Sudden cardiac death in myocarditis
- Authors: Taradin G.G.1,2, Ignatenko G.A.1, Kugler T.E.1
-
Affiliations:
- M. Gorky Donetsk National Medical University
- Institute of Urgent and Recovery Surgery named after V.K. Gusak
- Issue: Vol 51, No 2 (2023)
- Pages: 99-109
- Section: REVIEW ARTICLE
- URL: https://ogarev-online.ru/2072-0505/article/view/149007
- DOI: https://doi.org/10.18786/2072-0505-2023-51-010
- ID: 149007
Cite item
Full Text
Abstract
According to statistics, myocarditis is one of the leading causes of sudden cardiac death (SCD) in children and young adults. The etiology of myocarditis includes infectious and non-infectious, including autoimmune diseases, as well as toxicities and hypersensitivity to various drugs or bites of insects, spiders, snakes, etc. The risk of myocarditis among patients with COVID-19 is 15.7-fold higher than that in the general population. The most common cause of death in myocarditis is heart arrhythmia, such as ventricular tachyarrhythmia, ventricular fibrillation, or severe bradycardia. Genetic predisposition, ion and metabolic disorders, mechanisms of autoimmune response, and direct cardiotoxic action in viral diseases play a role in the pathophysiology of inflammatory myocardial damage. While the majority of patients with myocarditis, who died suddenly, was asymptomatic or had few symptoms, a timely and accurate diagnosis of myocarditis seems to be an important challenge for prevention or minimization of SCD risk. Nonetheless, at present there is no convincing evidence of an association between laboratory and instrumental parameters and the SCD risk in such patients. Endomyocardial biopsy remains the "golden standard" in the diagnosis of myocarditis. Biomarkers (troponins or creatine phosphokinase) are not highly specific. The most common electrocardiographic findings in myocarditis are sinus tachycardia and nonspecific changes in the ST-T segment. The presence of Q wave, bundle branch block, Brugada syndrome, shortened or prolonged QT interval, and early ventricular repolarization are associated with an increased risk of SCD in myocarditis. Given the absence of specific echocardiographic signs of myocarditis, special attention is paid to the assessment of the size of the cardiac chambers, wall thicknesses, global and regional systolic and diastolic function of both the left and right ventricles, visualization of pericardial effusion and intracardiac thrombi. A combined cardiac magnetic resonance imaging using T2-weighted imaging and early and late gadolinium enhancement provides high diagnostic accuracy and seems to be a useful tool in the stratification of patients with suspected acute myocarditis. With the established etiology of myocarditis, specific therapy is necessary to eliminate the pathogen. It is necessary to take into account the likely arrhythmogenic effects of the drugs used in treatment. Non-steroidal anti-inflammatory drugs are generally not indicated in patients with myocarditis because they cause renal impairment and sodium retention, which can exacerbate left ventricular dysfunction and increase the risk of SCD. In the case of severe conduction disturbances and ventricular tachyarrhythmias, implantation of a pacemaker or cardioverter-defibrillator is necessary.
Full Text
Миокардит – воспалительное заболевание миокарда, клиническая картина которого может варьировать от бессимптомного течения до развития жизнеугрожающих состояний, включая тяжелую сердечную недостаточность (СН), тромбоэмболические осложнения, сердечные аритмии и внезапную сердечную смерть (ВСС) [1, 2]. ВСС может быть первым и единственным проявлением миокардита, что определяет важность клинической настороженности в отношении внезапного летального исхода при этом заболевании.
Согласно определению Всемирной организации здравоохранения, диагноз миокардита устанавливается в соответствии с гистологическими, иммунологическими и иммуногистохимическими критериями [3]. Вследствие неспецифичности клинических признаков и симптомов миокардита золотым стандартом диагностики считается эндомиокардиальная биопсия (ЭМБ). Однако метод обычно недоступен в рутинной кардиологической практике, а его результаты не всегда однозначны. В этой связи диагностика миокардита часто вызывает затруднения.
Миокардит имеет большой удельный вес в структуре причин ВСС, особенно среди умерших детей и лиц молодого возраста. В настоящее время отсутствуют специфические клинико-морфологические признаки, ассоциирующиеся c высоким риском ВСС у больных этой патологией. Цель данного обзора – обсуждение вопросов риска возникновения и потенциальных мишеней профилактики ВСС вследствие миокардита.
Эпидемиология: миокардит как причина внезапной сердечной смерти
В 2017 г. глобальная заболеваемость миокардитом составила 3,07 млн [4]. Сведения о распространенности миокардита в структуре ВСС существенно различаются в зависимости от критериев определения ВСС, возраста, пола, уровня физической подготовки и др. Таблица иллюстрирует частоту миокардита как причины ВСС по данным патологоанатомических исследований.
Доля миокардита среди причин внезапной сердечной смерти у детей и лиц молодого возраста
Автор [источник] | Год публикации | Страна | Возраст пациентов, годы | Количество смертей, абс. | Миокардит, %* |
Общая популяция | |||||
C. Basso и соавт. [5] | 2001 | Италия | 1–35 | 273 | 10 |
А. Wisten и соавт. [6] | 2002 | Швеция | 15–35 | 181 | 11 |
А. Doolan и соавт. [7] | 2004 | Австралия | 0–35 | 193 | 12 |
R. Puranik и соавт. [8] | 2005 | Австралия | 5–35 | 241 | 12 |
M. Papadakis и соавт. [9] | 2009 | Великобритания | 1–35 | 3409 | 11 |
E.E. Solberg и соавт. [10] | 2010 | Норвегия | 15–34 | 23 | 22 |
R. Margey и соавт. [11] | 2011 | Ирландия | 15–35 | 116 | 6 |
M.V. Ilina и соавт. [12] | 2011 | Канада | 0–15 | 103 | 36 |
B. Asatryan и соавт. [13] | 2017 | Швейцария | 10–39 | 349 | 8 |
T.H. Lynge и соавт. [14] | 2019 | Дания | 1–49 | 753 | 6 |
B. Morentin и соавт. [15] | 2019 | Испания | 1–35 | 645 | 8 |
Спортсмены | |||||
D. Corrado и соавт. [16] | 2003 | Италия | 12–35 | 55 | 13 |
S.V. de Noronha и соавт. [17] | 2009 | Великобритания | 1–35 | 89 | 3 |
B.J. Maron и соавт. [18] | 2009 | США | 8–39 | 690 | 6 |
А.G. Holst и соавт. [19] | 2010 | Дания | 12–35 | 15 | 7 |
M.P. Suárez-Mier и соавт. [20] | 2013 | Испания | 9–35 | 81 | 5 |
K.G. Harmon и соавт. [21] | 2014 | США | 17–24 | 36 | 8 |
C. Gräni и соавт. [22] | 2016 | Швейцария | 10–39 | 69 | 2 |
R. Quinn и соавт. [23] | 2022 | Метаанализ | Н/д | 1955 | 3 |
Военнослужащие | |||||
R.E. Eckart и соавт. [24] | 2011 | США | 18–34 | 298 | 6 |
Н/д – нет данных
* Процент округляется до целого числа
На долю миокардита приходится от 2 до 36% случаев ВСС в детском и молодом возрасте, среди спортсменов и военнослужащих [5–24]. У детей и молодых людей миокардит (наряду с гипертрофической кардиомиопатией, аритмогенной кардиомиопатией и врожденными пороками сердца) выступает одной из ведущих причин ВСС. У взрослых и пожилых лиц причиной большинства (50–80%) случаев ВСС становятся ишемическая болезнь сердца и ее осложнения [2, 25]. При анализе причин ВСС у 453 больных (возраст 15–81 год), не имевших поражения коронарных артерий, гистологические признаки миокардита обнаружены в 8,6% случаев [26].
