Effect of retinal laser photocoagulation on the risk of choroidal neovascularization in experimental animals
- Authors: Ivanov S.V.1, Khzardzhan Y.Y.1, Smirnov A.V.2, Naumenko L.V.2, Taran A.S.2, Chebanko A.M.2, Balalina M.A.1, Chubarikova V.V.1, Korotkov M.A.1, Solovyova I.V.1
-
Affiliations:
- Eye Microsurgery named after Academician S.N. Fedorov
- Volgograd State Medical University
- Issue: Vol 22, No 1 (2025)
- Pages: 105-109
- Section: Original Researches
- URL: https://ogarev-online.ru/1994-9480/article/view/289307
- DOI: https://doi.org/10.19163/1994-9480-2025-22-1-105-109
- ID: 289307
Cite item
Full Text
Abstract
Studies were performed on 5 mice of the C57Black/C line and nonlinear albino mice. The mice retinas were exposed to laser treatment followed by ophthalmoscopy and pathohistological examination on 14 days of the experiment. After 2 weeks, grade I–IV coagulations were determined ophthalmoscopically. Damage of the retinal pigment epithelium in mice by laser irradiation with a wavelength of 532 nm and doses from 0.05 to 0.37 W/cm2 did not lead to the formation of pathological choroidal neovascularization.
Full Text
Возрастная макулярная дегенерация (ВМД) – одна из основных причин слепоты у людей старше 50 лет, характеризующаяся ростом аномальных хориоидальных сосудов в наружном слое сетчатки, вызывая появление субретинальной жидкости, кровоизлияний и фиброза, что, в конечном итоге, приводит к потере центрального зрения [1].
Возрастная макулярная дегенерация – мультифакториальное заболевание, факторами риска которой являются возраст, курение, окислительный стресс, метаболический синдром и атеросклероз, приводящие к нарушению кровотока в хориоидальных сосудах сетчатки и повышению экспрессии гена VEGF-A. Ранние стадии ВМД связывают с атрофией сосудов и ишемией сетчатки, тогда как поздние стадии характеризуются хориоидальной неоваскуляризацией (ХНВ) сосудов сетчатки [2].
Классически выделяют две формы ВМД – атрофическая, или сухая, возникающая в 80–90 % случаев и проявляющаяся в виде апоптоза пигментного эпителия, сосудов хориоидеи и фоторецепторов, и, экссудативная, или влажная, встречающаяся в 10 % случаев, для которой характерен патологический рост аномальных хориоидальных сосудов в наружном слое сетчатки, прорастающих через мембрану Бруха и вызывающих появление субретинальной жидкости, кровоизлияний и фиброза [3].
Воспроизведение модели хориоидальной неоваскуляризации на животных позволяет проводить фундаментальные исследования с целью разработки новых методов лечения данной патологии. По данным литературы, известен метод создания модели хориоидальной неоваскуляризации у мышей при выполнении последовательной лазерной коагуляции сетчатки [4]. Авторы продемонстрировали возможность создания модели хориоидальной неоваскуляризации с помощью лазера Iridex (США) с длиной волны 532 нм у мышей за счет последовательного повреждения пигментного эпителия сетчатки.
ЦЕЛЬ РАБОТЫ
Анализ результатов влияния энергии лазерного воздействия на риск возникновения хориоидальной неоваскуляризации у мышей.
МЕТОДИКА ИССЛЕДОВАНИЯ
Исследования были проведены на 5 пигментированных половозрелых мышах линии C57Black/C и 5 половозрелых нелинейных мышах-альбиносах весом 20–25 г (ООО «НПК БиоТех», г. Москва), прошедших 2-недельный карантин в виварии НЦИЛС ФГБОУ ВО ВолгГМУ.
