The results of surgery for giant aneurysms of the middle cerebral arteries: a retrospective study
- Authors: Pilipenko Y.V.1, Eliava S.S.1, Konovalov A.N.1, Grebenev F.V.1, Barchunov B.V.2
-
Affiliations:
- National Medical Research Center for Neurosurgery named after Academician N.N. Burdenko
- Center for Physical Instrumentation of Prokhorov General Physics Institute
- Issue: Vol 51, No 1 (2023)
- Pages: 32-44
- Section: ARTICLES
- URL: https://ogarev-online.ru/2072-0505/article/view/149000
- DOI: https://doi.org/10.18786/2072-0505-2023-51-005
- ID: 149000
Cite item
Full Text
Abstract
Background: Surgical treatment of middle cerebral artery (MCA) giant aneurysms is a challenging task. The information on its current principles is rather limited, with the publications based on isolated case reports and small series.
Aim: To identify the types of procedures and evaluate the results of surgery in patients with giant MCA aneurysms.
Materials and methods: We retrospectively analyzed the data on 55 patients who had undergone surgery for MCA giant aneurysms in the Burdenko Neurosurgery Center from 2010 to 2021. Thereafter 52 patients were followed up for 6 to 120 months (for 53.1 ± 33.7 months on average).
Results: The giant MCA aneurysms were located at the M1 segment bifurcation in 33 (60%) patients, within the M1 segment, in 11 (20%), M2 in 7 (12.7%), and M3 and M4 in 4 (7.3%) patients. There were 32 (58.2%) saccular and 23 (41.8%) fusiform aneurysms. Surgical interventions for MCA giant aneurysms included their neck clipping (50.9%, n = 28), clipping with formation of the arterial lumen (3.6%, n = 2), bypass procedures (34.5%, n = 19), wrapping (3.6%, n = 2), and endovascular procedures (7.3%, n = 4). Perioperative worsening of the neurologic status (The Modified Rankin Scale, mRS) was observed in 50.9% (n = 28) of the patients, and the death rate was 1.8% (n = 1). The complete closure of giant aneurysms was achieved in 78.2% (n = 43) of the cases. The long-term outcome was favorable in 76.9% of the patients (40 from 52 available for the follow up).
Conclusion: Microsurgical clipping and bypass types of surgery were the most common surgical procedures for the treatment of MCA giant aneurysms. These procedures are technically complex and are associated with a relatively high number of complications. The main directions of future studies could be in the search for new and more precise diagnostic assessment of the collateral circulation in the cortical MCA branches, improvement of the algorithm for the bypass selection, as well as an investigation of the long-term results of endovascular and combined treatments. A thorough long-term postoperative patient follow-up and the possibility of high quality control angiography are of major importance.
Full Text
Аневризмы средней мозговой артерии (СМА) от числа всех аневризм головного мозга составляют от 25,7 до 48% [1–4], но гигантских размеров достигают в 0,5–4,8% случаев [1–5]. Примечательно, что гигантские аневризмы СМА чаще, чем гигантские аневризмы других локализаций, ассоциированы с субарахноидальным кровоизлиянием (САК) [5].
Лечение гигантских аневризм СМА, несмотря на совершенствование микрохирургических и эндоваскулярных методов, остается сложной задачей. Проблема усугубляется, когда помимо огромных размеров имеются другие сложные для хирургии характеристики аневризмы: фузиформное строение, внутриполостное тромбирование, склерозированные или кальцинированные стенки, отхождение ветвей от купола аневризмы, локализация в области М1-сегмента и пр. [6–8].
В настоящей статье представлен 12-летний опыт лечения гигантских аневризм СМА. Цель исследования – определить виды операций и оценить результаты хирургического лечения.
Материал и методы
Проведен ретроспективный анализ клинических, хирургических, ангиографических и катамнестических данных пациентов с гигантскими аневризмами СМА, находившихся на лечении в ФГАУ «НМИЦ нейрохирургии им. ак. Н.Н. Бурденко» Минздрава России в период с 2010 по 2021 г. Всего за указанный период в нашем центре проходили лечение 5685 пациентов с 7300 интракраниальными аневризмами. Аневризмы СМА выявлены в 1847 (25,3%) случаях. Среди всех аневризм СМА гигантские диагностированы в 55 (3%) наблюдениях, которые и были включены в настоящий анализ.
Результаты лечения оценивали через 14 дней после операции и в отдаленном периоде (минимум через 6 месяцев). Клинические результаты определяли на основании Модифицированной шкалы Рэнкина (МШР). К удовлетворительным отнесены исходы, соответствующие 0–2 баллам, неудовлетворительным – 3–4 баллам, плохим – 5 (вегетативный статус) и 6 (смерть) баллам. Оценку полноты выключения гигантских аневризм СМА по данным послеоперационной ангиографии проводили по 3 степеням: тотальная окклюзия, частичная окклюзия (контрастирование остатка шейки мешотчатой аневризмы или части тела фузиформной аневризмы) и отсутствие окклюзии.
Проведение исследования одобрено локальным этическим комитетом при ФГАУ «НМИЦ нейрохирургии им. ак. Н.Н. Бурденко» Минздрава России (протокол № 01/2019 от 31.01.2019).
Статистический анализ выполняли в программе Excel 2019 (Microsoft Corp., США). В качестве параметров описательной статистики рассчитывали относительные частоты (%). Количественные данные представлены в виде среднего арифметического и стандартного отклонения (M ± SD) или медианы.
Результаты
Пациенты
Из 55 пациентов, прооперированных по поводу гигантских аневризм СМА, было 33 (60%) мужского пола и 22 (40%) женского. Возраст пациентов варьировал от 2 до 74 лет (средний – 45,7 ± 16,4 года). САК в анамнезе отмечено у 26 (47,3%) больных. В 10 случаях заболевание проявлялось церебральной ишемией, в 7 – псевдотуморозными симптомами, еще в 7 – головной болью, у 5 аневризма была бессимптомной. В первые 14 суток САК было оперировано только 5 пациентов.
В табл. 1 дано распределение аневризм по сегментам в зависимости от морфологических характеристик. Больных с множественными аневризмами было 13 (23,6%). Во всех случаях гигантские аневризмы СМА сочетались только с аневризмами передних отделов виллизиева круга. При этом наиболее часто при множественных аневризмах выявлялись аневризмы СМА противоположного бассейна (n = 6) и аневризмы передней соединительной артерии (n = 5). Частичное тромбирование полости гигантской аневризмы СМА выявлено в большинстве случаев (80%). Фузиформное строение гигантской аневризмы СМА отмечено в 23 (41,8%) случаях, в основном такие аневризмы локализовались не в области бифуркации (n = 20). Супергигантские аневризмы (свыше 40 мм) преимущественно встречались в проксимальных отделах СМА.