Миокардит может осложнять течение коронавирусной инфекции, однако пока отсутствуют точные данные о его распространенности при COVID-19 [27]. В исследовании J. Artico и соавт. частота миокардита среди госпитализированных больных COVID-19 с повышенным уровнем тропонина составила 6,7% по результатам магнитно-резонансной томографии (МРТ) [28]. Недавнее исследование по результатам аутопсии или ЭМБ показало, что в 4,5% случаев COVID-19 были обнаружены гистологические признаки миокардита [29]. Согласно информации из базы данных больниц США за 2020–2021 гг., риск миокардита составляет 0,146% среди стационарных и амбулаторных пациентов с COVID-19, что в 15,7 раза выше риска в общей популяции [30]. Метаанализ 17 ретроспективных когортных исследований пациентов с COVID-19 (n = 5815) выявил, что совокупная частота нарушений ритма составила 9,3%, при этом в 5,7% случаев отмечалась остановка сердца [31].
Этиология миокардита
Спектр причин воспаления миокарда очень широк и включает инфекционные, неинфекционные (в том числе аутоиммунные) заболевания, а также токсические реакции и реакции гиперчувствительности на различные лекарственные средства или укусы насекомых, пауков, змей и др. Предполагается, что вирусы (аденовирусы, энтеровирусы, полиовирусы, вирус герпеса человека 6-го типа, вирус гепатита C, ВИЧ, вирус гриппа, парвовирус B19, вирусы кори, паротита, краснухи, SARS-CoV-2 и др.) служат наиболее распространенной причиной миокардита в экономически развитых странах. Среди бактерий наиболее частые возбудители миокардита – Chlamydiа, Corynebacterium diphtheriae, Mycobacterium tuberculosis, Mycoplasma, Staphylococcus, Streptococcus, Pneumococcus, Meningococcus, Gonococcus, Salmonella, Haemophilus influenzae. Причиной миокардита могут быть также риккетсии, спирохеты, грибковые и протозойные агенты. Ряд аутоиммунных заболеваний, таких как целиакия, воспалительные заболевания кишечника, системные заболевания соединительной ткани, болезнь Кавасаки, саркоидоз, синдром Чарга – Стросс потенциально связаны с риском ВСС [32]. Несмотря на большое разнообразие этиологического спектра, специфическая природа миокардита, которая бы ассоциировалась с большим риском ВСС, не определена. А установление точной причины заболевания – важный этап в разработке этиотропного и патогенетически обоснованного лечения.
Патогенез жизнеопасных нарушений ритма при миокардите
Наиболее частая причина летального исхода при миокардите – нарушение ритма сердца. Полиэтиологический характер миокардита, фоновые состояния и электрофизиологические свойства миокарда определяют различные патофизиологические особенности фатальной аритмии. Обычно это фибрилляция желудочков или, реже, выраженная брадикардия [33]. Воздействие триггерных и модулирующих факторов на поврежденный миокард запускает цепь событий, ведущих к остановке сердца и в итоге – к ВСС (рис. 1).
Рис. 1. Схема вероятных патофизиологических событий, лежащих в основе фатальной аритмии и внезапной сердечной смерти (ВСС) при миокардите; AV-блокада – атриовентрикулярная блокада
Воздействию кардиотропных вирусов подвергаются все люди, но гистологически подтвержденный миокардит развивается менее чем у 10% инфицированных, следовательно, логично предположить, что в патогенезе воспалительного поражения миокарда играет роль генетическая предрасположенность [33]. Например, наиболее часто встречающийся полиморфизм гена KCNQ1, кодирующий медленный инактивирующий калиевый канал у азиатов, обеспечивает протективный эффект против аритмий, индуцируемых вирусом [34]. При вирусной инфекции происходит повреждение кардиомиоцитов через механизмы аутоиммунного ответа и прямого кардиотоксического действия вируса, что, в свою очередь, может вызвать желудочковую тахиаритмию (ЖТА) [35].
ЖТА могут возникать у больных острым миокардитом на фоне различных каналопатий. Согласно результатам исследований, у пациентов с острым миокардитом были обнаружены электрокардиографические (ЭКГ) нарушения, соответствующие трем типам каналопатий (синдромы Бругада, укороченного интервала QT и ранней реполяризации желудочков) [36–38]. Характерные для синдрома Бругада изменения ЭКГ включают подъем сегмента ST дугообразного типа в отведениях V1–V3 и полиморфную желудочковую тахикардию, что может привести к ВСС. Мутации в гене сердечного натриевого канала SCN5A выявляют у 15–30% пациентов с синдромом Бругада. Большинство мутаций SCN5A ассоциируются с уменьшением тока Na+ во время ранних фаз потенциала действия. Несколько негенетических факторов упоминаются в литературе как возможные индукторы ЭКГ-паттерна, напоминающего синдром Бругада. Предположительно, ранее не диагностированная дисфункция ионных каналов может стать клинически очевидной при повышении температуры тела у больных миокардитом и под влиянием кокаина и фармацевтических препаратов, обладающих эффектом блокирования натриевых каналов [38, 39].
У пациентов с COVID-19 наблюдаются брадикардия, AV-блокада, ЖТА (в том числе torsade de pointes), но наиболее часто – фибрилляция предсердий. Воспаление миокарда может возникать при воздействии провоспалительных цитокинов, макрофагов, а также из-за клеточно-опосредованной цитотоксичности CD8 и Т-лимфоцитов, приводящей к повреждению кардиомиоцитов и в конечном итоге к развитию аритмий [40]. Следует учитывать, что около 13% пациентов с COVID-19 имеют удлиненный интервал QT. С одной стороны, этому способствуют свойства некоторых лекарственных препаратов, используемых для лечения коронавирусной инфекции (антибиотики, аминохинолиновые, противовирусные и антиаритмические средства). С другой стороны, само заболевание сопровождается удлинением интервала QT вследствие системного воспаления, почечной дисфункции, поражения сердца и дисбаланса электролитов [40].
Острый миокардит, хотя и редко, развивается после вакцинации против COVID-19, преимущественно препаратами, основанными на технологии мРНК, вероятно, из-за иммунного ответа [41, 42].
Клинические проявления миокардита, предшествующие внезапной сердечной смерти
ВСС может наступать без каких-либо предшествующих и угрожающих жизни признаков на фоне хорошего самочувствия. При вирусном миокардите следует обратить внимание на неспецифические продромальные проявления (лихорадка, респираторные или желудочно-кишечные симптомы), которые часто предшествуют началу заболевания. В ретроспективных исследованиях молодых пациентов, умерших от ВСС, у 35–53% отмечались продромальные симптомы (наиболее часто загрудинные боли и головокружение), которые не ассоциировались с заболеванием сердца.
Клиническая картина миокардита SARS-CoV-2 характеризуется большим разнообразием: у некоторых пациентов регистрируют относительно легкие проявления, например, утомляемость и одышку, тогда как у других возникают боль или чувство стеснения в груди. У части пациентов отмечаются тахикардия и проявления острой СН вплоть до кардиогенного шока или ВСС. Ранние признаки молниеносного миокардита обычно похожи на признаки сепсиса: гипертензия с низким пульсовым давлением, холодные и/или «мраморные» конечности и синусовая тахикардия [43].
