Comparative assessment of computed tomography and magnetic resonance imaging in the identification of the middle ear cholesteatoma
- Authors: Stepanova E.A.1, Garov E.V.2
-
Affiliations:
- Moscow Regional Research and Clinical Institute (MONIKI)
- The Sverzhevskiy Otorhinolaryngology Healthcare Research Institute
- Issue: Vol 51, No 3 (2023)
- Pages: 154-162
- Section: ARTICLES
- URL: https://ogarev-online.ru/2072-0505/article/view/149012
- DOI: https://doi.org/10.18786/2072-0505-2023-51-019
- ID: 149012
Cite item
Full Text
Abstract
Background: Chronic suppurative otitis media amounts up to 22.4% among all ear, nose and throat disorders. Its complication, a middle ear cholesteatoma, is one of the most frequent causes of patients' referral to an otologist. The literature on the preferential diagnostic method for the cholesteatoma is contradictory, despite that its main treatment approach is surgery. Therefore, it is important to identify the most valid diagnostic method, which would allow for the planning of the most effective surgical treatment.
Aim: To compare sensitivity and specificity of computed tomography (CT) and magnetic resonance imaging (MRI) in the diagnosis of cholesteatoma, to assess the possibility of quantitative values of MRI diffusion limitation in cholesteatoma.
Materials and methods: From 2015 to 2021, we examined 542 out- and in-patients (849 imagings of temporal bones) with chronic suppurative otitis media. The analysis of CT and MRI sensitivity and specificity included the data from 289 patient examinations, both with newly diagnosed cholesteatoma and having at least one past surgery and had their diagnosis verified intraoperatively and histologically. We analyzed the measured MRI diffusion coefficients from newly diagnosed and relapsed cholesteatoma. The MRI signal values were calculated for 266 masses from 238 patients.
Results: MRI sensitivity for the diagnosis of cholesteatoma was 95.2%, specificity 81.2%. CT sensitivity and specificity for the diagnosis of cholesteatoma were 60.1 и 44.7%, respectively. There were no differences in the measured MRI diffusion coefficients between the relapsed and newly diagnosed cholesteatomas. The comparison of cholesteatoma signals with those from artifacts showed the overlapping in their mean values; therefore, it is impossible to rely only on the value of the diffusion coefficient.
Conclusion: In the diagnosis of cholesteatomas, MRI is significantly more sensitive and specific than CT. No significant differences in MRI semiotics and the degree of MRI diffusion limitation at NON-EPI DWI (b1000) have been found for the cholesteatomas that had never been operated, and the relapsing cholesteatomas.
Full Text
Хронический гнойный средний отит (ХГСО) заметно снижает качество жизни больного и нередко становится причиной развития тугоухости [1]. В России распространенность ХГСО варьирует от 8,4 до 39,2 на 1000 населения [2].
Холестеатома среднего уха считается осложнением ХГСО, однако патогенез ее до конца не ясен [3]. Заболевание встречается во всех возрастных группах, будучи одной из самых частых причин обращения пациентов к отиатру [4]. Ежегодный уровень выявления холестеатомы переменный и зависит от большого количества факторов, включая экологические, социально-экономические, этнические, генетические, анатомические и физиологические [5]. Заболеваемость колеблется от 9 до 12,6 на 100 000 взрослого населения и от 3 до 15 на 100 000 детей, при этом преобладают больные мужского пола [6].
Лечение холестеатомы остается проблемой для оториноларингологов всего мира [7]. Стандартным методом лечения признан хирургический [8]. Выбор тактики зависит от анатомических особенностей височной кости, размеров деструкции и локализации холестеатомы. Авторы разделяют мнение, согласно которому вопрос об объемах оперативного лечения должен решаться уже по ходу операции, когда ясна истинная картина и распространенность холестеатомы [9-11]. Кроме того, остается высокий риск рецидива, который трудно определить клинически [12]. Систематизация анамнестических, клинических и хирургических факторов, влияющих на развитие рецидива заболевания, затруднительна, так как особенности хирургии вариативны [11, 13, 14].
