Diagnostic algorithms for acute ankle injury imaging
- Authors: Trufanov G.E.1, Aleksandrovich V.Y.2, Menkova I.S.1,3
-
Affiliations:
- Almazov National Medical Research Centre
- Mariinsky City Hospital
- St. Olga's Pediatric City Hospital
- Issue: Vol 51, No 5 (2023)
- Pages: 301-313
- Section: REVIEW ARTICLE
- URL: https://ogarev-online.ru/2072-0505/article/view/148370
- DOI: https://doi.org/10.18786/2072-0505-2023-51-030
- ID: 148370
Cite item
Full Text
Abstract
Ankle trauma is the most prevalent low extremity injury among urgent referral patients. Up to 85% of acute ankle traumas lead to an isolated ligament injury, with up to 50% of these patients would have chronic pain syndrome in the future, related to inaccurate diagnosis and resulting inappropriate treatment strategy and rehabilitation term.
We analyzed publications on the state-of-the-art aspects of radiation diagnostics of acute ankle injury available from PubMed/MEDLINE databases and in the Russian Index of Scientific Citation (Elibrary.ru) for the last ten years; some earlier essential publications on certain aspects were also considered.
Up to now, there have been no unified guidelines on the radiation diagnosis of ankle injury depending on the trauma type, mechanism, and severity. The Ottawa ankle rules (1994) are the basic guidelines for selection of the patients with acute trauma who should be offered X-rays. Primary X-ray would allow for the choice of the treatment strategy or further diagnostic assessment of the patient. Computed tomography is done for multi-fragment intra-articular fractures and for the control after their reposition. Computed tomography is used in patients with severe pain syndrome and other absolute and relative contraindications for magnetic resonance imaging. The latter allows for the imaging of all injured structures within a single assessment procedure and by such to make the diagnosis of ligament and tendon ruptures, to visualize osteochondral injuries, hidden and stress fractures and many other acute ankle injuries. Ultrasound assessment can considerably add to clinical understanding of the patient during acute trauma, if magnetic resonance imaging is contraindicated.
Based on the analysis performed, we propose the algorithms for diagnostic assessment in various clinical situations.
Full Text
Травмы голеностопного сустава – наиболее распространенное повреждение среди пострадавших, обращающихся за неотложной помощью [1, 2]. По данным Федеральной службы государственной статистики, в период с 2018 по 2020 г. в Российской Федерации травмы голеностопного сустава и стопы занимали лидирующие позиции – до 18% всех повреждений конечностей [3]. Острое повреждение связок голеностопного сустава составляет большую часть этих травм, и по оценкам экспертов в США на них приходитcя до 2,8 млн. посещений (7,6% всех обращений по поводу травм опорно-двигательной системы) [4]. На основании опроса населения, проведенного в Нидерландах, частота острых растяжений связок голеностопного сустава варьирует в диапазоне от 19,0 до 26,6/1000 человек в год, а уровень заболеваемости по отчетам отделений неотложной помощи – 2,1–3,2/1000 человек в год [5]. На острые повреждения связок голеностопного сустава приходится от 3 до 10% всех посещений отделений неотложной помощи в Великобритании [6]. У спортсменов распространенность повреждения голеностопного сустава еще выше: от 16 до 40% от всех травм [7].
Как правило, биомеханизм травмы связан с острой нестабильностью голеностопного сустава во время спортивной деятельности, ходьбы, падения или при дорожно-транспортном происшествии, что приводит к изолированному повреждению связок [6, 8]. Реже возникают сопутствующие переломы, повреждения сухожилий, остеохондральные повреждения [9, 10].
До 85% острых травм голеностопного сустава обусловлены инверсионным механизмом, который включает в себя супинацию, подошвенное сгибание, внутреннюю ротацию стопы [10], эверсионный же механизм травмы (подвывих стопы кнаружи или кнаружи и кзади) встречается реже. Наиболее уязвимая структура латерального связочного комплекса при инверсионной травме – передняя таранно-малоберцовая связка (ПТМС) [6, 11, 12]. На изолированные разрывы дельтовидной связки приходится около 3–4% всех повреждений связок голеностопного сустава, однако при наличии переломов костей, образующих голеностопный сустав, риск повреждения медиального связочного комплекса возрастает до 40% [13, 14].
Базируясь на исследованиях больших групп пациентов, было показано, что примерно у 50% из тех, кто перенес острую травму голеностопного сустава, возникает его посттравматическая нестабильность с развитием вторичного остеоартрита в отдаленном периоде после травмы [12, 15–17].
Тщательно собранный анамнез и физикальный осмотр позволяют определить характер травмы и сформулировать предварительный диагноз. В первые несколько дней после повреждения осмотр может быть затруднен из-за острой боли и отека, сопровождающих травму, что, в свою очередь, создает сложности в своевременной постановке диагноза. Высокий болевой порог у пациента может привести к увеличению числа ложноположительных результатов физикального осмотра и способствовать выбору неадекватной тактики лечения [9].
Планирование тактики неотложной помощи пациенту с травмой голеностопного сустава в значительной степени зависит от результатов рентгенографии [18, 19]. Стандартными критериями для определения показаний к рентгенографии голеностопного сустава, заднего и среднего отделов стопы для взрослых и детей в возрасте старше 5 лет признаны Оттавские правила голеностопного сустава (англ. Ottawa Ankle Rules, далее – Оттавские правила), предложенные I. G. Stiell и соавт. [20]. К клиническим показаниям для проведения рентгенографии относятся:
- неспособность выдержать вес тела при осевой нагрузке (неспособность пациента пройти 4 шага сразу после острой травмы и в момент осмотра);
- болезненность при пальпации задней поверхности медиальной лодыжки на протяжении до 6 см от ее верхушки;
- болезненность при пальпации задней поверхности латеральной лодыжки на протяжении до 6 см от ее верхушки;
- болезненность при пальпации ладьевидной кости, основания V плюсневой кости.
Эти правила определяют показания к рентгенографии для подтверждения клинически значимых переломов в тех случаях, когда это действительно оправдано. В отсутствие же подобных клинических данных необходимости в проведении рентгенографии нет [20–22]. Имеется ряд ограничений, которые препятствуют применению этих критериев в клинической практике, в частности, к ним относятся неврологический дефицит, политравма, хронические заболевания костно-мышечной системы и др. [9, 22].
Рентгеновская компьютерная томография (КТ) может быть полезна в качестве метода первичной лучевой диагностики при сложных высокоэнергетических травмах, в частности, при трехлодыжечных переломах со смещением, многооскольчатых переломах, переломах пилона [23]. Согласно рекомендациям Американского радиологического колледжа (англ. American College of Radiology), в остальных случаях метод КТ не является доминантным в диагностике острой травмы голеностопного сустава [24]. Низкодозовые протоколы КТ, особенно в педиатрической практике, могут рассматриваться в качестве более точного альтернативного метода по сравнению со стандартной рентгенографией [25].
Известно, что магнитно-резонансная томография (МРТ) обладает высокой чувствительностью при диагностике повреждений связок, сухожилий и суставного хряща [6, 11, 26]. Однако по причине высокой частоты травм голеностопного сустава, ограниченной доступности МРТ в отделениях неотложной помощи, высокой стоимости исследования и длительного времени сканирования, МРТ целесообразно назначать только пациентам с хронической нестабильностью голеностопного сустава или обоснованным подозрением на костно-хрящевые поражения, стрессовые переломы в отдаленном периоде травмы [27, 28].