В настоящее время трудно, если вообще возможно, выделить высокоспецифичные клинические признаки и симптомы миокардита, предшествующие ВСС. Именно поэтому несомненный интерес представляет изучение любых жалоб и клинических признаков, возникающих у больных, не имеющих кардиологического анамнеза. Раннее распознавание продромальных жалоб и симптомов может иметь решающее значение для предотвращения ВСС при этой патологии.
Особенности диагностики миокардита в прогнозировании внезапной сердечной смерти
В связи с тем что большинство больных миокардитом, умерших внезапно, малосимптомны или вовсе не имеют симптомов, своевременная и точная диагностика миокардита представляется важнейшей задачей в плане предупреждения или минимизации риска развития внезапного летального исхода [44]. Таким образом, любой пациент с предполагаемым воспалительным заболеванием миокарда должен пройти тщательное кардиологическое обследование.
Биомаркеры
Биомаркеры (тропонины или креатинфосфокиназа) не обладают высокой специфичностью, но могут помочь подтвердить диагноз миокардита. У пациентов с острым миокардитом чаще отмечается повышение сывороточных концентраций тропонина I и Т, чем креатинфосфокиназы-MB. Более высокие уровни тропонина Т имеют прогностическое значение [45], однако данных о соотношении уровней кардиомаркеров с частотой ВСС нет. Сообщается, что высокие уровни тропонина коррелировали с неблагоприятным прогнозом у детей с миокардитом, однако авторы не выделяли случаи ВСС из числа летальных [46]. У пациентов с COVID-19 уровень N-терминального мозгового натрийуретического пропептида также может увеличиваться вторично вследствие тяжелого респираторного заболевания [47].
Электрокардиография
Применение ЭКГ продемонстрировало многообещающие результаты в небольших исследованиях, стратифицирующих риск ВСС, тем не менее клиническая значимость этих тестов для выбора терапии не доказана. Наиболее частыми ЭКГ-находками при миокардите были синусовая тахикардия и неспецифические изменения сегмента ST-T. Наблюдали также наджелудочковые, желудочковые аритмии и нарушения проводимости в виде AV- и внутрижелудочковой (левой или правой ножки пучка Гиса) блокады. Тахиаритмии были связаны с увеличением вероятности смерти в 2,3 раза (95% доверительный интервал (ДИ) от 1,6 до 3,3, p < 0,001). Наличие зубца Q, блокады ножки пучка Гиса, синдром Бругада, укороченный или удлиненный интервал QT и ранняя реполяризация желудочков ассоциированы с повышенным риском ВСС при миокардите [48, 49].
В исследовании 443 больных с COVID-19 (средний возраст 34 года) и выраженными симптомами острого миокардита в Ломбардии (Италия) подъем сегмента ST был наиболее частым признаком на ЭКГ (57,5%) [50]. В исследовании случаев ВСС вследствие миокардита среди молодых людей и спортсменов воспалительное поражение проводящей системы регистрировали довольно часто – в 38% [51].
Согласно рекомендациям FDA (Управление по санитарному надзору за качеством пищевых продуктов и медикаментов, англ. U.S. Food and Drug Administration), перед лечением азитромицином, хлорохином (гидроксихлорохином), лопинавиром в сочетании с ритонавиром следует оценить длительность интервала QT, рассчитанного по формуле Базетта, которая не должна превышать 480 мс [31].
Эхокардиография
Специфических эхокардиографических признаков миокардита нет. Тем не менее эхокардиография позволяет оценить размеры камер сердца, толщину стенок, а также глобальную/региональную систолическую и диастолическую функцию у пациентов с миокардитом. Характерные находки при этом включают глобальный гипокинез с перикардиальным выпотом или без него. Эхокардиография особенно необходима перед процедурой ЭМБ для исключения перикардиального выпота и внутриполостных тромбов, которые отмечаются у 25% пациентов.
При остром миокардите систолическая дисфункция правого желудочка (ПЖ) считается независимым предиктором смерти и указывает на необходимость трансплантации сердца. Даже при нормальных значениях фракции выброса (ФВ) левого желудочка (ЛЖ) наличие увеличенной толщины стенок, сегментарного гипокинеза (особенно нижней и нижнебоковой стенок), диастолической дисфункции, нарушения тканевого доплеровского картирования, дисфункция ПЖ, перикардиальный выпот и измененная эходенсивность миокарда позволяют предполагать у больного острый миокардит [52].
Магнитно-резонансная томография
МРТ сердца – неинвазивный и ценный инструмент в диагностике миокардита; базируется на использовании критериев Lake Louise, которые были впервые опубликованы в 2009 г. и обновлены в 2018 г. [27, 45]. Обновленные МРТ-требования для диагностики миокардита включают критерии на основе как T2, которые отражают отек миокарда, так и T1, в том числе позднее усиление гадолиния (англ. late gadolinium enhancement, LGE), что позволяет выявить некроз и фиброз миокарда [53, 54]. Использование обновленных комбинированных критериев обеспечивает высокие специфичность (> 94%) и чувствительность (> 90%).
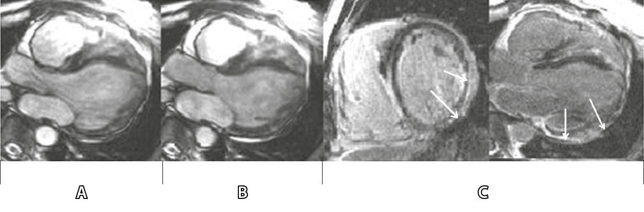
При остром миокардите разрыв мембран кардиомиоцитов позволяет гадолинию диффундировать в клетки, что приводит к повышению концентрации на уровне тканей и последующему усилению контраста. Комбинированный подход МРТ с использованием Т2-взвешенных изображений, раннего усиления сигнала гадолиния и LGE (рис. 2) обеспечивает высокую диагностическую точность и служит полезным инструментом диагностики и оценки пациентов с подозрением на острый миокардит [35, 44].
Рис. 2. Результаты магнитно-резонансной томографии у больного миокардитом (источник – J. Schumm и соавт. [44]): А – диастола, Б – систола, В – позднее усиление гадолиния. Описание: больной жаловался на одышку и боль в грудной клетке. При выполнении магнитно-резонансной томографии сердца выявлены снижение фракции выброса левого желудочка (22%) и эпикардиальная локализация позднего усиления гадолиния (указано стрелками) заднебоковой стенки, что характерно для миокардита. При эндомиокардиальной биопсии: вирусный миокардит, вызванный вирусом герпеса человека 6-го типа. Внезапная сердечная смерть у пациента была зарегистрирована во время наблюдения
Роль МРТ в стратификации риска ВСС была изучена у 203 пациентов с вирусным миокардитом, подтвержденным при биопсии. В исследовании S. Grün и соавт. ни у одного из пациентов без LGE не возникла ВСС (отрицательное прогностическое значение 100%), независимо от ФВ или объема ЛЖ [55]. Следовательно, отсутствие LGE может выявить пациентов с низким риском ВСС, которым не требуется имплантация кардиовертера-дефибриллятора (ИКД), несмотря на снижение ФВ.
По мнению D.E. Clark и соавт., интерпретация изображений МРТ у больных COVID-19 может осложняться из-за очевидной склонности миокардита при этом заболевании поражать нижнюю стенку ЛЖ и заднеперегородочные сегменты в месте примыкания ПЖ [56].
