Clinical polymorphism of multiple system atrophy: a clinical case series
- Authors: Andreev M.N.1, Fedotova E.Y.1, Konovalov R.N.1, Illarioshkin S.N.1
-
Affiliations:
- Research Center of Neurology
- Issue: Vol 50, No 5 (2022)
- Pages: 310-314
- Section: CLINICAL CASES
- URL: https://ogarev-online.ru/2072-0505/article/view/148961
- DOI: https://doi.org/10.18786/2072-0505-2022-50-044
- ID: 148961
Cite item
Full Text
Abstract
Multiple system atrophy (MSA) is a neurodegenerative disorder characterized by autonomous insufficiency and motor abnormalities, such as akinetic rigid syndrome and cerebellar ataxia. The diagnosis of this disorder is challenging, and quite frequently the patients are seen by other specialties or with other diagnoses. The paper presents three clinical observations of patients with various phenotypic MSA subtypes. In two of them, the diagnosis of MSA was clinically proven and in the third one, clinically probable. All patients were initially followed up with other diagnoses. The authors describe specifics of complaints and past history registration, neurological examination and typical signs of MSA at neuroimaging.
Full Text
Мультисистемная атрофия (МСА) – тяжелое нейродегенеративное заболевание, характеризующееся выраженной и быстропрогрессирующей вегетативной недостаточностью (ортостатической гипотензией, тазовыми нарушениями) в сочетании с двигательными нарушениями: акинетико-ригидным синдромом и мозжечковой атаксией. Патоморфологически данное заболевание относится к классу синуклеинопатий, однако в отличие от болезни Паркинсона и деменции с тельцами Леви, при которых обнаруживаются нейрональные включения (тельца Леви), для МСА характерны глиальные включения (тельца Паппа – Лантоса) [1–3].
В настоящее время, согласно диагностическим критериям Международного общества по болезни Паркинсона и двигательным расстройствам (The International Parkinson and Movement Disorder Society), выделяют два основных фенотипа заболевания: паркинсонический (МСА-П) и мозжечковый (МСА-М) подтипы (таблица) [4, 5].
Характеристика пациентов
Показатель | Клиническое наблюдение 1 | Клиническое наблюдение 2 | Клиническое наблюдение 3 |
Диагноз | Клинически достоверная МСА-М | Клинически достоверная МСА-П | Клинически вероятная МСА |
Возраст дебюта / длительность заболевания, годы | 54/2 | 61/3 | 60/3 |
Первоначальный диагноз | Мозжечковая атаксия. Хронический простатит | Остеохондроз позвоночника. Болезнь Паркинсона. Доброкачественная гиперплазия предстательной железы | Ортостатическая гипотензия |
Нарушение поведения в фазе сна с БДГ | + | + | + |
Акинетико-ригидный синдром | + | +++ | + |
Синдром мозжечковой атаксии | +++ | ++ | + |
Пирамидный синдром | ++ | – | + |
Выраженность ортостатической гипотензии (САД/ДАД, мм рт. ст.) | 40/0 | 50/20 | 60/30 |
Объем остаточной мочи, мл | 105 | 51 | 100 |
Изменения на МРТ | Признаки атрофии варолиева моста, мозжечка, симптом «креста» | Гиперинтенсивность скорлупы, признаки атрофии варолиева моста, мозжечка | Без патологических изменений |
БДГ – быстрые движения глаз, ДАД – диастолическое артериальное давление, МРТ – магнитно-резонансная томография, МСА – мультисистемная атрофия; МСА-М – МСА, мозжечковый подтип; МСА-П – МСА, паркинсонический подтип; САД – систолическое артериальное давление
Согласно этим критериям, МСА представляет собой спорадическое прогрессирующее заболевание с дебютом в возрасте старше 30 лет. Для постановки диагноза клинически достоверной МСА необходимо наличие следующих синдромов:
- автономной дисфункции (как минимум один симптом из нижеперечисленных):
- нарушение мочеиспускания с объемом остаточной мочи свыше 100 мл, не объясняемое иными причинами;
- недержание мочи, не объясняемое иными причинами;
- нейрогенная ортостатическая гипотензия, а именно снижение систолического артериального давления (САД) / диастолического артериального давления (ДАД) более чем на 20/10 мм рт. ст. через 3 минуты при проведении клиноортостатической пробы;
- паркинсонизма со слабым ответом на препараты леводопы либо мозжечковой атаксии (как минимум два из нижеперечисленных симптомов: атактическая походка, атаксия при координаторных пробах, мозжечковая дизартрия, глазодвигательные нарушения).
