Иммунофенотипическая характеристика экспрессии IL-6 в коре головного мозга стареющих крыс при сахарном диабете и его фармакологической коррекции
- Авторы: Смирнов А.В.1, Джукеева А.И.1, Экова М.Р.1, Пустынников В.Э.1, Бакулин Д.А.1, Болохов Н.С.1, Похлебин А.А.1, Тюренков И.Н.1
-
Учреждения:
- Волгоградский государственный медицинский университет
- Выпуск: Том 22, № 2 (2025)
- Страницы: 159-164
- Раздел: Оригинальные исследования
- URL: https://ogarev-online.ru/1994-9480/article/view/310149
- DOI: https://doi.org/10.19163/1994-9480-2025-22-2-159-164
- ID: 310149
Цитировать
Полный текст
Аннотация
Исследование посвящено изучению уровня и локализации экспрессии интерлейкина-6 (IL-6) в коре головного мозга, у которых в возрасте 12 мес. был смоделирован сахарный диабет 1-го типа (СД1) и в 18 мес. в течение 4 недель вводились ГАМК (аминалон) и сукцикард (композиция фенотропила с янтарной кислотой). Методом иммуногистохимического анализа выявлено, что экспрессия IL-6 в моторной и ретроспленальной коре у крыс с СД1 по сравнению с интактными животными была выше. У животных с СД1, которым вводили исследуемые соединения (сукцикард и аминалон), экспрессия IL-6 была меньше, что может быть обусловлено их влиянием на процессы нейровоспаления и выраженность диабетической энцефалопатии. Цель исследования. Охарактеризовать экспрессию IL-6 в коре головного мозга крыс 19-месячного возраста с диабетической энцефалопатией, получающих в течение 4 недель аминалон и сукцикард.
Ключевые слова
Полный текст
Сахарный диабет (СД) представляет собой нарастающую глобальную эпидемию XXI века, ставшую серьезной угрозой для здравоохранения, требующую большого внимания и инновационных решений в области разработки лекарственных препаратов. В России официально зарегистрировано более 5 млн человек с данным заболеванием, но эпидемиологические исследования показывают, что реальное число больных в 2 раза больше. Разработка эффективных методов лечения СД является одной из наиболее важных и сложных задач современной медицины [1].
Одним из наиболее распространенных нарушений функции головного мозга при СД является диабетическая энцефалопатия. У пациентов, страдающих СД, был обнаружен повышенный уровень интерлейкина-6 (IL-6), что подтверждает связь между воспалением и СД в данной группе больных [2].
Интерлейкин-6 обладает разнонаправленным действием: с одной стороны, является важным провоспалительным цитокином, с другой – участвует в дифференцировке олигодендроцитов и в восстановлении периферических нервов, действуя в качестве нейротрофического фактора. Это разнообразие эффектов IL-6 связано с особенностями его взаимодействия с рецепторами [3].
Рецептор IL-6 представляет собой высокоорганизованный сигнальный комплекс, состоящий из двух ключевых субъединиц. Первая – это α-цепь (IL-6R), обладающая способностью специфически взаимодействовать с молекулой IL-6 и обеспечивающая ее первичное распознавание. Вторая – трансмембранный гликопротеин gp130, выполняющий функцию универсального сигнального медиатора, транслирующего активационные сигналы внутрь клетки. Активация IL-6-зависимого сигнального пути может реализовываться, как минимум, двумя механизмами, из которых классический путь включает взаимодействие IL-6 с мембранно-связанной формой IL-6R, что инициирует последующий внутриклеточный каскад трансдукции сигнала [4]. Важным звеном инициации воспалительного процесса является активация ядерного транскрипционного фактора NF-κB, регулирующего экспрессию генов, ответственных за экспрессию и продукцию провоспалительных цитокинов и формирующих хроническое воспаление и нейродегенеративные изменения [5].
При классическом пути передачи сигнала от внеклеточного IL-6 через рецептор IL-6R на поверхности нейрона внутрь клетки обеспечивается нейропротекторное действие за счет ускорения синаптической пластичности, активации глутаматэргической передачи. В отношении нейротрансмиссии IL-6 влияет на интенсивность дофаминергической и серотонинергической передач в гиппокампе и фронтальной коре [6].