Эндомиокардиальная биопсия
Золотым стандартом в диагностике миокардита по-прежнему остается ЭМБ [1, 2, 57]. В национальных и международных клинических рекомендациях определены показания к проведению ЭМБ у пациентов с клиническим подозрением на миокардит, диагностика которого осуществляется на основании гистологических, иммуногистохимических критериев и результатов полимеразной цепной реакции [58, 59]. Фактически ЭМБ позволяет обнаружить и провести количественную оценку вирусных геномов в миокарде с помощью методов полимеразной цепной реакции в реальном времени, таким образом дифференцируя вирус-позитивное воспаление миокарда от вирус-негативного, что обеспечивает выработку индивидуального подхода к лечению [60]. Более того, точная морфологическая характеристика воспалительного инфильтрата важна для оценки прогноза: эозинофильный, гигантоклеточный миокардит и саркоидоз сердца имеют неблагоприятный прогноз и обычно требуют интенсивной иммуносупрессивной терапии. Течение гигантоклеточного миокардита ассоциируется с высоким риском жизнеугрожающих ЖТА, наблюдаемых у 14% больных с миокардитом на момент изначальных проявлений, которые в дальнейшем становятся рефрактерными к лечению более чем у половины пациентов [2].
Профилактика внезапной сердечной смерти вследствие миокардита
Учитывая, что ВСС по определению является «внезапной, неожидаемой и естественной смертью вследствие кардиальной причины» [61], очень сложно определить когорту пациентов с миокардитом, имеющих высокий риск ВСС. А значит, любой пациент с подозрением на миокардит или с подтвержденным диагнозом должен рассматриваться как потенциально предрасположенный к развитию этого летального исхода.
При остром миокардите рекомендуется отказ от физической нагрузки в дополнение к фармакологической терапии. Согласно рекомендациям Европейского общества кардиологов 2020 по спортивной кардиологии и физическим тренировкам у пациентов с сердечно-сосудистыми заболеваниями, спортсменам с миокардитом следует воздерживаться от тренировок и участия в спортивных состязаниях в течение 3–6 месяцев [62]. Физические упражнения во время активной вирусной инфекции могут увеличить репликацию вируса и сократить выживаемость. Воздействие таких веществ, как табачный дым и алкоголь, должно быть исключено.
Особенности терапии миокардита с целью минимизации риска внезапной сердечной смерти
При установлении этиологии миокардита необходимо рассмотреть вопрос о проведении специфической терапии для элиминации возбудителя. При вирусном, бактериальном или грибковом миокардите показано соответствующее лечение [63].
С целью минимизации рисков развития ВСС с особой осторожностью следует относиться к назначению комбинированного антибиотика, содержащего триметоприм и сульфаметоксазол, ингибиторов ангиотензинпревращающего фермента, блокаторов ангиотензиновых рецепторов или спиронолактона [64, 65] вследствие вероятности развития гиперкалиемии. Более того, комбинация триметоприма-сульфаметоксазола и спиронолактона была связана с более высоким риском ВСС по сравнению с другими антибиотиками [65].
Результаты крупного метаанализа с охватом 80 исследований (n = 39 374 874) показали, что у пациентов, принимавших макролидные антибиотики (азитромицин, кларитромицин, эритромицин, рокситромицин), по сравнению с лицами, не получавшими макролиды, отмечен увеличенный риск ЖТА и ВСС (азитромицин, относительный риск (ОР): 1,53; 95% ДИ: 1,19–1,97; кларитромицин, ОР: 1,52; 95% ДИ: 1,07–2,16) [66].
Нестероидные противовоспалительные препараты, как правило, не показаны пациентам с миокардитом, поскольку они вызывают нарушения функции почек и задержку натрия, что может усугубить дисфункцию ЛЖ и повысить риск ВСС [43, 67, 68]. По мнению I. Kindermann и соавт., их можно назначать в минимальной дозировке пациентам с миоперикардитом, испытывающим интенсивную боль в грудной клетке, при сохранной систолической функции ЛЖ [45].
Дигоксин необходимо применять с осторожностью и только в малых дозах у пациентов с вирусным миокардитом. С. Teodorescu и соавт. установили, что дигоксин независимо связан с повышенным риском ВСС в общей популяции [69].
Следует отметить способность антиаритмических препаратов провоцировать ЖТА и ВСС при назначении больным миокардитом с различными видами аритмий. Большинство электрофизиологов пришли к убеждению, что проаритмические эффекты препаратов класса I перевешивают антиаритмические эффекты, по крайней мере у пациентов с сопутствующими заболеваниями сердца [70].
Имплантируемые кардиостимуляторы и кардиовертер-дефибрилляторы. Больных с острым миокардитом и нестабильной гемодинамикой рекомендовано наблюдать в стационаре с ЭКГ-мониторингом для выявления возможных нарушений проводимости и жизнеопасных нарушений ритма [35, 71]. Как правило, нарушения проводимости, такие как полная AV-блокада или выраженная брадикардия, транзиторны в острую фазу заболевания, поэтому первый шаг в лечении – установка временного электрокардиостимулятора. Однако если полная AV-блокада или выраженная брадикардия сохраняются спустя несколько (обычно 5–7) дней наблюдения и состояние больного позволяет выписать его на амбулаторное лечение, необходимо имплантировать постоянный электрокардиостимулятор, во многих случаях с функцией дефибриллятора [35].
Показания для ИКД у больных с миокардитом аналогичны неишемической кардиомиопатии [35]. Установка ИКД пациентам с миокардитом также показана после остановки сердца вследствие фибрилляции желудочков или клинически выраженной ЖТА. Сердечная ресинхронизирующая терапия с функцией дефибриллятора рекомендована пациентам с нарушенной функцией ЛЖ (ФВ ЛЖ ≤ 35%) и блокадой левой ножки пучка Гиса при функциональном классе СН III–IV по классификации NYHA (англ. New York Heart Association – Нью-Йоркская кардиологическая ассоциация) [72].
Заключение
Миокардит имеет широкий этиологический спектр и осложняет течение различных инфекционных и неинфекционных заболеваний. Естественное течение миокардита широко варьирует от бессимптомного течения до острой СН, кардиогенного шока, жизнеугрожающих аритмий и летального исхода, включая ВСС. В настоящее время отсутствуют убедительные доказательства об ассоциации клинических и лабораторно-инструментальных показателей и риска ВСС у таких больных. Считается, что риск ВСС повышен у больных, имеющих существовавшие до начала заболевания или появившиеся во время него нарушения проводимости, ЖТА, ЭКГ-признаки каналопатий, удлинение интервала QT, снижение систолической функции ЛЖ и LGE по данным МРТ. При лечении миокардита необходимо учитывать вероятные аритмогенные эффекты применяемых препаратов. В случаях тяжелых нарушений проводимости и ЖТА рекомендуется обсуждение имплантации электрокардиостимулятора или ИКД. Актуальными остаются поиск и усовершенствование мероприятий по своевременной и точной диагностике миокардита и минимизации риска ВСС.
Дополнительная информация
Финансирование
Работа проведена без привлечения дополнительного финансирования со стороны третьих лиц.
Конфликт интересов
Авторы декларируют отсутствие явных и потенциальных конфликтов интересов, связанных с публикацией настоящей статьи.
Участие авторов
Г.Г. Тарадин – сбор, анализ и интерпретация данных, формулировка выводов, утверждение итогового варианта текста рукописи; Г.А. Игнатенко – интеграция авторского коллектива, редактирование текста; Т.Е. Куглер – сбор, анализ и интерпретация данных.