Многие авторы отмечают высокую диагностическую ценность ультразвукового исследования (УЗИ) в выявлении травматических повреждений опорно-двигательного аппарата [29–31]. Тем не менее точность этого метода сильно зависит от оператора и/или качества оборудования, повышенный мышечный тонус может приводить к ложноотрицательным результатам, – все это ограничивает возможности применения УЗИ в диагностике острой травмы голеностопного сустава [25, 32].
Следует отметить, что до настоящего времени не существует единых рекомендаций по использованию лучевых методов диагностики травматического повреждения голеностопного сустава в зависимости от вида, механизма и тяжести травмы, что подтверждает актуальность изучения данной проблемы.
В реферативных базах данных PubMed/MEDLINE и Российском индексе научного цитирования (Elibrary.ru) мы провели анализ публикаций, доступных за последние 10 лет и освещающих современные аспекты лучевой диагностики острых травматических повреждений голеностопного сустава; по отдельным позициям рассмотрены основополагающие труды более раннего периода. С целью повышения диагностической значимости, своевременного и эффективного использования различных методов лучевой диагностики мы также предложили алгоритмы лучевого обследования пациентов с острой травмой голеностопного сустава.
Рентгенография
Наиболее доступный метод лучевой диагностики в отделениях неотложной помощи и травматологических пунктах – рентгенография. Она позволяет провести оценку анатомической целостности костных структур при незначительной стоимости и относительно низкой дозе облучения. Как правило, это стартовый этап визуализации при любом остром травматическом повреждении [16, 23, 27].
В течение 30 лет во многих странах для определения показаний к первичному применению рентгенографии при подозрении на перелом применяют Оттавские правила.
По результатам данных метаанализов L. M. Bachmann и соавт. [33], P. Jonckheer и соавт. [9], чувствительность и специфичность Оттавских правил для выявления переломов голеностопного сустава колеблются в диапазоне 92–100% и 16–51% соответственно. Кроме того, Оттавские правила считаются надежным инструментом для исключения переломов у детей старше 5 лет с травматическим повреждением голеностопного сустава и среднего отдела стопы (чувствительность 98,5%) [8]. Если показания к рентгенографии при первичном осмотре отсутствуют, I. G. Stiell и соавт. рекомендуют повторное клиническое обследование через несколько дней для достоверного исключения перелома [20].
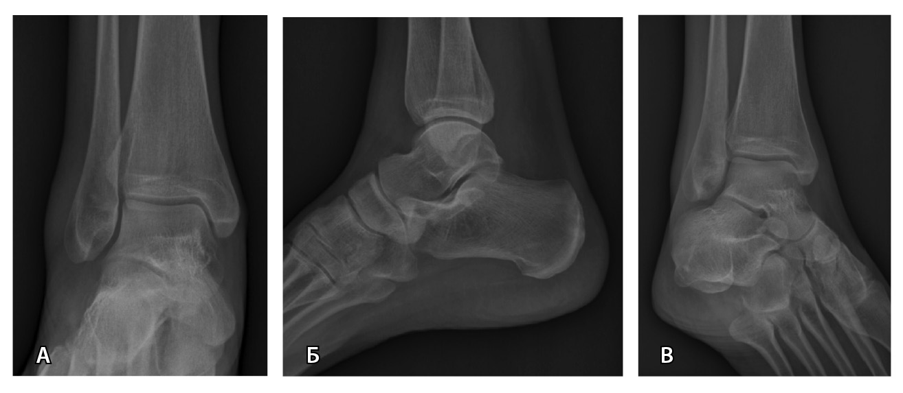
Стандартизированный подход к визуализации помогает снизить количество диагностических ошибок [34]. Стандартный протокол рентгенографии голеностопного сустава представлен в табл. 1 и на рис. 1.
Таблица 1. Стандартный протокол рентгенографии голеностопного сустава
Проекция | Цель выполнения |
Прямая | Обзор соотношения костей в суставе в нейтральном положении стопы, оценка переломов медиальной и латеральной лодыжек, дистальных отделов костей голени, таранной кости. Измерение межлодыжечного угла |
Боковая | Оценка переломов пяточной кости, шейки таранной кости, костей предплюсны, включая основание V плюсневой кости, оценка наличия выпота в полости сустава. Измерение углов Бёлера и Гиссана |
Прямая с внутренней ротацией стопы на 20° | Поиск переломов плафона большеберцовой кости, медиальной и латеральной лодыжек, повреждения купола таранной кости, основания V плюсневой кости. Измерение свободного межберцового пространства, ширины перекрытия берцовых костей |
Рис. 1. Стандартный протокол рентгенографии голеностопного сустава без осевой нагрузки: А – прямая проекция; Б – боковая проекция; В – прямая проекция с внутренней ротацией стопы на 20°. Костно-травматические изменения не определяются, параартикулярные мягкие ткани не изменены
При наличии определенных показаний могут быть выполнены дополнительные проекции голеностопного сустава (табл. 2). Рентгенограммы коленного сустава и проксимального отдела большеберцовой кости необходимы, если во время клинического обследования подозревается перелом Мезоннева (фр. Maisonneuve) [35].
Таблица 2. Дополнительные рентгенографические проекции голеностопного сустава
Проекция | Цель выполнения |
Косая | Оценка переломов костей, образующих сустав Лисфранка, переломов таранной кости, бугорка пяточной кости, кубовидной кости, визуализация тарзального синуса |
Передне-задняя стресс-рентгенография | Оценка вероятного повреждения связочного комплекса |
Аксиальная проекция Харриса – Бита | Оценка переломов пяточной кости |
Тангенциальная проекция Бродена | Оценка переломов костей, образующих подтаранный сустав, отростков таранной, пяточной костей |
Перелом бугристости пятой плюсневой кости связан с инверсионным механизмом травмы голеностопного сустава, поэтому визуализация основания пятой плюсневой кости при выполнении рентгенографии является обязательной в случае подобных травм. В исследовании D. G. Pao и соавт. в 23% случаев по результатам передне-задней рентгенографии голеностопного сустава был обнаружен перелом проксимального отдела V плюсневой кости при отрицательных результатах рентгенографии стопы [36].
Проекция голеностопного сустава с внутренней ротацией стопы на 20º (англ. mortise view) позволяет хорошо визуализировать «вилку» голеностопного сустава и измерить величину свободного межберцового пространства (СМП) на предмет повреждения дистального межберцового синдесмоза [37–39], при этом переломы с СМП ≥ 5 мм следует считать нестабильными [39, 40]. В работе C. van Leeuwen и соавт. значение СМП ≥ 5 мм по данным стресс-рентгенографии обладает чувствительностью и специфичностью 100 и 72,2% соответственно в диагностике нестабильности голеностопного сустава, а при СМП ≥ 6 мм специфичность метода возрастает до 91,7% [41].
Помимо костных структур при рентгенографии оценивают мягкие ткани: отек параартикулярных тканей в проекции лодыжек может косвенно указывать на травматическое повреждение близлежащих структур. Боковая рентгенограмма полезна в оценке избыточного внутрисуставного выпота: по мере расширения передних отделов капсулы появляется каплевидной формы затенение, обусловленное жидкостью (так называемый симптом слезы от англ. “tear drop sign”), которая смещает и деформирует предтаранную жировую подушку. В редких случаях можно увидеть липогемартроз, косвенно свидетельствующий о внутрисуставном переломе [34]. Отек жирового тела Кагера, его нечеткие контуры или искаженная форма указывают на необходимость более тщательного поиска повреждения костей или мягких тканей, в частности повреждения ахиллова сухожилия [23, 42].
