Morphology of sustentocytes (Sertoli cells) with premature aging caused by light desynchronosis
- Authors: Kondakova L.I.1, Bagmetova V.V.1, Maltsev M.V.1
-
Affiliations:
- Volgograd State Medical University
- Issue: Vol 20, No 1 (2023)
- Pages: 97-101
- Section: Original Researches
- URL: https://ogarev-online.ru/1994-9480/article/view/143312
- DOI: https://doi.org/10.19163/1994-9480-2023-20-1-97-101
- ID: 143312
Cite item
Full Text
Abstract
The effect of 30-day dark deprivation (light-dark cycle 24/0 h, artificial illumination 300 Lux) on the morphofunctional state of the testes was studied using morphological and morphometric analysis of histological preparations of white mongrel male rats 4 months of age. The level of follicle-stimulating hormone in blood serum was assessed by enzyme immunoassay. It was found that 30-day dark deprivation increases the level of follicle-stimulating hormone in the blood serum. Morphological changes in the testes were characterized by a decrease in the area of Sertoli cells and their nuclei, the thickness of the spermatogenic epithelium. The hormonal background and morphofunctional state of the testes were corrected by the administration of exogenous melatonin for 14 days.
Full Text
Наступление информационной эры и повышение социально-экономического уровня привели к увеличению среднего возраста родителей при рождении первого ребенка. Это вызывает обеспокоенность, связанную с негативным влиянием возраста мужчин и женщин, на фертильность и возникновение репродуктивной дисфункции. С увеличением возраста родителей прогрессивно возрастает и роль экзогенных и эндогенных факторов, способствующих преждевременному старению, таких как стрессы, вредные привычки образа жизни, радиация, световой десинхроноз. Последний фактор приобретает все большее распространение на фоне растущей световой загрязненности городов, круглосуточной общедоступности информации, обращаться к которой, ввиду высокой занятости работающего населения (большинство из которого относится к лицам фертильного возраста), становится удобно в вечернее или, зачастую, в ночное время. Перечисленные негативные факторы могут спровоцировать нарушения мужской репродуктивной функции, вплоть до развития бесплодия [1, 2, 3]. Преждевременное старение мужских половых желез проявляется нарушением сперматогенных процессов, аномалиями и дисфункцией сперматозоидов, а также повреждением сустентоцитов (клеток Сертоли) и интерстициальных эндокриноцитов (клеток Лейдига) и др. [4, 5]. Это обусловливает актуальность исследования преждевременного старения репродуктивной системы, вызванного темновой депривацией, как одной из причин валидных экспериментальных моделей преждевременного старения, которое может внести существенный вклад в разработку методов прогнозирования и/или снижения рисков нарушения фертильности [6].
ЦЕЛЬ РАБОТЫ
Определить морфофункциональный статус сустентоцитов (клеток Сертоли) у крыс при преждевременном старении, вызванном темновой депривацией.
МЕТОДИКА ИССЛЕДОВАНИЯ
В работе были использованы 66 беспородных белых крыс самцов 4-месячного возраста (питомник филиала «Столбовая» ФГБУН НЦБМТ ФМБА России, Московская область). Животные содержались в виварии при температуре 22–24 ºС, относительной влажности воздуха 40–50 %. Для животных соблюдался стандартный пищевой рацион (полнорационный комбикорм, ЗАО «Тосненский комбикормовый завод», Ленинградская область, Россия) и свободный доступ к воде. Эксперименты проводили в соответствии с правилами лабораторной практики РФ (ГОСТ 33044-2014) и с соблюдением требований Директивы 2010/63/EU Европейского парламента и Совета Европейского Союза от 22.09.2010. Эксперименты были одобрены локальным этическим комитетом Волгоградского государственного медицинского университета (справка от 25.11.2022 № 2022/164).
