The post-COVID-19 intestinal damages: clinical, endoscopic and morphological features. The results of a single-center prospective observational cohort study
- Authors: Korsunskiy E.S.1, Belousova E.A.1, Budzinskaya A.A.1
-
Affiliations:
- Moscow Regional Research and Clinical Institute (MONIKI)
- Issue: Vol 51, No 8 (2023)
- Pages: 427-440
- Section: ARTICLES
- URL: https://ogarev-online.ru/2072-0505/article/view/252237
- DOI: https://doi.org/10.18786/2072-0505-2023-51-047
- ID: 252237
Cite item
Full Text
Abstract
Background: Clinical signs of gastrointestinal disorders can manifest both from the first days of COVID-19 and after recovery, and may last up to 6 months or more. Most studies examined the gastrointestinal changes in acute coronavirus infection, whereas intestinal abnormalities in the early and late post-COVID period and their causes have not been sufficiently studied.
Aim: To determine the frequency and types of clinical, endoscopic and morphological abnormalities in patients with post-COVID-19 intestinal lesions.
Materials and methods: This was a prospective, observational, open-label, cohort, non-controlled study in 72 patients with intestinal symptoms after the coronavirus infection (female 48, mean age 54.6 (95% confidence interval 51.08–58.12) years), who were admitted to the Department of Gastroenterology of general hospital during the first and second waves of COVID-19 from June 2020 to September 2021. The assessment included routine anamnestic, clinical, laboratory, endoscopic, and morphological methods. When indicated, visualization methods (ultrasound, computed tomography, magnetic resonance imaging) were performed. The treatment was symptom-oriented and aimed at inflammation, anemia and protein and electrolyte abnormalities. Outcomes were assessed by the time of discharge from the hospital and thereafter by telephone interviewing of the patients for 8 weeks.
Results: In all patients, the main symptom was diarrhea, which started right just after SARS-CoV-2 infection with negative PCR test or 2–4 weeks later. The average stool frequency was 6.8 (5.61–7.99) times daily. In 19/72 patients (26.4%), there were blood and mucus in stools. 2.8% of the patients developed massive intestinal bleeding. Fever was present in 40.3% of the patients, decreased hemoglobin levels in 44.4%, and hypoalbuminemia in 16.7%. Signs of systemic inflammation (increased erythrocyte sedimentation rate, C-reactive protein, fibrinogen, thrombocytosis, leukocytosis) were found with various frequencies in a half of the patients. Clostridioides difficile A and B toxins were identified in 38.9% of the cases and increased fecal calprotectin in 22.2%.
Ileocolonoscopy was performed in 67 patients. The colonic mucosa in 21 (31.3%) patients either was not different from the normal, or showed minimal inflammatory changes such as absence of vascular pattern, hyperemia, mild friability even in patients with severe diarrhea, fever and laboratory abnormalities. Pseudomembranous colitis was diagnosed in 12 (17.9%) patients, and focal hemorrhagic colitis in 11 (16.4%) patients. In 2 (3%) cases, moderate to severe ulcerative colitis was newly diagnosed after the SARS-CoV-2 infection. Single or multiple erosions and ulcers of various sizes against the unchanged surrounding mucosa were found in 19 (28.4%) patients. In 2 (3%) cases with profuse intestinal bleeding, the endoscopy showed diffuse spontaneous bleedings from colonic mucosa, with no local source of bleeding found.
Biopsy samples from colonic mucosa were taken from 47 patients. Morphological abnormalities of only moderate or dense lymphoplasmocytic infiltration were detected in 29 (67.7%) patients, erosions in 8 (17%). In 2 (4.3%) cases, highly dense lymphoid infiltration with neutrophils, eosinophils and crypt abscesses was found, as typical for ulcerative colitis. In 2 (4.3%) patients, the lymphoid infiltration was associated with small venular and arteriolar clots, and in 5 (10.6%) patients there were no significant morphological abnormalities, except mild lymphoid infiltration.
During the hospitalization period, 56.9% of the patients showed a decrease in stool frequency, improvement of clinical and laboratory signs of systemic inflammation and metabolic abnormalities, and partial restoration of their body weight. One patient with ulcerative colitis received adalimumab and achieved stable clinical and endoscopic remission. Complete recovery was noted in 27.8% of the cases within 4–8 weeks, among them in 1 patient who had had profuse intestinal bleedings. In 3 cases (4.2%), an emergency colectomy was performed due to severe pseudomembranous colitis. Two (2.8%) deaths were registered: one patient with newly diagnosed post-COVID severe ulcerative colitis died of pneumonia, and another patient died of severe multiorgan failure. In 6 (8.3%) cases, a moderate long-term (above 8 weeks) diarrhea with metabolic disorders, weight loss, but without systemic inflammation was noted.
Conclusion: In patients with post-COVID intestinal lesions, the clinical symptoms are almost the identical and manifest with diarrhea of varying severity, systemic inflammation and metabolic disorders, whereas the endoscopic and morphological lesions are quite diverse. The severity of clinical symptoms often does not correspond to poorly expressed endoscopic and morphological signs. The variability and inconsistency of the clinical, endoscopic and morphological changes have not yet been systematized and do not allow for a clearly formulated diagnosis (except cases of pseudomembranous and ulcerative colitis). This makes it impossible to provide pathophysiologically-based treatments.
Full Text
Коронавирус SARS-CоV-2 относится к большому семейству РНК-содержащих вирусов, которые способны инфицировать животных и человека1. Входными воротами для SARS-CоV-2 служат слизистые оболочки верхних дыхательных путей и, возможно, желудочно-кишечного тракта (ЖКТ). На поверхности клеточных мембран тканей, в том числе ЖКТ, и в эндотелии сосудов находятся ангиотензинпревращающие рецепторы-2, являющиеся мишенью и точкой приложения SARS-CoV-2. В мире заболеваемость этой новой инфекцией, получившей название COVID-19, по данным исследования Университета Джонса Хопкинса (англ. Johns Hopkins University), достигает почти 700 млн, а смертность составляет более 6 млн2.
Согласно последней временной классификации, коронавирусную инфекцию разделяют на острый COVID-19 (длительность симптомов – до 4 недель), продолжающийся симптоматический COVID-19 (длительность симптомов – от 4 до 12 недель), постковидный синдром (ПКС; англ. post-COVID-19 syndrome) – проявляется либо после окончания инфекции, либо как продолжение симптомов, начавшихся в острой фазе инфекции, и длится от 12 недель и далее неопределенно долго (возможно до года)3. Симптомы ПКС нельзя объяснить альтернативным диагнозом. Для ПКС характерно поражение различных органов и систем, включая ЖКТ. Проявления ПКС со стороны ЖКТ очень разнообразны и не имеют определенных маркеров, позволяющих четко установить диагноз. На 2021 г. заболевание было внесено в реестр Международной классификации болезней 10-го пересмотра под кодом U09.9 “Post COVID-19 condition”4.