Таблица 1. Морфологические характеристики гигантских аневризм средней мозговой артерии
Локализация аневризмы | Количество пациентов, абс. (%) | Форма аневризмы | Частично тромбированная | Склероз стенок | Размер аневризмы, мм | |||
мешотчатая | фузиформная | 25–30 | 31–40 | более 40 | ||||
М1-сегмент | 11 (20) | 1 | 10 | 11 | 2 | 4 | 4 | 3 |
Бифуркация СМА | 33 (60) | 30 | 3 | 23 | 16 | 22 | 8 | 3 |
М2-сегмент | 7 (12,7) | 1 | 6 | 6 | 2 | 6 | 1 | |
М3-сегмент | 4 (7,3) | 4 | 4 | 1 | 3 | 1 | ||
Всего, абс. (%) | 55 (100) | 32 (58,2) | 23 (41,8) | 44 (80) | 21 (38,2) | 35 (63,6) | 14 (25,5) | 6 (10,9) |
СМА – средняя мозговая артерия
Типы операций
Микрохирургические операции при гигантских аневризмах СМА проведены в 51 случае, эндоваскулярные – в 4. В табл. 2 виды операций распределены в зависимости от сегмента СМА.
Таблица 2. Виды операций при гигантских аневризмах средней мозговой артерии
Локализация аневризмы | Количество пациентов, абс. (%) | Вид операции | ||||
КШ | КФПА | байпас | укрепление стенок | ЭО | ||
М1-сегмент | 11 (20) | 1 | 8 | 1 | 1 | |
Бифуркация СМА | 33 (60) | 26 | 6 | 1 | ||
М2-сегмент | 7 (12,7) | 1 | 2 | 4 | ||
М3-сегмент | 4 (7,3) | 1 | 3 | |||
Всего, абс. (%) | 55 (100) | 28 (50,9) | 2 (3,6) | 19 (34,5) | 2 (3,6) | 4 (7,3) |
КФПА – клипирование с формированием просвета артерии, КШ – клипирование шейки, СМА – средняя мозговая артерия, ЭО – эндоваскулярная операция
Наиболее частой операцией было клипирование шейки (КШ) – в половине (50,9%) всех случаев. Клипирование аневризмы одной клипсой произведено только в 5 наблюдениях. У остальных 23 пациентов выполнено множественное клипирование с наложением от 2 до 7 клипс (в среднем – 3,2 ± 1,5). Пример клипирования гигантской аневризмы приведен на рис. 1. У 17 больных перед КШ проведена тромбэктомия из полости гигантской аневризмы. У 6 больных тромбэктомию делали после КШ.
Рис. 1. Клипирование гигантской аневризмы средней мозговой артерии (СМА) справа у пациентки Г., 59 л. А – при компьютерной томографической ангиографии определяется гигантская аневризма трифуркации СМА справа (желтыми стрелками указаны три М2-ветви СМА справа, белой стрелкой указана припаянная к телу аневризмы передняя височная артерия). Б – интраоперационное фото: отмечается выступающее в сильвиеву щель тело аневризмы СМА справа. В – после наложения временной клипсы на М1-сегмент справа (указан черной стрелкой) мешок аневризмы релаксировал, что позволило выделить и визуализировать три М2-ветви (указаны желтыми стрелками). Г – длинная изогнутая клипса наложена на шейку аневризмы. Д – после клипирования наблюдается небольшой остаточный участок шейки аневризмы (указан стрелкой) у теменного М2-сегмента. Е – наложение на остаточный участок шейки аневризмы маленькой изогнутой клипсы. Ж – результат клипирования шейки аневризмы двумя клипсами. З – контрольная церебральная ангиография в прямой проекции. И – контрольная церебральная ангиография в боковой проекции
Клипирование с формированием просвета артерии (КФПА) выполнено только в 2 случаях при фузиформных гигантских аневризмах М2-сегмента СМА. В одном из этих случаев перед клипированием потребовалась тромбэктомия.
Операции с созданием байпаса сделаны в 19 случаях. Байпас перед треппингом аневризмы выполнен у 10 пациентов (в 8 случаях после треппинга проведена тромбэктомия). В 3 случаях при фузиформных гигантских аневризмах проведено проксимальное клипирование с целью создания возможности ретроградного кровоснабжения ветвей, выходящих из аневризмы. У 4 пациентов была реваскуляризация одной из М2-ветвей, где гигантская аневризма клипирована вместе с устьем данной ветви. В 2 случаях потребность в анастомозе возникла как экстренная мера вследствие тромбоза одной из ветвей СМА после КШ. Наиболее частым (n = 15) байпасом был микроанастомоз между М2–М4 ветвью СМА и поверхностной височной артерией (ПВА). Пример представлен на рис. 2. Микроанастомозы с двумя ветвями ПВА выполнены в 6 случаях. Высокопоточный байпас между наружной сонной артерией и М2-сегментом СМА с использованием графта лучевой артерии выполнен в 3 случаях при гигантской аневризме М1-сегмента. В 1 наблюдении произведена местная реимплантация одной М2-ветви в другую.
Рис. 2. Треппинг с тромбэктомией гигантской фузиформной частично тромбированной аневризмы М2-сегмента средней мозговой артерии (СМА) после создания экстра-интракраниального микроанастомоза у пациента Т., 69 л. А – компьютерная томография до операции: определяется гигантская частично тромбированная аневризма правой СМА. Б – компьютерная томографическая ангиография (3D) до операции: видна функционирующая часть фузиформной частично тромбированной аневризмы М2-сегмента правой СМА. В – интраоперационное фото: вид аневризмы после препаровки сильвиевой щели. Г – анастомоз между поверхностной височной артерией и М2-сегментом СМА. Д – треппинг аневризмы (стрелкой указан анастомоз). Е – вид аневризмы после тромбэктомии из ее полости. Ж – флюоресцентная видеоангиография: видно хорошее контрастирование шунта через анастомоз и заполнение М2-ветвей (стрелками указано направление кровотока). З – компьютерная томографическая ангиография (3D) после операции: аневризма не контрастируется и хорошо заполняется экстра-интракраниальный анастомоз. И – компьютерная томография головы после операции
В 2 случаях от клипирования и реваскуляризирующих операций у пожилых пациентов с фузиформными аневризмами без признаков разрыва, у которых во время операции обнаружено значительное атеросклеротическое поражение стенок аневризмы и ветвей СМА, отказались. Им проведено укрепление стенок аневризмы хирургической марлей и фибрин-тромбиновым клеем.
Эндоваскулярные операции выполнены в 4 случаях: имплантация потокового стента у 1 пациента с аневризмой М1-сегмента и окклюзия несущей артерии у 3 пациентов с аневризмами М3-сегмента. Решение об имплантации потокового стента принято по причине отказа пациента от микрохирургической операции с созданием байпаса.
Осложнения
Все операционные осложнения распределены в зависимости от локализации аневризмы и систематизированы в табл. 3.
