Features of diagnosis and treatment of patients with unilateral retention of the second premolar
- Авторлар: Shkarin V.V.1, Dmitrienko D.S.1, Fomin I.V.2, Dmitrienko T.D.1
-
Мекемелер:
- Volgograd State Medical University
- I.M. Sechenov First Moscow State Medical University
- Шығарылым: Том 20, № 3 (2023)
- Беттер: 67-72
- Бөлім: Original Researches
- URL: https://ogarev-online.ru/1994-9480/article/view/165461
- DOI: https://doi.org/10.19163/1994-9480-2023-20-3-67-72
- ID: 165461
Дәйексөз келтіру
Толық мәтін
Аннотация
Treatment of patients with dental retention is an urgent task of orthodontics.
Aim: Determine the features of the etiology, diagnosis and treatment of patients with unilateral retention of the second premolar due to premature removal of milk molars.
Material and methods: 19 patients aged 14 to 19 years were examined and treated with unilateral retention of the second premolars after obtaining informed consent approved by the Ethics Committee. Methods of clinical examination generally accepted in dentistry with the analysis of anamnestic, radiological, biometric data were carried out. Biometrics of plaster models with asymmetrical arc shape was carried out on scaled (1:1) photographs with the application of the main landmarks on them.
Results: Unilateral retention of the second premolar, due to premature removal of the second milk molar, as a rule, contributes to the formation of asymmetric dental arches with a deviation of their main parameters from the individual norm. The change in diagonal dimensions is due to the displacement of the canines and the first molars towards the defect. At the same time, on the side of the impacted tooth, there is a violation of the closure of pairs of antagonist teeth and a shift in the line of the aesthetic center by an average of (2.38 ± 0.61) mm. The stages of treatment include, firstly, the creation of conditions for the eruption of the impacted tooth with the subsequent restoration of occlusive balance.
Conclusion: Thus, the results of the study give us the basis for choosing methods for the diagnosis and treatment of asymmetric forms of dental arches caused by the retention of second premolars, which can be used in clinical orthodontics.
Негізгі сөздер
Толық мәтін
Лечение пациентов с ретенцией (полуретенцией) или задержкой прорезывания зубов, является актуальной задачей ортодонтии [1]. При этом специалисты отмечают, что этиология ретенции зубов многообразна. Среди основных этиологических факторов выделяют аномальное положение ретинированных зубов в челюстных костях, нарушение их формы и размеров, дефицит места в зубной дуге, наличие сверхкомплектных зубов на пути прорезывания комплектного зуба и аномалии врожденного генеза (расщелины губы и нёба) [2].
Особое внимание в клинической ортодонтии уделяется преждевременному удалению молочных зубов и горизонтальным видам деформаций зубных арок в периоде молочного и сменного прикуса. Подобные клинические ситуации, как правило, способствуют смещению зубов, ограничивающих дефект, навстречу друг другу, с частичным или полным закрытием постэкстракционного пространства. С профилактической целью дефект зубного ряда замещают различными конструкциями аппаратов, сохраняющих место. При этом предлагают использовать как съемные, так и несъемные протетические конструкции, обеспечивающие сохранение места до прорезывания замещающего постоянного зуба [3].
Однако данный метод протетического лечения в клинике стоматологии детского возраста весьма ограничен. В связи с этим врачу-ортодонту приходится впоследствии проводить сложное и комплексное лечение, направленное на устранение деформаций в горизонтальном и вертикальном направлении [4, 5].
Перед ортодонтом нередко становится дилемма в выборе экстракционного или неэкстракционного метода лечения. В основе неэкстракционной терапии лежит анализ биометрической диагностики формы и размеров дентальных арок с определением возможностей их нормализации [6, 7]. При этом отмечено, что сложности биометрии асимметричных форм зубных арок обусловлены несовершенством методов исследования гипсовых моделей челюстей, которые до настоящего времени являются хрестоматийными.