Клинические симптомы поражения ЖКТ могут проявляться как с первых дней заболевания COVID-19, так и после выздоровления, продолжаясь до 6 месяцев и более [1–3]. В большинстве работ исследовали поражение ЖКТ в остром периоде коронавирусной инфекции, в то время как отдаленные последствия перенесенного COVID-19 пока изучены недостаточно. Частота поражения пищеварительной системы у больных COVID-19 колеблется от 17,6 до 60% [1, 3–6]. Основные симптомы – диарея, потеря массы тела, абдоминальная боль, тошнота, рвота, желудочно-кишечное кровотечение [3–6]. В подобной ситуации диарея может быть следствием прямого вирусного воздействия на слизистую оболочку кишечника с последующей воспалительной реакцией, изменением кишечной микробиоты, присоединением вторичной бактериальной инфекции, а также возникать после использования антибактериальных, противовирусных препаратов, ингибиторов протонной помпы. В различных исследованиях частота диареи варьирует от 2 до 60% [4–6]. Частота дефекации при среднетяжелой и тяжелой диарее составляет более 4 раз в сутки (максимально
до 30 р/сут), присутствуют патологические примеси в каловых массах. Чаще диарея протекает в легкой форме, характеризующейся мягким, жидким или водянистым стулом до 4 раз в день. Уменьшение массы тела у больных во время и после коронавирусной инфекции может продолжаться в течение 3–6 месяцев, при этом максимальное снижение веса составляет более 8 кг. Описаны случаи, когда пациенты не могли восстановить вес более 6 месяцев после перенесенной инфекции [3]. На данный момент нет четкого понимания, что представляют собой поражения кишечника в раннем и позднем постковидном периоде, и механизмы их развития изучены недостаточно.
Цель настоящего исследования – определить частоту и характер клинических, эндоскопических и морфологических изменений у пациентов с постковидным поражением кишечника.
Материал и методы
Обследовано 72 пациента с поражением кишечника после перенесенной коронавирусной инфекции (мужчин – 24, женщин – 48, средний возраст пациентов составил 54,6 года), поступавших в отделение гастроэнтерологии ГБУЗ МО МОНИКИ им. М.Ф. Владимирского в первую и вторую волну COVID-19 – с июня 2020 по сентябрь 2021 г.
Дизайн исследования: проспективное, наблюдательное, когортное, открытое, неконтролируемое.
Критериями включения в исследование были недавно перенесенная инфекция SARS-CoV-2, возраст более 18 лет, наличие симптомов со стороны ЖКТ (диарея, потеря массы тела, абдоминальная боль, патологические примеси в стуле), возникших через 2–4 недели после выздоровления и продолжающихся свыше 2–4 недель при отрицательном тесте на основе полимеразной цепной реакции (ПЦР) на SARS-CoV-2 из носоглотки.
Критерии исключения: наличие сопутствующих заболеваний ЖКТ с клиническими симптомами до инфекции SARS-CoV-2.
Критерии невключения: острые инфекционные заболевания, перенесенные незадолго до коронавирусной инфекции или после нее.
У всех пациентов во время нахождения в стационаре были проведены рутинные лабораторные исследования: общий анализ крови, биохимический анализ крови, коагулограмма, копрограмма, исследование кала на токсины Clostridioides difficile А и В иммуноферментным методом, илеоколоноскопия с биопсией, морфологическое исследование биопсийного материала. Лучевые методы обследования (ультразвуковое исследование, рентгеновская компьютерная томография, магнитно-резонансная томография) проводились по показаниям. Никаких специальных методов обследования не использовали, поскольку исследование было наблюдательным.
Лечение было симптоматическим, направленным на купирование воспаления, анемии и белково-электролитных нарушений. Никаких специальных методов лечения не применяли.
Срок наблюдения за пациентами составил 4–8 недель или более (максимально до 6 месяцев), включая время, проведенное в гастроэнтерологическом отделении. Исходы заболевания оценивали в момент выписки из стационара и в дальнейшем путем телефонного опроса пациентов, в ходе которого выясняли факт наличия/сохранения желудочно-кишечных симптомов.
Работа выполнена в соответствии с этическими принципами проведения биомедицинских исследований, отраженными в Хельсинкской декларации. Все участники исследования подписали добровольное информированное согласие на использование своих медицинских данных в научных целях. Протокол исследования одобрен независимым комитетом по этике ГБУЗ МО МОНИКИ им. М.Ф. Владимирского (протокол от 27 декабря 2021 г.).
Статистическая обработка данных проводилась в программе Мicrosoft Excel. Для обобщения и оценки данных и показателей использовали методы описательной статистики. Количественные переменные описаны в виде средних значений и доверительного интервала. Качественные переменные характеризованы относительной или абсолютной частотой (%).
Результаты
Клинико-лабораторная характеристика пациентов
Женщин в исследуемой когорте было вдвое больше, чем мужчин (табл. 1). Основным симптомом у всех пациентов была диарея разной степени выраженности водянистого или кашицеобразного характера, начавшаяся сразу или через 2–4 недели после выздоровления от СOVID-19, при отрицательном ПЦР-тесте. Следует отметить отсутствие симптомов поражения пищеварительного тракта в острый период инфекции, что было выяснено при детальном опросе пациентов. Частота стула при поступлении колебалась в значительном интервале – от 7 до 20 раз в сутки. Диарея не была четко привязана ко времени суток и проявлялась как в дневное, так и в ночное время. Обращает на себя внимание значительный суточный объем стула – 800 мл и более, что свидетельствует о тяжелом поражении кишечника (такой объем характеризует в основном секреторный тип диареи, наблюдаемый чаще при инфекциях). Примесь крови отмечена у 19 больных, включая 2 пациентов с впервые выявленным язвенным колитом и 2 пациентов с профузным кишечным кровотечением. У половины больных зарегистрировано снижение массы тела в среднем до 12 кг и более в течение 1–6 месяцев с момента начала коронавирусной инфекции. Лихорадку в постковидном периоде фиксировали у 29 (40,3%) пациентов. Большинство больных (n = 59, 81,9%) страдали от абдоминальной боли разной интенсивности, чаще разлитого характера.
Таблица 1. Клиническая характеристика пациентов с постковидным поражением кишечника (N = 72)
Характеристика | Частота показателя, абс. (%) | Среднее значение показателя (ДИ) |
Пол, м/ж, N | 24/48 | |
Возраст, мин.–макс., годы | 18–85 | 54,6 (51,08–58,12) |
Потеря массы тела, кг | 35 (48,6) | 12 (10,04–13,96) |
Абдоминальная боль, N | 59 (81,9) | |
Лихорадка, °С | 29 (40,3) | 38,0 (37,7–38,2) |
Состояние средней тяжести, N | 43 (59,7) | |
Состояние тяжелое, N | 29 (40,3) | |
Характеристика диареи | ||
средняя частота стула, мин.–макс., р/сут | 7–20 | 6,8 (5,61–7,99) |
среднесуточный объем стула, мл | ≥ 800 | |
характер стула | Водянистый, кашицеобразный | |
кровь в стуле, N | 19 (26,4) | |
кишечное кровотечение, N | 2 (2,8) | |
N – количество пациентов, ДИ – доверительный интервал
Тяжесть состояния пациентов определялась интенсивностью диарейного синдрома, потерей массы тела, выраженностью анемии, симптомами системного воспаления (лихорадкой, повышением уровня С-реактивного белка (СРБ), фибриногена, тромбоцитозом и др.) и метаболическими расстройствами, проявляющимися снижением уровня общего белка, альбуминов и электролитными нарушениями (табл. 1, 2).