Таблица 3. Осложнения операций при гигантских аневризмах средней мозговой артерии
Локализация аневризмы | Количество пациентов, абс. (%) | Интраоперационные осложнения | Нарастание симптомов после операции | Ишемия | Гематома | |||
разрыв | тромбоз артерии | ЛСА | М2–М3 ветви | мостиковые вены | ||||
М1-сегмент | 11 (20) | 1 | 4 | 2 | 2 | |||
Бифуркация СМА | 33 (60) | 3 | 3 | 19 | 6 | 5 | 6 | 1 |
М2-сегмент | 7 (12,7) | 1 | 2 | 3 | 1 | 2 | 1 | |
М3-сегмент | 4 (7,3) | 3 | 2 | 1 | ||||
Всего, абс. (%) | 55 (100) | 5 (9,1) | 6 (10,9) | 28 (50,9) | 8 (14,5) | 10 (18,2) | 9 (16,4) | 2 (3,6) |
ЛСА – лентикулостриарная артерия, СМА – средняя мозговая артерия
Интраоперационных осложнений при эндоваскулярных операциях не наблюдалось. Среди 51 микрохирургической операции интраоперационный разрыв зарегистрирован в 5 (9,8%) случаях. В 4 из 5 случаев с интраоперационным кровотечением больные не имели послеоперационных осложнений.
В одном наблюдении у больного с фузиформной гигантской аневризмой М2-сегмента СМА планировались байпас и треппинг. При краниотомии над гребнем крыловидной кости была повреждена твердая мозговая оболочка и прилежащая к ней стенка гигантской аневризмы. На фоне выраженного кровотечения с кровопотерей около 2 л произошло вспучивание мозга. Операция была ограничена клипированием места разрыва с укреплением остаточной фузиформной части аневризмы хирургической марлей. После операции больной находился в тяжелом состоянии. Через 2 недели у него произошло еще одно кровоизлияние из резидуальной части аневризмы. Несмотря на ревизионную операцию с треппингом остаточной аневризмы, больной скончался.
Интраоперационный тромбоз М2-ветвей отмечен у 6 (35,3%) из 17 больных, которым перед КШ проведена тромбэктомия. В случаях, когда тромбэктомия не проводилась, интраоперационного тромбоза не было. Во всех случаях интраоперационного тромбоза предпринимали попытку реканализации тромбированной ветви путем пункционного введения фибринолитического препарата. Подробное описание методики приведено в нашей работе [9]. В 4 случаях удалось лизировать острый тромб и восстановить кровоток в М2-ветви. В 2 наблюдениях после неудачного фибринолиза произведен экстренный микроанастомоз с использованием ветви ПВА в качестве донора.
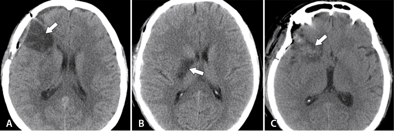
Наиболее частым послеоперационным осложнением была ишемия головного мозга, которая наблюдалась у 27 (49,1%) пациентов. Как видно из данных табл. 4, в 10 случаях (18,2%) она была связана с окклюзией на уровне М2- или М3-сегментов СМА. У этих пациентов при аксиальной компьютерной томографии отмечались гомогенные очаги пониженной плотности с четкими границами, распространяющиеся в пределах одной или нескольких долей полушария головного мозга (рис. 3A). В 9 из 10 случаев к моменту выписки у пациентов сохранялась стойкая неврологическая симптоматика. Показатель МШР на момент выписки варьировал от 1 до 5 баллов (медиана – 3 балла). Очаги ишемии в области базальных ганглиев при нарушении кровообращения в лентикулостриарных артериях отмечались в 8 (14,5%) случаях. Они имели относительно небольшие размеры и четкие границы (рис. 3Б). При этом стойкая неврологическая симптоматика к моменту выписки была только у 5 пациентов. Показатель МШР колебался от 1 до 4 баллов (медиана – 3 балла).
Таблица 4. Причины послеоперационной артериальной ишемии
Вид ишемии | Окклюзия артерии намеренная | Тромбоз артерии после тромбэктомии | Окклюзия артерии ненамеренная | Вазоспазм | Неудача байпаса | Всего |
Ишемия в зоне кровоснабжения М2–М3 ветвей СМА | 2* | 3 | 3 | 2 | 10 | |
Ишемические очаги в области кровоснабжения ЛСА | 3** | 2 | 3 | 8 |
ЛСА – лентикулостриарная артерия, СМА – средняя мозговая артерия
* Эндоваскулярная операция с окклюзией М3-сегментов при фузиформных гигантских аневризмах
** ЛСА в зоне треппинга при байпасах
Рис. 3. Виды послеоперационных ишемических нарушений (стрелки): А – ишемия в бассейне лобной ветви средней мозговой артерии справа; Б – ишемия в бассейне лентикулостриарной артерии справа; В – ишемия, связанная с нарушением венозного оттока в области правой лобной доли
В 9 (16,4%) случаях отмечены гетерогенные очаги ишемии, которые имели нечеткие границы и распространение в пределах одной доли: у 6 пациентов в лобной доле и у 3 – в височной. У 4 пациентов эти очаги сопровождались вторичным геморрагическим пропитыванием (рис. 3В). Мы связали данные ишемические очаги с нарушением оттока в мостиковых венах, которые были повреждены в ходе микрохирургической операции. Доля данных нарушений среди микрохирургических операций составила 17,6%. В 7 из 9 случаев эти очаги приводили к неврологической симптоматике. У 4 пациентов симптоматика практически полностью регрессировала к выписке, и только у 3 больных с венозной ишемией к моменту выписки наблюдались стойкие неврологические симптомы. Показатель МШР на момент выписки составлял от 1 до 4 баллов (медиана – 2 балла).
На количество послеоперационных ишемий не повлияло частичное и полное иссечение стенок гигантской аневризмы. Так, среди 15 больных, у которых была тромбэктомия, а резекция стенок не проводилась, ишемия зарегистрирована у 9 (60%). Из 19 больных, которым помимо тромбэктомии проведена резекция стенок гигантской аневризмы, ишемия отмечалась у 11 (57,9%) (p = 0,45, тест χ2).
Причины неудач байпасов
Проходимость микроанастомозов по данным послеоперационной ангиографии была подтверждена в 12 (80%) случаях. В 3 наблюдениях, где анастомоз после операции полностью не контрастировался, пациенты не имели ишемических нарушений.
В 2 случаях, когда при гигантских аневризмах бифуркации СМА была предпринята попытка реваскуляризации трех М2-ветвей за счет двух ветвей ПВА, байпасы имели частичную неудачу, что привело к послеоперационным ишемическим нарушениям в отдельных ветвях и неврологическим осложнениям.
У 2 пациентов, которым выполнен экстренный анастомоз по причине интраоперационного тромбоза, несмотря на хороший поток в байпасе по данным послеоперационной ангиографии, все равно имелись неврологические осложнения вследствие ишемических нарушений.
В одном из наблюдений на фоне выраженной внутричерепной гипертензии, обусловленной тяжелым САК и вазоспазмом, произошло тромбирование высокопоточного байпаса, что сопровождалось обширной полушарной ишемией.
В общей сложности из 19 пациентов с байпасами у 4 байпасы после операции полностью не контрастировались, и у 1 больного с двуствольным микроанастомозом не контрастировалась одна из ветвей. В целом состоятельность и проходимость байпасов на основании послеоперационной ангиографии составила 80% (20 из 25).
Ближайшие результаты лечения
Через 14 дней после операции 38 (69,1%) пациентов были в удовлетворительном состоянии. У 15 (27,3%) больных результаты оказались неудовлетворительными, поскольку отмечались признаки выраженной инвалидизации. Один (1,8%) пациент находился в вегетативном статусе. На госпитальном этапе лечения скончался 1 (1,8%) пациент.