Компьютерная томография
КТ представляет собой рентгеновский метод диагностики с получением тонких срезов и возможностью построения многоплоскостных реконструкций. За счет этого метод не имеет такого недостатка, как суммационное наложение теней, свойственное рентгенографии. Это важно для предоперационной оценки внутрисуставных многооскольчатых переломов в условиях высокоэнергетической политравмы [23, 24, 43]. Кроме того, болевой синдром и вынужденное положение пациента с острой травмой могут усложнить правильность выполнения рентгенологической укладки, что затрудняет интерпретацию и может привести к искаженным результатам [11]. В отличие от рентгенографии, при КТ положение голеностопного сустава и стопы не играет существенной роли в диагностике переломов в связи с возможностями мультипланарной реконструкции, а при помощи постпроцессинговой обработки возможны более точные угловые измерения [18, 19].
КТ – метод выбора при высокоэнергетической травме конечностей в предоперационном периоде (переломы пилона, многооскольчатые переломы костей стопы), так как позволяет с максимальной точностью по сравнению с другими методами лучевой диагностики определить количество, положение, характер расхождения, угловое и многоплоскостное смещение костных фрагментов, уточнить тип перелома и распространение линий перелома на суставные поверхности и область тарзального синуса [19, 23, 44]. При многооскольчатых переломах пяточной кости оценивают сохранность опоры таранной кости, так как через нее зачастую проводят металлоконструкции при репозиции костных отломков, измеряют передне-задний размер пяточной кости, ее вальгусное или варусное отклонение [23].
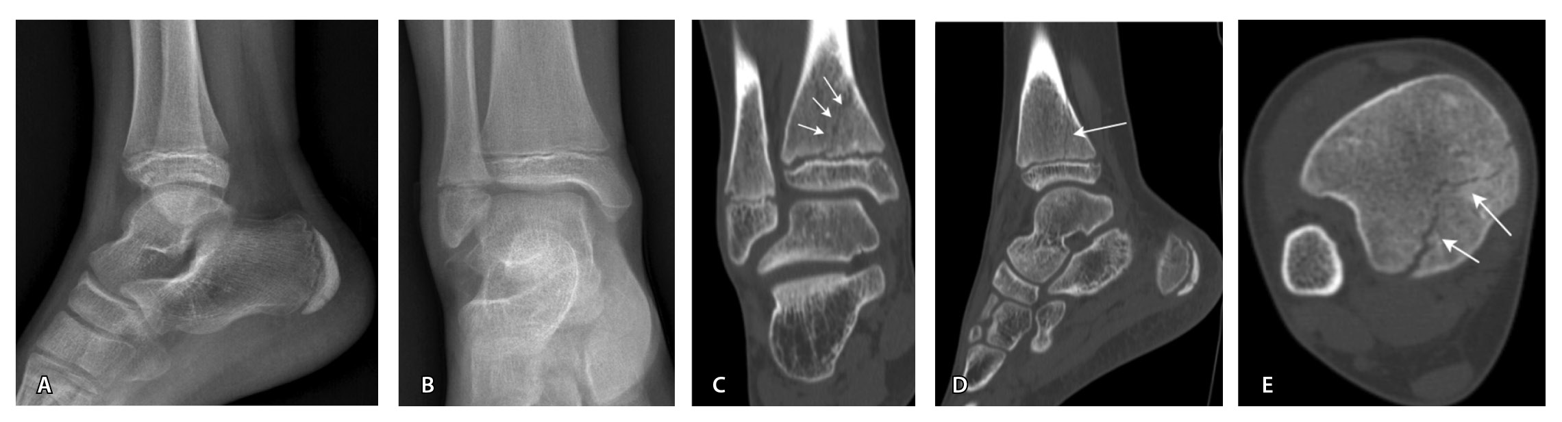
Переломы без смещения фрагментов, а также краевые и авульсионные переломы не всегда четко визуализируются на рентгенограммах из-за суперпозиции теней, наличия фиксирующих шин и гипсовых повязок, которые накладываются на зону интереса. При клинических признаках перелома и рентгеннегативной картине у таких пациентов КТ имеет большую диагностическую значимость (рис. 2).
Рис. 2. Рентгеннегативный перелом дистального метадиафиза большеберцовой кости 2-го типа по Солтеру – Харрису (стрелки) у мальчика 11 лет: А, Б – рентгенография; В – компьютерная томография (КТ), корональная плоскость; Г – КТ, сагиттальная плоскость; Д – КТ, аксиальная плоскость
При переломах заднего края дистальной суставной поверхности большеберцовой кости («задней лодыжки») рентгенологическое исследование не всегда достаточно точно позволяет оценить наличие и размеры костных фрагментов, что зачастую обусловлено анатомической особенностью большеберцовой кости [18, 19]. Так, P.A. Bouche и соавт. выявляли переломы «задней лодыжки» в 1,5 раза чаще при помощи КТ (88,3%) в сравнении с рентгенографией (58,3%) [45].
Переломы таранной кости, в том числе с распространением линии перелома на подтаранный сустав, трудно обнаружить на рентгенограммах, однако КТ может помочь в их диагностике. M. Avci и соавт. выявили 30% чувствительность и 98% специфичность рентгенографии при переломах таранной кости [44]. J.D. Dale и соавт. установили, что рентгенография имеет более низкую чувствительность (78%) для обнаружения и локализации переломов таранной кости по сравнению с КТ (99%) [46]. Следует оценивать распространение линии перелома и ее близость к медиальной поверхности пяточной кости. Вовлечение пазухи предплюсны увеличивает риск развития остеонекроза и нестабильности в подтаранном суставе [23].
Одновременное исследование двух конечностей при помощи КТ и использование мультипланарной реконструкции позволяют более подробно оценить СМП, что, несомненно, превосходит метод рентгенографии в обнаружении повреждений дистального межберцового синдесмоза [47]. В исследовании R. Paredes-Vázquez и соавт. диастаз межберцового синдесмоза в 82,3% случаев был подтвержден методом КТ и в 64,8% – методом рентгенографии [48]. В метаанализе D. I. Chun и соавт. рассчитаны показатели чувствительности и специфичности КТ в диагностике острой травмы синдесмоза независимо от сопутствующего перелома – до 73,9 и 62,1% соответственно [49].
Недавние результаты исследования T. Szymański и U. Zdanowicz показали, что около 40% повреждений могут быть упущены по данным рентгенографии независимо от опыта врача-рентгенолога, что приводит к выбору неверной тактики лечения и реабилитации [50]. В исследованиях E.M. Black и соавт. [18], A. Kumar и соавт. [19] в 23–24% случаев тактика лечения была изменена после выполнения КТ голеностопного сустава.
Несмотря на то что МРТ – признанный стандарт диагностики остеохондрального повреждения, КТ также может применяться для определения кортикального повреждения, наличия свободных внутрисуставных костных тел. Кроме того, свободное костно-хрящевое тело маленьких размеров с внутрисуставным смещением не всегда удается визуализировать при МРТ [11, 23, 24, 32]. В проспективном исследовании R.A. Verhagen и соавт. чувствительность и специфичность КТ в диагностике остеохондрального повреждения таранной кости составила 81 и 99% соответственно (МРТ – 96% в обоих случаях) [32].
Следует отметить, что при острой травме нет необходимости в применении контрастного усиления, так как переломы костей и повреждение мягких тканей, наличие жидкостных коллекторов могут быть выявлены при нативном КТ-исследовании [24].