Все авторы прочли и одобрили финальную версию статьи перед публикацией, согласны нести ответственность за все аспекты работы и гарантируют, что ими надлежащим образом были рассмотрены и решены вопросы, связанные с точностью и добросовестностью всех частей работы.
About the authors
Gennady G. Taradin
M. Gorky Donetsk National Medical University; Institute of Urgent and Recovery Surgery named after V.K. Gusak
Email: taradin@inbox.ru
ORCID iD: 0000-0003-3984-8482
Scopus Author ID: 6507781440
ResearcherId: N-9875-2015
MD, PhD, Associate Professor, Head of Chair of Therapy, Faculty of Internship and Postgraduate Education named after A.I. Dyadyk; Senior Research Fellow, Department of Urgent Cardiology and Cardiovascular Surgery
Russian Federation, pr. Il’icha 16, Donetsk, 283001; Leninsky pr. 47, Donetsk, 283000Grigoriy A. Ignatenko
M. Gorky Donetsk National Medical University
Email: secretary@dnmu.ru
ORCID iD: 0000-0003-3611-1186
Scopus Author ID: 6603026824
ResearcherId: Q-2716-2017
MD, PhD, Professor, Corr. Member of National Academy of Medical Sciences of Ukraine, Head of Chair of Propaedeutics of Internal Diseases, Rector
Russian Federation, pr. Il’icha 16, Donetsk, 283001Tatyana E. Kugler
M. Gorky Donetsk National Medical University
Author for correspondence.
Email: kugler2@mail.ru
ORCID iD: 0000-0001-5547-6741
SPIN-code: 2397-5311
Scopus Author ID: 57217841343
ResearcherId: B-1384-2015
MD, PhD, Associate Professor, Chair of Therapy, Faculty of Internship and Postgraduate Education named after A.I. Dyadyk
Russian Federation, pr. Il’icha 16, Donetsk, 283001References
- Arutyunov GP, Paleev FN, Moiseeva OM, Dragunov DO, Sokolova AV, Arutyunov AG, Zhirov IV, Blagova OV, Privalova EV, Gabrusenko SA, Garganeeva AA, Gendlin GE, Gilyarevsky SR, Duplyakov DV, Zairatiants OV, Karateev DE, Koziolova NA, Kosmacheva ED, Kochetov AG, Lopatin YuM, Melekhov AV, Mitrofanova LB, Narusov OYu, Nasonova SN, Nedostup AV, Nikulina SYu, Orlova YA, Poteshkina NG, Rebrov AP, Saidova MA, Sedov VP, Sinitsyn VE, Sitnikova MYu, Skvortsov AA, Skibitsky VV, Stukalova OV, Tarlovskaya EI, Tereshchenko SN, Usov VYu, Famin IV, Chesnikova AI, Shaposhnik II, Shostak NA. 2020 Clinical practice guidelines for Myocarditis in adults. Russian Journal of Cardiology. 2021;26(11):4790. Russian. doi: 10.15829/1560-4071-2021-4790.
- Zeppenfeld K, Tfelt-Hansen J, de Riva M, Winkel BG, Behr ER, Blom NA, Charron P, Corrado D, Dagres N, de Chillou C, Eckardt L, Friede T, Haugaa KH, Hocini M, Lambiase PD, Marijon E, Merino JL, Peichl P, Priori SG, Reichlin T, Schulz-Menger J, Sticherling C, Tzeis S, Verstrael A, Volterrani M; ESC Scientific Document Group. 2022 ESC Guidelines for the management of patients with ventricular arrhythmias and the prevention of sudden cardiac death. Eur Heart J. 2022;43(40):3997–4126. doi: 10.1093/eurheartj/ehac262.
- Richardson P, McKenna W, Bristow M, Maisch B, Mautner B, O'Connell J, Olsen E, Thiene G, Goodwin J, Gyarfas I, Martin I, Nordet P. Report of the 1995 World Health Organization/International Society and Federation of Cardiology Task Force on the Definition and Classification of cardiomyopathies. Circulation. 1996;93(5):841–842. doi: 10.1161/01.cir.93.5.841.
- GBD 2017 Disease and Injury Incidence and Prevalence Collaborators. Global, regional, and national incidence, prevalence, and years lived with disability for 354 diseases and injuries for 195 countries and territories, 1990-2017: a systematic analysis for the Global Burden of Disease Study 2017. Lancet. 2018;392(10159):1789–1858. doi: 10.1016/S0140-6736(18)32279-7.
- Basso C, Calabrese F, Corrado D, Thiene G. Postmortem diagnosis in sudden cardiac death victims: macroscopic, microscopic and molecular findings. Cardiovasc Res. 2001;50(2):290–300. doi: 10.1016/s0008-6363(01)00261-9.
- Wisten A, Forsberg H, Krantz P, Messner T. Sudden cardiac death in 15-35-year olds in Sweden during 1992-99. J Intern Med. 2002;252(6):529–536. doi: 10.1046/j.1365-2796.2002.01038.x.
- Doolan A, Langlois N, Semsarian C. Causes of sudden cardiac death in young Australians. Med J Aust. 2004;180(3):110–112. doi: 10.5694/j.1326-5377.2004.tb05830.x.
- Puranik R, Chow CK, Duflou JA, Kilborn MJ, McGuire MA. Sudden death in the young. Heart Rhythm. 2005;2(12):1277–1282. doi: 10.1016/j.hrthm.2005.09.008.
- Papadakis M, Sharma S, Cox S, Sheppard MN, Panoulas VF, Behr ER. The magnitude of sudden cardiac death in the young: a death certificate-based review in England and Wales. Europace. 2009;11(10):1353–1358. doi: 10.1093/europace/eup229.
- Solberg EE, Gjertsen F, Haugstad E, Kolsrud L. Sudden death in sports among young adults in Norway. Eur J Cardiovasc Prev Rehabil. 2010;17(3):337–341. doi: 10.1097/HJR.0b013e328332f8f7.
- Margey R, Roy A, Tobin S, O'Keane CJ, McGorrian C, Morris V, Jennings S, Galvin J. Sudden cardiac death in 14- to 35-year olds in Ireland from 2005 to 2007: a retrospective registry. Europace. 2011;13(10):1411–1418. doi: 10.1093/europace/eur161.
- Ilina MV, Kepron CA, Taylor GP, Perrin DG, Kantor PF, Somers GR. Undiagnosed heart disease leading to sudden unexpected death in childhood: a retrospective study. Pediatrics. 2011;128(3):e513–e520. doi: 10.1542/peds.2010-2307.
- Asatryan B, Vital C, Kellerhals C, Medeiros-Domingo A, Gräni C, Trachsel LD, Schmied CM, Saguner AM, Eser P, Herzig D, Bolliger S, Michaud K, Wilhelm M. Sports-related sudden cardiac deaths in the young population of Switzerland. PLoS One. 2017;12(3):e0174434. doi: 10.1371/journal.pone.0174434.
- Lynge TH, Nielsen TS, Gregers Winkel B, Tfelt-Hansen J, Banner J. Sudden cardiac death caused by myocarditis in persons aged 1-49 years: a nationwide study of 14294 deaths in Denmark. Forensic Sci Res. 2019;4(3):247–256. doi: 10.1080/20961790.2019.1595352.
- Morentin B, Suárez-Mier MP, Monzó A, Molina P, Lucena JS. Sports-related sudden cardiac death due to myocardial diseases on a population from 1-35 years: a multicentre forensic study in Spain. Forensic Sci Res. 2019;4(3):257–266. doi: 10.1080/20961790.2019.1633729.