В настоящее время cтандартным методом диагностики заболеваний среднего уха служит компьютерная томография (КТ) [15]. Метод позволяет точно выявить деструктивные изменения полостей и косточек среднего уха, определить наличие холестеатомы и предположить ее локализацию в полостях среднего уха, если они хорошо пневматизированы [11, 16]. Для первичной холестеатомы как осложнения ХГСО характерны следующие симптомы: деструкция стенок и ремоделирование барабанной полости, деструкция и смещение косточек среднего уха [17]. В последнее время для диагностики холестеатомы все большую популярность приобретает магнитно-резонансная томография (МРТ) с использованием неэхопланарной диффузии, которая обладает достаточно высокой чувствительностью и специфичностью [18].
В литературе нет единства в отношении предпочтительного метода диагностики холестеатомы. Некоторые авторы пишут о высокой чувствительности и специфичности КТ, в том числе для дифференциации мягкотканных изменений по характеристикам рентгеновской плотности [11, 19]. Есть пул авторов, с настороженностью относящихся к высокой диагностической эффективности метода МРТ [20]. А ряд исследователей считают, что чувствительность и специфичность обоих методов – КТ и МРТ – невысоки, и рекомендуют использовать данные лучевых исследований с осторожностью, ориентируясь в целом на клиническое суждение, которое признают приоритетным [21]. Таким образом, представляется важным определить наиболее надежный метод диагностики холестеатомы, который бы позволил планировать максимально эффективное хирургическое лечение и избегать повторных оперативных вмешательств. Кроме того, необходимо уточнить, является ли количественный показатель ограничения МР-диффузии при холестеатоме специфичным и можно ли на него ориентироваться во время исследования.
Цель настоящего исследования – сравнить чувствительность и специфичность КТ и МРТ в выявлении холестеатомы, в том числе при различных ее локализациях в полостях среднего уха, а также оценить возможность использования количественного значения ограничения МР-диффузии при холестеатоме.
Материал и методы
В ретро-проспективное исследование включены 542 пациента (849 височных костей), обследованных за период с 2015 по 2021 г. Обследовались как амбулаторные пациенты, так и пациенты, находящиеся на лечении в стационарных условиях в двух центрах – ГБУЗ МО МОНИКИ им. М. Ф. Владимирского и ГБУЗ «НИКИО им. Л. И. Свержевского» ДЗМ. Протокол исследования одобрен Независимым комитетом по этике ГБУЗ МО МОНИКИ им. М. Ф. Владимирского (протокол заседания № 10 от 15.10.2016). Все пациенты подписывали информированное согласие на участие в исследовании. Критерием включения в исследование служило наличие клинического диагноза ХГСО. Поскольку у пациентов отмечались различные комбинации поражений уха, для удобства дальнейшего анализа данных мы использовали количественные показатели наблюдений (то есть поражений височных костей), а не количество больных.
МРТ всем пациентам выполнили на аппарате GE Optima MR 450, напряженностью магнитного поля 1,5 Тесла, по разработанному протоколу исследования, который включал в обязательном порядке неэхопланарную диффузию с высоким значением b-фактора (NON-EPI DWI (b1000)) [22]. КТ делали на аппарате Philips Brilliance iCT по стандартной программе без внутривенного контрастного усиления в 419 случаях. Во всех случаях проведения у одного пациента и КТ-, и МРТ-исследования для уточнения локализации выявленных изменений выполняли слияние МРТ- и КТ-изображений (фьюжн) [23].
Из 849 наблюдений 525 были дооперационными, а 324 имели в анамнезе минимум одно оперативное вмешательство.
После первичной обработки базы данных из анализа были исключены 189 пациентов (223 исследования), у которых отсутствовало одно из перечисленного: точные данные по локализации, размеру, МР-сигналу или гистологическая верификация. Итого, хотя бы в один из этапов анализа вошли 353 пациента (626 обследований) (рис. 1).