Животные были разделены на три группы. Первая группа – контрольная (n = 24) включала животных, которые на протяжении всего времени исследования находились при 12-часовом искусственном свето-темновом режиме. Вторая группа животных (n = 26) и третья (n = 16) находились при 24-часовом искусственном освещении (300 Люкс) в течение 30 сут. Животные третьей группы после отмены 30-суточной темновой депривации получали внутрижелудочно через зонд 14-дневным лечебным курсом мелатонин (НАО «Северная звезда», Россия) в экспериметальной эффективной дозе 0,3 мг/кг [3] в 2%-й крахмальной слизи (в максимально допустимом объеме 0,2 мл/100 г) ежедневно, однократно в одно и то же время в интервале 18.00-19.30 по МСК. Животные первой и второй группы получали 2%-ю крахмальную слизь по аналогичной схеме в эквивалентном объеме.
По окончании введения мелатонина животным третьей группы и крахмальной слизи животным первой и второй групп через 20 ч после последнего введения животных наркотизировали путем однократного введения раствора хлоралгидрата (400 мг/кг) в воде очищенной (лаборатория токсикологии, НЦИЛС ВолгГМУ) внутрибрюшинно и забирали кровь из брюшной аорты крыс. Затем была проведена эвтаназия путем декапитации с помощью гильотины. Сыворотку крови центрифугировали (центрифуга название, серия, производитель) 20 мин при 3000 об./мин.
Концентрацию фолликулостимулирующего гормона (ФСГ) определяли в сыворотке крови с помощью твердофазного иммуноферментного анализа с использованием набора реактивов ELISA Kit for Follicle Stimulating Hormone (FSH) производства CLOUD-CLONE CORP (США) на автоматическом микропланшетном фотометре Sunrise TS4TECAN (Tecan Austria GmbH, Австрия).
Гистологическое исследование семенников проводили по стандартной методике. Срезы окрашивали гематоксилином и эозином. Микрофотографирование и морфометрический анализ семенников проводили на микроскопе Leica DM 1000 (Leica Microsystems GmbH, Германия) с использованием программного комплекса LAS v.4.7. Измеряли линейные показатели сустентоцитов и их ядер, оценивались морфологические особенности клеток Сертоли. В каждом поле зрения измерялась средняя площадь ядра, клетки и цитоплазмы.
Для статистической обработки полученных результатов применен ранговый однофакторный дисперсионный анализ Краскела-Уоллиса с апостериорным критерием Данна с использованием программы GraphPad Prism 8.0. Проверка распределения на нормальность проводилась с помощью критерия Шапиро – Уилка. Различия считались статистически значимыми при p < 0,05.
РЕЗУЛЬТАТЫ ИССЛЕДОВАНИЯ И ИХ ОБСУЖДЕНИЕ
Содержание животных в условиях постоянного освещения в течение 30 сут. (вторая группа – позитивный контроль, животные которой подверглись темновой депривации) приводило к увеличению уровня ФСГ в сыворотке крови в 2,4 раза по сравнению с показателем животных из группы контроля (первая группа – негативный контроль, животные которой не подвергались темновой депривации), p < 0,05 (рис. 1).
*p < 0,05, **p < 0,001 – по отношению к показателю группы животных негативного контроля (ранговый однофакторный анализ Краскела – Уоллиса, критерий Данна).
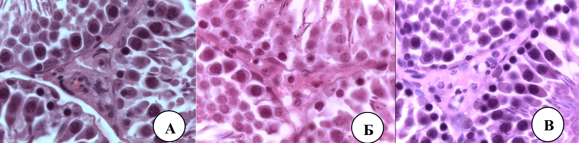
Морфометрический анализ параметров клеток Сертоли яичка после моделирования преждевременного старения, вызванного 30-суточной темновой депривацией, показал статистически значимые изменения количества сустентоцитов, параметров клетки и ядра по сравнению с показателями контрольных крыс самцов. Число сустентоцитов уменьшилось на 5,4 %. Площадь сустентоцитов у животных, подвергшихся темновой депривации, была меньше на 12,4 % по сравнению с показателем крыс из группы негативного контроля (p < 0,05), периметр клеток также был меньше – на 9 % (p < 0,05), площадь ядер клеток – на 17,4 % (p < 0,05). Ядра сустентоцитов неправильной формы лежат ближе к просвету семенного канальца. Толщина сперматогенного эпителия уменьшилась за счет десквамации сперматоцитов I и II порядков.
