Fibrosis as a key link in the morphogenesis of extragenital endometriosis
- Authors: Pechenikova V.A.1, Korchinskaya A.D.1, Petrovskaya N.N.1
-
Affiliations:
- I.I. Mechnikov Northwestern State Medical University
- Issue: Vol 20, No 2 (2023)
- Pages: 137-141
- Section: Original Researches
- URL: https://ogarev-online.ru/1994-9480/article/view/143350
- DOI: https://doi.org/10.19163/1994-9480-2023-20-2-137-141
- ID: 143350
Cite item
Full Text
Abstract
The clinical of extragenital endometriosis is variable and depends on the localization, while the leading manifestation is a pronounced pain syndrome, which in some cases can simulate various surgical pathologies. Materials and methods: A morphological and IHC study was performed in 82 cases of extragenital endometriosis of various localization. Research results: An IHC study showed positive expression of α-SMA in fibrosis foci around and between endometriosis foci. The expression area of TGF-β1 was different for the cytogenic stroma and the perifocally located connective tissue. Conclusions: Fibrosis is an integral component of the morphogenesis of endometrioid heterotopias, while the degree of its severity depends on the duration of the existence of endometriosis foci. Severe pain syndrome is probably associated with deformation of organs and tissues, compression of nerve endings due to fibrosis processes.
Full Text
Экстрагенитальный эндометриоз – относительно редкая патология, при которой эндометриоидные гетеротопии обнаруживаются за пределами органов половой системы. На его долю приходится 6–8 % от всех случаев эндометриодной болезни. Экстрагенитальный эндометриоз может быть единственной локализацией заболевания у одних женщин и сочетаться с наружным или внутренним генитальным эндометриозом у других. Среди экстрагенитальных поражений чаще встречается эндометриоз кишечника, органов мочевой системы, послеоперационных рубцов и торакальный эндометриоз [1].
Клиническая симптоматика экстрагенитального эндометриоза вариабельна и зависит, прежде всего, от его локализации, однако ведущим проявлением является выраженный болевой синдром, который возникает накануне и/или во время менструаций у женщин репродуктивного возраста, что в ряде случаев может имитировать различную хирургическую патологию. Так, при локализации эндометриоза в области передней брюшной стенки (мягкие ткани, послеоперационные рубцы, пупочное кольцо) он ошибочно может быть диагностирован как ущемленная грыжа за счет наличия болезненных, увеличивающихся в размерах плотноэластических узлов синюшно-фиолетового или коричневого оттенков, нередко кровоточащих накануне и во время менструации. Эндометриоз кишки чаще симулирует клиническую картину острого живота в виде кишечной непроходимости, вследствие чего дооперационная диагностика данной формы экстрагенитального эндометриоза крайне сложна [1].
ЦЕЛЬ РАБОТЫ
Изучить особенности и формы фиброза при экстрагенитальном эндометриозе различной локализации.
МЕТОДИКА ИССЛЕДОВАНИЯ
Выполнено морфологическое и иммуногистохимическое (ИГХ) исследование 82 случаев экстрагенитального эндометриоза. При морфологическом исследовании операционного материала использовали обзорную окраску препаратов гематоксилином и эозином, для выявления коллагеновых волокон соединительной ткани препараты дополнительно окрашивали пикрофуксином по методу Ван Гизон. ИГХ-исследование выполняли по авидин-биотиновой методике с использованием кроличьих моноклональных антител к рецепторам трансформирующего фактора роста β-1 (TGF-β1), α-гладкомышечному актину (α-SMA) (Dako, Дания). Результаты положительной реакции оценивали в виде окрашивания различной степени выраженности, от нежно-желтого до коричневого. Морфометрическое исследование проводили с помощью системы анализа микроскопических изображений, состоящей из микроскопа Nikon Eclipse E400, компьютера на базе Intel Pentium 4 и программного обеспечения «Видеотест-Морфология 5.0» Анализ осуществляли при увеличении 200 и 400. Для количественной оценки экспрессии изученных маркеров подсчитывали площадь их положительного окрашивания.
РЕЗУЛЬТАТЫ ИССЛЕДОВАНИЯ И ИХ ОБСУЖДЕНИЕ
Среди изученных наблюдений преобладал эндометриоз передней брюшной стенки (62,2 %), меньшее количество случаев было представлено поражением различных отделов кишечника (28 %), к редким локализациям относились легкие, промежность, паховые лимфатические узлы (9,8 %) (табл.).