- Corrado D, Basso C, Rizzoli G, Schiavon M, Thiene G. Does sports activity enhance the risk of sudden death in adolescents and young adults? J Am Coll Cardiol. 2003;42(11):1959–1963. doi: 10.1016/j.jacc.2003.03.002.
- de Noronha SV, Sharma S, Papadakis M, Desai S, Whyte G, Sheppard MN. Aetiology of sudden cardiac death in athletes in the United Kingdom: a pathological study. Heart. 2009;95(17):1409–1414. doi: 10.1136/hrt.2009.168369.
- Maron BJ, Doerer JJ, Haas TS, Tierney DM, Mueller FO. Sudden deaths in young competitive athletes: analysis of 1866 deaths in the United States, 1980-2006. Circulation. 2009;119(8):1085–1092. doi: 10.1161/CIRCULATIONAHA.108.804617.
- Holst AG, Winkel BG, Theilade J, Kristensen IB, Thomsen JL, Ottesen GL, Svendsen JH, Haunsø S, Prescott E, Tfelt-Hansen J. Incidence and etiology of sports-related sudden cardiac death in Denmark – implications for preparticipation screening. Heart Rhythm. 2010;7(10):1365–1371. doi: 10.1016/j.hrthm.2010.05.021.
- Suárez-Mier MP, Aguilera B, Mosquera RM, Sánchez-de-León MS. Pathology of sudden death during recreational sports in Spain. Forensic Sci Int. 2013;226(1–3):188–196. doi: 10.1016/j.forsciint.2013.01.016.
- Harmon KG, Drezner JA, Maleszewski JJ, Lopez-Anderson M, Owens D, Prutkin JM, Asif IM, Klossner D, Ackerman MJ. Pathogeneses of sudden cardiac death in national collegiate athletic association athletes. Circ Arrhythm Electrophysiol. 2014;7(2):198–204. doi: 10.1161/CIRCEP.113.001376.
- Gräni C, Chappex N, Fracasso T, Vital C, Kellerhals C, Schmied C, Saguner AM, Trachsel LD, Eser P, Michaud K, Wilhelm M. Sports-related sudden cardiac death in Switzerland classified by static and dynamic components of exercise. Eur J Prev Cardiol. 2016;23(11):1228–1236. doi: 10.1177/2047487316632967.
- Quinn R, Moulson N, Wang J, Isserow S, McKinney J. Sports-Related Sudden Cardiac Death Attributable to Myocarditis: A Systematic Review and Meta-analysis. Can J Cardiol. 2022;38(11):1684–1692. doi: 10.1016/j.cjca.2022.07.006.
- Eckart RE, Shry EA, Burke AP, McNear JA, Appel DA, Castillo-Rojas LM, Avedissian L, Pearse LA, Potter RN, Tremaine L, Gentlesk PJ, Huffer L, Reich SS, Stevenson WG; Department of Defense Cardiovascular Death Registry Group. Sudden death in young adults: an autopsy-based series of a population undergoing active surveillance. J Am Coll Cardiol. 2011;58(12):1254–1261. doi: 10.1016/j.jacc.2011.01.049.
- Markwerth P, Bajanowski T, Tzimas I, Dettmeyer R. Sudden cardiac death-update. Int J Legal Med. 2021;135(2):483–495. doi: 10.1007/s00414-020-02481-z.
- Fabre A, Sheppard MN. Sudden adult death syndrome and other non-ischaemic causes of sudden cardiac death. Heart. 2006;92(3):316–320. doi: 10.1136/hrt.2004.045518.
- Sozzi FB, Gherbesi E, Faggiano A, Gnan E, Maruccio A, Schiavone M, Iacuzio L, Carugo S. Viral Myocarditis: Classification, Diagnosis, and Clinical Implications. Front Cardiovasc Med. 2022;9:908663. doi: 10.3389/fcvm.2022.908663.
- Artico J, Shiwani H, Moon JC, Gorecka M, McCann GP, Roditi G, Morrow A, Mangion K, Lukaschuk E, Shanmuganathan M, Miller CA, Chiribiri A, Prasad SK, Adam RD, Singh T, Bucciarelli-Ducci C, Dawson D, Knight D, Fontana M, Manisty C, Treibel TA, Levelt E, Arnold R, Macfarlane PW, Young R, McConnachie A, Neubauer S, Piechnik SK, Davies RH, Ferreira VM, Dweck MR, Berry C; OxAMI (Oxford Acute Myocardial Infarction Study) Investigators; COVID-HEART Investigators; Greenwood JP. Myocardial Involvement After Hospitalization for COVID-19 Complicated by Troponin Elevation: A Prospective, Multicenter, Observational Study. Circulation. 2023;147(5):364–374. doi: 10.1161/CIRCULATIONAHA.122.060632.
- Kawakami R, Sakamoto A, Kawai K, Gianatti A, Pellegrini D, Nasr A, Kutys B, Guo L, Cornelissen A, Mori M, Sato Y, Pescetelli I, Brivio M, Romero M, Guagliumi G, Virmani R, Finn AV. Pathological Evidence for SARS-CoV-2 as a Cause of Myocarditis: JACC Review Topic of the Week. J Am Coll Cardiol. 2021;77(3):314–325. doi: 10.1016/j.jacc.2020.11.031.
- Boehmer TK, Kompaniyets L, Lavery AM, Hsu J, Ko JY, Yusuf H, Romano SD, Gundlapalli AV, Oster ME, Harris AM. Association Between COVID-19 and Myocarditis Using Hospital-Based Administrative Data - United States, March 2020-January 2021. MMWR Morb Mortal Wkly Rep. 2021;70(35):1228–1232. doi: 10.15585/mmwr.mm7035e5.
- Manolis AS, Manolis AA, Manolis TA, Apostolopoulos EJ, Papatheou D, Melita H. COVID-19 infection and cardiac arrhythmias. Trends Cardiovasc Med. 2020;30(8):451–460. doi: 10.1016/j.tcm.2020.08.002.
- Peretto G, Sala S, Rizzo S, De Luca G, Campochiaro C, Sartorelli S, Benedetti G, Palmisano A, Esposito A, Tresoldi M, Thiene G, Basso C, Della Bella P. Arrhythmias in myocarditis: State of the art. Heart Rhythm. 2019;16(5):793–801. doi: 10.1016/j.hrthm.2018.11.024.
- Tse G, Yeo JM, Chan YW, Lai ET, Yan BP. What Is the Arrhythmic Substrate in Viral Myocarditis? Insights from Clinical and Animal Studies. Front Physiol. 2016;7:308. doi: 10.3389/fphys.2016.00308.
- Steinke K, Sachse F, Ettischer N, Strutz-Seebohm N, Henrion U, Rohrbeck M, Klosowski R, Wolters D, Brunner S, Franz WM, Pott L, Munoz C, Kandolf R, Schulze-Bahr E, Lang F, Klingel K, Seebohm G. Coxsackievirus B3 modulates cardiac ion channels. FASEB J. 2013;27(10):4108–4121. doi: 10.1096/fj.13-230193.
- Ali-Ahmed F, Dalgaard F, Al-Khatib SM. Sudden cardiac death in patients with myocarditis: Evaluation, risk stratification, and management. Am Heart J. 2020;220:29–40. doi: 10.1016/j.ahj.2019.08.007.