После курсового перорального введения мелатонина у животных, подвергшимся темновой депривации (третья группа животных) число сустентоцитов увеличилось на 3,4 %, площадь сустентоцита и ядра была больше, чем у животных группы позитивного контроля на 3,4 и 7,9 % соответственно (p < 0,05). Введение экзогенного мелатонина также способствовало увеличению периметра клетки по отношению к показателю животных из группы позитивного контроля на 5,7 %. При этом площадь клетки и ядра у животных, получавших после 30-суточной темновой депривации 14-дневным курсом мелатонин, была меньше показателя животных из группы негативного контроля на 9,4 и 10,9 % соответственно (рис. 2).
Клетки Сертоли с неправильной и нечеткой формой располагались на базальной мембране извитого семенного канальца, в их цитоплазме визуализировались светлые ядра, округло-овальной формы, смещенные к базальному полюсу, цитоплазма – эозинофильная. Просматривались все этапы сперматогенеза: сперматогонии – на базальной мембране на уровне ядер сустентоцитов, сперматоциты первого порядка в мейозе I, сперматоциты второго порядка, сперматиды округлой формы и небольших размеров. В просвете семенных канальцев определялись сперматозоиды, обращенные головками в сторону апикального полюса сустентоцитов. Наличие всех этапов сперматогенеза указывало на способность яичек вырабатывать сперматозоиды.
Процесс сперматогенеза регулируется гормонами гипоталамо-гипофизарно-гонадной оси. Фолликулостимулирующий гормон гипофиза преимущественно воздействует через G-ассоцииро-ванные рецепторы на сустентоцитах. Тестостерон, образующийся в клетках Лейдига, оказывает биологическое действие через андрогеновые рецепторы на клетках Сертоли. Под воздействием фолликулостимулирующего гормона и тестостерона в клетках Сертоли повышается активность ароматазы и секретируются андрогенсвязывающий белок, ингибин, активин, пептиды, электролиты и др. для обеспечения метаболических процессов и функционирования половых клеток. Клетки Сертоли поддерживают митоз и мейоз половых клеток, снабжают их питательными веществами и поддерживают межклеточные соединения: щелевые, десмосомные и адгезивные соединения с помощью сигнальных путей TGF-β / Smad, AMPK и MAPK.
Оптимальное количество клеток Сертоли и их функционирование на протяжении всей жизни является ключом к здоровой функции яичка, включая образование сперматозоидов и выработку андрогенов.
Выявленное у самцов крыс, подвергшихся 30-суточной темновой депривации, уменьшение числа сустентоцитов, периметра и площади клеток, а также площади ядра по сравнению со значениями показателей крыс, находившихся на протяжении всего исследования в условиях 12-часового свето-темного цикла, указывает на развитие их функциональной недостаточности и дистрофических изменений, которые не компенсируются повышенной выработкой ФСГ, действие которого направлено на стимуляцию метаболической активности данных клеток. Повышение уровня ФСГ в условиях дефицита мелатонина, вызванного темновой депивацией, может быть следствием недостаточного его тормозящего влияния на выработку гонадотропинов.
Мелатонин, являясь антиоксидантом, воздействует как непосредственно на свободные радикалы и через рецепторы, так и опосредованно через стимуляцию эндогенных антиоксидантных ферментов. Вероятно, оксидативный стресс, возникающий вследствие дефицита мелатонина, является одним из ведущих факторов в развитии морфофункциональных нарушений клеток Сертоли у крыс самцов, подвергшихся 30-дневной темновой депривации. Частичная компенсация выявленных морфофункциональных нарушений клеток Сертоли у самцов крыс, подвергшихся темной депривации и получавших затем экзогенный мелотонин свидетельствует о том, что дефицит мелатонина способствует развитию выявленных нарушений.