Для постановки диагноза клинически вероятной МСА необходимо наличие как минимум двух из нижеперечисленных синдромов:
- автономная дисфункция (как минимум один из нижеперечисленных симптомов):
- наличие остаточной мочи, не объясняемое иными причинами;
- недержание мочи, не объясняемое иными причинами;
- нейрогенная ортостатическая гипотензия, а именно снижение САД/ДАД более чем на 20/10 мм рт. ст. через 10 минут при проведении клиноортостатической пробы;
- синдром паркинсонизма или мозжечковой атаксии (как минимум один из нижеперечисленных симптомов: атактическая походка, атаксия при координаторных пробах, мозжечковая дизартрия, глазодвигательные нарушения).
Несмотря на то что большинство пациентов с МСА можно условно разделить на два этих подтипа – МСА-М и МСА-П – ведутся дискуссии по расширению спектра выделяемых фенотипов. В первую очередь речь идет о так называемых перекрестных фенотипах, или МСА П + М. Около 50% пациентов с МСА-П имеют признаки поражения мозжечка, а 75% пациентов с МСА-М – признаки паркинсонизма. Автономная дисфункция иногда может быть единственным симптомом МСА, однако не укладывается в фенотип первичной вегетативной недостаточности ввиду иного патогенетического субстрата (отсутствия телец Леви). Для таких пациентов предложена форма МСА с автономной дисфункцией (англ. multiple system atrophy – autonomic failure, MSA-AF). Относительно возраста дебюта и продолжительности заболевания также предложено добавить отдельные формы, которые либо противоречат существующим критериям, либо оставлены ими без внимания. Это МСА с поздним дебютом (после 75 лет; англ. late onset, LOMSA), с ранним дебютом (в 30–40 лет; англ. young onset, YOMSA), а также с продолжительностью более 15 лет (англ. long duration, LDMSA) [6].
Для МСА не разработано методов этиотропной и патогенетической терапии. Симптоматическая терапия включает в себя лечение акинетико-ригидного синдрома, урологических нарушений, медикаментозную коррекцию ортостатической гипотензии и запоров. Поскольку клинические проявления МСА многогранны и зачастую сочетаются с другими заболеваниями, огромную роль в лечении играют немедикаментозные методы: физиотерапия и лечебная физкультура, а также профилактика ортостатической гипотензии и падений [7, 8].
Перечисленные ниже клинические случаи демонстрируют фенотипическое разнообразие заболеваний спектра МСА и трудности ее диагностики.
Клиническое наблюдение 1
Пациент В., 56 лет, обратился в Научный центр неврологии с жалобами на шаткость при ходьбе, неловкость при точных движениях в руках, изменение почерка в виде микрографии, а также синкопальные эпизоды при вертикализации, нарушения мочеиспускания в виде учащенных позывов и склонность к запорам (стул до 1 раза в 3–5 суток). Первые симптомы в виде шаткости появились за 2 года до обращения; ранее наблюдался у уролога с диагнозом «хронический простатит» ввиду «ослабления струи» при мочеиспускании и учащенных позывов, но при ультразвуковом исследовании (УЗИ) патологии предстательной железы обнаружено не было. При подробном расспросе также отмечает исчезновение эрекции около 5 лет назад. Длительное время разговаривает и кричит во сне, размахивает руками (со слов супруги пациента). В течение двух лет наблюдался с диагнозом «Мозжечковая атаксия. Хронический простатит», получал нейрометаболическую терапию без эффекта, а также тамсулозин с умеренным положительным эффектом в виде субъективного «улучшения качества» мочеиспускания. При неврологическом осмотре: пациент когнитивно сохранен (оценка по Монреальской когнитивной шкале (Montreal Cognitive Assessment, МоСА) 27 баллов), обращает на себя внимание грубо выраженный синдром мозжечковой атаксии: нарушение речи по типу «скандированной речи», грубая дисметрия и интенционный тремор при проведении координаторных проб. Отмечается оживление сухожильных рефлексов с расширением рефлексогенных зон, наличие патологических кистевых сгибательных рефлексов. Имеется легкая олигобрадикинезия в правой руке, мелкоамплитудный постурально-кинетический тремор в руках. При проведении клиноортостатической пробы: в положении лежа артериальное давление (АД) 150/90 мм рт. ст., в положении стоя через 3 минуты – 110/90 мм рт. ст.