Рис. 1. Схема исследования; КТ – компьютерная томография, МРТ – магнитно-резонансная томография
Таким образом, в статистический анализ были включены данные 353 пациентов (из них 146 (41%) мужчин и 207 (59%) женщин), медиана возраста которых составила 41 год (25-й-75-й перцентили: 28-58). В анализ чувствительности и специфичности методов КТ и МРТ были включены данные 289 обследований пациентов, имеющих интраоперационную и гистологическую верификацию, среди них были как впервые выявленные, так и минимум однократно оперированные пациенты.
Были также проанализированы локализации с наиболее часто и, напротив, редко встречаемыми холестеатомами. При этом барабанная полость была разделена на несколько областей: мезотимпанум, гипотимпанум, антрум, адитус, аттик. В аттике отдельно рассматривались такие локализации, как латеральная стенка, медиальная стенка, передняя стенка, задние отделы и крыша.
Вычисляли измеряемые коэффициенты диффузии (ИКД) в виде абсолютных величин ограничения МР-сигнала непосредственно от холестеатомы. Рассчитывали относительные величины в сравнении с ИКД от ножки мозга (средний мозг) и их стандартные отклонения (SD). Вычисляли ИКД от очагов, визуально ограничивающих МР-диффузию, которые достоверно не были рецидивной или впервые выявленной холестеатомой, либо из-за локализации (например, при сопоставлении с данными КТ, в том случае если очаг ограничения был в изолированной ячейке пирамиды или за пределами полостей среднего уха), либо когда интраоперационно и гистологически холестеатома не была подтверждена. Отдельно анализировали ИКД от холестеатомы – впервые выявленной и рецидивной. Данные сигналов МРТ были просчитаны для 266 образований у 238 пациентов. У 28 пациентов образования были выявлены с двух сторон, в дальнейший анализ данные образования включали как независимые. Анализировали как абсолютные величины, так и разности сигналов, а также разности стандартных отклонений.
Статистический анализ выполняли в среде разработки Rstudio 2021.09.0 Build 351 (RStudio PBC, США) с помощью языка R версии 4.1.1. В качестве параметров описательной статистики для количественных переменных рассчитывали средние арифметические значения и стандартные отклонения, для порядковых и качественных переменных – абсолютные и относительные (%) частоты. Сравнение частот в двух группах проводили с помощью критерия хи-квадрат. В случае наличия в таблице ожидаемых частот значений меньше 5 применяли точный критерий Фишера. Уровень статистической значимости α был принят равным 0,05 – нулевые гипотезы отвергали при значениях p < 0,05.
Результаты
Между подозрением на холестеатому по МРТ и выявлением холестеатомы интраоперационно обнаружена статистически значимая взаимосвязь (p < 0,001) (табл. 1). Чувствительность МРТ в выявлении холестеатомы составила 95,2%, специфичность – 81,2%.
Таблица 1. Возможности магнитно-резонансной томографии в выявлении холестеатомы
Подозрение на холестеатому по МРТ | Холестеатома не подтверждена, абс. (%) | Холестеатома подтверждена, абс. (%) | Значение p |
Не было | 65 (81,2) | 10 (4,8) | < 0,001 |
Было | 15 (18,8) | 199 (95,2) |
МРТ – магнитно-резонансная томография
Статистически значимой взаимосвязи между подозрением на холестеатому по КТ и наличием холестеатомы выявлено не было (p = 0,677) (табл. 2). Чувствительность и специфичность КТ в выявлении холестеатом составили 60,1 и 44,7% соответственно.
Таблица 2. Возможности компьютерной томографии в выявлении холестеатомы
Подозрение на холестеатому по КТ | Холестеатома не подтверждена, абс. (%) | Холестеатома подтверждена, абс. (%) | Значение p |
Не было | 21 (44,7) | 61 (39,9) | 0,677 |
Было | 26 (55,3) | 92 (60,1) |
КТ – компьютерная томография
Для слияния изображений выбирались пациенты, у которых были выполнены обе модальности – КТ и МРТ – и только те исследования, где при МРТ определялось ограничение диффузии и его локализация могла соответствовать холестеатоме – впервые выявленной или рецидивной. Были совмещены 236 пар исследований ушей (КТ и МРТ) с МР-картиной высокого МР-сигнала при диффузии (рис. 2).
На рис. 3 и 4 показано расхождение данных КТ и МРТ.