В то же время существует и другой механизм, называемый транс-сигнализацией. Он заключается в том, что растворимый вариант IL-6R (sIL-6R) может связываться с IL-6 во внеклеточном пространстве. Это взаимодействие приводит к образованию комплекса IL-6/sIL-6R, который затем активирует gp130, инициируя тем самым сигнальные пути в клетках [4]. Экспериментальные исследования показывают, что в патогенезе хронических воспалительных заболеваний ключевую роль играет именно транс-сигнализация [7].
В одном из исследований ИГХ анализ показал, что наиболее выраженная экспрессия IL-6 и IL-6R была обнаружена в поврежденных нейронах, когда gp130 был диффузно выражен почти во всех типах клеток. Большинство деформированных клеток IL-6/IL-6R+ были помечены нейрональными, а не астроцитарными маркерами, что указывает на нейрональную линию [8].
ГАМК-ергическая система рассматривается как перспективная мишень для поиска подходов к профилактике осложнений СД. Гамма-аминомасляная кислота (ГАМК) оказывает ингибирующее влияние на NF-Κb и опосредовано на IL-6 через несколько механизмов. Кроме того, ГАМК усиливает антиоксидантную защиту через транскрипционный фактор Nrf2, который подавляет активацию NF-κB [9].
ЦЕЛЬ РАБОТЫ
Охарактеризовать экспрессию IL-6 в коре головного мозга крыс 19-месячного возраста с диабетической энцефалопатией, получающих в течение 4 недель аминалон и сукцикард.
МЕТОДИКА ИССЛЕДОВАНИЯ
Экспериментальное исследование было выполнено на 30 белых беспородных крысах-самках, достигших 12-месячного возраста на начало эксперимента и 19-месячного возраста на время забора мозга для исследований. Животные содержались в стандартных условиях вивария с естественным 12-часовым циклом дня и ночи при температуре воздуха (20 ± 2) оС, влажности 40–60 %, свободным доступом к воде и пище.
Для изучения отдаленных последствий влияния CД 1-го типа (СД1) на кору головного мозга, моделирование СД1 проводили в течение 6 мес (до 18 меся). Было произведено однократное введение растворенного в цитратном буфере (0,1 М, рН 4,5) стрептозотоцина (Sigma, США) в дозе 60 мг/кг после 48-часовой пищевой депривации внутрибрюшинно. В исследование были включены животные с уровнем тощаковой (отсутствие корма в течение 4 ч до измерения) гликемии ≥15,0 ммоль/л. Контроль гликемии был произведен через 3 дня и 6 мес. (на момент 18 мес.) после инъекции стрептозотоцина. Исследуемое производное ГАМК, сукцикард, вводили перорально в течение 30 дней в дозе 50 мг/кг (до 19 мес.). Группе препарата сравнения вводили аминалон (1000 мг/кг). Группе негативного контроля вводили физиологический раствор (крысы с СД без лечения). В качестве позитивного контроля использовали крыс без СД (интактных) того же возраста, той же партии животных. После курсового лечения исследуемыми соединениями у наркотизированных хлоргидратом животных был произведен забор образцов тканей коры головного мозга.
Головной мозг был фиксирован в течение 24 ч в 10%-м растворе нейтрального забуференного формалина (pH 7,4). После чего образцы тканей головного мозга обезвоживали и заливали в парафин по общепринятой гистологической методике. Выявление IL-6 проводили с помощью ИГХ исследования с использованием первичных антител к белку IL-6 в соответствии с инструкциями производителя, (разведение 1 : 50) (Affinity Biosciences, China) и визуализирующей системы LSAB Kit (DAKO, Glostrup, Denmark). Определяли относительную площадь, занимаемую иммунопозитивным материалом в моторной коре, с использованием программы ZEN 1.1.2.0 (Carl Zeiss Microscopy GmbH, Germany). Гистологические срезы фотографировали цифровой камерой AxioCam 305 color (Carl Zeiss Microscopy GmbH, Германия) на базе микроскопа AxioImager A2 (Carl Zeiss Microscopy GmbH, Германия) с использованием объективов ×20, ×40.