- Salerno F, Girerd N, Chalabreysse L, Billaud G, Lina B, Chevalier P. Myocarditis and cardiac channelopathies: a deadly association? Int J Cardiol. 2011;147(3):468–470. doi: 10.1016/j.ijcard.2011.01.019.
- Frustaci A, Priori SG, Pieroni M, Chimenti C, Napolitano C, Rivolta I, Sanna T, Bellocci F, Russo MA. Cardiac histological substrate in patients with clinical phenotype of Brugada syndrome. Circulation. 2005;112(24):3680–3687. doi: 10.1161/CIRCULATIONAHA.105.520999.
- Juhasz Z, Tiszlavicz L, Kele B, Terhes G, Deak J, Rudas L, Kereszty E. Sudden cardiac death from parvovirus B19 myocarditis in a young man with Brugada syndrome. J Forensic Leg Med. 2014;25:8–13. doi: 10.1016/j.jflm.2014.04.018.
- Patanè S, Marte F, La Rosa FC, Albanese A, La Rocca R, Villari SA. Revelation of Brugada electrocardiographic pattern during a febrile state. Int J Cardiol. 2010;140(1):e19–e21. doi: 10.1016/j.ijcard.2008.11.069.
- Alblaihed L, Brady WJ, Al-Salamah T, Mattu A. Dysrhythmias associated with COVID-19: Review and management considerations. Am J Emerg Med. 2023;64:161–168. doi: 10.1016/j.ajem.2022.12.004.
- Al-Ali D, Elshafeey A, Mushannen M, Kawas H, Shafiq A, Mhaimeed N, Mhaimeed O, Mhaimeed N, Zeghlache R, Salameh M, Paul P, Homssi M, Mohammed I, Narangoli A, Yagan L, Khanjar B, Laws S, Elshazly MB, Zakaria D. Cardiovascular and haematological events post COVID-19 vaccination: A systematic review. J Cell Mol Med. 2022;26(3):636–653. doi: 10.1111/jcmm.17137.
- Yonker LM, Swank Z, Bartsch YC, Burns MD, Kane A, Boribong BP, Davis JP, Loiselle M, Novak T, Senussi Y, Cheng CA, Burgess E, Edlow AG, Chou J, Dionne A, Balaguru D, Lahoud-Rahme M, Arditi M, Julg B, Randolph AG, Alter G, Fasano A, Walt DR. Circulating Spike Protein Detected in Post-COVID-19 mRNA Vaccine Myocarditis. Circulation. 2023;147(11):867–876. doi: 10.1161/CIRCULATIONAHA.122.061025.
- Chimenti C, Magnocavallo M, Ballatore F, Bernardini F, Alfarano M, Della Rocca DG, Severino P, Lavalle C, Francesco F, Frustaci A. Prevalence and Clinical Implications of COVID-19 Myocarditis. Card Electrophysiol Clin. 2022;14(1):53–62. doi: 10.1016/j.ccep.2021.11.001.
- Schumm J, Greulich S, Wagner A, Grün S, Ong P, Bentz K, Klingel K, Kandolf R, Bruder O, Schneider S, Sechtem U, Mahrholdt H. Cardiovascular magnetic resonance risk stratification in patients with clinically suspected myocarditis. J Cardiovasc Magn Reson. 2014;16(1):14. doi: 10.1186/1532-429X-16-14.
- Kindermann I, Barth C, Mahfoud F, Ukena C, Lenski M, Yilmaz A, Klingel K, Kandolf R, Sechtem U, Cooper LT, Böhm M. Update on myocarditis. J Am Coll Cardiol. 2012;59(9):779–792. doi: 10.1016/j.jacc.2011.09.074.
- Chang YJ, Hsiao HJ, Hsia SH, Lin JJ, Hwang MS, Chung HT, Chen CL, Huang YC, Tsai MH. Analysis of clinical parameters and echocardiography as predictors of fatal pediatric myocarditis. PLoS One. 2019;14(3):e0214087. doi: 10.1371/journal.pone.0214087.
- Siripanthong B, Nazarian S, Muser D, Deo R, Santangeli P, Khanji MY, Cooper LT Jr, Chahal CAA. Recognizing COVID-19-related myocarditis: The possible pathophysiology and proposed guideline for diagnosis and management. Heart Rhythm. 2020;17(9):1463–1471. doi: 10.1016/j.hrthm.2020.05.001.
- Buttà C, Zappia L, Laterra G, Roberto M. Diagnostic and prognostic role of electrocardiogram in acute myocarditis: A comprehensive review. Ann Noninvasive Electrocardiol. 2020;25(3):e12726. doi: 10.1111/anec.12726.
- Anderson BR, Silver ES, Richmond ME, Liberman L. Usefulness of arrhythmias as predictors of death and resource utilization in children with myocarditis. Am J Cardiol. 2014;114(9):1400–1405. doi: 10.1016/j.amjcard.2014.07.074.
- Ammirati E, Cipriani M, Moro C, Raineri C, Pini D, Sormani P, Mantovani R, Varrenti M, Pedrotti P, Conca C, Mafrici A, Grosu A, Briguglia D, Guglielmetto S, Perego GB, Colombo S, Caico SI, Giannattasio C, Maestroni A, Carubelli V, Metra M, Lombardi C, Campodonico J, Agostoni P, Peretto G, Scelsi L, Turco A, Di Tano G, Campana C, Belloni A, Morandi F, Mortara A, Cirò A, Senni M, Gavazzi A, Frigerio M, Oliva F, Camici PG; Registro Lombardo delle Miocarditi. Clinical Presentation and Outcome in a Contemporary Cohort of Patients With Acute Myocarditis: Multicenter Lombardy Registry. Circulation. 2018;138(11):1088–1099. doi: 10.1161/CIRCULATIONAHA.118.035319.
- Harris KM, Mackey-Bojack S, Bennett M, Nwaudo D, Duncanson E, Maron BJ. Sudden Unexpected Death Due to Myocarditis in Young People, Including Athletes. Am J Cardiol. 2021;143:131–134. doi: 10.1016/j.amjcard.2020.12.028.
- Ammirati E, Veronese G, Bottiroli M, Wang DW, Cipriani M, Garascia A, Pedrotti P, Adler ED, Frigerio M. Update on acute myocarditis. Trends Cardiovasc Med. 2021;31(6):370–379. doi: 10.1016/j.tcm.2020.05.008.
- Ferreira VM, Schulz-Menger J, Holmvang G, Kramer CM, Carbone I, Sechtem U, Kindermann I, Gutberlet M, Cooper LT, Liu P, Friedrich MG. Cardiovascular Magnetic Resonance in Nonischemic Myocardial Inflammation: Expert Recommendations. J Am Coll Cardiol. 2018;72(24):3158–3176. doi: 10.1016/j.jacc.2018.09.072.
- Polte CL, Bobbio E, Bollano E, Bergh N, Polte C, Himmelman J, Lagerstrand KM, Gao SA. Cardiovascular Magnetic Resonance in Myocarditis. Diagnostics (Basel). 2022;12(2):399. doi: 10.3390/diagnostics12020399.
- Grün S, Schumm J, Greulich S, Wagner A, Schneider S, Bruder O, Kispert EM, Hill S, Ong P, Klingel K, Kandolf R, Sechtem U, Mahrholdt H. Long-term follow-up of biopsy-proven viral myocarditis: predictors of mortality and incomplete recovery. J Am Coll Cardiol. 2012;59(18):1604–1615. doi: 10.1016/j.jacc.2012.01.007.