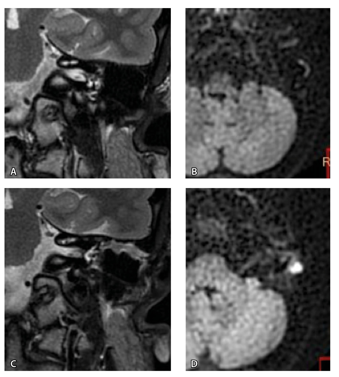
Рис. 3. Хронический правосторонний средний отит. По данным компьютерной томографии (А, Б) нет ремоделирования барабанной полости, деструкции и смещения косточек, скутум сохранен, данных за холестеатому нет. При магнитно-резонансной томографии (В, Г) у того же пациента выявлен очаг высокого магнитно-резонансного сигнала, который при слиянии локализовался в области пространства Пруссака. Заключение и интраоперационно – холестеатома пространства Пруссака
Рис. 4. При компьютерной томографии (КТ) визуализируются признаки хронического гнойного среднего отита справа. Наблюдаются латерализация косточек среднего уха и узурация их по имедиальной поверхности на уровне эпитимпанума (тело наковальни и головка молоточка) – классические КТ-признаки холестеатомы натянутой части барабанной перепонки (А, Б). Однако по данным магнитно-резонансной томографии (В) и в последующем при оперативном лечении холестеатома не подтверждена
Одним из интересных встреченных нами случаев ложноположительных МР-результатов было грибковое поражение послеоперационной полости с отрицательной динамикой в течение 16 месяцев (рис. 5).
Рис. 5. При первичном послеоперационном исследовании на Т2-взвешенных изображениях во фронтальной плоскости определяется пневматизированная послеоперационная полость (А), без признаков ограничения магнитно-резонансной диффузии (Б). При контрольном исследовании – отрицательная динамика с появлением пристеночных разрастаний вдоль стенок послеоперационной полости (В), ограничивающих магнитно-резонансную диффузию (Г). Данные интерпретированы как рецидив холестеатомы. При оперативном лечении и последующей гистологии – грибковое поражение среднего уха
Были проанализированы наиболее частые локализации в полостях среднего уха, где фиксировалась холестеатома при МРТ, подтвержденная гистологически (табл. 3). Наибольшие сложности при МР-диагностике вызывала локализация холестеатомы в мезотимпануме и на уровне входа в антрум. Наименьший процент ошибочных заключений пришелся на локализацию холестеатомы вдоль латеральной стенки аттика.
Таблица 3. Доля пациентов с подтвержденной холестеатомой в зависимости от локализации (по данным магнитно-резонансной томографии)
Локализация | Холестеатома не подтверждена, | Холестеатома подтверждена, |
Адитус (вход в антрум) | 1 (25) | 3 (75) |
Антрум | 6 (5,4) | 106 (95,6) |
Барабанная полость | 10 (5,4) | 175 (94,6) |
Аттик | 7 (4,2) | 158 (95,8) |
латеральная стенка | 2 (2) | 96 (98) |
медиальная стенка | 4 (3,6) | 108 (96,4) |
передняя стенка | 4 (3,4) | 112 (96,6) |
задние отделы | 2 (2) | 96 (98) |
крыша | 3 (2,9) | 102 (97,1) |
Мезотимпанум | 3 (7,9) | 35 (92,1) |
Гипотимпанум | 21 (100) | |
Иная | 34 (100) |
Что касается частоты холестеатом в каждой из выделенных локализаций (рис. 6), наиболее часто встречались холестеатомы, локализованные в аттике барабанной полости. Если рассматривать более точную локализацию, на первом месте была передняя и медиальная стенка аттика, а самой редкой локализацией холестеатомы оказались непосредственно вход в антрум (адитус) и гипотимпанум.
Рис. 6. Частота встречаемости различных локализаций среди морфологически подтвержденных холестеатом
При анализе МР-сигналов отдельно для рецидивной и впервые выявленной холестеатомы существенных различий получено не было (табл. 4).