Статистическую обработку полученных результатов проводили методами описательной и аналитической статистики с применением программного обеспечения Prism 6 (GraphPad Software Inc., США). Для каждого показателя определяли значения медианы (Ме) и интерквартильного диапазона (IQR).
Результаты представлены в виде Me (LQ; UQ), где Me – медиана, LQ – значение нижнего квартиля; UQ – значение верхнего квартиля. Распределение количественных показателей оценивали с использованием критерия Шапиро – Уилка. Межгрупповые различия оценивали с помощью критерия Краскела – Уоллиса и апостериорного критерия Данна. Различия признавали значимыми при p < 0,05.
РЕЗУЛЬТАТЫ ИССЛЕДОВАНИЯ И ИХ ОБСУЖДЕНИЕ
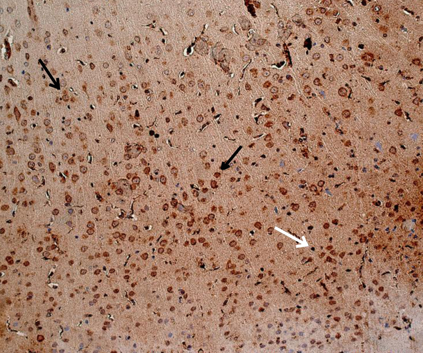
При оценке результатов ИГХ исследования коры 19-месячных крыс без СД (интактных) была выявлена слабая равномерная экспрессия ИРМ IL-6 во всех слоях первичной и вторичной соматосенсорных областях коры головного мозга. В моторной, а также ретроспленальной коре была обнаружена цитоплазматическая экспрессия IL-6 в перикарионах нейронов от слабой до умеренной степени. У отдельных животных отмечалось наличие умеренной экспрессии IL-6 в базальных отделах коры. Преимущественно экспрессия ИРМ IL-6 определялась в цитоплазме неповрежденных нейронов, реже в нейропиле. В группе животных с экспериментальным СД1 без лечения наблюдалось увеличение выраженности экспрессии ИРМ IL-6 от умеренной до выраженной степени в сравнении с группой 19-месячных животных без СД. Характер экспрессии схож с характером экспрессии у 19-месячных животных без СД. Цитоплазматическая экспрессия ИРМ IL-6 также наблюдалась в моторной и ретроспленальной коре, локализация ИРМ IL-6 определялась в перикарионах нейронах пирамидного, внутреннего зернистого, ганглиозного слоев и в микроглии. В группах фармакокоррекции сукцикардом и аминалоном в сравнении с группой животных с СД1 без лечения наблюдалось снижение выраженности экспрессии во всех областях коры головного мозга, а в базальных отделах вплоть до исчезновения ИРМ IL-6 (рис. 1–4).
Рис. 1. Интактное животное – цитоплазматическая экспрессия ИРМ от слабой до умеренной степени. Иммуногистохимическое исследование, антитела против IL-6. Увеличение ×200. Черные стрелки – экспрессия в неповрежденных нейронах. Белые стрелки – экспрессия в нейропиле
Рис. 2. Животное с СД1 без лечения (физраствор) – выраженная экспрессия ИРМ IL-6. Иммуногистохимическое исследование, антитела против IL-6. Увеличение ×200. Черные стрелки – экспрессия в неповрежденных нейронах. Белые стрелки – экспрессия в нейропиле
Рис. 3. Животное с СД1 (лечение – аминалон) – от слабой до умеренной экспрессия ИРМ IL-6. Иммуногистохимическое исследование, антитела против IL-6. Увеличение ×200. Черные стрелки – экспрессия в неповрежденных нейронах. Белые стрелки – экспрессия в нейропиле
Рис. 4. Животное с СД1 (лечение – сукцикард) – от слабой до умеренной экспрессия ИРМ IL-6. Иммуногистохимическое исследование, антитела против IL-6. Увеличение ×200. Черные стрелки – экспрессия в неповрежденных нейронах. Белые стрелки – экспрессия в нейропиле
У интактных крыс относительная площадь ИРМ IL-6 в моторной коре составила 3,24 % (1,18–6,67), в группе СД1 – 10,43 % (5,71–13,66), что продемонстрировало достоверное повышение относительной площади ИРМ IL-6 на 7,19 % в группе СД1 (p < 0,001). В группе фармакокоррекции аминалоном относительная площадь ИРМ составила 6,51 % (4–11,5) что достоверно ниже значений площади ИРМ IL-6 в группе СД1 на 3,91 % (p < 0,001). В группе сукцикарда относительная площадь ИРМ IL-6 составила 4,43 % (2,41–8,88), что достоверно ниже значений площади ИРМ IL-6 в группе СД1 на 6 % (p < 0,001).
