. B-ENT. 2013;9(3):255–258.
- Van Ommen F, de Jong HWAM, Dankbaar JW, Bennink E, Leiner T, Schilham AMR. Dose of CT protocols acquired in clinical routine using a dual-layer detector CT scanner: A preliminary report. Eur J Radiol. 2019;112:65–71. doi: 10.1016/j.ejrad.2019.01.011.
- Demirler Simsir B, Danse E, Coche E. Benefit of dual-layer spectral CT in emergency imaging of different organ systems. Clin Radiol. 2020;75(12):886–902. doi: 10.1016/ j.crad.2020.06.012.
- Cigarrán Sexto H, Calvo Blanco J, Fernández Suárez G. Spectral CT in emergency. Radiologia (Engl Ed). 2023;65 Suppl 1:S109–S119. doi: 10.1016/j.rxeng.2022.11.002.
Supplementary files