Таблица 4. Показатели сигнала магнитно-резонансной томографии у пациентов с оперативным вмешательством в анамнезе и без него, мм²/с (Me (LQ; UQ))
Показатель | Не было операции (n = 156) | Была операция (n = 110) |
Cигнал Хс | 883 (775; 1001) | 872 (783; 985) |
SD сигнала Хс | 63 (44; 84) | 64 (47; 83) |
Сигнал СМ | 1029 (954; 1135) | 1020 (906; 1089) |
SD сигнала СМ | 72 (51; 87) | 76 (57; 93) |
Разность сигналов (Хс-СМ) | -149 (-286; 14) | -128 (-268; 17) |
Разность SD (Хс-СМ) | -6 (-28; 14) | -10 (-32; 8) |
Стандартизованная разность сигналов | -2,2 (-5,0; 0,3) | -1,5 (-3,6; 0,2) |
СМ – средний мозг, Хс – холестеатома
При сравнении сигналов от холестеатомы и очагов ограничения МР-диффузии, обусловленных артефактами или локальным ограниченным воспалительным процессом, в средних значениях сигнал от холестеатомы был ниже, чем от нехолестеатомного процесса (табл. 5). Однако диапазон значений нехолестеатомных процессов, локально ограничивающих МР-диффузию, в том числе включает в себя значение сигнала от холестеатомы, что видно на рис. 7. Поля сигналов от холестеатомы и от не холестеатомы перекрываются в средних значениях.
Таблица 5. Анализ сигналов от холестеатомы и артефактов, мм²/с (Me (LQ; UQ))
Показатель | Локализация | Значение p | Значения р, post-hoc | ||
холестеатома (1) | сигнал от мозга (2) | артефакт (3) | |||
Сигнал | 878,5 (780; 999) | 1020 (932,2; 1113,2) | 1089,5 (718,8; 1405,2) | < 0,001 | 1–2: < 0,001 1–3: < 0,001 2–3: 0,934 |
SD | 63 (44; 83) | 71,5 (52; 90) | 63,5 (40; 91,2) | 0,004 | 1–2: 0,004 1–3: 0,623 2–3: 0,217 |
Рис. 7. Анализ распределений стандартизованной разности сигналов (стандартизованный сигнал с учетом отклонения)
Обсуждение
Полученные нами результаты чувствительности и специфичности КТ и МРТ как методов лучевого исследования для определения холестеатомы в полостях среднего уха продемонстрировали достаточно высокие показатели для МРТ и низкие – для КТ. В выявлении и характеристике холестеатомы, предполагаемой в пирамиде височной кости, для многих специалистов, как лучевых диагностов, так и оториноларингологов, КТ до сих пор приоритетный метод диагностики [17]. Ценность метода, безусловно, высока при анализе костных структур, а также для выявления и оценки костной эрозии, разрушения и ремоделирования полостей среднего уха, выявления фистул с костным лабиринтом и деструкции канала лицевого нерва [24]. В литературе все еще можно встретить мнение о высокой чувствительности и специфичности методики для дифференциации мягкотканных изменений по характеристикам рентгеновской плотности [19]. Имеются разработки, позволяющие снижать дозу при КТ, не теряя при этом в диагностическом качестве [25, 26].
Исходя из полученных данных, можно констатировать: чувствительность и специфичность метода МРТ в выявлении холестеатомы существенно превосходит чувствительность и специфичность КТ, особенно в части послеоперационных исследований, что имеет корреляцию с большинством данных литературы [27].
В работе S. D. Sharma и соавт. чувствительность и специфичность КТ в диагностике послеоперационной холестеатомы составили 42,9 и 48,3% соответственно, диагностическая значимость – 28,6% [28], что не позволило использовать данный метод для контроля рецидивирования холестеатомы [23]. Мы получили довольно низкие результаты чувствительности и специфичности КТ в выявлении холестеатомы, вероятно, из-за того, что часть пациентов с гистологически и интраоперационно подтвержденным диагнозом были именно с рецидивными процессами, где нет четких КТ-критериев наличия холестеатомы. Даже при явных КТ-признаках холестеатомы – ремоделировании барабанной полости, латерализации косточек среднего уха и их кариозных изменениях – в ряде случаев диагноз не был подтвержден.