В ретроспленальной коре у интактных крыс относительная площадь ИРМ IL-6 составила 16,6 % (14,3–20). В группе СД1 – 23,9 % (21,1–27,4), что было достоверно выше, чем у интактных животных на 6,51 % (p < 0,001). В группе аминалона – 19,1 % (17,8–21,9) и в группе сукцикарда – 20,6 % (20,4–24,5), что демонстрирует снижение экспрессии IL-6, на 4,15 % (p < 0,001) и 2,65 % (p < 0,001) соответственно, при введении исследуемых соединений животным с сахарным диабетом.
В группах фармакокоррекции аминалоном и сукцикардом мы наблюдали уменьшение выраженности экспрессии IL-6, а в базальных отделах коры, вплоть до исчезновения. Преимущественная локализация ИРМ IL-6 так же, как и в группе животных без СД, наблюдалась в нейронах (рис. 5, 6).
* Различия между группами СД1 и интакта статистически значимы (Anova-Тест), p < 0,01; # различия между группами СД1, аминалона и сукцикарда статистически значимы (Anova-Тест), p < 0,01.
Рис. 5. Динамика изменения относительной площади IL-6-иммунореактивного материала в моторной коре головного мозга
* Различия между группами СД1 и интакта статистически значимы (Anova-Тест), p < 0,01; # различия между группами СД1, аминалона и сукцикарда статистически значимы (Anova-Тест), p < 0,01.
Рис. 6. Динамика изменения относительной площади IL-6 иммунореактивного материала в ретроспленальной коре головного мозга
Обнаруженное нами увеличение экспрессии ИРМ IL-6 в перикарионах нейронов в группе животных с СД без лечения в моторной и ретроспленальной коре головного мозга свидетельствует о развившемся нейровоспалении.
В головном мозге грызунов при старении определяется повышение экспрессии IL-6 [4], наши данные подтверждают наличие экспрессии IL-6 в перикарионах нейронов и их отростках в группе 19-месячных животных без СД. СД, по-видимому, усугубляет эти возрастные изменения, приводя к повышенной экспрессии IL-6. Наиболее выраженные изменения наблюдались в моторной и ретроспленальной коре во всех исследуемых группах. Для более точного понимания роли IL-6 в данном контексте необходимо дальнейшее изучение путей его передачи сигнала.
Использование аминалона и сукцикарда в качестве фармакологической коррекции приводило к снижению экспрессии IL-6 в перикарионах нейронов моторной и ретроспленальной коры 19-месячных животных с СД по сравнению с группой животных с СД без лечения, что может отражать способность ГАМК и ее производных воздействовать на процессы нейровоспаления.
ЗАКЛЮЧЕНИЕ
Проведенное исследование выявило значительное увеличение экспрессии ИРМ IL-6 преимущественно в перикарионах нейронов пирамидного, внутреннего зернистого, ганглиозного слоев моторной и ретроспленальной коры головного мозга стареющих крыс с экспериментальным СД1, что подтверждает развитие нейровоспаления при длительной гипергликемии. У животных с СД1, получавших аминалон и сукцикард, содержание иммунопозитивного материала при использовании антител против IL-6 было достоверно меньше, чем у животных с СД1 без лечения. Полученные данные свидетельствуют о лечебном патоморфозе экспериментального СД при использовании производных ГАМК, уменьшении признаков нейровоспаления в коре головного мозга и перспективности исследуемых соединений для дальнейшего изучения.
Об авторах
Алексей Владимирович Смирнов
Волгоградский государственный медицинский университет
Email: alexeysmirnov.volggmu@gmail.com
доктор медицинских наук, профессор, заведующий кафедрой патологической анатомии
Россия, ВолгоградАйслу Ильнуровна Джукеева
Волгоградский государственный медицинский университет
Автор, ответственный за переписку.