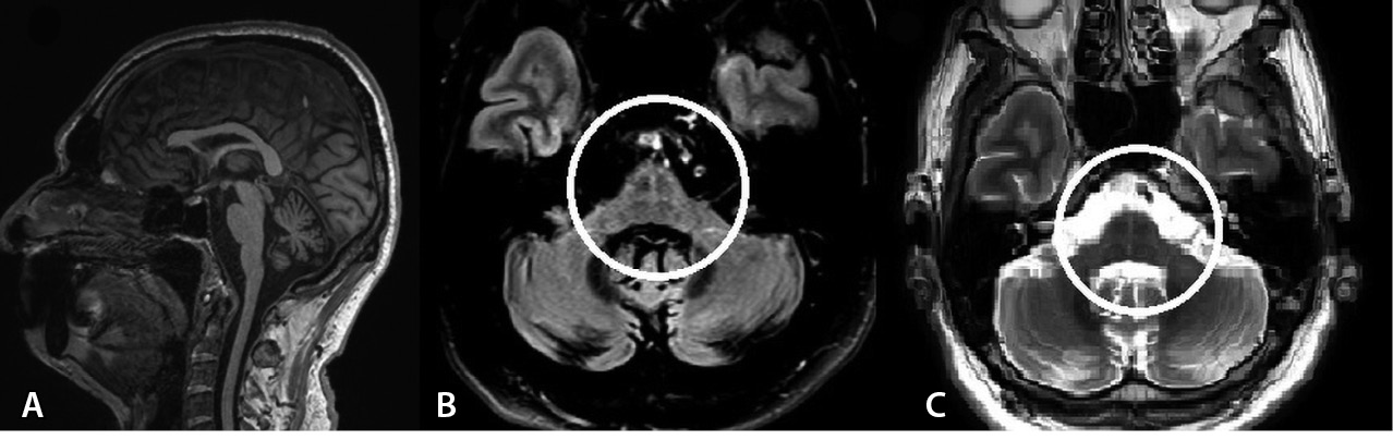
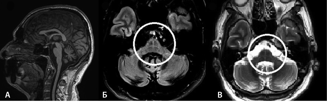
Проведены следующие дополнительные методы исследования. При УЗИ остаточной мочи ее объем составил 105 мл. На магнитно-резонансной томограмме (МРТ) головного мозга – признаки атрофии ствола мозга в режиме Т1, в режиме T2-FLAIR – симптом «креста» (рис. 1).
Рис. 1. Магнитно-резонансная томография головного мозга пациента В. А – Т1-взвешенное изображение, сагиттальный срез: признаки атрофии варолиева моста в виде уплощения его основания, а также расширение борозд мозжечка. Б, В – Т2-FLAIR, Т2-взвешенное изображение, аксиальные срезы: симптом «креста», или “hot cross bun”: гиперинтенсивность волокон мосто-мозжечковых путей и ядер шва (отмечено кругом)
На основании вышеуказанного, согласно критериям диагностики МСА от 2022 г., пациенту В. был выставлен клинический диагноз достоверной МСА-М.
Клиническое наблюдение 2
Пациент А., 64 года, обратился в Научный центр неврологии с жалобами на скованность и замедленность, дрожание в руках и ногах (больше слева), нестабильность АД и частые обмороки, нарушения мочеиспускания в виде эпизодов недержания, склонность к запорам, наклон головы вперед. За 3 года до обращения отметил появление скованности в руках, болей в верхней части спины, наблюдался с диагнозом остеохондроза позвоночника. В течение полугода появился тремор покоя в левой руке, был выставлен диагноз «болезнь Паркинсона», назначена терапия препаратами амантадина и прамипексолом с небольшим положительным эффектом в виде уменьшения выраженности дрожания. В начале 2021 г. (за год до обращения) был госпитализирован с острой задержкой мочи, при УЗИ остаточной мочи объем составил 320 мл. Проведена эпицистостомия с дальнейшей трансуретральной резекцией простаты и бужированием уретры. На фоне данной терапии уменьшился объем остаточной мочи (до 170 мл), однако субъективного улучшения пациент не отметил. За 6 месяцев до обращения в Научный центр неврологии начались эпизодические синкопальные состояния при вертикализации со снижением АД до 70/50 мм рт. ст., заметно участилось количество мочеиспусканий (до 10 раз за ночь). При расспросе супруга отметила сноговорение в течение длительного времени.