Специалисты рекомендуют определять типологические особенности зубных дуг на основе расчета аркадных и дентальных показателей. Проводят графическую репродукцию прогнозируемых форм зубных дуг с определением положения центральной или межрезцовой точки при ее отклонении от нормы. Обращают внимание на соответствие размеров лицевого отдела головы, в частности ее гнатической части, с параметрами зубных дуг, как при физиологическом прикусе, так и при различных аномалиях [8, 9].
Рентгенологическая диагностика и, особенно, конусно-лучевая компьютерная томография позволяют не только оценивать особенности ретинированных зубов, но и определять взаимозависимость размеров и положения элементов нижнечелюстного сочленения при различных вариантах трузионного положения резцов [10, 11, 12].
При наличии ретинированных зубов клиницисты отмечают отклонения в положении зубов относительно вертикальной оси, что нарушает физиологические нормы ротации антимеров относительно срединной сагиттали [13]. Лечение подобных клинических случаев требует строгого дозирования ортодонтической нагрузки, с учетом морфологии тканей пародонтального комплекса [14].
Анализ обзора литературных источников позволяет сделать заключение о необходимости разработки методов биометрической диагностики аномалий зубных дуг и определения этапов лечения асимметричных форм, обусловленных ретенцией вторых премоляров.
Все изложенное выше определяет целесообразность проведения настоящего исследования.
ЦЕЛЬ РАБОТЫ
Определить особенности этиологии, диагностики и лечения пациентов с односторонней ретенцией второго премоляра, обусловленной преждевременным удалением молочных моляров.
МЕТОДИКА ИССЛЕДОВАНИЯ
Проведено обследование и лечение 19 пациентов в возрасте 14–19 лет с односторонней ретенцией вторых премоляров после получения информированного согласия, одобренного этическим комитетом. Проводились общепринятые в стоматологии методы клинического обследования с анализом анамнестических, рентгенологических, биометрических данных.
Планирование лечебных мероприятий проводилось после биометрической диагностики формы и параметров зубных дуг. С учетом вариабельности дентальных арок и различий в размерах верхней и нижней челюсти нами оценивались не абсолютные значения, а величина отклонения показателя от индивидуальной нормы, которую оценивали с учетом рекомендаций специалистов.
Длину зубной дуги, как рекомендовано Nance, определяли по сумме ширины коронковых частей зубов, составляющих дентальный ряд. При наличии ретинированного зуба с одной из сторон челюсти измеряли длину каждой стороны арки. На стороне расположения ретинированного зуба измеряли диаметры зубов и величину дефекта между проксимальными поверхностями обращенных друг к другу зубов. Длина полудуги антимерной стороны считалась показателем индивидуальной нормы.
Биометрию гипсовых моделей при асимметричной форме дуги проводили на масштабированных (1 : 1) фотографиях с нанесением на них основных ориентиров. Основной линией была трансверсаль постериальной части дуги, которая соединяла дистальные ориентиры вторых моляров. От середины постериальной трансверсали строили перпендикуляр в переднем направлении. Размер передне-задней диагонали, которая ограничивала центральную (в норме – межрезцовую) точку дуги с дистальным ориентиром второго моляра, рассчитывали как произведение суммарной величины ширины коронок 7 зубов к дентально-диагональному коэффициенту. Указанный коэффициент для верхней челюсти составлял 1,06, для нижней арки – 1,09. Полученную величину откладывали с двух сторон от дистального ориентира, до пересечения с условной срединной сагиттальной линией в переднем отделе. Таким образом, получали прогнозируемое расположение центральной точки, которая соответствовала оптимальному положению медиальных контактных пунктов центральных резцов. Измеряли расстояние от конструируемой точки до фактической в разных направлениях.
Положение клыков и моляров оценивали по расположению ориентиров (рвущий бугор клыка и дистальный одонтомер вестибулярной поверхности моляра) относительно условной сагиттали. Измерения проводили по сагиттали, диагонали и трансверсали и сравнивали с расчетными показателями индивидуальной нормы (рис. 1).
Рис. 1. Гипсовая модель со смещением резцового ориентира (а) и состояние полости рта с ретенцией второго премоляра (б)
Данные измерений были внесены в таблицы программного комплекса Excel персонального компьютера с расчетом статистических показателей и определения достоверности различий между исследуемыми параметрами.