ЗАКЛЮЧЕНИЕ
Преждевременное старение является основным фактором риска развития различных заболеваний, в том числе репродуктивной системы. Темновая депривация в течение 30 суток через центральные механизмы приводит к нарушению регуляции репродуктивных процессов через снижение синтеза мелатонина, обладающего антигонадотропными свойствами, повышению выработки фолликулостимулирующего гормона и уменьшению линейных параметров сустентоцитов. Значительное снижение объема сустентоцитов и их гибель может привести к гибели половых клеток и бесплодию. Однако регуляция мужской фертильности является сложным механизмом. Изучение изменений, связанных со старением в органах мужской репродуктивной системы, позволит выявить и охарактеризовать корреляционные связи между биомаркерами и разработать математическую модель преждевременного старения репродуктивной системы, а также разработать методические подходы к доклиническим исследованиям геропрофилактических средств.
Конфликт интересов. Авторы декларируют отсутствие явных и потенциальных конфликтов интересов, связанных с публикацией настоящей статьи.
Competing interests. The authors declare that they have no competing interests.
About the authors
Larisa I. Kondakova
Volgograd State Medical University
Author for correspondence.
Email: larisakondakova@gmail.com
ORCID iD: 0000-0001-9028-2993
Candidate of Medical Sciences, Associate Professor, Associate Professor of the Department of Histology, Embryology, Cytology
Russian Federation, VolgogradViktoriya V. Bagmetova
Volgograd State Medical University
Email: vvbagmetova@gmail.com
ORCID iD: 0000-0002-4861-0217
Doctor of Medical Sciences, Associate Professor, Senior Researcher of the Laboratory for the Synthesis of Innovative Medicines of the Department of Synthesis and Pharmaceutical Technologies of the Scientific Center for Innovative Medicines with Pilot Production
Russian Federation, VolgogradMikhail V. Maltsev
Volgograd State Medical University
Email: m_maltsev_biolog@rambler.ru
ORCID iD: 0000-0002-3205-6493
Candidate of Biological Sciences, Researcher at the Laboratory of Toxicology of the Department of Experimental Pharmacology and Toxicology of the Scientific Center for Innovative Medicines with Pilot Production
Russian Federation, VolgogradReferences
- Gostyuxina A.A., Zamoshhina T.A., Zajcev K.V. et al. Anavar reactions of rats after light desynchronosis and physical overwork. Byulleten’ sibirskoj mediciny = Siberian Medicine Bulletin. 2018;17(3):22–34. (In Russ.)
- Zlobina O.V., Moskvina A.O., Ivanov A.N., Bugaeva I.O. Functional activity of links of stress-implementing and stress-limiting systems under conditions of light desynchronosis. Rossijskij fiziologicheskij zhurnal im. I.M. Sechenova = Russian Physiological Journal named after I.M. Sechenov. 2022;19(4):110–117. (In Russ.)
- Kondakova L.I., Bagmetova V.V., Sirotenko V.S., Donika A.D. The effect of melatonin on body weight dynamics and blood levels of Kloto protein in animals with premature aging caused by dark deprivation. Vestnik Volgogradskogo gosudarstvennogo medicinskogo universiteta = Journal of Volgograd State Medical University. 2022;19(4):110–117. (In Russ.)
- Iliadou P.K., Tsametis C., Kaprara A., Papadimas I., Goulis, D. G. The Sertoli cell: Novel clinical potentiality. Hormones (Athens, Greece). 2015;14(4):504–514.
- Ruthig V.A., Lamb D.J. Updates in Sertoli Cell-Mediated Signaling During Spermatogenesis and Advances in Restoring Sertoli Cell Function. Frontiers in endocrinology. 2022;13:897196.
- Dong S., Chen C., Zhang J. et al. Testicular aging, male fertility and beyond. Frontiers in endocrinology. 2022; 13:1012119.