При неврологическом осмотре пациент когнитивно сохранен (оценка по МоСА 28 баллов), выраженный акинетико-ригидный синдром с тремором покоя в руках и ногах (больше слева), мелкоамплитудным постурально-кинетическим тремором в руках. Сухожильные рефлексы оживлены, патологические рефлексы не вызываются. Имеется умеренно выраженный атактический синдром в виде дисметрии при выполнении координаторных проб, позные нарушения в виде наклона головы вперед. При выполнении клиноортостатической пробы АД в положении лежа 140/90 мм рт. ст., стоя через 3 минуты – 90/70 мм рт. ст.
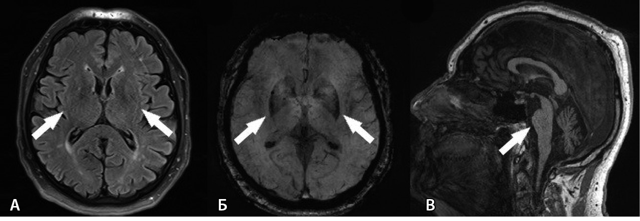
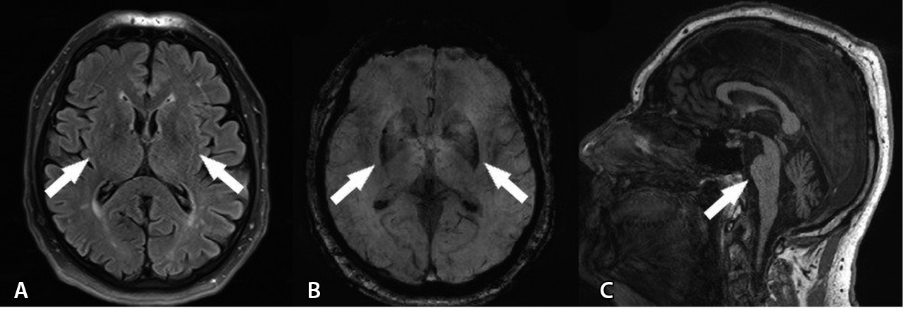
По данным УЗИ остаточной мочи ее объем составил 51 мл, по данным МРТ головного мозга в режиме T2-FLAIR выявлен линейный участок повышенного сигнала от скорлупы, гипоинтенсивный в режиме SWI, в режиме Т1 – признаки атрофии варолиева моста, мозжечка (рис. 2).
Рис. 2. Магнитно-резонансная томография головного мозга пациента А. А – Т2-FLAIR, аксиальный срез: симметричные линейные участки повышенного сигнала от скорлупы (отмечено стрелками). Б – SWI, аксиальный срез: симметрично сниженная интенсивность сигнала от скорлупы (отмечено стрелками). В – Т1-взвешенное изображение, сагиттальный срез: признаки атрофии варолиева моста, мозжечка (отмечено стрелкой)
На основании критериев диагностики МСА от 2022 г. пациенту А. был поставлен диагноз клинически достоверной МСА-П.
Клиническое наблюдение 3
Пациент С., 63 года, обратился с жалобами на частые падения с потерей сознания и снижением АД до 50/40 мм рт. ст. Обратил внимание на снижение АД до 90/60 около 3 лет назад, до того момента страдал гипертонической болезнью с повышением АД до 160/100 мм рт. ст. За полгода до обращения – первый синкопальный эпизод при вставании, в дальнейшем данные эпизоды стали учащаться. Отмечаются императивные позывы к мочеиспусканию в ночное время (до 4 раз за ночь). При прицельном расспросе было отмечено наличие сноговорения. В дебюте заболевания наблюдался у кардиолога, проведено оперативное лечение атеросклероза коронарных артерий (стентирование левой коронарной артерии в возрасте 62 лет), также обследован эндокринологами (выявлены гормонально неактивное образование левого надпочечника, узловой зоб в состоянии эутиреоза). При осмотре обращает на себя внимание чрезмерная сухость кожных покровов. В неврологическом статусе: ригидность в руках при проведении проб с контралатеральной активацией, пирамидный синдром с гиперрефлексией, патологическими кистевыми рефлексами, легкая дисметрия при выполнении пальце-пальцевой и пальценосовой проб. Имеется мелкоамплитудный высокочастотный постурально-кинетический тремор. При проведении клиноортостатической пробы: АД лежа 110/70 мм рт. ст., в положении сидя – 50/40 мм рт. ст. Оценка по МоСА – 27 баллов.