РЕЗУЛЬТАТЫ ИССЛЕДОВАНИЯ И ИХ ОБСУЖДЕНИЕ
Результаты изучения анамнестических данных показали, что причиной односторонней ретенции вторых премоляров, как на верхней, так и нижней челюсти, было преждевременное удаление вторых молочных моляров на одной из сторон, которое отмечались практически у всех обследованных, что способствовало ретенции второго премоляра (рис. 2).
Рис. 2. Ортопантомограмма у пациентки с ретенцией второго нижнего премоляра слева
В связи с указанным фактом отмечалось перемещение зубов, ограничивающих дефект навстречу друг другу, что способствовало укорочению диагональных, передне-задних и трансверсальных размеров арки и изменению ротационных показателей зубов.
На стороне с ретинированным зубом отмечалось укорочение длины дуги в среднем по группе на (5,24 ± 1,29) мм. В связи с этим, как правило, отмечалось смещение центральной межрезцовой точки в сторону полудуги с ретинированным зубом по диагонали на (2,38 ± 0,61) мм, а по сагиттали, как правило, в язычную сторону – на (1,34 ± 0,57) мм. Отклонение диагональных размеров и смещение ключевых зубов относительно основных ориентиров, представлено в табл.
Отклонение основных параметров зубных дуг у пациентов с односторонней ретенцией второго премоляра от оптимальной нормы
Параметры | Смещение ориентира (в мм) на стороне: | |
ретенции зуба | противоположной | |
Клыковая диагональ | 6,27 ± 1,13 | 1,24 ± 0,93 |
Молярная диагональ | 6,86 ± 1,27 | 0,93 ± 0,84 |
Смещение клыка по сагиттали | 5,19 ± 1,17 | 0,39 ± 0,22 |
Смещение клыка по трансверсали | 1,89 ± 0,64 | 0,51 ± 0,37 |
Смещение второго моляра по сагиттали | 0,97 ± 0,56 | 0,39 ± 0,16 |
Смещение второго моляра по трансверсали | 0,85 ± 0,49 | 0,37 ± 0,25 |
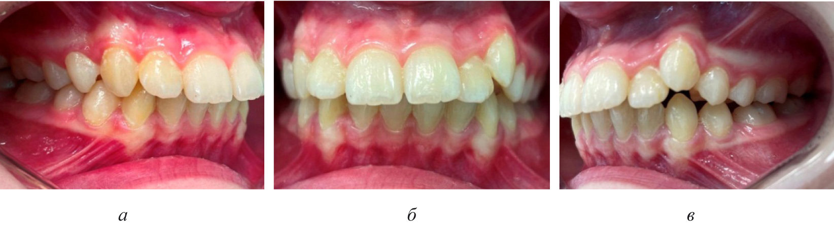
Смещение вторых постоянных моляров, как правило, было в меньшей степени выражено, чем отклонение от нормы других показателей биометрической диагностики. Достоверных различий при оценке положения вторых моляров на стороне ретенции и противоположной ей нами не отмечено (р ˃ 0,05). Смещение центральной точки дуги и изменения диагональных размеров резцово-клыковой и резцово-молярной диагонали способствовало смещению линии эстетического центра и нарушению смыкания пар зубов-антагонистов, которое было более выражено на стороне ретинированного зуба (рис. 3).
Лечение пациентов, как правило, проводилось с использованием несъемной ортодонтической аппаратуры, в частности эджуайс-механикой.
На первом этапе проводилось раскрытие пространства в области ретенированного зуба и создания условий для его прорезывания. После этого устанавливались элементы аппарата на противоположной челюсти (рис. 4).