По данным контрольной ангиографии, тотального выключения удалось достичь в 78,2% случаев. Степени окклюзии представлены в табл. 5. Среди мешотчатых гигантских аневризм полностью выключены 26 (81,3%) из 32, среди фузиформных – 17 (73,9%) из 23. К невыключенным фузиформным аневризмам отнесены 2 случая, когда гигантские аневризмы в ходе микрохирургической операции были укреплены.
Таблица 5. Степень окклюзии гигантских аневризм в зависимости от сегмента средней мозговой артерии
Локализация аневризмы | Количество пациентов, | Тотальная окклюзия | Частичная окклюзия | Отсутствие окклюзии |
М1-сегмент | 11 (20) | 8 | 2 | 1 |
Бифуркация СМА | 33 (60) | 26 | 6 | 1 |
М2-сегмент | 7 (12,7) | 5 | 2 | |
М3-сегмент | 4 (7,3) | 4 | ||
Всего, абс. (%) | 55 (100) | 43 (78,2) | 10 (18,2) | 2 (3,6) |
СМА – средняя мозговая артерия
Отдаленные результаты операций
Очные консультации и телефонное анкетирование в отдаленном периоде проведены у 52 пациентов. Катамнез составил от 6 до 120 месяцев, средний – 53,1 ± 33,7 месяца. Недоступны катамнезу были 2 пациента.
В отдаленном периоде у 40 (76,9%) из 52 доступных для оценки пациентов сохранялись удовлетворительные клинические результаты (табл. 6). У 8 больных (15,4%) отмечались признаки инвалидизации (оценка по МШР 3 балла). От последствий исходно тяжелого САК и операции через 6 месяцев скончалась 1 (1,9%) пациентка.
Таблица 6. Отдаленные результаты операций при гигантских аневризмах средней мозговой артерии
Локализация аневризмы | Количество пациентов, | Оценка по Модифицированной шкале Рэнкина, баллы | ||||||||
при выписке | катамнез | |||||||||
0–2 | 3–4 | 5 | 6 | 0–2 | 3–4 | 6 | нет данных | |||
М1-сегмент | 11 (20) | 7 | 3 | 1 | 7 | 1 | 3 | |||
Бифуркация СМА | 33 (60) | 23 | 10 | 24 | 6 | 1 | 2 | |||
М2-сегмент | 7 (12,7) | 5 | 1 | 1 | 5 | 1 | 1 | |||
М3-сегмент | 4 (7,3) | 3 | 1 | 4 | ||||||
Всего, абс. (%) | 55 (100) | 38 (69,1) | 15 (27,3) | 1 (1,8) | 1 (1,8) | 40 (72,7) | 8 (14,5) | 5 (9,1) | 2 (3,6) | |
СМА – средняя мозговая артерия
Новые фатальные интракраниальные кровоизлияния, связанные с оперированной аневризмой, отмечены у 3 (5,8%) пациентов. У 1 пациента 69 лет фатальное кровоизлияние произошло через 4 года после операции по поводу мешотчатой гигантской аневризмы бифуркации СМА. При выписке на контрольной ангиографии у него отмечалась небольшая резидуальная часть шейки. Контрольные ангиографические исследования, несмотря на рекомендации, он не проходил. В заключении аутопсии говорится о кровоизлиянии в области проведенной операции. У одной пациентки 61 года кровоизлияние произошло через 1 год из фузиформной гигантской аневризмы М1-сегмента, которая была укреплена. Кроме этого, у 1 пациента 23 лет кровоизлияние возникло через 3 года после имплантации потокового стента на уровне фузиформной гигантской аневризмы М1-сегмента.
Общая летальность с учетом ближайшего и отдаленного периодов составила 9,4% – 5 пациентов из 53 доступных для оценки.
У 34 пациентов в отдаленном периоде проведены контрольные ангиографические исследования. У 10 из них на момент выписки были функционирующие байпасы. Все они в отдаленном периоде также были проходимы.
Из 28 пациентов, у которых при раннем контроле отмечалась тотальная окклюзия, только у 1 (3,6%) зарегистрировали появление контрастирования небольшой части шейки. Данному пациенту было рекомендовано наблюдение. У 3 пациентов после частичного клипирования мешотчатых гигантских аневризм отрицательной динамики в интервале от 1 до 3 лет не наблюдалось. У 1 пациента в течение 6 месяцев после операции произошло значительное увеличение части шейки. Ему проведена повторная операция – клипирование резидуальной аневризмы.
В 1 случае наблюдалось неполное тромбирование аневризмы на фоне потокового стента.
Среди 18 пациентов, которые исследование не проходили, было 3 смерти, из них 2 – от кровоизлияний.
Обсуждение
Одно из первых описаний фузиформной частично тромбированной аневризмы СМА, размеры которой превышали 8 см, дано в статье A.R. Sadik и соавт. в 1965 г. [10]. После ангиографии и эксплоративной трепанации пациентка умерла. C.G. Drake, проанализировавший 9 случаев хирургического лечения гигантских аневризм СМА, опубликованных в разных источниках с 1965 по 1977 г., отметил, что 4 (44%) из них имели летальные исходы [11].
В работах последних 10 лет, где микрохирургические операции при гигантских аневризмах СМА были приоритетными, послеоперационные осложнения регистрировали у 23,3–60% больных [1, 3]. Среди наших пациентов с гигантскими аневризмами СМА, которым в 92,7% проведены микрохирургические операции, в большинстве случаев достигнуты удовлетворительные клинические результаты: периоперационная летальность составила 1,8%; различные осложнения отмечались у 50,9% больных. Наиболее частым послеоперационным осложнением была острая ишемия. По данным разных авторов, послеоперационная ишемия при лечении гигантских аневризм СМА встречается в 14–25% случаев [1, 4, 12, 13]. Мы наблюдали ишемические нарушения у 49,1% пациентов. Столь высокий процент мы объясняем тем, что помимо проблем, связанных с нарушением кровообращения в крупных артериальных ветвях СМА и в лентикулостриарных артериях, в данную группу осложнений мы также включили нарушения венозного оттока.
Отек и геморрагия в области лобной и височной долей вследствие нарушения венозного оттока при диссекции сильвиевой щели были отмечены исследователями ранее [14, 15]. Именно поэтому рекомендуется максимально щадящее выделение вен в области сильвиевой щели [16, 17]. Наш опыт свидетельствует, что полностью сохранить венозную анатомию при микрохирургическом выделении гигантских аневризм СМА удается не часто. Вместе с тем, несмотря на значительное количество (16,4%) ишемических нарушений, связанных с затруднением венозного оттока, у большинства пациентов ассоциированные с этим симптомы регрессируют в течение ближайших недель после операции.
В последнее время на этапе планирования микрохирургических операций мы в значительной степени полагаемся на предоперационное трехмерное моделирование на основании компьютерной томографической ангиографии, с отдельным разграничением артерий и вен, прилежащих к аневризме. Для нас очень важным стало уточнение прилежания стенки аневризмы к твердой мозговой оболочке в области гребня крыловидной кости, где может произойти повреждение на этапе краниотомии.