Все манипуляции с лабораторными животными и условия их содержания сопровождались соблюдением всех требований лабораторной практики при проведении доклинических исследований в Российской Федерации (Приказ Министерства здравоохранения Российской Федерации от 01.04.2016 № 199н «Об утверждении правил надлежащей лабораторной практики»). Все экспериментальные исследования проводились в соответствии со статьей 11 Федерального закона от 12 апреля 2010 г. № 61-ФЗ «Об обращении лекарственных средств» и согласно Правилам лабораторной практики в Российской Федерации (Приказ Минздрава России от 01.04.2016 № 199н «Об утверждении Правил надлежащей лабораторной практики»). Процедуры с участием лабораторных животных осуществлялись с учетом этических норм обращения с животными, принятыми в Директиве Европейского парламента и Совета Европейского Союза 2010/63/ЕС от 22 сентября 2010 г. «О защите животных, использующихся для научных целей». Экспериментальное исследование одобрено этическим комитетом (справка № 2022/043 от 02.12.2022 года).
Непосредственно перед экспериментом животные наркотизировались путем внутрибрюшинного введения хлоралгидрата в дозе 400 мг/кг. Медикаментозный мидриаз достигался инстилляцией 15 мкл мидримакса (Sentiss Pharma Pvt. Ltd.) на конъюнктиву глаза.
На фоне седации при сохранении температуры тела животного на уровне осветителя ассистентом удерживалась мышь в положении на боку. Предметное стекло с каплей карбомера помещали на роговицу правого глаза и фокусировали световой поток щелевой лампы с лазерной апертурой на пигментный эпителий сетчатки вокруг диска зрительного нерва. Лазерные коагуляты на сетчатке формировали с помощью лазерной установки Iridex OcuLight GL (США). В отличие от человеческого глаза у глаза мыши нет четко выраженной макулы, поэтому лазерное воздействие выполнялось вокруг диска на расстоянии 1 ДД от его края, с получением микровзрыва мембраны Бруха и парагазового пузырька.
Применяли следующие параметры лазерного воздействия: мощность лазерного импульса в диапазоне от 70 до 200 мВт, экспозиция от 0,05 до 0,1 мс и диаметр пятна в диапазоне от 50 до 150 мкм, количество импульсов – от 1 до 4. Дозу лазерного излучения (А) определяли по формуле:
А= Р × T/C,
где Р – энергия излучения (Вт), Т – время экспозиции (с), С – площадь светового пятна луча лазера (см2) = ПD2/4.
На 14-й день эксперимента лабораторные животные подвергались эвтаназии под наркозом (400 мг/кг хлоралгидрата внутрибрюшинно), глазные яблоки были энуклеированы, для фиксации был использован свежеприготовленный модифицированный раствор Давидсона [5].
Далее материал подвергался обезвоживанию в спиртах восходящей крепости и заключался в парафиновую среду Histomix. С помощью микротома были получены срезы толщиной 4–6 мкм, которые далее фиксировали на предметном стекле. Срезы окрашивали гематоксилином и эозин-флоксином по стандартной методике [6]. Изучение и фотофиксация микропрепаратов производилась на микроскопе AxioScope A1, оборудованном цифровой камерой AxioCam MRc5.
РЕЗУЛЬТАТЫ ИССЛЕДОВАНИЯ И ИХ ОБСУЖДЕНИЕ
При первичной офтальмоскопии до начала манипуляций диск зрительного нерва у мышей был бледно-розовым, границы четкие. Сосуды ДЗН дихотомически делились с равным калибром на 2, 4, 8 и 10 часах. Сетчатка была серовато-розового цвета без анатомических ориентиров макулы и отсутствием фовеолярного рефлекса. С помощью лазерного воздействия наносились ожоги на сетчатку по вышеописанной технологии с получением коагулята от серого до интенсивно белого цвета. Через неделю при осмотре визуализировался атрофический с пигментом очажок без офтальмоскопических признаков хориоидальной неоваскуляризации.
Через 2 недели при офтальмоскопии определялись коагуляты I–IV степени по классификации L’Esperance F. Хориоидальная неоваскуляризация (ХНВ) не выявлена ни в одном из случаев.
В табл. представлены значения лазерного воздействия при выполнении коагуляции сетчатки и обнаруженные визуальные изменения в сетчатке во время процедуры и через 2 недели после ее завершения.