КТ отлично подходит для послеоперационной оценки репозиции и внутренней фиксации при переломах. Этот метод визуализации позволяет более точно оценить внутрисуставную миграцию винтов, что может стать причиной послеоперационного болевого синдрома. Кроме того, с помощью КТ можно выявить костную мозоль в ранние сроки ее формирования, тогда как на рентгенограмме она становится видна спустя 6–8 недель после травмы. Тем не менее КТ в послеоперационном периоде применяется только при определенных клинических показаниях и не должна выполняться повсеместно [51].
Магнитно-резонансная томография
Современные возможности МРТ позволяют получить изображения с высоким разрешением для визуализации и костных структур, и мягких тканей в процессе одного исследования. Благодаря высокому разрешению можно хорошо визуализировать костную ткань, оценить характеристики переломов, в том числе направление смещения отломков, детально определить суставной хрящ на наличие дефектов при внутрисуставном распространении линии перелома или остеохондральном повреждении. По локализации отека костного мозга также можно предположить механизм произошедшего повреждения при непрямой травме голеностопного сустава [15, 24, 26].
МРТ – наиболее подходящий метод визуализации остеохондрального повреждения купола таранной кости с чувствительностью и специфичностью 96% [52]. В исследованиях M. Haubro и соавт. [53], M. P. Wilson и соавт. [28] МРТ квалифицирована как золотой стандарт диагностики скрытых переломов по сравнению с КТ и рентгенографией. Протокол, состоящий из корональных T1-взвешенных изображений и STIR, обладает 100% чувствительностью в выявлении рентгеннегативных переломов (рис. 3) [28].
МРТ – первоначальный метод диагностики при подозрении на стрессовые переломы, так как ранним признаком таких переломов служит отек костного мозга пораженной кости, ярко выделяющийся среди остальных неизмененных костей. Отсутствие визуализации костного мозга затрудняет диагностику такого рода повреждений при рентгенографии и КТ (рис. 4). Чувствительность МРТ в выявлении стресс-переломов достигает 99% (95–100%), а специфичность – 97% (88–100%). Несмотря на то что исторически сцинтиграфия была основным методом обнаружения стресс-переломов с почти 100% чувствительностью, в настоящее время выполнение радионуклидного метода не рекомендуется из-за его низкой специфичности и высокой дозы ионизирующего излучения [54].
При острой травме голеностопного сустава в большинстве случаев происходит изолированное повреждение связок, поэтому пациентам с такими повреждениями целесообразно выполнять МРТ, в силу того что она превосходит все методы в диагностике травматического повреждения связок голеностопного сустава. M. Barini и соавт. в недавнем метаанализе установили высокую диагностическую точность МРТ в обнаружении разрыва ПТМС в острый период травмы с чувствительностью 100% и специфичностью 90% [11]. При помощи МРТ возможна диагностика повреждений дистального межберцового синдесмоза наравне с данными артроскопического исследования. В метаанализе D.I. Chun и соавт. чувствительность и специфичность МРТ для диагностики повреждения синдесмоза составили 96 и 87% соответственно [49].
МРТ имеет высокую точность в диагностике повреждений дельтовидной связки: в исследовании J. Crim и L.G. Longenecker по результатам МРТ было выявлено 45 из 54 разрывов поверхностных волокон дельтовидной связки (чувствительность 83,3%), нормальная анатомия связки была отмечена в 31 из 33 случаев (специфичность 93,9%), чувствительность в выявлении глубоких разрывов составила 96,3% (26/27) и специфичность – 97,9% (46/47) [55].
В острый период травмы при помощи МРТ возможна более детальная оценка целости волокон связок на фоне сопутствующего суставного выпота и/или кровоизлияния, что облегчает дифференциальную диагностику разрывов и нормального натяжения. По мнению D. W. Tan и соавт. точность обнаружения разрывов связок выше у пациентов в остром периоде травмы голеностопного сустава (менее 3 месяцев), чем у пациентов с хроническим болевым синдромом: чувствительность метода – 88% в обнаружении полного разрыва ПТМС в острый период травмы и 68% у пациентов с хроническим течением [52].
Важным условием для получения информативных МРТ-изображений является правильная укладка пациента и соблюдение стандарта сканирования: различия в натяжении или слабости связок при подошвенном или тыльном сгибании могут влиять на интерпретацию и приводить к ложноположительным или ложноотрицательным результатам [39, 52]. Магнитно-резонансное исследование выполняется лежа на спине с нейтральным положением голеностопного сустава и стопы. Рекомендации Европейского сообщества мышечно-скелетных рентгенологов 2016 г. (англ. European Society of Musculoskeletal Radiology, ESSR, 2016) по стандартному протоколу сканирования голеностопного сустава и костей предплюсны приведены в табл. 3 и на рис. 5 [56].
Таблица 3. Параметры сканирования голеностопного сустава и костей предплюсны (ESSR, 2016)
Последовательность | FOV, см | Размер матрицы | Толщина среза, мм | Плоскость сканирования |
STIR | 18 | 320 × 228 | 3,0 | SAG |
Т1 | 18 | 320 × 272 | 3,0 | SAG |
FS Int | 16 | 256 × 230 | 3,0 | COR |
Т1 | 16 | 256 × 230 | 3,0 | COR |
PD | 16 | 256 × 218 | 3,0 | AX |
FS Int | 16 | 256 × 218 | 3,0 | AX |
AX – аксиальная, COR – корональная, FOV – поле обзора, FS Int – последовательность с подавлением жира с длинным TR и TE между традиционным PD (например, TE = 10–20) и традиционным T2 (например, TE = 80–100), PD – протонная плотность, SAG – сагиттальная, STIR – инверсия-восстановление спинового эха
Рис. 5. Стандартный протокол магнитно-резонансной томографии голеностопного сустава согласно рекомендациям ESSR (2016): А – COR FS, Б – AX FS, В – COR T1, Г – SAG T1, Д – AX PD, Е – SAG STIR; AX – аксиальная, COR – корональная, FS – жироподавление, PD – протонная плотность, SAG – сагиттальная, STIR – инверсия-восстановление спинового эха
Контрастное усиление при магнитно-резонансном исследовании (внутрисуставное или внутривенное введение контрастного препарата) в период острой травмы не оправдано [24].
МРТ, как правило, не служит показанием для контроля проведенной репозиции костных отломков в связи с наличием артефактов от металлоконструкций, однако считается эталонным методом послеоперационной оценки пластики сухожилий и связок. МРТ у пациентов с металлоконструкциями помогает в выявлении причин болевого синдрома в отсутствие специфических находок по данным рентгенографии или КТ (асептический некроз, остеомиелит, туннельные синдромы и пр.). При наличии металлоконструкции в зоне интереса применяют специализированные протоколы: использование STIR вместо программ со спектральным жироподавлением, получение более малых размеров вокселя, тонких срезов, исключение программ на основе градиентного эха (англ. gradient echo, GRE) из протокола сканирования. Во многих магнитно-резонансных системах установлены готовые протоколы, включающие программы с уже подобранными параметрами для уменьшения артефактов от металла (MAVRIC, SEMAC, WARP). Кроме того, нецелесообразно проводить исследование на аппарате с индукцией магнитного поля 3 Тл из-за усиления артефактов магнитной восприимчивости [26, 57].
Несмотря на описанные преимущества, МРТ имеет ряд ограничений. Кроме того, по сравнению с рентгенографией и КТ это более дорогостоящий метод диагностики. Получение изображений требует более длительного времени, стандартный протокол сканирования длится около 20–30 минут. Выраженный отек и болевой синдром, как правило, не позволяют пациенту сохранять неподвижность конечности в течение всего времени исследования в период острой травмы.