По нашим данным, наиболее стойкие неврологические нарушения после операции по поводу гигантских аневризм СМА связаны с окклюзиями на уровне М2–М3 ветвей.
Значимым фактором риска послеоперационных ишемических расстройств выступает частичное тромбирование полости аневризм [7, 8]. У наших пациентов с гигантскими аневризмами СМА мы наблюдали тромбы в большинстве случаев (80%).
Тромбэктомия – значимая часть хирургического пособия при мешотчатых гигантских аневризмах СМА. Однако это и серьезный фактор риска интраоперационного тромбоза. По нашим данным, интраоперационный тромбоз наблюдался у 35,3% больных, которым перед КШ была произведена тромбэктомия. Для снижения риска интраоперационного тромбоза после тромбэктомии мы стараемся сокращать время превентивной окклюзии несущей артерии, а также промываем просвет аневризмы перед наложением клипс. Кроме этого, мы поочередно открывали бранши дистальных временных клипс перед клипированием для исключения возможной окклюзии ветвей СМА фрагментами тромба и атеросклеротическими бляшками после тромбэктомии. В ряде случаев мы проводим тромбэктомию в условиях только проксимального временного выключения. Кровотечение за счет ретроградного кровотока обычно слабое, но окклюзирующие фрагменты могут быть вымыты из ветвей СМА.
В случае если интраоперационный тромбоз предотвратить не удалось, в качестве первой экстренной меры мы используем пункцию проксимальных отделов тромбированной артерии инсулиновой иглой и проводим инъекцию фибринолитического препарата. В предыдущем исследовании мы установили, что эффективность данного метода у больных с частично тромбированными аневризмами СМА всех размеров составила 71,4% [9]. В настоящем исследовании, проведенном среди больных с гигантскими аневризмами СМА, данная методика была эффективна у 4 (66,7%) из 6 пациентов.
Если введение фибринолитиков и прочие меры восстановления кровотока в тромбированной ветке оказываются безуспешными, можно прибегнуть к созданию экстренного байпаса. Целесообразность последнего все еще дискутируется. По данным литературы, у большинства больных, даже в случае экстренного создания байпаса, ишемию предотвратить не удается [13, 18]. Среди наших 2 пациентов, несмотря на экстренную реваскуляризацию за счет микроанастомоза с ПВА, все равно отмечено формирование ишемии головного мозга. В этой связи у ряда больных с частично тромбированными гигантскими аневризмами СМА, где планируется КШ, представляется целесообразным создание превентивного байпаса, даже если после клипирования необходимость в нем отпадает.
Отдельно стоит отметить возможность применения метода КФПА при фузиформных гигантских аневризмах СМА. У обоих наших пациентов, у которых применялся этот метод клипирования, хирургический результат был неудовлетворительным: в одном случае произошел тромбоз артерии на уровне клипирования, в другом – сохранилась значительная резидуальная часть, которая стала источником кровоизлияния в последующем. Таким образом, даже в отсутствие тромбов в полости фузиформных гигантских аневризм следует отказаться от данного метода выключения и рассматривать в качестве приоритетных деконструктивные операции с байпасом.
Необходимость реваскуляризирующих операций среди всех аневризм СМА возникает в 1,3–3,7% случаев [3, 4, 19, 20]. В группе гигантских аневризм СМА мы выполнили байпасы у 34,5% пациентов. Большая часть (78,9%) из них – микроанастомозы между М2–М4 ветвями СМА и ПВА. Данный байпас в течение долгих лет остается основной реваскуляризирующей операцией, в том числе при сложных аневризмах СМА [4, 11, 21]. Его основные преимущества – соизмеримый калибр ПВА и дистальных ветвей СМА и относительная простота выполнения.
Ряд авторов настаивает на том, что для реваскуляризации целого бассейна СМА в большинстве случаев достаточно ПВА [4, 21–25]. Для этого предлагается подтверждать адекватность замещения кровотока пробой пересеченной ПВА, создавать анастомоз не с корковыми ветвями, а с М2–М3 сегментами СМА и использовать две ветви ПВА. H. Nakajima и соавт. описали несколько случаев, когда на одну из ветвей двуствольного байпаса с ПВА подводились две М2-ветви СМА и этого было достаточно для замещения кровотока [26]. Наш опыт с использованием двух ветвей ПВА в ходе операций при гигантских аневризмах СМА был неудачным в тех случаях, где они в итоге кровоснабжали три М2-ветви. B.R. Seo и соавт. отмечают, что двуствольный шунт ПВА–СМА, соединяющий две ветви ПВА с двумя ветвями СМА, имеет недостаточный кровоток, потому что он не дублирует, а делит количество потока ПВА [27]. В недавних работах для реваскуляризации 2 и более М2-ветвей СМА предпочтение было отдано высокопоточному шунтированию с графтами [13, 19, 28, 29]. При этом даже на фоне высокопоточного байпаса с одной М2-ветвью может произойти тромбоз второй М2-ветви при ее кровоснабжении через аневризму [9]. Описана также ситуация, когда на фоне высокопоточного байпаса с венозным графтом между наружной сонной артерией и одним М2-сегментом через аневризму кровоснабжалась вторая М2-ветвь. Так как в значительной степени ретроградно кровоснабжалась и сама аневризма, потребовались повторная операция и полный треппинг аневризмы [26]. В этой связи в последнее время стали чаще использоваться комбинированные высокопоточные байпасы с раздельной реваскуляризацией каждого М2-сегмента [13, 19, 28]. Однако такие операции довольно сложны в исполнении и при небольшом опыте нейрохирургов имеют высокий риск осложнений.
Нерешенным остается вопрос: когда проводить байпас у больных с гигантскими аневризмами СМА, проявившимися кровоизлиянием? В условиях выраженного мозгового отека, который часто наблюдается в остром периоде, может произойти тромбирование байпаса. Мы наблюдали это в одном нашем случае и встречали упоминание похожего в литературе [30]. Оптимальной, конечно, представляется выжидательная тактика – до нескольких недель после кровоизлияния. Но никто не может гарантировать, что за этот период не произойдет повторный разрыв аневризмы. Пока мы не накопим больше данных, время проведения таких операций будет определяться индивидуально в каждом конкретном случае.
У разных авторов проходимость байпасов после операций при аневризмах СМА варьирует в диапазоне 80–98% [4, 13, 19, 28, 29, 31]. По нашим данным, байпас функционировал в 80% случаев. Мы объясняем этот показатель тем, что при гигантских аневризмах СМА выше сложность проведения операций и, соответственно, больше вероятность окклюзии шунтов. Кроме того, при дистальных аневризмах больших размеров и их частичном тромбировании с течением времени могут развиваться естественные лептоменингеальные коллатерали. При создании байпасов в этих условиях естественные коллатерали «берут верх» и в конечном итоге делают шунтирование ненужным [4, 32]. Мы наблюдали этот феномен у 3 из 15 пациентов с микроанастомозами. У всех троих не было зарегистрировано ишемических осложнений после треппинга аневризмы и отсутствия контрастирования байпаса при послеоперационной ангиографии. К сожалению, предсказать выраженность лептоменингеальной сети и оценить адекватность коллатерального кровоснабжения на основании доступных методов диагностики мы можем только косвенно. Особенно это касается визуальной оценки ангиографической картины на фоне баллон-окклюзионного теста. По нашему опыту и по мнению других авторов [30], интраоперационные моторные вызванные потенциалы на фоне окклюзии ветви СМА не всегда позволяют определить нарушения в послеоперационном периоде. Соответственно, мы не могли отказаться от байпасов у ряда пациентов, где в итоге он оказался ненужным.