Наиболее сложными в плане диагностики предсказуемо оказались такие отделы среднего уха, как адитус и антрум, а среди отделов барабанной полости – медиальная и передняя стенки. Относительно высокая доля отрицательных значений (ложноположительных результатов) в мезотимпануме может объясняться тем, что у послеоперационных больных в месте выполнения тимпано- и оссикулопластики часто отмечаются артефакты вследствие большого количества различных по характеристикам тканей в небольшой анатомической области.
В нашем исследовании не было разницы в МР-сигналах между впервые выявленной и рецидивной холестеатомой. При сравнении сигнала от холестеатомы с сигналами от артефактов мы получили результаты, перекрывающиеся в средних значениях. Из этого следует, что полагаться только на сигнал ограничения МР-диффузии при оценке результатов исследования нельзя; крайние высокие значения наиболее подозрительны в плане возможных артефактов, но ориентироваться следует в большей степени на место возможного рецидива. В этом свете новое и более существенное значение приобретает слияние изображений КТ и МРТ (при наличии такой опции [23]) либо слияние неэхопланарных диффузионно-взвешенных изображений (NON-EPI DWI, b1000) с Т2-взвешенными изображениями или FIESTA для возможности более точной ориентировки в пирамиде височной кости, в частности в полостях среднего уха или послеоперационной полости.
Заключение
Метод МРТ демонстрирует значительно более высокие показатели чувствительности и специфичности в диагностике холестеатомы, чем КТ.
Наше исследование не показало существенных различий в МР-семиотике и степени ограничения МР-диффузии на NON-EPI DWI (b1000) при холестеатомах, еще не подвергшихся хирургическому лечению, и рецидивных, что унифицирует МР-исследование для любых пациентов с предполагаемой холестеатомой и облегчает стандартизацию протоколов сканирования.
Не было найдено значимых различий между ограничением МР-диффузии в холестеатомах и артефактах, вызванных локальным воспалением, часто в ограниченных ячейках сосцевидного отростка, и в этом контексте возможность слияния изображений приобретает более весомое значение для исключения артефактов вне возможной зоны рецидива и определения точной топической локализации холестеатомы.
Дополнительная информация
Финансирование
Исследование выполнено в рамках диссертационной работы Е. А. Степановой «Комплексная лучевая диагностика заболеваний височной кости».
Конфликт интересов
Авторы декларируют отсутствие явных и потенциальных конфликтов интересов, связанных с публикацией настоящей статьи.
Участие авторов
Е. А. Степанова – концепция и дизайн исследования, сбор и обработка материала, анализ полученных данных, написание текста; Е. В. Гаров – анализ и интерпретация клинических результатов, редактирование текста. Оба автора прочли и одобрили финальную версию статьи перед публикацией, согласны нести ответственность за все аспекты работы и гарантируют, что ими надлежащим образом были рассмотрены и решены вопросы, связанные с точностью и добросовестностью всех частей работы.
About the authors
Elena A. Stepanova
Moscow Regional Research and Clinical Institute (MONIKI)
Author for correspondence.
Email: stepanovamoniki@gmail.com
ORCID iD: 0000-0002-9037-0034
MD, PhD, Head of Department of Roentgenology
Russian Federation, ul. Shchepkina 61/2, Moscow, 129110Evgeny V. Garov
The Sverzhevskiy Otorhinolaryngology Healthcare Research Institute
Email: egarov@yandex.ru
ORCID iD: 0000-0003-2473-3113
MD, PhD, Head of Department of Ear Microsurgery
Russian Federation, Zagorodnoe shosse 18A, Moscow, 117152References
- Bukurov B, Arsovic N, Grujicic SS, Haggard M, Spencer H, Marinkovic JE. Psychometric characteristics of the chronic Otitis media questionnaire 12 (COMQ-12): stability of factor structure and replicability shown by the Serbian version. Health Qual Life Outcomes. 2017;15(1):207. doi: 10.1186/s12955-017-0782-x.