Таблица 2. Лабораторные характеристики пациентов с постковидным поражением кишечника при поступлении в гастроэнтерологическое отделение (N = 72)
Показатель | Частота повышения/снижения показателя, абс. (%) | Среднее значение показателя (ДИ) | Референсные значения |
Общий белок, г/л | 21 (29,2) | 55,82 (48,79–62,85) | 65–81 |
Альбумин, г/л | 12 (16,7) | 28 (25,87–30,13) | 35–52 |
СРБ, мг/л | |||
5–25 | 19 (26,4) | 9,9 (7,6–12,2) | 1–5 |
> 25 | 9 (12,5) | 99,3 (54,5–144,1) | |
Фибриноген, г/л | 8 (11,1) | 5,27 (4,73–5,81) | 2,8–4,4 |
Гемоглобин, г/л | 32 (44,4) | 103 (99,76–106,24) | 120–171 |
Гематокрит, л/л | 19 (26,4) | 0,33 (0,32–0,34) | 0,35–0,45 |
Лейкоциты, 1٠9/л | 11 (15,3) | 16,78 (12,87–20,69) | 4,5–11 |
Лимфоциты отн. (%) | 19 (26,4) | 43,8 (41,51–46,09) | 19–37 |
Тромбоциты > 400 / 109/л | 4 (5,6) | 324 (81,5–566,5) | 150–400 |
СОЭ, мм/ч | 32 (44,4) | 32,8 (27,37–38,23) | 2–15 |
Токсины C. difficile А/В или А+В | 28 (38,9) | ||
Фекальный кальпротектин, мкг/г | 16 (22,2) | 230–1800 | < 50 |
Железо, мкмоль/л | 19 (26,4) | 6,2 (4,83–7,57) | 11,6–31,3 |
ДИ – доверительный интервал, СОЭ – скорость оседания эритроцитов, CРБ – C-реактивный белок
Как видно из табл. 2, почти у половины больных (44,4%) отмечена анемия, при этом дефицит железа в крови выявлен у меньшего числа пациентов (26,4%). Наличие системного воспаления у части больных подтверждалось лихорадкой в сочетании с повышением уровня СРБ, фибриногена, лейкоцитозом, тромбоцитозом, увеличением скорости оседания эритроцитов. Уровень фекального кальпротектина 16 пациентов (22,2%) был повышен, интервал колебаний составил 230–1800 мкг/г, что также подтверждает наличие кишечного воспаления у ряда больных. Значимых изменений в развернутой коагулограмме не выявлено, хотя у некоторых больных отмечалось повышение фибриногена (11,1%) и тромбоцитоз (5,6%). У 11 пациентов зарегистрирован высокий уровень D-димера, но у большинства этот показатель не определяли. Снижение уровня общего белка и альбумина в крови как показателей тяжелых метаболических нарушений наблюдали у 29,2 и 16,7% соответственно, при этом альбумин при среднем показателе 28 (25,87–30,13) г/л в ряде случаев снижался до критических цифр 22–18 г/л. Токсины Сlostridioides difficile А и В были обнаружены в кале в 38,9% случаев.
Эндоскопические изменения слизистой оболочки толстой кишки
Илеоколоноскопия проводилась 67 пациентам с постковидным поражением кишечника. Наблюдали различные варианты эндоскопической картины. У 12 пациентов (17,9%) она соответствовала псевдомембранозному колиту (рис. 1А, Б), у 11 больных (16,4%) – очаговому геморрагическому колиту (очаги геморрагий разного размера на фоне гиперемированной слизистой при смазанном или сохраненном сосудистом рисунке) (рис. 2). У 2 больных (3%) впервые выявлена эндоскопическая картина язвенного колита умеренной и высокой активности (рис. 3А, Б). Эрозии, единичные или множественные, диагностированы у 19 (28,4%) пациентов (рис. 4). У части больных эндоскопия не выявила значимых макроскопических изменений и дефектов слизистой оболочки. Так, у трети пациентов (n = 21, 31,3%) слизистая оболочка толстой кишки или практически не отличалась от нормы (рис. 5), или наблюдались минимальные воспалительные изменения (отсутствие сосудистого рисунка, гиперемия, незначительная ранимость слизистой) даже при выраженном диарейном синдроме (рис. 6). В 2 случаях (3%) при клинически значимом профузном кишечном кровотечении эндоскопически отмечалась выраженная спонтанная кровоточивость слизистой оболочки на всем протяжении толстой кишки (рис. 7А, Б). Никакого локального источника кровотечения при этом обнаружено не было.
Рис. 1. Псевдомембранозный колит после перенесенной инфекции SARS-CoV-2. Возвышающиеся желтые псевдомембраны – в нисходящей ободочной кишке (А; больной 46 лет) и в поперечно-ободочной кишке (Б; больная 65 лет)
Рис. 2. Очаговый геморрагический колит после перенесенной инфекции SARS-CoV-2. У больной 74 лет эндоскопически визуализируются очаговые геморрагии (отмечены стрелками) на фоне гиперемированной слизистой, сохраненный сосудистый рисунок
Рис. 3. Эндоскопическая картина язвенного колита умеренной активности (А; больной 38 лет) и высокой активности (Б; больной 47 лет), впервые возникшего после перенесенной инфекции SARS-CoV-2
Рис. 4. Эрозии слизистой оболочки толстой кишки после инфекции SARS-CoV-2 у больной 38 лет: А – эрозии слизистой оболочки сигмовидной кишки с отсутствующим местами сосудистым рисунком; Б – мелкие эрозии на фоне сохраненного сосудистого рисунка в нисходящей ободочной кишке
Рис. 5. Неизмененная слизистая оболочка толстой кишки с усилением сосудистого рисунка у больного с интенсивной диареей, лихорадкой и повышением С-реактивного белка после перенесенной инфекции SARS-CoV-2
Рис. 6. Минимальные воспалительные изменения слизистой оболочки толстой кишки (очаговая гиперемия, усиленный сосудистый рисунок, единичные мелкие геморрагии) у больного с диареей и лихорадкой после перенесенной инфекции SARS-CoV-2
Рис. 7. Кишечное кровотечение после перенесенной инфекции SARS-CoV-2: А – больная 62 лет; Б – больная 37 лет
Морфологические изменения слизистой оболочки толстой кишки
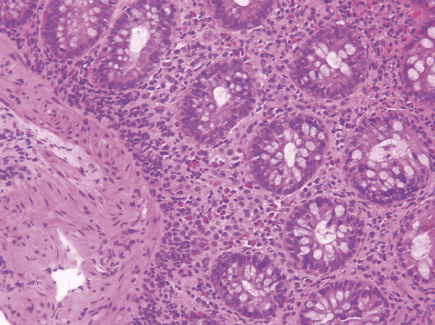
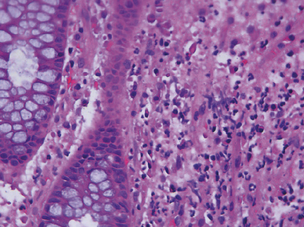
Морфологическое исследование слизистой оболочки толстой кишки проведено у 47 пациентов. Гистологическая картина отличалась значительным разнообразием. Морфологические изменения в виде умеренной или плотной лимфоплазмоцитарной инфильтрации и отек собственной пластинки слизистой оболочки выявлены у 29 (67,7%) пациентов, при этом эндоскопическая картина у них варьировала от минимальных изменений слизистой оболочки до множественных эрозий (рис. 8, 9). Специфических морфологических признаков псевдомембранозного колита, таких как вулканоподобное изменение, выявлено не было. Поверхностные эрозии и единичные криптиты отмечены у 8 (17%) пациентов. У 2 (4,3%) больных в собственной пластинке была очень плотная лимфоидная инфильтрация с примесью нейтрофильных лейкоцитов, эозинофилов с крипт-абсцессами, разнокалиберными измененными криптами, что характерно для язвенного колита. Против ожидания, тромбы в мелких венулах и артериолах обнаружены только в 2 (4,3%) случаях на фоне умеренной лимфоидной инфильтрации. Интересно, что тромбоз мелких сосудов выявлен у больных с диареей без признаков системного воспаления, с незначительными эндоскопическими изменениями в виде эрозий (рис. 10А, Б). У 5 (10,6%) пациентов значимые морфологические изменения отсутствовали. В целом следует отметить, что никакой корреляции между клинической, эндоскопической и морфологической картиной не было, кроме случаев псевдомембранозного и язвенного колита.