По данным патоморфологического исследования сетчатки пигментированных мышей и мышей-альбиносов выявлены признаки отека в слое нервных волокон, перицеллюлярный отек в ганглионарном слое от выраженной степени до умеренно выраженной.
Доза лазерного воздействия и визуальные изменения в сетчатке у мышей во время и через 2 недели после вмешательства
Номер мыши | Параметры лазерного | Доза лазерного излучения, | Изменения | Степень лазерного |
1–3 | Мощность 70 мВт, экспозиция 0,05 мс, | 0,045 | Белое пятно без | 1 |
4 | Энергия лазерного импульса 90 мВт, | 0,092 | Бело-серое пятно без перифокального отека | 2 |
5 | Мощность 100 мВт, экспозиция 0,08 мс, | 0,102 | Бело-серое пятно без перифокального отека | 2 |
6–9 | Мощность 150 мВт, экспозиция 0,1мс, | 0,19 | Белое пятно с | 2 |
10 | Энергия лазерного импульса 90 мВт, | 0,37 | Белое ватообразное пятно | 4 |
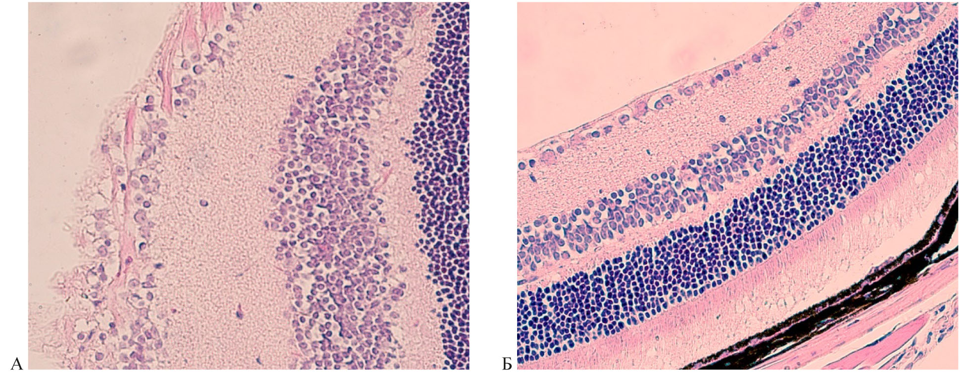
Обнаружены выраженные дистрофические изменения в нейронах ганглионарного слоя в виде набухания перикарионов и появления сморщенных нейронов с пикнотичными ядрами. Кроме того, явления умеренно выраженного перицеллюлярного отека были выявлены во внутреннем ядерном слое, в отдельных случаях – в наружном ядерном слое. В единичных случаях выявлялись аневризматически расширенные капилляры. Во внутреннем ядерном слое были обнаружены дистрофические изменения в перикарионах нейронов.
Во всех случаях были выявлены признаки выраженного или умеренно выраженного отека в слое палочек и колбочек (рис.).
Рис. Гистологическое строение сетчатки глаза мыши на 14-й день после лазерной процедуры. Окраска гематоксилин-эозином. Общее увеличение ×400
Таким образом, через 2 недели при офтальмоскопии определялись коагуляты I–IV степени по классификации L’Esperance F. Хориоидальная неоваскуляризация (ХНВ) не выявлена ни в одном из случаев.
Вероятно, для достижения результата модели лазер-индуцированной хориоидальной неоваскуляризации необходимо последовательно, более длительно, поэтапно оказывать лазерное воздействие с повреждением пигментного эпителия сетчатки до возникновения хориоидальной неоваскуляризации.
ЗАКЛЮЧЕНИЕ
Повреждение у мышей пигментного эпителия сетчатки лазерным излучением с длиной волны 532 нм и дозами от 0,05 до 0,37 Вт/см2 характеризовалось появлением коагулятов I–IV степеней по классификации L’Espe-rance F без признаков хориоидальной неоваскуляризации.
Гистологически у подопытных животных развивались выраженные дистрофические изменения в нейронах ганглионарного слоя сетчатки, что сопровождалось явлениями отека, наиболее выраженным в слое нервных волокон, ганглионарном слое и в слое палочек и колбочек без признаков роста хориоидельной неоваскуляризации.