По данным УЗИ остаточной мочи объем составил 100 мл, по данным МРТ головного мозга – без патологических изменений.
Пациенту С. на основании критериев диагностики был поставлен диагноз клинически вероятной МСА.
Кратко характеристики пациентов приведены в таблице.
Обсуждение и заключение
Во всех вышеописанных случаях путь к верному диагнозу у пациентов был непростым: в течение нескольких лет они наблюдались либо у специалистов другого профиля, либо с другим диагнозом. Безусловно, ранняя диагностика МСА – непростая задача: неспецифические проявления в виде низкого АД и тазовых нарушений позволяют заподозрить иные заболевания (например, урологические). Выставить диагноз на «развернутой» стадии гораздо проще, поскольку неврологические проблемы с течением заболевания выходят на первый план и оказывают большое влияние на качество жизни пациента.
У всех трех пациентов в течение длительного времени имелись «смазанные» симптомы: в первом случае это нарушения тазовых функций и эректильная дисфункция, во втором – боли в спине по типу «плаща», характерные для ортостатической гипотензии, в третьем – наметившаяся тенденция к снижению АД.
Очень важный фактор – наличие нарушений в фазе сна с быстрыми движениями глаз, которое начинается задолго до моторных и других немоторных проявлений заболевания. У всех трех пациентов такие нарушения присутствовали в течение длительного времени до дебюта заболевания, и несмотря на то что они значительно влияли на качество жизни, о них упоминали только при прицельном расспросе.
Если у первых двух пациентов превалирующий тип двигательного нарушения был ясен, у последнего данный вопрос остается открытым. Несмотря на то что у него отсутствуют четкие нейровизуализационные биомаркеры МСА, наличие слабо выраженных двигательных нарушений (мозжечковых и паркинсонических) дает нам основание для исключения диагноза первичной изолированной вегетативной недостаточности и постановки диагноза МСА.
Кроме того, у всех пациентов при УЗИ был выявлен достаточно большой объем остаточной мочи, что служит одним из ключевых признаков этого заболевания [4].
Таким образом, МСА – тяжелое и инвалидизирующее заболевание, диагностика которого часто затруднена ввиду наличия клинических «масок». Даже с учетом того, что критерии диагностики данного заболевания четко установлены и постоянно обновляются, своевременный диагноз требует тесного взаимодействия между неврологом и врачами других специальностей, например, урологом, терапевтом, кардиологом, эндокринологом, сомнологом.
Дополнительная информация
Согласие пациентов
Пациенты добровольно подписали информированное согласие на публикацию персональной медицинской информации в обезличенной форме в журнале «Альманах клинической медицины».
Финансирование
Работа проведена без привлечения дополнительного финансирования со стороны третьих лиц.
Конфликт интересов
Авторы декларируют отсутствие явных и потенциальных конфликтов интересов, связанных с содержанием настоящей статьи.
Участие авторов
М.Н. Андреев – сбор, анализ и систематизация клинического материала, поиск и анализ литературы, написание текста; Е.Ю. Федотова – концепция статьи, анализ и систематизация клинического материала, редактирование текста, утверждение итогового варианта текста рукописи; Р.Н. Коновалов – анализ данных нейровизуализации, редактирование текста, утверждение итогового варианта текста рукописи; С.Н. Иллариошкин – концепция статьи, редактирование текста, утверждение итогового варианта текста рукописи. Все авторы прочли и одобрили финальную версию статьи перед публикацией, согласны нести ответственность за все аспекты работы и гарантируют, что ими надлежащим образом были рассмотрены и решены вопросы, связанные с точностью и добросовестностью всех частей работы.
About the authors
Maksim N. Andreev
Research Center of Neurology
Author for correspondence.