Рис. 8. Умеренная лимфоплазмоцитарная инфильтрация собственной пластинки слизистой оболочки толстой кишки с немногочисленными эозинофилами, умеренно выраженной регенераторной гиперплазией. Структура крипт сохранена, незначительно уменьшено количество бокаловидных клеток. Окраска гематоксилином и эозином; × 200
Рис. 9. Умеренная лимфоплазмоцитарная инфильтрация собственной пластинки слизистой оболочки толстой кишки, единичные нейтрофилы, структура крипт и бокаловидные клетки сохранены. Окраска гематоксилином и эозином; × 400
Рис. 10. Поражение толстой кишки у больной 48 лет после перенесенной инфекции SARS-CoV-2: А – при илеоколоноскопии видны единичные эрозии слизистой оболочки толстой кишки; Б – по данным биопсии из подслизистого слоя толстой кишки обнаружены фибриновые тромбы в просветах вены (черная стрелка) и артерии мелкого калибра (красная стрелка) подслизистого слоя в отсутствие воспаления в собственной пластинке слизистой оболочки. Окраска гематоксилином и эозином; × 200
Лекарственная терапия как возможная причина развития диареи
В табл. 3 представлены препараты, характеризующиеся негативным действием на ЖКТ, которые пациенты получали во время лечения COVID-19 амбулаторно или в условиях стационара. В острую фазу инфекции пациенты получали также глюкокортикоиды, ингибиторы интерлейкина 6, ингибиторы янус-киназ, антикоагулянты, однако эти группы препаратов не дают значимых побочных эффектов со стороны ЖКТ.
Таблица 3. Лекарственная терапия во время коронавирусной инфекции (N = 72)
Препарат | Количество пациентов, абс. | Доля пациентов, % |
Антибиотики | 57 | 79,2 |
Гидроксихлорохин | 15 | 20,8 |
Ритонавир + лопинавир | 4 | 5,6 |
Фавипиравир | 4 | 5,6 |
Побочные эффекты гидроксихлорохина и противовирусных препаратов (ритонавир + лопиравир, фавипиравир) со стороны пищеварительной системы указаны в инструкциях по применению и включают с разной частотой развитие симптомов, которые присутствовали у наших пациентов (боль в животе спастического характера, диарея, тошнота, рвота, гастроэнтерит, колит, панкреатит, гепатит, желудочно-кишечное кровотечение, язвы желудка и кишечника, недержание кала)567. В связи с этим мы тщательно проанализировали возможность развития кишечных симптомов после приема этих препаратов. Гидроксихлорохин в виде монотерапии или в сочетании с противовирусными средствами в сумме получали 15 больных из 72 (20,8%). Время приема препаратов, длительность приема, дозировки и комбинации препаратов не имели прямой связи с последующим развитием кишечных симптомов. Все эти средства назначались на короткий период и были отменены минимум за 3 недели до начала диареи. Во время применения указанных лекарственных средств или сразу после их отмены никаких признаков поражения ЖКТ отмечено не было.
Различные группы антибактериальных препаратов получали в острый период инфекции 57 (79,2%) пациентов, при этом только один антибиотик получал 21 человек, а два-три антибиотика последовательно или одновременно – 36. Не получали предварительно антибиотики 15 пациентов. Общая частота выявления клостридиальных токсинов в нашей когорте составила 39% (28 пациентов). Тяжелый псевдомембранозный колит после антибиотиков с подтвержденной клостридиальной инфекцией был диагностирован у 12 из 23 (52,2%) больных. У остальных больных с положительными токсинами клостридии, получавших ранее антибиотики, эндоскопическая картина была различна: 2 больных были с язвенным колитом, 1 больной – с кишечным кровотечением и 6 пациентов – с умеренными или минимальными эндоскопическими проявлениями (табл. 4). При очаговом геморрагическом колите (n = 11) токсины клостридий выявлены только в 2 случаях, у 3 пациентов обнаружены Klebsiella oxytoca, у 3 – грибы рода Candida. Из 15 пациентов без предшествующего применения антибактериальных препаратов токсины C. difficile обнаружены у 5 больных с разной интенсивностью диареи и разной эндоскопической картиной.
Таблица 4. Связь клинико-эндоскопических проявлений с приемом антибиотиков и наличием токсинов Clostridioides difficile
Поражение кишечника | Прием антибиотиков, абс. (N = 57) | Без антибиотиков, абс. (N = 15) | |||
токсины + (N = 23) | токсины - (N = 34) | токсины + (N = 5) | токсины - (N = 10) | ||
Псевдомембранозный колит | 12 | 0 | 0 | 0 | |
Язвенный колит | 2 | 0 | 0 | 0 | |
Диарея с разными эндоскопическими изменениями | 6 | 24 | 5 | 10 | |
Очаговый геморрагический колит | 2 | 9 | 0 | 0 | |
Кровотечение | 1 | 0 | 0 | 0 | |
N – число пациентов, «токсины +» – C. difficile выявлены, «токсины -» – C. difficile не выявлены
Исходы постковидного поражения кишечника
За время наблюдения с июня 2020 по сентябрь 2021 г. у большинства (56,9%) пациентов (табл. 5) отмечено улучшение состояния, нормализация температуры, улучшение или нормализация лабораторных показателей, частичное восстановление массы тела и уменьшение частоты диареи. У некоторых больных сохранялась диарея 2–4 раза в сутки, но других симптомов не было. Один пациент с язвенным колитом получает противовоспалительную патогенетическую терапию адалимумабом и находится в стадии клинико-эндоскопической ремиссии. В течение 4–8 недель у 27,8% больных наступило полное выздоровление, среди них 1 пациент, у которого было профузное кишечное кровотечение. В 3 (4,2%) случаях тяжесть псевдомембранозного колита привела к колэктомии. Зарегистрировано 2 (2,8%) летальных исхода: 1 больной с впервые возникшим тяжелым язвенным колитом после коронавируса умер от пневмонии, 1 пациент погиб от тяжелой полиорганной недостаточности. В 6 случаях отмечено среднетяжелое длительное (более 8 недель) течение диареи с метаболическими расстройствами, потерей массы тела, но без признаков системного воспаления.
Таблица 5. Клинические исходы поражения кишечника после перенесенной коронавирусной инфекции (N = 72)
Результат | Число пациентов, абс. | Доля пациентов, % |
Экстренная колэктомия | 3 | 4,2 |
Смерть | 2 | 2,8 |
Улучшение | 41 | 56,9 |
Выздоровление | 20 | 27,8 |
Затяжное течение без динамики | 6 | 8,3 |
Лечение
Разработка специальных методов лечения постковидного поражения кишечника не входила в задачи данной работы, поэтому мы не рассматриваем здесь схемы, дозы и сроки лечения детально. В нашей когорте этиотропную терапию ванкомицином и метронидазолом получали пациенты с псевдомембранозным колитом или без него, но с положительными токсинами клостридии. Следует отметить, что у наших пациентов клостридиальная инфекция имела торпидное течение, и стандартная рекомендуемая доза ванкомицина 500 мг в сутки [7] в большинстве случаев оказалась малоэффективной: диарея и другие симптомы сохранялись или возобновлялись после завершения курса лечения. Решением консилиума больные получали ванкомицин в высоких дозах 1–2 г/сут, но и в этих случаях эффект достигался не сразу. Больные с очаговым геморрагическим колитом с обнаруженными Klebsiella pneumoniae и Candida получали рифаксимин в виде монотерапии или в комбинации с препаратом на основе Saccharomyces boulardii. При язвенном колите препаратом первого выбора был преднизолон в связи с тяжестью состояния пациентов. Все больные получали симптоматическую терапию по показаниям: для коррекции белково-электролитных нарушений, заместительную терапию препаратами железа внутривенно, трансфузии эритроцитарной массы, свежезамороженную плазму и другую гемостатическую терапию, а также энтеральное питание.