Некоторые исследователи не рекомендуют резецировать гигантские аневризмы СМА, чтобы не травмировать лентикулостриарные артерии и прилежащие нервные структуры [4, 33]. Мы не выявили влияния факта резекции стенки гигантской аневризмы на количество послеоперационных ишемических осложнений. Тем не менее к выбору данной манипуляции мы подходили дифференцированно. У большинства больных с опухолеподобными симптомами при наличии сопутствующего мозгового отека мы ограничивались только тромбэктомией с оставлением стенок аневризм. В особенности это касалось гигантских аневризм М1-сегмента СМА. Резекцию стенок проводили только в случаях гигантских аневризм бифуркации и М2–М3 ветвей СМА в случае невозможности смыкания бранш при клипировании или для увеличения операционного пространства при создании байпасов.
M. Zanaty и соавт. представили небольшую серию сложных аневризм СМА с использованием потокперенаправляющих стентов [34]. К основным ограничениям метода относятся сложности позиционирования стента при большой протяженности аневризмы и стенозе артерии на уровне аневризмы, а также необходимость назначения двойной дезагрегантной терапии, что не всегда возможно у больных с САК. Наш опыт на примере одного пациента и данные других клиник [35] указывают на то, что существует высокий риск кровоизлияния при неполной окклюзии гигантской аневризмы СМА на фоне имплантации потокперенаправляющего стента. Именно поэтому в настоящее время мы не рассматриваем данную операцию как приоритетную при гигантских аневризмах СМА.
Отмечено, что при аневризмах М3–М4 сегментов обычно пациенты переносят треппинг без последствий [11]. Примечательно, что гигантских аневризм кортикального (М4) сегмента в нашей серии СМА не встретилось. Сложность микрохирургических вмешательств при локализации гигантских аневризм в оперкулярной области (М3-сегмент) состоит в том, что выделение дистальных артерий затрудняется узким операционным коридором вследствие значительного сдавления мозговых и сосудистых структур объемом аневризмы. Деконструктивные эндоваскулярные операции при периферических гигантских аневризмах СМА имеют в этом плане преимущество вследствие относительной простоты их выполнения. Вместе с тем у 2 из 3 наших пациентов с гигантскими аневризмами М3-сегмента, которым провели проксимальную эндоваскулярную окклюзию, отмечалась послеоперационная церебральная ишемия. Возможное решение – комбинация проксимальной эндоваскулярной окклюзии с селективной реваскуляризацией ветвей СМА [36]. Подчеркнем: проведение таких комбинированных операций желательно в условиях гибридных операционных, наличие которых в клиниках пока еще редкость.
Резидуальные аневризмы после операций по поводу гигантских аневризм СМА среди наших пациентов выявлены в 3,6% случаев. В другой серии из 43 полностью выключенных аневризм с клипированием и байпасами в 3 (6,8%) наблюдениях в отдаленном периоде отмечены резидуальные аневризмы [13].
Остаточные части шейки после клипирования, по мнению ряда авторов, в большинстве случаев нуждаются только в наблюдении [37, 38]. Наш опыт указывает на то, что после лечения гигантских аневризм СМА остатки могут как быть стабильными, так и увеличиваться. Диагностированный факт увеличения резидуальной аневризмы всегда должен служить показанием к повторной операции [1, 37]. Вышесказанное подчеркивает необходимость тщательного и регулярного ангиографического обследования пациентов с гигантской аневризмой СМА в отдаленном послеоперационном периоде.
Ограничения исследования
Исследование носило ретроспективный характер. Два (3,6%) пациента потеряны для катамнестического наблюдения.
Заключение
Микрохирургическое клипирование и создание байпасов – основные оперативные методы лечения гигантских аневризм СМА. Эти операции отличаются технической сложностью и сопровождаются достаточно высоким числом осложнений. Ухудшение неврологического статуса в периоперационном периоде мы отмечали у 50,9% (n = 28) больных, летальный исход – в 1,8% (n = 1). Тотального выключения удалось достичь в 78,2% (n = 43) случаев. В отдаленном периоде у 76,9% пациентов (у 40 из 52 доступных в катамнезе) сохранялись удовлетворительные клинические результаты. Летальность с учетом отдаленного периода составила 9,4%.
Основными задачами, требующими решения, остаются внедрение точных диагностических методов оценки коллатерального кровоснабжения в кортикальных ветвях СМА, совершенствование алгоритма выбора метода реваскуляризации, накопление опыта и изучение отдаленных результатов эндоваскулярных и комбинированных вмешательств. Очень важно тщательное динамическое наблюдение за пациентами в отдаленном периоде после операции с обеспечением их возможностью качественных контрольных ангиографических исследований. С учетом относительной редкости гигантских аневризм СМА многоцентровые исследования, несомненно, повысят достоверность получаемых данных и позволят улучшить результаты лечения пациентов.
Дополнительная информация
Отдельные материалы данной работы были доложены на XIX Всероссийской конференции «Поленовские чтения» (Санкт-Петербург, 31.03.2021 – 02.04.2021) и IX Всероссийском съезде нейрохирургов (Москва, 15.04.2021 – 18.04.2021), тезисы опубликованы в Российском нейрохирургическом журнале им. профессора А.Л. Поленова (Пилипенко ЮВ, Элиава ШШ, Абрамян АА, Коновалов АН, Гребенев ФВ, Арустамян СР. Хирургическое лечение гигантских аневризм средних мозговых артерий. Российский нейрохирургический журнал им. профессора А.Л. Поленова. 2021;13(S1):178) и сборнике тезисов IX Всероссийского съезда нейрохирургов (Пилипенко ЮВ, Элиава ШШ, Хейреддин АС, Шехтман ОД, Окишев ДН, Абрамян АА, Коновалов АН, Гребенев ФВ, Арустамян СР. Гигантские аневризмы средних мозговых артерий: результаты лечения 55 пациентов. В: Потапов АА, Крылов ВВ, ред. IX Всероссийский съезд нейрохирургов: Сборник тезисов. М.: Ассоциация нейрохирургов России; 2021. с. 272).
Финансирование
Авторы заявляют об отсутствии спонсорской поддержки при проведении исследования.
Конфликт интересов
Авторы заявляют об отсутствии конфликта интересов.
Участие авторов
Ю.В. Пилипенко – концепция и дизайн исследования, сбор и обработка материала, анализ и интерпретация результатов исследования, написание текста; Ш.Ш. Элиава – анализ и интерпретация результатов исследования, научное редактирование текста; А.Н. Коновалов и Ф.В. Гребенев – сбор и обработка материала, анализ и интерпретация результатов исследования; Б.В. Барчунов – сбор и обработка материала, статистическая обработка данных. Все авторы прочли и одобрили финальную версию статьи перед публикацией, согласны нести ответственность за все аспекты работы и гарантируют, что ими надлежащим образом были рассмотрены и решены вопросы, связанные с точностью и добросовестностью всех частей работы.