Email: aandm08@mail.ru
ассистент кафедры патологической анатомии
Россия, ВолгоградМария Рафаэлевна Экова
Волгоградский государственный медицинский университет
Email: maria.ekova@mail.ru
кандидат медицинских наук, доцент кафедры патологической анатомии, научный сотрудник
Россия, ВолгоградВладислав Эдуардович Пустынников
Волгоградский государственный медицинский университет
Email: Pustynnikov.volgmed@gmail.com
ассистент кафедры патологической анатомии
Россия, ВолгоградДмитрий Александрович Бакулин
Волгоградский государственный медицинский университет
Email: mbfdoc@gmail.com
кандидат медицинских наук, старший научный сотрудник лаборатории фармакологии сердечно-сосудистых средств, Научный центр инновационных лекарственных средств с опытно-промышленным производством
Россия, ВолгоградНикита Сергеевич Болохов
Волгоградский государственный медицинский университет
Email: neekit.main@gmail.com
аспирант кафедры организации фармацевтического дела, фармацевтической технологии и биотехнологии
Россия, ВолгоградАлександр Андреевич Похлебин
Волгоградский государственный медицинский университет
Email: spohlebin12340@mail.ru
аспирант кафедры организации фармацевтического дела, фармацевтической технологии и биотехнологии
Россия, ВолгоградИван Николаевич Тюренков
Волгоградский государственный медицинский университет
Email: fibfuv@mail.ru
член-корреспондент Российской академии наук, доктор медицинских наук, профессор, профессор кафедры фармакологии, клинической фармакологии и фармации, Институт непрерывного медицинского и фармацевтического образования
Россия, ВолгоградСписок литературы
- Дедов И.И., Шестакова М.В., Викулова О.К. Эпидемиологические характеристики сахарного диабета в Российской Федерации: клинико-статистический анализ по данным регистра сахарного диабета на 01.01.2021. Сахарный диабет. 2021;24(3):204–221.
- Tylutka A, Walas Ł., Zembron-Lacny A. Level of IL-6, TNF, and IL-1β and age-related diseases: a systematic review and meta-analysis. Frontiers in Immunology. 2024;15. doi: 10.3389/fimmu.2024.1330386.
- Kummer K. K., Zeidler M., Kalpachidou T., Kress M. Role of IL-6 in the regulation of neuronal development, survival and function. Cytokine. 2021;144:155582. doi: 10.1016/j.cyto.2021.155582.
- Kang S., Narazaki M., Metwally H., Kishimoto T. Historical overview of the interleukin-6 family cytokine. The Journal of Experimental Medicine. 2020;217(5):e20190347. doi: 10.1084/jem.20190347.
- Смирнов А. В., Тюренков И. Н., Бисинбекова А.И., Бакулин Д.А. Особенности экспрессии Nf-kb во внутреннем пирамидном слое моторной коры крыс с экспериментальным сахарным диабетом 1-го типа. Вестник Волгоградского государственного медицинского университета. 2024;22(4):130–135. doi: 10.19163/1994-9480-2024-21-4-130-135.
- Roohi E., Jaafari N., Hashemian F. On inflammatory hypothesis of depression: what is the role of IL-6 in the middle of the chaos? Journal of Neuroinflammation. 2021;18(1):45. doi: 10.1186/s12974-021-02100-7.
- Xu S., Deng K.-Q., Lu C., Fu X., Zhu Q., Wan Sh. et al. Interleukin-6 classic and trans-signaling utilize glucose metabolism reprogramming to achieve anti- or pro-inflammatory effects. Metabolism. 2024;155:155832. doi: 10.1016/j.metabol.2024.155832.
- Bobbo V.C., Engel D.F., Jara C.P., Mendes N.F., Haddad-Tovolli R., Prado Th.P. et al. Interleukin-6 actions in the hypothalamus protects against obesity and is involved in the regulation of neurogenesis. Journal of Neuroinflammation. 2021;18(1):192. doi: 10.1186/s12974-021-02242-8.
- Tyurenkov I.N., Bakulin D.A., Velikorodnaya Y.I. et al. Pancreatic β-cell protective effect of novel GABA derivatives in rats with type 2 diabetes. Research Results in Pharmacology. 2023;9(3):59–70.
Дополнительные файлы