Частота экстрагенитального эндометриоза различной локализации
Локализация | Абс. (%) | |
Передняя брюшная стенка, n = 51 (62,2 %) | Послеоперационный рубец | 25 (30,4) |
Мягкие ткани | 6 (7,3) | |
Пупочное кольцо | 11 (13,4) | |
Сочетание эндометриоза рубца с генитальным эндометриозом | 9 (10,9) | |
Кишечник n = 23 (28 %) | Тонкая кишка | 4 (4,8) |
Толстая кишка | 2 (2,4) | |
Аппендикс | 5 (6,0) | |
Сочетанное поражение различных отделов кишечника | 4 (4,8) | |
Сочетание эндометриоза кишки с генитальным эндометриозом | 8 (9,7) | |
Редкие локализации n = 8 (9,8 %) | Легкое | 1 (1,2) |
Промежность | 6 (7,3) | |
Паховые лимфатические узлы | 1 (1,2) | |
При гистологическом исследовании операционного материала во всех наблюдениях, независимо от органной локализации, патологический процесс характеризовался типовой для эндометриоза гистологической картиной: сочетанием желез, выстланных однорядным эпителием эндометриального типа с эндометриальной цитогенной стромой, вариабельной частотой кровоизлияний, отложением гемосидерина. Эндометриоидные гетеротопии имели преимущественно эпителиально-стромальное строение, очаги стромального эндометриоза встречались редко. В большинстве наблюдений эндометриоидные гетеротопии были множественными, размеры их варьировали от 1 до 2 полей зрения при луповом увеличении микроскопа. Эпителиальный и стромальный компоненты эндометриоидных гетеротопий характеризовались разнообразием морфофункциональных проявлений в виде пролиферации, секреции, кистозной трансформации желез с атрофией и/или десквамацией эпителия, подобно изменениям в эутопическом эндометрии в зависимости от фазы менструального цикла. Особенности и варианты морфофункциональных изменений в гетеротопиях зависели от органной локализации процесса. Для эндометриоза передней брюшной стенки характерной была выраженная тенденция к кистозной трансформации эндометриальных желез с атрофией и/или десквамацией эпителиальной выстилки. При поражении различных отделов кишечника в очагах эндометриоза обнаруживали преимущественно пролиферативные изменения в эпителиальном и стромальном компонентах гетеротопий. Независимо от органной локализации заболевания, в цитогенной строме очагов эндометриоза и в окружающих их тканях была обнаружена лимфо-макрофагальная инфильтрация различной степени выраженности, наибольшая − в местах отложения гемосидерина. В некоторых случаях выявлялась очаговая лимфо-макрофагальная инфильтрация по типу микроабсцессов. В таких инфильтратах встречались гигантские многоядерные клетки, присущие продуктивному воспалению и гранулемам инородных тел. Вокруг очагов эндометриоза и между ними было обнаружено разрастание «полей» соединительной ткани с большим количество коллагеновых волокон. Такая особенность в большей степени была присуща эндометриозу передней брюшной стенки, промежности и легкого (рис. 1, 2). При эндометриозе различных отделов кишечника площадь пролиферации соединительнотканных волокон вокруг гетеротопий была значительно меньше.
ИГХ-исследование выявило положительную экспрессию гладкомышечного актина в фокусах фиброза вокруг и между очагами экстрагенитального эндометриоза. Гладкомышечный актин экспрессировался в миофибробластах, концентрически расположенных вокруг эндометриоидных гетеротопий по типу «муфт» (рис. 3).
Очаговая экспрессия α-SMA была обнаружена в цитогенной строме очагов экстрагенитального эндометриоза в концентрических пролифератах миофибробластов по типу микроскопических лейомиом. В мышечном слое кишки наблюдалась положительная экспрессия α-SMA, которая повторяла ход мышечных волокон, деформируя стенку кишки в местах локализации очагов эндометриоза (рис. 4).
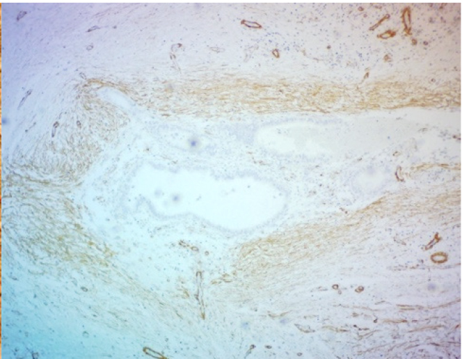
В цитогенной строме эндометриоидных гетеротопий и в соединительно тканных пролифератах была обнаружена положительная экспрессия трансформирующего фактора роста β-1. Площадь его экспрессии варьировала в разных наблюдениях от 10 до 15 % для цитогенной стромы и от 15 до 25 % для перифокально расположенных полей соединительной ткани (рис. 5).
Не вызывает сомнений, что в генезе эндометриоидной болезни лежит воспалительная реакция, однако в настоящее время нет достоверных данных, подтверждающих ее значение как первоначального стимула для развития эндометриоза, ведь сам воспалительный процесс может быть и следствием прогрессирования заболевания у женщин с уже имеющейся иммунологической дисфункцией. В литературе имеются данные о наличии провоспалительного характера перитонеального микроокружения, которое само по себе может вызвать воспалительную реакцию [2].