Ультразвуковая диагностика
УЗИ все чаще используется для оценки связочного аппарата и сухожилий опорно-двигательного аппарата вследствие низкой стоимости, быстроты выполнения и доступности. Современные технологии позволяют проводить УЗИ с использованием высокочастотных ультразвуковых датчиков (14–18 МГц) [58]. В ретроспективном исследовании P. B. Delzell и соавт. 98 пациентов с различными заболеваниями голеностопного сустава и стопы, диагностированными на основе клинической картины и рентгенологического исследования, после проведения УЗИ голеностопного сустава при помощи датчиков высокого разрешения (14–18 МГц) диагноз и тактика лечения были изменены у 43% исследуемых. Восемнадцати пациентам была выполнена МРТ либо до, либо после УЗИ, у 12 из них диагноз совпал [59]. Кроме того, методика динамического УЗИ позволяет визуализировать разрывы связок и сухожилий, а возможность цветового доплеровского картирования может дать важную информацию без внутривенного введения контрастного препарата. УЗИ позволяет проводить быстрое сравнение с контралатеральной стороной (из-за высокой распространенности вариантной анатомии сравнение с бессимптомной стороной может помочь в дифференциальной диагностике патологии) [29]. По УЗИ также можно обнаружить рентгеннегативный инородный материал. Однако этот метод имеет ограниченные возможности для оценки костной ткани и глубоких внутрисуставных структур [11, 60].
В метаанализе H. Seok и соавт. чувствительность и специфичность УЗИ в диагностике травм ПТМС составили 99 и 92% соответственно. При анализе подгрупп с полным разрывом связки чувствительность была 96%, с частичным – 90%, специфичность – 82% в обоих случаях. Высокая диагностическая значимость УЗИ была отмечена у пациентов с повреждениями пяточно-малоберцовой связки (суммарная чувствительность 96%, суммарная специфичность 99%) [29]. Повреждения ПТМС, пяточно-малоберцовой связки и задней таранно-малоберцовой связки, диагностированные при помощи УЗИ, коррелируют с результатами МРТ (коэффициент внутриклассовой корреляции 0,875, 0,879 и 0,858 соответственно) [61]. В исследовании I. Rosa и соавт. у 79% пациентов с переломом малоберцовой кости без смещения при помощи УЗИ было обнаружено повреждение дельтовидной связки (чувствительность 100%, специфичность 90%) [62].
По данным N. El-Liethy и H. Kamal чувствительность сонографии в диагностике повреждения ахиллова сухожилия и сухожилия задней большеберцовой мышцы составила 100%, при этом в последующем результаты подтвердились при помощи МРТ. Существует мнение, что с помощью УЗИ удается классифицировать повреждения ахиллова сухожилия (рис. 6) аналогично МРТ в отношении тендинопатии, частичного повреждения и полного разрыва [58].
Рис. 6. Ультразвуковая диагностика голеностопного сустава: А – неполнослойный разрыв ахиллова сухожилия в области мышечно-сухожильного перехода (стрелки); Б – дефект 90% волокон, заполнен геморрагическим содержимым (пунктирные стрелки). Диастаз волокон, гематома
Следует отметить важность УЗИ при артроскопической аспирации суставной жидкости за счет относительно быстрой доступности и возможности точного позиционирования кончика аспирационной иглы в дренируемые области [29].
Таким образом, УЗИ – важный метод лучевой диагностики, который может дополнить клиническую практику. Вместе с тем маловероятно, что сонография полностью заменит вышеописанные методы визуализации при острой травме голеностопного сустава. Ультразвуковой метод в диагностике повреждений связочного аппарата следует рассматривать в тех случаях, когда есть противопоказания к МРТ или отсутствует техническая возможность ее выполнения [31]. Результаты УЗИ во многом зависят от квалификации врача ультразвуковой диагностики, что затрудняет его широкое применение [25, 27, 29, 30].
Алгоритм лучевого обследования при острой травме голеностопного сустава
Результаты проведенного обзора литературы позволили нам предложить алгоритмы диагностического обследования при острой травме голеностопного сустава (рис. 7).
Рис. 7. Алгоритм лучевого обследования при острой травме голеностопного сустава; ДТП – дорожно-транспортное происшествие, КТ – компьютерная томография, МРТ – магнитно-резонансная томография, УЗИ – ультразвуковое исследование
При наличии положительных критериев Оттавских правил обязательный первичный метод лучевой диагностики – рентгенография. Это быстрый, дешевый и технически простой метод лучевого исследования, который позволяет выявить костно-травматические повреждения на первичном этапе медицинской помощи (табл. 4).
Таблица 4. Выбор метода лучевой диагностики при наличии положительных критериев Оттавских правил голеностопного сустава. Первичный метод лучевой диагностики
Метод лучевой диагностики | Клиническое применение |
Рентгенография | Рекомендуется |
УЗИ | Не рекомендуется |
МРТ | Не рекомендуется |
КТ | Не рекомендуется |
КТ с контрастным усилением | Не рекомендуется |
МРТ с контрастным усилением | Не рекомендуется |
КТ – компьютерная томография, МРТ – магнитно-резонансная томография, УЗИ – ультразвуковое исследование
Когда по данным рентгенографии костно-травматических изменений не выявлено, но критерии Оттавских правил положительны, необходимо дообследование с целью исключения рентгеннегативного перелома – с помощью КТ или МРТ (табл. 5).
Таблица 5. Выбор метода лучевой диагностики при наличии положительных критериев Оттавских правил голеностопного сустава. Первичная рентгенография без костно-травматических изменений. Метод дообследования
Метод лучевой диагностики | Клиническое применение |
КТ | Рекомендуется |
МРТ | Рекомендуется |
УЗИ | Не рекомендуется |
КТ с контрастным усилением | Не рекомендуется |
МРТ с контрастным усилением | Не рекомендуется |
КТ – компьютерная томография, МРТ – магнитно-резонансная томография, УЗИ – ультразвуковое исследование
В случае отрицательных критериев Оттавских правил при клиническом подозрении на изолированное повреждение связочного аппарата рекомендуется выполнение МРТ, УЗИ или стресс-рентгенографии (при наличии противопоказаний или в отсутствие технической возможности проведения МРТ) (табл. 6).
Таблица 6. Выбор метода лучевой диагностики при наличии отрицательных критериев Оттавских правил голеностопного сустава. Предполагается изолированное повреждение связочного аппарата. Первичный метод лучевой диагностики
Метод лучевой диагностики | Клиническое применение |
МРТ | Рекомендуется |
УЗИ | Возможное применение |
Стресс-рентгенография | Возможное применение |
КТ с контрастным усилением | Не рекомендуется |
МРТ с контрастным усилением | Не рекомендуется |
КТ – компьютерная томография, МРТ – магнитно-резонансная томография, УЗИ – ультразвуковое исследование
В ситуации, когда есть клиническое подозрение на повреждение синдесмоза и отрицательных либо сомнительных данных за повреждение синдесмоза при стандартном протоколе рентгенографии, следующим этапом должно быть выполнение КТ, МРТ либо стрессовой рентгенографии (табл. 7).
Таблица 7. Выбор метода лучевой диагностики при наличии отрицательных либо сомнительных критериев Оттавских правил голеностопного сустава. Предполагается повреждение дистального межберцового синдесмоза. Метод дообследования
Метод лучевой диагностики | Клиническое применение |
КТ | Рекомендуется |
МРТ | Рекомендуется |
Стресс-рентгенография | Возможное применение |
УЗИ | Не рекомендуется |
КТ с контрастным усилением | Не рекомендуется |
МРТ с контрастным усилением | Не рекомендуется |
КТ – компьютерная томография, МРТ – магнитно-резонансная томография, УЗИ – ультразвуковое исследование
При наличии на рентгенограммах пилонных переломов, а также многооскольчатых переломов таранной, пяточной костей и других костей стопы вследствие высокоэнергетической травмы обязательным методом дообследования для предоперационного планирования признается КТ (табл. 8).