Email: max_andreev@mail.ru
ORCID iD: 0000-0002-3718-6238
Neurologist, 5th Department of Neurology
Russian Federation, Volokolamskoe shosse 80, Moscow, 125367Ekaterina Y. Fedotova
Research Center of Neurology
Email: fedotova@neurology.ru
ORCID iD: 0000-0001-8070-7644
SPIN-code: 3466-2212
ResearcherId: C-9072-2012
MD, PhD, Head of 5th Department of Neurology
Russian Federation, Volokolamskoe shosse 80, Moscow, 125367Rodion N. Konovalov
Research Center of Neurology
Email: krn_74@mail.ru
ORCID iD: 0000-0001-5539-245X
MD, PhD, Senior Research Fellow, Department of Diagnostic Radiology
Russian Federation, Volokolamskoe shosse 80, Moscow, 125367Sergey N. Illarioshkin
Research Center of Neurology
Email: snillario@gmail.com
ORCID iD: 0000-0002-2704-6282
Scopus Author ID: 7004025426
MD, PhD, Professor, Member of Russ. Acad. Sci., Deputy Director for Science, Director of Brain Research Institute
Russian Federation, 125367, Russia, Moscow, Volokolamskoye shosse, 80.References
- Koga S, Aoki N, Uitti RJ, van Gerpen JA, Cheshire WP, Josephs KA, Wszolek ZK, Langston JW, Dickson DW. When DLB, PD, and PSP masquerade as MSA: an autopsy study of 134 patients. Neurology. 2015;85(5):404–412. doi: 10.1212/WNL.0000000000001807.
- Jellinger KA, Wenning GK. Multiple system atrophy: pathogenic mechanisms and biomarkers. J Neural Transm (Vienna). 2016;123(6):555–572. doi: 10.1007/s00702-016-1545-2.
- Brück D, Wenning GK, Stefanova N, Fellner L. Glia and alpha-synuclein in neurodegeneration: A complex interaction. Neurobiol Dis. 2016;85:262–274. doi: 10.1016/j.nbd.2015.03.003.
- Wenning GK, Stankovic I, Vignatelli L, Fanciulli A, Calandra-Buonaura G, Seppi K, Palma JA, Meissner WG, Krismer F, Berg D, Cortelli P, Freeman R, Halliday G, Höglinger G, Lang A, Ling H, Litvan I, Low P, Miki Y, Panicker J, Pellecchia MT, Quinn N, Sakakibara R, Stamelou M, Tolosa E, Tsuji S, Warner T, Poewe W, Kaufmann H. The Movement Disorder Society Criteria for the Diagnosis of Multiple System Atrophy. Mov Disord. 2022;37(6):1131–1148. doi: 10.1002/mds.29005.
- Gilman S, Wenning GK, Low PA, Brooks DJ, Mathias CJ, Trojanowski JQ, Wood NW, Colosimo C, Dürr A, Fowler CJ, Kaufmann H, Klockgether T, Lees A, Poewe W, Quinn N, Revesz T, Robertson D, Sandroni P, Seppi K, Vidailhet M. Second consensus statement on the diagnosis of multiple system atrophy. Neurology. 2008;71(9):670–676. doi: 10.1212/01.wnl.0000324625.00404.15.
- Stankovic I, Quinn N, Vignatelli L, Antonini A, Berg D, Coon E, Cortelli P, Fanciulli A, Ferreira JJ, Freeman R, Halliday G, Höglinger GU, Iodice V, Kaufmann H, Klockgether T, Kostic V, Krismer F, Lang A, Levin J, Low P, Mathias C, Meissner WG, Kaufmann LN, Palma JA, Panicker JN, Pellecchia MT, Sakakibara R, Schmahmann J, Scholz SW, Singer W, Stamelou M, Tolosa E, Tsuji S, Seppi K, Poewe W, Wenning GK; Movement Disorder Society Multiple System Atrophy Study Group. A critique of the second consensus criteria for multiple system atrophy. Mov Disord. 2019;34(7):975–984. doi: 10.1002/mds.27701.
- Coon EA, Ahlskog JE. My Treatment Approach to Multiple System Atrophy. Mayo Clin Proc. 2021;96(3):708–719. doi: 10.1016/j.mayocp.2020.10.005.
- Fanciulli A, Wenning GK. Multiple-system atrophy. N Engl J Med. 2015;372(3):249–263. doi: 10.1056/NEJMra1311488.
Supplementary files