Обсуждение
В настоящее время появляется все больше сообщений о стойких и/или отсроченных либо долгосрочных симптомах после COVID-19 со стороны разных органов и систем, в том числе ЖКТ, превышающих по длительности 4 недели от начала инфекции. Последствия COVID-19, так называемый ПКС, может продолжаться до 6–12 месяцев3.
Причины поражения кишечника в остром и постковидном периодах пока не определены, равно как и их патофизиология и органоспецифические последствия. Среди возможных механизмов обсуждается прямое токсическое воздействие вируса на слизистые оболочки кишки через ангиотензинпревращающие рецепторы-2 с последующим повреждением плотных клеточных контактов энтероцитов, снижением устойчивости кишечного барьера и повышением кишечной проницаемости. Активация иммунной системы и развитие гипервоспалительной реакции с повышением провоспалительных цитокинов способствуют нарушению состава микробиома. Нарушается также работа ренин-ангиотензин-альдостероновой системы, вследствие чего развивается вазоконстрикция и создаются условия для образования микротромбов в микроциркуляторном русле. Образование тромбов и продуктов их лизиса в тканях также провоцирует воспаление [1, 8–10]. Наличие сопутствующих заболеваний ЖКТ, прием антибактериальных препаратов и другие факторы осложняют течение заболевания. У половины пациентов РНК вируса SARS-CoV-2 определяется в фекалиях, а у 20% остается в стуле даже после отрицательных ПЦР-тестов на вирус из ротоглотки в течение 7 месяцев. При этом продолжительность репликации вируса в энтероцитах может коррелировать с длительностью проявления симптомов поражения пищеварительной системы [11, 12]. Однако прямых доказательств длительной репликации вируса нет. Возможно, в фекалиях обнаруживаются не жизнеспособные вирусы, а лишь фрагменты РНК. В этом случае генез диареи может быть обусловлен другими, менее изученными причинами, и триггерным действием SARS-CoV-2, выявляющим скрытые дефекты. Повышение фекального кальпротектина как маркера кишечного воспаления выявляется на фоне продолжающейся диареи у пациентов и с положительным, и с отрицательным значениями ПЦР-теста на SARS-CoV-2 в фекалиях [13].
Данные о частоте и длительности желудочно-кишечных симптомов в остром периоде инфекции и после нее сильно варьируются, что обусловлено различиями в дизайне исследований и числе пациентов. В табл. 6 приведены примеры клинических симптомов поражения ЖКТ во время и после коронавирусной инфекции. Сегодня нет четкого понимания, что представляют собой поражения кишечника в раннем и позднем постковидном периодах, не ясны и механизмы их развития.
Таблица 6. Клинические симптомы поражения желудочно-кишечного тракта в острую фазу и/или после COVID-19
Авторы [источник] | Количество больных, абс. | Симптом/синдром | Частота, абс. (%) |
A. Rizvi и соавт. [3] | 788 | Гастроэнтериты | 414 (52,5) |
Желудочно-кишечные кровотечения | 161 (20,4) | ||
Снижение веса | 181 (23) | ||
Панкреатит | 4 (0,5) | ||
S.K. Park и соавт. [4] | 16 | Диарея | 7 (43,8) |
Абдоминальные боли | 5 (31,3) | ||
Диспепсия | 5 (31,3) | ||
Тошнота | 1 (6,3) | ||
L. Pan и соавт. [5] | 103 | Отсутствие аппетита | 81 (78,6) |
Диарея | 35 (34) | ||
Рвота | 4 (3,9) | ||
Абдоминальные боли | 2 (1,9) | ||
G. Marasco и соавт. [6] | 343 | Диарея | 130 (37,9) |
Тошнота | 97 (28,2) | ||
Мягкий стул | 93 (27,4) |
Наше исследование проводилось в период первой и второй волн пандемии, когда о постковидных изменениях практически ничего не было известно. Мы сосредоточились на изучении вариантов поражения кишечника, преимущественно толстой кишки, после коронавирусной инфекции. Особенность нашего исследования по сравнению с другими заключалась в том, что в изучаемую когорту вошли пациенты без признаков поражения ЖКТ в острый период COVID-19, что было выяснено при сборе анамнеза. Эти симптомы у всех пациентов появились сразу после выздоровления от инфекции или через 2–4 недели после ее окончания и в дальнейшем персистировали. У всех больных, включенных в исследование, ПЦР-тест на коронавирус из носоглотки был отрицательным. Таким образом, в исследование были включены больные уже без коронавируса и с отсроченными кишечными симптомами.
Диарея – один из самых распространенных симптомов поражения кишечника во время острого периода COVID-19 и в постковидном периоде. Среднюю частоту дефекаций обычно описывают в диапазоне 3,3–4,3 раза в сутки, а среднюю продолжительность диареи – 3–5,5 дня [1, 2]. По данным нашего исследования, у всех больных был жидкий/водянистый стул с частотой от 7 до 20 р/сут, что обычно характеризует тяжелую, преимущественно секреторную диарею инфекционного генеза, как, например, при ротавирусной инфекции. Однако у наших пациентов вирус в организме уже не определялся, хотя нужно заметить, что исследования фекалий на SARS-CoV-2 не проводилось. Как следствие интенсивной диареи у пациентов была потеря массы тела, в среднем до 12 кг, с медленным восстановлением. Снижение массы тела также относят к проявлениям ПКС [3].
Почти у половины больных (44%) отмечена анемия. Ее генез был, вероятно, смешанным, поскольку снижение показателя железа сыворотки наблюдалось не у всех пациентов со снижением гемоглобина. Дополнительным механизмом развития анемии, с нашей точки зрения, было воспаление, то есть это была анемия хронических заболеваний. К сожалению, уровень ферритина для уточнения характера анемии в нашей когорте пациентов не определяли, так как исследование было наблюдательным и проводились только те исследования, которые были предусмотрены в то время возможностями учреждения и локальными протоколами ведения больных.
Наличие активного воспаления на фоне диареи у части наших пациентов подтверждалось лихорадкой, повышением СРБ, фибриногена, скорости оседания эритроцитов, тромбоцитозом и лейкоцитозом. Значимых изменений в развернутой коагулограмме не выявлено, хотя повышение фибриногена отмечено у 11,1%, тромбоцитоз у 5,6%. У 11 пациентов зарегистрирован высокий уровень D-димера, но у большинства этот показатель не определяли. Приведенная триада показателей (тромбоцитоз, повышенный фибриноген, D-димер) трактовалась нами как следствие воспалительного процесса. Следует иметь в виду, что эти же показатели могли указывать на риск развития тромбозов, поскольку это был период пандемии, больные недавно перенесли COVID-19, для которого такая закономерность уже была установлена1 [2, 5]. Тем не менее ни в одном случае клинических признаков тромбоза выявлено не было.