Таблица 8. Выбор метода лучевой диагностики при наличии положительных критериев Оттавских правил голеностопного сустава. Высокоэнергетическая травма. Метод дообследования
Метод лучевой диагностики | Клиническое применение |
КТ | Рекомендуется |
МРТ | Не рекомендуется |
Стресс-рентгенография | Не рекомендуется |
УЗИ | Не рекомендуется |
КТ с контрастным усилением | Не рекомендуется |
МРТ с контрастным усилением | Не рекомендуется |
КТ – компьютерная томография, МРТ – магнитно-резонансная томография, УЗИ – ультразвуковое исследование
При положительных критериях Оттавских правил, в случае когда при рентгенографии определяются переломы лодыжек, переломы без значимого смещения отломков, переломы основания V плюсневой кости или другие авульсионные переломы, дальнейшая лучевая диагностика не требуется (табл. 9).
Таблица 9. Выбор метода лучевой диагностики при наличии положительных критериев Оттавских правил голеностопного сустава. По данным рентгенографии перелом без значимого смещения отломков, в том числе авульсионные переломы. Метод дообследования
Метод лучевой диагностики | Клиническое применение |
КТ | Не рекомендуется |
МРТ | Не рекомендуется |
Стресс-рентгенография | Не рекомендуется |
УЗИ | Не рекомендуется |
КТ с контрастным усилением | Не рекомендуется |
МРТ с контрастным усилением | Не рекомендуется |
КТ – компьютерная томография, МРТ – магнитно-резонансная томография, УЗИ – ультразвуковое исследование
В ситуации, когда пациент с острой травмой голеностопного сустава не соответствует требованиям оценки Оттавских правил и не предполагается повреждение связочного аппарата, в том числе синдесмоза, применение лучевых методов диагностики нецелесообразно.
Заключение
Соблюдение алгоритмов лучевого обследования при острой травме голеностопного сустава позволит своевременно и точно поставить диагноз, не проводить неоправданные и дорогостоящие исследования, снизить лучевую нагрузку. Это имеет решающее значение в выборе адекватной тактики лечения и реабилитации пациента, что в долгосрочной перспективе снизит риск возникновения посттравматических осложнений и улучшит качество жизни пациента.
Дополнительная информация
Финансирование
Работа проведена без привлечения дополнительного финансирования со стороны третьих лиц.
Конфликт интересов
Авторы декларируют отсутствие явных и потенциальных конфликтов интересов, связанных с публикацией настоящей статьи.
Участие авторов
Г.Е. Труфанов – редактирование текста, утверждение финального варианта текста рукописи; В.Ю. Александрович – поиск и анализ литературы, обработка исходного материала, написание текста; И.С. Менькова – поиск и анализ литературы, написание текста, оформление рисунков. Все авторы прочли и одобрили финальную версию статьи перед публикацией, согласны нести ответственность за все аспекты работы и гарантируют, что ими надлежащим образом были рассмотрены и решены вопросы, связанные с точностью и добросовестностью всех частей работы.
About the authors
Gennadii E. Trufanov
Almazov National Medical Research Centre
Email: trufanovge@mail.ru
ORCID iD: 0000-0002-1611-5000
MD, PhD, Professor. Chief Research Fellow, Department of Diagnostic Radiology, Chair of Diagnostic Radiology and Medical Imaging, Institute of Medical Education
Russian Federation, ul. Akkuratova 2, Saint Petersburg, 197341Viktoria Y. Aleksandrovich
Mariinsky City Hospital
Author for correspondence.
Email: va96@bk.ru
ORCID iD: 0000-0002-3806-2456
Roentgenologist, Department of Magnetic Resonance Imaging
Russian Federation, Liteynyy prospekt 56, Saint Petersburg, 191014Irina S. Menkova
Almazov National Medical Research Centre; St. Olga's Pediatric City Hospital
Email: irina.s.menkova@gmail.com
ORCID iD: 0000-0002-4848-4628
MD, PhD, Assistant Professor, Chair of Diagnostic Radiology and Medical Imaging, Institute of Medical Education; Head of Magnetic Resonance Imaging Unit
Russian Federation, ul. Akkuratova 2, Saint Petersburg, 197341; ul. Zemledel'cheskaya 2, Saint Petersburg, 194156References
- Czajka CM, Tran E, Cai AN, DiPreta JA. Ankle sprains and instability. Med Clin North Am. 2014;98(2):313–329. doi: 10.1016/j.mcna.2013.11.003.
- Lambers K, Ootes D, Ring D. Incidence of patients with lower extremity injuries presenting to US emergency departments by anatomic region, disease category, and age. Clin Orthop Relat Res. 2012;470(1):284–290. doi: 10.1007/s11999-011-1982-z.
- Здравоохранение в России: статистический сборник [Интернет]. М.; 2021. 171 с. Доступно на: https://rosstat.gov.ru/storage/mediabank/Zdravoohran-2021.pdf.
- United States Department of Health and Human Services, Centers for Disease Control and Prevention, National Center for Health Statistics. National Hospital Ambulatory Medical Care Survey: 2016 Emergency Department Summary Tables [Internet]. Available from: https://www.cdc.gov/nchs/data/nhamcs/web_tables/2016_ed_web_tables.pdf.
- Kemler E, van de Port I, Valkenberg H, Hoes AW, Backx FJ. Ankle injuries in the Netherlands: Trends over 10-25 years. Scand J Med Sci Sports. 2015;25(3):331–337. doi: 10.1111/sms.12248.
- Bridgman SA, Clement D, Downing A, Walley G, Phair I, Maffulli N. Population based epidemiology of ankle sprains attending accident and emergency units in the West Midlands of England, and a survey of UK practice for severe ankle sprains. Emerg Med J. 2003;20(6):508–510. doi: 10.1136/emj.20.6.508.
- Halabchi F, Hassabi M. Acute ankle sprain in athletes: Clinical aspects and algorithmic approach. World J Orthop. 2020;11(12):534–558. doi: 10.5312/wjo.v11.i12.534.
- Dowling S, Spooner CH, Liang Y, Dryden DM, Friesen C, Klassen TP, Wright RB. Accuracy of Ottawa Ankle Rules to exclude fractures of the ankle and midfoot in children: a meta-analysis. Acad Emerg Med. 2009;16(4):277–287. doi: 10.1111/j.1553-2712.2008.00333.x.
- Jonckheer P, Willems T, De Ridder R, Paulus D, Holdt Henningsen K, San Miguel L, De Sutter A, Roosen P. Evaluating fracture risk in acute ankle sprains: Any news since the Ottawa Ankle Rules? A systematic review. Eur J Gen Pract. 2016;22(1):31–41. doi: 10.3109/13814788.2015.1102881.
- Gaddi D, Mosca A, Piatti M, Munegato D, Catalano M, Di Lorenzo G, Turati M, Zanchi N, Piscitelli D, Chui K, Zatti G, Bigoni M. Acute Ankle Sprain Management: An Umbrella Review of Systematic Reviews. Front Med (Lausanne). 2022;9:868474. doi: 10.3389/fmed.2022.868474.