- Pal'chun VT, Gurov AV, Mikhaleva LM, Gordienko MV. [The modern approaches to the evaluation of the importance of chronic inflammation in the mucous membrane of the middle ear]. Vestnik Oto-Rino-Laringologii [Oto-Rhino-Laryngology Bulletin]. 2018;83(1):75-80. Russian. doi: 10.17116/otorino201883175-80.
- Bae MR, Kang WS, Chung JW. Comparison of the Clinical Results of Attic Cholesteatoma Treatment: Endoscopic Versus Microscopic Ear Surgery. Clin Exp Otorhinolaryngol. 2019;12(2):156-162. doi: 10.21053/ceo.2018.00507.
- Shakya D, Nepal A. Total Endoscopic Perichondrium Reinforced Cartilage Myringoplasty for Anterior Perforation. Ear Nose Throat J. 2022;101(3):158-164. doi: 10.1177/0145561320946908.
- Aquino JE, Cruz Filho NA, de Aquino JN. Epidemiology of middle ear and mastoid cholesteatomas: study of 1146 cases. Braz J Otorhinolaryngol. 2011;77(3):341-347. doi: 10.1590/s1808-86942011000300012.
- Olszewska E, Wagner M, Bernal-Sprekelsen M, Ebmeyer J, Dazert S, Hildmann H, Sudhoff H. Etiopathogenesis of cholesteatoma. Eur Arch Otorhinolaryngol. 2004;261(1):6-24. doi: 10.1007/s00405-003-0623-x.
- Rutkowska J, Özgirgin N, Olszewska E. Cholesteatoma Definition and Classification: A Literature Review. J Int Adv Otol. 2017; 13(2):266-271. doi: 10.5152/iao.2017.3411.
- Shakya D, Nepal A. Transcanal Endoscopic Retrograde Mastoidectomy for Cholesteatoma: A Prospective Study. Ear Nose Throat J. 2023;102(6): NP269–NP276. doi: 10.1177/01455613211009439.
- Rosito LPS, Canali I, Teixeira A, Silva MN, Selaimen F, Costa SSD. Cholesteatoma labyrinthine fistula: prevalence and impact. Braz J Otorhinolaryngol. 2019;85(2):222-227. doi: 10.1016/j.bjorl.2018.01.005.
- Vadiya S, Kedia A. Atticotomy, Attic Reconstruction, Tympanoplasty with or Without Ossiculoplasty, Canal Plasty and Cortical Mastoidectomy as Part of Intact Canal Wall Technique for Attic Cholesteatoma. Indian J Otolaryngol Head Neck Surg. 2015;67(2):128-131. doi: 10.1007/s12070-015-0821-z.
- Stepanova EA, Khar’kova NA. [Imaging of Chronic Otitis Media With Cholesteatoma (Literature Review)]. Radiology – Practice. 2020;(4):41-51. Russian.
- Pollak N. Endoscopic and minimally-invasive ear surgery: A path to better outcomes. World J Otorhinolaryngol Head Neck Surg. 2017;3(3):129-135. doi: 10.1016/j.wjorl.2017.08.001.
- Mehta R, Mankekar G, Mayland E, Melder K, Arriaga MA. Endoscopic Inside-Out Mastoidec-tomy with the Ultrasonic Bone Aspirator. OTO Open. 2019;3(1):2473974X18821923. doi: 10.1177/2473974X18821923.
- Volgger V, Lindeskog G, Krause E, Schrötzlmair F. Identification of risk factors for residual cholesteatoma in children and adults: a retrospective study on 110 cases of revision surgery. Braz J Otorhinolaryngol. 2020;86(2):201-208. doi: 10.1016/j.bjorl.2018.11.004.
- Yamashita K, Hiwatashi A, Togao O, Kikuchi K, Matsumoto N, Momosaka D, Nakatake H, Sakai Y, Honda H. Ultrahigh-resolution CT scan of the temporal bone. Eur Arch Otorhinolaryngol. 2018;275(11):2797-2803. doi: 10.1007/s00405-018-5101-6.