Эндоскопическая картина у пациентов была очень вариабельна. Почти у 18% был выявлен псевдомембранозный колит, у 16% – очаговый геморрагический колит. В 2 случаях после COVID-19 у больных впервые диагностирован язвенный колит, у 2 пациентов клинически и эндоскопически установлено профузное кишечное кровотечение. Интересно, что у значительной части пациентов изменения слизистой оболочки толстой кишки были незначительными: единичные или множественные эрозии на фоне мало измененной окружающей слизистой или практически нормальная слизистая с небольшой гиперемией и обеднением сосудистого рисунка. При этом диарея разной интенсивности была у всех пациентов, а у части из них отмечена системная воспалительная реакция. Во всех подобных случаях были проведены дополнительные исследования (ультразвуковое исследование брюшной полости и кишечника, рентгеновская компьютерная томография, магнитно-резонансная томография с контрастированием кишечника) для исключения более значимой патологии в тонкой кишке или других органах, однако никаких дополнительных изменений выявлено не было.
Гистологическая картина также отличалась значительным разнообразием. При язвенном колите гистологические находки соответствовали эндоскопической и клинической картине. Специфических гистологических изменений псевдомембранозного колита (кроме лимфоплазмоцитарной инфильтрации значительной плотности) обнаружено не было. Морфологические изменения в виде умеренной или плотной лимфоплазмоцитарной инфильтрации и отек собственной пластинки слизистой оболочки диагностированы у большей части (67,7%) пациентов, при этом эндоскопическая картина у них варьировала от минимальных изменений слизистой оболочки до множественных эрозий. Против ожидания, тромбы в мелких венулах и артериолах обнаружены только в 2 случаях на фоне умеренной лимфоидной инфильтрации. Интересно, что тромбоз мелких сосудов выявлен у больных с диареей без признаков системного воспаления, с незначительными эндоскопическими изменениями в виде эрозий. У 11% пациентов значимые морфологические изменения отсутствовали.
В целом результаты нашего исследования продемонстрировали значительную вариабельность постковидных кишечных клинико-эндоскопических и морфологических изменений. G. Marasco и соавт. указывают на эту же проблему и констатируют, что попытки систематизированной оценки гастроинтестинальных симптомов после COVID-19 пока не увенчались успехом [6]. У части пациентов отмечено несоответствие тяжести клинических проявлений и незначительно выраженных эндоскопических и морфологических изменений.
Мы полагали, что одной из причин диареи могла быть массивная лекарственная терапия, проводимая в острой фазе коронавирусной инфекции. При тщательном анализе мы не установили явной связи диарейного синдрома с приемом гидроксихлорохина и противовирусных препаратов. Значительную роль в развитии ПКС с поражением кишечника могли сыграть антибиотики, которые получали 79% пациентов. В этой связи возможность развития антибиотико-ассоциированной диареи или псевдомембранозного колита, ассоциированного с C. difficile, вполне закономерна. Общая частота выявления клостридиальных токсинов в нашей когорте составила 39% (28 больных, из них 23 после антибактериальной терапии и 5 без предшествующего применения антибиотиков). У 12 из этих 23 пациентов был тяжелый псевдомембранозный колит, у остальных 11 наблюдали разные клинико-эндоскопические проявления (язвенный колит, очаговый геморрагический колит, эрозии слизистой оболочки, кровотечение и неизмененная слизистая). Из 15 пациентов без предшествующего применения антибактериальных препаратов токсины C. difficile обнаружены у 5 больных с разной интенсивностью диареи и разной эндоскопической картиной. Можно сделать вывод, что инфекция C. difficile – один из важных, но, конечно, не единственный фактор постковидной диареи. У 44 пациентов с персистирующими кишечными симптомами токсины обнаружены не были, что указывает на другие, пока неясные причины ПКС. Здесь, однако, нужно отметить, что отсутствие токсинов клостридии у части пациентов, принимавших антибиотики, не позволяет полностью исключить инфекцию, так как чувствительность используемого иммуноферментного метода составляет 70–80% [7]. Для более точной диагностики клостридиальной инфекции требуется молекулярно-генетический метод (ПЦР), что в реальной клинической практике мало доступно.
Больные, перенесшие COVID-19 и имеющие персистирующие желудочно-кишечные симптомы, нуждаются в оценке отдаленных последствий. Таких исследований пока немного [6, 10, 14, 15]. Одно из них, на наш взгляд, наиболее убедительное, рассматривало две группы пациентов, госпитализированных с жалобами со стороны ЖКТ: группу с подтвержденным недавним COVID-19 и контрольную группу неинфицированных. Диарея встречалась в 4 раза чаще у пациентов первой группы по сравнению со второй. Другие симптомы поражения ЖКТ также преобладали у больных после коронавирусной инфекции. При обследовании пациентов через 12 месяцев была выявлена более высокая частота синдрома раздраженного кишечника в первой группе по сравнению со второй (3,2 и 0,5% соответственно). Авторы полагают, что коронавирус может вызывать глубокие изменения, приводящие впоследствии к функциональным нарушениям ЖКТ типа синдрома раздраженного кишечника [6]. Аналогичную гипотезу выдвигают другие авторы, наблюдавшие персистирование кишечных симптомов, соответствующих критериям синдрома раздраженного кишечника, у больных после коронавирусной инфекции в течение 3 и 6 месяцев [10, 14]. Еще одно интересное исследование показало, что в течение 1 года после COVID-19 значительно возрастают риски функциональных и органических заболеваний ЖКТ, включая функциональные расстройства кишечника, неязвенную диспепсию, гастроэзофагеальную рефлюксную болезнь, кислотозависимые заболевания, панкреатит, заболевания печени и желчевыводящих путей [16].
В нашей работе также изучали ближайшие и отсроченные исходы кишечного ПКС. Оценивали динамику симптомов при выписке из стационара по сравнению с данными при поступлении и затем путем телефонного опроса пациентов. За время госпитализации было проведено 3 экстренных колэктомии по поводу тяжелого псевдомембранозного колита. Зафиксировано 2 летальных исхода. В 6 (8,3%) случаях отмечено затяжное (более 8 недель) среднетяжелое течение ПКС с сохранением диареи и метаболическими расстройствами, медленным восстановлением веса, но без признаков системного воспаления. Эти больные нуждаются в дальнейшем наблюдении и оценке отсроченных исходов ПКС. В большинстве случаев (84,7%) отмечено уменьшение всех симптомов или полное их исчезновение в среднем за 4 недели (за время госпитализации или спустя 2 недели после нее). Однако и эти пациенты нуждаются в дальнейшем наблюдении, учитывая риски появления отдаленных симптомов со стороны ЖКТ [16].
Что касается лечения, в нашем исследовании применяли только этиотропную терапию по поводу инфекции C. difficile (ванкомицин и метронидазол), в ряде случаев рифаксимин и пробиотики на основе Saccharomyces boulardii, а также симптоматическую терапию, направленную на коррекцию диспротеинемии, электролитных нарушений, анемии и потери веса по показаниям. Разработка и применение специальных методов лечения постковидного поражения кишечника не входили в задачи данной работы и не были предусмотрены дизайном исследования. Четких клинических рекомендаций по лечению ПКС на данный момент не существует, поскольку клинико-эндоскопическая картина и механизмы его развития весьма разнообразны, что не позволяет установить диагноз и подобрать этиопатогенетическую терапию в каждом конкретном случае [1, 2]. Теоретически в случае персистирования кишечных симптомов возможно использование пробиотиков. Но опубликованные на момент написания статьи исследования по лечению кишечных постковидных симптомов пробиотиками на основе разных штаммов лактосодержащих бактерий, базирующиеся на концепции нарушения кишечного микробиома и метагенома, не дали убедительных результатов и не имеют достаточной доказательной базы [17].