- Clark DE, Aggarwal SK, Phillips NJ, Soslow JH, Dendy JM, Hughes SG. Cardiac Magnetic Resonance in the Evaluation of COVID-19. Card Fail Rev. 2022;8:e09. doi: 10.15420/cfr.2021.20.
- Sinagra G, Anzini M, Pereira NL, Bussani R, Finocchiaro G, Bartunek J, Merlo M. Myocarditis in Clinical Practice. Mayo Clin Proc. 2016;91(9):1256–1266. doi: 10.1016/j.mayocp.2016.05.013.
- Ammirati E, Frigerio M, Adler ED, Basso C, Birnie DH, Brambatti M, Friedrich MG, Klingel K, Lehtonen J, Moslehi JJ, Pedrotti P, Rimoldi OE, Schultheiss HP, Tschöpe C, Cooper LT Jr, Camici PG. Management of Acute Myocarditis and Chronic Inflammatory Cardiomyopathy: An Expert Consensus Document. Circ Heart Fail. 2020;13(11):e007405. doi: 10.1161/CIRCHEARTFAILURE.120.007405.
- Porcari A, Baggio C, Fabris E, Merlo M, Bussani R, Perkan A, Sinagra G. Endomyocardial biopsy in the clinical context: current indications and challenging scenarios. Heart Fail Rev. 2023;28(1):123–135. doi: 10.1007/s10741-022-10247-5.
- Frustaci A, Cimenti C, Taradin GG. [The role of immunity suppression in treatment of myocarditis]. Russian Journal of Cardiology. 2017;(2):114–118. Russian. doi: 10.15829/1560-4071-2017-2-114-118.
- Warming PE, Ågesen FN, Lynge TH, Jabbari R, Smits RLA, van Valkengoed IGM, Welten SJGC, van der Heijden AA, Elders PJ, Blom MT, Jouven X, Schwartz PJ, Albert CM, Beulens JW, Rutters F, Tan HL, Empana JP, Tfelt-Hansen J; ESCAPE-NET Investigators. Harmonization of the definition of sudden cardiac death in longitudinal cohorts of the European Sudden Cardiac Arrest network - towards Prevention, Education, and New Effective Treatments (ESCAPE-NET) consortium. Am Heart J. 2022;245:117–125. doi: 10.1016/j.ahj.2021.12.008.
- Pelliccia A, Sharma S, Gati S, Bäck M, Börjesson M, Caselli S, Collet JP, Corrado D, Drezner JA, Halle M, Hansen D, Heidbuchel H, Myers J, Niebauer J, Papadakis M, Piepoli MF, Prescott E, Roos-Hesselink JW, Graham Stuart A, Taylor RS, Thompson PD, Tiberi M, Vanhees L, Wilhelm M; ESC Scientific Document Group. 2020 ESC Guidelines on sports cardiology and exercise in patients with cardiovascular disease. Eur Heart J. 2021;42(1):17–96. doi: 10.1093/eurheartj/ehaa605.
- Caforio AL, Pankuweit S, Arbustini E, Basso C, Gimeno-Blanes J, Felix SB, Fu M, Heliö T, Heymans S, Jahns R, Klingel K, Linhart A, Maisch B, McKenna W, Mogensen J, Pinto YM, Ristic A, Schultheiss HP, Seggewiss H, Tavazzi L, Thiene G, Yilmaz A, Charron P, Elliott PM; European Society of Cardiology Working Group on Myocardial and Pericardial Diseases. Current state of knowledge on aetiology, diagnosis, management, and therapy of myocarditis: a position statement of the European Society of Cardiology Working Group on Myocardial and Pericardial Diseases. Eur Heart J. 2013;34(33):2636–2648, 2648a–2648d. doi: 10.1093/eurheartj/eht210.
- Fralick M, Macdonald EM, Gomes T, Antoniou T, Hollands S, Mamdani MM, Juurlink DN; Canadian Drug Safety and Effectiveness Research Network. Co-trimoxazole and sudden death in patients receiving inhibitors of renin-angiotensin system: population based study. BMJ. 2014;349:g6196. doi: 10.1136/bmj.g6196.
- Antoniou T, Hollands S, Macdonald EM, Gomes T, Mamdani MM, Juurlink DN; Canadian Drug Safety and Effectiveness Research Network. Trimethoprim-sulfamethoxazole and risk of sudden death among patients taking spironolactone. CMAJ. 2015;187(4):E138–E143. doi: 10.1503/cmaj.140816.
- Wu Y, Bi WT, Qu LP, Fan J, Kong XJ, Ji CC, Chen XM, Yao FJ, Liu LJ, Cheng YJ, Wu SH. Administration of macrolide antibiotics increases cardiovascular risk. Front Cardiovasc Med. 2023;10:1117254. doi: 10.3389/fcvm.2023.1117254.
- Trelle S, Reichenbach S, Wandel S, Hildebrand P, Tschannen B, Villiger PM, Egger M, Jüni P. Cardiovascular safety of non-steroidal anti-inflammatory drugs: network meta-analysis. BMJ. 2011;342:c7086. doi: 10.1136/bmj.c7086.
- Sondergaard KB, Weeke P, Wissenberg M, Schjerning Olsen AM, Fosbol EL, Lippert FK, Torp-Pedersen C, Gislason GH, Folke F. Non-steroidal anti-inflammatory drug use is associated with increased risk of out-of-hospital cardiac arrest: a nationwide case-time-control study. Eur Heart J Cardiovasc Pharmacother. 2017;3(2):100–107. doi: 10.1093/ehjcvp/pvw041.
- Teodorescu C, Reinier K, Uy-Evanado A, Gunson K, Jui J, Chugh SS. Resting heart rate and risk of sudden cardiac death in the general population: influence of left ventricular systolic dysfunction and heart rate-modulating drugs. Heart Rhythm. 2013;10(8):1153–1158. doi: 10.1016/j.hrthm.2013.05.009.
- Fogoros RN. Common adverse events with antiarrhythmic drugs. In: Fogoros RN, ed. Antiarrhythmic Drugs. A practical guide. 2nd ed. Blackwell Futura; 2007. p. 117–129.
- Al-Khatib SM, Stevenson WG, Ackerman MJ, Bryant WJ, Callans DJ, Curtis AB, Deal BJ, Dickfeld T, Field ME, Fonarow GC, Gillis AM, Granger CB, Hammill SC, Hlatky MA, Joglar JA, Kay GN, Matlock DD, Myerburg RJ, Page RL. 2017 AHA/ACC/HRS Guideline for Management of Patients With Ventricular Arrhythmias and the Prevention of Sudden Cardiac Death: A Report of the American College of Cardiology/American Heart Association Task Force on Clinical Practice Guidelines and the Heart Rhythm Society. J Am Coll Cardiol. 2018;72(14):e91–e220. doi: 10.1016/j.jacc.2017.10.054.
- Glikson M, Nielsen JC, Kronborg MB, Michowitz Y, Auricchio A, Barbash IM, Barrabés JA, Boriani G, Braunschweig F, Brignole M, Burri H, Coats AJS, Deharo JC, Delgado V, Diller GP, Israel CW, Keren A, Knops RE, Kotecha D, Leclercq C, Merkely B, Starck C, Thylén I, Tolosana JM; ESC Scientific Document Group. 2021 ESC Guidelines on cardiac pacing and cardiac resynchronization therapy. Eur Heart J. 2021;42(35):3427–3520. doi: 10.1093/eurheartj/ehab364.
Supplementary files