- Fujiwara S, Toyama Y, Miyashita T, Osaki Y, Inamoto R, Hoshikawa H, Mori N. Usefulness of multislice-CT using multiplanar reconstruction in the preoperative assessment of the ossicular lesions in the middle ear diseases. Auris Nasus Larynx. 2016;43(3):247-253. doi: 10.1016/j.anl.2015.08.007.
- Majeed J, Sudarshan Reddy L. Role of CT Mastoids in the Diagnosis and Surgical Management of Chronic Inflammatory Ear Diseases. Indian J Otolaryngol Head Neck Surg. 2017;69(1):113-120. doi: 10.1007/s12070-016-1023-z.
- De Foer B, Vercruysse JP, Pouillon M, Somers T, Casselman JW, Offeciers E. Value of high-resolution computed tomography and magnetic resonance imaging in the detection of residual cholesteatomas in primary bony obliterated mastoids. Am J Otolaryngol. 2007;28(4):230-234. doi: 10.1016/j.amjoto.2006.09.010.
- Mandal S, Muneer K, Roy M. High Resolution Computed Tomography of Temporal Bone: The Predictive Value in Atticoantral Disease. Indian J Otolaryngol Head Neck Surg. 2019;71(Suppl 2):1391-1395. doi: 10.1007/s12070-018-1465-6.
- Songu M, Altay C, Onal K, Arslanoglu S, Balci MK, Ucar M, Ciger E, Kopar A. Correlation of computed tomography, echo-planar diffusion-weighted magnetic resonance imaging and surgical outcomes in middle ear cholesteatoma. Acta Otolaryngol. 2015;135(8):776-780. doi: 10.3109/00016489.2015.1021931.
- Nash R, Lingam RK, Chandrasekharan D, Singh A. Does non-echo-planar diffusion-weighted magnetic resonance imaging have a role in assisting the clinical diagnosis of cholesteatoma in selected cases? J Laryngol Otol. 2018;132(3):207-213. doi: 10.1017/S0022215118000087.
- Stepanova EA, Sambulov VI, Vishnyakova MV. [Diffuse-weighed magnetic resonance imaging in the middle ear cholesteatoma diagnosis]. Omsk Scientific Bulletin. 2014;2(134):63-66. Russian.
- Kosyakov SYa, Pchelenok EV, Stepanova EA, Tarasova OYu. [Combination of CT and MRT in the diagnostic of middle ear cholesteatoma. Fusion technology is precise localization tool]. Vestnik Oto-Rino-Laringologii [Oto-Rhino-Laryngology Bulletin]. 2021;86(5):90-96. Russian. doi: 10.17116/otorino20218605190.
- Karki S, Pokharel M, Suwal S, Poudel R. Correlation between Preoperative High Resolution Computed Tomography (CT) Findings with Surgical Findings in Chronic Otitis Media (COM) Squamosal Type. Kathmandu Univ Med J (KUMJ). 2017;15(57):84-87.
- Guyader E, Savéan J, Clodic C, Letellier P, Meriot P, Marianowski R. Three-dimensional reconstruction of the temporal bone: Comparison of in situ, CT, and CBCT measurements. Eur Ann Otorhinolaryngol Head Neck Dis. 2018;135(6):393-398. doi: 10.1016/j.anorl.2018.08.013.
- Tada A, Sato S, Masaoka Y, Kanazawa S. Imaging of the temporal bone in children using low-dose 320-row area detector computed tomography. J Med Imaging Radiat Oncol. 2017;61(4):489-493. doi: 10.1111/1754-9485.12596.
- Gürkov R, Berman A, Dietrich O, Flatz W, Jerin C, Krause E, Keeser D, Ertl-Wagner B. MR volumetric assessment of endolymphatic hydrops. Eur Radiol. 2015;25(2):585-595. doi: 10.1007/s00330-014-3414-4.
- Sharma SD, Hall A, Bartley AC, Bassett P, Singh A, Lingam RK. Surgical mapping of middle ear cholesteatoma with fusion of computed tomography and diffusion-weighted magnetic resonance images: Diagnostic performance and interobserver agreement. Int J Pediatr Otorhinolaryngol. 2020;129:109788. doi: 10.1016/j.ijporl.2019.109788.
Supplementary files