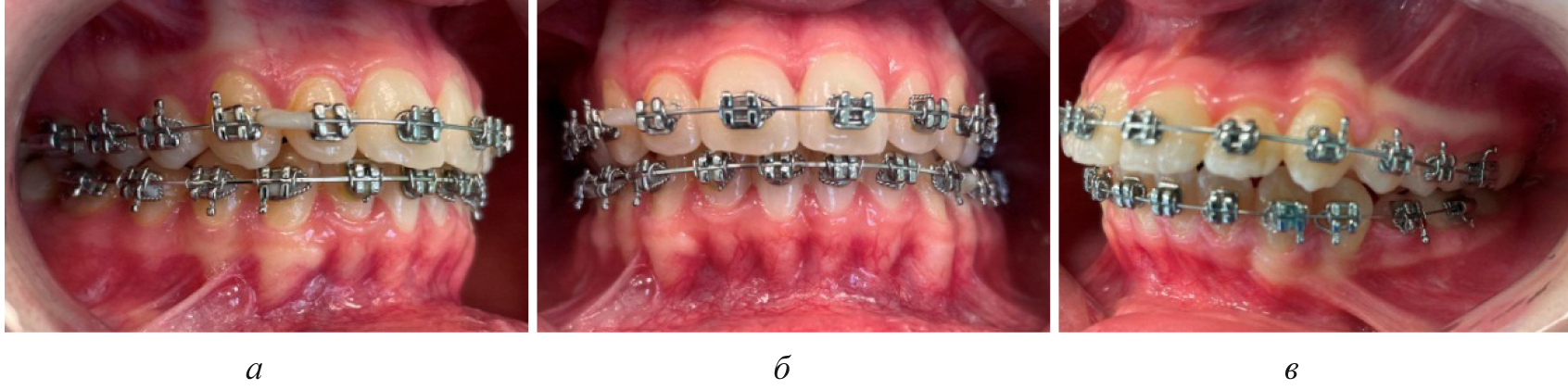
Последующие этапы ортодонтического лечения техникой эджуайс проводились с учетом общепринятого протокола и этапности смены металлических дуг, что способствовало нормализации окклюзионных взаимоотношений (рис. 5).
Рис. 3. Окклюзионные взаимоотношения справа (а), спереди (б) и слева (в) у пациента с односторонней ретенцией второго премоляра
Рис. 4. Создано место для прорезывания премоляра (а), установлена аппаратура на верхнюю челюсть (б)
Рис. 5. Окклюзионные взаимоотношения справа (а), спереди (б) и слева (в) на завершающем этапе лечения
Обращали внимание на расположение центральной точки дуги и ее расположения относительно линии эстетического центра.
Лечение считалось законченным после полной нормализации основных параметров зубных дуг и завершения ретенционного периода.
ЗАКЛЮЧЕНИЕ
Таким образом, одностороння ретенция второго премоляра, обусловленная преждевременным удалением второго молочного моляра, как правило, способствует формированию асимметричных зубных дуг с отклонением их основных параметров от индивидуальной нормы. Изменение диагональных размеров обусловлено смещением клыков и первых моляров в сторону дефекта. При этом на стороне ретинированного зуба отмечается нарушение смыкания пар зубов антагонистов и смещение линии эстетического центра в среднем на (2,38 ± 0,61) мм. Этапы лечения включают, во-первых, создание условий для прорезывания ретинированного зуба с последующим восстановлением окклюзионного равновесия.
Авторлар туралы
Vladimir Shkarin
Volgograd State Medical University
Email: vlshkarin@mail.ru
ORCID iD: 0000-0001-7158-0282
Doctor of Medical Sciences, Head of the Department of Public Health and Public Health ICMPE
Ресей, VolgogradDmitry Dmitrienko
Volgograd State Medical University
Хат алмасуға жауапты Автор.
Email: s.v.dmitrienko@pmedpharm.ru
ORCID iD: 0000-0002-9555-6612
Doctor of Medical Sciences, Professor, Head of the Department of Orthopedic Dentistry and Orthodontics ICMPE
Ресей, VolgogradIgor' Fomin
I.M. Sechenov First Moscow State Medical University
Email: fominiv67@mail.ru
ORCID iD: 0000-0002-5228-5816
Candidate of Medical Sciences, Associate Professor of the Department of Orthopedic Dentistry
Ресей, MoscowTatiana Dmitrienko
Volgograd State Medical University
Email: s.v.dmitrienko@pmedpharm.ru
ORCID iD: 0000-0002-0935-5575
Candidate of Medical Sciences, Associate Professor of the Department of Orthopedic Dentistry and Orthodontics ICMPE
Ресей, VolgogradӘдебиет тізімі
- Yagupova V.T., Dmitrienko T.D., Yagupov P.P. et al. Features of diagnosis and treatment of anomalies in the position of semi-retired wisdom teeth of the lower jaw. Vestnik Volgogradskogo gosudarstvennogo meditsinskogo universiteta = Journal of Volgograd State Medical University. 2022;19(1): 62–67. (In Russ.) doi: 10.19163/1994-9480-2022-19-1-62-67.