Активная миграция клеток лимфо-макрофагального ряда, миофибробластов в очаг воспаления способствует секреции различных факторов роста, которые, в свою очередь, являются стимулами для запуска каскада реакций и развития фиброза как ответной реакции организма на повреждение тканей. Фиброз в данном случае направлен на отграничение от окружающих тканей очага эндометриоза, его инкапсулирование с целью предупреждения прогрессирования заболевания. Одним из главных индукторов фиброза является TGF-β1, который в высоких титрах определяется у женщин в перитонеальной жидкости, сыворотке крови, брюшине и в эутопическом эндометрии [3]. TGF-β1 продуцируется преимущественно макрофагами, эндотелиальными клетками и тромбоцитами и осуществляет при этом процессы регуляции клеточной пролиферации и дифференцировки, участвует в ангиогенезе, оказывает влияние на иммунный ответ [4, 5].
Миофибробласты представляют собой активированные повреждением клетки, основная функция которых заключается в регенерации внеклеточного матрикса [3]. Активацию миофибробластов связывают с действием TGF-β1 на фибробласты, что приводит к экспрессии α-SMA, который в настоящее время является основным маркером миофибробластов [6]. Кроме того, клетками-предшественниками миофибробластов могут являться мезотелиальные клетки брюшины, которые претерпевают мезотелиально-мезенхимальный переход под действием TGF-β1. В результате активированные клетки приобретают способность к миграции и накоплению коллагеновых волокон, то есть способствуют фиброзу [7].
ЗАКЛЮЧЕНИЕ
По результатам нашего исследования при экстрагенитальном эндометриозе, независимо от его органной локализации, была обнаружена экспрессия TGF-β1, являющегося инициатором последующей пролиферации миофибробластов, по сути закономерного защитного регенераторного процесса в поврежденном органе или ткани, направленного на отграничение очага воспаления. Таким образом, фиброз является неотъемлемым компонентом морфогенеза эндометриоидных гетеротопий. Степень его выраженности, по-видимому, зависит от длительности существования очагов эндометриоза. Большая площадь полей соединительной ткани и выраженная тенденция к кистозной трансформации желез с атрофией и/или десквамацией эпителия свидетельствует о более длительном существовании в пораженных тканях очагов эндометриоза передней брюшной стенки и легкого, по сравнению с эндометриозом различных отделов кишечника. Клинические проявления экстрагенитального эндометриоза в виде выраженного болевого синдрома, вероятно, связаны с деформацией органов и тканей, сдавлением нервных окончаний вследствие процессов фиброзирования. Деформация стенки кишки при эндометриозе вследствие фиброза является причиной развития клиники острой кишечной непроходимости. В комплексной терапии эндометриоза могут иметь значение препараты, обладающие противовоспалительным действием, направленным на предотвращение процессов фиброзирования и склероза, которые являются закономерной внутренней ранозаживляющей реакцией на повреждение ткани при хроническом воспалении.
About the authors
Victoria A. Pechenikova
I.I. Mechnikov Northwestern State Medical University
Email: p-vikka@mail.ru
ORCID iD: 0000-0001-5322-708X
Doctor of Medical Sciences, Professor of the Department of Obstetrics and Gynecology
Russian Federation, Saint PetersburgAnastasia D. Korchinskaya
I.I. Mechnikov Northwestern State Medical University
Email: dr.ramzaeva@mail.ru
student of the Faculty of Medicine
Russian Federation, Saint PetersburgNicole N. Petrovskaya
I.I. Mechnikov Northwestern State Medical University
Author for correspondence.
Email: dr.ramzaeva@mail.ru
ORCID iD: 0000-0001-6849-5335
Obstetrician-gynecologist of the Department of Gynecology
Russian Federation, Saint PetersburgReferences
- Печеникова В.А., Данилова А.С., Кварку В.Е., Рамзаева Н.Н. Эндометриоз кишечника: особенности клинической и морфологической диагностики. Вестник Российской Военно-медицинской академии. 2021;1(23):41–50. doi: 10.17816/brmma63572.
- Bruner-Tran K.L., Herington J.L., Duleba A.J. et al. Medical management of endometriosis: emerging evidence linking inflammation to disease pathophysiology. Minerva Ginecol. 2013;65(2):199–213.
- Vigano P., Candiani M., Monno A. et al. Time to redefine endometriosis including its pro-fibrotic nature. Human reproduction 2018;33(3):347–352. doi: 10.1093/humrep/dex354.
- Sikora J., Smycz-Kubańska M., Mielczarek-Palacz A. et al. The involvement of multifunctional TGF-β and related cytokines in pathogenesis of endometriosis. Immunology letters. 2018;201:31–37. doi: 10.1016/j.imlet.2018.10.011.
- Ueshima E., Fujimori M., Kodama H. et al. Macrophage-secreted TGF-β1 contributes to fibroblast activation and ureteral stricture after ablation injury. American journal of physiology. Renal physiology. 2019;317(7):F52–F64. doi: 10.1152/ajprenal.00260.2018.
- Hinz B. Myofibroblasts. Experimental eye research. 2016;142:56–70. doi: 10.1016/j.exer.2015.07.009.
- Sandoval P., Jiménez-Heffernan J. A., Guerra-Azcona G. et al. Mesothelial-to-mesenchymal transition in the pathogenesis of post-surgical peritoneal adhesions. The Journal of Pathology. 2016;239(1):48–59. doi: 10.1002/path.4695.
Supplementary files