- Barini M, Zagaria D, Licandro D, Pansini S, Airoldi C, Leigheb M, Carriero A. Magnetic Resonance Accuracy in the Diagnosis of Anterior Talo-Fibular Ligament Acute Injury: A Systematic Review and Meta-Analysis. Diagnostics (Basel). 2021;11(10):1782. doi: 10.3390/diagnostics11101782.
- Al-Mohrej OA, Al-Kenani NS. Chronic ankle instability: Current perspectives. Avicenna J Med. 2016;6(4):103–108. doi: 10.4103/2231-0770.191446.
- Ribbans WJ, Garde A. Tibialis posterior tendon and deltoid and spring ligament injuries in the elite athlete. Foot Ankle Clin. 2013;18(2):255–291. doi: 10.1016/j.fcl.2013.02.006.
- Lötscher P, Lang TH, Zwicky L, Hintermann B, Knupp M. Osteoligamentous injuries of the medial ankle joint. Eur J Trauma Emerg Surg. 2015;41(6):615–621. doi: 10.1007/s00068-015-0548-2.
- Altomare D, Fusco G, Bertolino E, Ranieri R, Sconza C, Lipina M, Kon E, Marcacci M, Bianchini L, Di Matteo B. Evidence-based treatment choices for acute lateral ankle sprain: a comprehensive systematic review. Eur Rev Med Pharmacol Sci. 2022;26(6):1876–1884. doi: 10.26355/eurrev_202203_28333.
- Vuurberg G, Hoorntje A, Wink LM, van der Doelen BFW, van den Bekerom MP, Dekker R, van Dijk CN, Krips R, Loogman MCM, Ridderikhof ML, Smithuis FF, Stufkens SAS, Verhagen EALM, de Bie RA, Kerkhoffs GMMJ. Diagnosis, treatment and prevention of ankle sprains: update of an evidence-based clinical guideline. Br J Sports Med. 2018;52(15):956. doi: 10.1136/bjsports-2017-098106.
- Wang DY, Jiao C, Ao YF, Yu JK, Guo QW, Xie X, Chen LX, Zhao F, Pi YB, Li N, Hu YL, Jiang D. Risk Factors for Osteochondral Lesions and Osteophytes in Chronic Lateral Ankle Instability: A Case Series of 1169 Patients. Orthop J Sports Med. 2020;8(5):2325967120922821. doi: 10.1177/2325967120922821.
- Black EM, Antoci V, Lee JT, Weaver MJ, Johnson AH, Susarla SM, Kwon JY. Role of preoperative computed tomography scans in operative planning for malleolar ankle fractures. Foot Ankle Int. 2013;34(5):697–704. doi: 10.1177/1071100713475355.
- Kumar A, Mishra P, Tandon A, Arora R, Chadha M. Effect of CT on Management Plan in Malleolar Ankle Fractures. Foot Ankle Int. 2018;39(1):59–66. doi: 10.1177/1071100717732746.
- Stiell IG, McKnight RD, Greenberg GH, McDowell I, Nair RC, Wells GA, Johns C, Worthington JR. Implementation of the Ottawa ankle rules. JAMA. 1994;271(11):827–832.
- Strudwick K, McPhee M, Bell A, Martin-Khan M, Russell T. Review article: Best practice management of common ankle and foot injuries in the emergency department (part 2 of the musculoskeletal injuries rapid review series). Emerg Med Australas. 2018;30(2):152–180. doi: 10.1111/1742-6723.12904.
- Lavrador Filho JM, Vogt PH, Coelho ARR, Cho DK, da Silva JLV, Padoani PW. Application of the Ottawa Protocol by Medical Students and Orthopedic Residents on Ankle Sprains at a Trauma Hospital. Rev Bras Ortop (Sao Paulo). 2020;55(5):620–624. doi: 10.1055/s-0040-1702957.
- Trufanov GE, Pchelin IG, Pashnikova IS. [Diagnostic imaging of ankle joint and foot injuries (Radiation diagnostician's notes)]. 3rd ed. Saint Petersburg: ELBI-SPb; 2021. 368 p. Russian.
- American College of Radiology. ACR Appropriateness Criteria “Acute Trauma to the Ankle” [Internet]. 27 Mar 2020. Available from: https://acsearch.acr.org/docs/69436/Narrative/.
- Allen GM, Wilson DJ, Bullock SA, Watson M. Extremity CT and ultrasound in the assessment of ankle injuries: occult fractures and ligament injuries. Br J Radiol. 2020;93(1105):20180989. doi: 10.1259/bjr.20180989.
- Sofka CM. Technical Considerations: Best Practices for MR Imaging of the Foot and Ankle. Magn Reson Imaging Clin N Am. 2017;25(1):1–10. doi: 10.1016/j.mric.2016.08.001.
- Polzer H, Kanz KG, Prall WC, Haasters F, Ockert B, Mutschler W, Grote S. Diagnosis and treatment of acute ankle injuries: development of an evidence-based algorithm. Orthop Rev (Pavia). 2012;4(1):e5. doi: 10.4081/or.2012.e5.
- Wilson MP, Nobbee D, Murad MH, Dhillon S, McInnes MDF, Katlariwala P, Low G. Diagnostic Accuracy of Limited MRI Protocols for Detecting Radiographically Occult Hip Fractures: A Systematic Review and Meta-Analysis. AJR Am J Roentgenol. 2020;215(3):559–567. doi: 10.2214/AJR.19.22676.
- Seok H, Lee SH, Yun SJ. Diagnostic performance of ankle ultrasound for diagnosing anterior talofibular and calcaneofibular ligament injuries: a meta-analysis. Acta Radiol. 2020;61(5):651–661. doi: 10.1177/0284185119873119.
- Lee SH, Yun SJ. Ankle ultrasound for detecting anterior talofibular ligament tear using operative finding as reference standard: a systematic review and meta-analysis. Eur J Trauma Emerg Surg. 2020;46(1):73–81. doi: 10.1007/s00068-019-01169-3.
- Esmailian M, Ataie M, Ahmadi O, Rastegar S, Adibi A. Sensitivity and specificity of ultrasound in the diagnosis of traumatic ankle injury. J Res Med Sci. 2021;26:14. doi: 10.4103/jrms.JRMS_264_20.
- Verhagen RA, Maas M, Dijkgraaf MG, Tol JL, Krips R, van Dijk CN. Prospective study on diagnostic strategies in osteochondral lesions of the talus. Is MRI superior to helical CT? J Bone Joint Surg Br. 2005;87(1):41–46.
- Bachmann LM, Kolb E, Koller MT, Steurer J, ter Riet G. Accuracy of Ottawa ankle rules to exclude fractures of the ankle and mid-foot: systematic review. BMJ. 2003;326(7386):417. doi: 10.1136/bmj.326.7386.417.
- Weierich K, Minor M, Bui-Mansfield LT. Systematic Approach to the Radiographic Interpretation of the Ankle and Foot Using a Checklist Approach to Avoid Common Diagnostic Errors. Contemporary Diagnostic Radiology. 2020;43(19):1–7.
- Lampridis V, Gougoulias N, Sakellariou A. Stability in ankle fractures: Diagnosis and treatment. EFORT Open Rev. 2018;3(5):294–303. doi: 10.1302/2058-5241.3.170057.
- Pao DG, Keats TE, Dussault RG. Avulsion fracture of the base of the fifth metatarsal not seen on conventional radiography of the foot: the need for an additional projection. AJR Am J Roentgenol. 2000;175(2):549–552. doi: 10.2214/ajr.175.2.1750549.