About the authors
Yuri V. Pilipenko
National Medical Research Center for Neurosurgery named after Academician N.N. Burdenko
Author for correspondence.
Email: 3664656@mail.ru
ORCID iD: 0000-0003-4001-3212
SPIN-code: 5961-6210
Scopus Author ID: 56568907900
MD, PhD, Neurosurgeon, Senior Research Fellow, 3rd Vascular Department
Russian Federation, ul. 4-ya Tverskaya-Yamskaya 16, Moscow, 125047Shalva S. Eliava
National Medical Research Center for Neurosurgery named after Academician N.N. Burdenko
Email: Eliava@nsi.ru
ORCID iD: 0000-0001-6103-9329
Scopus Author ID: 6602494062
MD, PhD, Professor, Corr. Member of Russ. Acad. Sci., Neurosurgeon, Head of 3rd Vascular Department
Russian Federation, ul. 4-ya Tverskaya-Yamskaya 16, Moscow, 125047Anton N. Konovalov
National Medical Research Center for Neurosurgery named after Academician N.N. Burdenko
Email: ANKonovalov@nsi.ru
ORCID iD: 0000-0002-0932-4752
SPIN-code: 6614-6204
Scopus Author ID: 57203044398
MD, PhD, Neurosurgeon, Research Fellow, 3rd Vascular Department
Russian Federation, ul. 4-ya Tverskaya-Yamskaya 16, Moscow, 125047Fyodor V. Grebenev
National Medical Research Center for Neurosurgery named after Academician N.N. Burdenko
Email: grebenevf@gmail.com
ORCID iD: 0000-0003-2622-7804
SPIN-code: 4708-7670
Scopus Author ID: 57216816277
ResearcherId: AHB-5634-2022
Neurosurgeon, Postgraduate Student, 3rd Vascular Department
Russian Federation, ul. 4-ya Tverskaya-Yamskaya 16, Moscow, 125047Boris V. Barchunov
Center for Physical Instrumentation of Prokhorov General Physics Institute
Email: neurosrgn@yahoo.com
PhD (in Phys. And Math.), Research Fellow
Russian Federation, Kaluzhskoe shosse 4/1, Troitsk, Moscow Region, 108841References
- Park W, Chung J, Ahn JS, Park JC, Kwun BD. Treatment of Large and Giant Middle Cerebral Artery Aneurysms: Risk Factors for Unfavorable Outcomes. World Neurosurg. 2017;102:301–312. doi: 10.1016/j.wneu.2017.03.028.
- Rinne J, Hernesniemi J, Niskanen M, Vapalahti M. Analysis of 561 patients with 690 middle cerebral artery aneurysms: anatomic and clinical features as correlated to management outcome. Neurosurgery. 1996;38(1):2–11. doi: 10.1097/00006123-199601000-00002.
- Rodríguez-Hernández A, Sughrue ME, Akhavan S, Habdank-Kolaczkowski J, Lawton MT. Current management of middle cerebral artery aneurysms: surgical results with a "clip first" policy. Neurosurgery. 2013;72(3):415–427. doi: 10.1227/NEU.0b013e3182804aa2.
- Kivipelto L, Niemelä M, Meling T, Lehecka M, Lehto H, Hernesniemi J. Bypass surgery for complex middle cerebral artery aneurysms: impact of the exact location in the MCA tree. J Neurosurg. 2014;120(2):398–408. doi: 10.3171/2013.10.JNS13738.
- Nurminen V, Lehecka M, Chakrabarty A, Kivisaari R, Lehto H, Niemelä M, Hernesniemi J. Anatomy and morphology of giant aneurysms – angiographic study of 125 consecutive cases. Acta Neurochir (Wien). 2014;156(1):1–10. doi: 10.1007/s00701-013-1933-4.
- Hacein-Bey L, Connolly ES Jr, Mayer SA, Young WL, Pile-Spellman J, Solomon RA. Complex intracranial aneurysms: combined operative and endovascular approaches. Neurosurgery. 1998;43(6):1304–1312; discussion 1312–1313. doi: 10.1097/00006123-199812000-00020.
- Andaluz N, Zuccarello M. Treatment strategies for complex intracranial aneurysms: review of a 12-year experience at the University of Cincinnati. Skull Base. 2011;21(4):233–242. doi: 10.1055/s-0031-1280685.
- Hanel RA, Spetzler RF. Surgical treatment of complex intracranial aneurysms. Neurosurgery. 2008;62(6 Suppl 3):1289–1297; discussion 1297–1299. doi: 10.1227/01.neu.0000333794.13844.d9.
- Eliava S, Pilipenko Y, Shekhtman O, Konovalov A. Reversal of intraoperative arterial thrombosis with a fibrinolytic agent when treating large and giant partially thrombosed aneurysms of the middle cerebral artery. J Neurosurg. 2016;124(4):1114–1122. doi: 10.3171/2015.2.JNS142655.
- Sadik AR, Budzilovich GN, Shulman K. Giant aneurysm of middle cerebral artery: a case report. J Neurosurg. 1965;22:177–181. doi: 10.3171/jns.1965.22.2.0177.
- Drake CG. Giant intracranial aneurysms: experience with surgical treatment in 174 patients. Clin Neurosurg. 1979;26:12–95. doi: 10.1093/neurosurgery/26.cn_suppl_1.12.
- Zhu W, Liu P, Tian Y, Gu Y, Xu B, Chen L, Zhou L, Mao Y. Complex middle cerebral artery aneurysms: a new classification based on the angioarchitecture and surgical strategies. Acta Neurochir (Wien). 2013;155(8):1481–1491. doi: 10.1007/s00701-013-1751-8.
- Natarajan SK, Zeeshan Q, Ghodke BV, Sekhar LN. Brain Bypass Surgery for Complex Middle Cerebral Artery Aneurysms: Evolving Techniques, Results, and Lessons Learned. World Neurosurg. 2019;130:e272–e293. doi: 10.1016/j.wneu.2019.06.059.
- Dean BL, Wallace RC, Zabramski JM, Pitt AM, Bird CR, Spetzler RF. Incidence of superficial sylvian vein compromise and postoperative effects on CT imaging after surgical clipping of middle cerebral artery aneurysms. AJNR Am J Neuroradiol. 2005;26(8):2019–2026.
- Kageyama Y, Fukuda K, Kobayashi S, Odaki M, Nakamura H, Satoh A, Watanabe Y. Cerebral vein disorders and postoperative brain damage associated with the pterional approach in aneurysm surgery. Neurol Med Chir (Tokyo). 1992;32(10):733–738. doi: 10.2176/nmc.32.733.
- Muhammad S, Tanikawa R, Lawton M, Regli L, Niemelä M, Korja M. Microsurgical dissection of Sylvian fissure-short technical videos of third generation cerebrovascular neurosurgeons. Acta Neurochir (Wien). 2019;161(9):1743–1746. doi: 10.1007/s00701-019-03999-x.