Ограничения исследования
Поскольку исследование было наблюдательным и не предусматривало никаких специальных методов обследования и лечения, оно имело ряд ограничений:
- не определяли уровень ферритина для уточнения характера анемии в соответствии с локальными протоколами ведения больных;
- не проводили ПЦР-диагностику на присутствие difficile после антибактериальной терапии при отрицательном результате на токсины А и В;
- не проводили ПЦР-диагностику на наличие вируса SARS-CoV-2 в фекалиях;
- не выполняли контрольное эндоскопическое исследование (илеоколоноскопия) в связи с короткими сроками после первого исследования или из-за отказа пациентов.
Заключение
Результаты нашего исследования показали, что постковидное поражение кишечника протекает с очень вариабельной клинической, эндоскопической и морфологической картиной, не поддающейся пока систематизации и не позволяющей поставить четко сформулированный диагноз (кроме случаев псевдомембранозного и язвенного колита). Кроме того, в ряде случаев отсутствовала четкая корреляция между клинической, эндоскопической и морфологической картинами, то есть мало выраженные эндоскопические и гистологические признаки не соответствовали тяжести клинических проявлений с диареей и системным воспалением. Существующий на данный момент пробел в классификации постковидных проявлений (не только в области гастроэнтерологии), недостаточная изученность механизмов влияния вируса на разные органы и ткани не позволяют разработать адекватное патогенетическое лечение. Отметим, что у ряда наших больных после COVID-19 наблюдалось длительное персистирование клинических симптомов со стороны ЖКТ, что в дальнейшем может привести к функциональным кишечным расстройствам. Такие больные нуждаются в постоянном (диспансерном) наблюдении и оценке отдаленных исходов, а возможно, в профилактике таких исходов, которая пока не разработана. В нашей работе установлено также важное значение инфекции C. difficile с вероятным развитием псевдомембранозного колита как фактора возникновения постковидной диареи.
Дополнительная информация
Финансирование
Исследование проведено в рамках научной работы, без дополнительного привлечения финансирования со стороны третьих лиц.
Конфликт интересов
Авторы декларируют отсутствие явных и потенциальных конфликтов интересов, связанных с публикацией настоящей статьи.
Участие авторов
Е.С. Корсунский – ведение пациентов, сбор клинического и лабораторного материала, анализ и статистическая обработка полученных данных, написание и редактирование текста, подбор иллюстративного материала; Е.А. Белоусова – общая концепция и дизайн исследования, постановка цели исследования, анализ полученных данных, редактирование текста; А.А. Будзинская – проведение и интерпретация эндоскопических исследований, подбор иллюстраций, написание и редактирование текста. Все авторы прочли и одобрили финальную версию статьи перед публикацией, согласны нести ответственность за все аспекты работы и гарантируют, что ими надлежащим образом были рассмотрены и решены вопросы, связанные с точностью и добросовестностью всех частей работы.
1 Профилактика, диагностика и лечение новой коронавирусной инфекции (COVID-19). Временные методические рекомендации. Версия 17 от 14.12.2022. URL: https://static0.minzdrav.gov.ru/system/attachments/attaches/000/061/254/original/ВМР_COVID-19_V17.pdf?1671088207.
2 COVID-19 Dashboard by center for systems science and engineering(CSSE) at Johns Hopkins University (JHU) CSSE JHU. URL: https://gisanddata.maps.arcgis.com/apps/dashboards/bda7594740fd40299423467b48e9ecf6.
3 COVID-19 rapid guideline: managing the long-term effects of COVID-19. London: National Institute for Health and Care Excellence (NICE); 2020 Dec 18. URL: https://www.nice.org.uk/guidance/ng188.
4 МКБ-10 – Электронный текст МКБ. Версия 10, сентябрь 2020 г. URL: https://mkb-10.com/index.php?pid=23014.
5 Гидроксихлорохин (Hydroxychlorochinum). Регистр лекарственных средств России (РЛС). URL: https://www.rlsnet.ru/active-substance/gidroksixloroxin-866.
6 Лопинавир + Ритонавир (Lopinavirum + Ritonavirum). Регистр лекарственных средств России (РЛС). URL: https://www.rlsnet.ru/active-substance/lopinavir-ritonavir-2571.
7 Фавипиравир (Favipiravirum). Регистр лекарственных средств России (РЛС). URL: https://www.rlsnet.ru/active-substance/favipiravir-3981.
About the authors
Efim S. Korsunskiy
Moscow Regional Research and Clinical Institute (MONIKI)
Author for correspondence.
Email: korsunskiyes1995@gmail.com
ORCID iD: 0009-0003-6477-7265
Gastroenterologist, Postgraduate Student, Chair of Gastroenterology, Postgraduate Training Faculty
Russian Federation, ul. Shchepkina 61/2, Moscow, 129110Elena A. Belousova
Moscow Regional Research and Clinical Institute (MONIKI)
Email: eabelous@yandex.ru
ORCID iD: 0000-0003-4523-3337
SPIN-code: 6690-9839
Scopus Author ID: 24278783200
ResearcherId: AAA-8917-2019
MD, PhD, Professor, Head of Chair of Gastroenterology, Postgraduate Training Faculty
Russian Federation, ul. Shchepkina 61/2, Moscow, 129110Anastasiya A. Budzinskaya
Moscow Regional Research and Clinical Institute (MONIKI)
Email: anastasiya.budzinskaya@inbox.ru
ORCID iD: 0000-0001-9055-5357
MD, PhD, Senior Research Fellow, Department of Endoscopy
Russian Federation, ul. Shchepkina 61/2, Moscow, 129110References
- Megyeri K, Dernovics Á, Al-Luhaibi ZII, Rosztóczy A. COVID-19-associated diarrhea. World J Gastroenterol. 2021;27(23):3208–3222. doi: 10.3748/wjg.v27.i23.3208.
- Elmunzer BJ, Spitzer RL, Foster LD, Merchant AA, Howard EF, Patel VA, West MK, Qayed E, Nustas R, Zakaria A, Piper MS, Taylor JR, Jaza L, Forbes N, Chau M, Lara LF, Papachristou GI, Volk ML, Hilson LG, Zhou S, Kushnir VM, Lenyo AM, McLeod CG, Amin S, Kuftinec GN, Yadav D, Fox C, Kolb JM, Pawa S, Pawa R, Canakis A, Huang C, Jamil LH, Aneese AM, Glamour BK, Smith ZL, Hanley KA, Wood J, Patel HK, Shah JN, Agarunov E, Sethi A, Fogel EL, McNulty G, Haseeb A, Trieu JA, Dixon RE, Yang JY, Mendelsohn RB, Calo D, Aroniadis OC, LaComb JF, Scheiman JM, Sauer BG, Dang DT, Piraka CR, Shah ED, Pohl H, Tierney WM, Mitchell S, Condon A, Lenhart A, Dua KS, Kanagala VS, Kamal A, Singh VK, Pinto-Sanchez MI, Hutchinson JM, Kwon RS, Korsnes SJ, Singh H, Solati Z, Willingham FF, Yachimski PS, Conwell DL, Mosier E, Azab M, Patel A, Buxbaum J, Wani S, Chak A, Hosmer AE, Keswani RN, DiMaio CJ, Bronze MS, Muthusamy R, Canto MI, Gjeorgjievski VM, Imam Z, Odish F, Edhi AI, Orosey M, Tiwari A, Patwardhan S, Brown NG, Patel AA, Ordiah CO, Sloan IP, Cruz L, Koza CL, Okafor U, Hollander T, Furey N, Reykhart O, Zbib NH, Damianos JA, Esteban J, Hajidiacos N, Saul M, Mays M, Anderson G, Wood K, Mathews L, Diakova G, Caisse M, Wakefield L, Nitchie H, Waljee AK, Tang W, Zhang Y, Zhu J, Deshpande AR, Rockey DC, Alford TB, Durkalski V; North American Alliance for the Study of Digestive Manifestations of COVID-19. Digestive Manifestations in Patients Hospitalized With Coronavirus Disease 2019. Clin Gastroenterol Hepatol. 2021;19(7):1355–1365.e4. doi: 10.1016/j.cgh.2020.09.041.