- Dmitrienko S.V., Porfiriadis M.P., Domenyuk D.A., Budaychiev G.M-A. Dentoalveolar specifics in children with cleft palate during primary occlusion period. Archiv EuroMedica. 2018;8(1);33–34.
- Dmitrienko S.V., Ivanov L.P., Milikevich V.Y. Incidence of milk teeth with caries and the need for preventive prosthetics for preschoolers with functional indigestion. Stomatologiya. 1999;78(3);37. (In Russ.)
- Lepilin А.V., Dmitrienko S.V., Domenyuk D.A. et al. Dependence of stress strain hard tissues and periodont on horizontal deformation degree. Archiv EuroMedica. 2019;9(1)173–174.
- Domenyuk D.A., Vedeshina E.G., Dmitrienko S.V. Efficiency evaluation for integrated approach to choice of orthodontic and prosthetic treatments in patients with reduced gnathic region. Archiv EuroMedica. 2015;5(2);6–12.
- Shkarin V.V., Dmitrienko T.D., Kochkonyan T.S., et al. Analysis of classical and modern methods of biometric examination of dentition in the period of occlusion of permanent teeth. Vestnik Volgogradskogo gosudarstvennogo meditsinskogo universiteta = Journal of Volgograd State Medical University. 2022;19(1):9–16. (In Russ.) doi: 10.19163/1994-9480-2022-19-1-9-16.
- Shkarin V.V., Dmitrienko T.D., Kochkonyan T.S., et al. Modern ideas about the shape and size of human dentition. Vestnik Volgogradskogo gosudarstvennogo meditsinskogo universiteta = Journal of Volgograd State Medical University.. 2021;80(4):12–19. (In Russ.) doi: 10.19163/1994-9480-2021-4(80)-12-19.
- Fischev S.B., Puzdyryova M.N., Dmitrienko S.V. et al. Morphological features of dentofacial area in peoples with dental arch issues combined with occlusion anomalies. Archiv EuroMedica. 2019;9(1):162–163.
- Domenyuk D.A., Vedeshina E G., Dmitrienko S.V. Correlation of dental arch major linear parameters and odontometric indices given physiological occlusion of permanent teeth in various face types. Archiv EuroMedica. 2016;6(2):18–22.
- Dmitrienko S.V., Domenyuk D.A., Tefova K. et al. Modern X-ray diagnostics potential in studying morphological features of the temporal bone mandibular fossa. Archiv EuroMedica. 2020;10(1):118–127.
- Domenyuk D.A., Dmitrienko S.V., Domenyuk S.D., Kharatyunyan Yu. Structural arrangement of the temporamandibular joint in view of the constitutional anatomy. Archiv EuroMedica. 2020;10(1);128–138.
- Domenyuk D.A., Korobkeev A.A., Dmitrienko T.D. et al. Anatomical and topographic features of temporomandibular joints in various types of mandibular arches. Medicinskij Vestnik Severnogo Kavkaza = Medical news of the North Caucasus. 2019;14(2):363–367. (In Russ.)
- Shkarin V.V., Grinin V.M., Halfin R.A. et al. Specific features of grinder teeth rotation at physiological occlusion of various gnathic dental arches. Archiv EuroMedica. 2019; 9(2):168–173.
- Domenyuk D.A., Davydov B.N., Dmitrienko S.V. et al. Changes of the morphological state of tissue of the paradontal complex in the dynamics of orthodontic transfer of teeth (experimental study). Parodontologiya. 2018;23(1);69–78. (In Russ.) doi: 10.25636/PMP.1.2018.1.15.
Қосымша файлдар