- Maekawa H, Hadeishi H. Venous-Preserving Sylvian Dissection. World Neurosurg. 2015;84(6):2043–2052. doi: 10.1016/j.wneu.2015.07.050.
- Pancucci G, Potts MB, Rodríguez-Hernández A, Andrade H, Guo L, Lawton MT. Rescue Bypass for Revascularization After Ischemic Complications in the Treatment of Giant or Complex Intracranial Aneurysms. World Neurosurg. 2015;83(6):912–920. doi: 10.1016/j.wneu.2015.02.001.
- Tayebi Meybodi A, Huang W, Benet A, Kola O, Lawton MT. Bypass surgery for complex middle cerebral artery aneurysms: an algorithmic approach to revascularization. J Neurosurg. 2017;127(3):463–479. doi: 10.3171/2016.7.JNS16772.
- Matsukawa H, Kamiyama H, Miyazaki T, Kinoshita Y, Ota N, Noda K, Shonai T, Takahashi O, Tokuda S, Tanikawa R. Surgical Treatment of Middle Cerebral Artery Aneurysms: Aneurysm Location and Size Ratio as Risk Factors for Neurologic Worsening and Ischemic Complications. World Neurosurg. 2018;117:e563–e570. doi: 10.1016/j.wneu.2018.06.077.
- Fujii K, Fukui M, Matsubara T, Nagata S, Fujiwara S, Matsushima T, Hasuo K. Microsurgical procedures for management of giant middle cerebral aneurysm causing increased intracranial pressure. Surg Neurol. 1989;32(5):366–371. doi: 10.1016/0090-3019(89)90141-9.
- Amin-Hanjani S, Alaraj A, Charbel FT. Flow replacement bypass for aneurysms: decision-making using intraoperative blood flow measurements. Acta Neurochir (Wien). 2010;152(6):1021–1032; discussion 1032. doi: 10.1007/s00701-010-0635-4.
- Hu P, Zhang HQ, Li XY, Tong XZ. Double-Barrel Superficial Temporal Artery to Proximal Middle Cerebral Artery Bypass to Treat Complex Intracranial Aneurysms: A Reliable High Blood Flow Bypass. World Neurosurg. 2019;125:e884–e890. doi: 10.1016/j.wneu.2019.01.203.
- Rustemi O, Amin-Hanjani S, Shakur SF, Du X, Charbel FT. Donor Selection in Flow Replacement Bypass Surgery for Cerebral Aneurysms: Quantitative Analysis of Long-term Native Donor Flow Sufficiency. Neurosurgery. 2016;78(3):332–341; discussion 341–342. doi: 10.1227/NEU.0000000000001074.
- Nussbaum ES, Kallmes KM, Lassig JP, Goddard JK, Madison MT, Nussbaum LA. Cerebral revascularization for the management of complex intracranial aneurysms: a single-center experience. J Neurosurg. 2018:1–11. doi: 10.3171/2018.4.JNS172752. Epub ahead of print.
- Nakajima H, Kamiyama H, Nakamura T, Takizawa K, Tokugawa J, Ohata K. Direct surgical treatment of giant middle cerebral artery aneurysms using microvascular reconstruction techniques. Neurol Med Chir (Tokyo). 2012;52(2):56–61. doi: 10.2176/nmc.52.56.
- Seo BR, Kim TS, Joo SP, Lee JM, Jang JW, Lee JK, Kim JH, Kim SH. Surgical strategies using cerebral revascularization in complex middle cerebral artery aneurysms. Clin Neurol Neurosurg. 2009;111(8):670–675. doi: 10.1016/j.clineuro.2009.06.002.
- Wessels L, Fekonja LS, Vajkoczy P. Bypass surgery of complex middle cerebral artery aneurysms – technical aspects and outcomes. Acta Neurochir (Wien). 2019;161(10):1981–1991. doi: 10.1007/s00701-019-04042-9.
- Wang L, Lu S, Cai L, Qian H, Tanikawa R, Shi X. Internal maxillary artery bypass for the treatment of complex middle cerebral artery aneurysms. Neurosurg Focus. 2019;46(2):E10. doi: 10.3171/2018.11.FOCUS18457.
- Xu F, Xu B, Huang L, Xiong J, Gu Y, Lawton MT. Surgical Treatment of Large or Giant Fusiform Middle Cerebral Artery Aneurysms: A Case Series. World Neurosurg. 2018;115:e252–e262. doi: 10.1016/j.wneu.2018.04.031.
- van Doormaal TP, van der Zwan A, Verweij BH, Han KS, Langer DJ, Tulleken CA. Treatment of giant middle cerebral artery aneurysms with a flow replacement bypass using the excimer laser-assisted nonocclusive anastomosis technique. Neurosurgery. 2008;63(1):12–20; discussion 20–22. doi: 10.1227/01.NEU.0000335066.45566.D1.
- Drake CG, Peerless SJ, Ferguson GG. Hunterian proximal arterial occlusion for giant aneurysms of the carotid circulation. J Neurosurg. 1994;81(5):656–665. doi: 10.3171/jns.1994.81.5.0656.
- Diaz FG, Guthikonda M, Guyot L, Velardo B, Gordon V. Surgical management of complex middle cerebral artery aneurysms. Neurol Med Chir (Tokyo). 1998;38 Suppl:50–57. doi: 10.2176/nmc.38.suppl_50.
- Zanaty M, Chalouhi N, Tjoumakaris SI, Gonzalez LF, Rosenwasser R, Jabbour P. Flow diversion for complex middle cerebral artery aneurysms. Neuroradiology. 2014;56(5):381–387. doi: 10.1007/s00234-014-1339-x.
- Cagnazzo F, Mantilla D, Lefevre PH, Dargazanli C, Gascou G, Costalat V. Treatment of Middle Cerebral Artery Aneurysms with Flow-Diverter Stents: A Systematic Review and Meta-Analysis. AJNR Am J Neuroradiol. 2017;38(12):2289–2294. doi: 10.3174/ajnr.A5388.
- Shi ZS, Ziegler J, Duckwiler GR, Jahan R, Frazee J, Ausman JI, Martin NA, Viñuela F. Management of giant middle cerebral artery aneurysms with incorporated branches: partial endovascular coiling or combined extracranial-intracranial bypass – a team approach. Neurosurgery. 2009;65(6 Suppl):121–129; discussion 129–131. doi: 10.1227/01.NEU.0000335173.80605.1D.
- David CA, Vishteh AG, Spetzler RF, Lemole M, Lawton MT, Partovi S. Late angiographic follow-up review of surgically treated aneurysms. J Neurosurg. 1999;91(3):396–401. doi: 10.3171/jns.1999.91.3.0396.
- Brown MA, Parish J, Guandique CF, Payner TD, Horner T, Leipzig T, Rupani KV, Kim R, Bohnstedt BN, Cohen-Gadol AA. A long-term study of durability and risk factors for aneurysm recurrence after microsurgical clip ligation. J Neurosurg. 2017;126(3):819–824. doi: 10.3171/2016.2.JNS152059.
Supplementary files