- Rizvi A, Patel Z, Liu Y, Satapathy SK, Sultan K, Trindade AJ; Northwell Health COVID-19 Research Consortium. Gastrointestinal Sequelae 3 and 6 Months After Hospitalization for Coronavirus Disease 2019. Clin Gastroenterol Hepatol. 2021;19(11):2438–2440.e1. doi: 10.1016/j.cgh.2021.06.046.
- Park SK, Lee CW, Park DI, Woo HY, Cheong HS, Shin HC, Ahn K, Kwon MJ, Joo EJ. Detection of SARS-CoV-2 in Fecal Samples From Patients With Asymptomatic and Mild COVID-19 in Korea. Clin Gastroenterol Hepatol. 2021;19(7):1387–1394.e2. doi: 10.1016/j.cgh.2020.06.005.
- Pan L, Mu M, Yang P, Sun Y, Wang R, Yan J, Li P, Hu B, Wang J, Hu C, Jin Y, Niu X, Ping R, Du Y, Li T, Xu G, Hu Q, Tu L. Clinical Characteristics of COVID-19 Patients With Digestive Symptoms in Hubei, China: A Descriptive, Cross-Sectional, Multicenter Study. Am J Gastroenterol. 2020;115(5):766–773. doi: 10.14309/ajg.0000000000000620.
- Marasco G, Cremon C, Barbaro MR, Salvi D, Cacciari G, Kagramanova A, Bordin D, Drug V, Miftode E, Fusaroli P, Mohamed SY, Ricci C, Bellini M, Rahman MM, Melcarne L, Santos J, Lobo B, Bor S, Yapali S, Akyol D, Sapmaz FP, Urun YY, Eskazan T, Celebi A, Kacmaz H, Ebik B, Binicier HC, Bugdayci MS, Yağcı MB, Pullukcu H, Kaya BY, Tureyen A, Hatemi İ, Koc ES, Sirin G, Calıskan AR, Bengi G, Alıs EE, Lukic S, Trajkovska M, Hod K, Dumitrascu D, Pietrangelo A, Corradini E, Simren M, Sjolund J, Tornkvist N, Ghoshal UC, Kolokolnikova O, Colecchia A, Serra J, Maconi G, De Giorgio R, Danese S, Portincasa P, Di Stefano M, Maggio M, Philippou E, Lee YY, Venturi A, Borghi C, Zoli M, Gionchetti P, Viale P, Stanghellini V, Barbara G; and the GI-COVID19 Study Group. Prevalence of Gastrointestinal Symptoms in Severe Acute Respiratory Syndrome Coronavirus 2 Infection: Results of the Prospective Controlled Multinational GI-COVID-19 Study. Am J Gastroenterol. 2022;117(1):147–157. doi: 10.14309/ajg.0000000000001541.
- Shelygin YuA, Aleshkin VA, Sukhina MA, Mironov AYu, Briko NI, Kozlov RS, Zverev VV, Achkasov SI, Kovalishina OV, Selkova EP, Safin AL, Grenkova TA, Khalif IL, Frolov SA, Kashnikov VN, Sushkov OI. [Clinical recommendations of the National Association of Specialists for the Healthcare-related Infections Control and the Russian Association of Coloproctology on diagnosis, treatment and prophylaxis of Clostridium Difficile-associated diarrhea (CDI)]. Koloproktologia [Coloproctology]. 2018;(3):7–23. Russian. doi: 10.33878/2073-7556-2018-0-3-7-23.
- Verdecchia P, Cavallini C, Spanevello A, Angeli F. The pivotal link between ACE2 deficiency and SARS-CoV-2 infection. Eur J Intern Med. 2020;76:14–20. doi: 10.1016/j.ejim.2020.04.037.
- Villapol S. Gastrointestinal symptoms associated with COVID-19: impact on the gut microbiome. Transl Res. 2020;226:57–69. doi: 10.1016/j.trsl.2020.08.004.
- Nalbandian A, Sehgal K, Gupta A, Madhavan MV, McGroder C, Stevens JS, Cook JR, Nordvig AS, Shalev D, Sehrawat TS, Ahluwalia N, Bikdeli B, Dietz D, Der-Nigoghossian C, Liyanage-Don N, Rosner GF, Bernstein EJ, Mohan S, Beckley AA, Seres DS, Choueiri TK, Uriel N, Ausiello JC, Accili D, Freedberg DE, Baldwin M, Schwartz A, Brodie D, Garcia CK, Elkind MSV, Connors JM, Bilezikian JP, Landry DW, Wan EY. Post-acute COVID-19 syndrome. Nat Med. 2021;27(4):601–615. doi: 10.1038/s41591-021-01283-z.
- Natarajan A, Zlitni S, Brooks EF, Vance SE, Dahlen A, Hedlin H, Park RM, Han A, Schmidtke DT, Verma R, Jacobson KB, Parsonnet J, Bonilla HF, Singh U, Pinsky BA, Andrews JR, Jagannathan P, Bhatt AS. Gastrointestinal symptoms and fecal shedding of SARS-CoV-2 RNA suggest prolonged gastrointestinal infection. Med. 2022;3(6):371–387.e9. doi: 10.1016/j.medj.2022.04.001.
- Xiao F, Tang M, Zheng X, Liu Y, Li X, Shan H. Evidence for Gastrointestinal Infection of SARS-CoV-2. Gastroenterology. 2020;158(6):1831–1833.e3. doi: 10.1053/j.gastro.2020.02.055.
- Effenberger M, Grabherr F, Mayr L, Schwaerzler J, Nairz M, Seifert M, Hilbe R, Seiwald S, Scholl-Buergi S, Fritsche G, Bellmann-Weiler R, Weiss G, Müller T, Adolph TE, Tilg H. Faecal calprotectin indicates intestinal inflammation in COVID-19. Gut. 2020;69(8):1543–1544. doi: 10.1136/gutjnl-2020-321388.
- Zhang D, Chen C, Xie Y, Zeng F, Chen S, Chen R, Zhang X, Huang S, Li D, Bai F. Post-infection functional gastrointestinal disorders following coronavirus disease-19: a prospective follow-up cohort study. BMC Infect Dis. 2023;23(1):422. doi: 10.1186/s12879-023-08401-x.
- Sadretdinova LD, Gantseva KhKh, Galina II, Tyurin AV. [The duration of gastrointestinal symptom persistence at various periods of coronavirus infection]. Almanac of Clinical Medicine. 2022;50(6):392–399. Russian. doi: 10.18786/2072-0505-2022-50-025.
- Xu E, Xie Y, Al-Aly Z. Long-term gastrointestinal outcomes of COVID-19. Nat Commun. 2023;14(1):983. doi: 10.1038/s41467-023-36223-7.
- Gutiérrez-Castrellón P, Gandara-Martí T, Abreu Y Abreu AT, Nieto-Rufino CD, López-Orduña E, Jiménez-Escobar I, Jiménez-Gutiérrez C, López-Velazquez G, Espadaler-Mazo J. Probiotic improves symptomatic and viral clearance in Covid19 outpatients: a randomized, quadruple-blinded, placebo-controlled trial. Gut Microbes. 2022;14(1):2018899. doi: 10.1080/19490976.2021.2018899.
Supplementary files
