- Schottel PC, Fabricant PD, Berkes MB, Garner MR, Little MT, Hentel KD, Mintz DN, Helfet DL, Lorich DG. Manual Stress Ankle Radiography Has Poor Ability to Predict Deep Deltoid Ligament Integrity in a Supination External Rotation Fracture Cohort. J Foot Ankle Surg. 2015;54(4):531–535. doi: 10.1053/j.jfas.2014.07.007.
- Lau BC, Allahabadi S, Palanca A, Oji DE. Understanding Radiographic Measurements Used in Foot and Ankle Surgery. J Am Acad Orthop Surg. 2022;30(2):e139–e154. doi: 10.5435/JAAOS-D-20-00189.
- Ng N, Onggo JR, Nambiar M, Maingard JT, Ng D, Gupta G, Nandurkar D, Babazadeh S, Bedi H. Which test is the best? An updated literature review of imaging modalities for acute ankle diastasis injuries. J Med Radiat Sci. 2022;69(3):382–393. doi: 10.1002/jmrs.589.
- Gibson PD, Ippolito JA, Hwang JS, Didesch J, Koury KL, Reilly MC, Adams M, Sirkin M. Physiologic widening of the medial clear space: What's normal? J Clin Orthop Trauma. 2019;10(Suppl 1):S62–S64. doi: 10.1016/j.jcot.2019.04.016.
- van Leeuwen C, Haak T, Kop M, Weil N, Zijta F, Hoogendoorn J. The additional value of gravity stress radiographs in predicting deep deltoid ligament integrity in supination external rotation ankle fractures. Eur J Trauma Emerg Surg. 2019;45(4):727–735. doi: 10.1007/s00068-018-0923-x.
- Park SH, Lee HS, Young KW, Seo SG. Treatment of Acute Achilles Tendon Rupture. Clin Orthop Surg. 2020;12(1):1–8. doi: 10.4055/cios.2020.12.1.1.
- Schwartz AM, Runge WO, Hsu AR, Bariteau JT. Fractures of the Talus: Current Concepts. Foot Ankle Orthop. 2020;5(1):2473011419900766. doi: 10.1177/2473011419900766.
- Avci M, Kozaci N, Yuksel S, Etli I, Yilmaz Y. Comparison of radiography and computed tomography in emergency department evaluation of ankle trauma. Annals of Medical Research. 2019;26(5):867–872. doi: 10.5455/annalsmedres.2019.01.050.
- Bouche PA, Gaujac N, Corsia S, Leclerc P, Anract P, Auberger G. Ankle CT scan allows better management of posterior malleolus fractures than X-rays. Eur J Orthop Surg Traumatol. 2022;32(7):1301–1309. doi: 10.1007/s00590-021-03104-y.
- Dale JD, Ha AS, Chew FS. Update on talar fracture patterns: a large level I trauma center study. AJR Am J Roentgenol. 2013;201(5):1087–1092. doi: 10.2214/AJR.12.9918.
- Krähenbühl N, Weinberg MW, Davidson NP, Mills MK, Hintermann B, Saltzman CL, Barg A. Imaging in syndesmotic injury: a systematic literature review. Skeletal Radiol. 2018;47(5):631–648. doi: 10.1007/s00256-017-2823-2.
- Paredes-Vázquez R, Sesma-Villalpando RA, Herrera-Tenorio G, Romero-Ogawa T. Evaluación por tomografía computarizada de diastasis de la sindesmosis en fracturas de tobillo tipo B y C de AO/OTA [CT scan evaluation of the syndesmotic diastasis in AO/OTA B and C ankle fractures]. Acta Ortop Mex. 2011;25(1):32–38. Spanish.
- Chun DI, Cho JH, Min TH, Park SY, Kim KH, Kim JH, Won SH. Diagnostic Accuracy of Radiologic Methods for Ankle Syndesmosis Injury: A Systematic Review and Meta-Analysis. J Clin Med. 2019;8(7):968. doi: 10.3390/jcm8070968.
- Szymański T, Zdanowicz U. Comparison of routine computed tomography and plain X-ray imaging for malleolar fractures – How much do we miss? Foot Ankle Surg. 2022;28(2):263–268. doi: 10.1016/j.fas.2021.03.025.
- Anazor F, Sibanda V, Abubakar A, Dhinsa BS. Computed Tomography Scan Architectural Measurements in Adult Foot and Ankle Surgery: A Narrative Review for Orthopaedic Trainees. Cureus. 2022;14(11):e32039. doi: 10.7759/cureus.32039.
- Tan DW, Teh DJW, Chee YH. Accuracy of magnetic resonance imaging in diagnosing lateral ankle ligament injuries: A comparative study with surgical findings and timings of scans. Asia Pac J Sports Med Arthrosc Rehabil Technol. 2016;7:15–20. doi: 10.1016/j.asmart.2016.09.003.
- Haubro M, Stougaard C, Torfing T, Overgaard S. Sensitivity and specificity of CT- and MRI-scanning in evaluation of occult fracture of the proximal femur. Injury. 2015;46(8):1557–1561. doi: 10.1016/j.injury.2015.05.006.
- Wright AA, Hegedus EJ, Lenchik L, Kuhn KJ, Santiago L, Smoliga JM. Diagnostic Accuracy of Various Imaging Modalities for Suspected Lower Extremity Stress Fractures: A Systematic Review With Evidence-Based Recommendations for Clinical Practice. Am J Sports Med. 2016;44(1):255–263. doi: 10.1177/0363546515574066.
- Crim J, Longenecker LG. MRI and surgical findings in deltoid ligament tears. AJR Am J Roentgenol. 2015;204(1):W63–69. doi: 10.2214/AJR.13.11702.
- European Society of Skeletal Radiology Sports Sub-committee. Guidelines for MR Imaging of Sports Injuries [Internet]. 2016. Available from: https://essr.org/content-essr/uploads/2016/10/ESSR-MRI-Protocols-Ankle.pdf.
- Jesse MK, Hunt KJ, Strickland C. Postoperative Imaging of the Ankle. AJR Am J Roentgenol. 2018;211(3):496–505. doi: 10.2214/AJR.18.19600.
- El-Liethy N, Kamal H. High resolution ultrasonography and magnetic resonance imaging in the evaluation of tendino-ligamentous injuries around ankle joint. The Egyptian Journal of Radiology and Nuclear Medicine. 2016;47(2):543–555. doi: 10.1016/j.ejrnm.2016.02.009.
- Delzell PB, Tritle BA, Bullen JA, Chiunda S, Forney MC. Clinical Utility of High-Frequency Musculoskeletal Ultrasonography in Foot and Ankle Pathology: How Ultrasound Imaging Influences Diagnosis and Management. J Foot Ankle Surg. 2017;56(4):735–739. doi: 10.1053/j.jfas.2017.01.052.
- Singh K, Thukral CL, Gupta K, Singh A. Comparison of high resolution ultrasonography with clinical findings in patients with ankle pain. J Ultrason. 2018;18(75):316–324. doi: 10.15557/JoU.2018.0046.
- Ergün T, Peker A, Aybay MN, Turan K, Muratoğlu OG, Çabuk H. Ultrasonography vıew for acute ankle ınjury: comparison of ultrasonography and magnetic resonance ımaging. Arch Orthop Trauma Surg. 2023;143(3):1531–1536. doi: 10.1007/s00402-022-04553-8.
- Rosa I, Rodeia J, Fernandes PX, Teixeira R, Saldanha T, Consciência JG. Ultrasonographic Assessment of Deltoid Ligament Integrity in Ankle Fractures. Foot Ankle Int. 2020;41(2):147–153. doi: 10.1177/1071100719882679.
Supplementary files