***
Конфликт интересов. Авторы декларируют отсутствие явных и потенциальных конфликтов интересов, связанных с публикацией настоящей статьи.
Competing interests. The authors declare that they have no competing interests.
About the authors
Sergey V. Ivanov
Eye Microsurgery named after Academician S.N. Fedorov
Author for correspondence.
Email: mntk@isee.ru
ORCID iD: 0000-0002-6303-9493
Candidate of Medical Sciences, Director
Russian Federation, VolgogradYulia Yu. Khzardzhan
Eye Microsurgery named after Academician S.N. Fedorov
Email: mntk@isee.ru
ORCID iD: 0000-0002-2996-5960
Candidate of Medical Sciences, Head of the Ophthalmological Department
Russian Federation, VolgogradAlexey V. Smirnov
Volgograd State Medical University
Email: milanaumenko@mail.ru
ORCID iD: 0000-0001-5351-6105
MD, Head of the Department of Pathological Anatomy
Russian Federation, VolgogradLyudmila V. Naumenko
Volgograd State Medical University
Email: milanaumenko@mail.ru
ORCID iD: 0000-0002-2119-4233
MD, Professor, Department of Pharmacology and Bioinformatics
Russian Federation, VolgogradAlena S. Taran
Volgograd State Medical University
Email: milanaumenko@mail.ru
ORCID iD: 0000-0001-8477-254X
Candidate of Medical Sciences, Associate Professor of the Department of Pharmacology and Bioinformatics
Russian Federation, VolgogradAlina M. Chebanko
Volgograd State Medical University
Email: milanaumenko@mail.ru
ORCID iD: 0009-0004-3140-5040
Assistant Professor at the Department of Pharmacology and Bioinformatics
Russian Federation, VolgogradMaria A. Balalina
Eye Microsurgery named after Academician S.N. Fedorov
Email: mntk@isee.ru
Ophthalmologist at the Ophthalmological Department
Russian Federation, VolgogradVictoria V. Chubarikova
Eye Microsurgery named after Academician S.N. Fedorov
Email: mntk@isee.ru
Ophthalmologist at the Ophthalmological Department
Russian Federation, VolgogradMaxim A. Korotkov
Eye Microsurgery named after Academician S.N. Fedorov
Email: mntk@isee.ru
Ophthalmologist at the Ophthalmological Department
Russian Federation, VolgogradIrina V. Solovyova
Eye Microsurgery named after Academician S.N. Fedorov
Email: mntk@isee.ru
Ophthalmologist at the Ophthalmological Department
Russian Federation, VolgogradReferences
- Yangieva N.R., Tuychibaeva D.M., Agzamova S.S., Abaskhanova N.Kh. Assessment of the state of organization of ophthalmological care for patients with age-related macular degeneration in primary health care. Oftal’mologiya. Vostochnaya Evropa = Ophthalmology. Eastern Europe. 2024;14(2):250. (In Russ.).
- Markovets A.M., Kolosova N.G. Age-related macular degeneration and participation of vascular endothelial growth factor in its pathogenesis. Rossiiskii oftal’mologicheskii zhurnal = Russian Ophthalmological Journal. 2009;2(3):51–58. (In Russ.).
- Fayzrakhmanov R.R., Bosov E.D., Bogdanova V.A. et al. Morphofunctional features of the retinal pigment epithelium in norm and in age-related macular degeneration. Literature review. Oftal’mologiya = Ophthalmology. 2024;21(1):44–50. (In Russ.).
- Lambert V., Lecomte J., Hansen S. et al. Laser-induced choroidal neovascularization model to study age-related macular degeneration in mice. Nature protocols. 2013;8(11):2197–2211.
- Latendresse J.R., Warbrittion A.R., Jonassen H. fixation of testes and eyes using a modified davidson’s fluid: comparison with bouin’s fluid and conventional davidson’s fluid. Toxicologic pathology. 2002;30(4):524–533.
- Sarkisov D.S., Perov Yu.L. Microscopic technique. Manual. Moscow: Medicine, 1996. 544 p. (In Russ.).
Supplementary files


